Zum Inhalt

Pulmonary arteritis in the course of granulomatosis with polyangiitis

  • Open Access
  • 01.07.2025
  • Case Based Review
Erschienen in:

Abstract

Granulomatosis with polyangiitis (GPA) is a rare disease that belongs to the group of necrotizing systemic vasculitis, which is characterized by the involvement of small and medium-sized blood vessels, the formation of granulomas, and the presence of proteinase 3-anti-neutrophil cytoplasmic antibodies (PR3-ANCA). The disease typically involves the upper and lower respiratory tract and kidneys, but other organs and systems may also be involved. A rare manifestation of the disease is the involvement of large vessels, which may occur in the form of aneurysms, dissection and stenosis. We present the case of a 39-year-old male patient who was diagnosed with GPA several years ago, with the involvement of lungs, kidneys, skin and inflammation of the ascending aorta. The patient currently reported fever, cough and dyspnea. The imaging studies showed stenosis of the right and left pulmonary arteries. The treatment included glucocorticosteroids and rituximab. A review of the literature on pulmonary artery involvement in granulomatosis with polyangiitis was performed, seven case reports meeting such criteria were found.
The original online version of this article was revised due to interchanged of all author names. Now, it has been Corrected.
A correction to this article is available online at https://doi.org/10.1007/s00296-025-05928-x.

Publisher's Note

Springer Nature remains neutral with regard to jurisdictional claims in published maps and institutional affiliations.

Introduction

Granulomatosis with polyangiitis (GPA) is a rare, necrotizing vasculitis most frequently characterized by the involvement of small and medium-sized blood vessels (capillaries, veins, arteries) and the formation of granulomas. Typical localization for the disease is the upper and lower respiratory tract and kidneys, but many other organs and systems can be affected [1]. The disease can occur in any age group but middle-aged people are affected most often. Women and men are diagnosed with equal frequency, children and adolescents are affected relatively rare. The etiology of the disease is still unknown, genetic, infectious, and environmental factors may play a role [2]. The presence of ANCA is detected in most GPA patients (PR3-ANCA in 70–80%, MPO-ANCA in 10%). High doses of glucocorticosteroids and cyclophosphamide or rituximab are used in the treatment of severe forms of the disease threatening organ failure [2, 3]. Involvement of large vessels in the course of GPA is relatively rare, which may lead to diagnostic difficulties. All sections of the aorta, supra-aortic trunks, renal arteries, arteries of the upper and lower limbs and mesenteric arteries may be affected [4].

Search strategy

A literature search of databases including PubMed/MEDLINE, Web of Science, and Scopus was undertaken to identify related literature, using the following word combinations: granulomatosis with polyangitis, pulmonary artery, large-vessel vasculitis, was performed to identify related literature. The selection criteria focused on articles in English in the form of case reports. Emphasis was placed on articles published within the last 10 years. Seven case reports meeting such criteria were found (Table 1). On this basis and our case report a discussion was prepared.
Table 1
Reported cases of pulmonary artery involvement in the course of GPA
Autor
Age/gender
Symptoms
Diagnostic methods
Manifestation of pulmonary arteritis
Other organ manifestations
ANCA presence
Treatment
Ozaki et al. [5]
60/female
Fever, skin ulcers, nosebleeds, headaches, double vision
CT biopsy
Thickening of the wall of the pulmonary trunk
Sinusitis, nodules with cavities in both lungs, segmental thickening of the wall of the aortic arch and abdominal aorta, orbital tumor
c-ANCA
GKS CYC
RTX
AZA
Clark et al. [6]
37/female
Musculoskeletal pain, nasal discharge, hemoptysis, shortness of breath, systolic heart murmur
CT
IVUS
Echocardiography
Lung biopsy
Narrowing of the final section of the pulmonary trunk and the right pulmonary artery
Sinusitis, otitis media, nodules and infiltrates in the lungs, subglottic stenosis of the larynx
c-ANCA
GKS MTX
CYC
Jain et al. [7]
23/male
Shortness of breath, tachycardia
CT
Echocardiography
MRI
Narrowing of the right and left pulmonary arteries
Sinusitis, glomerulopathy
c-ANCA
GKS
CYC
AZA
Zhang et al. [8]
60/female
Fever, cough
CT
PET-CT
Echocardiography
Narrowing of the left and right pulmonary artery
Nodules and infiltrates in the lungs
c-ANCA
GKS
CYC
Alkhdairi et al. [9]
44/female
Cough, shortness of breath, weight loss, night sweats, tachycardia
CT
PET-CT
Narrowing of the right pulmonary artery
Sinusitis, hearing disorders, subglottic stenosis of the larynx
c-ANCA
GKS CYC
Doyle et al. [10]
34/female
Shortness of breath
CT
Echocardiography
Biopsy
Narrowing of the right and left pulmonary arteries
Otitis media, deafness, tracheal stenosis
c-ANCA
CYC
embolectomy
Hesford et al. [11]
61/female
Cough, shortness of breath, weight loss, back pain
CT
MRI
PET-CT
Focally increased metabolism along the pulmonary trunk
Inflammation of the aortic wall, nodules in the lungs, inflammation of the dura mater of the spinal cord
c-ANCA
GKS, CYC RTX
CT computed tomography, IVUS intravascular ultrasound MRI magnetic resonance imaging, PET-CT positron emission tomography, c-ANCA antibodies against cytoplasm of neutrophils with a cytoplasmic glow type, GKS glucocorticosteroids, CYC cyclophosphamide, RTX rituximab, AZA azathioprine, MTX methotrexate

