Zum Inhalt

Kombinierte intrapulmonale/intramediastinale K-Draht-Lage nach K-Draht-Osteosynthese an der Clavicula

Ein Case Report

Erschienen in:

Zusammenfassung

Hintergrund

Laterale Clavicula-Frakturen können abhängig von der Klassifikation sowohl konservativ oder operativ behandelt werden. Für die operative Versorgung sind verschiedene Operationstechniken beschrieben. Die Wahl einer Operationstechnik ist für das funktionelle Outcome und für einen komplikationsarmen Heilungsverlauf ausschlaggebend.

Fallbeschreibung

Vorgestellt wird der Fall einer Patientin mit einer sekundären Dislokation zweier K‑Drähte nach K‑Draht-Osteosynthese. Im Rahmen einer sekundären Dislokation kam es zu einem Wandern des Drahtes in das Mediastinum und das Lungengewebe direkt unter den Aortenbogen. Zur Verhinderung weiterer Verletzungen konnte das chirurgische Fremdmaterial über eine uniportale videoassistierte Thorakoskopie geborgen werden.

Zusammenfassung

Bei der Versorgung von lateralen Clavicula-Frakturen sollte auf eine instabile K‑Draht-Osteosynthese unbedingt verzichtet werden. Bei Vorliegen von sicheren Operationsverfahren (Plattenosteosynthese, Hybridversorgungen) sollten diese bevorzugt werden. Bei Durchführung primärer oder additiver K‑Draht-Osteosynthesen ist auf deren Sicherung z. B. durch Umbiegen zu achten, da es bei fehlerhafter Versorgung zu erheblichen Komplikationen, wie Pseudarthrose oder sekundären Dislokation des Materials, kommen kann.

Redaktion

Tobias Helfen, München
Hans Polzer, München
Youssef, Melcher: geteilte Erstautorenschaft, beide Autoren haben gleichermaßen zu der Fertigstellung der Kasuistik beigetragen.
QR-Code scannen & Beitrag online lesen

Einleitung

Clavicula-Frakturen machen 2,6–4,0 % aller Frakturen bei Erwachsenen und 44 % der Frakturen im Bereich des Schultergürtels aus [1]. Männer haben im Vergleich zu Frauen ein doppelt so hohes Risiko, sich eine Clavicula-Fraktur zuzuziehen [1, 2]. Clavicula-Frakturen weisen in der Prävalenz zwei Häufigkeitsgipfel, im jungen Erwachsenenalter und bei älteren Patienten (> 70 Jahre), auf [3].
Häufige Ursachen sind direkte Stürze auf die Schulter und Verkehrsunfälle [4]. Die Mehrzahl der Clavicula-Frakturen (69–82 %) erfolgt im mittleren Drittel des Schaftes, gefolgt von denen an der lateralen Clavicula (12–26 %) [4].
Die Anzahl der operativen Behandlungen von Clavicula-Frakturen nimmt weltweit zu, auch bei älteren Patienten [5]. Besonders für dislozierte Frakturen im mittleren Schaftbereich liegen einige vergleichende Studien vor. Die konservative Therapie zeigt sich hier als Goldstandrad mit dem Behandlungsziel eines „guten“ Outcome. Bei höherem Anspruch oder vorliegenden Risikofaktoren wie Nikotinabusus sollte eine operative Therapie jedoch in Betracht gezogen werden [5, 6].
Für die operative Versorgung sind verschiedene Techniken beschrieben worden. Neben der reinen K-Draht-Osteosynthese, wurden auch unterschiedliche Nagel-, Platten- und Hybridosteosynthesen in der Literatur beschrieben. Obwohl mit einer deutlich erhöhten Komplikationsrate versehen, gehört die reine Kirschner(K)-Draht-Osteosynthese immer noch zu den genutzten Verfahren in der operativen Versorgung von lateralen Clavicula-Frakturen [7, 8]. Eine bekannte, besonders schwerwiegende Komplikation stellt die Migration der K‑Drähte dar [912].
Ziel dieser Arbeit ist die Verdeutlichung der Risiken instabiler Osteosyntheseverfahren an der Clavicula anhand einer Patientin mit einer außergewöhnlichen Komplikation, verursacht durch eine 2fache K‑Draht-Migration nach K‑Draht-Osteosynthese einer lateralen Clavicula-Fraktur.

