Zum Inhalt

Retreatment or replacement of previous endodontically treated premolars with recurrent apical periodontitis? An 8-year historical cohort study

  • Open Access
  • 01.04.2025
  • Research
Erschienen in:

Abstract

Objectives

The study evaluated previously-endodontically-treated premolars affected by periapical lesions and/or secondary caries requiring a multidisciplinary decision between (non-surgical) retreatment or extraction and implant replacement over an 8-year minimum follow-up.

Materials and methods

The decision-making was performed among a pool of patients attending a University Dental School. All patients presented at least one failing previously endodontically treated premolar. Recorded parameters were: structural conditions (residual coronal-structure, caries), periodontal and endodontic status (CEJ-MBL, initial-PAI, post-presence). Two experienced operators made the decision-making and classified teeth as retreatable and restorable (Endo-group) or suitable for extraction and implant replacement (Implant-group). Logistic regression and Cox-proportional-hazard analyses with clustered-standard-errors compared baseline-characteristics and treatment-outcomes. Odds-ratios (ORs) with 95% confidence-intervals (CIs) were reported for baseline-characteristics. Hazard-ratios (HRs) expressed the association of treatment-groups with time-to-event.

Results

Ninety-six patients (n = 124 premolars) were enrolled (49 M;47 F; mean-age 53.1 ± 11.6 years). The decision-making splitted 54.8% treatments to Endo-group (n = 68) and 45.2% to Implant-group (n = 56). The 8-year survival were 85.1% for Endo-group and 98.2% for Implant-group. The 8-year success were 80.5% and 93.9%. The HR from Cox regression favored Implant-group (HR = 0.12, P = 0.049). The Endo-group showed the highest number of critical complications (15%) due to fractures, despite the healing of lesions. Implant-group had a higher percentage of minor prosthetic complications (14%).

Conclusions

Endo-group demonstrated higher percentage of critical complications compared to Implant-group during the follow-up. Root fractures were accounted as main responsible, while periapical disease did not affect healing, survival and clinical longevity.

Clinical significance

Insufficient crown structure was the major parameter associated with root fracture. In these cases, implant replacement strategy represented an adequate therapy justified by the higher success compared to root canal retreatment.

Publisher’s note

Springer Nature remains neutral with regard to jurisdictional claims in published maps and institutional affiliations.

Introduction

One of the clinical problems that frequently afflicts the daily clinical routine is the evaluation of clinical treatment and the fate of seriously compromised teeth affected by periapical lesion, alteration of crown structure and restoration defects [1]. The presence of a previous root canal treatment and exacerbated periapical lesions increase the number of procedures and, as consequence, the need for a critical correct choice [1, 2]. As results, root canal retreatment and extraction and implant placement could be both considered and recommended, requiring the operator to select the best option and to predict the longevity of the treatment, eventual complications, risks and factors as pain, cost and number of appointments to complete the therapy [3]. Nevertheless, which treatment is more effective remains an open question.
The success rates for retreatments ranged from 65 to 85% over a ten years observation period [413] as shown in recent systematic review and meta-analysis on endodontic retreatments. Advances in both instrumentation and filling techniques did not significantly influence these values [1, 14]. On the other hand, implant rehabilitations demonstrate high survival and success rates over 6–10 years, ranging from 90 to 96% according to previously available clinical studies [1519]. The clinical decision-making is therefore critical and requires many considerations to analyse the numerous factors affecting the longevity of teeth and treatment efficacy [2024].
Non-surgical retreatments complications include persistent periapical exacerbations and apical reinfections during follow-up, often attributable to the recontamination of the endodontic space or to the incomplete removal of infected tissues [1, 2]. When not possible, surgical interventions (i.e. apical surgery) is necessary to remove the persistent apical lesion and to prolong the life of the endodontically-treated tooth [25].
Conversely, implant complications are lower in number, but could rapidly influence the long-term prognosis. Early implant biological complication (such as persistent inflammation of the peri-implant soft tissues, local infections and chronic occlusal overload) critically affects osseointegration phases and the rehabilitation longevity [25, 26].
The longevity of both teeth and implant rehabilitation are influenced by patient specific factors, including systemic health conditions, oral health status, supportive periodontal therapies and occlusal patterns, which could adversely affect the success of the treatments [27]. Different research groups [3, 5, 28, 29] suggested that experience, dental specialties, clinical background and treatment philosophies of the operator play a critical role and directly influence the clinical treatment [3, 3032]. Teeth morphology, root anatomy, age, and systemic conditions of the patients may also influence the decision-making [1, 6].
Previous Authors proposed a helpful index to assist operators in the decision-making [33], but the complexity of endodontic and non-endodontic clinical parameters - such as lack of coronal integrity, presence of crowns, intraradicular posts, periodontal and periapical infections - still represent masking factors and confounding conditions that increase the risk for errors [33]. It is difficult to directly compare the outcome of retreatments versus dental implant rehabilitations and, limited data from a low number of studies are available [29, 34, 35]. The different method to analyse and to compare the two options produced several discrepancies and incomplete results [29, 34, 35].
This historical cohort study evaluated previously endodontically-treated premolars affected by periapical lesion and/or deep secondary caries which required a multidisciplinary critical evaluation based on a (non-surgical) retreatment or extraction and implant rehabilitation. Their survival and success rates, complications and clinical parameters were compared in a clinical 8-year follow-up. The authors conceived a Decision-Making score (DM-Score) to determine the most suitable treatment on the basis of different structural, periodontal, and endodontic parameters.

Materials and methods

Study setting and patient selection criteria

The study was planned as a non-randomized historical prospective study on a cohort of patients followed for 8 years. The study was approved by the institutional ethical committee (CE AVEC ENDO IMPLANT RETRO 10.22) and registered in Clinical Trials.gov (NCT06250114). This work was written according to the STROBE guidelines for observational epidemiological studies [36] (Figure S1) and was conducted in full accordance with ethical principles, including the Declaration of Helsinki [37]. An informed consent was obtained from each participant.
Patients treated in the period from January 2007 to December 2015 were eligible. Demographic information including age, gender, smoking, and general health conditions were recorded. Patients were assigned to the clinical protocols and recall programme if they fulfilled the following inclusion criteria:
  • Good general health (ASA status 1–2);
  • Age between 18 and 75 years;
  • Local geographic provenience;
  • Similar socio-economic condition (medium-high education and economic level) [38];
  • Presence of at least one premolar with a failing root canal treatment with an uncertain decision making (to perform a nonsurgical retreatment or extraction and implant rehabilitation);
  • Possibility to attend to regular annual maintenance visits.
Exclusion criteria were the following:
  • General contraindication to implant surgeries;
  • Absence of a previous root canal treatment on the affected tooth;
  • Teeth that would serve as unit of multiple prosthetic rehabilitation;
  • Presence of vertical root fractures that lead to the impossibility to perform a secondary root canal treatment.
  • ASA score > 2;
  • Diabetes or any condition that could compromise bone healing or immune response;
  • Pregnancy, or breast feeding;
  • Heavy smoking (> 10 cigarettes/day);
  • Exposure to radiation therapy focused on the head and neck region;
  • Malignant disease directly involving the jaws.
The final evaluation was performed between January 2019 and December 2023 (Fig. 1).
Fig. 1
Flow chart depicting patient decision making and final 8-year outcome
Bild vergrößern

Retreatment versus extraction and implant replacement

The primary consideration for inclusion in the study was that both approaches had a sound clinical and biological rationale and proved acceptable in terms of cost for the patient.
Nevertheless, the final decision was always made by two operators based on their experience and adherence to evidence-based dentistry and best clinical practices [39].
The following parameters were considered and recorded for the decision-making process of each treatment:
  • Structural parameters: residual coronal structure (3 or 4 walls, 1 or 2 walls, 0 walls, full prosthetic reconstruction); presence of deep carious lesions (yes, no).
  • Periodontal parameters: distance between cervical enamel junction and first bone contact (CEJ–MBL) (≤ 3 mm, > 3 to < 6 mm, ≥ 6 mm) [24].
  • Endodontic parameters: initial PAI (1 or 2, 3 to 5); presence of post-retained core (yes, no).

Retreatment and post-endodontic reconstruction phases (Endo group)

Non-surgical root canal secondary treatment was performed in multiple visits and following standardized clinical protocols [9, 40]. All procedures were performed by clinical tutors of the endodontic master programme in multiple appointment. Reasons for retreatment included cases of re-exacerbated periapical lesions due to an incomplete filling of the root canal, radiographical evidences of missed canals or infiltration of the coronal restoration. When causes of apical re-exacerbation were not clear, a cone beam CT (CBCT) was performed prior to treatment.
In all cases, local anaesthesia was obtained, dental dam isolation was achieved, and a straight-line access was prepared using diamond burs mounted on high-speed water-cooled handpieces (W&H, Bürmoos Austria). Ultrasonic tips (StartX, Dentsply Maillefer) were used to remove any existing metal and fiber posts under magnification. Gutta-percha solvents (Endosolv E or Endosolv R, Septodont, Saint-Maur-des-Fossés, France) were used to soften the obturation core and an initial entry into the canal was made with Gates-Glidden burs #3 – #4 (Dentsply Maillefer, Ballaigues, Swiss) to approximately 5–6 mm depth in the gutta-percha. A K-file crown-down instrumentation technique was employed. Working length was established with the aid of an electronic apex locator (Root ZX, Morita, Tokyo, Japan) and radiographically confirmed. Between appointments, teeth were temporarily restored with a non-eugenol provisional dressing (Coltosol, Coltene AG, Altstätten, Switzerland) associated to a cotton pellet without the placement of intracanal medicament between [9, 40].
The irrigation protocol included a total amount of 5.0 mL of 5% NaOCl. In case of root calcification, each canal was subjected to further irrigation with 3 min of 1.0 mL 17% EDTA solution. Final flush was performed using 2.0mL sterile water solution. A carrier-based obturation technique (Thermafil, Dentsply DeTrey, Konstanz, Germany) with epoxy resin-based sealer (AH Plus, Dentsply Dental Trey) was used to complete the root canal filling. A temporary obturation was performed allowing the root canal sealer to completely set before final obturation procedures. Two to 3 weeks following root canal filling, a self-etching adhesive system (SE Bond, Kuraray Co., Ltd, Osaka, Japan) was applied. A light-curable flow (Gradia Direct Flow, and G Aenial Flo GC, Leuven, Belgium) was applied with bilaminar technique to fill the cavity floor / pulp chamber and a composite resin (Gradia Posterior and G Aenial Posterior, GC, Leuven, Belgium) was applied in a multilayering technique to complete the build-up.
Provisional crowns were prepared after 3 months from tooth build-up and fixed with a temporary cement (Temp Bond, Kerr, USA). Final metal-ceramic or zirconium single crowns were placed and cemented with a definitive powder liquid cement (Polycarboxylate, Heraeus Kulzer, Germany) after 6 months from tooth build-up. The crown rehabilitation was performed in 46 out of 68 (68%). All teeth were in occlusal contact and were not used as abutments for multiple fixed restorations.

