Zum Inhalt

„Not just frailty“ – Sjögren-Syndrom und Polymyositis mit mitochondrialer Pathologie

Erschienen in:
download
DOWNLOAD
print
DRUCKEN
insite
SUCHEN

Zusammenfassung

Hintergrund

Das Sjögren-Syndrom (SjS) ist eine Autoimmunerkrankung aus der Gruppe der Kollagenosen, welche neben der klassischen Sicca-Symptomatik auch extraglanduläre Manifestationen aufweisen kann. Eine muskuläre Mitbeteiligung ist selten. Es existieren einige Fallberichte und Studien zur mit dem SjS assoziierten Einschlusskörpermyositis (IBM). Eine weitere assoziierte Myositisform mit mitochondrialen Veränderungen, die oft auch als Spektrum der IBM angesehen wird, ist die Polymyositis mit mitochondrialer Pathologie (PM-Mito).

Fallbericht

Wir berichten den Fall einer 90-jährigen Patientin, welche sich mit progredienter Dysphagie, Gewichtsverlust und letztlich einer voranschreitenden Einschränkung beim Gehen vorstellte. In der diagnostischen Aufarbeitung konnte ein primäres SjS diagnostiziert werden, und eine Muskelbiopsie ermöglichte die Diagnosestellung einer PM-Mito.

Schlussfolgerung

Der vorliegende Fallbericht verdeutlicht die Wichtigkeit, differenzialdiagnostisch an eine neuromuskuläre Mitbeteiligung im Rahmen des SjSs zu denken. Das komorbide Auftreten einer Myositis mit mitochondrialer Pathologie (PM-Mito oder IBM) mit dem SjS führt zu aktuellen Diskussionen über ähnliche pathomechanistische Aspekte. Weiterhin unterstreicht dieser Fallbericht die Wichtigkeit einer histopathologischen Beurteilung bei einer zunächst unklaren Myopathie als Schlüsselelement zur korrekten Diagnose.

Redaktion

Mike Oliver Becker, Zürich
Paula Hoff, Berlin
Axel Hueber, Nürnberg
Frank Moosig, Neumünster
QR-Code scannen & Beitrag online lesen

Hinweis des Verlags

Der Verlag bleibt in Hinblick auf geografische Zuordnungen und Gebietsbezeichnungen in veröffentlichten Karten und Institutsadressen neutral.
Das Sjögren-Syndrom (SjS) ist eine autoimmunologische Systemerkrankung aus der Gruppe der Kollagenosen, welche sich neben einer klassischen Sicca-Symptomatik durch eine Vielzahl extraglandulärer Manifestation auszeichnet. In seltenen Fällen tritt das primäre SjS im Rahmen eines Overlap-Syndroms mit idiopathisch inflammatorischen Myopathien (IIM) auf, was sowohl diagnostisch als auch therapeutisch eine besondere Herausforderung darstellt. Besonders im geriatrischen Kollektiv mit zunächst unspezifischen Symptomen wie Schwäche, Dysphagie oder Gewichtsverlust kann eine entzündliche Systemerkrankung leicht übersehen werden und fälschlich als Ausdruck altersassoziierter Gebrechlichkeit („Frailty“) fehlinterpretiert werden. Zunehmende „Frailty“ im Alter betrifft über 25 % der über 75-Jährigen [1]. Frailty wird hierbei häufig definiert als Syndrom aus progredientem körperlichem Abbau, geringerer körperlicher Betätigung, Schwäche und Gewichtsverlust [2].