Case report

A 39-year-old man with GPA, diagnosed in 2012 was admitted to the Department of Rheumatology with suspicion of exacerbation of the underlying disease. Involvement of the kidneys, lungs, skin, as well as inflammation of the ascending aorta complicated by the formation of an aneurysm and its rupture, followed by the implantation of a vascular prosthesis have been observed in the course of the disease. The treatment included high-dose of glucocorticoids (repeated intravenous infusions of methylprednisolone, then oral steroids), cyclophosphamide (750 mg/m2 of body surface area once a month for 6 months), plasmapheresis and immunoglobulin infusions as an immunomodulatory therapy. Subsequently, due to the aggressive course of the disease and the lack of a satisfactory response to the treatment mentioned above, rituximab (four infusions every one week, at a dose of 375 mg/m2 body surface area) was used to achieve clinical remission. Azathioprine 2 mg/kg body weight per day and methylprednisolone 2 mg/day were used as maintenance therapy. The patient remained in remission until 2019.
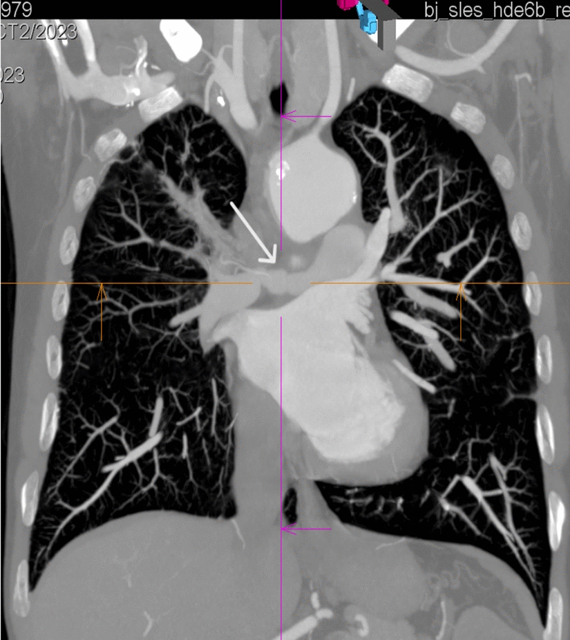
Currently in 2019 the patient reported weakness, worsening exercise tolerance, shortness of breath, dry cough, and joint pain that had been present for approximately two months. A few days before admission to the Rheumatology Clinic, night sweats and fevers up to 39 degrees occurred. Patient's general condition was average; in the physical examination abnormalities included the presence of a systolic murmur over the heart, a diminished vesicular murmur with single crackles over the left lower lung field, generalized muscle atrophy, and effusion in the left antecubital bursa with the presence of purulent content. Laboratory tests showed elevated inflammatory parameters [C-reactive protein (CRP) 94 mg/l (normal: 0–5 mg/l), erythrocyte sedimentation rate (ESR) 66 mm/h (normal: 1–10 mm/h)], anaemia [hemoglobin level 11.6 g/dl (normal: 14–18 g/dl)]. In serological tests the level of PR3-ANCA antibodies was increased compared to the last measurement—46 RU/ml (normal: 0–19.99 RU/ml). Staphylococcus aureus was cultured in the material from the elbow bursa and ceftriaxone was used for treatment, resulting in reduction of inflammation parameters and resolution of the exudate. Additionally infection with the influenza A H1 N1 was confirmed in the sputum material and oseltamivir was added to the treatment. A chest CT scan was also performed, which revealed new changes of the ground glass type in the lower lobe of the right lung and fresh multiple"star"densities were found in segments 4 and 5 of both lungs. There was a progression in the lung image compared to the previous examination performed two years earlier. A cardiac ultrasound examination revealed typical changes for right ventricular overload, and pulmonary hypertension was suspected. CT angiography showed a narrowing of the right pulmonary artery by approximately 85% of the cross-sectional area to 6 mm (2 years earlier 16 mm) and of the pulmonary trunk and left pulmonary artery by approximately 30–40%. (Fig. 1) In magnetic resonance angiography a muff with thickening of the wall of the pulmonary trunk and the right and left pulmonary arteries in their initial sections were also visualized. The features of the muff were similar to those observed in Takayasu's disease or other large vessel vasculitis (LVV). Right heart catheterization revealed elevated pulmonary artery pressure that did not meet the criteria for pulmonary hypertension. Considering the overall clinical picture, the patient was diagnosed with the exacerbation of GPA in the form of pulmonary arteritis and lung involvement, the viral etiology of pulmonary lesions was also taken into account in the differential diagnosis. Due to the lack of enlarged peripheral lymph nodes and a normal ultrasound image of the liver and spleen, we did not extend the diagnostics towards lymphoma. The patient scored 5 points on the Birmingham Vasculitis Activity Score (BVAS). The BVAS result in our case does not reflect the actual disease activity because it does not take into account inflammation of the pulmonary arteries. The dose of glucocorticosteroids used in the treatment was increased to 0.5 mg/kg body weight, the dose was reduced due to iatrogenic Cusching's syndrome with severe complications in the form of osteoporosis complicated by fractures of the Th12-L4 vertebral bodies and ribs and avascular necrosis of the right femoral head. The patient was enrolled in the next course of rituximab treatment according to the schedule of four infusions at a dose of 375 mg/m2 body surface area, at weekly intervals.
Fig. 1
White arrow shows a narrowing of the right pulmonary artery wall in angio-CT scan from 2019
Bild vergrößern
The patient was hospitalized again three months after starting induction therapy with rituximab. The patient reported a significant improvement in general health and exercise tolerance, disappearance of shortness of breath and cough. He denied fevers, hemoptysis, and pathological discharge from the upper respiratory tract. Laboratory tests showed normal inflammatory parameters and hemoglobin levels. Methotrexate 20 mg/week was added to the treatment, and corticosteroid dose reduction was continued.
The patient was then admitted to the Department of Rheumatology 6 months after starting rituximab therapy to assess disease activity. In the medical interview, he reported further improvement in his physical fitness. In the physical examination he still had a systolic heart murmur over the pulmonary and aortic valve. In laboratory tests, inflammatory parameters remained low, and the titer of PR3-ANCA antibodies decreased [8.55 RU/ml (normal: 0–19.99)]. A follow-up CT angiogram of the chest was also performed, showing a good response to treatment, such as dilation of the right pulmonary artery stenosis to 10 mm and reducing ground-glass lesions in the lung parenchyma. Disease activity on the BVAS scale was assessed at 1 point. In maintenance treatment, the dose of methotrexate was increased to 25 mg/week, and the dose of glucocorticoids continued to be reduced.
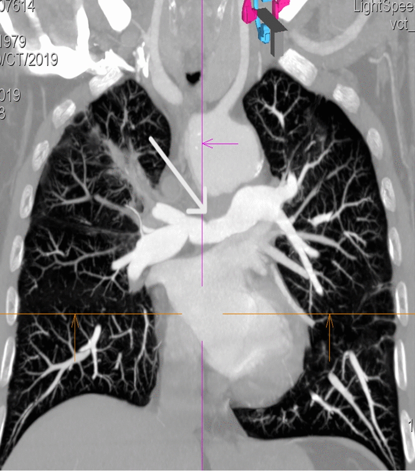
A follow-up angio-CT examination three years after rituximab induction treatment revealed a stable image of the pulmonary arteries compared to the last examination—stenosis of the right pulmonary artery lumen to approximately 10 mm. Due to the nodular lesion in the lung described in the CT scan, which raised oncological concern, an additional PET-CT scan was performed, which showed diffuse, increased metabolism in the wall of the ascending aorta and focally increased metabolism in the course of the right pulmonary artery—the nature of the inflammatory changes. The patient was qualified for another cycle of rituximab treatment. A follow-up chest CT scan after another six months showed stenosis of the right pulmonary artery in the proximal segment to about 6–7 mm over a length of about 40 mm—in retrospective assessment, progression of stenosis (Fig. 2). In the maintenance treatment, methotrexate was reintroduced at a dose of 25 mg/week, due to the improvement in the patient's clinical condition in terms of efficiency, it was not decided to re-administer rituximab.
Fig. 2
On follow-up examination in 2023, progression of narrowing in the right pulmonary artery is showed
Bild vergrößern

