Zum Inhalt
Radiologie Radiologische Techniken und Methoden

Radiologische Techniken und Methoden

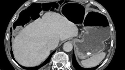
Kennen Sie das Chilaiditi-Syndrom?

Beim Chilaiditi-Syndrom sind Teile des Kolons zwischen Leber und Zwerchfell verlagert. Diese Interposition kann asymptomatisch verlaufen oder zu einer Vielzahl klinischer Symptome führen. Zwar ist das Syndrom selten, Sie sollten es aber nicht mit anderen pathologischen Zuständen wie freiem intraabdominellen Gas verwechseln und unnötig operieren.

weiterlesen

Weiterführende Themen

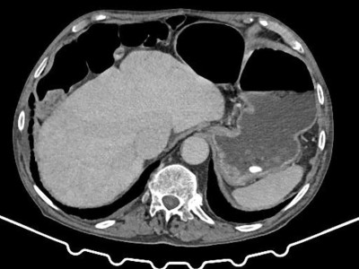
Kennen Sie das Chilaiditi-Syndrom?

Beim Chilaiditi-Syndrom sind Teile des Kolons zwischen Leber und Zwerchfell verlagert. Diese Interposition kann asymptomatisch verlaufen oder zu einer Vielzahl klinischer Symptome führen. Zwar ist das Syndrom selten, Sie sollten es aber nicht mit anderen pathologischen Zuständen wie freiem intraabdominellen Gas verwechseln und unnötig operieren.

weiterlesen

Aktuelle Bedeutung der Radiotherapie bei Plasmozytom und multiplem Myelom

Die Mehrzahl der Personen mit multiplem Myelom benötigt während ihres Krankheitsverlaufs eine lokale Therapie. Diese kann aufgrund von Schmerzen, (drohender) Instabilität oder neurologischer Symptomatik notwendig sein. Dabei kommen insbesondere eine Radiotherapie, operative Eingriffe oder eine Kombination der beiden Methoden zum Einsatz.

weiterlesen

Kasuistiken

Üble Überraschung in der Oberbauch-Sono

Ein 34-jähriger Maler und Lackierer, der in seiner Freizeit wettkampfmäßig Volleyball spielte, stellte sich wegen akuter Oberbauchbeschwerden ohne Übelkeit, Erbrechen oder Diarrhö vor. Mit dem Ultraschallgerät kam man der Ursache schnell auf die Spur.

Patient asymptomatisch, MRT negativ – und doch ein Prostatakarzinom

Ein 66-jähriger, asymptomatischer Patient wird aufgrund eines ansteigenden PSA-Werts zur multiparametrischen Magnetresonanztomographie (mpMRT) der Prostata überwiesen. Die digital-rektale Untersuchung war unauffällig. Die initiale mpMRT zeigt keine karzinomsuspekten Veränderungen. Aber die Kontrastmittelkinetik ist auffällig.

Seit zehn Jahren Beinschmerzen und Krämpfe unter Belastung

  • Lipom
  • Übersichtsartikel

Ein 48-jähriger Patient berichtet von belastungsabhängigen Schmerzen in den Beinen seit mittlerweile zehn Jahren. Bildgebende Untersuchungen der Hals- und Lendenwirbelsäule konnten die claudicatioartigen Beschwerden bislang nicht erklären. Eine lange überfällige MRT des Thorakalbereichs führt schließlich zur richtigen Diagnose.

Weitere Artikel aus unseren Fachzeitschriften

Osteonekrosen und Osteochondrosen

Osteochondrosen und Osteonekrosen stellen eine heterogene Gruppe von Erkrankungen dar, die zu einem Verlust der normalen Knochen- und teilweise auch der Knorpelstruktur führen können, häufig mit fragmentierenden Umbauprozessen einhergehen und sich …

Computertomographie des Thorax bei Kindern

Die Computertomographie (CT) des Thorax bei Kindern ist ein Balanceakt zwischen maximaler diagnostischer Aussagekraft und dem Gebot des konsequenten Strahlenschutzes. Aufgrund der einzigartigen Anatomie und Physiologie von Kindern können …

Interstitielle Lungenerkrankungen bei Kindern und Jugendlichen

Interstitielle Lungenerkrankungen bei Kindern („childhood interstitial lung disease“, chILD) stellen eine große heterogene Gruppe seltener Lungenerkrankungen dar, die Neugeborene bis Jugendliche betreffen können. Für eine zügige und korrekte …

Pneumonien im Kindes- und Jugendalter

Pneumonien im Kindes- und Jugendalter spielen weltweit eine wichtige Rolle. Sie führen häufig zu Krankenhausaufenthalten und sind auch bei Kindern und Jugendlichen eine bedeutende Todesursache. Die meisten Lungenentzündungen werden ambulant …

