Zum Inhalt

Gewitterasthma: eine bisher unterschätzte Gefahr

Auch in Deutschland gewinnt das Phänomen Gewitterasthma angesichts der steigenden Pollenbelastung und veränderter Wetterbedingungen durch den Klimawandel immer mehr an Bedeutung. Doch was genau steckt hinter den Symptomen?

weiterlesen

Weiterführende Themen

CME: Allergen-Immuntherapie im Kindes- und Jugendalter im Jahr 2025

Mit der Neuzulassung zweier SLIT-Präparate für Hausstaubmilben und Birkenpollen für Kinder ab fünf Jahren kommt die Allergen-Immuntherapie (AIT) im Kindes- und Jugendalter langsam aus der Talsohle der letzten Jahre heraus. Was es beim Einsatz der AIT bei Kindern und Jugendlichen noch zu beachten gibt, lesen Sie im folgenden CME-Artikel.

weiterlesen

Kasuistiken

Wenn natürliche Supplemente zur Gefahr werden

Die Mariendistel (Silybum marianum) gehört zur Familie der Korbblütler (Asteraceae) und ist als Nahrungsergänzungsmittel verbreitet. Der Wirkstoff Silymarin soll die Leber schützen, bei der Gewichtsreduktion helfen und Diabetes entgegenwirken. Wie ein Fall aus Spanien zeigt, kann die Mariendistel aber auch allergologisch relevant werden.

Seltene Allergie auf Sperma?

Eine 58-jährige Patientin entwickelt nach einem Abendessen mit Lamm und Wein, einer anschließenden Massage mit Arganöl und ungeschütztem Geschlechtsverkehr generalisierten Juckreiz und Quaddeln am gesamten Integument. Eine Woche später tritt die Urtikaria erneut auf. Ein kleines allergologisches Rätsel.

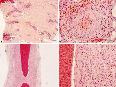
Fehldiagnose Asthma und Rhinitis - erst die Hautprobe zeigt schwere Erkrankung

Eine 30-Jährige bemerkt seit kurzem dunkle Hautveränderungen an beiden Unterschenkeln. Laut Anamnese besteht zudem ein Asthma bronchiale und eine allergische Rhinusinusitis. Warum diese beiden Vordiagnosen erste Anzeichen einer ernsthaften Erkrankung waren, zeigt die Hautbiopsie.

Weitere Artikel aus unseren Fachzeitschriften

Die Inkontinenz der Nase im Alter

Das altersassoziierte Nasenlaufen ist ein verbreitetes, in der klinischen Praxis jedoch häufig unterschätztes Beschwerdebild. Gerade bei älteren Patientinnen und Patienten kann das damit verbundene soziale Stigma die Lebensqualität erheblich beeinträchtigen.

Das Mikrobiom bei Erkrankungen der Nase und der Nasennebenhöhlen

Das nasale Mikrobiom wird als Synonym für die Summe und die Diversität der Bakterien im Nasenbereich verwendet. Während das Darmmikrobiom in den letzten Jahren aufgrund von Fortschritten bei den Diagnosetechnologien im Mittelpunkt der …

Was wir über das Mikrobiom von Ohr bis Nasenrachen wissen

Aufgrund der zunehmenden Zahl wissenschaftlicher Publikationen auf dem Gebiet der Mikrobiomforschung gibt es immer bessere Daten, die Normalbefunde und pathologische Veränderungen evidenzbasiert nachweisen. Wie kann dieses Wissen genutzt werden? Ein Scoping-Review.

20 Jahre Allergologie im Wandel

DÜSSELDORF - Vom frühzeitigen Allergie-Screening bei Kindern über neue Ziele wie Remission in der Asthmatherapie bis hin zu künstlicher Intelligenz in der Praxis - der Deutsche Allergiekongress 2025 feiert nicht nur ein rundes Jubiläum, sondern …

Gewitterasthma: eine bisher unterschätzte Gefahr

Auch in Deutschland gewinnt das Phänomen Gewitterasthma angesichts der steigenden Pollenbelastung und veränderter Wetterbedingungen durch den Klimawandel immer mehr an Bedeutung. Doch was genau steckt hinter den Symptomen?

Upper-Airway-Cough-Syndrom

Unter dem Begriff Upper-Airway-Cough-Syndrom (UACS) wird ein chronischer Husten bezeichnet, der durch eine Vielzahl von Erkrankungen der oberen Atemwege, wie z. B. eine chronische Rhinosinusitis, ausgelöst werden kann. Lesen Sie hier mehr zur möglichen Pathophysiologie, Diagnostik und zukünftigen Therapien.

