Zum Inhalt

Pyriformis muscle hematoma after percutaneous nerve sacral neuromodulation trial

  • 08.04.2022
  • Images in Urogynecology
Erschienen in:

Auszug

Sacral neuromodulation is a viable option for those patients who suffer from refractory overactive bladder symptoms, voiding dysfunction, or fecal incontinence. In our case, computed tomography (CT) provided the final diagnosis of pyriformis hematoma.
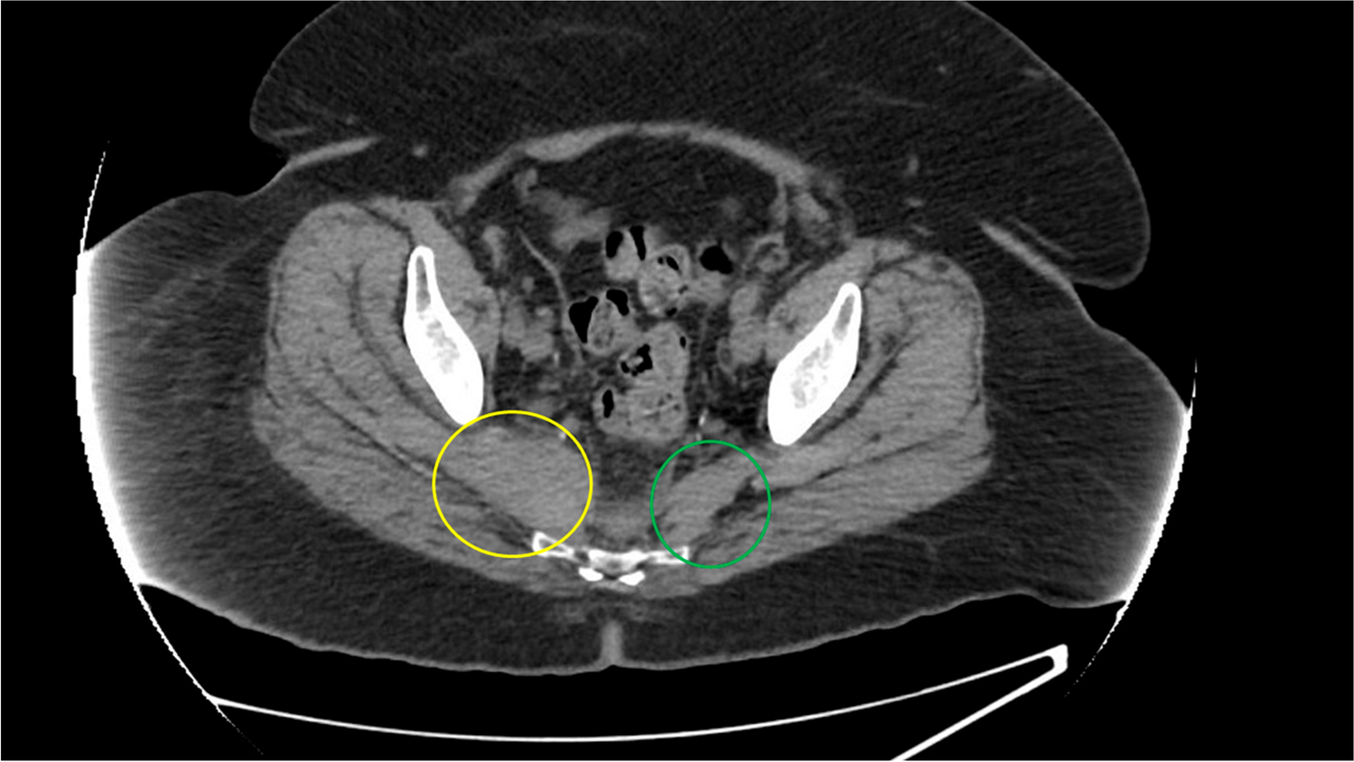
Fig. 1
Computed tomography showing the right-sided piriformis hematoma (yellow circle) contrasting with the normal side (green circle)
Bild vergrößern
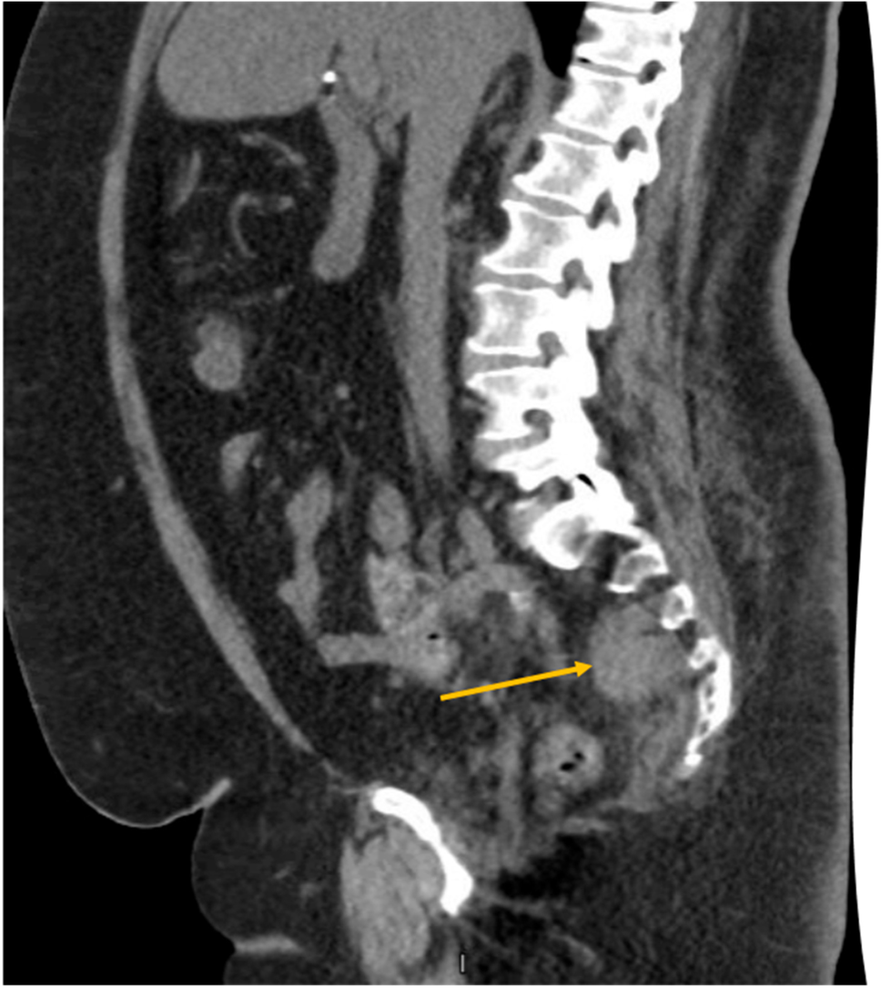
Fig. 2
Sagittal view with orange arrow pointing to the pyriformis hematoma
Bild vergrößern
Titel
Pyriformis muscle hematoma after percutaneous nerve sacral neuromodulation trial
Verfasst von
Omar Felipe Dueñas-Garcia
Natalie Green
Robert E. Shapiro
Publikationsdatum
08.04.2022
Verlag
Springer International Publishing
Erschienen in
International Urogynecology Journal / Ausgabe 10/2022
Print ISSN: 0937-3462
Elektronische ISSN: 1433-3023
DOI
https://doi.org/10.1007/s00192-022-05193-7
Dieser Inhalt ist nur sichtbar, wenn du eingeloggt bist und die entsprechende Berechtigung hast.