Fallbericht

Anamnese

Vorgestellt wird eine 85 Jahre alte Patientin, die mit einer sekundären Dislokation eines K‑Drahtes nach operativer Stabilisierung einer lateralen Clavicula-Fraktur (Neer IIIb; Jäger/Breitner IIa) rechts in unser Klinikum zugewiesen wurde.
Die primäre operative Versorgung erfolgte in einem externen Krankenhaus mittels direkter K‑Draht-Osteosynthese. Röntgenologisch zeigt sich, dass die Enden der K‑Drähte nicht umgebogen wurden. Zudem kann eine korrekte, intraossäre Lage in beiden Frakturfragmenten nicht sicher belegt werden, da den Autoren nur eine Ebene vorliegt (Abb. 1). Allgemein wies die Patientin folgende Nebendiagnosen auf: arterielle Hypertonie, COPD, Diabetes mellitus und chronische Niereninsuffizienz.
Abb. 1
Postoperative Bildgebung des rechten Schultergelenks (Liegendaufnahme). Operative Versorgung mittels zweier K‑Drähte. (Aufnahmen aus externem Krankenhaus)
Bild vergrößern

Befund/Diagnose

Zwei Wochen nach der primären Osteosynthese stellte sich die Patientin mit starken Schmerzen und einer schlecht heilenden Operationsnarbe erneut in der versorgenden Klinik vor. Die Bewegung im betroffenen Schultergelenk war stark Schmerzhaft (VAS 8) und deutlich eingeschränkt. Der Bereich der Operationsnarbe war stark druckdolent, gerötet, überwärmt, und es zeigte sich am lateralen Rand eine Blase. Weitere klinische Untersuchungen zeigten, dass einer der K‑Drähte nach lateral migriert war und sich ein Abszess ausgebildet hatte. In einem operativen Eingriff wurde der Abszess ausgeräumt und der migrierte K‑Draht entfernt. Der zweite K‑Draht wurde in situ belassen.
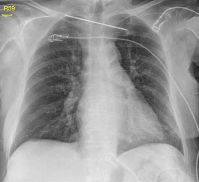
Bei einer Röntgenkontrolle zur Planung der Materialentfernung bei sonst asymptomatischer Patientin zeigte sich eine Verlagerung des verbliebenen K‑Drahtes nach intrathorakal/mediastinal (Abb. 2). Eine auswärts durchgeführte native Computertomographie (CT) bestätigte die Dislokation des K‑Drahtes und zeigte eine Perforation beider Pleurahöhlen und die Migration in das Mediastinum. Der K‑Draht verlief dorsal der A. vertebralis, zwischen Trachea und Ösophagus ohne eine Läsion dieser Strukturen (Abb. 3).
Abb. 2
Thoraxröntgenaufnahme, a.-p., stehende Patientin. Röntgenologische Darstellung mit der K‑Draht-Migration nach intrathorakal (rechts nach links)
Bild vergrößern
Abb. 3
a Transversale CT-Schnittebene mit Darstellung des migrierten K-Drahtes zwischen Trachea und Oesophagus. b Sagitale CT-Schnittebene mit Darstellung des migrierten K-Drahtes zwischen Trachea und Oesophagus
Bild vergrößern