Extraction and implant rehabilitation (Implant group)

Extraction and implant insertion procedures were performed according to standardized clinical protocol [4143].
For immediate placement, a 1.2 mm drill was used to prepare the alveolar socket, following the palatal bony walls as a guide. A series of calibrated drills were used under copious irrigation and at 225 rpm with sterile saline solution. Primary implant stability was obtained by anchoring the implant in the remaining apical portion of the socket at least 3 mm beyond the root apex area. Titanium implants (Prima Connex, Keystone, Burlington, MA, USA; Premium SP and Prama implants, Sweden & Martina, Padova, Italy) were placed to keep the blasted surface at cortical bone level smooth portion of the neck at soft tissue level. A 1.0 mm cover screw was then positioned and maintained for all the healing phases.
Early implant delivery was selected when the periapical infection at the moment of the extraction did not allow a correct placement. In this case, period of approximately 3 to 6 months was considered sufficient before implant placement. A 1.2 mm drill was used to mark the position, angle and depth. The drill passed through the mucosa, cortical bone and cancellous bone under copious saline irrigation. A series of twist and calibrated drills at 225 rpm was used and a site of the adequate depth and diameter was created whilst irrigating with sterile saline solution. A 1 mm cover screw was then positioned and maintained for all the healing phases.
Loading procedures were performed 3 months after implant insertion. Briefly, impressions were taken in customised resin trays with polyether materials (Permadyne and Garant, 3 M ESPE, St Paul, MN, USA). Customised abutments were positioned after 7–15 days and provisional crowns cemented in the same session with a zinc oxide eugenol cement (Temp Bond, Kerr, USA). After one-month, definitive metal-ceramic rehabilitations were luted with a polycarboxylate powder/liquid cement (Heraeus Kulzer, Hanau, Germany).

Radiographical analysis and recall procedures

The periapical radiographs and clinical data were used to classify the final outcome in both treatments. Each patient was checked during the routine recall visit and inspected by one of two examiners for coronal/crown integrity, periapical radiographic status (Endo group) and radiographic bone level stability (Implant group). Radiographs were taken using the paralleling technique and dental intraoral films (Kodak, Rochester, NY, USA). Exposure time of each filling was standardised, and a film holder was used (Rinn Corp., Elgin, IL, USA). Radiographic evaluation was performed pre- and post-operatively, every 1–2 years, when the clinical symptoms or coronal status required a further radiographic inspection, and at the endpoint by one additional examiner blinded to the study. The following periapical radiographs were analysed by two independent examiners: before the treatment, at the moment of the treatment (root canal filling or implant insertion), at 4-year and at 8-year follow-up.
Periapical index (PAI) [44] was used to monitor the periapical lesion status and their modifications during the follow-up examinations. PAI was evaluated in single blind by two additional operators (who did not participate in the root canal treatment procedures).

Root canal retreatment outcome

Prior to radiographic evaluation, the examiners were calibrated using pre-defined instructions and reference radiographs with various types of periapical lesions. At the endpoint, periapical tissues were classified on the basis of PAI as follows:
  • Healthy: absence of radiographic signs of periapical lesions (PAI ≤ 2), and absence of clinical signs and symptoms including no tenderness to percussion (strict criteria). Healthy teeth determined the success rate of the study [40, 45].
  • Persistent apical periodontitis: radiological signs of endodontic disease (PAI ≥ 3) during follow-up [40, 45].
Survival rate
number of healthy and endodontic lesion still functional at the end line of the study.
Complications were assessed and divided as:
  • Minor: complications that did not affect the endodontic retreatment outcome (both success and survival) (e.g. prosthetic complications).
  • Major: complications that affected the endodontic outcome/healing/success and required a reintervention but did not undermine tooth survival (e.g. persistent periapical lesion).
  • Critical: complications that affected the survival rate of the tooth (e.g. fractures).

Implant rehabilitation outcome

The crestal marginal bone and the bone-implant contact were examined to evaluate the marginal bone level (MBL). MBL was assessed at the mesial and distal implant surfaces by measuring the distance between the reference point of the implant platform to the most coronal bone-to-implant contact level using a scale divided into 0.1 mm steps and corrected according to the known height and width of each implant. Radiographic evaluation was performed in single-blind by two additional examiners. Before evaluating the radiographs, the examiners were calibrated by using well-defined instructions and reference radiographs with different marginal bone level measures.
An estimate for the Survival rate was calculated as the number of implants still functional at the end line of the study. A complementary Success rate was calculated according to traditionally accepted criteria and included lack of mobility, lack of infection or suppuration, MBL < 1.0 mm in the first year, and < 0.2 mm increase for each subsequent year [4649].
Complications were assessed and divided as:
  • Minor: complications that did not affect the implant outcome and survival and success (e.g. prosthetic complications);
  • Major: complications that affected the implant radiological and aesthetic success but did not affect survival (e.g. MBL losses more than 1 mm after 1 year and 0.2 mm after subsequent years or soft tissue dehiscence with exposure of the implant neck);
  • Critical: complications that affected the survival rate implant (e.g. peri-implantitis).

Development of a decision-making score (DM-score)

A numerical score was retrospectively constructed to define and create a score for future clinical applications. Various scoring values were assigned to the structural, periodontal and endodontic parameters previously recorded (Table 1). The Decision-Making Score was developed to define strict clinical criteria supporting the operator during the decision-making step.
Table 1
Decision making score used to establish the endo-group and Implant-group
 
Value
Coefficient
Output
Structural Parameters
   
Residual coronal structure
   
 3 or 4 residual walls
+ 1
+ 4
+ 4
 1 or 2 residual walls
−1
+ 4
−4
 No residual walls
−2
+ 4
−8
 Full reconstruction
−2
+ 4
−8
Deep carious lesions
   
 No
+ 1
+ 2
+ 2
 Yes
−1
+ 2
−2
Periodontal Parameters
   
CEJ–MBL distance, mm
   
 ≤ 3
+ 1
+ 3
+ 3
 > 3 to < 6
−1
+ 3
−3
 ≥ 6
−2
+ 3
−6
Endodontic Parameters
   
Initial PAI
   
 1 or 2
−1
+ 2
−2
 3 or 4
 5
+ 1
−1
+ 2
+ 2
+ 2
−2
Preoperative post
   
 No
+ 1
+ 2
+ 2
 Yes
−1
+ 2
−2
Notes: Negative values lead to higher indications for tooth extractions; positive values lead to higher indications for secondary retreatment. Coefficients were constructed in order to establish a “priority/gravity” for each parameter. A higher coefficient corresponds to a lower indication for secondary endodontic treatment.
Based on data from the literature, coefficients of importance/severity were applied to the parameters that may critically affect the tooth prognosis/survival, guide the operator to the clinical decision and influencing the tooth prognosis towards extractions.
These include reduced residual coronal structure (× 4) [22], periodontal bone loss (× 3) [24], presence of a deep carious lesion (× 2), and presence of intraradicular post (× 2) [7, 22, 50] and presence of a periapical lesion (× 2). Following literature guidelines and prior decision-making studies [28, 50, 51], higher coefficients were assigned to factors posing a greater risk of failure, undermining tooth survival (coefficients 4 and 3). Lower coefficients were assigned to factors inducing a minor risk to tooth survival. The presence of a previous post was not scored with a high priority due to the standardized endodontic protocol and operators’ endodontic expertise.
Each parameter was assigned specific values (+ 1; -1; -2) reflecting the severity of tooth compromise or endodontic disease. Positive values indicate a higher likelihood of successful resolution with root canal retreatment, while negative values indicate a lower likelihood of improvement with retreatment. The total output (Value × Coefficient) was finally calculated. Positive values (closer to 0) indicated better prognosis and favoured secondary root canal retreatment (Endo group) while negative values indicated a worse prognosis and favoured extraction (Implant group).
As a result, implant-rehabilitation mean score was − 5.6 ± 5.4 while root-canal-retreatment mean score was 0.4 ± 5.3, with a statistically significant difference of − 5.9 (95% CI − 7.8 to − 4.0, P-value < 0.001).

