Zum Inhalt

Unklare Ursache einseitiger Erblindung bei normwertigen Entzündungsparametern

Erschienen in:

Zusammenfassung

Eine 70-jährige Patientin wird wegen akuter einseitiger Erblindung des rechten Auges vorgestellt. Bei unauffälligem C‑reaktivem Protein (CRP) und Blutsenkungsgeschwindigkeit (BSG) wird ein nichtarteriitischer embolischer Verschluss angenommen. Die weitere Anamnese ergibt jedoch den Verdacht auf eine Großgefäßvaskulitis, welcher durch die folgende bildgebende Diagnostik bestätigt wird. Dieser seltene Fall einer Großgefäßvaskulitis bei normwertigen Entzündungsparametern betont die Bedeutung von Anamnese und gezielter Diagnostik.

Redaktion

Mike Oliver Becker, Zürich
Paula Hoff, Berlin
Axel Hueber, Nürnberg
Frank Moosig, Neumünster
QR-Code scannen & Beitrag online lesen

Hinweis des Verlags

Der Verlag bleibt in Hinblick auf geografische Zuordnungen und Gebietsbezeichnungen in veröffentlichten Karten und Institutsadressen neutral.

Anamnese

Eine 70-jährige Patientin wird wegen akut aufgetretener Erblindung des rechten Auges in der Notaufnahme vorgestellt und in der Klinik für Augenheilkunde aufgenommen. Der einseitigen Erblindung vorausgegangen waren Schmerzen von Schulter und Nacken, beginnend 2 Monate vor Aufnahme, zudem Kieferschmerzen bei längerem Kauen. Vier Wochen zuvor war eine plötzliche, passagere Diplopie aufgetreten. Die Akutdiagnostik im heimatnahen Krankenhaus ergab seinerzeit bei unauffälliger kranialer Computertomographie (cCT), unauffälliger nativer kranialer Magnetresonanztomographie (cMRT) und fehlenden laborchemischen Entzündungszeichen (s. Tab. 1) den Verdacht einer transitorisch ischämischen Attacke. Zwei Tage vor akuter Aufnahme bestand eine Amaurosis fugax des rechten Auges. Eine Allgemeinsymptomatik lag zu keiner Zeit vor.
An relevanten Nebenerkrankungen bestand eine arterielle Hypertonie. Kardiovaskuläre Ereignisse in der Vorgeschichte wurden nicht berichtet.