Discussion

In the course of GPA, involvement of the upper and lower respiratory tract and kidneys is the most typical. However, the disease can also occur in other organs and systems, often causing significant difficulties in making the correct diagnosis and implementing effective therapy. Other less common organ locations of GPA include involvement of the central and peripheral nervous systems, gastrointestinal tract, heart, skin, vision, hearing, and musculoskeletal systems [12, 13].
Inflammation of large vessels in the course of GPA is a relatively rare and unusual manifestation. It may occur as aneurysmal lesions, dissection, and luminal stenosis of large vessels. The most serious, life-threatening complication may be a rupture of the artery wall. GPA-related LVV may precede or occur after small vessel vasculitis [14]. The pathogenesis has not been fully elucidated. The role of ANCA, which would induce the inflammatory process in the vasa vasorum, is raised. Another hypothesis is the superimposition of ANCA-dependent small vessel vasculitis (AAV) or other large blood vessel diseases [15, 16]. Cases of involvement of the aorta, subclavian, internal carotid, renal, and hepatic arteries have been reported in patients with GPA [5, 15, 1719].
Knowledge about the incidence of LVV in patients with AAV is limited. In a multicenter study, Delaval et al. reported on 50 patients with AAV who had temporal artery involvement. In this study, compared with GCA controls, AAV patients with temporal arteritis were younger, more often male, and had higher levels of C-reactive protein, temporal artery biopsy showed fibrinoid necrosis and small-branch vessel inflammation in 23% of patients, whereas none of these features were seen in GCA controls [20]. In another retrospective study by Kaymakci et al. of 3704 patients with AAV, only 36 cases with concomitant (LVV) were reported. Of these, 23 had MPO-ANCA and 13 had PR3-ANCA. The most commonly affected large vessels were the temporal artery and aorta. Most patients (69%) were diagnosed with large vessel vasculitis and AAV within 1 year. The most commonly used treatments were glucocorticosteroids (36/36), rituximab (19/36), and methotrexate (18/36) [21].
Pulmonary arteries involvement is an infrequent manifestation, only single case reports can be found in the literature [511] (Table 1). Differential diagnosis is difficult due to the non-characteristic symptoms, which typically also occur in lung parenchyma involvement, which is one of the most common locations of lesions in the course of GPA. These symptoms include mainly cough and shortness of breath, some patients also present with hemoptysis. Despite characteristic changes in lung imaging, some patients do not report any clinical symptoms [22].
Currently, non-invasive imaging methods are mainly used to assess the involvement of individual organs and systems in GPA, but histopathological assessment is still the gold standard [23, 24]. According to the 2023 EULAR recommendations non-invasive imaging methods such as: computed tomography, magnetic resonance imaging, positron emission tomography, ultrasound are primarily recommended for diagnosing vasculitis of large vessels [25]. Due to the increasing sensitivity of imaging tests and the high invasiveness and potential postoperative complications for the patient, a lesser role is assigned to histopathological examination [25]. However, the 2021 ACR guidelines indicate that biopsy is the preferred diagnostic method for giant cell arteritis [26]. Both EULAR and ACR recommendations do not directly refer to the involvement of large vessels in the course of GPA because this manifestation is very rare. In our case, CT, MRI, and PET-CT were used to show inflammatory changes in the pulmonary arteries. Histopathological evaluation was omitted because it was too invasive, the clinical picture and imaging results were considered sufficient to make a diagnosis.
In recent years, PET-CT has been playing an increasingly important role in the diagnosis and monitoring of LVV. Uptake of the [18 F]fluorodeoxyglucose tracer used in this study by metabolically active cells allows inflammation to be localized along the artery wall, where macrophages and other inflammatory cells reside. In addition to indicating the location of inflammation in the vessel wall, it is also possible to differentiate atherosclerotic changes from those of the vasculitis type [27]. The examination enables early detection of inflammation, before morphological changes and irreversible vascular changes can be observed [28]. According to the current EULAR recommendations, PET CT should be considered as the primary imaging alternative to ultrasound of extracranial vessels due to the evidence of high diagnostic value (sensitivity 76%, specificity 95%, clinical diagnosis as reference standard) and the possibility of detecting other serious pathologies, such as infections or tumors, especially in patients with atypical symptoms [25].
In the case of AVV with large vessel involvement, the differential diagnosis should include overlap with Takayasu's disease and giant cell arteritis. Chirinos et al. suggest that large vessel involvement in AAV differs from classical TA and GCA in terms of epidemiology, clinical presentation, and pathological features. Large vessel involvement in AAV usually presents as aneurysms and arterial dissections, whereas in TA it is mainly diffuse thickening of the vessel wall leading to stenosis or occlusion. AAV with large vessel involvement rarely presents with symptoms such as jaw claudication, visual loss, scalp tenderness, polymyalgia rheumatica, or temporal arteritis seen in GCA. Arterial lesions in TA and GCA occur mainly in the outer and inner layers of the aorta, whereas in AAV the large vessel involvement is usually transmural aortitis [14]. The co-occurrence of Takaysu disease and glomerulopathy is extremely rare, but it has been suggested that glomerular lesions and large vascular involvement may share a common pathogenetic mechanism [29, 30]. The occurrence of ANCA is not typical for both diseases [31].
In the presented case, the patient had characteristic clinical manifestations of GPA such as involvement of the upper and lower respiratory tract and kidneys, PR3-ANCA were also found. The patient also developed inflammation of large blood vessels, including inflammation of the ascending aorta complicated by aneurysm rupture and inflammation of the pulmonary arteries, which led to their narrowing. The treatment included glucocorticoids and rituximab.
Current EULAR guidelines for the treatment of LVV recommend using high-dose glucocorticoids as well as non-biologic immunosuppressants or tocilizumab, but they mainly concern on giant cell arteritis and Takayasu's disease [32]. However, the latest EULAR guidelines for the treatment of AVV recommend combination of glucocorticoids and rituximab or cyclophosphamide in the induction of remission in patients with newly diagnosed or recurrent GPA or MPA with life-threatening or organ failure. In case of disease recurrence, rituximab is preferred [33]. The recommendations mentioned above do not refer strictly to the treatment of LVV in the course of GPA, however, taking into account the nature of the changes that occur in the affected vessels such as stenosis, aneurysmal changes, dissection, they should be treated as a manifestation that threatens the life/function of the organ, which requires aggressive immunosuppression. A good response to rituximab therapy in the case of large vessel involvement in the course of GPA may confirm the role of ANCA, which would induce the inflammatory process in the vasa vasorum.
A literature review identified seven published case reports of pulmonary artery involvement in GPA. The majority were women (six cases), and the main symptoms reported by patients were dyspnea and cough, in all patients the presence of PR3-ANCA antibodies was found. In all seven patients, CT were performed, while in 3 cases a PET-CT examination was also performed. The most common pathology found in imaging studies was thickening of the wall and narrowing of the lumen of the artery. In four cases biopsy was performed for the diagnosis of vasculitis, bu only in one [10] it was possible to obtain material from the pulmonary artery (during embolectomy), pathological examination showed fibrosis of the arterial wall with a large lymphoid infiltrate with plasma cells and macrophages and areas of necrosis. All seven patients were treated with cyclophosphamide, and six of them also had glucocorticosteroids. In two patients who did not respond to glucocorticosteroids + cyclophosphamide, rituximab was used with good effect [511].
In our case, the main symptoms reported by the patient were also dyspnea and cough, and the presence of the PR3-ANCA antibody was also detected. In the diagnostics, we used CT and MRI, which showed narrowing of the walls of the pulmonary arteries, similarly to other reported cases.