Statistical analysis

Numerical variables were summarised as mean ± standard deviation; categorical variables were summarised as frequencies and percentages. Crude differences in baseline characteristics between the two treatment groups were assessed by means of simple logistic regression analysis with clustered standard errors to allow for intragroup correlation within teeth belonging to the same patient. Results were expressed for each variable as odds ratios (ORs) of implant rehabilitation to root canal retreatment with 95% confidence intervals (CIs). A similar approach was used to compare mean decision-making scores, but a linear model was used in place of a logistic model.
Survival and treatment success for the two study groups were estimated using the Kaplan–Meier method using the date of surgery as the time origin and treating losses to follow-up as right-censored data. The association of treatment group with time to event was assessed using Cox proportional hazard regression analysis with clustered standard errors to allow for intragroup correlation within teeth belonging to the same patient. Results were expressed as hazard ratios (HRs) of experiencing the study event among implants as compared to root canal retreatments with 95% CIs. The proportional-hazards assumption was confirmed after checking for nonzero slope of scaled Schoenfeld residuals on time.
In a sensitivity analysis, Cox regression was rerun using weights based on propensity-for-treatment scores in order to fully balance baseline demographic and anatomical characteristics in the two study groups. Multiple Additive Regression Trees (MART) gradient boosting was used to estimate the propensity to be assigned to one treatment or the other with a set of explanatory variables including sex, age, tooth location, and tooth type. As a rule of thumb, the following settings were adopted for regularisation: maximum tree depth of 5 interactions; maximum of 20,000 iterations; 50% bagging; 0.01 shrinkage factor. Each observation was weighted by the reciprocal of the probability of receiving the treatment that was actually received, which is known as inverse probability treatment weighting (IPTW). Weights were truncated at the 99th percentile. Mean differences in PAI (for Endo group) and MBL (for Implant group) were estimated with linear regression analysis with clustered standard errors.
All analyses were carried out using Stata software, version 17 (StataCorp, College Station, TX, USA). The significance level was set at 5%, and all tests were two-sided.

Power analysis

The Endo-group 8-year survival rate was estimated at 80%. An anticipated improvement in survival for the Implant group, corresponding to a hazard ratio of 0.10 (approximately 98% 8-year survival rate), was to be detected with 80% power using a two-sided log-rank test at a 0.05 significance level, assuming 1:1 allocation. A total of 12 events (failures) were required to achieve 80% power for detecting a hazard ratio of 0.10. Based on this, the estimated total number of units needed to observe 12 events was 106, with a minimum of 53 units per group.

Results

A total of 96 patients (49 males and 47 females, mean age 53.1 ± 11.6 years) were considered eligible in the study. After the pre-operative clinical evaluation, retreatments were performed in 68 teeth (54.8%) as Endo group. Extractions followed by implant placements were effectuated in 56 teeth (45.2%) and included in the Implant group (Table 2).
Table 2
Baseline characteristics of the premolars included in the study (n = 124)
 
n (%)
Patient Characteristics
 
Sex
 
 Male
63 (50.8%)
 Female
61 (49.2%)
Age group, y
 
 <60
88 (71.0%)
 ≥60
36 (29.0%)
Anatomical Characteristics
 
Tooth location
 
 Maxilla
85 (68.5%)
 Mandible
39 (31.5%)
Tooth type
 
 First premolar
47 (37.9%)
 Second premolar
77 (62.1%)
Structural Characteristics
 
Coronal integrity
 
 Prosthetic crown
40 (32.3%)
 No residual walls
15 (12.1%)
 1 residual wall
19 (15.3%)
 2 residual walls
17 (13.7%)
 3 or 4 residual walls
33 (26.6%)
Deep carious lesion
 
 No
70 (56.5%)
 Yes
54 (43.5%)
Periodontal Characteristics
 
CEJ–MBL distance, mm
 
 ≤3
68 (54.8%)
 >3 to < 6
46 (37.1%)
 ≥6
10 (8.1%)
Endodontic Characteristics
 
PAI at baseline
 
 1 or 2
40 (32.3%)
 3 to 4
 5
82 (66.2%)
2 (1.7%)
Preoperative intra-canal post
 
 No
74 (59.7%)
 Yes
50 (40.3%)

Baseline characteristics and likelihood of endo vs. implant

Baseline characteristics of pre-operative parameters of teeth are summarised in Tables 3a and 3b. No significant differences in demographic and anatomical characteristics were found between the two groups (Table 3a).
Table 3
a. patient and anatomical characteristics of premolars after clinical decision making and dichotomized in endo-group or Implant-group
 
Endo group
(n = 68)
Implant group
(n = 56)
Odds Ratio
(95% Confidence Interval)
P-value
Patient Characteristics
    
Sex
    
Male
31 (45.6%)
32 (57.1%)
Ref.
 
Female
37 (54.4%)
24 (42.9%)
0.63 (0.29, 1.38)
0.246
Age group, y
    
< 60
52 (76.5%)
36 (64.3%)
Ref.
 
≥ 60
16 (23.5%)
20 (35.7%)
1.81 (0.79, 4.13)
0.161
Anatomical Characteristics
    
Tooth location
    
Maxilla
49 (72.1%)
36 (64.3%)
Ref.
 
Mandible
19 (27.9%)
20 (35.7%)
1.43 (0.63, 3.28)
0.395
Tooth type
    
First premolar
27 (39.7%)
20 (35.7%)
Ref.
 
Second premolar
41 (60.3%)
36 (64.3%)
1.19 (0.61, 2.30)
0.615
*P-value ≤ 0.05
Table 3
b. structural, periodontal, and endodontic characteristics in endo-group vs. Implant-group)
 
Endo group
(n = 68)
Implant group
(n = 56)
Odds Ratio
(95% Confidence Interval)
P-value
Structural Characteristics
    
Coronal integrity
    
Prosthetic crown
15 (22.1%)
25 (44.6%)
Ref.
 
No walls
3 (4.4%)
12 (21.4%)
2.40 (0.57, 10.14)
0.234
1 residual wall
11 (16.2%)
8 (14.3%)
0.44 (0.14, 1.36)
0.153
2 residual walls
15 (22.1%)
2 (3.6%)
0.08 (0.02, 0.41)
0.002*
3 or 4 residual walls
24 (35.3%)
9 (16.1%)
0.23 (0.08, 0.65)
0.006*
Deep carious lesion
    
No
30 (44.1%)
40 (71.4%)
Ref.
 
Yes
38 (55.9%)
16 (28.6%)
0.32 (0.14, 0.69)
0.004*
Periodontal Characteristics
    
CEJ–MBL distance, mm
    
≤ 3
42 (61.8%)
26 (46.4%)
Ref.
 
> 3 to < 6
25 (36.8%)
21 (37.5%)
1.36 (0.59, 3.10)
0.470
≥ 6
1 (1.5%)
9 (16.1%)
14.5 (1.60, 132.2)
0.017*
Endodontic Characteristics
    
PAI at baseline
    
1 or 2
8 (11.8%)
32 (57.1%)
Ref.
 
3 to 5
60 (88.2%)
24 (42.9%)
0.10 (0.04, 0.28)
< 0.001*
Preoperative intra-canal post
    
No
46 (67.6%)
28 (50.0%)
Ref.
 
Yes
22 (32.4%)
28 (50.0%)
2.09 (0.92, 4.76)
0.079
*P-value ≤ 0.05
Conversely, significant differences were observed in relation to baseline parameters such as residual coronal structure, deep carious lesions, CEJ–MBL distance and PAI. In particular, ≥ 2 residual dentine walls, deep carious lesions and PAI values ≥ 3 were associated with increased likelihood of root canal retreatment, while preoperative CEJ–MBL distance ≥ 6 mm was associated with increased likelihood of replacement with dental implant (Table 3b).

Outcome measures

Survival rate in Endo and Implant groups

As shown in Table 4, the 8-year survival rates of Endo and Implant groups were 85.1% (95% CI 74.0–91.7%) and 98.2% (95% CI 88.0–99.8%), respectively, with a HR resulting from Cox regression equal to 0.12 (95% CI 0.01 to 0.99, P-value = 0.049) favouring implant treatment. Specifically, critical complications in the Endo group were due to fractures in eight cases (12%), periodontal lesions in one and recurrent endodontic lesion in one case. In the Implant group, a critical complication for periimplantitis was observed after six months.
Table 4
Eight-year survival and success rate (%) for Endo vs. Implant-group
 
Endo group
Implant group
Est.
95% CI
Est.
95% CI
Survival
85.1
74.0, 91.7
98.2
88.0, 99.8
Success
80.5
68.8, 88.2
93.9
82.3, 98.0
Notes: Success for root canal retreatments is no extraction or reintervention, while success for implants is no extraction, biological complication, mucositis or bone loss > 2 mm
CI, confidence interval

Success rate

As shown in Table 4; Fig. 2, the eight-year success rate of Endo and Implant-group was 80.5% (95% CI 68.8–88.2%) and 93.9% (95% CI 82.3–98.0%), respectively, with a HR resulting from Cox regression equal to 0.28 (95% CI 0.08 to 1.04, P-value = 0.057) in favour of Implant group. Specifically, in addition to the ten extractions listed earlier, one premolar underwent a surgical apicoectomy and two were additionally retreated due to presence of persistent periapical lesions (PAI 4).
Fig. 2
Kaplan–Meier survivor estimates of time to critical or major complications after surgical treatment in retreated vs. extracted and implanted premolars.
Bild vergrößern

Complications

In the Endo-group, critical and major complications resulted higher in comparison to the Implant group (Fig. 3). Two minor prosthetic complications were observed in the Endo-group (2 out of 68).
Fig. 3
Graph reporting complications/events occurred during the eight-year follow-up in Implant rehabilitation and Root canal Retreatment group. Minor complications include prosthetic complications; major complications include periapical lesion re-exacerbations requiring a reintervention; critical complications include teeth extracted for root fracture, periodontal loss, and endodontic reasons (fistula and persistent symptomatology). Unhealed teeth are teeth with a stable asymptomatic lesion.
Bild vergrößern
Table 5 reports the number of healed teeth, extractions, and unhealed teeth in the Endo-group according to structural, periodontal, and endodontic parameters. Critical complications (followed by extractions) occurred more frequently when residual crown structure was compromised.
Table 5
Number and percentages of healthy, unhealed, and extracted teeth in the Endo group according to structural, periodontal, and endodontic parameters after 8 years of follow-up
 
Healed/healthy
(n = 54)
Unhealed/Reintervention
(n = 4)
Lost during follow-up
(n = 10)
Unhealed/reintervention vs. Healed/healthy
Lost during follow-up vs. Healed/healthy
OR (95% CI)
P-value
OR (95% CI)
P-value
Structural Characteristics
       
Coronal integrity
       
 Prosthetic crown
11 (73.3%)
1 (6.7%)
3 (20.0%)
Ref.
   
