Zum Inhalt
Die Urologie

Symptomatische Hodenmetastase eines azinären Adenokarzinoms der Prostata

Erschienen in:
download
DOWNLOAD
print
DRUCKEN
insite
SUCHEN

Zusammenfassung

Wir berichten über den äußerst seltenen Fall einer symptomatischen testikulären Metastasierung durch ein azinäres Adenokarzinom der Prostata. Bislang wurden Hodenmetastasen von Prostatakarzinomen (PCa) meist nur zufällig im Rahmen von therapeutischen Orchiektomien oder Autopsien entdeckt. Insgesamt wurden in der Literatur nur wenige klinische und v. a. symptomatische Fälle beschrieben. Trotz des raren Auftretens von Hodenmetastasen sollte bei fortgeschrittenen PCa differentialdiagnostisch an die Möglichkeit einer solchen Metastasierung gedacht werden.
Die originale Onlineversion dieses Artikels wurde aufgrund einer rückwirkenden Open Access-Bestellung geändert.

Anamnese

Im September 2016 wurde bei unserem Patienten, 1941 geboren, ein azinär differenziertes Adenokarzinom der Prostata (T2N1M1) mit einem Gleason-Score von 5+4=9 bei einem initialen PSA-Wert von 43 ng/ml durch eine einseitige, ex domo durchgeführte Stanzbiopsie diagnostiziert. Die stattgefundenen Staging-Untersuchungen (CT und PSMA-PET/CT) ergaben multiple LK-Metastasen, beidseits iliakal bis 2,5 cm und beidseits paraortal bis 2,2 cm. Der Patient erhielt eine Androgendeprivationstherapie (ADT) mit Leuprorelinacetat ab Oktober 2016 (davor Bicalutamid) und schon im November 2016 kam es zu einem PSA-Abfall auf nur 0,81 ng/ml. Die MRT-Kontrollbildgebung bestätigte eine deutliche Größenreduktion der LK-Metastasen als auch der Prostata. Aufgrund des guten Ansprechens und nach Rücksprache mit dem Patienten wurde die ADT als therapeutische Hauptmaßnahme empfohlen. Der PSA-Wert wurde regelmäßig kontrolliert und hielt sich im Verlauf immer auf <0,1 ng/ml. Nachfolgende MRT- und CT-Kontrollen konnten keine pathologisch vergrößerten Lymphknoten, Knochenmetastasen oder Absiedlungen in anderen Organen detektieren. Der Patient entschied sich jedoch Anfang 2019 schlussendlich gegen das Abwarten auf eine eventuelle Progression des PSA-Werts und für die Durchführung einer definitiven perkutanen Radiotherapie seiner PSMA-positiven Manifestationen, die im Rahmen der Staging-Untersuchung 2016 entdeckt wurden. Nach einer CT-gestützten dreidimensionalen Volumenplanung erhielt der Patient (im Zeitraum von ca. 1 Monat) eine lokoregionäre Radiotherapie der primären Tumorregion sowie der pelvinen Lymphabflusswege mit einer initialen Dosis von 2 Gy und 15 MeV-Photonen bis zu einer Kumulativdosis von 74 Gy. Die paraortalen-LK wurden kleinvolumig mit einer Erstdosis von 2 Gy bis zu einer Enddosis von 64 Gy aufgesättig. Bei der Kontrolluntersuchung im April 2019 gab der Patient an, dass er die Bestrahlung gut vertragen habe und dass er bis auf Nykturie und kurzeitig auftretende Diarrhö keine weiteren Beschwerden hatte. Der Patient befand sich zu diesem Zeitpunkt in einem guten AZ (Karnofsky-Index von 90 %) und in normalem EZ. Die Haut befand sich im Bereich der Bestrahlungsfelder in einem reizlosen Zustand. Außer dem bekannten Vorhofflimmern, weswegen der Patient auf Xarelto eingestellt war, wies er keine weiteren Komorbiditäten auf.

Befund

Im September 2019 stellte sich unser Patient mit seit 6 Wochen bestehender Verhärtung, Schwellung und neu aufgetretenen Schmerzen seines linken Hodens vor. In der Sonographie ließ sich eine 2 × 2 cm große echoarme, inhomogene, hypervaskularisierte Raumforderung im Unterpol seines linken Hodens darstellen. AFP, HCG, β‑HCG und LDH befanden sich im Normbereich. Sein letzter PSA-Wert betrug im August 2019 0,1 ng/ml.

