Zum Inhalt

Retinitis bei Rickettsiose

Erschienen in:
QR-Code scannen & Beitrag online lesen
Die Originalversion dieses Beitrags wurde korrigiert. Die Autorin Silke Besier, tätig am Institut für Medizinische Mikrobiologie und Krankenhaushygiene der Universitätsklinik Frankfurt am Main, wurde nachträglich in die Autorenliste dieses Beitrags ergänzt. Die komplette Autorenliste lautet: Marvin Biller, Klemens Kaiser, Johanna Kessel, Julia Koepsell, Silke Besier, Ninel Kenikstul, Julian Bucur, Michael Müller, Thomas Kohnen.
Frau Priv.-Doz. Dr. Silke Besier leistete im Rahmen ihrer Tätigkeit am Institut für Medizinische Mikrobiologie und Krankenhaushygiene der Universitätsklinik Frankfurt am Main durch die Durchführung und Koordination der im Artikel genannten mikrobiologischen Untersuchungen, die Anregung und Organisation von (teils externen) Folgeuntersuchungen sowie dem Einbringen eigener Ideen einen bedeutenden Beitrag zur Ausarbeitung dieses Fallberichts.
Zu diesem Beitrag ist ein Erratum online unter https://​doi.​org/​10.​1007/​s00347-024-02099-1 zu finden.

Hinweis des Verlags

Der Verlag bleibt in Hinblick auf geografische Zuordnungen und Gebietsbezeichnungen in veröffentlichten Karten und Institutsadressen neutral.

Falldarstellung

Bei okulären Entzündungen nach Auslandsaufenthalt sollte eine gründliche reisemedizinische Anamnese erfolgen, um Hinweise auf einen Zusammenhang zwischen der stattgehabten Reise und der ophthalmologischen Erkrankung primär zu eruieren. Sekundär kann hierdurch versucht werden, ein potenzielles Erregerspektrum bestmöglich einzugrenzen, um die Chancen auf eine spezifische Behandlung zu optimieren.
Wir berichten über den Fall einer Retinitis, deren für Mitteleuropa untypischer Erreger aus der Gruppe der Rickettsien nur durch eine ausführliche Reiseanamnese und interdisziplinäre Zusammenarbeit ermittelt werden konnte. Nach unserem Wissen handelt es sich um den ersten beschriebenen Fall einer Rickettsiose mit okulärer Beteiligung in Deutschland.

Anamnese

Ein 41-jähriger Patient, der außer einer Myopie keine weiteren ophthalmologischen oder allgemeinen Vorerkrankungen aufwies, wurde aufgrund zunehmenden Verschwommensehens seit sechs Stunden ohne weitere Begleitsymptome auf dem rechten Auge in der augenärztlichen Hochschulambulanz vorstellig. Die Veränderung sei ohne erinnerbaren Anlass und erstmalig aufgetreten. Er sei vor etwa drei Wochen von einer Urlaubsreise in Südafrika zurückgekehrt, wo er von einer Spinne „oder Ähnlichem“ am linken Arm gebissen worden sei. Daraufhin sei eine lokale Schwellung und Unwohlsein aufgetreten, weshalb für einige Tage Azithromycin per os eingenommen wurde, das er von seiner Reisebegleitung (Apothekerin) erhalten habe. Mehr Details waren zu diesem Zeitpunkt nicht erinnerlich. Die Symptome hätten sich rasch gebessert, und die Reise sei fortgesetzt worden.