Diagnostik

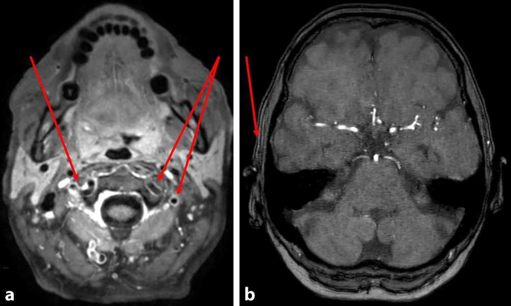
Bei Aufnahme beträgt die Sehschärfe rechts Handbewegungen, bei Entlassung nulla lux. Die Fundoskopie beschreibt eine ödematöse, blasse Papille, eine Tortuositas der Gefäße, eine Ischämiebande der inferioren Hälfte und einen Hemizentralarterienverschluss. CRP und BSG sind bei Aufnahme und im Verlauf normal (Tab. 1). CCT mit Angiographie an Tag 1 ohne Vaskulitis-typische Veränderungen. Die cMRT mit Kontrastmittel (KM) an Tag 3 weist eine Vaskulitis mit Manifestation in den Aa. temporales superficiales nach (Abb. 1). Die rechtsseitige A. temporalis superficialis sowie der Ramus frontalis der kontralateralen Arterie sind verschlossen. Die [18F]-FDG-PET/CT vom selben Tag ergibt Stoffwechselsteigerungen insbesondere in der A. vertebralis beidseits (Abb. 2) sowie geringer in der A. carotis interna, in der Bauchaorta und in den Beinarterien, gut vereinbar mit Riesenzellarteriitis. Eine Temporalisbiopsie wurde von der Patientin abgelehnt.
Tab. 1
Entzündungsparameter bei Diplopie 4 Wochen vor Erblindung (links) und bei Akutaufnahme wegen einseitiger Erblindung (rechts)
Vier Wochen zuvor (Diplopie)
Akute Erblindung
Parameter
Tag −28
Tag 1
Tag 2
Tag 3
C‑reaktives Protein, mg/dl (NW < 0,5)
0,35
0,13
0,27
0,24
Blutsenkungsgeschwindigkeit (mm/h)
3
2
6
Leukozyten/nl (NW 3‑10/)
8,19
8,25
9,43
NW Normwert
Abb. 1
a cMRT, Sequenz T1 Black Blood transversal mit Kontrastmittel (KM). Deutliches KM-Enhancement der Vertebralarterien (Pfeile); b Sequenz 3D „time of flight“ (TOF), fehlendes Flusssignal der A. temporalis superficialis rechts (Pfeil)
Bild vergrößern
Abb. 2
a [18F]-FDG-PET, koronar, „standardized uptake value“ (SUV) 7; b [18F]-FDG-PET/CT, koronar, Fusionsbild, SUV 5; c [18F]-FDG-PET, koronar, Maximumintensitätsprojektion (MIP), SUV 7. Deutliche Stoffwechselsteigerung der A. vertebralis beidseits
Bild vergrößern

Diagnose

Großgefäßvaskulitis (Synonym: Riesenzellarteriitis [RZA]) mit Beteiligung supraaortaler Arterien und anteriorer ischämischer Optikusneuropathie (AION) bei normwertigen systemischen Entzündungsparametern (CRP/BSG).

Therapie und Verlauf

Zunächst erfolgte eine Bolusgabe von Methylprednisolon 1000 mg i.v. an Tag 1 bis 3, gefolgt von Prednisolon (PDN) p.o. (Beginn mit 60 mg/Tag). Eine Verbesserung des Visus am rechten Auge trat nicht ein. Das linke Auge war weder zu Beginn noch im Verlauf betroffen. Eine steroidsparende Therapie (Methotrexat bzw. Tocilizumab) wurde empfohlen, von der Patientin jedoch abgelehnt. Die Reduktion von PDN wurde entsprechend den bekannten Behandlungsempfehlungen durchgeführt [4]. Weitere Manifestationen einer Großgefäßvaskulitis sind bisher nicht aufgetreten.
Differenzialdiagnostisch fanden sich keine Hinweise für eine infektiös bedingte Vaskulitis, eine andere entzündlich rheumatische Systemerkrankung, eine hereditäre Angiopathie oder eine IgG-4-assoziierte Erkrankung.