Empfehlung zur allergikerfreundlichen Bepflanzung von Städten unter Berücksichtigung des Klimawandels

Der Klimawandel führt insbesondere in Städten zu Veränderungen von Temperaturen und Pollenexposition, besonders die erhöhten Sommertemperaturen vermindern das Wohlbefinden für die Mehrheit der Stadtbevölkerung. Sowohl den erhöhten Temperaturen als …

CME: Allergen-Immuntherapie im Kindes- und Jugendalter im Jahr 2025

Mit der Neuzulassung zweier SLIT-Präparate für Hausstaubmilben und Birkenpollen für Kinder ab fünf Jahren kommt die Allergen-Immuntherapie (AIT) im Kindes- und Jugendalter langsam aus der Talsohle der letzten Jahre heraus. Was es beim Einsatz der AIT bei Kindern und Jugendlichen noch zu beachten gibt, lesen Sie im folgenden CME-Artikel.

Evidenzbasierte Phytotherapie in der HNO-Heilkunde – das Update

Welche Phytopharmaka spielen in der HNO-Heilkunde eine Rolle und gibt es dazu evidenzbasierte Daten? Dieser Frage ist dieses Review nachgegangen, in denen die aktuellsten Studien zur Phytotherapie für verschiedenste Anwendungen im Nasen-Rachen-Raum kritisch beurteilt werden.

Videos und Webinare

Webinar

Atemwegsinfektionen in der Praxis

  • Webinar | 13.11.2024 | 17:30

Im Spätherbst und Winter sind Atemwegsinfektionen wieder das tägliche Brot in der Praxis. Wie unterscheidet man zuverlässig zwischen viralem und bakteriellem Infekt? Wie ist das aktuelle Vorgehen bei oberen, wie bei unteren Atemwegsinfektionen? Was kennzeichnet die beginnende COPD-Exazerbation? Und welche Maßnahmen sind bei Verdacht auf Otitis, Sinusitis, Tonsillitis und Laryngitis zu ergreifen? Antworten geben drei Experten aus der Allgemeinmedizin, HNO und Pneumologie im Webinar.

Prof. Dr. Dr. Adrian Gillissen
Prof. Dr. med. Jörg Schelling
Prof. Dr. med. Bernhard Olzowy
MMW – Fortschritte der Medizin

Buchkapitel zum Thema

Augenerkrankungen

Antiinfektive Ophthalmika (Tab. 29.1, 29.2) werden zur Behandlung von Infektionen des vorderen Augenabschnittes eingesetzt (Messmer 2012). Diese Infektionen äußern sich zumeist als Konjunktivitiden. Virale und bakterielle …

Hals-Nasen- und Ohrenerkrankungen

Im Vordergrund der symptomatischen Behandlung mit RhinologikaRhinologika steht die Beseitigung der behinderten Nasenatmung. Sie ist das am meisten störende Symptom aller Rhinitisformen, wobei in manchen Fällen noch Niesreiz und eine Hypersekretion …

Allergien

Systemisch anwendbare Antihistaminika (H1-Rezeptor-Antagonisten) sind zur symptomatischen Linderung der allergischen Rhinitis und der Urtikaria geeignet. Die ersten Vertreter wurden vor über 80 Jahren eingeführt. Sie haben allerdings ausgeprägte …

Beschwerden und Erkrankungen im Bereich von Nase, Ohren, Mund und Hals

Einzelne Erkrankungen im Bereich von Nase, Ohren, Mund und Hals, die häufig mit Fieber einhergehen, wurden bereits in Kap. 2 vorgestellt.

Nicht gefunden, wonach Sie suchten?

Probieren Sie es mit der Suchfunktion:

Passend zum Thema

ANZEIGE

S2k-Leitlinie bestätigt Thymian-Efeu-Kombination bei akutem Husten

Die Deutsche Gesellschaft für Pneumologie und Beatmungsmedizin (DGP) hat am 28. Februar 2025 die aktualisierte „S2k-Leitlinie Fachärztliche Diagnostik und Therapie von erwachsenen Patienten mit Husten“ veröffentlicht. Das Update der Leitlinie aus 2019 bestätigt die „Sollte“-Empfehlung für Phytopharmaka mit Evidenzbasis bei akutem Husten, zu denen unter anderem die Thymian-Efeu-Kombination zählt. Dies unterstreicht die wissenschaftliche Evidenz der Pflanzenkombination.

ANZEIGE

Resistenzen: Deutschlands Antwort auf die stille Pandemie

Laut WHO werden 2050 weltweit ca. 10 Mio. Todesfälle durch Infektionen mit multiresistenten Keimen erwartet. Höchste Zeit für ein entschlossenes Handeln. Deutschland begegnet den aktuellen Herausforderungen mit einer umfassenden Strategie und einem engagierten Aktionsplan. Hier geht’s zur aktuellen Übersicht.

ANZEIGE

Gemeinsam gegen Antibiotika Resistenzen

  • Content Hub

Die WHO schlägt Alarm und fordert ein Umdenken im Antibiotikaeinsatz. Wir machen mit. Sie auch? Dann finden Sie auf dieser online Themenseite therapierelevante Informationen für einen rationalen Antibiotikaeinsatz und welchen Stellenwert Experten einer evidenzbasierten Phytotherapie einräumen. Praxisnah. Kompakt. Aktuell. Jetzt informieren.