Diagnose

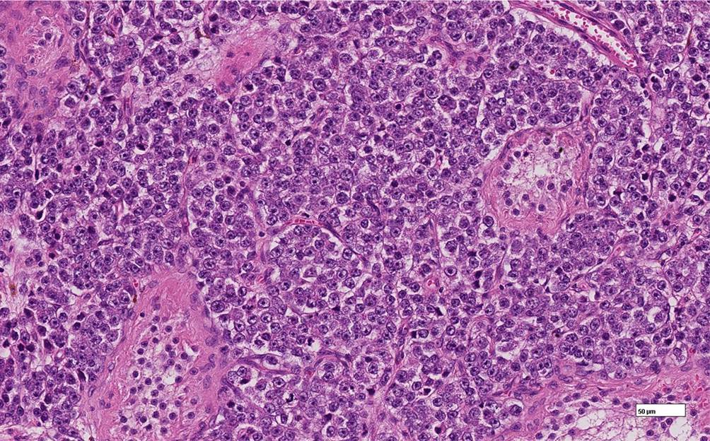
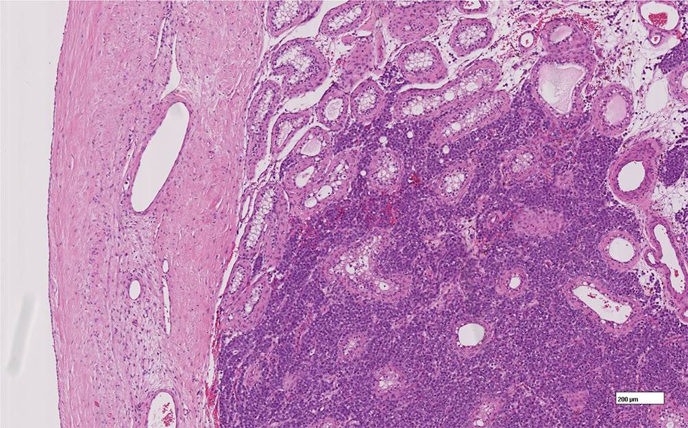
Durch eine erfolgte Ablatio testis links konnte eine 2,3 cm durchmessene Hodenmetastase eines azinär differenzierten Prostatakarzinoms (PCa) mit Infiltration des Rete testis histologisch, wie in Abb. 1, 2 und 3 erkenntlich, nachgewiesen werden.
Abb. 1
Adenokarzinom im Hoden (HE-Färbung, Vergr. 50:1). (© UKSH, Klinik für Urologie Campus Kiel)
Bild vergrößern
Abb. 2
Azinär differenziertes Adenokarzinom (HE-Färbung, Vergr. 200:1). (© UKSH, Klinik für Urologie Campus Kiel)
Bild vergrößern
Abb. 3
Hodenmetastase in PSAP-Färbung (Vergr. 50:1). (© UKSH, Klinik für Urologie Campus Kiel)
Bild vergrößern

Diskussion

Sekundäre testikuläre Neoplasien sind mit einer Inzidenz von 0,06 % insgesamt sehr selten, insbesondere mit in der Prostata lokalisiertem Primärtumor [6]. PCa präsentieren sich typischerweise mit Absiedlungen in den Knochen, Lymphknoten, der Lunge, Leber und/oder Gehirn [1]. Eine im Jahre 2000 veröffentlichte Autopsiestudie mit 1589 Patienten ergab, dass nur 0,5 % der Metastasen eines PCa in den Hoden vorkommen [1]. Johansson und Lannes fanden 1983 bei 4 % ihrer therapeutischen Orchiektomiereihe von 80 Patienten Hodenmetastasen [3]. Kirkali et al. berichten 1990, dass von 916 Patienten mit diagnostiziertem und therapierten PCa 124 (13,5 %) eine bilaterale Orchiektomie erhielten. 3 dieser Patienten (2,4 %) hatten Hodenmetastasen, einer davon bilateral [4]. Hodenmetastasen eines PCa sind meist asymptomatisch und werden überwiegend zufällig durch eine Autopsie oder nach bilateraler Orchiektomie zur hormonellen Tumorsuppression bei fortgeschrittenem PCa festgestellt [10]. Es sind nur wenige klinische Fälle dokumentiert, in Deutschland wurden bisweilen nur 4 Fälle publiziert [2, 79]. In der Literatur wird über verschiedene mögliche Metastasierungswege diskutiert: retrograd venös, retrograd lymphatisch, arteriell embolisch, retrograd über den Ductus deferens oder durch direkte Ausbreitung [7]. Tu et al. formulierten die Hypothese, dass gewisse Subtypen von duktalen und endometrioiden Adenokarzinomen der Prostata aggressiverer Natur sein sollen und bevorzugt in die Hoden metastasieren [10]. In unserem Fall entstammte die Metastase von einem azinär differenzierten Adenokarzinom und äußerte sich in Form von Schwellung, Verhärtung und Schmerzen des Hodens. Da unser Patient mit einer ADT behandelt wurde kam es vermutlich zu keinem erwähnenswerten Anstieg seines PSA-Werts. Das Auftreten von Hodenmetasen bei PCa scheint aber ein schlechter Prognosefaktor und ein Zeichen einer bereits fortgeschrittenen Erkrankung zu sein [5].