Befund

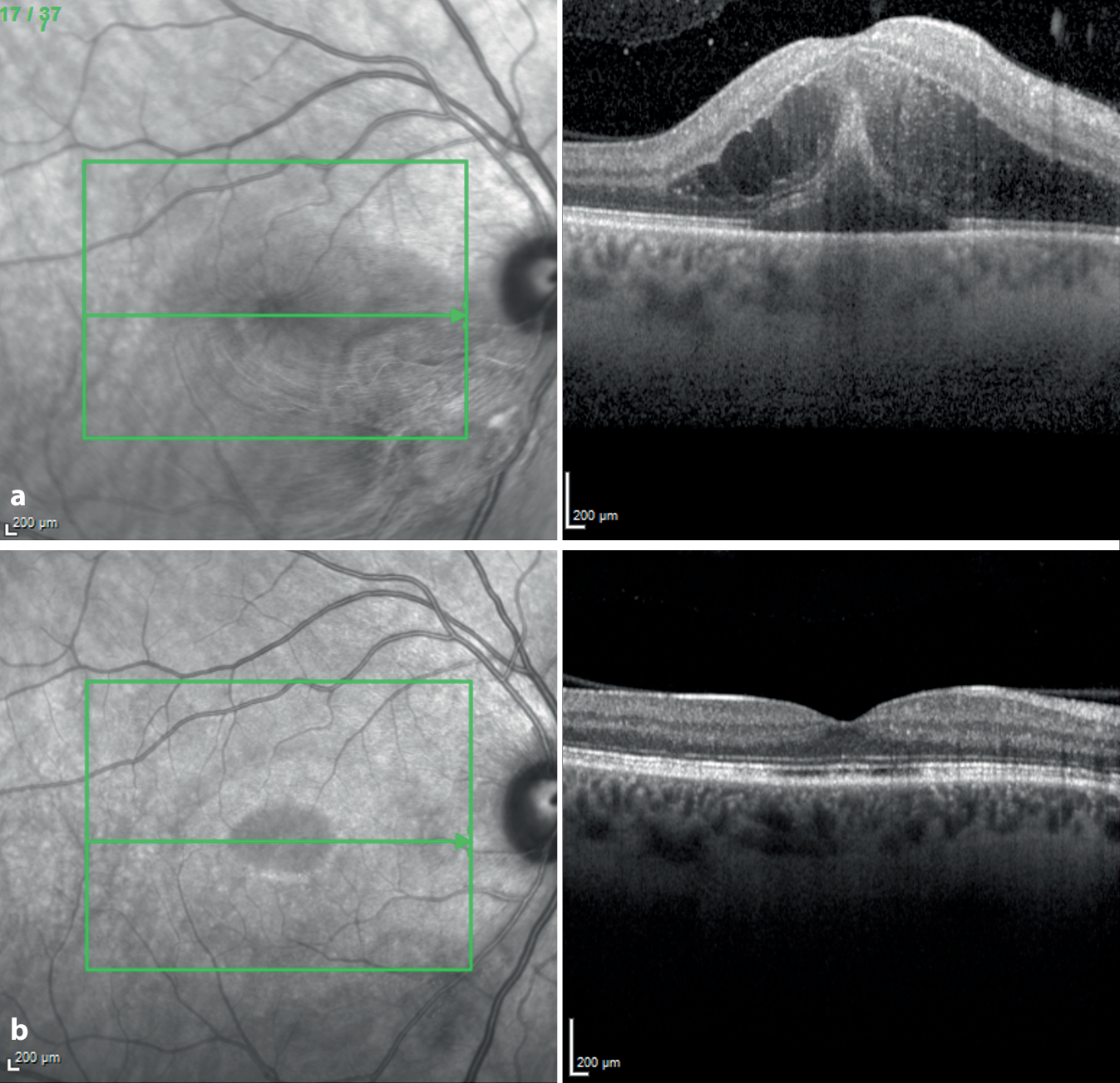
Am rechten Auge war die Sehschärfe (mit Korrektur) auf 1/20 Metervisus reduziert, während der bestkorrigierte Dezimalvisus links bei 1,2 lag. Der Augendruck lag bei rechts bei 11 und links bei 20 mm Hg. In der Spaltlampenbiomikroskopie zeigte sich an beiden Augen ein reizfreier Befund. Fundoskopisch fiel am rechten Auge eine etwa 1,5 Papillendurchmesser große weißliche und unscharf begrenzte perivaskuläre retinale Läsion im Bereich des unteren temporalen Gefäßbogens auf (Abb. 1). In der optischen Kohärenztomographie (OCT) zeigte sich dort eine deutliche Verdickung der Nervenfaser- und inneren Netzhautschichten sowie makuläre intra- und subretinale Flüssigkeit (Abb. 2a). In der Fluoreszenzangiographie zeigten sich in der Spätphase perifokale Leckagen sowie Hinweise auf eine begleitende Vaskulitis (Abb. 3).
Abb. 1
Fundusfoto rechts. Erkennbar sind weißliche Läsion am unteren temporalen Gefäßbogen
Bild vergrößern
Abb. 2
OCT-Aufnahme der Makula des rechten Auges. a Sub- und intraretinale Flüssigkeit bei Erstvorstellung; b 6 Wochen nach Erstvorstellung zeigt sich ein trockener Befund
Bild vergrößern
Abb. 3
Spätphase in der Fluoreszenzangiographie des rechten Auges. Leckagen im Bereich der Läsion und der perifokalen Gefäße (als Hinweis auf eine Vaskulitis) sind erkennbar
Bild vergrößern
Am linken Arm zeigte sich eine Rötung ohne Erhabenheit, die vom Patienten als die Stelle des zurückliegenden Bisses bezeichnet wurde. Der Patient war afebril, im Labor fiel lediglich eine diskrete Erhöhung der Erythrozytensedimentationsrate auf 16 mm/h auf (bei normwertigem CPR und Leukozyten).