Fallbericht

Eine 90-jährige Patientin, welche angab, noch vor einiger Zeit überwiegend gesund und mehrfach pro Woche sportlich aktiv gewesen zu sein, stellte sich initial mit Dysphagie, Minderung des Allgemeinzustandes sowie Gewichtsverlust in einer externen Klinik vor. Nebenbefundlich bestand seit einem Jahr eine Gangstörung bei klinisch diagnostizierter idiopathischer Polyneuropathie, welche sich zuletzt aufgrund von allgemeiner Schwäche deutlich verschlechtert habe.
Bei führender Dysphagie und Gewichtsverlust wurde eine Gastroskopie durchgeführt, in welcher sich kein wegweisender Befund ergab. In der weiterführenden Umfelddiagnostik konnte eine polyklonale Gammopathie (Immunglobulin G 56 g/l, Referenzbereich 6,5–16,0 g/l) festgestellt werden. Nachfolgend wurde eine Diagnostik mittels ANA, ENA und infektiologischem Screening initiiert. Immunserologisch imponierte ein ANA-Titer von 1:5120 (Referenzbereich < 1:80) AC‑4, mit Nachweis von stark positiven (+++, Referenzbereich negativ) Ro-52/60-Antikörpern sowie eine Erhöhung des Rheumafaktors auf 38 U/l (Referenzbereich < 14,0 U/l), weshalb die Patientin zur weiteren Abklärung in unsere rheumatologische Abteilung verlegt wurde.
In der detaillierten Systemanamnese wurde eine deutliche Sicca-Symptomatik mit Xerostomie angegeben. Die Kraftgradprüfung anhand des Manual-Muscle-Testing (MMT-8) [3] zeigte eine ausgeprägte proximale Muskelschwäche mit 113/150 Punkten, sodass sich die allgemeine Belastungsminderung der zuvor sportlichen Patientin als muskuläre Schwäche herauskristallisierte. Eine Schwäche der Fingerflexoren oder Knieextensoren lag nicht vor. In der klinischen Untersuchung zeigte sich ferner eine distal-symmetrische Polyneuropathie mit Pallhypästhesie (0/8 Malleolus medialis beidseits) und einem beidseitig erloschenen Patellarsehnenreflex. Elektrophysiologisch ließ sich eine sensomotorische, axonale Polyneuropathie bestätigen. Der Schirmer- und der Saxon-Test waren pathologisch, eine Speicheldrüsensonographie stellte ein inhomogenes Parenchym dar (OMERACT-Grad 2).
Laborchemisch war neben der Hypergammaglobulinämie eine deutliche Erhöhung der Kreatininkinase (1010 U/l, Referenzbereich 145 < U/l) zu verzeichnen. Der Myositisblot (16-valenter EUROIMMUN-Blot) sowie die cN-1A-Antikörper waren negativ.
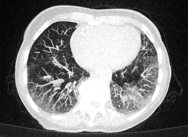
In der Computertomographie des Thorax fielen bilaterale Milchglastrübungen und subpleurale, basale Retikulationen als Ausdruck einer interstitiellen Lungenerkrankung („Indeterminate usual interstitial pneumonia“[UIP]-Muster) (vgl. Abb. 1) auf. Passend hierzu zeigte die Lungenfunktionsuntersuchung eine eingeschränkte forcierte Vitalkapazität (FVC 50 %, FEV1/VC 69 %). Bei hochgradigem Verdacht auf eine muskuläre Beteiligung im Rahmen einer entzündlichen Systemerkrankung erfolgte eine Magnetresonanztomographie der Oberschenkel mit Nachweis T2-hyperintenser Veränderungen der Oberschenkelmuskulatur mit geringerer Signalanhebung des M. rectus femoris beidseits (vgl. Abb. 2). Zur weiteren ätiologischen Einordnung der muskulären Beteiligung erfolgte eine Biopsie des M. vastus lateralis links. Histopathologisch waren myopathische Aspekte mit deutlicher Kalibervarianz der Muskelfasern neben diffus-endomysialen Infiltraten von autoinvasiven T‑Zellen darstellbar. Neben einer Überexpression von MHC-Klasse I und II waren zahlreiche Cytochrom-C-Oxidase(COX)-negative Muskelfasern ohne geräderte Vakuolen darstellbar, entsprechend einer Polymyositis mit mitochondrialer Pathologie (PM-Mito) (vgl. Abb. 3).
Abb. 1
Low-dose-Computertomographie des Thorax. Bilaterale Milchglastrübungen und basale, subpleural betonte Retikulationen als Ausdruck einer interstitiellen Lungenerkrankung, radiologisch als „indeterminate UIP“ („usual interstitial pneumonia“) gewertet
Bild vergrößern
Abb. 2
Magnetresonanztomographie der Oberschenkelmuskulatur in T2-Wichtung mit bilateralem Muskelödem, vereinbar mit Myositis. Man beachte die im Vergleich verringerte Signalanhebung des M. rectus femoris (roter Stern) beidseits als eines der MR-graphischen Muster der IBM [33]
Bild vergrößern
Abb. 3
Histologie der Muskelbiopsie des M. vastus lateralis links. Histopathologisch finden sich ausgeprägte Infiltrate endomysial (a), welche sich immunhistochemisch vorrangig als T‑Zell-Infiltrate abbilden lassen (nicht abgebildet). Vakuolen finden sich nicht. Ferner stellt sich eine diffuse MHC-Klasse-I-Überexpression sarkolemmal und sarkoplasmatisch dar (b). Die p62-positiven Aggregate sind typischerweise bei IBM beschrieben ([19], c). Die mitochondriale Pathologie verdeutlicht sich insbesondere in der COX-SDH-Färbung, wo sich zahlreiche (über der Korrelation für den Altersdurchschnitt) COX-negative, SDH-positive Fasern darstellen (blau eingefärbt, d)
Bild vergrößern
In der Zusammenschau stellten wir unter Hinzunahme der 2016 ACR/EULAR-Klassifikationskriterien (positive Einschlusskriterien, keine Ausschlusskriterien, Gesamt-Score 5 Punkte) die Diagnose eines klinisch hochaktiven primären SjSs (pSjS) mit pulmonaler sowie neuromuskulärer Beteiligung mit Overlap zur PM-Mito (EULAR Sjögren’s syndrome disease activity index [ESSDAI]: 23 Punkte) [4]. Aufgrund der ausgeprägten Krankheitsaktivität erfolgte eine kombinierte immunsuppressive Therapie mit Glukokortikoiden (mit nachfolgendem Ausschleichen), intravenösen Immunglobulinen (1-malig 100 g bei ausgeprägter Myopathie und Dysphagie – basierend auf den Daten der ProDERM-Studie [5]) und einer B‑Zell-gerichteten Therapie mit Rituximab (bei hoher serologischer Aktivität und schwerem klinischem Verlauf, 1000 mg an Tag 1 und Tag 15)1. Hierunter kam es zu einem raschen klinischen sowie laborchemischen Ansprechen (ESSDAI 4,33 im letzten Follow-up nach 9 Monaten) (vgl. Abb. 4). Der pulmonale Befund zeigte sich klinisch stabil, eine apparative Verlaufskontrolle ist als Jahres-Follow-up geplant. Zum Remissionserhalt wurde die Rituximab-Therapie aufgrund des zuvor sehr positiven Effekts bei erneutem Anstieg der CK unter niedrig dosiertem Prednisolon im Monat 10 fortgeführt (1000 mg)1.
Abb. 4
Aktivitätsparameter im Verlauf. Unter Therapie deutlicher Abfall von sowohl IgG (Monat 0: 56 g/l, Monat 1: 48,6 g/l, Monat 3: 22,8 g/L, Monat 9: 22,6 g/l) als auch CK. Parallel hierzu Anstieg des MMT‑8 von 113 (Monat 0) auf 134 (Monat 9) und eine Regredienz der Dysphagie. Neun Monate nach der letzten Rituximab-Gabe kam es unter niedrig dosiertem Prednisolon zu einem erneuten Anstieg der CK, weshalb aktuell eine Erhaltungstherapie mit Rituximab erfolgt. Die Pfeile markieren die Rituximab-Gaben. Der Stern die Immunglobulingabe (1-malig 100 g)
Bild vergrößern