Conclusion

In the course of GPA, we typically observe involvement of small vessels, but in the case of atypical clinical symptoms such as chest pain, we must always remember the possibility of coexisting inflammation of large arteries. In such patients, imaging studies using contrast, e.g. angio-CT and angio-MRI, are particularly useful in making the correct diagnosis. PET scanning also plays a major role in early detection of inflammatory changes in arteries, and its performance should be considered in patients with suspected involvement of large vessels vasculitis. Imaging studies of large vessels are not an integral part of the diagnosis and monitoring of AAV, but it should be remembered that in rare cases AAV may coexist with the involvement of large vessels such as the aorta and pulmonary arteries, in these cases, delay or lack of diagnosis may have significant clinical consequences and adversely affect the prognosis. Pulmonary artery involvement is extremely rare and clinical symptoms may be similar to those of lung parenchyma involvement, which is one of the most common manifestations of GPA. Therefore, physicians should be vigilant during the diagnostic process, especially in the case of atypical symptoms, as in the described case. There are no clear guidelines for the treatment of large vessel involvement in the course of AAV, in the described case, despite the use of high doses of glucocorticosteroids and several remission inductions with rituximab, progression of pulmonary artery stenosis in imaging studies was observed, however, the patient's clinical condition has stabilized. Further observations and research on this topic are needed.

Declarations

Conflict of interest

No part of this manuscript, including the text or graphics, are published elsewhere in whole or in part. All authors have no conflict of interest related to this article. All authors take full responsibility for the integrity and accuracy of all aspects of the work. The data that support the findings of this study are available on request from the corresponding author. This work was not supported by any funding.
Informed consent was obtained from the patient involved in the study.
Open Access This article is licensed under a Creative Commons Attribution-NonCommercial-NoDerivatives 4.0 International License, which permits any non-commercial use, sharing, distribution and reproduction in any medium or format, as long as you give appropriate credit to the original author(s) and the source, provide a link to the Creative Commons licence, and indicate if you modified the licensed material. You do not have permission under this licence to share adapted material derived from this article or parts of it. The images or other third party material in this article are included in the article’s Creative Commons licence, unless indicated otherwise in a credit line to the material. If material is not included in the article’s Creative Commons licence and your intended use is not permitted by statutory regulation or exceeds the permitted use, you will need to obtain permission directly from the copyright holder. To view a copy of this licence, visit http://creativecommons.org/licenses/by-nc-nd/4.0/.