Diskussion

Der vorliegende Fall beschreibt die zunächst uncharakteristisch und vieldeutig wirkende Manifestation einer seltenen entzündlichen Erkrankung. Dies hat Auswirkungen auf die Latenz von Beschwerdebeginn bis Diagnosestellung und damit wesentliche Konsequenzen auf Morbidität und Prognose. Es stellt sich die Frage, wie eine verzögerte Diagnosestellung bei Großgefäßvaskulitis in entsprechenden Konstellationen verhindert werden kann.
Die Großgefäßvaskulitis präsentiert sich zumeist mit suggestiver Leitsymptomatik und einer Erhöhung der systemischen Entzündungsparameter CRP und BSG. Diese sind in Verbindung mit der klinischen Symptomatik und der Bildgebung auch zur Fallklassifikation sowie der Definition von Remission und deren Verlaufskontrolle geeignet [4].
Isoliert normwertige CRP- oder BSG-Resultate werden in ca. 5–22 % der Fälle gemessen [59]. Dass sowohl CRP als auch BSG wie in diesem Fall normal gemessen werden, gilt als sehr selten (< 3 %).
Die sorgfältige Wertung der anamnestischen Angaben und eine nach Verfügbarkeit und Sensitivität bzw. Spezifität gestaffelte Diagnostik (klinische Untersuchung, farbkodierte Duplexsonographie [FKDS] der Kopf‑/Halsarterien und der A. axillaris, hochauflösende MRT der Aorta bzw. der Kopf‑/Halsarterien, [18F]-FDG-PET) erscheinen am ehesten geeignet, die Frühdiagnostik der Großgefäßvaskulitis zu verbessern [1, 2].
Wertvoll waren in diesem Fall eine rheumatologische Systemanamnese mit gezielter Abfrage der Leitsymptome einer Großgefäßvaskulitis sowie die strukturierte Bildgebung. Eine Strukturierung der Diagnostik durch Flussschemata hilft, die klinische Wahrscheinlichkeit einer Großgefäßvaskulitis einzuschätzen (s. Abb. 3).
Unklar ist noch, ob die laborchemische Erstdiagnostik und Verlaufskontrolle bei Großgefäßvaskulitis mit anderen Akute-Phase-Proteinen wie Komplementfaktoren oder Pentraxin‑3 [3, 10] optimiert werden können. Die Kontrolle der Bildgebung sollte unter Berücksichtigung der betroffenen Gefäßabschnitte in Frequenz und Methodenauswahl an die konkrete Situation angepasst werden. [18F]-FDG-PET-Untersuchungen zur Verlaufskontrolle sind in diesem Kontext nur in Subpopulationen der Betroffenen indiziert [11].
Abb. 3
Flussschema zur Einschätzung der klinischen Wahrscheinlichkeit einer Riesenzellarteriitis
Bild vergrößern

Fazit für die Praxis

  • Normwertige Entzündungsparameter schließen eine Großgefäßvaskulitis nicht aus und können daher zur deutlichen Diagnoseverzögerung führen.
  • Eine gezielte Anamnese zu Leitsymptomen einer Großgefäßvaskulitis sollte bei Verdachtsmomenten erfolgen.
  • Diagnosesicherung gelingt über objektivierbare Befunde wie FKDS, CTA, hochauflösende MRT/cMRT-Angiographie, [18F]-FDG-PET.
  • Eine Strukturierung der Diagnostik durch Flussschemata hilft, die klinische Wahrscheinlichkeit einer Großgefäßvaskulitis einzuschätzen

Einhaltung ethischer Richtlinien

Interessenkonflikt

F. Müller, C.H. Pfob und M. Wahle geben an, dass kein Interessenkonflikt besteht.
Für diesen Beitrag wurden von den Autor/-innen keine Studien an Menschen oder Tieren durchgeführt. Für die aufgeführten Studien gelten die jeweils dort angegebenen ethischen Richtlinien. Für Bildmaterial oder anderweitige Angaben innerhalb des Manuskripts, über die Patient/-innen zu identifizieren sind, liegt von ihnen und/oder ihren gesetzlichen Vertretern/Vertreterinnen eine schriftliche Einwilligung vor.
Open Access Dieser Artikel wird unter der Creative Commons Namensnennung 4.0 International Lizenz veröffentlicht, welche die Nutzung, Vervielfältigung, Bearbeitung, Verbreitung und Wiedergabe in jeglichem Medium und Format erlaubt, sofern Sie den/die ursprünglichen Autor(en) und die Quelle ordnungsgemäß nennen, einen Link zur Creative Commons Lizenz beifügen und angeben, ob Änderungen vorgenommen wurden.
Die in diesem Artikel enthaltenen Bilder und sonstiges Drittmaterial unterliegen ebenfalls der genannten Creative Commons Lizenz, sofern sich aus der Abbildungslegende nichts anderes ergibt. Sofern das betreffende Material nicht unter der genannten Creative Commons Lizenz steht und die betreffende Handlung nicht nach gesetzlichen Vorschriften erlaubt ist, ist für die oben aufgeführten Weiterverwendungen des Materials die Einwilligung des jeweiligen Rechteinhabers einzuholen.
Weitere Details zur Lizenz entnehmen Sie bitte der Lizenzinformation auf http://creativecommons.org/licenses/by/4.0/deed.de.