 No walls
2 (66.7%)
1 (33.3%)
0 (0.0%)
4.69 (0.05, > 100)
0.371
1.76 (0.02, 46.79)
1.000
 1 residual wall
7 (63.6%)
0 (0.0%)
4 (36.4%)
1.54 (0.02, > 100)
1.000
2.03 (0.26, 18.44)
0.656
 2 residual walls
13 (86.7%)
1 (6.7%)
1 (6.7%)
0.85 (0.01, 72.39)
1.000
0.29 (0.00, 4.29)
0.596
 3 or 4 residual walls
21 (87.5%)
1 (4.2%)
2 (8.3%)
0.53 (0.01, 44.82)
1.000
0.36 (0.03, 3.64)
0.346
Deep carious lesion
       
 No
21 (70.0%)
2 (6.7%)
7 (23.3%)
Ref.
   
 Yes
33 (86.8%)
2 (5.3%)
3 (7.9%)
0.64 (0.04, 9.48)
1.000
0.28 (0.04, 1.39)
0.090
Periodontal Characteristics
       
CEJ–MBL distance, mm
       
 ≤ 3
32 (76.2%)
3 (7.1%)
7 (16.7%)
Ref.
   
 > 3 to < 6
21 (84.0%)
1 (4.0%)
3 (12.0%)
0.51 (0.01, 6.90)
0.652
0.66 (0.10, 3.30)
0.729
 ≥ 6
1 (100.0%)
0 (0.0%)
0 (0.0%)
9.38 (0.10, > 100)
0.207
4.34 (0.05, > 100)
0.356
Endodontic Characteristics
       
PAI at baseline
       
 1 or 2
8 (100.0%)
0 (0.0%)
0 (0.0%)
Ref.
   
 3 to 4
45 (76.3%)
4 (6.8%)
10 (16.9%)
0.72 (0.06, 39.35)
1.000
1.76 (0.19, 86.67)
0.692
 5
1 (100.0%)
0 (0.0%)
0 (0.0%)
6.00 (0.05, > 100)
0.346
6.00 (0.05, > 100)
0.346
Preoperative intra-canal post
       
 No
38 (82.4%)
3 (6.7%)
4 (8.9%)
Ref.
   
 Yes
16 (69.6%)
1 (4.3%)
6 (26.1%)
0.79 (0.01, 10.79)
1.000
3.48 (0.72, 19.21)
0.080
Notes: Due to small sample sizes, statistical inference was conducted using exact logistic regression analysis, which produces conditional maximum likelihood estimates
In the Implant group, two major complications (bone losses > 2 mm in the 4–8 years follow-up) were observed. During the follow-up, eight implant rehabilitations showed minor complications that led to a prosthetic reintervention, namely five recurrent abutment loosening, two coronal chipping and one recurrent crown decementation (8 out of 56 [14.3%]).
Propensity-score sensitivity analysis confirmed a borderline-significantly lower risk of incurring in biological complications or extractions (i.e., better healing) in the Implant group as compared to the Endo-group (HR 0.31, 95% CI 0.08 to 1.17, P-value = 0.084). Similarly, difference in tooth/implant survival failed to achieve statistical significance (HR 0.13, 95% CI 0.02 to 1.06, P-value = 0.057).

PAI evaluation in the Endo group

Cross tabulation of initial versus final PAI in the Endo-group was reported in Table 6. Among the 68 root canal retreatments that did not incur into critical complications, mean baseline PAI was 3.2 (95% CI 3.0 to 3.4) while mean eight-year PAI was 1.1 (95% CI 1.03 to 1.24), with a statistically significant mean reduction of 2.1 points (95% CI 1.8 to 2.3, P-value < 0.001).
Table 6
Cross-table of final PAI against initial PAI of teeth which underwent root canal retreatment. Extractions were added as an ultimate sixth stage
 
Final PAI 8 years (n)
Healthy
Endodontic lesion
Extractions
Initial PAI
1
2
3
4
5
 
1 (n = 1)
1
-
-
-
-
-
2 (n = 7)
6
1
-
-
-
-
3 (n = 37)
26
4
-
-
-
7
4 (n = 22)
17
1
1
-
-
3
5 (n = 1)
1
-
-
-
-
-

MBL evaluation in the implant group

The distribution of MBL classes is presented in Table 7. Among the 56 implants, mean MBL at four years was 0.95 mm (95% CI 0.82 to 1.09) and 1.25 mm at eight years (95% CI 1.09 to 1.40), respectively, with a statistically significant MBL increase of 0.29 mm (95% CI 0.19 to 0.40, P-value < 0.001). Representative cases of teeth included in the study with an 8-year follow-up are shown in Figs. 4 and 5.
Table 7
Percentage distribution of marginal bone level (MBL) values (mm) of implants at four and eight years of follow-up
Grouped MBL at 4 years
Total
(n = 56)
Grouped MBL at 8 years
0 to 1 mm
> 1 mm to 2 mm
> 2 mm to 3 mm
Lost to FUP*
(n = 28)
(n = 24)
(n = 2)
(n = 2)
0 to 1 mm
43 (77%)
28 (100%)
13 (54%)
0 (0%)
2 (100%)
> 1 mm to 2 mm
12 (21%)
0 (0%)
11 (46%)
1 (50%)
0 (0%)
> 2 mm to 3 mm
1 (2%)
0 (0%)
0 (0%)
1 (50%)
0 (0%)
*Patients prematurely deceased within 3 and 4 years of surgery
Fig. 4
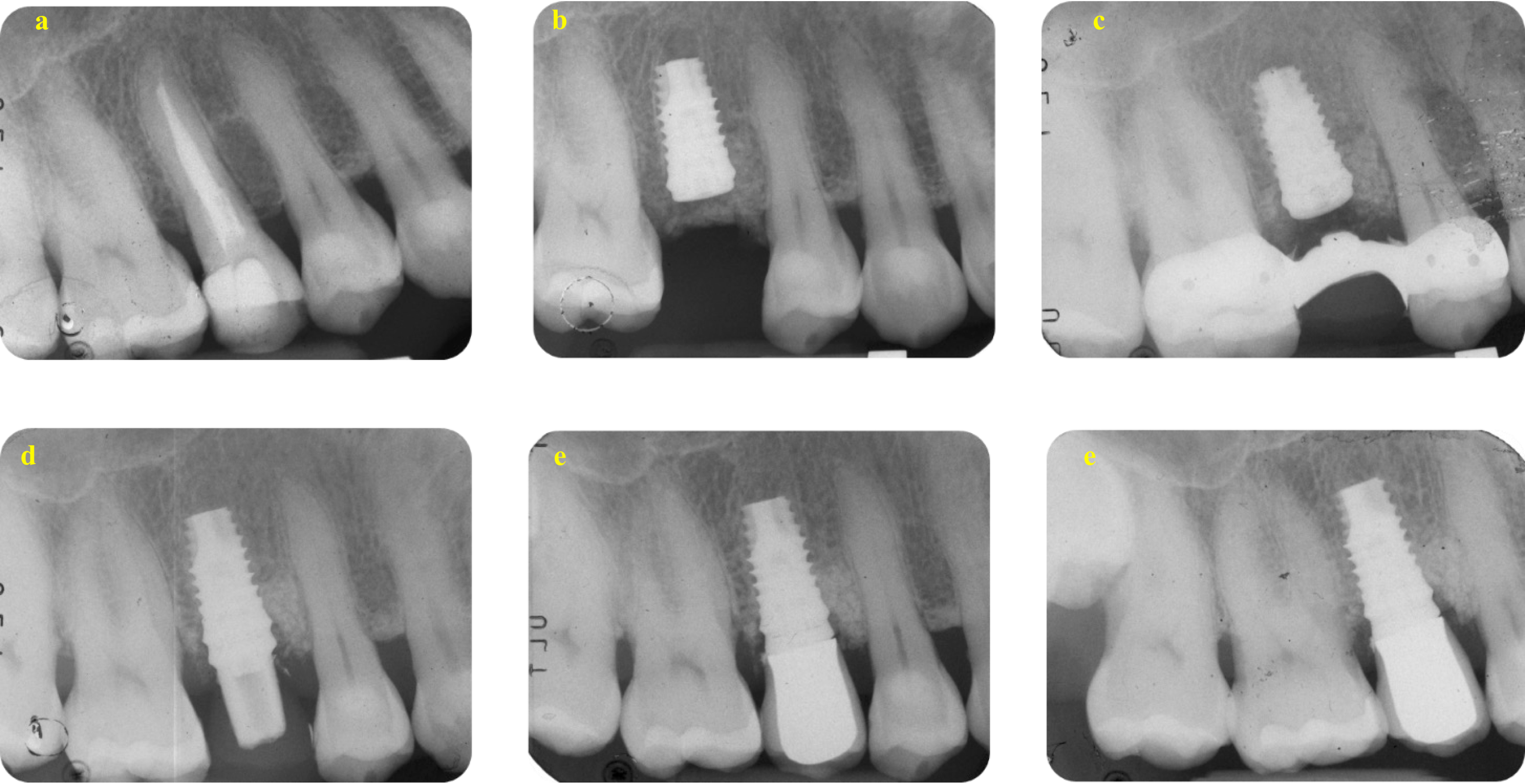
A representative case on the Endo group. (a) The DM-Score was + 1 and suggested a root canal retreatment. Score was calculated as follows: no residual walls (-8), no deep carious lesion (+ 2), CEJ MBL distance was less than 3 mm (+ 3), initial PAI was 3 (+ 2) and no preoperative post was present (+ 2). (b) Root canal obturation was made using a carrier-based technique associated to an epoxy-resin based sealer. (c) post endodontic reconstruction was performed after 14 days from filling. (d) A carbon post was inserted and tooth was prepared to receive a provisional crown that was maintained up to 6 months. (e) After 6 months, a definitive crown was cemented. (f) After 8 years, periapical tissues are stable and healthy, with no modifications
Bild vergrößern
Fig. 5
A representative case of the Implant group. (a) The DM-Score was − 5 and suggested an extraction and implant placement. Score was calculated as follows: 2 residual (non-infiltrated) walls (-4), deep carious lesion (-2), CEJ MBL distance was less than 3 mm (+ 3), initial PAI was 2 (-2) and no presence of a preoperative post (+ 2). (b) Extraction was performed and early implant insertion was scheduled due to the presence of a periapical infection. (c) A cemented-retained Maryland bridge had been positioned as “interim prosthesis” for all the healing period. (d) After 3 months a customised abutment and a provisional crown was positioned. (e) After 28 days, a definitive metal ceramic crown was cemented. (f) Periapical radiographs after 8 years showed MBL stability
Bild vergrößern