Publisher's Note

Springer Nature remains neutral with regard to jurisdictional claims in published maps and institutional affiliations.
Download
Titel
Pulmonary arteritis in the course of granulomatosis with polyangiitis
Verfasst von
Aleksandra Sobuń
Marta Madej
Ewa Mroczek
Maciej Guziński
Piotr Wiland
Agata Sebastian
Publikationsdatum
01.07.2025
Verlag
Springer Berlin Heidelberg
Erschienen in
Rheumatology International / Ausgabe 7/2025
Print ISSN: 0172-8172
Elektronische ISSN: 1437-160X
DOI
https://doi.org/10.1007/s00296-025-05896-2
1.
Zurück zum Zitat Jennette JC, Falk RJ, Bacon PA, Basu N, Cid MC, Ferrario F et al (2013) 2012 revised international Chapel Hill consensus conference nomenclature of vasculitides. Arthritis Rheum 65(1):1–11. https://doi.org/10.1002/art.37715. (PMID: 23045170)CrossRefPubMed
2.
Zurück zum Zitat Mohammad AJ, Jacobsson LT, Westman KW, Sturfelt G, Segelmark M (2009) Incidence and survival rates in Wegener’s granulomatosis, microscopic polyangiitis, Churg-Strauss syndrome and polyarteritis nodosa. Rheumatology (Oxford) 48(12):1560–1565. https://doi.org/10.1093/rheumatology/kep304. (Epub 2009 Oct 1. PMID: 19797309)CrossRefPubMed
3.
Zurück zum Zitat Lembicz M, Batura-Gabryel H, Nowicka A (2014) Ziarniniakowatość z Zapaleniem Naczyń - Obraz Kliniczny i Przegląd Aktualnych Opcji Terapeutycznych. Adv Respir Med 82(1):61–73. https://doi.org/10.5603/PiAP.2014.0010CrossRef
4.
Zurück zum Zitat Monghal V, Puéchal X, Smets P, Vandergheynst F, Michel M, Diot E, Ramdani Y, Moulinet T, Dhote R, Hautcoeur A, Lelubre C, Dominique S, Lebourg L, Melboucy S, Wauters N, Carlotti A, Cachin F, Ebbo M, Jourde-Chiche N, Iudici M, Trefond L (2024) Large-vessel involvement in ANCA-associated vasculitis: a multicenter case-control study. Semin Arthritis Rheum 67:152475. https://doi.org/10.1016/j.semarthrit.2024.152475CrossRefPubMed
5.
Zurück zum Zitat Ozaki T, Maeshima K, Kiyonaga Y, Torigoe M, Imada C, Hamasaki H, Haranaka M, Ishii K, Shibata H (2017) Large-vessel involvement in granulomatosis with polyangiitis successfully treated with rituximab: a case report and literature review. Mod Rheumatol 27(4):699–704. https://doi.org/10.3109/14397595.2015.1021950CrossRefPubMed
6.
Zurück zum Zitat Clark T, Hoffman GS (2003) Pulmonary artery involvement in Wegener’s granulomatosis. Clin Exp Rheumatol 21(6 Suppl 32):S124–S126PubMed
7.
Zurück zum Zitat Jain P, Ruchin P, Suttie J (2016) Proximal pulmonary artery stenosis: a rare manifestation of granulomatosis with polyangiitis. Lancet (London, England) 387(10035):2349–2350. https://doi.org/10.1016/S0140-6736(16)00584-5CrossRefPubMed
8.
Zurück zum Zitat Zhang H, Yan D, Wei Y, He Y, Chang J, Zhang W (2024) Case report: two cases of anti-neutrophil cytoplasmic antibody-associated vasculitis involving large vessels. Front Cardiovasc Med 11:1434734. https://doi.org/10.3389/fcvm.2024.1434734CrossRefPubMedPubMedCentral
9.
Zurück zum Zitat Alkhdairi A, Alharbi A (2021) An extraordinary pulmonary artery involvement in granulomatosis with polyangiitis. Int J Adv Med 8:1587. https://doi.org/10.18203/2349-3933.ijam20213715CrossRef
10.
Zurück zum Zitat Doyle DJ, Fanning NF, Silke CS, Salah S, Burke L, Molloy M, Spence L (2003) Wegener’s granulomatosis of the main pulmonary arteries: imaging findings. Clin Radiol 58(4):329–331. https://doi.org/10.1016/s0009-9260(02)00517-2CrossRefPubMed
11.