Diskussion

Der hier geschilderte Fall veranschaulicht das seltene Vorkommen einer muskulären Beteiligung im Rahmen eines SjSs mit Multiorganbeteiligung.
Durch eine umfassende Systemanamnese mit anschließender gezielter laborchemischer und apparativer Diagnostik konnte bei zunächst extern berichteter Zunahme der Frailty letztlich die Diagnose eines pSjS mit PM-Mito gestellt werden.
Das SjS ist eine inflammatorische Systemerkrankung autoimmunologischer Genese, deren häufigste Organmanifestation die Exokrinopathie mit Sicca-Symptomatik darstellt [6]. Das SjS kann isoliert oder in Assoziation mit einer Vielzahl Autoimmunerkrankungen (primär biliäre Cholangitis, Hashimoto-Thyreoiditis, entsprechend primäres SjS) oder zusammen mit anderen autoimmunologischen Systemerkrankungen (rheumatoide Arthritis, systemischer Lupus erythematodes, systemische Sklerose, dann sekundäres SjS) auftreten [7]. Über 80 % der Patient:innen leiden an einer ausgeprägten Fatigue-Symptomatik, welche die Lebensqualität nachhaltig einschränken kann [8]. Eine muskuläre Beteiligung ist beim pSjS in der Literatur nur in 1,3–3 % der Fälle beschrieben, wobei verschiedene Formen der muskulären Beteiligung vorkommen, darunter die IBM, die PM-Mito und die Overlap/Poly-Myositis [9]. In der Kohortenstudie von Colanfancesco et al. [9] zeigten die untersuchten Muskelbiopsien insbesondere Aspekte einer „Polymyositis“ oder IBM, wobei knapp die Hälfte der Muskelbiopsien mitochondriale Veränderungen im Sinne von vermehrten COX-negativen Fasern aufwiesen. Eine 2021 publizierte Registerstudie berichtete bei 50 % der Myositis-SjS-Overlap-Syndrome die Diagnose einer IBM [10]. Ferner lässt sich bei rund 6–10 % der Patient:innen mit einer IBM ein komorbides SjS finden [11, 12]. Die dezidierte Unterscheidung der muskulären Beteiligung bringt unmittelbare therapeutische Implikationen mit sich, da PM-Mito-Patient:innen in Fallberichten besser auf eine immunsuppressive Therapie (wie beispielsweise mit Glukokortikoiden, Methotrexat, Mycophenolat-Mofetil) anzusprechen scheinen als IBM-Patient:innen [13]. Sowohl die muskuläre Beteiligung als auch die Polyneuropathie und Fatigue können bei unserer Patientin einen wesentlichen Anteil der initialen Symptomatik verursacht haben. Die Dysphagie, die sich unter Therapie deutlich besserte, kann als Folge der deutlichen Xerostomie, aber auch als Manifestation im Rahmen der Myositis gewertet werden. Sowohl PM-Mito- als auch IBM-Patient:innen können eine Dysphagie entwickeln.
Die sporadische Form der IBM stellt die häufigste Myopathie im fortgeschrittenen Alter (Krankheitsbeginn typischerweise > 40 Jahre) dar. Sie ist durch eine Beteiligung der distalen Muskulatur (insbesondere Fingerbeuger- und Kniestreckermuskulatur), einen langsamen Krankheitsprogress sowie ein geringes therapeutisches Ansprechen gekennzeichnet [1416]. Die PM-Mito wurde erstmals 1997 beschrieben und stellt eine Verlaufsform der idiopathisch inflammatorischen Myopathien dar [17]. In den vergangenen Jahren wurde diese genauer charakterisiert [18, 19]. Die PM-Mito und die IBM weisen eine Vielzahl klinischer, histologischer und molekularer Gemeinsamkeiten auf, sodass die PM-Mito zunehmend als frühe Verlaufsform der IBM im Sinne einer Spektrum-Erkrankung eingeordnet wird („early IBM“ [eIBM]). Histologisch kennzeichnet sich die IBM durch endomysiale Inflammation mit Invasion von CD8+-T-Zellen und MHC-Klasse-I-Expression auf nichtnekrotischen Muskelfasern sowie Merkmale einer mitochondrialen Schädigung, darunter Cytochrom-C-Oxidase(COX)-defiziente Fasern, „ragged red fibers“ (RRFs) und eine abnorme Proteinakkumulation [16, 17, 20, 21]. Histopathologisch kann eine weitere Abgrenzung der IBM gegenüber anderen Entitäten mittels immunhistochemischer Färbung gegen TDP43 und p62 erfolgen [22]. In Abgrenzung zur sporadischen IBM fehlen bei der PM-Mito die charakteristischen „rimmed vacuoles“ (Abb. 5) sowie in der Regel auch Proteinaggregate mit immunhistochemischer Reaktivität für TDP43 oder p62 [1719]. Auf pathophysiologischer Ebene scheint eine abnorme Interferon-mediierte Inflammation sowohl bei der IBM als auch der PM-Mito eine Rolle zu spielen. Bei Patient:innen, die initial mit einer PM-Mito diagnostiziert wurden, entwickelte nach Kleefeld et al. im weiteren Krankheitsverlauf ein Großteil (13 von 14 Patient:innen, 93 %) eine definitive IBM [19].