Discussion

This non-randomized historical prospective clinical study evaluated the outcome of two different approaches in the rehabilitation of compromised endodontically-treated premolars. All participants were obtained among a pool of patients sent for decision making at the University Endodontic Department to obtain a definitive selection of the therapy. The strict inclusion criteria adopted in this study minimized clinical variabilities affecting tooth anatomies and root canal morphologies. The study also evaluated the impact of pre-operative parameters on clinical outcome. The type and frequency of complications, as well as the progression and number of failure events in both clinical treatments were analysed over a minimum 8-year period.
The study demonstrated statistically higher survival rates of Implant-group (98%) with respect to the Endo-group (85%). Clinical investigations which dedicated attention on implants survival rate at 8–10 years [5255] are aligned with the results collected by this comparative study. Investigations on retreatment strategies demonstrated percentage of clinical and radiographical success not far from those reported by the present study [9, 24, 35, 56]. The success rate of retreatments at 8–10 years was reported ranging between 75 and 85%, a lower percentage with respect the replacement strategy.
The filling technique and type of sealer used, namely carrier-based approach associated to epoxy resin-based sealer, was chosen as considered the gold standard at the moment of treatment performance. Additionally, it was selected due to its rapid learning curve and ease of adoption in postgraduate clinical practice [9]. Previous studies evidenced a good marginal seal, deep penetration of the sealer in dentinal tubules [57] and higher flow of epoxy resin-based sealers compared to other materials [58]. Recent systematic reviews and meta-analyses also confirmed the stability and the validity of epoxy resin based obturations compared to other more recently introduced sealers [59, 60].
The primary causes of clinical failures reported in these investigations were predominantly non-endodontic, such as root fractures and losses attributed to periodontal conditions [10, 13, 19, 24]. In several studies the percentage of extractions was documented but specific data on failure causes were not provided [35, 56]. A previous systematic review and meta-analysis also reported a percentage of clinical success of 76% at 4 years [6], a critical time for endodontic treatments according to international guidelines [61]. Considering all these factors, we decided to assess the treatment outcomes over a longer timeframe, specifically with an 8-year follow-up. The main clinical parameter adopted in our study for Endo-group was the PAI score, as it reliably indicates the status of bone periapical lesions [62]. It should be specified that a complete success (healing) of the secondary root canal treatment (according to strict criteria) is more difficult to obtain when compared to implant rehabilitations, as it implies the healing of a previous periapical lesion (PAI > 2), absence of pain, symptomatology and absence of any endodontic complications during follow-up. In addition, the longevity of coronal seal, integrity of direct and indirect restorations, factors not related to the secondary endodontic treatment, could also critically affect the final outcome [6, 7]. In the Endo group, a higher presence of functional teeth could be expected in 10–20 long term follow-ups, teeth that shows a persistent periapical radiolucency (teeth with apical scar formation) but remain clinically asymptomatic [8, 24, 45]. These teeth are usually considered as failed endodontic cases (according to strict criteria) but successful in accordance to “loose criteria”.
In the implant group it is less frequent to observe such situation. Indeed. cases with increased MBL in the first months from implant insertion usually end up with a lower long-term prognosis [48, 49]. These data confirm that implant success is highly-related to the bone stability of the first months osseointegration events (type of implant placement and loading). Marginal bone loss (MBL), used as an indicator of osseointegration [4648], provided strong evidence of long-term peri-implant bone stability. The findings from this study support the conclusion that most of implant procedures were free from significant complications such as bone defects, gingivitis, and peri-implantitis. Our study showed that prosthetic protocols and loading procedures were not responsible for extensive bone loss, which could have affected the long-term follow-up period. Appearance of peri-implant bone defects occurred in a small number of patients, in line with traditional success criteria [63, 64]. It is important to note that implants were placed in extraction sockets of endodontically-treated premolars which presented a previous periapical lesion (abscess or chronic periapical disease with recurrent infections). This condition is frequent in an Endodontic Department and represents a complex clinical scenario. The bone quality in extraction sites affected by periapical lesion (i.e. acute periapical lesion) has been evaluated by other investigations [6570]. The risk for periimplantitis and early failures associated with bacteria permanence and/or bone defect healing is critical [6570]. Implants placed in post-endodontic sites usually presented higher risk for bone loss and periimplantitis in the early time [65, 67]. In our study, one case of peri-implantitis was observed after six months. The careful evaluation of the socket, standardization of surgical procedures, and inclusion in a recall program may have positively influenced the overall outcomes. Notably, the different implant types used in this investigation did not impact marginal bone loss (MBL), despite variations in implant neck morphology and surface design.
In the Endo-group, root fracture was the most common complication, mostly occurring after four years, as shown in the Kaplan-Meier analysis. The presence of one or less residual walls and the presence of a previous prosthetic crown were identified as the most critical factors associated with root fractures. The significance of preoperative structural integrity of crown has been highlighted in another clinical study [22]. Root fracture was more frequently observed when less than 30% of the original tooth structure was present before the root canal retreatment [22]. The clinicians must keep in account this biomechanical limit [71, 72]. Another explanation may be in relationship with the long-term activity of root canal irrigant solutions inducing collagen degradation [73, 74]. The extensive reduction of the canal walls by shaping protocols after treatment and retreatment procedures [75] and the intrinsic fragility of premolar roots are other possible explanations of long-term mechanical failures. Hence, the study makes evident that root fractures more than endodontic failures (i.e. not healed periapical lesion) are the main reasons for clinical complications occurred during the 8-year observation period [76]. The presence of apical re-exacerbation during the follow-up, followed with clinical symptomatology was a very low event (5.8%) requiring an endodontic reintervention. An additional retreatment was performed in cases where the endodontic space was still accessible without compromising the overall integrity of the tooth, such in cases of new metal-ceramic or zirconia rehabilitations. In this case (one tooth), surgical apicoectomy allowed to remove the apically infected area and to resolve the symptomatology. Surgical apicoectomy was therefore performed only when the orthograde retreatment is not feasible [77], offering a more favorable early success, but a less favorable long-term outcome [25]. It is evident that the presence of a pre-operative PAI indicative for periapical lesion did not represent a critical factor that guided the pre-operative decision. Previous studies well described the different approach deserved by endodontist or other clinician to the management of endodontically complex cases [3, 28].
Prosthetic complications (recurrent crown decementation or coronal chipping) were included as minor complications, being conditions not responsible for rehabilitation longevity. Issues were primarily observed in the Implant-group, as 15% of crowns were affected. In contrast, limited prosthetic complications (3%) were noted in the Endo-group. It is well-known that implant rehabilitations may present prosthetic complications in the long-term i.e. abutments screw loosening or coronal chipping [78].
As a secondary aim, the study retrospectively analysed the pre-operative parameters that influenced the clinical decision to select one of the treatments (Endo or Implant groups). In this way it was possible to re-evaluate the correctness of choice that guided the preoperative decision.
Interestingly, the presence of an intraradicular post was not a significant parameter that influenced the clinical decision making (p > 0.050), despite the fact that post removal could be a significant aspect for the treatment sequence. The removal of a post may increase the risk of failure in the long term in non-skilled operators [79]. However, the adopted clinical protocol and operator expertise may have influenced final outcome [80, 81]. Previous studies confirmed this trend, showing that endodontic specialists were more skilled and trained than general dentists to perform a root canal retreatment in presence of an endodontic post [3] and that different decision-making could be expected when in presence of endodontically affected tooth with crown deficit/alterations [3, 30, 82].
Root canal secondary treatment for premolars may have higher chances of failure compared to anterior groups, possibly due to their reduced coronal structure and higher variability of the root canal morphology [82, 83]. Premolars present the highest incidence of vertical root fractures [84, 85], have the smallest mesiodistal root diameter [84, 86] and high palatal and buccal stress concentration areas during function [86, 87]. The greater risk of failure of premolars has been also recently highlighted in a retrospective investigation on over one million endodontic treatments, reporting lower survival rates of premolars (approx. 90%) when compared to anterior teeth (approx. 95%) after 11 years of follow-up [88]. The choice to have restricted the analysis to these teeth must be considered. Their intrinsic “fragility” could have influenced the results. The high 8-year survival rate of both Endo and Implant group, comparable to the values reported in literature [9, 24, 40, 54] confirms the reliability of the decision making performed by the operators and could support clinical applicability of the conceived DM-score in identifying the most appropriate treatment.
As final consideration, this study focused exclusively on teeth affected by periapical lesions and previously treated with endodontic procedures—a common occurrence in clinical practice. The pre-operative condition of these teeth was so compromised that both treatment options—secondary root canal therapy or extraction with implant placement—were considered ethically-acceptable. Both options are complex procedures requiring a highly skilled and well-coordinated team with extensive knowledge in prosthetic rehabilitation. Collecting and evaluating clinical parameters to inform the pre-operative decision-making process is a complex and detailed task. The experience and protocol expertise of the operator play a critical role, necessitating a high level of skills.
The study has some limitations. The retrospective analysis of decision-making may involve recall bias, and the 8-year follow-up might not capture very long-term outcomes (10 to 20 years), especially for implants. Finally, the operator expertise and standardized protocols may not reflect general practice in non-university set ups. Further randomized trials with longer follow-ups and diverse populations are needed to validate these findings.