Zurück zum Zitat Hesford J, Medford AR, Gunawardena H (2021) Lessons of the month: ANCA-associated vasculitis—granulomatosis with polyangiitis: “the great mimic.” Clin Med (Lond) 21(2):e231–e233. https://doi.org/10.7861/clinmed.2020-1037CrossRefPubMed
12.
Zurück zum Zitat Katikineni VS, Kant S, Gapud EJ, Antiochos B, Manno RL, Phillips M, Seo P, Geetha D (2019) Uncommon presentations in ANCA vasculitis: clinical characteristics and outcomes. Clin Rheumatol 38(8):2195–2199. https://doi.org/10.1007/s10067-019-04568-4CrossRefPubMed
13.
Zurück zum Zitat Miłkowska-Dymanowska J, Laskowska P, Rzuczkowski M et al (2019) Untypical manifestations of granulomatosis with polyangiitis—a review of the literature. SN Compr Clin Med 1:616–626. https://doi.org/10.1007/s42399-019-00083-4CrossRef
14.
Zurück zum Zitat Chirinos JA, Tamariz LJ, Lopes G, Del Carpio F, Zhang X, Milikowski C, Lichtstein DM (2004) Large vessel involvement in ANCA-associated vasculitides: report of a case and review of the literature. Clin Rheumatol 23(2):152–159. https://doi.org/10.1007/s10067-003-0816-0CrossRefPubMed
15.
Zurück zum Zitat Coattrenec Y, Muller YD, Spoerl D, Lobrinus JA, Seebach JD (2021) Prevalence of large vessel vasculitis in ANCA-associated vasculitis: a retrospective cohort study. Rheumatol Int 41(12):2147–2156. https://doi.org/10.1007/s00296-021-04993-2CrossRefPubMedPubMedCentral
16.
Zurück zum Zitat Cho U, Kim SK, Ko JM, Yoo J (2021) Unusual presentation of granulomatosis with polyangiitis causing periaortitis and consequent subclavian steal syndrome: a case report. World J Clin Cases 9(6):1433–1438. https://doi.org/10.12998/wjcc.v9.i6.1433CrossRefPubMedPubMedCentral
17.
Zurück zum Zitat Szymanowska-Narloch A, Gawryluk D, Błasińska-Przerwa K, Siemińska A (2019) Atypical manifestations of granulomatosis with polyangiitis: the diagnostic challenge for pulmonologists. Adv Respir Med 87(6):244–253. https://doi.org/10.5603/ARM.2019.0062CrossRefPubMed
18.
Zurück zum Zitat Carels T, Verbeken E, Blockmans D (2005) p-ANCA-associated periaortitis with histological proof of Wegener’s granulomatosis: case report. Clin Rheumatol 24(1):83–86. https://doi.org/10.1007/s10067-004-0998-0CrossRefPubMed
19.
Zurück zum Zitat Durai R, Agrawal R, Piper K, Brohi K (2009) Wegener’s granulomatosis presenting as an abdominal aortic aneurysm: a case report. Cases J 2:9346. https://doi.org/10.1186/1757-1626-2-9346CrossRefPubMedPubMedCentral
20.
Zurück zum Zitat Delaval L, Samson M, Schein F, Agard C, Tréfond L, Deroux A, Dupuy H, Garrouste C, Godmer P, Landron C, Maurier F, le Guenno G, Rieu V, Desblache J, Durel CA, Jousselin-Mahr L, Kassem H, Pugnet G, Queyrel V, Swiader L, French Vasculitis Study Group and French Study Group for Giant Cell Arteritis (2021) Temporal arteritis revealing antineutrophil cytoplasmic antibody-associated vasculitides: a case-control study. Arthritis Rheumatol (Hoboken, N.J.) 73(2):286–294. https://doi.org/10.1002/art.41527CrossRef
21.
Zurück zum Zitat Kaymakci MS, Elfishawi MM, Langenfeld HE, Hanson AC, Crowson CS, Bois MC, Ghaffar U, Koster MJ, Specks U, Warrington KJ (2024) Large vessel involvement in antineutrophil cytoplasmic antibody-associated vasculitis. Rheumatology (Oxford) 63(6):1682–1689. https://doi.org/10.1093/rheumatology/kead467CrossRefPubMed
22.
Zurück zum Zitat Vanoli J, Riva M, Vergnano B, D’Andrea G, L’Imperio V, Pozzi MR, Grassi G (2017) Granulomatosis with polyangiitis presenting with diffuse alveolar hemorrhage requiring extracorporeal membrane oxygenation with rapid multiorgan relapse: a case report. Medicine 96(13):e6024. https://doi.org/10.1097/MD.0000000000006024CrossRefPubMedPubMedCentral