Fazit

Obwohl Hodenmetastasen bei PCa eine Rarität darstellen, sollte die Möglichkeit einer sekundären testikulären Metastasierung nicht in Vergessenheit geraten. Vor allem da therapeutische Orchiektomien aufgrund der Verfügbarkeit von LH-RH-Analoga kaum mehr durchgeführt werden. Auch bei niedrigen PSA-Werten sollten die Hoden regelmäßig kontrolliert werden.

Einhaltung ethischer Richtlinien

Interessenkonflikt

L. Kollitsch, C. Hamann, S. Knüpfer, D. Meyer, P. Kneissl, E. Jüttner und D. Osmonov geben an, dass kein Interessenkonflikt besteht.
Für diesen Beitrag wurden von den Autoren keine Studien an Menschen oder Tieren durchgeführt. Für die aufgeführten Studien gelten die jeweils dort angegebenen ethischen Richtlinien. Für Bildmaterial oder anderweitige Angaben innerhalb des Manuskripts, über die Patienten zu identifizieren sind, liegt von ihnen und/oder ihren gesetzlichen Vertretern eine schriftliche Einwilligung vor.
Open Access Dieser Artikel wird unter der Creative Commons Namensnennung 4.0 International Lizenz veröffentlicht, welche die Nutzung, Vervielfältigung, Bearbeitung, Verbreitung und Wiedergabe in jeglichem Medium und Format erlaubt, sofern Sie den/die ursprünglichen Autor(en) und die Quelle ordnungsgemäß nennen, einen Link zur Creative Commons Lizenz beifügen und angeben, ob Änderungen vorgenommen wurden.
Die in diesem Artikel enthaltenen Bilder und sonstiges Drittmaterial unterliegen ebenfalls der genannten Creative Commons Lizenz, sofern sich aus der Abbildungslegende nichts anderes ergibt. Sofern das betreffende Material nicht unter der genannten Creative Commons Lizenz steht und die betreffende Handlung nicht nach gesetzlichen Vorschriften erlaubt ist, ist für die oben aufgeführten Weiterverwendungen des Materials die Einwilligung des jeweiligen Rechteinhabers einzuholen.
Weitere Details zur Lizenz entnehmen Sie bitte der Lizenzinformation auf http://creativecommons.org/licenses/by/4.0/deed.de.
download
DOWNLOAD
print
DRUCKEN
Titel
Symptomatische Hodenmetastase eines azinären Adenokarzinoms der Prostata
Verfasst von
L. Kollitsch
C. Hamann
S. Knüpfer
D. Meyer
P. Kneissl
E. Jüttner
D. Osmonov
Publikationsdatum
04.04.2020
Verlag
Springer Medizin
Erschienen in
Die Urologie / Ausgabe 9/2020
Print ISSN: 2731-7064
Elektronische ISSN: 2731-7072
DOI
https://doi.org/10.1007/s00120-020-01194-w
1.
Zurück zum Zitat Bubendorf L, Schöpfer A, Wagner U, Sauter G, Moch H, Willi N, Gasser TC, Mihatsch MJ (2000) Metastatic patterns of prostate cancer: an autopsy study of 1,589 patients. Hum Pathol 31:578–583CrossRef
2.
Zurück zum Zitat Heidrich A, Bollmann R, Knipper A (1999) Testicular metastasis from prostate carcinoma three years after subcapsular orchiectomy. A case-report. Urologe A 38:279–281CrossRef
3.
Zurück zum Zitat Johansson J‑E, Lannes P (1983) Metastases to the spermatic cord, epididymis and testicles from carcinoma of the prostate—five cases. Scand J Urol Nephrol 17:249–251CrossRef
4.
Zurück zum Zitat Kirkali Z, Reid R, Deane RF, Kyle KF (1990) Silent testicular metastasis from carcinoma of the prostate. Br J Urol 66:205–207CrossRef
5.
Zurück zum Zitat Korkes F, Gasperini R, Korkes KL, Silva Neto DCV, Castro MG (2009) Testicular metastases: a poor prognostic factor in patients with advanced prostate cancer. World J Urol 27:113–115CrossRef
6.
Zurück zum Zitat Pienkos EJ, Jablokow VR (1972) Secondary testicular tumors. Cancer 30:481–485CrossRef
7.
Zurück zum Zitat Schneider A, Kollias A, Woziwodzki J, Stauch G (2006) Hodenmetastase eines metachronen kleinzelligen neuroendokrinen Prostatakarzinoms nach Hormontherapie eines Adenokarzinoms der Prostata. Urologe 45:75–80CrossRef
8.
Zurück zum Zitat Stein K, Maruschke M, Domke R, Hakenberg OW (2011) Hodenmetastasen eines Prostatakarzinoms. Urologe 50:208–209CrossRef
9.
Zurück zum Zitat Thon W, Mohr W, Altwein J (1985) Testicular and epididymal metastasis of prostate cancer. Urologe A 24:287–290PubMed
10.
Zurück zum Zitat Tu S‑M, Reyes A, Maa A, Bhowmick D, Pisters LL, Pettaway CA, Lin S‑H, Troncoso P, Logothetis CJ (2002) Prostate carcinoma with testicular or penile metastases. Cancer 94:2610–2617CrossRef