Therapie und Verlauf

Nachdem die Patientin in unser Klinikum aufgenommen wurde, erfolgte die gemeinsame Therapieplanung mit den Kollegen des Bereichs für Thoraxchirurgie. Diese stellten die Indikation zur geplanten uniportalen videoassistierten Thorakoskopie links. Bei dieser konnte der K‑Draht erfolgreich entfernt werden. Postoperativ bildete sich in diskretes Emphysem im Bereich des linken Hemithorax. Ein Pneumothorax konnte radiologisch ausgeschlossen werden.
Die radiologische und klinische Verlaufskontrolle der Schulter zeigte weiterhin im Bereich der Fraktur instabile Verhältnisse. Die Patienten berichtete aber nur über leichte Einschränkungen im Alltag bei subjektivem Wohlbefinden. Über der lateralen Clavicula bestand weiterhin ein Druckschmerz. Die Muskelkraft war nicht eingeschränkt und die Sensibilität intakt. Die Bewegungsumfang im Schultergelenk betrug 120° Anteversion, 120° Abduktion und 60° Innen- und Außenrotation. Die radiologische Untersuchung zeigte die bekannte Fraktur mit verzögerter Frakturheilung (Abb. 4). Aufgrund der geringen Beschwerden, des hohen Lebensaltersalters und der bekannten Nebendiagnosen wurde von einer erneuten operativen Versorgung abgesehen. Die Patientin und deren Angehörigen stimmten dem zu. Sechs Monate nach der K‑Draht-Entfernung gibt die Patientin keine relevanten Schmerzen an und fühlt sich subjektiv wohl. Greifen und Faustschluss sind möglich. Eine leichte Einschränkung im Alltag stellt die Mobilität im Schultergelenk dar – Abduktion und Elevation sind nur bis auf Brusthöhe möglich. Mediastinale oder pulmonale Probleme bestanden nicht.
Abb. 4
Radiologische Untersuchung 4 Wochen nach der K‑Draht-Entfernung
Bild vergrößern

Diskussion

Frakturen im lateralen Drittel sind seltener als Frakturen der medialen Clavicula [13]. Sie neigen, im Vergleich, jedoch zu mehr Komplikationen, wie z. B. Pseudarthrosen [13]. Am häufigsten befinden sich Pseudarthosen, mit 30-45% im  lateralen Drittel der Clavicula [8]. Die laterale Clavicula-Fraktur kann, je nach Dislokationsgrad, sowohl konservativ als auch operativ versorgt werden. Gute klinische Outcomes konnten in der konservativen Versorgung von nichtdislozierten Clavicula-Frakturen erzielt werden, während Frakturen im Bereich der CC-Bänder eine Pseudarthrosenrate zwischen 30 und 44 % aufweisen [3]. Die Indikation zur operativen Versorgung besteht bei stark dislozierten und offenen Frakturen oder bei vaskulären und neuralen Begleitverletzungen [7, 8]. Für die operative Versorgung sind unterschiedliche Techniken beschrieben [7, 8]. Unter anderem werden in der aktuellen Literatur intramedulläre Schienung, Versorgungen mittels K‑Drähten, TightRope-System, Nagelosteosynthese, Hakenplatte, Plattenosteosynthese, Hybridosteosynthesen und arthroskopisch-navigierte Techniken beschrieben [7, 8]. Ein Goldstandard konnte sich bisher nicht etablieren, sodass die Auswahl der operativen Versorgung in Zusammenschau des klinischen Befundes, des Frakturtyps, des Patientenprofils und des Standards an der versorgenden Einrichtung zu wählen ist.
Einzelne Fallberichte über schwerwiegende Komplikationen, insbesondere durch Drahtmigration nach Versorgung einer lateralen Clavicula-Fraktur mittels K‑Draht existieren bereits [912]. Trotz dieser katastrophalen Komplikationen wird diese Technik weiterhin verwendet [710]. Neben der im Fall, erneut beschriebenen, Drahtmigration in „innere Organe“, ergibt sich ebenfalls ein schlechteres klinisches Ergebnis durch eine höhere Rate an Pseudarthrosen und Osteolysen im lateralen Frakturfragment [8]. Zur Verdeutlichung der komplexen Komplikationen berichten wir über eine Patientin, bei der die Drähte nach Osteosynthese sekundär zweizeitig disloziert sind. Diese kombinierte mediastinale und intrapulmonale Drahtfehllage stellte für die Patientin eine besondere Gefahrenkonstellation dar. In dem vorgestellten Fall wurde die Migration des Drahtes erleichtert, da die Enden nicht umgebogen wurden. Auch liegt den Autoren keine Bilddokumentation vor, welche die korrekte, intraossäre Lage in beiden Frakturfragmenten beweist, sodass eine bereits primäre Drahtfehllage nicht ausgeschlossen werden kann (Abb. 1). Eine adäquate Versorgung hätte eine röntgenologisch gesicherte K‑Draht-Transfixation des AC-Gelenkes und der Fraktur beinhaltet.