Therapie und Verlauf

Der Patient wurde aufgrund der in der Fundoskopie dargestellten Retinitis a.e. infektiöser Genese stationär aufgenommen. Nach Besprechung des Falls mit den Kollegen der Infektiologie wurde neben einer In-vitro-Diagnostik auf Mycobacterium tuberculosis (QuantiFERON-TB-Gold-Test [QuantiFERON-TB-Gold-Test, Qiagen, Hilden, Deutschland]) eine serologische Untersuchung auf Lues, Bartonellose, Toxoplasmose, Brucellose, Borreliose, Leptospirose sowie CMV, HSV, HIV und Chikungunya durchgeführt. Außerdem erfolgte eine Magnetresonanztomographie des Schädels, welche keine pathologischen Veränderungen zeigte. Bei zunächst unklarer Ätiologie verabreichten wir ex juvantibus neben einer intravenösen Therapie mit Aciclovir (500 mg 3 × tgl.) und Clindamycin (600 mg 3 × tgl.) eine orale Steroidtherapie mit 60 mg Prednisolon, worunter die Größe der entzündlichen Läsion im Fundusbild bereits am zweiten stationären Tag abnahm.
Am dritten stationären Tag erhielten wir eine erste Gelegenheit für ein Gespräch mit der Reisebegleitung des Patienten, wobei weitere Details des initialen Krankheitsverlaufs in Südafrika eruiert werden konnten. So seien etwa 5 Tage nach dem Biss/Stich eines nicht bekannten Tieres (DD Insekt, DD Spinne, DD Ektoparasit) hohes Fieber, Schüttelfrost und starke Gliederschmerzen aufgetreten. Im Bereich der Einstichstelle sei in den Folgetagen eine kleine rötlich-nekrotische Läsion erinnerlich gewesen. Weitere Hautveränderungen wie z. B. ein generalisiertes Exanthem wurden nicht beobachtet. Mit diesen Informationen wandten wir uns erneut an die Kollegen der Infektiologie, welche die Ergänzung einer Rickettsien-Serologie empfahlen.
Am siebten stationären Tag zeigte sich bereits ein deutlicher Rückgang der Netzhautläsion sowie des Makulaödems, der bestkorrigierte Visus betrug zu diesem Zeitpunkt 0,1. Wir erhielten nun die Information, dass ein positiver Serologiebefund für Rickettsia-rickettsii-IgM und -IgG vorlag. Den Befund ließen wir uns durch eine externe Mitbeurteilung im Nationalen Referenzzentrum für tropische Infektionserreger (Bernhard-Nocht-Institut, Hamburg, Deutschland) bestätigen. Die weiteren infektiologischen Laboruntersuchungen zeigten sich unauffällig. Nach erneuter Konsultation der infektiologischen Kollegen initiierten wir eine orale Therapie mit Doxycyclin 100 mg zweimal täglich über 14 Tage, welche wir nach Entlassung des Patienten größtenteils ambulant durchführten. Parallel reduzierten wir die oralen Steroidtherapie schrittweise und vereinbarten wöchentliche Verlaufskontrollen. Zum Zeitpunkt 6 Wochen nach der Erstvorstellung zeigte sich die entzündliche Läsion fundoskisch fast vollständig (Abb. 4), das Makulaödem sogar vollständig zurückgebildet (Abb. 2b). Der bestkorrigierte Dezimalvisus lag bei 1,0, und der Patient gab eine deutliche Verbesserung des Sehens an. Eine etwa drei Monate nach der primären Infektion durchgeführte serologische Verlaufsuntersuchung zeigte negative Antikörpernachweise für R. rickettsii bei positivem IgG für die Rickettsienspezies R. africae und R. conorii.
Abb. 4
Fundusfoto des rechten Auges. Nach 6 Wochen hat sich die Läsion fast vollständig zurückgebildet
Bild vergrößern

