Zum Inhalt

Orbitofaziale Manifestation einer Sarkoidose

Erschienen in:
QR-Code scannen & Beitrag online lesen

Anamnese

Eine 35-jährige Patientin stellte sich mit unklaren, seit 1 Jahr progredienten, derben Oberlidschwellungen rechts größer als links in unserer Klinik vor. Außerdem wurde eine Visusminderung rechts bemerkt. Schmerzen lagen aktuell nicht vor. Es konnten eine stattgehabte rechtsseitige periphere Fazialisparese und Parotitis eruiert werden. Diese waren zeitlich unabhängig voneinander aufgetreten. Weiterhin wurde eine Xerostomie beklagt sowie von rezidivierenden Augenrötungen mit vermehrter Blendempfindlichkeit berichtet. Weitere Vorerkrankungen bestanden nicht.

Befund

Der bestkorrigierte Visus lag rechts bei 0,8 und links bei 1,0. Es zeigten sich eine im Seitenvergleich betont rechtsseitig palpable Raumforderung der Glandula lacrimalis, eine Pseudoptosis rechts sowie beidseitig umschriebene alte Pigmentfußpunkte auf der Linsenvorderkapsel bei regelrechtem Fundusbefund (Abb. 1). Der Augeninnendruck war normwertig. Im Schirmer I-Test konnte mit rechtsseitig 2 mm und linksseitig 3 mm eine deutlich verringerte Tränensekretion festgestellt werden.
Abb. 1
Klinische Bilder. Übersichtsfotografie der Augenpartie mit Pseudoptosis rechts (a). Spaltlampenfotografien des rechten (b) und linken (c) Auges mit Pigmentfußpunkten (rote Pfeile) nach hinterer Synechierung als Residuen abgelaufener Uveitiden
Bild vergrößern

Ergänzende Diagnostik

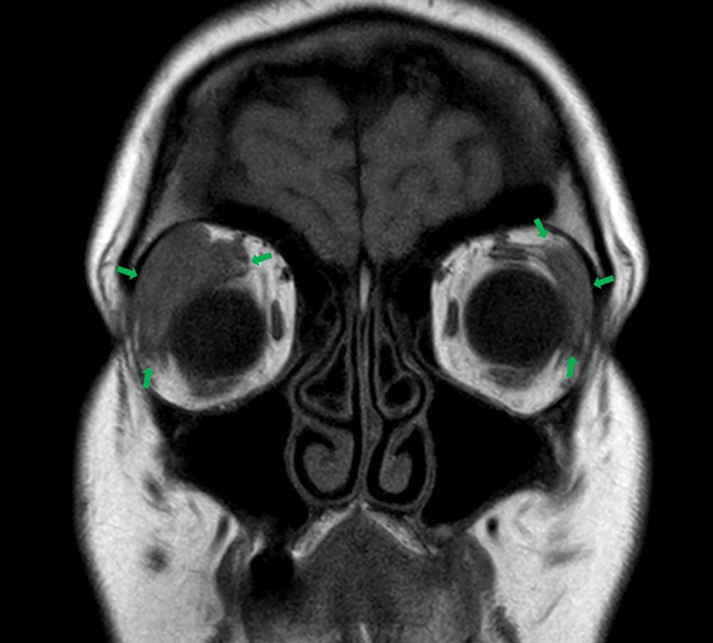
Die Diagnostik wurde um eine Magnetresonanztomographie des Schädels mit Dünnschichtaufnahmen der Orbitae und Nasennebenhöhlen ergänzt. Hier fanden sich signalarme, unscharf begrenzte Schwellungen der Glandulae lacrimales beidseits (Abb. 2). Eine Serologie auf Borrelien, Lues und neurotrophe Viren zeigte keine aktiven Infektionen, aber Serumnarben für Herpes-simplex-Virus (HSV) und Varizella-Zoster-Virus (VZV). Die Titer für das Angiotensin-Converting-Enzym (ACE) und den löslichen Interleukin-2-Rezeptor (sIL-2-R) stellten sich normwertig dar.
Abb. 2
Magnetresonanztomographie (koronare Schnittebene) mit Darstellung der vergrößerten Glandulae lacrimales beidseitig (grüne Pfeile)
Bild vergrößern
Zur Diagnosesicherung erfolgte am rechten Auge eine Biopsie über eine transkutane anteriore Orbitotomie. Histopathologisch stellten sich epitheloidzellige Granulome ohne Nekrosen, teilweise mit multinukleären histiozytären Riesenzellen vom Langerhans-Typ, dar (Abb. 3). Im polarisierten Licht ließ sich kein doppeltbrechendes Fremdgewebe detektieren. Immunhistochemisch konnte in den Granulomen eine deutliche Positivität für CD68 nachgewiesen werden. Es bestand kein Anhalt für Malignität. Somit konnten die Granulome histomorphologisch am ehesten einer Sarkoidosemanifestation zugeordnet werden.
Abb. 3
Histologie des Biopsats der Tränendrüse rechts, Hämatoxylin-Eosin-Färbung, Vergr. 120:1 (a) und 400:1 (b). Epitheloidzellige Granulome (Pfeile), mit teilweise enthaltenen multinukleären histiozytären Riesenzellen vom Langerhans-Typ und perigranulomatöser Fibrosierung. Umgebend findet sich ein gemischtes entzündliches Infiltrat aus Lymphozyten sowie vereinzelten Granulozyten. Die Granulome selbst zeigen keine zentrale Nekrotisierung
Bild vergrößern
Die Lungenfunktionsuntersuchung und die thorakale Computertomographie CT erbrachten keine pathologischen Befunde.

