Zum Inhalt

Sarkoidose – neue Leitlinien, neue Therapieansätze

Erschienen in:

Zusammenfassung

Die Sarkoidose ist eine Systemerkrankung mit Bildung von nichtverkäsenden Epitheloidzellgranulomen in verschiedenen Organen. Ihre Ätiologie ist bis dato nicht abschließend geklärt. Sie tritt bevorzugt zwischen dem 30. und 50. Lebensjahr auf, wobei Frauen etwas häufiger und tendenziell im späteren Lebensalter betroffen sind. Die sichere Diagnose der Sarkoidose erfordert neben einer (Schnitt‑)Bildgebung den histologischen Nachweis der granulomatösen Entzündung bei gleichzeitigem Ausschluss anderer möglicher Differenzialdiagnosen. Therapeutisch kommen als Stufentherapie Glukokortikosteroide, krankheitsmodifizierende Basistherapeutika aus der Rheumatologie sowie verschiedene Biologika zur Anwendung. In den letzten Jahren wurden die Forschung zur Sarkoidose intensiviert sowie Leitlinien zur Diagnostik und Therapie aktualisiert. Die wesentlichen Inhalte dieser Aktualisierungen und eines Positionspapiers zur Diagnostik und Therapie der Sarkoidose unter Berücksichtigung der Patientenperspektive der Österreichischen Gesellschaft für Pneumologie (ÖGP) und der Österreichischen Gesellschaft für Rheumatologie und Rehabilitation (Positionspapier der ÖGR und ÖGP zur Diagnose und Therapie der Sarkoidose 2024: https://www.springermedizin.at/positionspapier-der-oegr-und-oegp-zur-diagnose-und-therapie-der-/50090498, ÖGR) werden hier übersichtlich dargestellt.
QR-Code scannen & Beitrag online lesen

Hinweis des Verlags

Der Verlag bleibt in Hinblick auf geografische Zuordnungen und Gebietsbezeichnungen in veröffentlichten Karten und Institutsadressen neutral.
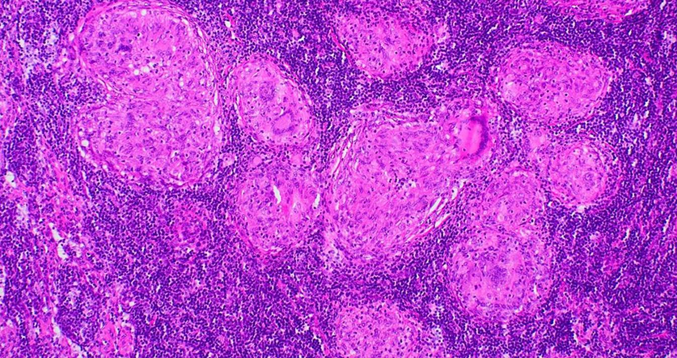
Die Sarkoidose ist eine Systemerkrankung letztlich unklarer Ursache, die zur Bildung von nichtverkäsenden Epitheloidzellgranulomen (Abb. 1) in verschiedenen Organen führt.
Abb. 1
Mehrere typische Epitheloidzellgranulome. Man sieht den „Randwall“ aus kleinen Lymphozyten, die Epitheloidzellen und teils zentrale Einschlüsse, aber keine Nekrose. (HE-Färbung, Vergrößerung 10:1)
Bild vergrößern
Mit Abstand am häufigsten sind die Lunge und die intrathorakalen Lymphknoten betroffen, aber auch die Haut, das Herz, die Gelenke, Leber und Milz oder das Auge sind klassische Manifestationsorte. Die Inzidenz und Prävalenz liegen – geographisch und ethnisch sehr unterschiedlich – bei ca. 10 bzw. 100/100000, der Altersgipfel liegt zwischen dem 30. und dem 50. Lebensjahr und Frauen sind etwas häufiger und auch tendenziell später betroffen. Die Pathogenese ist nur unvollständig verstanden, aber man geht davon aus, dass einerseits eine genetische Prädisposition und andererseits ein immunologischer Auslöser, z. B. ein inhaliertes Antigen nötig sind.
Während lange Jahre kaum Fortschritt im Bereich der Sarkoidose verzeichnet werden konnte, wurden in den nächsten Jahren einige wichtige Studien und Leitlinien publiziert und die Forschung zur Sarkoidose intensiviert. Daher haben sich die Expertengruppe für interstitielle Lungenerkrankungen der Österreichischen Gesellschaft für Pneumologie (ÖGP) und der Arbeitskreis „Rheuma und Lunge“ der Österreichischen Gesellschaft für Rheumatologie und Rehabilitation (ÖGR) entschlossen, ein gemeinsames Positionspapier zu verfassen, um vermehrt Aufmerksamkeit für diese wichtige Krankheit im KollegInnenkreis zu schaffen.