23.
Zurück zum Zitat Dewan R, Trejo Bittar HE, Lacomis J, Ocak I (2015) Granulomatosis with polyangiitis presenting with coronary artery and pericardial involvement. Case Rep Radiol 2015:516437. https://doi.org/10.1155/2015/516437CrossRefPubMedPubMedCentral
24.
Zurück zum Zitat Florian A, Slavich M, Blockmans D, Dymarkowski S, Bogaert J (2011) Cardiac involvement in granulomatosis with polyangiitis (Wegener granulomatosis). Circulation 124(13):e342–e344. https://doi.org/10.1161/CIRCULATIONAHA.111.030809CrossRefPubMed
25.
Zurück zum Zitat Dejaco C, Ramiro S, Bond M, Bosch P, Ponte C, Mackie SL, Bley TA, Blockmans D, Brolin S, Bolek EC, Cassie R, Cid MC, Molina-Collada J, Dasgupta B, Nielsen BD, De Miguel E, Direskeneli H, Duftner C, Hočevar A, Schmidt WA (2024) EULAR recommendations for the use of imaging in large vessel vasculitis in clinical practice: 2023 update. Ann Rheum Dis 83(6):741–751. https://doi.org/10.1136/ard-2023-224543. (Article ard-2023-224543)CrossRefPubMed
26.
Zurück zum Zitat Maz M, Chung SA, Abril A, Langford CA, Gorelik M, Guyatt G, Archer AM, Conn DL, Full KA, Grayson PC, Ibarra MF, Imundo LF, Kim S, Merkel PA, Rhee RL, Seo P, Stone JH, Sule S, Sundel RP, Vitobaldi OI, Mustafa RA (2021) 2021 American College of Rheumatology/Vasculitis foundation guideline for the management of giant cell arteritis and takayasu arteritis. Arthritis Rheumatol (Hoboken, N.J.) 73(8):1349–1365. https://doi.org/10.1002/art.41774CrossRef
27.
Zurück zum Zitat Ben Shimol J, Amital H, Lidar M et al (2020) The utility of PET/CT in large vessel vasculitis. Sci Rep 10:17709. https://doi.org/10.1038/s41598-020-73818-2CrossRefPubMedPubMedCentral
28.
Zurück zum Zitat Pelletier-Galarneau M, Ruddy TD (2019) PET/CT for diagnosis and management of large-vessel vasculitis. Curr Cardiol Rep 21(5):34. https://doi.org/10.1007/s11886-019-1122-zCrossRefPubMed
29.
Zurück zum Zitat Podgorska D, Podgorski R, Aebisher D, Dabrowski P (2019) Takayasu arteritis—epidemiology, pathogenesis, diagnosis and treatment. J Appl Biomed 17(1):20. https://doi.org/10.32725/jab.2018.005CrossRefPubMed
30.
Zurück zum Zitat Lai KN, Chan KW, Ho CP (1986) Glomerulonephritis associated with Takayasu’s arteritis: report of three cases and review of literature. Am J Kidney Dis 7(3):197–204. https://doi.org/10.1016/s0272-6386(86)80003-8CrossRefPubMed
31.
Zurück zum Zitat Shitrit D, Shitrit AB, Starobin D, Izbicki G, Belenky A, Kaufman N, Kramer MR (2002) Large vessel aneurysms in Wegener’s granulomatosis. J Vasc Surg 36(4):856–858. https://doi.org/10.1067/mva.2002.126088CrossRefPubMed
32.
Zurück zum Zitat Hellmich B, Agueda A, Monti S, Buttgereit F, de Boysson H, Brouwer E, Cassie R, Cid MC, Dasgupta B, Dejaco C, Hatemi G, Hollinger N, Mahr A, Mollan SP, Mukhtyar C, Ponte C, Salvarani C, Sivakumar R, Tian X, Tomasson G, Luqmani RA (2020) 2018 update of the EULAR recommendations for the management of large vessel vasculitis. Ann Rheum Dis 79(1):19–30. https://doi.org/10.1136/annrheumdis-2019-215672CrossRefPubMed
33.
Zurück zum Zitat Hellmich B, Sanchez-Alamo B, Schirmer JH et al (2024) EULAR recommendations for the management of ANCA-associated vasculitis: 2022 update. Ann Rheum Dis 83(1):30–47. https://doi.org/10.1136/ard-2022-223764. (PMID: 36927642)CrossRefPubMed

