Zum Inhalt

Prolonged prone position in pregnant woman with COVID-19 pneumonia

  • Open Access
  • 01.12.2022
  • Letter to the Editor
Erschienen in:

Abstract

The manuscript describes a case report of 2 prolonged prone position cycles (72 h each) of a coronavirus disease 2019 pneumonia in an intubated pregnant woman (at 22 weeks of gestational age), being successfully discharged from intensive care unit after 20 days. There were no signs of fetal sufferance at daily obstetric monitoring during prone position, and the fetus was born fully vital and without consequences.
At our knowledge, this is the first case of prolonged prone position in a pregnant woman, and we feel that our manuscript could be a valuable contribution to the literature and help intensivists in providing intensive care in these patients, confirming that prone position seems to be a valid therapeutic choice, limiting maternal and fetal hypoxia, and reducing their morbidity, even if the oculate risk/benefit should be performed. Further studies are however necessary to increase the knowledge and the good management of COVID-19 in pregnancy.

Publisher’s Note

Springer Nature remains neutral with regard to jurisdictional claims in published maps and institutional affiliations.
To the Editor,
From the beginning of COVID-19 (coronavirus disease-19), we gained more data on disease severity, course, and treatment of patients affected by this disease. However, limited data are available about intensive care unit (ICU) conduct particularly on the application of prolonged prone position ventilation [1] in severe acute respiratory distress syndrome (ARDS) pregnant patients [2, 3].
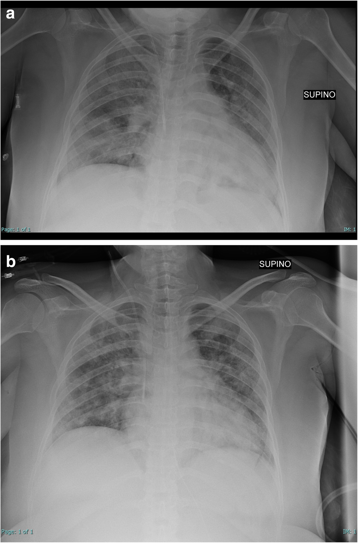
Here we report a case of a 40-year-old Moroccan woman, at the 22th week of gestational age, with only hypothyroidism in anamnesis. She was admitted to our Emergency department for COVID-19 bilateral pneumonia, after 10 days from the beginning of symptoms (fever and cough), and after 2 days of hospitalization in the medical department, where respiratory dynamic and exchanges worsened, although incremental FiO2). At ICU admission (day 0, D0) she had tachypnea and severe hypoxia (PaO2/FiO2 of 60 in high flow nasal cannula (HFNC)). She was initially treated with steroids (dexamethasone 6 mg daily for 7 days), prophylactic Low Molecular Weight Heparin and non-invasive ventilation with full-face mask, reaching a PaO2/FiO2 of 116. Lung ultrasounds were provided daily to the patient [4], documenting multiple subpleural anterior, posterior and inferior lung consolidations, without pneumothorax or pleural effusion occurence. Her first chest radiography is reported in Fig. 1A. But on D2, for clinical worsening and an increasing severe dyspnea and after a collegial discussion involving also our gynecological department, she was intubated and pronated, undergoing a first long-prone position cycle (72 h, according to our hospital protocol), limiting abdominal and pelvic compression with proper positioning and cushions. The patient was firstly treated with prophylactic dosage of ceftriaxone (5 days), then with vancomycin for increase in inflammation indices and an isolation of a Staphylococcus Aureus in a Braoncoaspiratus. Best PEEP was determined every 12 h, determining it according to our protocols [5]. During the first cycle of the prone position she initially required high Positive End-Expiratory Pressure (PEEP of 14 cmH2O, after 36 h reduced to 12 cmH2O), with a driving pressure of 12 cmH2O, after 48 h (D4) reduced to 10 cmH2O, and a respiratory rate of 16, on D4 reduced to 14, reaching a PaO2/FiO2 of 234 when she was supinated (after 72 h, on D5); However during the first 24 h of supination (still curarized, on D6) her respiratory parameters worsened, so she underwent a second cycle of prolonged prone position, requiring similar ventilation settings. After another 72 h, she reached a P/F of 290, so she was finally supinated at D9. PaCO2 was always maintained at a range 35–45 cmH2O. Daily intra-abdominal pressure (IAP) was also performed, starting from an IAP of 10 cmH2O (in the supine position) and reaching a maximum of 13 during prone position. However, since the best PEEP titration in patients with increased IAP is still debated [6], we titrated it on the sole base of ARDS protocols [5]. No maternal complications due to prolonged prone position were observed, and daily and obstetric monitoring of fetal well-being with cardiotocography and weekly ultrasounds and maternal uterine artery Doppler flow velocimetry were performed; Even if an umbilical arterial systolic/diastolic ratio decrease can be expected in the prone position [7], we did not observe them, maybe because obstetric evaluations were performed in right lateral decubitus when the patient was in the prone position. However, no fetal sufferance signs were shown.
Fig. 1
a Chest radiography of the pregnant woman before intubation, at ICU admission. b Chest radiography of the pregnant woman after extubation (15th day)
Bild vergrößern
She was finally extubated on D15 (Fig. 1B), supported with HFNC until discharge in the medical department (D20), and finally discharged from the hospital on D26. All of the obstetric monitoring showed fetal activity, compatible with the maternal sedation status.
This woman underwent a cesarean section at 38 weeks and 6 days of pregnancy, with a female newborn who was fully vital (5 min—Apgar score of 10).
According to our case, intubation and prolonged prone position seems to be compatible with fetal survival, at least within the second quarter of pregnancy;
Intubation and prolonged prone position have to be considered as the “last chance” for pregnant women, performing an oculate risk/benefit evaluation; however, we can confirm their rule in limiting maternal and fetal hypoxia, and in reducing their morbidity [8, 9].
Further studies are however necessary to increase the knowledge and the good management of COVID-19 in pregnancy.