Diagnose

Es wurde die Diagnose eines kompletten Heerfordt-Syndroms mit beidseitigem Tränendrüsenbefall gestellt.

Therapie und Verlauf

In enger interdisziplinärer Abstimmung mit den Kollegen unserer Rheumatologie wurde daher eine Therapie mit Prednisolon 30 mg systemisch ausschleichend, in Überlappung mit Methotrexat (MTX) 15 mg 1‑mal/Woche sowie Folsäure 5 mg 1‑mal/Woche als Erhaltungstherapie, eingeleitet. Es erfolgten regelmäßige laborchemische Kontrollen der Leber- und Nierenparameter sowie des Blutbildes.
Es zeigte sich ein gutes Ansprechen auf die Therapie mit deutlicher objektiver sowie subjektiver Befundregredienz bei initial guter Verträglichkeit der Medikation. Im Verlauf kam es jedoch zu einer medikamentös induzierten Nausea, sodass die Patientin die Behandlung zunächst unterbrach. Die Patientin stellte sich dann nach 2 Monaten erneut mit einer zunehmenden Schwellung des rechten Oberlides vor. Nach erneuter rheumatologischer Mitbeurteilung erfolgte eine Umstellung der Therapie auf Azathioprin 50 mg 3‑mal 1/Tag überlappend mit einem langsamen Ausschleichen von Prednisolon 10 mg. Unter dieser Therapie zeigte sich erneut eine deutliche Befundregredienz bei guter Verträglichkeit der Therapie (Abb. 4). Bei stabilem Visus ohne erneute Augenrötung zeigten sich im Schirmer-Test Werte von rechts 10 mm und links 15 mm.
Abb. 4
Übersichtsbild, 6 Monate nach der Erstvorstellung. Rechtsseitig deutlich regrediente Pseudoptosis
Bild vergrößern