Abb. 5
Vergleichsabbildung einer Muskelbiopsie eines IBM-Patienten (Gömöri-Färbung). Eingekreist sind die klassischen „rimmed vacuoles“, die einen wichtigen Unterscheidungspunkt von IBM-Patient:innen und PM-Mito-Patient:innen darstellen („rimmed vacuoles“ können prinzipiell auch bei anderen Muskelerkrankungen auftreten und sind alleine betrachtet nicht pathognomonisch für die IBM)
Bild vergrößern
In der Pathogenese des pSjS und der IBM sind ebenfalls einige Parallelen zu erkennen [23]: So spielt eine aberrante T‑Zell-Antwort mit Nachweis autoreaktiver CD4+- oder CD8+-T-Zellen eine Schlüsselrolle [24, 25]. Weiterhin legen Daten eine gemeinsame genetische Prädisposition in Assoziation mit dem humanen Leukozytenantigen(HLA)-Allel HLA-DR3 nahe [26]. Der Nachweis von Anti-cN-1A-Antikörpern, welcher ein unterstützendes diagnostisches Kriterium für die IBM darstellt [16], lässt sich zudem bei ca. 12 % der Patient:innen mit SjS erbringen [27]. Eine kürzlich veröffentlichte Arbeit von Levy et al. legt jedoch nahe, dass bei Myositis-Patient:innen der Zusammenhang zwischen Anti-cN-1A und SjS unabhängig vom Zusammenhang zwischen IBM und SjS ist [28, 29].
Fallberichte zu pSjS und PM-Mito liegen nur sehr wenige vor. So berichteten z. B. Papadimas et al. von einer 38-jährigen Patientin, die im Verlauf gut auf eine Immunsuppression mit Prednisolon und Methotrexat ansprach [13].
Auch eine neurologische Beteiligung beim pSjS kann sich in muskulärer Schwäche oder Gangstörungen äußern. Der peripheren neurologischen Beteiligung können verschiedene Ursachen, wie z. B. eine Small-Fiber-Neuropathie oder eine vaskulitische Beteiligung beim pSjS zugrunde liegen [30]. Aufgrund der eindeutigen klinischen Situation und fehlender therapeutischer Konsequenz wurde bei unserer Patientin keine Nerven- oder Hautbiopsie durchgeführt. Die ILD unserer Patientin ist ebenfalls dem pSjS zuzuordnen, bei dem eine Lungenbeteiligung in 10–20 % der Fälle auftreten kann. Am häufigsten sind hierbei die „non-specific interstitial pneumonia“ (NSIP), gefolgt von der UIP und lymphozytären interstitiellen Pneumonie (LIP) zu verzeichnen [31]. Gerade bei schweren oder therapierefraktären Fällen der ILD beim pSjS oder anderen schweren Organmanifestationen wird Rituximab als Therapieoption diskutiert [31, 32].
Die Diagnose der PM-Mito bei unserer Patientin fußte auf der Klinik bestehend aus proximaler Muskelschwäche ohne Zeichen für eine Fingerflexor- oder Knieextensorschwäche sowie dem typischen histopathologischen Erscheinungsbild ohne „rimmed vacuoles“, wobei beginnende p62-Aggregate bereits als Zeichen einer „early IBM“ diskutiert werden können ([19], vgl. Abb. 4). Ferner ist die relative Aussparung des M. rectus femoris ein ebenfalls bei der IBM beobachtetes Phänomen [33]. Das erfreuliche Ansprechen auf Immunsuppression unterstützt die Diagnose der PM-Mito bei unserer Patientin.
Zusammenfassend berichten wir von dem sehr seltenen Fall eines primären SjSs mit zeitgleich vorliegender PM-Mito. Insbesondere im fortgeschrittenen Alter können unspezifische, mit dem Frailty-Syndrom überlappende Symptome die Diagnosestellung erschweren. Eine muskuläre Beteiligung beim SjS sollte daher bedacht und differenzialdiagnostisch eruiert werden. Eine histopathologische Untersuchung kann insbesondere hier Aufschluss geben über die Genese der Myositis beim pSjS, die häufig von mitochondrialer Pathologie geprägt ist.

Fazit für die Praxis

  • Das primäre Sjögren-Syndrom (SjS) kann sich initial unspezifisch äußern und gerade im Alter eine diagnostische Herausforderung darstellen.
  • Die Diagnose einer Polymyositis mit mitochondrialer Pathologie (PM-Mito) bringt therapeutische und prognostische Implikationen mit sich und sollte differenzialdiagnostisch auch bei initial unspezifischer Symptomatik in Betracht gezogen werden.
  • Die PM-Mito ist bei Patient:innen mit SjS eine sehr seltene Manifestation, häufiger wird die Diagnose einer IBM gestellt.
  • Die Dysphagie bei SjS kann sowohl Ausdruck der Xerostomie als auch einer muskulären Beteiligung sein.