Diskussion

Infektbedingte Veränderungen des hinteren Augenabschnitts können in Mitteleuropa insbesondere im Rahmen einer Tuberkulose, eines Lues, einer Toxoplasmose, einer Borreliose oder viral bedingt durch Herpesviren auftreten. Durch die Globalisierung, erhöhte Reiseaktivität, Migrationsbewegungen und den Klimawandel müssen atypische und nichtendemische Erreger jedoch zunehmend differenzialdiagnostisch mitbeachtet werden.
Rickettsien sind obligat intrazelluläre gramnegative Bakterien, deren Gattung mittlerweile über 31 verschiedene Spezies umfasst [1]. Rickettsien benötigen einen Vektor (zumeist Zecken, Flöhe oder Milben) zur Übertragung auf einen Wirt. Sie sind auf allen Kontinenten (außer Antarktika) verbreitet, wobei den meisten Spezies aufgrund der klimatischen Unterschiede sowie ihrer Vektor- und Wirtsspezifität eine gesonderte geografische Region zugeordnet werden kann [8]. Einige Spezies der Rickettsien sind pathogen und Auslöser charakteristischer Erkrankungen. So ist R. rickettsii (Rocky-Mountain-Fleckfieber) in Nord- und Südamerika, R. conorii (Mittelmeer-Fleckfieber) im Bereich des Mittelmeers und dem gesamten afrikanischen Kontinent und R. africae (afrikanisches Zeckenbissfieber) in Sub-Sahara-Afrika verbreitet [3]. Nach einer Inkubationszeit von 5–7 Tagen gehen Rickettsiosen (wie beim vorliegenden Fall) zumeist mit Allgemeinsymptomen wie Fieber, Kopf- und Gliederschmerzen sowie in einigen Fällen mit einem Exanthem einher [4]. Einige Rickettsienarten zeigen eine nekrotische Läsion mit Umgebungsrötung im Bereich der Einstichstelle, die man als Eschar bezeichnet [3]. Die Letalität ist vor allem durch septische Komplikationen bedingt, unterscheidet sich je nach spezifischem Erreger und reicht unbehandelt von annähernd 0 % bis zu 30 % [3].
Die Bestätigung einer Infektion mit Rickettsien erfolgt bei klinischem Verdacht vor allem durch den direkten Erregernachweis (mittels PCR) aus einer Hautläsion und/oder dem serologischen Nachweis spezifischer Antikörper [1]. Es ist wichtig zu beachten, dass in der serologischen Diagnostik relevante Kreuzreaktionen zwischen den verschiedenen Rickettsienarten auftreten können, weshalb eine spezifische Zuordnung zu einer bestimmten Spezies/Krankheitsentität meist nicht allein anhand des Serologiebefundes, sondern in Zusammenschau mit der klinischen Präsentation sowie der Reiseanamnese erfolgen sollte [5]. In dieser Kasuistik konnten nach einem initialen Nachweis von R.-rickettsii-IgG und -IgM bei einer Verlaufskontrolle ausschließlich IgG für R. africae und R. conorii nachgewiesen werden, was konkordant zur Reiseanamnese des Patienten passt, die epidemiologisch nicht mit einer R.-rickettsii-Infektion vereinbar scheint. Da sich die Infektion in Südafrika ereignete, erachten wir epidemiologisch betrachtet R. conorii oder R. africae als wahrscheinlichste Erreger der vorliegenden Retinitis. Aufgrund der klinischen Präsentation erscheint in Zusammenschau eine Infektion mit R. africae jedoch am wahrscheinlichsten. Diese tritt nicht zwangsweise (nur in 26–46 % der Fälle) in Kombination mit einem generalisierten Exanthem auf und zeigt sowohl solitäre als auch multiple Eschars [6, 10]. Die okuläre Manifestation ist sowohl mit vorigen Fallberichten zu R. africae als auch R. conorii vergleichbar (siehe unten). Eine Infektion mit Letzterer geht jedoch in annähernd 100 % der Fälle mit einem generalisierten Exanthem einher [3]. Insgesamt ist eine definitive Zuordnung zu einer genauen Entität aus jetziger Sicht anhand der Anamnese und der vorliegenden Befunde nicht möglich. Beide Erreger sind in Südafrika endemisch [3].
Eine okuläre Beteiligung bei Rickettsiosen ist in Einzelfallberichten vor allem bei Reiserückkehrern vorbeschrieben und umfasst entzündliche Veränderungen aller Augenabschnitte [7]. An der Netzhaut wurden, besonders bei einer Infektion mit R. rickettsii, disseminierte kleine retinitische Läsionen im gesamten Fundus beschrieben [9]. Große und solitäre Läsionen (wie im vorliegenden Fall) scheinen insbesondere für die Erreger R. conorii und R. africae charakteristisch zu sein und treten vor allem perivasal auf [7]. Außerdem können neben einem Makulaödem auch vaskulitische Veränderungen, retinale Hämorrhagien, eine seröse Netzhautablösung und Entzündungen oder Ödeme des Sehnervs auftreten [7].
Rickettsien sind zumeist empfindlich gegenüber Tetrazyklin-Antibiotika, wobei eine 2‑wöchige Einnahme von oralem Doxycyclin der klinische Standard ist [2]. Als Alternative (jedoch zweite Wahl) kann orales Chloramphenicol angewendet werden. Das im vorliegenden Fall von der Reisebegleitung verabreichte Makrolidantibiotikum Azithromycin ist tatsächlich bei einigen Rickettsienarten wirksam und mag den Verlauf positiv beeinflusst haben [2].