Fazit für die Praxis

Zusammenfassend sollte, sofern möglich, aufgrund des Vorliegens anderer, sicherer und verlässlicherer Operationsverfahren die Osteosynthese mittels K‑Draht kritisch abgewogen werden. Ist eine andere Operationsmethode nicht anwendbar, sollte der Patient ausführlich über die hohen Risiken einer K‑Draht-Migration aufgeklärt werden. Der K‑Draht sollte am lateralen Enden umgebogen und die korrekte Lage röntgenologisch in 2 Ebenen bewiesen und dokumentiert werden. Es sollten engmaschige Röntgenkontrollen erfolgen und eine frühestmögliche Materialentfernung in Betracht gezogen werden, um eine Dislokation des Materials und damit schwerwiegende Komplikationen zu verhindern.

Einhaltung ethischer Richtlinien

Interessenkonflikt

Yasmin Youssef, Peter Melcher, Matthias Steinert, Isabella Metelmann, Pierre Hepp und Jan Theopold geben an, dass kein Interessenkonflikt besteht.
Für diesen Beitrag wurden von den Autoren keine Studien an Menschen oder Tieren durchgeführt. Für die aufgeführten Studien gelten die jeweils dort angegebenen ethischen Richtlinien. Für Bildmaterial oder anderweitige Angaben innerhalb des Manuskripts, über die Patienten zu identifizieren sind, liegt von ihnen und/oder ihren gesetzlichen Vertretern eine schriftliche Einwilligung vor.
Open Access Dieser Artikel wird unter der Creative Commons Namensnennung 4.0 International Lizenz veröffentlicht, welche die Nutzung, Vervielfältigung, Bearbeitung, Verbreitung und Wiedergabe in jeglichem Medium und Format erlaubt, sofern Sie den/die ursprünglichen Autor(en) und die Quelle ordnungsgemäß nennen, einen Link zur Creative Commons Lizenz beifügen und angeben, ob Änderungen vorgenommen wurden.
Die in diesem Artikel enthaltenen Bilder und sonstiges Drittmaterial unterliegen ebenfalls der genannten Creative Commons Lizenz, sofern sich aus der Abbildungslegende nichts anderes ergibt. Sofern das betreffende Material nicht unter der genannten Creative Commons Lizenz steht und die betreffende Handlung nicht nach gesetzlichen Vorschriften erlaubt ist, ist für die oben aufgeführten Weiterverwendungen des Materials die Einwilligung des jeweiligen Rechteinhabers einzuholen.
Weitere Details zur Lizenz entnehmen Sie bitte der Lizenzinformation auf http://​creativecommons.​org/​licenses/​by/​4.​0/​deed.​de.