Hinweis des Verlags

Der Verlag bleibt in Hinblick auf geografische Zuordnungen und Gebietsbezeichnungen in veröffentlichten Karten und Institutsadressen neutral.

Unsere Produktempfehlungen

Zeitschrift für Rheumatologie

Print-Titel

Hot topics von Experten knapp, aussagekräftig und provokativ kommentiert, neueste Leitlinien und Empfehlungen sowie Stellungnahmen der Deutschen Gesellschaft für Rheumatologie

e.Med Interdisziplinär

Kombi-Abonnement

Für Ihren Erfolg in Klinik und Praxis - Die beste Hilfe in Ihrem Arbeitsalltag

Mit e.Med Interdisziplinär erhalten Sie Zugang zu allen CME-Fortbildungen und Fachzeitschriften auf SpringerMedizin.de.

Jetzt bestellen und im ersten Jahr 100 € sparen!

© Springer Medizin


e.Med Innere Medizin

Kombi-Abonnement

Mit e.Med Innere Medizin erhalten Sie Zugang zu CME-Fortbildungen des Fachgebietes Innere Medizin, den Premium-Inhalten der internistischen Fachzeitschriften, inklusive einer gedruckten internistischen Zeitschrift Ihrer Wahl.

download
DOWNLOAD
print
DRUCKEN
Titel
Unklare Ursache einseitiger Erblindung bei normwertigen Entzündungsparametern
Verfasst von
Dr. Felix Müller
Christian Helmut Pfob
Matthias Wahle
Publikationsdatum
14.06.2024
1.
Zurück zum Zitat Bley T, Guggenberger KV (2021) Kombinierte MRT/MRA für die Diagnostik der RZA. Z Rheumatol 80:559–562CrossRefPubMed
2.
Zurück zum Zitat Christian D, Sofia R, Milena B et al (2023) EULAR recommendations for the use of imaging in large vessel vasculitis in clinical. practice, Bd. 2023. update. Annals of the Rheumatic Diseases:ard, S 2023–224543
3.
Zurück zum Zitat Conticini E, Hellmich B, Frediani B et al (2022) Utility of serum complement factors C3 and C4 as biomarkers during therapeutic management of giant cell arteritis. Scand J Rheumatol: 1–7
4.
Zurück zum Zitat Hellmich B, Agueda A, Monti S et al (2020) 2018 Update of the EULAR recommendations for the management of large vessel vasculitis. Ann Rheum Dis 79:19–30CrossRefPubMed
5.
Zurück zum Zitat Laria A, Zoli A, Bocci M et al (2012) Systematic review of the literature and a case report informing biopsy-proven giant cell arteritis (GCA) with normal C‑reactive protein. Clin Rheumatol 31:1389–1393CrossRefPubMed
6.
Zurück zum Zitat Martins P, Teixeira V, Teixeira FJ et al (2020) Giant cell arteritis with normal inflammatory markers: case report and review of the literature. Clin Rheumatol 39:3115–3125CrossRefPubMed
7.
Zurück zum Zitat Naderi N, Mohammad AJ, Turesson C (2017) Large vessel involvement in biopsy-proven giant cell arteritis: incidence, distribution, and predictors. Scand J Rheumatol 46:215–221CrossRefPubMed
8.
Zurück zum Zitat Parikh M, Miller NR, Lee AG et al (2006) Prevalence of a normal C‑reactive protein with an elevated erythrocyte sedimentation rate in biopsy-proven giant cell arteritis. Ophthalmology 113:1842–1845CrossRefPubMed
9.
Zurück zum Zitat Salvarani C, Hunder GG (2001) Giant cell arteritis with low erythrocyte sedimentation rate: frequency of occurrence in a population-based study. Arthritis Care & Research: Official Journal of the American College of Rheumatology 45:140–145
10.
Zurück zum Zitat Tombetti E, Hysa E, Mason JC et al (2021) Blood Biomarkers for Monitoring and Prognosis of Large Vessel Vasculitides. Curr Rheumatol Rep 23:17CrossRefPubMedPubMedCentral
11.
Zurück zum Zitat Van Der Geest KSM, Treglia G, Glaudemans A et al (2021) Diagnostic value of [18F]FDG-PET/CT for treatment monitoring in large vessel vasculitis: a systematic review and meta-analysis. Eur J Nucl Med Mol Imaging 48:3886–3902CrossRef