Fazit für die Praxis

  • Eine gründliche (Reise‑)Anamnese unter Einschluss aller Reisenden kann bei Verdacht auf okuläre Infektion richtungsweisende Informationen hervorbringen.
  • Vor allem nach Auslandsaufenthalten sind auch für Mitteleuropa untypische Erreger als Auslöser okulärer Entzündungen zu beachten.

Einhaltung ethischer Richtlinien

Interessenkonflikt

S. Besier gibt folgenden Interessenkonflikt an: Pfizer Pharma GmbH (über Institution): Studie bisher nicht abgeschlossen, bisher keine Zahlungen erhalten; Landesärztekammer Hessen: Honorare für Vorträge. M.L. Biller, K.P. Kaiser, J. Kessel, J. Koepsell, N. Kenikstul, J. Bucur, M. Müller und T. Kohnen geben an, dass kein Interessenkonflikt besteht.
Für diesen Beitrag wurden von den Autor/-innen keine Studien an Menschen oder Tieren durchgeführt. Für die aufgeführten Studien gelten die jeweils dort angegebenen ethischen Richtlinien. Für Bildmaterial oder anderweitige Angaben innerhalb des Manuskripts, über die Patient/-innen zu identifizieren sind, liegt von ihnen und/oder ihren gesetzlichen Vertretern/Vertreterinnen eine schriftliche Einwilligung vor.
Open Access Dieser Artikel wird unter der Creative Commons Namensnennung 4.0 International Lizenz veröffentlicht, welche die Nutzung, Vervielfältigung, Bearbeitung, Verbreitung und Wiedergabe in jeglichem Medium und Format erlaubt, sofern Sie den/die ursprünglichen Autor(en) und die Quelle ordnungsgemäß nennen, einen Link zur Creative Commons Lizenz beifügen und angeben, ob Änderungen vorgenommen wurden.
Die in diesem Artikel enthaltenen Bilder und sonstiges Drittmaterial unterliegen ebenfalls der genannten Creative Commons Lizenz, sofern sich aus der Abbildungslegende nichts anderes ergibt. Sofern das betreffende Material nicht unter der genannten Creative Commons Lizenz steht und die betreffende Handlung nicht nach gesetzlichen Vorschriften erlaubt ist, ist für die oben aufgeführten Weiterverwendungen des Materials die Einwilligung des jeweiligen Rechteinhabers einzuholen.
Weitere Details zur Lizenz entnehmen Sie bitte der Lizenzinformation auf http://​creativecommons.​org/​licenses/​by/​4.​0/​deed.​de.