Unsere Produktempfehlungen

Die Unfallchirurgie

Print-Titel

Fortbildung für unfallchirurgisch und chirurgisch tätige Ärztinnen und Ärzte, State-of-the-art Reviews zu aktuellen Themen und CME - Evidenzbasierte Medizin zum Punkte sammeln

e.Med Interdisziplinär

Kombi-Abonnement

Für Ihren Erfolg in Klinik und Praxis - Die beste Hilfe in Ihrem Arbeitsalltag

Mit e.Med Interdisziplinär erhalten Sie Zugang zu allen CME-Fortbildungen und Fachzeitschriften auf SpringerMedizin.de.

e.Med Orthopädie & Unfallchirurgie

Kombi-Abonnement

Mit e.Med Orthopädie & Unfallchirurgie erhalten Sie Zugang zu CME-Fortbildungen der Fachgebiete, den Premium-Inhalten der dazugehörigen Fachzeitschriften, inklusive einer gedruckten Zeitschrift Ihrer Wahl.

download
DOWNLOAD
print
DRUCKEN
Titel
Kombinierte intrapulmonale/intramediastinale K-Draht-Lage nach K-Draht-Osteosynthese an der Clavicula
Ein Case Report
Verfasst von
Yasmin Youssef
Peter Melcher
Matthias Steinert
Isabella Metelmann
Pierre Hepp
Jan Theopold
Publikationsdatum
14.07.2022
Verlag
Springer Medizin
Erschienen in
Die Unfallchirurgie / Ausgabe 7/2023
Print ISSN: 2731-7021
Elektronische ISSN: 2731-703X
DOI
https://doi.org/10.1007/s00113-022-01217-5
1.
Zurück zum Zitat Postacchini F, Gumina S, De Santis P, Albo F (2002) Epidemiology of clavicle fractures. J Shoulder Elbow Surg 11(5):452–456. https://​doi.​org/​10.​1067/​mse.​2002.​126613CrossRefPubMed
2.
Zurück zum Zitat Robinson CM (1998) Fractures of the clavicle in the adult: epidemiology and classification. J Bone Joint Surg Br 80-B(3):476–484. https://​doi.​org/​10.​1302/​0301-620X.​80B3.​0800476CrossRef
3.
Zurück zum Zitat Ockert B, Wiedemann E, Haasters F (2015) Laterale Klavikulafraktur: Klassifikationen und Therapieoptionen. Unfallchirurg 118(5):397–406. https://​doi.​org/​10.​1007/​s00113-015-0003-1CrossRefPubMed
4.
Zurück zum Zitat Kihlström C, Möller M, Lönn K, Wolf O (2017) Clavicle fractures: epidemiology, classification and treatment of 2 422 fractures in the Swedish Fracture Register; an observational study. BMC Musculoskelet Disord 18(1):82. https://​doi.​org/​10.​1186/​s12891-017-1444-1CrossRefPubMedPubMedCentral
5.
Zurück zum Zitat Pang EQ, Zhang S, Harris AHS, Kamal RN (2017) Treatment trends in older adults with midshaft clavicle fractures. J Hand Surg 42(11):875–882. https://​doi.​org/​10.​1016/​j.​jhsa.​2017.​06.​099CrossRef
6.
Zurück zum Zitat Subramanyam KN, Mundargi AV, Gopakumar KU, Bharath T, Prabhu MV, Khanchandani P (2021) Displaced midshaft clavicle fractures in adults—is non-operative management enough? Injury 52(3):493–500. https://​doi.​org/​10.​1016/​j.​injury.​2020.​10.​019CrossRefPubMed
7.
Zurück zum Zitat Moverley R, Little N, Gulihar A, Singh B (2020) Current concepts in the management of clavicle fractures. J Clin Orthop Trauma 11:S25–S30. https://​doi.​org/​10.​1016/​j.​jcot.​2019.​07.​016CrossRefPubMed
8.
Zurück zum Zitat Kim D‑W, Kim D‑H, Kim B‑S, Cho C‑H (2020) Current concepts for classification and treatment of distal clavicle fractures. Clin Orthop Surg 12(2):135. https://​doi.​org/​10.​4055/​cios20010CrossRefPubMedPubMedCentral
9.
Zurück zum Zitat Kumar P, Godbole R, Rees GM, Sarkar P (2002) Intrathoracic migration of a Kirschner wire. J R Soc Med 95(4):198–199CrossRefPubMedPubMedCentral
10.
Zurück zum Zitat Gonsales D et al (2019) The migration of Kirschner wire from left distal clavicle to the intradural anterior thoracic spine. In: Top 10 contributions in neurology. Avid Science, S 2–11 https://​doi.​org/​10.​29290/​TCNEUTEDN.​2.​7.​2019.​2-11CrossRef
11.
Zurück zum Zitat Leppilahti J, Jalovaara P (1999) Migration of Kirschner wires following fixation of the clavicle—a report of 2 cases. Acta Orthop Scand 70(5):517–519. https://​doi.​org/​10.​3109/​1745367990900099​2CrossRefPubMed
12.
Zurück zum Zitat Regel JP, Pospiech J, Aalders TA, Ruchholtz S (2002) Intraspinal migration of a Kirschner wire 3 months after clavicular fracture fixation. Neurosurg Rev 25(1–2):110–112. https://​doi.​org/​10.​1007/​s101430100186CrossRefPubMed
13.
Zurück zum Zitat Donnelly TD, MacFarlane RJ, Nagy MT, Ralte P, Waseem M (2013) Fractures of the clavicle: an overview. Open Orthop J 7(1):329–333. https://​doi.​org/​10.​2174/​1874325001307010​329CrossRefPubMedPubMedCentral