Kompaktes Leitlinien-Wissen Innere Medizin (Link öffnet in neuem Fenster)

Mit medbee Pocketcards schnell und sicher entscheiden.
Leitlinien-Wissen kostenlos und immer griffbereit auf ihrem Desktop, Handy oder Tablet.

Neu im Fachgebiet Innere Medizin

Hypertonie: Mehrfachkontrolle zentraler Risikofaktoren schützt die Niere

Eine große chinesische Kohortenstudie unterstreicht die Bedeutung von vier zentralen Risikofaktoren – systolischem Blutdruck, LDL-Cholesterin, Nüchternglukose und BMI – für die Prävention einer chronischen Niereninsuffizienz bei Patienten mit Hypertonie. Jede zusätzlich kontrollierte Komponente senkte das CKD-Risiko um 18%.

Drei Tipps, um maschinell zu beatmen, ohne zu schädigen

Für die künstliche Beatmung lassen sich prinzipiell einfache Grundregeln formulieren. Dennoch ist viel Fachexpertise gefragt, um ventilatorinduzierte Lungenschäden möglichst zu vermeiden. Drei pragmatische Handlungsempfehlungen helfen dabei in der klinischen Praxis weiter.

Zoliflodacin als neue Option in der Therapie der Gonorrhö

Das Spiropyrimidintrion-Antibiotikum Zoliflodacin hat sich in einer Studie zur Therapie der urogenitalen Gonorrhö einer Kombination von Ceftriaxon und Azithromycin als ebenbürtig erwiesen. Dabei hat die neue Substanz einige Vorteile auf ihrer Seite.

Podcast

„Gesunde“ Bildschirmzeit für Kinder – zwischen Leitlinie und Realität

Medien sind überall – und Kinder kommen oft schon früh mit Smartphone, Tablet und Fernseher in Berührung. Eine deutsche Leitlinie versucht dem Wunsch nach Orientierung gerecht zu werden. Doch welche Empfehlungen sind überhaupt realistisch? Medienexpertin Frau Dr. Iren Schulz ordnet im Podcast die Kritikpunkte ein und erläutert den aktuellen Wissensstand zur „gesunden“ Bildschirmzeit.

Update Innere Medizin

Bestellen Sie unseren Fach-Newsletter und bleiben Sie gut informiert.

Bildnachweise
Die Leitlinien für Ärztinnen und Ärzte, Blutdruckmessung bei Patient/© Soloviova Liudmyla / stock.adobe.com (Symbolbild mit Fotomodell), Maschinelle Beatmung/© Carmen Ruiz alonso / Getty Images / iStock (Symbolbild mit Fotomodellen), Medikamente werden aus dem Schrank geholt/© I Viewfinder / stock.adobe.com (Symbolbild mit Fotomodell), Springer Medizin Podcast - Kind und Mutter am Handy/© (M) kerkezz / stock.adobe.com (Symbolbild mit Fotomodellen)