Einhaltung ethischer Richtlinien

Interessenkonflikt

P. Kremer, S. Melderis, J. Matschke, W. Stenzel, I. Kötter, und M. Krusche geben an, dass kein Interessenkonflikt besteht. M.-T. Holzer erhält eine Finanzierung durch die Else Kroener-Fresenius Stiftung im Rahmen des iPRIME-CS Scholarship (2021_EKFK.15), UKE, Hamburg.
Für diesen Beitrag wurden von den Autor/-innen keine Studien an Menschen oder Tieren durchgeführt. Für die aufgeführten Studien gelten die jeweils dort angegebenen ethischen Richtlinien. Für Bildmaterial oder anderweitige Angaben innerhalb des Manuskripts, über die Patient/-innen zu identifizieren sind, liegt von ihnen und/oder ihren gesetzlichen Vertretern/Vertreterinnen eine schriftliche Einwilligung vor.
Open Access Dieser Artikel wird unter der Creative Commons Namensnennung 4.0 International Lizenz veröffentlicht, welche die Nutzung, Vervielfältigung, Bearbeitung, Verbreitung und Wiedergabe in jeglichem Medium und Format erlaubt, sofern Sie den/die ursprünglichen Autor(en) und die Quelle ordnungsgemäß nennen, einen Link zur Creative Commons Lizenz beifügen und angeben, ob Änderungen vorgenommen wurden. Die in diesem Artikel enthaltenen Bilder und sonstiges Drittmaterial unterliegen ebenfalls der genannten Creative Commons Lizenz, sofern sich aus der Abbildungslegende nichts anderes ergibt. Sofern das betreffende Material nicht unter der genannten Creative Commons Lizenz steht und die betreffende Handlung nicht nach gesetzlichen Vorschriften erlaubt ist, ist für die oben aufgeführten Weiterverwendungen des Materials die Einwilligung des jeweiligen Rechteinhabers einzuholen. Weitere Details zur Lizenz entnehmen Sie bitte der Lizenzinformation auf http://creativecommons.org/licenses/by/4.0/deed.de.

Hinweis des Verlags

Der Verlag bleibt in Hinblick auf geografische Zuordnungen und Gebietsbezeichnungen in veröffentlichten Karten und Institutsadressen neutral.

Unsere Produktempfehlungen

Zeitschrift für Rheumatologie

Print-Titel

Hot topics von Experten knapp, aussagekräftig und provokativ kommentiert, neueste Leitlinien und Empfehlungen sowie Stellungnahmen der Deutschen Gesellschaft für Rheumatologie

e.Med Interdisziplinär

Kombi-Abonnement

Für Ihren Erfolg in Klinik und Praxis - Die beste Hilfe in Ihrem Arbeitsalltag

Mit e.Med Interdisziplinär erhalten Sie Zugang zu allen CME-Fortbildungen und Fachzeitschriften auf SpringerMedizin.de.

Jetzt bestellen und im ersten Jahr 100 € sparen!

© Springer Medizin


e.Med Innere Medizin

Kombi-Abonnement

Mit e.Med Innere Medizin erhalten Sie Zugang zu CME-Fortbildungen des Fachgebietes Innere Medizin, den Premium-Inhalten der internistischen Fachzeitschriften, inklusive einer gedruckten internistischen Zeitschrift Ihrer Wahl.

download
DOWNLOAD
print
DRUCKEN
Titel
„Not just frailty“ – Sjögren-Syndrom und Polymyositis mit mitochondrialer Pathologie
Verfasst von
Phillip Kremer
Dr. med. Simon Melderis
PD Dr. med. Jakob Matschke
Prof. Dr. med. Werner Stenzel
Prof. Dr. med. Ina Kötter
Dr. med. Martin Krusche
Dr. med. Marie-Therese Holzer
Publikationsdatum
22.08.2025
1
Anmerkung: Der Einsatz von Rituximab erfolgt beim pSjS als Off-label-Therapie. Die Applikation bei unserer Patientin wird aufgrund des fortgeschrittenen Alters und der bisher fehlenden Studien im Bereich PM-Mito-Sjögren-Syndrom-Overlap individuell anhand der Klinik gesteuert.
 