Acknowledgements

Not applicable

Declarations

Not applicable.
The authors declare that the patient has given full informed consent to publish her data.

Competing interests

The authors declare that they have no competing interests.
Open AccessThis article is licensed under a Creative Commons Attribution 4.0 International License, which permits use, sharing, adaptation, distribution and reproduction in any medium or format, as long as you give appropriate credit to the original author(s) and the source, provide a link to the Creative Commons licence, and indicate if changes were made. The images or other third party material in this article are included in the article's Creative Commons licence, unless indicated otherwise in a credit line to the material. If material is not included in the article's Creative Commons licence and your intended use is not permitted by statutory regulation or exceeds the permitted use, you will need to obtain permission directly from the copyright holder. To view a copy of this licence, visit http://creativecommons.org/licenses/by/4.0/.

Publisher’s Note

Springer Nature remains neutral with regard to jurisdictional claims in published maps and institutional affiliations.
Download
Titel
Prolonged prone position in pregnant woman with COVID-19 pneumonia
Verfasst von
Federico Linassi
Matteo Campagnolo
Enrico Busato
Valentina Ortolani
Mario Peta
Publikationsdatum
01.12.2022
Verlag
BioMed Central
Erschienen in
Journal of Anesthesia, Analgesia and Critical Care / Ausgabe 1/2022
Elektronische ISSN: 2731-3786
DOI
https://doi.org/10.1186/s44158-022-00044-9
1.
Zurück zum Zitat Carsetti A, Damia Paciarini A, Marini B, Pantanetti S, Adrario E, Donati A (2020) Prolonged prone position ventilation for SARS-CoV-2 patients is feasible and effective. Critical care (London, England) 24(1):225. https://doi.org/10.1186/s13054-020-02956-wCrossRef
2.
Zurück zum Zitat Thompson JL, Nguyen LM, Noble KN, Aronoff DM (2020) COVID-19-related disease severity in pregnancy. Am J Reprod Immunol (New York, NY: 1989) 84(5):e13339. https://doi.org/10.1111/aji.13339CrossRef
3.
Zurück zum Zitat Wang CL, Liu YY, Wu CH, Wang CY, Wang CH, Long CY (2021) Impact of COVID-19 on Pregnancy. Int J Med Sci 18(3):763–767. https://doi.org/10.7150/ijms.49923CrossRefPubMedPubMedCentral
4.
Zurück zum Zitat Vetrugno L, Sala A, Orso D, Meroi F, Fabbro S, Boero E, Valent F, Cammarota G, Restaino S, Vizzielli G, Girometti R, Merelli M, Tascini C, Bove T, Driul L; PINK-CO study investigators. (2022) Lung Ultrasound Signs and Their Correlation With Clinical Symptoms in COVID-19 Pregnant Women: The "PINK-CO" Observational Study. Front Med, 21(8):768261. https://doi.org/10.3389/fmed.2021.768261. PMID: 35127744; PMCID: PMC8814327.
5.
Zurück zum Zitat Gattinoni L, Collino F, Maiolo G, Rapetti F, Romitti F, Tonetti T, Vasques F, Quintel M (2017) Positive end-expiratory pressure: how to set it at the individual level. Ann Transl Med 5(14):288. https://doi.org/10.21037/atm.2017.06.64CrossRefPubMedPubMedCentral
6.
Zurück zum Zitat Regli A, Pelosi P, Malbrain MLNG (2019) Ventilation in patients with intra-abdominal hypertension: what every critical care physician needs to know. Ann Intensive Care 9(1):52. Published 2019 Apr 25. https://doi.org/10.1186/s13613-019-0522-yCrossRefPubMedPubMedCentral
7.
Zurück zum Zitat Nakai Y, Mine M, Nishio J, Maeda T, Imanaka M, Ogita S (1998) Effects of maternal prone position on the umbilical arterial flow. Acta Obstet Gynecol Scand 77(10):967–969PubMed
8.
Zurück zum Zitat Guérin C, Reignier J, Richard JC, Beuret P, Gacouin A, Boulain T, Mercier E, Badet M, Mercat A, Baudin O, Clavel M, Chatellier D, Jaber S, Rosselli S, Mancebo J, Sirodot M, Hilbert G, Bengler C, Richecoeur J, Gainnier M, PROSEVA Study Group (2013) Prone positioning in severe acute respiratory distress syndrome. New Engl J Med 368(23):2159–2168. https://doi.org/10.1056/NEJMoa1214103CrossRefPubMed
9.
Zurück zum Zitat Galiatsou E, Kostanti E, Svarna E, Kitsakos A, Koulouras V, Efremidis SC, Nakos G (2006) Prone position augments recruitment and prevents alveolar overinflation in acute lung injury. Am J Respir Crit Care Med 174(2):187–197. https://doi.org/10.1164/rccm.200506-899OCCrossRefPubMed