Hinweis des Verlags

Der Verlag bleibt in Hinblick auf geografische Zuordnungen und Gebietsbezeichnungen in veröffentlichten Karten und Institutsadressen neutral.

Unsere Produktempfehlungen

Die Ophthalmologie

Print-Titel

  • Umfassende Themenschwerpunkte mit klaren Handlungsempfehlungen
  • Praxisrelevante CME-Fortbildung in jedem Heft
  • Organ der Deutschen Ophthalmologischen Gesellschaft

e.Med Interdisziplinär

Kombi-Abonnement

Für Ihren Erfolg in Klinik und Praxis - Die beste Hilfe in Ihrem Arbeitsalltag

Mit e.Med Interdisziplinär erhalten Sie Zugang zu allen CME-Fortbildungen und Fachzeitschriften auf SpringerMedizin.de.

download
DOWNLOAD
print
DRUCKEN
Titel
Retinitis bei Rickettsiose
Verfasst von
Dr. med. Marvin Lucas Biller
Klemens Paul Kaiser
Johanna Kessel
Julia Koepsell
Silke Besier
Ninel Kenikstul
Julian Bucur
Michael Müller
Thomas Kohnen
Publikationsdatum
20.03.2024
Verlag
Springer Medizin
Schlagwörter
Rickettsien
Augenheilkunde
Erschienen in
Die Ophthalmologie / Ausgabe 6/2024
Print ISSN: 2731-720X
Elektronische ISSN: 2731-7218
DOI
https://doi.org/10.1007/s00347-024-02019-3
1.
Zurück zum Zitat Abdad MY, Abou AR, Fournier PE et al (2018) A concise review of the epidemiology and diagnostics of rickettsioses: Rickettsia and Orientia spp. J Clin Microbiol 56:
2.
Zurück zum Zitat Blanton LS (2019) The rickettsioses: a practical update. Infect Dis Clin North Am 33:213–229CrossRefPubMedPubMedCentral
3.
Zurück zum Zitat Dobler G, Wölfel R (2009) Fleckfieber und andere Rickettsiosen. Dtsch Ärztebl Int 106:348–354PubMedPubMedCentral
4.
Zurück zum Zitat Eldin C, Parola P (2020) Rickettsioses. Rev Prat 70:201–205PubMed
5.
Zurück zum Zitat Hechemy KE, Raoult D, Fox J et al (1989) Cross-reaction of immune sera from patients with rickettsial diseases. J Med Microbiol 29:199–202CrossRefPubMed
6.
Zurück zum Zitat Jelinek T, Löscher T (2001) Clinical features and epidemiology of tick typhus in travelers. J Travel Med 8:57–59CrossRefPubMed
7.
Zurück zum Zitat Khairallah M, Ladjimi A, Chakroun M et al (2004) Posterior segment manifestations of Rickettsia conorii infection. Ophthalmology 111:529–534CrossRefPubMed
8.
Zurück zum Zitat Parola P, Paddock CD, Socolovschi C et al (2013) Update on tick-borne rickettsioses around the world: a geographic approach. Clin Microbiol Rev 26:657–702CrossRefPubMedPubMedCentral
9.
Zurück zum Zitat Raab EL, Leopold IH, Hodes HL (1969) Retinopathy in Rocky Mountain spotted fever. Am J Ophthalmol 68:42–46CrossRefPubMed
10.
Zurück zum Zitat Silva-Ramos CR, Faccini-Martínez ÁA (2021) Clinical, epidemiological, and laboratory features of Rickettsia africae infection, African tick-bite fever: A systematic review. Infez Med 29:366–377CrossRefPubMedPubMedCentral
Bildnachweise
Mädchen in selbst gebauter Zeitmaschine/© Santen GmbH (Symbolbild mit Fotomodell)