Leitlinie Diagnostik

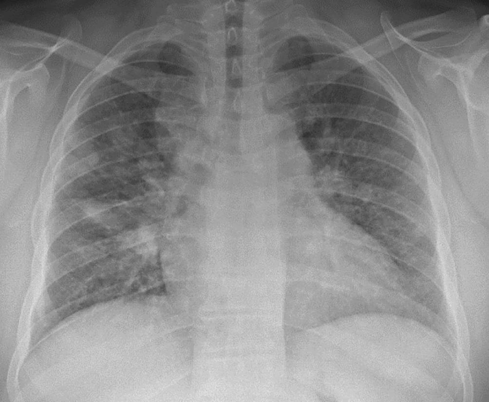
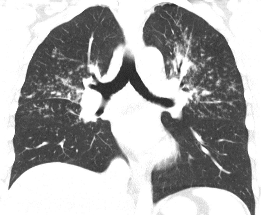
Vorwegzunehmen ist, dass die sichere Diagnose der Sarkoidose einen histologischen Nachweis der granulomatösen Entzündung und den Ausschluss anderer Ursachen von Granulomen, beispielsweise Tuberkulose oder Vaskulitiden, erfordert. Hilfreich dabei ist die Bildgebung: Während die Thoraxröntgenuntersuchung zwar durch die mediastinale und hiläre Lymphadenopathie und Parenchymveränderungen (Abb. 2) auffällig sein kann, ist die Computertomographie des Thorax (CT) wesentlich genauer und kann auch geringere Krankheitsausprägungen sicher detektieren (Abb. 3). Die 18F‑FDG-PET/CT hat sich weiters bewährt, extrathorakalen Befall darzustellen, geeignete Biopsiestellen zu identifizieren und in komplexen Fällen das Krankheitsansprechen zu kontrollieren (Abb. 4).
Abb. 2
Thoraxröntgenuntersuchung bei Sarkoidose, klassifiziert als Scadding II. Man sieht einerseits vergrößerte mediastinale und hiläre Lymphknoten, andererseits fleckige Parenchymauffälligkeiten
Bild vergrößern
Abb. 3
Schnitt aus einer Computertomographie eines Sarkoidosepatienten. Es zeigen sich klassische perilymphatisch angeordnete Noduli, die durch Beteiligung der Septen und der Pleura auffallen. Im linken Oberfeld konfluieren sie zu einem dichteren Infiltrat
Bild vergrößern
Abb. 4
Schnitt aus einer 18F‑FDG-PET/CT bei Sarkoidose mit Multiorganbefall. Neben metabolisch aktiver mediastinaler und hilärer Lymphadenopathie und Läsionen im Lungenparenchym bestehen auch abdominell auffällige Lymphknotenpakete sowie Knochenherde wie im linken Becken
Bild vergrößern
Folgende Punkte wurden in den Diagnostikleitlinien besonders hervorgehoben:
  • Bei typischer Präsentation der Sarkoidose, z. B. dem Löfgren-Syndrom (Sprunggelenksarthritis, Erythema nodosum, Lymphadenopathie) kann eine histologische Sicherung unterbleiben. Auch kann bei typischer bihilärer Lymphadenopathie beim beschwerdefreien Patienten ohne funktionelle Einschränkung bei hoher Vortestwahrscheinlichkeit und Ausschluss von Differenzialdiagnosen eine Biopsie unterbleiben und stattdessen die Möglichkeit einer Spontanremission unter regelmäßige Kontrollen abgewartet werden.