1.
Zurück zum Zitat Veronese N, Custodero C, Cella A, Demurtas J, Zora S, Maggi S, Barbagallo M, Sabbà C, Ferrucci L, Pilotto A (2021) Prevalence of Multidimensional Frailty and Pre-Frailty in Older People in Different Settings: A Systematic Review and Meta-Analysis. Ageing Res Rev 72:101498. https://doi.org/10.1016/j.arr.2021.101498CrossRefPubMedPubMedCentral
2.
Zurück zum Zitat Kim DH, Rockwood K (2024) Frailty in Older Adults. N Engl J Med 391:538–548. https://doi.org/10.1056/NEJMra2301292CrossRefPubMedPubMedCentral
3.
Zurück zum Zitat Rider LG, Koziol D, Giannini EH, Jain MS, Smith MR, Whitney-Mahoney K, Feldman BM, Wright SJ, Lindsley CB, Pachman LM et al (2010) Validation of Manual Muscle Testing and a Subset of Eight Muscles for Adult and Juvenile Idiopathic Inflammatory Myopathies. Arthritis Care Res 62:465–472. https://doi.org/10.1002/acr.20035CrossRef
4.
Zurück zum Zitat Shiboski CH, Shiboski SC, Seror R, Criswell LA, Labetoulle M, Lietman TM, Rasmussen A, Scofield H, Vitali C, Bowman SJ et al (2016) American College of Rheumatology/European League Against Rheumatism Classification Criteria for Primary Sjögren’s Syndrome: A Consensus and Data-Driven Methodology Involving Three International Patient Cohorts. Arthritis Rheumatol Hoboken NJ 2017(69):35–45. https://doi.org/10.1002/art.39859CrossRef
5.
Zurück zum Zitat Aggarwal R, Charles-Schoeman C, Schessl J, Bata-Csörgő Z, Dimachkie MM, Griger Z, Moiseev S, Oddis C, Schiopu E, Vencovský J et al (2022) Trial of Intravenous Immune Globulin in Dermatomyositis. N Engl J Med 387:1264–1278. https://doi.org/10.1056/nejmoa2117912CrossRefPubMed
6.
Zurück zum Zitat Mariette X, Criswell LA (2018) Primary Sjögren’s Syndrome. N Engl J Med 378:931–939. https://doi.org/10.1056/NEJMcp1702514CrossRefPubMed
7.
Zurück zum Zitat Fox RI (2005) Sjögren’s Syndrome. Lancet Lond Engl 366:321–331. https://doi.org/10.1016/S0140-6736(05)66990-5CrossRef
8.
Zurück zum Zitat Meijer JM, Meiners PM, Huddleston Slater JJR, Spijkervet FKL, Kallenberg CGM, Vissink A, Bootsma H (2009) Health-Related Quality of Life, Employment and Disability in Patients with Sjogren’s Syndrome. Rheumatol Oxf Engl 48:1077–1082. https://doi.org/10.1093/rheumatology/kep141CrossRef
9.
Zurück zum Zitat Colafrancesco S, Priori R, Gattamelata A, Picarelli G, Minniti A, Brancatisano F, D’Amati G, Giordano C, Cerbelli B, Maset M et al (2015) Myositis in Primary Sjögren’s Syndrome: Data from a Multicentre Cohort. Clin Exp Rheumatol 33:457–464PubMed
10.
Zurück zum Zitat Felten R, Giannini M, Nespola B, Lannes B, Levy D, Seror R, Vittecoq O, Hachulla E, Perdriger A, Dieude P et al (2021) Refining Myositis Associated with Primary Sjögren’s Syndrome: Data from the Prospective Cohort ASSESS. Baillieres Clin Rheumatol 60:675–681. https://doi.org/10.1093/rheumatology/keaa257CrossRef
11.
Zurück zum Zitat Naddaf E, Shelly S, Mandrekar J, Chamberlain AM, Hoffman EM, Ernste FC, Liewluck T (2022) Survival and Associated Comorbidities in Inclusion Body Myositis. Rheumatol Oxf Engl 61:2016–2024. https://doi.org/10.1093/rheumatology/keab716CrossRef
12.
Zurück zum Zitat Dobloug GC, Antal EA, Sveberg L, Garen T, Bitter H, Stjärne J, Grøvle L, Gran JT, Molberg Ø (2015) High Prevalence of Inclusion Body Myositis in Norway; a Population-based Clinical Epidemiology Study. Eur J Neurol 22:672. https://doi.org/10.1111/ene.12627CrossRefPubMed
13.
Zurück zum Zitat Papadimas GK, Kokkinis C, Xirou S, Chrysanthou M, Kararizou E, Papadopoulos C (2019) Polymyositis with Mitochondrial Pathology or Atypical Form of Sporadic Inclusion Body Myositis: Case Series and Review of the Literature. Rheumatol Int 39:1459–1466. https://doi.org/10.1007/s00296-019-04314-8CrossRefPubMed
14.
Zurück zum Zitat Tawil R, Griggs RC (2002) Inclusion Body Myositis. Curr Opin Rheumatol 14:653–657. https://doi.org/10.1097/00002281-200211000-00004CrossRefPubMed
15.
Zurück zum Zitat Naddaf E (2022) Inclusion Body Myositis: Update on the Diagnostic and Therapeutic Landscape. Front Neurol 13:1020113. https://doi.org/10.3389/fneur.2022.1020113CrossRefPubMedPubMedCentral
16.
Zurück zum Zitat Lilleker JB, Naddaf E, Saris CGJ, Schmidt J, De Visser M, Weihl CC, Alexanderson H, Alfano L, Allenbach Y, Badrising U et al (2024) 272nd ENMC International Workshop: 10 Years of Progress—Revision of the ENMC 2013 Diagnostic Criteria for Inclusion Body Myositis and Clinical Trial Readiness. 16–18 June 2023, Hoofddorp, The Netherlands. Neuromuscul Disord 37:36–51. https://doi.org/10.1016/j.nmd.2024.03.001CrossRefPubMed
17.
Zurück zum Zitat Blume G (1997) Polymyositis with Cytochrome Oxidase Negative Muscle Fibres. Early Quadriceps Weakness and Poor Response to Immunosuppressive Therapy. Brain 120:39–45. https://doi.org/10.1093/brain/120.1.39CrossRefPubMed
18.