Conclusions

This 8-year clinical study demonstrated that:
1.
Endo-group showed greater critical and major complication that lead to lower percentage of teeth in clinical function (85.1%) with a success rate of 80.5%. These percentages were in line with literature data.
 
2.
The main reason for Endo-group failures was based on the high number of root fractures observed after 4–8 years. It is not a failure of endodontic therapy per se but is a consequence of reduced crown structure and retreatment irrigation protocols.
 
3.
Implant-group displayed less critical complications during the follow-up and higher survival rate (98%).
 
4.
The strategy to replace teeth with implants led lower critical or major complications but higher prosthetic complications.
 
The management of endodontically treated teeth and still affected by periapical lesion and by coronal alterations require great attention. A multidisciplinary approach is therefore required to treat such complex cases [89].

Declarations

Ethical approval

by the regional ethical committee (CE AVEC ENDO IMPLANT RETRO 10.22) and registered in Clinical Trials.gov (NCT06250114).

Competing interests

The authors declare no competing interests.
Open Access This article is licensed under a Creative Commons Attribution 4.0 International License, which permits use, sharing, adaptation, distribution and reproduction in any medium or format, as long as you give appropriate credit to the original author(s) and the source, provide a link to the Creative Commons licence, and indicate if changes were made. The images or other third party material in this article are included in the article’s Creative Commons licence, unless indicated otherwise in a credit line to the material. If material is not included in the article’s Creative Commons licence and your intended use is not permitted by statutory regulation or exceeds the permitted use, you will need to obtain permission directly from the copyright holder. To view a copy of this licence, visit http://creativecommons.org/licenses/by/4.0/.