Passend zum Thema

Kongressdossier zum Deutschen Krebskongress 2026

18. - 21. Februar 2026 | Berlin
Auf dieser Seite werden wir Sie mit tagesaktuellen Berichten vom Deutschen Krebskongress auf dem Laufenden halten. Vor dem Start des Kongresses finden Sie hier zudem Ausblicke auf spannende Themen, die vor Ort diskutiert werden. Expertinnen und Experten erzählen, auf welche DKK-Sessions sie sich besonders freuen.

Passend zum Thema

ANZEIGE

Nieren am Limit – Thrombose-Management bei eingeschränkter Nierenfunktion

Keine Theorie, sondern handfeste Antworten auf Ihre klinischen Fragen! Prof. Dr. Renders, TU München, erklärt praxisnah: Welche Antikoagulanzien bei welcher GFR? Was tun bei akutem Nierenversagen mit schwankenden Werten? Wie die Therapie steuern, wenn klassisches Monitoring versagt? Welche neuen Daten gibt es zu DOAKs und NMH? Nierenwerte anzuschauen ist nicht nur Sache der Nephrologen – es ist ein essentieller Teil des Antikoagulationsmanagements. Dieser Vortrag gibt Ihnen das Rüstzeug, um im klinischen Alltag die richtigen Entscheidungen zu treffen.

ANZEIGE

Antikoagulation bei hohem Blutungsrisiko – krebsassoziierte Thrombosen (CAT) richtig managen

Thrombosen verhindern und Blutungen vermeiden – eine patientengerechte Behandlung krebsassoziierter Thrombosen (CAT) erfordert beides. Doch was gibt es bei der individuellen Abwägung zwischen VTE- und Blutungsrisiko zu beachten?  Erfahren Sie im Video, welche klinischen Faktoren das Blutungsrisiko bestimmen, wie diese die Wahl der Antikoagulation beeinflussen und warum aktuelle Leitlinien für viele CAT-Patientenprofile niedermolekulare Heparine als Behandlungsoption empfehlen.

ANZEIGE

Frühstückssymposium: Wenn Antikoagulation auf den Magen schlägt

Antikoagulation und gastrointestinale Blutungen – zwei Seiten einer Medaille und Schwerpunkt des Frankfurter Gerinnungssymposiums. Sehen Sie, wie Prof. Dr. med. Martin Raithel und Prof. Dr. med. Sebastian Krug anhand anschaulicher Fallbeispiele und aktueller Leitlinien die Grenzen der oralen Antikoagulation, insbesondere im Kontext gastrointestinaler Tumorerkrankungen, beleuchten. 

ANZEIGE

Management von Thromboembolien bei Krebspatienten

Die Thromboembolie ist neben Infektionen die zweithäufigste Todesursache bei Krebspatienten. Die Behandlung der CAT (cancer associated thrombosis) ist komplex und orientiert sich am individuellen Patienten. Angesichts einer Vielzahl zur Verfügung stehender medikamentöser Behandlungsoptionen finden Sie hier viele Informationen zur Therapieentscheidung auf Basis von Expertenempfehlungen.

LEO Pharma GmbH
Bildnachweise
Adenokarzinom im Hoden/© UKSH, Klinik für Urologie Campus Kiel, Berlin/© amyrxa / stock.adobe.com, Vortrag Renders/© Leo Pharma GmbH, Teaserbild Blutungsrisko managen bei Antikoagulation - Waage/© Leo Pharma GmbH, Vortrag Frankfurter Gerinnungssymposium/© LEO Pharma GmbH (Screenshot aus Vortrag), Thrombus und Patientin im Gespräch/© crevis / adobe.stock.com (Symbolbild mit Fotomodell)