Bionorica SE

Passend zum Thema

APDS im Praxisalltag erkennen

Das klinische Bild von APDS ist heterogen mit erhöhter Infektanfälligkeit, Immunschwäche, Autoimmunität, Malignität, Allergien und Autoinflammation. Betroffene weisen zwar typische Laborabnormitäten auf, aber eine eindeutige Diagnose kann jedoch nur anhand einer genetischen Untersuchung gestellt werden.

Pathomechanismus – warum Betroffene unter APDS leiden

Ursache von APDS (Activated Phosphoinositide 3-Kinase Delta Syndrome) ist ein Gendefekt der zellulären Phosphoinositid-3-Kinase δ (PI3Kδ). Dieses Enzym gehört zur Familie der Kinasen und spielt eine zentrale Rolle bei der zellulären Signaltransduktion, insbesondere bei der Entwicklung und Funktion des Immunsystems.

ANZEIGE

Seltener Immundefekt: Activated Phosphoinositide 3-Kinase δ Syndrome (APDS)

Beim Activated Phosphoinositide 3-Kinase Delta Syndrome (APDS) handelt es sich um einen seltenen, schweren progredienten Immundefekt mit äußerst heterogener Symptomatik. Eine frühzeitige Diagnosestellung und Therapie ist für das Überleben der Patienten von entscheidender Bedeutung. 

Bildnachweise
Gewitter mit Blitzschlag/© solarseven / Getty images / iStock, Eine Frau spült ihre Nase mit einer Kochsalzlösung/© amixstudio / stock.adobe.com (Symbolbild mit Fotomodell), Sonnenhüte (Echinacea)/© Wieland Teixeira / Getty Images / iStock (Symbolbild mit Fotomodell), Mikrobiom auf der Haut am Finger/© STEVE GSCHMEISSNER/SCIENCE PHOTO LIBRARY /Getty images / iStock, Mariendistel/© aga7ta / Stock.adobe.com (Symbolbild mit Fotomodell), Impfung beim Kleinkind/© Choreograph / Getty Images / iStock (Symbolbild mit Fotomodell), Frau nutzt Nasenspray/© Alliance / iStock / Thinkstock (Symbolbild mit Fotomodell), Ein Anatomie-Modell des Kopfes in der HNO-Praxis/© peakSTOCK / Gettty Imgaes / iStock (Symbolbild mit Fotomodellen), Eine junge Frau spült sich mir einer Nasenspülung die Nase/© puhhha / Getty Images / iStock (Symbolbild mit Fotomodell), Eine kranke Frau sitzt im Bett und ruft ihre Arztpraxis an/© Elizaveta / stock.adobe.com (Symbolbild mit Fotomodell), Baby schreit/© marchibas / Stock.adobe.com (Symbolbild mit Fotomodell), Junger Mensch bekommt Spritze verabreicht/© mapo / Getty Images / iStock (Symbolbild mit Fotomodellen), Mann kratzt sich juckende Haut/© Rung Kh / Stock.adobe.com (Symbolbild mit Fotomodell), Hautpricktest bei einem Kleinkind/© UMG, Patch-Test/© AlexRaths / Getty Images / iStock (Symbolbild mit Fotomodell), Ein Arzt zieht eine Spritze mit einem Extrakt im Labor auf/© RFBSIP / stock.adobe.com (Symbolbild mit Fotomodell), Ein Pricktest wird auf einen Arm durchgeführt/© Gerhard Seybert / stock.adobe.com (Symbolbild mit Fotomodell), Modell: Alternaria alternata Schwärzepilz/© Kateryna_Kon / stock.adobe.com, Prick-zu-Prick-Test/© Klinik und Poliklinik für Dermatologie und Allergologie, Klinikum der Universität München, LMU München, Probebiopsie eosinophile granulomatöse Polyangiitis/© Wölbing P. et al. doi.org/10.1007/s00105-024-05323-w unter CC-BY 4.0, Augen und Nase einer Frau/© AlexanderFord / Getty Images / iStock (Symbolbild mit Fotomodell), Frau hustet/© Suzi Media Production / Getty Images / iStock (Symbolbild mit Fotomodell), Atemwegsinfektionen/© (M) RFBSIP / stock.adobe.com / stock.adobe.com (Symbolbild mit Fotomodellen), Search Icon, Leitlinie Husten/© iiierlok_xolms | Adobe Stock, Ärztin macht "Psst" Geste/© Charday Penn, Bionorica CH Visual/© Bionorica SE, Arzt untersucht Teenager an den Lymphknoten/© South_agency | GettyImages (Symbolbild mit Fotomodellen), Pathomechanismus APDS/© Pharming, Teenagerin sitzt im Bett, während sie hustet/© Vladimir Vladimirov | Getty Images (Symbolbild mit Fotomodell)