Publisher’s note

Springer Nature remains neutral with regard to jurisdictional claims in published maps and institutional affiliations.
Download
Titel
Retreatment or replacement of previous endodontically treated premolars with recurrent apical periodontitis? An 8-year historical cohort study
Verfasst von
Fausto Zamparini
Andrea Spinelli
Jacopo Lenzi
Ove A. Peters
Maria Giovanna Gandolfi
Carlo Prati
Publikationsdatum
01.04.2025
Verlag
Springer Berlin Heidelberg
Erschienen in
Clinical Oral Investigations / Ausgabe 4/2025
Print ISSN: 1432-6981
Elektronische ISSN: 1436-3771
DOI
https://doi.org/10.1007/s00784-025-06238-z
1.
Zurück zum Zitat Gulabivala K, Ng YL (2023) Factors that affect the outcomes of root canal treatment and retreatment—a reframing of the principles. Int Endod J 56:82–115. https://doi.org/10.1111/iej.13897CrossRefPubMed
2.
Zurück zum Zitat Karamifar K, Tondari A, Saghiri MA (2020) Endodontic Periapical Lesion: an overview on the etiology, diagnosis and current treatment modalities. Eur Endod J 14:54–67. https://doi.org/10.14744/eej.2020.42714CrossRef
3.
Zurück zum Zitat Lee J, Kang S, Jung HI et al (2020) Dentists’ clinical decision-making about teeth with apical periodontitis using a variable-controlled survey model in South Korea. BMC Oral Health 20:152. https://doi.org/10.1186/s12903-020CrossRef
4.
Zurück zum Zitat De Chevigny C, Dao TT, Basrani BR et al (2008) Treatment outcome in endodontics: the Toronto study–phases 3 and 4: orthograde retreatment. J Endod 34:131–137. https://doi.org/10.1016/j.joen.2007.11.003CrossRefPubMed
5.
Zurück zum Zitat Zitzmann NU, Krastl G, Hecker H et al (2009) Endodontics or implants? A review of decisive criteria and guidelines for single tooth restorations and full arch reconstructions. Int Endod J 42:757–774. https://doi.org/10.1111/j.1365-2591.2009.01561.xCrossRefPubMed
6.
Zurück zum Zitat Ng YL, Mann V, Gulabivala K (2008) Outcome of secondary root canal treatment: a systematic review of the literature. Int Endod J 41:1026–1046. https://doi.org/10.1111/j.1365-2591.2008.01484.xCrossRefPubMed
7.
Zurück zum Zitat Ng YL, Mann V, Gulabivala K (2010) Tooth survival following non-surgical root canal treatment: a systematic review of the literature. Int Endod J 43:171–189. https://doi.org/10.1111/j.1365-2591.2009.01671.xCrossRefPubMed
8.
Zurück zum Zitat Petersson K, Fransson H, Wolf E, Håkansson J (2016) Twenty-year follow-up of root filled teeth in a Swedish population receiving high-cost dental care. Int Endod J 49:636–645. https://doi.org/10.1111/iej.12495CrossRefPubMed
9.
Zurück zum Zitat Pirani C, Zamparini F, Peters OA et al (2019) The fate of root canals obturated with Thermafil: 10-year data for patients treated in a master’s program. Clin Oral Investig 23:3367–3377. https://doi.org/10.1007/s00784-018-2756-8CrossRefPubMed
10.
Zurück zum Zitat Signor B, Blomberg LC, Kopper PMP et al (2021) Root canal retreatment: a retrospective investigation using regression and data mining methods for the prediction of technical quality and periapical healing. J App Oral Sci 19:29. https://doi.org/10.1590/1678-7757-2020-0799CrossRef
11.
Zurück zum Zitat Ricucci D, Siqueira JF Jr. (2011) Recurrent apical periodontitis and late endodontic treatment failure related to coronal leakage: a case report. J Endod 37:1171–1175. https://doi.org/10.1016/j.joen.2011.05.025CrossRefPubMed
12.
Zurück zum Zitat Torabinejad M, White SN (2016) Endodontic treatment options after unsuccessful initial root canal treatment: Alternatives to single-tooth implants. J Am Dent Assoc 147:214–220. https://doi.org/10.1016/j.adaj.2015.11.017CrossRefPubMed
13.
Zurück zum Zitat Rossi-Fedele G, Ng YL (2022) Effectiveness of root canal treatment for vital pulps compared with necrotic pulps in the presence or absence of signs of periradicular pathosis: a systematic review and meta-analysis. Int Endod J. https://doi.org/10.1111/iej.13833CrossRefPubMed
14.
Zurück zum Zitat Olivieri JG, Encinas M, Nathani T et al (2024) Outcome of root canal retreatment filled with gutta-percha techniques: a systematic review and meta-analysis. J Dent 142:104809. https://doi.org/10.1016/j.jdent.2023.104809CrossRefPubMed
15.
Zurück zum Zitat Roccuzzo M, De Angelis N, Bonino L, Aglietta M (2010) Ten-year results of a three-arm prospective cohort study on implants in periodontally compromised patients. Part 1: implant loss and radiographic bone loss. Clin Oral Imp Res 21:490–496. https://doi.org/10.1111/j.1600-0501.2009.01886.xCrossRef
16.
Zurück zum Zitat Covani U, Chiappe G, Bosco M et al (2012) A 10-year evaluation of implants placed in fresh extraction sockets: a prospective cohort study. J Perio 83:1226–1234. https://doi.org/10.1902/jop.2012.110583CrossRef
17.
Zurück zum Zitat Lai HC, Si MS, Zhuang LF et al (2013) Long-term outcomes of short dental implants supporting single crowns in posterior region: a clinical retrospective study of 5–10 years. Clin Oral Imp Res 24:230–237. https://doi.org/10.1111/j.1600-0501.2012.02452.xCrossRef
18.
Zurück zum Zitat Corbella S, Taschieri S, Tsesis I, Del Fabbro M (2013) Postextraction implant in sites with endodontic infection as an alternative to endodontic retreatment: a review of literature. J Oral Implantol 39:399–405. https://doi.org/10.1563/AAID-JOI-D-11-00229CrossRefPubMed
19.
Zurück zum Zitat Rossi F, Lang NP, Ricci E et al (2018) Long-term follow-up of single crowns supported by short, moderately rough implants—a prospective 10-year cohort study. Clin Oral Implant Res 29:1212–1219. https://doi.org/10.1111/clr.13386CrossRef
20.
Zurück zum Zitat Kvist T, Reit C, Esposito M et al (1994) Prescribing endodontic retreatment: towards a theory of dentist behaviour. Int Endod J 27:285–290. https://doi.org/10.1111/j.1365-2591.1994.tb00270.xCrossRefPubMed
21.
Zurück zum Zitat Rotstein I, Simon JHS (2004) Diagnosis, prognosis and decision-making in the treatment of combined periodontal-endodontic lesions. Periodontol 2000. 34:165–203. https://doi.org/10.1046/j.0906-6713.2003.003431.x
22.
Zurück zum Zitat Al-Nuaimi N, Patel S, Austin RS, Mannocci F (2017) A prospective study assessing the effect of coronal tooth structure loss on the outcome of root canal retreatment. Int Endod J 50:1143–1157. https://doi.org/10.1111/iej.12760CrossRefPubMed
23.
Zurück zum Zitat Kvist T, Hofmann B (2023) Clinical decision making of post-treatment disease. Int Endod J 56(Suppl 2):154–168. https://doi.org/10.1111/iej.13806CrossRefPubMed
24.
Zurück zum Zitat López-Valverde I, Vignoletti F, Vignoletti G et al (2023) Long-term tooth survival and success following primary root canal treatment: a 5- to 37-year retrospective observation. Clin Oral Investig 27:3233–3244. https://doi.org/10.1007/s00784-023-04938-yCrossRefPubMedPubMedCentral
25.
Zurück zum Zitat Torabinejad M, Corr R, Handysides R, Shabahang S (2009) Outcomes of nonsurgical retreatment and endodontic surgery: a systematic review. J Endod 35:930–937. https://doi.org/10.1016/j.joen.2009.04.02CrossRefPubMed
26.
Zurück zum Zitat Shah B, Dukka H, Alhachache S, Hill M, Cheng G, Sekula M (2023) Analysis of risk factors for early crestal bone loss in osseointegrated, submerged implants prior to restoration. J Periodontol 94:1405–1413. https://doi.org/10.1002/JPER.23-0161CrossRefPubMed
27.
Zurück zum Zitat Orishko A, Imber JC, Roccuzzo A, Stähli A, Salvi GE (2024) Tooth- and implant-related prognostic factors in treatment planning. Periodontol 2000 95:102–128. https://doi.org/10.1111/prd.12597CrossRefPubMed
28.
Zurück zum Zitat Torabinejad M, Goodacre CJ (2006) Endodontic or dental implant therapy: the factors affecting treatment planning. J Am Dent Assoc 137:973–977. https://doi.org/10.14219/jada.archive.2006.0318CrossRefPubMed
29.
Zurück zum Zitat Iqbal MK, Kim S (2008) A review of factors influencing treatment planning decisions of single-tooth implants versus preserving natural teeth with nonsurgical endodontic therapy. J Endod 34:519–529. https://doi.org/10.1016/j.joen.2008.01.002CrossRefPubMed
30.
Zurück zum Zitat Wenteler GL, Sathorn C, Parashos P (2015) Factors influencing root canal retreatment strategies by general practitioners and specialists in Australia. Int Endod J. 48:417–427. https://doi.org/10.1111/iej.12330. Epub 2014 Jul 5. PMID: 24916003
31.
Zurück zum Zitat Chércoles-Ruiz A, Sánchez-Torres A, Gay-Escoda C (2017) Endodontics, endodontic retreatment, and apical surgery versus tooth extraction and implant placement: a systematic review. J Endod 43:679–686. https://doi.org/10.1016/j.joen.2017.01.004CrossRefPubMed
32.
Zurück zum Zitat Kim DH, Tawil PZ, Albouy JP, Duqum I (2024) Retrospective assessment of endodontically treated teeth replaced by dental implants. J Endod 50:310–315. https://doi.org/10.1016/j.joen.2023.12.002CrossRefPubMed
33.
Zurück zum Zitat Dawood A, Patel S (2017) The Dental Practicality Index - assessing the restorability of teeth. Br Dent J 222:755–758. https://doi.org/10.1038/sj.bdj.2017.447CrossRefPubMed
34.
Zurück zum Zitat Doyle SL, Hodges JS, Pesun IJ et al (2007) Factors affecting outcomes for single-tooth implants and endodontic restorations. J Endod 33:399–402. https://doi.org/10.1016/j.joen.2006.12.025CrossRefPubMed
35.
Zurück zum Zitat Vozza I, Barone A, Quaranta M et al (2013) A comparison between endodontics and implantology: an 8-year retrospective study. Clin Imp Dent Relat Res 15:29–36. https://doi.org/10.1111/j.1708-8208.2011.00397.xCrossRef
36.
Zurück zum Zitat Vandenbroucke JP, von Elm E, Altman DG et al (2007) STROBE Initiative. Strengthening the reporting of Observational studies in Epidemiology (STROBE): explanation and elaboration. Epidemiology 18:805–835. https://doi.org/10.1097/EDE.0b013e3181577511CrossRefPubMed
37.
Zurück zum Zitat World Medical Association Declaration of Helsinki (2013) Ethical principles for medical research involving human subjects. J Am Med Assoc 310:2191–2194. https://doi.org/10.1001/jama.2013.281053
38.
Zurück zum Zitat Oakes JM, Rossi PH (2003) The measurement of SES in health research: current practice and steps toward a new approach. Soc Sci Med 56:769–784. https://doi.org/10.1016/s0277-9536(02)00073-4CrossRefPubMed
39.
Zurück zum Zitat Taxel P, Ortiz D, Shafer D et al (2014) The relationship between implant stability and bone health markers in post-menopausal women with bisphosphonate exposure. Clin Oral Investig 18:49–57. https://doi.org/10.1007/s00784-013-0951-1CrossRefPubMed
40.
Zurück zum Zitat Prati C, Pirani C, Zamparini F et al (2018) A 20-year historical prospective cohort study of root canal treatments. A multilevel analysis. Int Endod J 51:955–968. https://doi.org/10.1111/iej.12908CrossRefPubMed
41.
Zurück zum Zitat Prati C, Zamparini F, Scialabba VS et al (2016) A 3-year prospective cohort study on 132 calcium phosphate-blasted implants: flap vs flapless technique. Int J Oral Maxillofac Imp 31:413–423. https://doi.org/10.11607/jomi.4623CrossRef
42.
Zurück zum Zitat Prati C, Zamparini F, Pirani C et al (2017) Immediate early and delayed implants: a 2-year prospective cohort study of 131 transmucosal flapless implants placed in sites with different pre-extractive endodontic infections. Impl Dent 26:654–663CrossRef
43.
Zurück zum Zitat Prati C, Zamparini F, Pirani C et al (2020) A multilevel analysis of platform-switching flapless implants placed at tissue level: 4-year prospective cohort study. Int J Oral Maxillofac Impl 35:330–341. https://doi.org/10.11607/jomi.7541CrossRef
44.
Zurück zum Zitat Ørstavik D, Kerekes K, Eriksen HM (1986) The periapical index: a scoring system for radiographic assessment of apical periodontitis. Endod Dent Traumatol 2:20–34. https://doi.org/10.1111/j.1600-9657.1986.tb00119.xCrossRefPubMed
45.
Zurück zum Zitat Pirani C, Chersoni S, Montebugnoli L, Prati C (2015) Long-term outcome of non-surgical root canal treatment: a retrospective analysis. Odontology 103:185–193. https://doi.org/10.1007/s10266-014-0159-0CrossRefPubMed
46.
Zurück zum Zitat Albrektsson T, Zarb G, Worthington P, Eriksson AR (1986) The long-term efficacy of currently used dental implants: a review and proposed criteria of success. Int J Oral Maxillofac Impl 1:11–25
47.
Zurück zum Zitat Canullo L, Iannello G, Peñarocha M, Garcia B (2012) Impact of implant diameter on bone level changes around platform switched implants: preliminary results of 18 months follow-up a prospective randomized match-paired controlled trial. Clin Oral Impl Res 23:1142–1146. https://doi.org/10.1111/j.1600-0501.2011.02297.xCrossRef
48.
Zurück zum Zitat Galindo-Moreno P, León-Cano A, Ortega-Oller I et al (2015) Marginal bone loss as success criterion in implant dentistry: beyond 2 mm. Clin Oral Impl Res 26:e28–e34. https://doi.org/10.1111/clr.12324CrossRef
49.
Zurück zum Zitat Lang NP, Pun L, Lau KY et al (2012) A systematic review on survival and success rates of implants placed immediately into fresh extraction sockets after at least 1 year. Clin Oral Impl Res 23(Suppl 5):39–66. https://doi.org/10.1111/j.1600-0501.2011.02372.xCrossRef
50.
Zurück zum Zitat Khalighinejad N, Aminoshariae A, Kulild JC et al (2017) The influence of periodontal status on endodontically treated teeth: 9-year survival analysis. J Endod 43:1781–1785. https://doi.org/10.1016/j.joen.2017.06.022CrossRefPubMed
51.
Zurück zum Zitat Morris MF, Kirkpatrick TC, Rutledge RE, Schindler WG (2009) Comparison of nonsurgical root canal treatment and single-tooth implants. J Endod 35:1325–1330. https://doi.org/10.1016/j.joen.2009.07.003CrossRefPubMed
52.
Zurück zum Zitat Setzer FC, Kim S (2014) Comparison of long-term survival of implants and endodontically treated teeth. J Dent Res 93:19–26. https://doi.org/10.1177/0022034513504782CrossRefPubMedPubMedCentral
53.
Zurück zum Zitat Simonis P, Dufour T, Tenenbaum H (2010) Long-term implant survival and success: a 10–16-year follow-up of non-submerged dental implants. Clin Oral Impl Res 21:772–777. https://doi.org/10.1111/j.1600-0501.2010.01912.xCrossRef
54.
Zurück zum Zitat Schropp L, Wenzel A, Spin-Neto R, Stavropoulos A (2015) Fate of the buccal bone at implants placed early, delayed, or late after tooth extraction analyzed by cone beam CT: 10-year results from a randomized, controlled, clinical study. Clin Oral Impl Res 26:492–500. https://doi.org/10.1111/clr.12424CrossRef
55.
Zurück zum Zitat Zamparini F, Spinelli A, Buonavoglia A et al (2023) 10-year historical prospective cohort study of calcium phosphate-blasted acid-etched titanium implants placed in different ridges. Int J Oral Maxillofac Implants. 38:697–708. https://doi.org/10.11607/jomi.10055. PMID: 37669529
56.
Zurück zum Zitat Kirkevang LL, Væth M, Wenzel A (2012) 10-year follow-up observations of periapical and endodontic status in a Danish population. Int Endod J 45:829–839CrossRefPubMed
57.
Zurück zum Zitat Lin GSS, Chan DZK, Leong JZ, Kan IZ, Xuan WM, Tee V (2022) Dentinal tubule penetration of bioceramic-based versus epoxy resin-based root canal sealers: a systematic review and meta-analysis. Giornale Italiano Di Endodonzia 36. https://doi.org/10.32067/GIE.2021.35.02.60
58.
Zurück zum Zitat Qu W, Bai W, Liang YH, Gao XJ (2016) Influence of warm Vertical Compaction technique on Physical properties of Root Canal Sealers. J Endod 42(12):1829–1833. https://doi.org/10.1016/j.joen.2016.08.014CrossRefPubMed
59.
Zurück zum Zitat Khandelwal A, Janani K, Teja K, Jose J, Battineni G, Riccitiello F, Valletta A, Palanivelu A, Spagnuolo G (2022) Periapical Healing following Root Canal Treatment using different endodontic sealers: a systematic review. Biomed Res Int 2022(3569281). https://doi.org/10.1155/2022/3569281
60.
Zurück zum Zitat Rekha R, Kavitha R, Venkitachalam R, Prabath SV, Deepthy S, Krishnan V (2023) Comparison of the sealing ability of bioceramic sealer against epoxy resin based sealer: a systematic review & meta-analysis. J Oral Biol Craniofac Res 13(1):28–35. https://doi.org/10.1016/j.jobcr.2022.10.006CrossRefPubMed
61.
Zurück zum Zitat European Society of Endodontology (2006) Quality guidelines for endodontic treatment: consensus report of the European Society of Endodontology. Int Endod J 39:921–930. https://doi.org/10.1111/j.1365-2591.2006.01180.xCrossRef
62.
Zurück zum Zitat Kirkevang LL, Ørstavik D, Bahrami et al (2017) Prediction of periapical status and tooth extraction. Int Endod J 50:5–14
63.
Zurück zum Zitat French D, Ofec R, Levin L (2021) Long term clinical performance of 10 871 dental implants with up to 22 years of follow-up: a cohort study in 4247 patients. Clin Implant Dent Relat Res 23:289–297. https://doi.org/10.1111/cid.12994CrossRefPubMedPubMedCentral
64.
Zurück zum Zitat Roccuzzo A, Imber JC, Marruganti C et al (2022) Clinical outcomes of dental implants in patients with and without history of periodontitis: a 20-year prospective study. J Clin Periodontol 49:1346–1356. https://doi.org/10.1111/jcpe.13716CrossRefPubMedPubMedCentral
65.
Zurück zum Zitat Quirynen M, Vogels R, Alsaadi G et al (2005) Predisposing conditions for retrograde peri-implantitis and treatment suggestions. Clin Oral Implants Res 16:599–608CrossRefPubMed
66.
Zurück zum Zitat Bell CL, Diehl D, Bell BM, Bell RE (2011) The immediate placement of dental implant into extraction site with periapical lesions: a retrospective chart review. J Oral Maxillofac Surg 69:1623–1627CrossRefPubMed
67.
Zurück zum Zitat López-Martínez F, Gómez Moreno G, Olivares-Ponce P et al (2015) Implants failures related to endodontic treatment. An observational retrospective study. Clin Oral Implants Res 26:992–995. https://doi.org/10.1111/clr.12415CrossRefPubMed
68.
Zurück zum Zitat Zhao D, Wu Y, Xu C, Zhang F (2016) Immediate dental implant placement into infected vs. non-infected sockets: a meta-analysis. Clin Oral Implants Res 27:1290–1296. https://doi.org/10.1111/clr.12739CrossRefPubMed
69.
Zurück zum Zitat Romanos GE, Froum S, Costa-Martins S, Meitner S, Tarnow DP (2011) Implant periapical lesions: etiology and treatment options. J Oral Implantol 37:53–63. https://doi.org/10.1563/AAID-JOI-D-09-00067CrossRefPubMed
70.
Zurück zum Zitat Montoya-Salazar V, Castillo-Oyagüe R, Torres-Sánchez C et al (2014) Outcome of single immediate implants placed in post-extraction infected and non-infected sites, restored with cemented crowns: a 3-year prospective study. J Dent 42:645–652CrossRefPubMed
71.
Zurück zum Zitat Ausiello P, Dal Piva AMO, Borges ALS, Lanzotti A et al (2021) Effect of shrinking and no shrinking dentine and enamel replacing materials in posterior restoration: a 3D-FEA study. App Scien 11:2215. https://doi.org/10.3390/app11052215CrossRef
72.
Zurück zum Zitat Li F, Shao Y, Han T, Li J, Yan X (2023) Finite element analysis of endodontically treated premolars without ferrule restored with one-piece glass fiber post and core in combination with different inner shoulder retention form systems. J Mech Behav Biomed Mater 143:105912. https://doi.org/10.1016/j.jmbbm.2023.105912CrossRefPubMed
73.
Zurück zum Zitat Gandolfi MG, Taddei P, Pondrelli A et al (2018) Demineralization, collagen modification and remineralization degree of human dentin after EDTA and citric acid treatments. Mater (Basel) 12:25. https://doi.org/10.3390/ma12010025CrossRef
74.
Zurück zum Zitat Marques JA, Falacho RI, Santos JM et al (2024) Effects of endodontic irrigation solutions on structural, chemical, and mechanical properties of coronal dentin: a scoping review. J Esthet Restor Dent 36:606–619. https://doi.org/10.1111/jerd.13135CrossRefPubMed
75.
Zurück zum Zitat Jamleh J, Nassar A, Alfadley M, Khan A et al (2021) Influence of additional apical enlargement on microcrack formation in root dentine: a micro-computed tomography investigation. Clin Oral Investig 25:4137–4143. https://doi.org/10.1007/s00784-020-03745-zCrossRefPubMed
76.
Zurück zum Zitat Dawson VS, Fransson H, Isberg PE et al (2024) Further interventions after root canal treatment are most common in molars and teeth restored with direct restorations: a 10-11-year follow-up of the adult Swedish population. J Endod 50:766–773. https://doi.org/10.1016/j.joen.2024.03.005CrossRefPubMed
77.
Zurück zum Zitat Kang M (2015) In Jung H, Song M, Kim SY, Kim HC, Kim E Outcome of nonsurgical retreatment and endodontic microsurgery: a meta-analysis. Clin Oral Investig, 19;569– 82. https://doi.org/10.1007/s00784-015-1398-3
78.
Zurück zum Zitat Sailer I, Karasan D, Todorovic A et al (2022) Prosthetic failures in dental implant therapy. Periodontol 2000 88:130–144. https://doi.org/10.1111/prd.12416CrossRefPubMedPubMedCentral
79.
Zurück zum Zitat Riis A, Taschieri S, Del Fabbro M, Kvist T (2018) Tooth survival after surgical or nonsurgical endodontic retreatment: long-term follow-up of a randomized clinical trial. J Endod 44:1480–1486. https://doi.org/10.1016/j.joen.2018.06.019CrossRefPubMed
80.
Zurück zum Zitat Kim S, Kratchman S (2006) Modern endodontic surgery concepts and practice: a review. J Endod 32:601–623CrossRefPubMed
81.
Zurück zum Zitat Setzer FC, Kohli MR, Shah SB et al (2012) Outcome of endodontic surgery: a meta-analysis of the literature—part 2: comparison of endodontic microsurgical techniques with and without the use of higher magnification. J Endod 38:1–10. https://doi.org/10.1016/j.joen.2011.09.021CrossRefPubMed
82.
Zurück zum Zitat Dechouniotis G, Petridis XM, Georgopoulou MK (2010) Influence of specialty training and experience on endodontic decision making. J Endod 36:1130–1134. https://doi.org/10.1016/j.joen.2010.03.023CrossRefPubMed
83.
Zurück zum Zitat Gallicchio V, Lodato V, De Santis R, Rengo S (2022) Fracture strength and failure modes of endodontically treated premolars restored with compact and hollow composite posts subjected to cyclic fatigue. Mater (Basel) 15:1141. https://doi.org/10.3390/ma15031141CrossRef
84.
Zurück zum Zitat Tamse A, Zilburg I, Halpern J (1998) Vertical root fractures in adjacent maxillary premolars: an endodontic-prosthetic perplexity. Inter Endod J 31:127–132CrossRef
85.
Zurück zum Zitat Santos AF, Tanaka CB, Lima RG et al (2009) Vertical root fracture in upper premolars with endodontic posts: finite element analysis. J Endod 35:117–120CrossRefPubMed
86.
Zurück zum Zitat Versluis A, Messer HH, Pintado MR (2006) Changes in compaction stress distributions in roots resulting from canal preparation. Int Endod J 39:931–939CrossRefPubMed
87.
Zurück zum Zitat Lertchirakarn V, Palamara JE, Messer HH (2003) Finite element analysis and strain-gauge studies of vertical root fracture. J Endod 29:529–534CrossRefPubMed
88.
Zurück zum Zitat Kim SM, Ahn E (2023) Tooth survival following non-surgical root canal treatment in South Korean adult population: a 11-year follow-up study of a historical cohort. Eur Endod J. 2022;7:20–26
89.
Zurück zum Zitat Ali A, Tarnowski A, Emanuel R (2024) Is NHS endodontics still viable? BDJ Pract 37:202–204. https://doi.org/10.1038/s41404-024-2746-2CrossRef