  • Zum Screening (beim diesbezüglich asymptomatischen Patienten) auf extrathorakale Manifestationen sind einige Standarduntersuchungen empfohlen (Tab. 1). Bei klinischen Hinweisen auf derartige Manifestationen sind naturgemäß vermehrte diagnostische Anstrengungen nötig, insbesondere zur Detektion einer kardialen Sarkoidose (primär Herz-MRT, evtl. Herz-PET). Hervorgehoben wird vor allem die Möglichkeit der sarkoidoseinduzierten Hyperkalzämie mit konsekutiver Nierenschädigung: Die Hyperkalzämie stellt schon per se eine Therapieindikation dar; Kalzium- bzw. Vitamin-D-Substitution sollten daher nur nach entsprechender Kontrolle erfolgen (cave: OTC-Produkte!).
  • Histologie: Die Diagnose der Sarkoidose erfolgt definitionsgemäß histologisch. Der Biopsieort soll nach klinisch-radiologischen Gesichtspunkten gewählt werden, z. B. sind Hautläsionen leichter zu biopsieren als Herde der Lunge etc. In der häufigsten Konstellation einer Sarkoidose mit Befall der thorakalen Lymphknoten empfiehlt die Leitlinie die Durchführung einer Nadelaspiration mit endobronchialem Ultraschall (EBUS-TBNA), die Mediastinoskopie ist nur noch eine Reserveoption. Ebenso kann auch eine Biopsie von Lungenparenchym und/oder Bronchialschleimhaut erfolgen. Die bronchoalveoläre Lavage ist zwar nicht sicher diagnostisch für die Sarkoidose, eine Lymphozytose > 15 % und eine CD4+-CD8+-Ratio von > 3,5 sind aber stark hinweisend.
  • Labordiagnostik: Es existiert kein einzelner guter Laborparameter für die Diagnose der Sarkoidose. Biomarker, wie Angiotensin-converting-Enzym oder löslicher IL-2-Rezeptor, können, vor allem wenn initial erhöht, in unklaren Situationen die Diagnose stützen und als Verlaufsparameter herangezogen werden.
Tab. 1
Baseline-screening bei Neudiagnose Sarkoidose
Untersuchung
Indikation
Serumkreatinin, Serumkalzium
Nierenbeteiligung/Hyperkalzämie
Leberfunktionsparameter
Leberbeteiligung
Blutbild
Differenzialdiagnostik hämatologisch
Augenärztliche Untersuchung
Augenbeteiligung
Ruhe-EKG, kardiale Anamnese
Herzbeteiligung
Optional: ACE, löslicher IL-2-Rezeptor, Neopterin
Differenzialdiagnostik, ggf. Ausgangbefund für Verlaufsbeurteilung