Neu im Fachgebiet AINS

Acht Empfehlungen zur perioperativen Nüchternheit

Lange Nüchternzeiten vor einer OP können unerwünschte gesundheitliche Konsequenzen haben. Ein multidisziplinäres internationales Team hat deswegen in einem Delphi-Prozess acht Empfehlungen formuliert, die die perioperative Versorgung verbessern sollen.

Krebs: Viel Schmerz am Lebensende

Das Gros der Krebspatientinnen und -patienten leidet in der letzten Lebenswoche an Schmerzen, wobei die Belastung bei bestimmten Entitäten besonders hoch ist. Das zeigt eine große Registerdatenanalyse aus Schweden. Wurden Schmerzen strukturiert erfasst, stieg die Chance, diese vollständig zu lindern.      

Kein Schreien, kein Trinken – dann wird’s kritisch bei Säuglingen mit Infekten

Welche klinischen Zeichen sprechen bei Säuglingen in den ersten zwei Lebensmonaten für eine Sepsis? Einer Metaanalyse von 52 Studien zufolge besteht Lebensgefahr vor allem dann, wenn die Kinder nur noch schwach oder gar nicht schreien und kaum noch Nahrung akzeptieren.

Fremdkörperentfernung allein reicht nicht

Wenn ein Speiserest die Atemwege blockiert, zählt jede Minute. Um gravierende neurologische Schäden zu vermeiden, sollten vor allem ältere Menschen in die Notaufnahme gebracht werden – selbst wenn der Übeltäter bereits entfernt wurde. Das verdeutlicht eine Studie aus Japan.

e.Med Anästhesiologie - Alles drin für Ihr Fortbildungsziel ​ (Link öffnet in neuem Fenster)

Mit unserem e.Med Abo Anästhesiologie haben Sie jederzeit Zugriff auf aktuelles, ​praxisnahes Fachwissen – kompakt und einfach verfügbar. Jetzt CME-Punkte bequem online sammeln.

Update AINS

Bestellen Sie unseren Fach-Newsletter und bleiben Sie gut informiert.

Bildnachweise
Frau mit Schnabeltasse im Krankenhausbett/© bilderstoeckchen / stock.adobe.com (Symbolbild mit Fotomodell), Person hält die Hand eines Krebspatienten im Bett/© Photographee.eu / stock.adobe.com (Symbolbild mit Fotomodell), Schreiendes Baby/© AzmanL / Getty Images / iStock (Symbolbild mit Fotomodell), e.Med Anästhesiologie