Zurück zum Zitat Temiz P, Weihl CC, Pestronk A (2009) Inflammatory Myopathies with Mitochondrial Pathology and Protein Aggregates. J Neurol Sci 278:25–29. https://doi.org/10.1016/j.jns.2008.11.010CrossRefPubMed
19.
Zurück zum Zitat Kleefeld F, Uruha A, Schänzer A, Nishimura A, Roos A, Schneider U, Goebel HH, Schuelke M, Hahn K, Preusse C et al (2022) Morphologic and Molecular Patterns of Polymyositis With Mitochondrial Pathology and Inclusion Body Myositis. Neurology. https://doi.org/10.1212/WNL.0000000000201103CrossRefPubMed
20.
Zurück zum Zitat Oldfors A, Moslemi AR, Jonasson L, Ohlsson M, Kollberg G, Lindberg C (2006) Mitochondrial Abnormalities in Inclusion-Body Myositis. Neurology. https://doi.org/10.1212/01.wnl.0000192127.63013.8dCrossRefPubMed
21.
Zurück zum Zitat Rygiel KA, Miller J, Grady JP, Rocha MC, Taylor RW, Turnbull DM (2015) Mitochondrial and Inflammatory Changes in Sporadic Inclusion Body Myositis. Neuropathol Appl Neurobiol 41:288–303. https://doi.org/10.1111/nan.12149CrossRefPubMedPubMedCentral
22.
Zurück zum Zitat Hiniker A, Daniels BH, Lee HS, Margeta M (2013) Comparative Utility of LC3, P62 and TDP-43 Immunohistochemistry in Differentiation of Inclusion Body Myositis from Polymyositis and Related Inflammatory Myopathies. Acta neuropathol commun 1:29. https://doi.org/10.1186/2051-5960-1-29CrossRefPubMedPubMedCentral
23.
Zurück zum Zitat Nelke C, Kleefeld F, Preusse C, Ruck T, Stenzel W (2022) Inclusion Body Myositis and Associated Diseases: An Argument for Shared Immune Pathologies. Acta neuropathol commun 10:84. https://doi.org/10.1186/s40478-022-01389-6CrossRefPubMedPubMedCentral
24.
Zurück zum Zitat Badrising UA, Schreuder GMT, Giphart MJ, Geleijns K, Verschuuren JJGM, Wintzen AR (2004) the Dutch IBM Study Group Associations with Autoimmune Disorders and HLA Class I and II Antigens in Inclusion Body Myositis. Neurology 63:2396–2398. https://doi.org/10.1212/01.WNL.0000148588.15052.4CCrossRefPubMed
25.
Zurück zum Zitat Fauchais AL, Martel C, Gondran G, Lambert M, Launay D, Jauberteau MO, Hachulla E, Vidal E, Hatron PY (2010) Immunological Profile in Primary Sjögren Syndrome. Autoimmun Rev 9:595–599. https://doi.org/10.1016/j.autrev.2010.05.004CrossRefPubMed
26.
Zurück zum Zitat Rojana-udomsart A, Needham M, Luo YB, Fabian V, Walters S, Zilko PJ, Mastaglia FL (2011) The Association of Sporadic Inclusion Body Myositis and Sjögren’s Syndrome in Carriers of HLA-DR3 and the 8.1 MHC Ancestral Haplotype. Clin Neurol Neurosurg 113:559–563. https://doi.org/10.1016/j.clineuro.2011.03.016CrossRefPubMed
27.
Zurück zum Zitat Rietveld A, Van Den Hoogen LL, Bizzaro N, Blokland SLM, Dähnrich C, Gottenberg J‑E, Houen G, Johannsen N, Mandl T, Meyer A et al (2018) Autoantibodies to Cytosolic 5′-Nucleotidase 1A in Primary Sjögren’s Syndrome and Systemic Lupus Erythematosus. Front Immunol 9:1200. https://doi.org/10.3389/fimmu.2018.01200CrossRefPubMedPubMedCentral
28.
Zurück zum Zitat Levy D, Nespola B, Giannini M, Felten R, Severac F, Varoquier C, Rinagel M, Korganow A‑S, Martin T, Poindron V et al (2022) Significance of Sjögren’s Syndrome and Anti-cN1A Antibody in Myositis Patients. Baillieres Clin Rheumatol 61:756–763. https://doi.org/10.1093/rheumatology/keab423CrossRef
29.
Zurück zum Zitat Giannini M, Felten R, Gottenberg J‑E, Geny B, Meyer A (2022) Inclusion Body Myositis and Sjögren’s Syndrome: The Association Works Both Ways. Acta neuropathol commun 10:152. https://doi.org/10.1186/s40478-022-01443-3CrossRefPubMedPubMedCentral
30.
Zurück zum Zitat Pavlakis PP, Alexopoulos H, Kosmidis ML, Mamali I, Moutsopoulos HM, Tzioufas AG, Dalakas MC (2012) Peripheral Neuropathies in Sjögren’s Syndrome: A Critical Update on Clinical Features and Pathogenetic Mechanisms. J Autoimmun 39:27–33. https://doi.org/10.1016/j.jaut.2012.01.003CrossRefPubMed
31.
Zurück zum Zitat Seeliger B, Witte T (2025) Interstitielle Lungenerkrankung bei Sjögren-Syndrom – Bedeutung, Therapiestrategien. Z Pneumol 22:201–207. https://doi.org/10.1007/s10405-025-00612-0CrossRef
32.
Zurück zum Zitat Ramos-Casals M, Brito-Zerón P, Bombardieri S, Bootsma H, Vita SD, Dörner T, Fisher BA, Gottenberg J‑E, Hernandez-Molina G, Kocher A et al (2020) EULAR Recommendations for the Management of Sjögren’s Syndrome with Topical and Systemic Therapies. Ann Rheum Dis 79:3–18. https://doi.org/10.1136/annrheumdis-2019-216114CrossRefPubMed
33.
Zurück zum Zitat de Visser M, Carlier P, Vencovský J, Kubínová K, Preusse C (2023) ENMC Muscle Imaging in Idiopathic Inflammatory Myopathies workshop study group 255th ENMC Workshop: Muscle Imaging in Idiopathic Inflammatory Myopathies. 15th January, 16th January and 22nd January 2021—Virtual Meeting and Hybrid Meeting on 9th and 19th September 2022 in Hoofddorp, The Netherlands. Neuromuscul Disord NMD 33:800–816. https://doi.org/10.1016/j.nmd.2023.08.014CrossRefPubMed