Neu im Fachgebiet Gynäkologie und Geburtshilfe

Wie die erste Schwangerschaft das psychische Wohlbefinden beeinflusst

Wie verändert sich das psychische Wohlbefinden werdender Mütter von der Schwangerschaft bis nach der Geburt? Eine deutsch-niederländische Gruppe zeichnet ein differenziertes Bild. So steigt meist das Gefühl für Lebenssinn, während ein anderer Bereich Abstriche hinnehmen muss.

GLP-1-Rezeptoragonisten könnten Schutz vor Endometriumkarzinom verbessern

Über ihre metabolischen Effekte hinaus könnten Inkretinmimetika ein erweitertes therapeutisches Potenzial besitzen. Eine aktuelle Studie bei Frauen mit endometrialer Hyperplasie zeigt, dass die Kombination mit Gestagenen mit einer geringeren Inzidenz von Endometriumkarzinomen assoziiert ist.

Pathogene BRCA-Varianten: Prophylaktische Mastektomie und MRT-Überwachung doch ebenbürtig?

Laut Daten einer prospektiven britischen Studie schneidet eine Surveillance-Strategie im Vergleich mit einer risikoreduzierenden Mastektomie beim Vorliegen pathogener BRCA-Varianten in puncto Gesamtüberleben ähnlich gut ab. Im Detail sind allerdings Fragen offen.  

TNBC: Sacituzumab Govitecan verlängert das PFS

Sacituzumab Govitecan ist als Therapieoption beim vorbehandelten, fortgeschrittenen triple-negativen Brustkrebs (TNBC) etabliert. In Kombination mit Pembrolizumab konnte der Wirkstoff nun auch bei zuvor unbehandelten Tumoren seine Wirksamkeit belegen.

Update Gynäkologie

Bestellen Sie unseren Fach-Newsletter und bleiben Sie gut informiert – ganz bequem per eMail.

Bildnachweise
Gestresste Frau hält Baby im Arm/© Jelena Stanojkovic / stock.adobe.com (Symbolbild mit Fotomodellen), Frau injiziert sich Semaglutid in Arm/© millaf / Stock.adobe.com (Symbolbild mit Fotomodell), Mastektomie der rechten Brust/© Saowaluck / stock.adobe.com (Symbolbild mit Fotomodell), Infusion über Armvene/© Seventyfour / stock.adobe.com (Symbolbild mit Fotomodell)