Pulmonale Bildgebung der Mukoviszidose mit Fokus auf Kinder und Jugendliche

Die Mukoviszidose, auch zystische Fibrose („cystic fibrosis“, CF) genannt, ist die häufigste autosomal-rezessiv vererbte Multisystemerkrankung. Sie tritt mit einer Inzidenz von etwa 1:3500 bis 1:500 Lebendgeburten in Nordeuropa und Nordamerika auf …

Präzisionsonkologie beim metastasierten Urothelkarzinom: Rolle der prätherapeutischen Biopsie und molekularen Testung

Das metastasierte Urothelkarzinom (mUC) ist durch frühe Metastasierung und klonale Tumorevolution geprägt, die zu einer hohen molekularen Heterogenität zwischen Primärtumor und Metastasen führt. Häufig berücksichtigen translationale und klinische …

Neurologische Prognose nach Herzstillstand und Reanimation

Nach zunächst erfolgreicher Reanimation mit Erreichen eines spontanen Rhythmus sind Patient:innen zumeist komatös und werden auf eine Intensivstation aufgenommen. Das Gehirn ist besonders vulnerabel für Schädigungen unter globaler Ischämie bzw.

Neue Myokarditis und Perikarditis Leitlinie der ESC: Zentrale Rolle der kardiovaskulären Magnetresonanztomographie (Herz-MRT) – DGK-Stellungnahme

Die neue Leitlinie der europäischen Gesellschaft für Kardiologie (ESC) aus 2025 definiert das inflammatorische Myokard- und Perikardsyndrom (IMPS) als Oberbegriff für entzündliche Herzerkrankungen. Der Fokus liegt auf der kardialen MRT, die …

Vergleich von MR-Defäkographie und klinischer Untersuchung

In der Diagnostik von Deszensusprozessen kommt, neben der klinisch-proktologischen Untersuchung, regelmäßig eine MR-Defäkographie als aufwendige und kostenintensive Diagnostik zum Einsatz. In diesem Beitrag wird dargestellt, inwieweit bei …

Videos und Webinare

Webinar

ADCs x Brustkrebs: Strategien für den klinischen Alltag (Link öffnet in neuem Fenster)

  • Live
  • Webinar | 19.11.2025 | 18:00

Rund 30 % der Patientinnen mit HER2-positivem Mammakarzinom entwickeln im Laufe der Zeit Hirnmetastasen – mit gravierenden Folgen für Prognose und Lebensqualität. Im Webinar am 19. November von 18 bis 19.30 Uhr erhalten Sie einen praxisnahen Überblick zum Management von Hirnmetastasen bei metastasiertem Brustkrebs. Das Webinar ist mit 2 CME-Punkten zertifiziert.

Mit freundlicher Unterstützung von:
  • Daiichi Sankyo Austria GmbH & AstraZeneca Österreich GmbH

Buchkapitel zum Thema

Schläfenbein und hintere Schädelbasis

Das Kapitel beginnt mit untersuchungstechnischen Aspekten, die für eine optimale Schläfenbein-Bildgebung Voraussetzung sind. Es folgt die Darstellung von für die Bildinterpretation wichtigen anatomischen Strukturen und von zahlreichen …

Mundhöhle und Pharynx

Schwerpunkte dieses Kapitels bilden Entzündungsformen, bei denen eine Schnittbildgebung benötigt wird (Mundboden-, Retropharyngeal-, Tonsillarabszess) und die hier häufigste Tumorart das Karzinom. Nach der Darstellung heutiger Anforderungen an die …

Nasennebenhöhlen, vordere und zentrale Schädelbasis

Nach einer Übersicht zu heute in der NNH-Diagnostik angewandten radiologischen Methoden und Hinweisen zur technischen Umsetzung werden anatomische Strukturen und Normvarianten im Schnittbild aufgezeigt. Abschnittsweise folgen insgesamt seltene …

Hals

Einleitend werden in diesem Kapitel die Faszienanatomie, wichtige Fossae (u. a. Fossa pterygopalatina) und Halslymphknoten einschließlich der Level-Einteilung erörtert. Einen breiten Raum nehmen zervikal anzutreffende Tumoren und tumorähnliche …

Nicht gefunden, wonach Sie suchten?

Probieren Sie es mit der Suchfunktion:

Neu im Fachgebiet Radiologie

Brustkrebs: Bestrahlung nach Mastektomie verliert an Bedeutung

Auf eine Thoraxwandbestrahlung nach einer Mastektomie können Frauen mit Brustkrebs und einem intermediären Rezidivrisiko heutzutage offenbar verzichten: In der Phase-3-Studie SUPREMO minderte die Bestrahlung nicht das Sterberisiko.