Diskussion

Das Hauptmanifestationsalter einer Sarkoidose liegt zwischen dem zweiten und vierten Lebensjahrzehnt. Frauen sind dabei häufiger als Männer betroffen. Es können potenziell alle Organe beteiligt sein. Hauptmanifestationsorte sind allerdings Lymphknoten (v. a. mediastinal), Lunge, Leber, Haut, Herz und Augen. Eine familiäre Häufung wird in 4 % der Fälle berichtet, die Genese ist jedoch ungeklärt. Verschiedene Genmutationen (z. B. Human-leukocyte-antigen-Komplex auf Chromosom 6) sowie eine Dysbalance regulatorischer und proinflammatorischer Faktoren scheinen eine Rolle zu spielen. Aufgrund der Heterogenität der Erkrankung werden multiple Auslöser als Triggerfaktoren (z. B. Infektionen) vermutet [1].
Die Erstbeschreibung des Symptomkomplexes aus Parotitis, Uveitis, Fieber und Fazialisparese als „febris uveoparotidea subchronica“ erfolgte durch den dänischen Ophthalmologen Dr. Christian Frederick Heerfordt (1871–1953) im Jahr 1909 [2]. Zeigen sich die Uveitis, Fazialisparese und Speicheldrüsenschwellung gemeinsam, spricht man von einem kompletten Heerfordt-Syndrom, andernfalls liegt eine inkomplette Form vor [3]. Das Heerfordt-Syndrom zeigt sich lediglich bei 0,3 % der Patienten mit einer Sarkoidose [4].
Neben der im Symptomkomplex beschriebenen Parotitis und Fazialisparese ist auch die Beteiligung weiterer Hirnnerven sowie Speicheldrüsen möglich [5]. So zeigte sich im hier beschriebenen Fall die zur Vorstellung führende Schwellung in der Tränendrüse. In der Biopsie konnten hier die sarkoidosetypischen epitheloidzelligen Granulome ohne Nekrose nachgewiesen werden. Die Tränendrüse ist in 25 % der Fälle einer okulären Sarkoidosebeteiligung mit betroffen, wobei sich typischerweise eine Schwellung und oder hyposekretorische Sicca-Symptomatik zeigt [6]. Auch eine abgelaufene Uveitis ist bei der Anamnese mit Augenrötungen und Blendempfindlichkeit sowie den vorgefundenen Pigmentfußpunkten auf der Linsenvorderfläche bei der hier präsentierten Kasuistik sehr wahrscheinlich, zumal diese beidseitig vorlagen und auf eine Systemursache hindeuten.
Mit dem ACE und sIL-2‑R stehen zur Diagnostik zwar Biomarker zur Verfügung, diese sind jedoch unspezifisch und eignen sich daher eher zur Verlaufskontrolle [1]. Dies zeigt auch der oben beschriebene Fall, in dem sich beide Marker unauffällig darstellten. Die Biopsie mit histologischer Aufarbeitung ist daher nach wie vor der Goldstandard in der Diagnostik einer Sarkoidose auch bei okulärer Manifestation [6].
Therapeutisch sollte aufgrund der hohen Spontanheilungsrate bei asymptomatischen Verläufen auf eine systemische Therapie verzichtet werden [7]. Da im hier beschriebenen Fall eine bereits multilokuläre symptomatische Erkrankung vorlag, wurde nach interdisziplinärer Abwägung eine systemische Therapie eingeleitet. Die Standardtherapie stellt dabei eine orale Kortikosteroidbehandlung (0,5 mg/kgKG) mit langsamem Ausschleichen über mindestens 12 Monate dar [8]. Steroidsparend und bei initial therapierefraktären Verläufen können je nach Verträglichkeit die Immunsuppressiva MTX (10–25 mg pro Woche) oder Azathioprin (50–200 mg pro Tag) verwendet werden [5]. Zu beachten sind bei diesen Medikamenten die vorliegende Teratogenität sowie Notwendigkeit regelmäßiger Kontrollen des Differenzialblutbildes und der Leberwerte, da es zu Knochenmark- und Leberschädigungen kommen kann [6]. Dieser Zusammenhang muss auch hinsichtlich einer sicheren Empfängnisverhütung vor Therapiestart besprochen werden.
Da die meisten Organbeteiligungen in der Regel bis 2 Jahre nach der Erstmanifestation auftreten, sollte in diesem Zeitraum ein jährliches Screening zumindest der Hauptmanifestationsorte erfolgen [6]. Auch hier ist die Interdisziplinarität von großer Bedeutung. In der Hälfte der Fälle kommt es zu einer spontanen Befundregredienz ohne Therapiebedarf. Im Falle von symptomatischen Verläufen mit Funktionsbeeinträchtigungen ist eine Systemtherapie indiziert und in der Regel gut wirksam. Dennoch kommen chronisch rezidivierende und therapierefraktäre Verläufe vor. Nach Beendigung einer systemischen Therapie mit Kortikosteroiden wurde dies bei 37–74 % der Patienten beobachtet [9]. Deshalb wird eine fortführende internistische Betreuung über 3 Jahre nach Therapieende empfohlen [7].

Fazit für die Praxis

  • Das Heerfordt-Syndrom kann als seltene Manifestationsform einer Sarkoidose neben der Glandula parotidea auch andere Kopfspeicheldrüsen befallen.
  • Die Biopsie und histologische Sicherung sind der Goldstandard in der Diagnose einer Sarkoidose.
  • Eine interdisziplinäre Diagnostik und Therapieentscheidung sowie Patientenbetreuung sind essenziell.