Neu im Fachgebiet Zahnmedizin

Vitamin D und Zahnimplantate

Fachleute empfehlen ein differenziertes Vorgehen statt Routine-Test und -Substitution

Ist die Mundmikrobiota mit Pankreaskrebs assoziiert?

In einer Kohortenstudie wurde ein Zusammenhang zwischen oralen Bakterien und Pilzen und dem Auftreten von Pankreaskarzinomen gesehen. Diese Assoziation könnte helfen, Patientinnen und Patienten für gezielte Vorsorgeuntersuchungen ausfindig zu machen.

Elektroschrott: Wie Praxen Altgeräte sicher entsorgen

Ob nun Sonogerät, Praxiscomputer oder gar TI-Konnektor: Einfach zum nächsten Wertstoffhof sollten Praxisteams ausgediente Elektrogeräte nicht bringen. Was bei der Entsorgung zu beachten ist. Und wie die Teams sicher sensible Daten auf PC-Festplatte, externem Datenspeicher und TI-Komponenten löschen.

Tipps: So können Praxen die Risiken für einen GOÄ-Streit minimieren

Für Streitigkeiten, die das GOÄ-Honorar betreffen, sind neuerdings nur noch Landgerichte zuständig. Das macht Prozesse teurer. Eine Praxisberaterin erläutert, wie Praxen vorbauen können, um solche Streitfälle und Gerichtsverfahren zu vermeiden.

Update Zahnmedizin

Bestellen Sie unseren kostenlosen Newsletter und bleiben Sie gut informiert – ganz bequem per eMail.

Bildnachweise
Eine Speichelprobe wird entnommen/© Animaflora PicsStock / stock.adobe.com (Symbolbild mit Fotomodell), Ultraschalluntersuchung der Niere/© Your_Photo_Today (Symbolbild mit Fotomodellen), Richter mit Gesetzbuch/© Kzenon / stock.adobe.com (Symbolbild mit Fotomodell)