Leitlinie zur Therapie der Sarkoidose

An erster Stelle des Entscheidungsprozesses sollte immer die Frage stehen, ob eine medikamentöse Therapie gerechtfertigt und sinnvoll ist. Als Grundprinzip gilt, dass therapiert werden soll, um Organschäden bzw. das Mortalitätsrisiko zu verhindern, und/oder um die Lebensqualität bzw. Symptome zu verbessern. Das bedeutet, dass ein beobachtendes Prozedere bei fehlendem Befall vitaler Organe und unauffälligen Funktionsbefunden durchaus möglich ist; andererseits kann es auch bedeuten, dass ein asymptomatischer kardialer Befall oder eine Hyperkalzämie wegen drohendem Endorganschaden therapiert werden muss.
Generell ist zu sagen, dass die Evidenzlage zu verschiedenen Therapien schwach ist, insbesondere zu Reservemedikamenten. Es empfiehlt sich also unbedingt sowohl zur Bestimmung der Therapieindikation als auch zur Wahl der Medikamente ein „shared decision making“ mit dem Patienten. Folgende Medikamentenklassen werden zur Behandlung der Sarkoidose empfohlen:
  • Erstlinientherapie: Glukokortikosteroide sind weiterhin Erstlinienempfehlung in allen Indikationen; Startdosis meist 20–40 mg Prednisolonäquivalent und Ausschleichen über 4–6 Monate. Höhere Dosen haben keinen Nutzen im Vergleich zur Standarddosierung gezeigt. Achtung im Verlauf auf Toxizitäten, z. B. Diabetes, Osteoporose, Myopathie!
  • Zweitlinientherapien: Hier kommen die klassischen krankheitsmodifizierenden Basistherapeutika aus der Rheumatologie zum Einsatz, wobei Methotrexat (MTX) gegenüber den anderen Substanzen bevorzugt verwendet werden sollte. Die Dosis von MTX beträgt je nach Bedarf und Gewicht meist 15–25 mg (einmal/Woche oral oder subkutan; bessere GI-Verträglichkeit!) begleitet von Folsäuresupplementation. Zu beachten ist der im Vergleich zu Steroiden spätere Wirkeintritt. Empfehlungen bestehen weiters auch für Azathioprin (100–200 mg), seltener wird auch Mycophenolatmofetil verwendet. Hydroxychloroquin und Leflunomid werden vor allem in der Dermatologie zur Therapie der Hautsarkoidose verwendet.
  • Diese Medikamente werden meist primär gemeinsam mit GCS einsetzt und könnten dann helfen, durch raschere Dosisreduktion und suffiziente Erhaltungstherapie Steroiddosen einzusparen.
  • Drittlinientherapien: Hier kommen vor allem TNF-α-Inhibitoren zum Einsatz, wobei es vor allem Evidenz zu Infliximab (5 mg/kg Körpergewicht in Intervallen Woche 0–2–4–6) gibt, weniger wird auch Adalimumab subkutan verwendet. Zu beachten ist ein suffizientes Screening auf Tuberkulose vor Therapiestart (IGRA + Thoraxröntgenuntersuchung), ggf. muss bei latenter Tuberkulose eine tuberkulostatische Prophylaxe mit Rifampicin ± Isoniazid für 3 bzw. 4 Monate erfolgen. Auch besteht keine Zulassung für diese Biologika in der Indikation Sarkoidose, sodass meist auf Einzelfallentscheidungen und Verordnung nach dokumentiertem Ansprechen auf entsprechende Therapieversuche zurückgegriffen werden muss.
  • Viertlinientherapien: Hier ist beispielsweise Rituximab zu nennen, wobei die Datenlage teils widersprüchlich erscheint. Neue Wirkstoffe in Erprobung sind JAK-Inhibitoren (vor allem im dermatologischen Bereich mit Tofacitinib) und mTOR-Inhibitoren (Sirolimus), wobei hier noch in keinem Fall größere prospektive Studien existieren.
Organbeteiligung bei Sarkoidose:
  • Pulmonale Manifestation: Ist bei Weitem die häufigste Organmanifestation, klassischerweise die mediastinal und hilären Lymphknoten und in variablem Ausmaß auch das Lungenparenchym betreffend. Dies zeigt sich klassisch als perilymphatische (also die Fissuren und die Pleura einbeziehende) noduläre Infiltration; diese Noduli können auch konfluieren und Konsolidierungen bilden (Abb. 5). Im fortgeschrittenen Stadium ist die Ausbildung einer sarkoidoseassoziierten Fibrose (SAPF) möglich, die meist als zentrifugale, oberlappenbetonte Fibrosierung mit Stukturdistorsion, von Traktionsbronchiektasen und eventuell auch „honeycombing“ auffällig. Generell gilt, dass die Spontanremissionsrate mit zunehmendem Parenchymbefall abnimmt. Es gelten die allgemeinen genannten Therapiekriterien, wobei respiratorische Symptome und Einschränkung der Lungenfunktion (obstruktiv und restriktiv möglich) als Therapietrigger gelten. Eine beginnende Fibrosierung ist meist als alarmierendes Zeichen zu sehen und bedarf ebenso in der Regel einer intensiveren Therapie.