Einhaltung ethischer Richtlinien

Interessenkonflikt

A. Rüger, L. Dießel, A. Viestenz, C. Kesper, C. Schäfer, C. Wickenhauser und J. Heichel geben an, dass kein Interessenkonflikt besteht.
Für diesen Beitrag wurden von den Autoren keine Studien an Menschen oder Tieren durchgeführt. Für die aufgeführten Studien gelten die jeweils dort angegebenen ethischen Richtlinien. Für Bildmaterial oder anderweitige Angaben innerhalb des Manuskripts, über die Patienten zu identifizieren sind, liegt von ihnen und/oder ihren gesetzlichen Vertretern eine schriftliche Einwilligung vor.
Open Access Dieser Artikel wird unter der Creative Commons Namensnennung 4.0 International Lizenz veröffentlicht, welche die Nutzung, Vervielfältigung, Bearbeitung, Verbreitung und Wiedergabe in jeglichem Medium und Format erlaubt, sofern Sie den/die ursprünglichen Autor(en) und die Quelle ordnungsgemäß nennen, einen Link zur Creative Commons Lizenz beifügen und angeben, ob Änderungen vorgenommen wurden.
Die in diesem Artikel enthaltenen Bilder und sonstiges Drittmaterial unterliegen ebenfalls der genannten Creative Commons Lizenz, sofern sich aus der Abbildungslegende nichts anderes ergibt. Sofern das betreffende Material nicht unter der genannten Creative Commons Lizenz steht und die betreffende Handlung nicht nach gesetzlichen Vorschriften erlaubt ist, ist für die oben aufgeführten Weiterverwendungen des Materials die Einwilligung des jeweiligen Rechteinhabers einzuholen.
Weitere Details zur Lizenz entnehmen Sie bitte der Lizenzinformation auf http://creativecommons.org/licenses/by/4.0/deed.de.
download
DOWNLOAD
print
DRUCKEN
Titel
Orbitofaziale Manifestation einer Sarkoidose
Verfasst von
A. Rüger
L. Dießel
A. Viestenz
C. Kesper
C. Schäfer
C. Wickenhauser
PD. Dr. med. habil. Jens Heichel
Publikationsdatum
02.05.2022
Verlag
Springer Medizin
Erschienen in
Die Ophthalmologie / Ausgabe 3/2023
Print ISSN: 2731-720X
Elektronische ISSN: 2731-7218
DOI
https://doi.org/10.1007/s00347-022-01642-2
1.
Zurück zum Zitat Prasse A (2016) Diagnose, Differenzialdiagnose und Therapie der Sarkoidose. Dtsch Arztebl Int 113:565–574PubMedPubMedCentral
2.
Zurück zum Zitat Heerford CF (1909) Über eine „Febris uveo-parotidea subchronica“, an der Glandula parotis und der Uvea des Auges lokalisiert und häufig mit Paresen cerebrospinaler Nerven kompliziert. Graefes Arch Klin Exp Ophthalmol 70:254–273CrossRef
3.
Zurück zum Zitat Makimoto G, Kawakado K, Nakanishi M et al (2021) Heerfordt’s syndrome associated with trigeminal nerve palsy and reversed halo sign. Intern Med 60:1747–1752CrossRefPubMed
4.
Zurück zum Zitat Sugawara Y, Sakayama K, Sada E et al (2005) Heerfordt syndrome initially presented with subcutaneous mass lesions: usefulness of gallium-67 scans before and after treatment. Clin Nucl Med 30:732–733CrossRefPubMed
5.
Zurück zum Zitat Petropoulos IK, Zuber JP, Guex-Crosier Y (2008) Heerfordt syndrome with unilateral facial nerve palsy: a rare presentation of sarcoidosis. Klin Monbl Augenheilkd 225:453–456CrossRefPubMed
6.
Zurück zum Zitat Judson MA (2015) The clinical features of Sarcoidosis: a comprehensive review. Clin Rev Allergy Immunol 49:63–78CrossRefPubMed
7.
Zurück zum Zitat Valeyre D, Prasse A, Nunes H et al (2014) Sarcoidosis. Lancet 383:1155–1167CrossRefPubMed
8.
Zurück zum Zitat Grutters JC, van den Bosch JM (2006) Corticosteroid treatment in sarcoidosis. Eur Respir J 8:627–636CrossRef
9.
Zurück zum Zitat Rizzato G, Montemurro L, Colombo P (1998) The late follow-up of chronic sarcoid patients previously treated with corticosteroids. Sarcoidosis Vasc Diffuse Lung Dis 15:52–58PubMed

Passend zum Thema

ANZEIGE

Atropin zur Verlangsamung der pädiatrischen Myopieprogression*

Bis 2050 wird etwa jedes dritte Kind in Europa kurzsichtig sein [1]. Zur Vermeidung sehkraftgefährdender Folgekomplikationen ist die Progressionsverlangsamung der pädiatrischen Myopie* – z. B. mit niedrig dosiertem Atropin – von zentraler Bedeutung [2,3].   

Santen GmbH
Bildnachweise
Übersichtsfotografie der Augenpartie/© Rüger A et al. , Mädchen in selbst gebauter Zeitmaschine/© Santen GmbH (Symbolbild mit Fotomodell)