Arthropedia

Grundlagenwissen der Arthroskopie und Gelenkchirurgie erweitert durch Fallbeispiele, Videos und Abbildungen. Zur Fortbildung und Wissenserweiterung, verfasst und geprüft von Expertinnen und Experten der Gesellschaft für Arthroskopie und Gelenkchirurgie (AGA).


Jetzt entdecken!

Neu im Fachgebiet Orthopädie und Unfallchirurgie

Zwei auf einen Streich: Wie sicher ist der simultane bilaterale Gelenkersatz?

Ein französisch-belgisches Team hat Komplikationsrisiko und Transfusionsraten nach simultanem bilateralem Hüft- bzw. Kniegelenkersatz in mehr als 280 Fällen untersucht. Die Ergebnisse sind vielversprechend, vor allem beim beidseitigen Teilersatz des Kniegelenks.

Gelenkinfektion: Datenlage spricht für frühen Wechsel auf orales Antibiotikum

Im Fall einer periprothetischen Gelenkinfektion kann die antibiotische Behandlung wohl frühzeitig von intravenös auf oral umgestellt werden, ohne dass der Therapieerfolg darunter leidet. Das zeigen die Ergebnisse einer neuen Metaanalyse.

Sjögren-Frühdiagnose künftig über Autoantikörper im Speichel?

Forschende haben bei Menschen mit vermeintlichem Non-Sjögren-Sicca-Syndrom typische Sjögren-Autoantikörper im Speichel gefunden und damit womöglich einen frühen Phänotyp der Erkrankung entdeckt.

Neue Therapieoption mit Navepegritid für Kinder mit Achondroplasie

In einer placebokontrollierten Phase-2b-Studie steigerte Navepegritid die Wachstumsgeschwindigkeit von Kindern mit Achondroplasie gegenüber Placebo und verbesserte sowohl Beinachsen als auch Körperproportionen. Die Behandlung erwies sich als gut verträglich und brachte zudem Vorteile für die Lebensqualität.

Update Orthopädie und Unfallchirurgie

Bestellen Sie unseren Fach-Newsletter und bleiben Sie gut informiert.

Bildnachweise
Arthropedia, Knochensäge im Einsatz bei Knie-TEP/© Issara / stock.adobe.com (Symbolbild mit Fotomodellen), Älterer Mann schaut kritisch auf Tabletten/© Mediteraneo / stock.adobe.com (Symbolbild mit Fotomodell), Speicheldrüsensonographie der Glandula parotis links bei Sjögren-Syndrom/© Zehrfeld N. et al. / all rights reserved Springer Medizin Verlag GmbH