Kompaktes Leitlinien-Wissen Innere Medizin (Link öffnet in neuem Fenster)

Mit medbee Pocketcards schnell und sicher entscheiden.
Leitlinien-Wissen kostenlos und immer griffbereit auf ihrem Desktop, Handy oder Tablet.

Neu im Fachgebiet Innere Medizin

Fremdkörperentfernung allein reicht nicht

Wenn ein Speiserest die Atemwege blockiert, zählt jede Minute. Um gravierende neurologische Schäden zu vermeiden, sollten vor allem ältere Menschen in die Notaufnahme gebracht werden – selbst wenn der Übeltäter bereits entfernt wurde. Das verdeutlicht eine Studie aus Japan.

Podcast

Schlüsselfaktoren für eine erfolgreiche Darmkrebsvorsorge

Deutschland ist ein Koloskopieland. Doch ist das eine gute Idee? Oder würde der Stuhltest ausreichen, um Darmkrebs im frühen Stadium zu erkennen? Prof. Markus M. Lerch und Prof. Ulrike Denzer diskutieren die Vor- und Nachteile der Screening-Verfahren. Außerdem gibt die Endoskopie-Expertin Prof. Denzer Tipps, wie suspekte Darmpolypen effektiv erkannt und abgetragen werden können.

Deutsche Gesellschaft für Innere Medizin

Jede zehnte tödliche Verlauf einer Infektion durch Adipositas bedingt

Je höher der BMI, umso höher ist das Risiko, bei einer Infektion zu sterben. Das gilt nicht nur für Covid-19, sondern für Infektionen allgemein. Bei einer Grad-III-Adipositas ist die Mortalität während einer Infektion sogar verdreifacht. Darauf deuten Daten aus Finnland und Großbritannien.

Fazialisparese in der Liquordiagnostik aufgeklärt

Periphere Fazialisparesen sollten nicht vorschnell als idiopathisch klassifiziert werden. Vor allem bei atypischen Manifestationen gilt es, auf dem Quivive zu sein. Der Fall einer 73-Jährigen zeigt, warum.

Update Innere Medizin

Bestellen Sie unseren Fach-Newsletter und bleiben Sie gut informiert.

Bildnachweise
Die Leitlinien für Ärztinnen und Ärzte, DGIM Podcast-Reihe - Koloskopie/© (M)Kzenon / stock.adobe.com (Symbolbild mit Fotomodellen)Logo: Springer Medizin Verlag GmbH, Lumbalpunktion/© Felipe Caparrós / stock.adobe.com