Passend zum Thema

ANZEIGE

Ab Diagnose: Mangelernährung im Fokus der onkologischen Behandlung

Viele Tumorpatient:innen leiden unter krankheitsbedingter Mangelernährung, die Prävalenz ist hoch. Doch wie kann man dem Gewichtsverlust, der erhebliche Konsequenzen für die Lebensqualität hat, vorbeugen?

ANZEIGE

Mangelernährung und Muskelmasse haben großen Einfluss auf Therapietoxizität

Krebspatient:innen sind bis zu 1,5-mal häufiger von Mangelernährung betroffen als Patient:innen mit anderen Erkrankungen.[1] Dabei ist ein ungewollter Gewichtsverlust nicht nur ein Merkmal eines fortgeschrittenen Tumorstadiums, sondern tritt häufig bereits im Anfangsstadium einer Krebserkrankung auf (1-10 kg in 6 Monaten vor Diagnose).[2,3] Die Folgen des Gewichtsverlusts sind vor allem auch aufgrund des Abbaus von Muskelmasse und -funktion oft schwerwiegend.[4] 

ANZEIGE

"Krebsdiäten" auf dem Prüfstand

Als sogenannte „Krebsdiäten“ werden Kostformen bezeichnet, die zu einer Besserung beziehungsweise Heilung von Tumorleiden führen sollen [1]. Krebspatient:innen sind für derartige Heilversprechen oft empfänglich. Es ist Aufgabe von Ärzt:innen, Ihre Patient:innen über unterschiedliche Kostformen und ernährungstherapeutische Maßnahmen aufzuklären und auf mögliche Gefahren hinzuweisen.

ANZEIGE

Mangelernährung in der Onkologie – Fortimel® als Teil der ganzheitlichen Versorgung

Bis zu 80% der onkologischen Patient:innen verlieren ungewollt Gewicht – mit gravierenden Folgen für den Therapieverlauf. Eine frühzeitige Ernährungstherapie mit medizinischer Trinknahrung wie Fortimel® kann den Unterschied machen und das Outcome Ihrer Patient:innen unterstützen. Jetzt mehr erfahren.

Fortimel

Passend zum Thema

ANZEIGE

Risikogruppen schützen: Wie Zink das Immunsystem stärken kann

Wenn akute Atemwegsinfekte kursieren, gilt es Risikogruppen wie ältere und multimorbide Menschen vor langwierigen und schwerwiegenden Infekten zu schützen. Die Versorgung mit Zink spielt dabei eine zentrale Rolle. Was kann Zink leisten? Und was ist bei der Substitution zu beachten? Mehr >>

Passend zum Thema

ANZEIGE

Pneumokokken-Kinderimpfquote steigern!

Wie viel Prozent der Kinder sind in Deutschland im Alter von 24 Monaten vollständig gegen Pneumokokken geimpft? Und wie könnte die Impfquote weiter gesteigert werden? Hier geht’s zu den Antworten!

ANZEIGE

HPV-Impfung für Erwachsene – eine Rechnung die aufgeht!

Kostenübernahme der HPV-Impfung bei Erwachsenen – wir unterstützen Sie mit fundierten Informationen zur Verordnung und Abrechnung. So lassen sich bürokratische Hürden reduzieren und der Zugang zur HPV-Impfung erleichtern – für die Prävention bestimmter HPV-bedingter Erkrankungen.

ANZEIGE

Impfstoffe – Krankheiten vorbeugen, bevor sie entstehen

Seit mehr als 130 Jahren entwickelt und produziert MSD Impfstoffe für alle Altersgruppen. Hier finden Sie nützliche Informationen und Praxismaterialien rund um das Thema Impfen.

MSD Sharp & Dohme GmbH
Bildnachweise
CT einer Lunge mit Milchglastrübungen/© Kremer P et al. / all rights reserved Springer Medizin Verlag GmbH, Ärztin im Gespräch mit Patientin/© sturti | GettyImages, Ärztin zeigt Patientin etwas auf dem Tablet/© andreswd | GettyImages, Ernährungsberaterin im Gespräch mit älterer Frau am Esstisch, auf dem Laptop und Nahrungsmittel stehen/© Maskot | GettyImages, Junge küsst seine Mutter auf die Nase/© Danone Deutschland, Teaserbild OA Wörwag Zink/© Tondone | AdobeStock, Kleinkind rennt draußen, während es in die Luft zeigt/© William / Adobe Stock, Teaserbild HPV-Impfung für Erwachsene – eine Rechnung die aufgeht!/© syedfahadghazanfar / shutterstock, Neuer Inhalt/© MKC / shutterstock