Mammografie-Screening: Das sind Hindernisse und Motivatoren

Brustkrebs ist die häufigste Krebserkrankung bei Frauen. Mit dem Mammografie-Screening können Tumoren potenziell früh erkannt werden – allerdings nehmen es viele Patientinnen nicht in Anspruch. Wie kann man sie besser motivieren?

Sprunggelenksfraktur: Die Fünf-Millimeter-Grenze als OP-Indikation

Ob bei Sprunggelenksfrakturen operiert wird, hängt von der Stabilität und Gelenkkongruenz ab. Entscheidend ist die Messung des medialen Gelenkspalts im Belastungsröntgen. Warum die Fünf-Millimeter-Regel hilft, unnötige Operationen zu vermeiden, stellte Dr. Helen Anwander auf dem Orthopädie und Unfallchirurgie Kongress vor.

Unnötige Strahlenbelastung bei Schwangeren mit Verdacht auf Lungenembolie?

In der Praxis hapert es an der Umsetzung von Empfehlungen, die bei Lungenembolieverdacht in der Schwangerschaft zunächst strahlungsfreie Diagnostikpfade vorsehen. Dafür sprechen zumindest Daten einer Kohortenstudie aus Kalifornien.

Update Radiologie

Bestellen Sie unseren Fach-Newsletter und bleiben Sie gut informiert.

Bildnachweise
Chilaiditi-Syndrom in einer CT-Aufnahme/© Peters F & Ritz J-P/ all rights reserved Springer Medizin Verlag GmbH, Initial potenziell instabile Läsion von BWK 10 bei Multiplem Myelom/© Kaufmann, J., Schmidberger, H. / all rights reserved Springer Medizin Verlag GmbH, Springer Medizin Podcast - Endometriose/© (M) Willer D. et al. / all rights reserved Springer Medizin Verlag GmbH Logo: Springer Medizin Verlag GmbH, Zentrale Lungenembolie/© Springer Verlag Berlin Heidelberg 2015, Volumetrie des Bulbus olfactorius/© Keweloh S.. et al. doi.org/10.1007/s00106-025-01650-z unter CC-BY 4.0, Gebrochener Fuß im Gips/© Aleksandr Kirillov / stock.adobe.com (Symbolbild mit Fotomodell), CT-Pulmonalisangiographie/© Das M et al. doi.org/10.1007/s00117-016-0100-3 unter CC-BY 4.0, Kanüle für Katheterbehandlung/© romaset / stock.adobe.com, Komplexe, offene Fraktur des Ellenbogens vom Grad 2/© Springer Medizin Verlag GmbH, Mann erhält einen CT-Scan /© Mark Kostich / stock.adobe.com (Symbolbild mit Fotomodell), Verschlussazoospermie bei unilateraler zystischer Alteration der Samenblase und kontralateraler Samenblasenagenesie/© Wittler C et al, Indikationen zur konventionellen Bildgebung am Ellenbogen/© Rentschler V et al. / all rights reserved Springer Medizin Verlag GmbH, Person schenkt Bier in Kolben/© Parilov / Stock.adobe.com (Symbolbild mit Fotomodell), Neoadjuvanten Strahlentherapie bei Liposarkom/© Podleska, L.E. et al. / all rights reserved Springer Medizin Verlag GmbH, Frau erhält eine Strahlentherapie/© Mark Kostich / stock.adobe.com (Symbolbild mit Fotomodell), Schaumiges Bronchialsekret bei akutem Lungenödem/© Eichner M. doi.org/10.1007/s00063-025-01258-9 unter CC-BY 4.0, Bildgebung bei akuter Organblutung/© Nadjiri J / all rights reserved Springer Medizin Verlag GmbH, Bildgebung bei Beckenfraktur mit Blutung der A. iliaca interna/© Fink CB et al. / all rights reserved Springer Medizin Verlag GmbH, Traumatische Aortenverletzung/© Maier J et al. / all rights reserved Springer Medizin Verlag GmbH, Oberbauchsonoraphie/© C. Raschka, Muzinöses Prostatakarzinom/© Garzaro JRR et al. / all rights reserved Springer Medizin Verlag GmbH, Intraspinales thorakales Lipom/© Andreas Frank / all rights reserved Springer Medizin Verlag GmbH, Frau bei Strahlentherapie/© (M) Mark Kostich / Stock.adobe.com (Symbolbild mit Fotomodellen), Search Icon, Frau hält sich eine Brustseite nach Mastektomie/© chotiga / Stock.adobe.com (Symbolbild mit Fotomodell), Radiologin richtet Mammographiescreening ein/© LIGHTFIELD STUDIOS / stock.adobe.com (Symbolbild mit Fotomodellen)