  • Hautsarkoidose: Sie liegt in bis zu 30 % der Sarkoidoseerkrankungen vor, ist oft auch Erstsymptom. Spezifische, also „granulomassoziierte“ Hautveränderungen manifestieren sich oft als Papeln oder Plaques, subkutane Knoten oder Narbensarkoidose auch im Bereich von Tätowierungen. Das Erythema nodosum, das vor allem bei akuten Verläufen auftritt, ist ein immunologisches Phänomen, zeigt aber keinen Nachweis von Granulomen. Auch der Lupus pernio, also erfrierungsartige, oft entstellende Hautveränderungen an Nase und Wangen, tritt immer wieder auf und benötigt eine intensivere Therapie oft mit Zweit- oder Drittlinientherapien. Dies impliziert, dass immer auch der kosmetische Aspekt bei der Hautsarkoidose bedacht werden muss; das Risiko von Narbenbildung muss in Betracht gezogen werden. Prinzipiell kann bei unkomplizierten Läsionen mit einer topischen steroidhaltigen Therapie begonnen werden, jedoch reicht dies oft nicht aus und eine systemische Therapie laut generellem Schema wird nötig, die dann zumindest für 3 Monate durchgeführt werden soll, bevor umgestellt wird. Speziell für die Haut stehen auch Hyroxychloroquin und Leflunomid nach fachärztlicher Indikationsstellung sowie auch Tofacitinib und Sirolimus als Einzelfallentscheidung zur Verfügung.
  • Artikuläre bzw. muskuloskelettale Beteiligung: Hier werden verschiedene Formen unterschieden.
    • Akute Arthritis: das klassische Löfgren-Syndrom zeigt die Trias Sprungelenksarthritis (seltener auch Knie- und Handgelenke betroffen), bihiläre und mediastinale Lymphadenopathie und Erythema nodosum, klassisch an den Streckseiten der Beine. Die Spontanremissionsrate ist relativ hoch, eine Chronifizierung der Sarkoidose ist aber möglich. Primär sollten nichtsteroidale Antirheumatika (NSAR) zum Einsatz kommen; eine Biopsie der Läsionen ist bei typischer Lokalisation und Verlauf primär nicht nötig.
    • Chronische Arthritis: Sie tritt meist mit anderen extrapulmonalen Manifestationen (v. a. der Haut) auf und zeigt sich klassisch als symmetrische Oligoarthritis mittlere bis große Gelenke, die nur selten destruktiv verläuft. Eine Daktylitis analog zur Psoriasisarthritis ist ebenfalls möglich. Das Ansprechen auf die Standardtherapie ist oft unzureichend; diagnostisch kann eine Synovialbiopsie hilfreich sein, wenn ein granulomatöses Infiltrat nachzuweisen ist. Immer wieder kommen, speziell in PET/CT-Aufnahmen, auch Befunde von Sarkoileitis und Knochenherden zum Vorschein, die oft asymptomatisch sind. Differenzialdiagnostisch kann bei ossären Herden eine Biopsie zum Malignomausschluss nötig werden.
    • Muskelbeteiligung: Sie kann einerseits als „echte“ granulomatöse Myositis auftreten, die asymptomatisch sehr häufig ist, klinisch aber meist im Hintergrund verbleibt. Bei myositischen Beschwerden, wie Muskelschmerzen, Schwäche, erhöhten Muskelenzymen, sollte aber daran gedacht werden. Häufig berichten Patienten auch über Fatigue und polyneuropathieartige Beschwerden, die dann oft einer „small-fibre neuropathy“ zugeordnet werden können. Hier empfiehlt sich eine strukturierte fachärztliche neurologische Abklärung.
  • Kardiale Beteiligung: Die Herzsarkoidose tritt nur in ca. 5 % der Fälle relevant auf, ist aber mit einer hohen krankheitsspezifischen Mortalität, vor allem durch plötzlichen Herztod bei Arrhythmien, gekennzeichnet. Auch eine isolierte Herzbeteiligung ist möglich. Durch die granulomatöse Inflammation im Myokard kann es einerseits zu Erregungsleitungsstörungen und ventrikulären Arrhythmien kommen, andererseits – seltener – auch zu Vernarbung und dilatativer Kardiomyopathie. Alarmzeichen, die auch beim asymptomatischen Patienten immer wieder abgefragt werden sollten, sind Palpitationen und Synkopen sowie Zeichen bzw. Symptome der Herzinsuffizienz. Auch eine pulmonal nichterklärbare Dyspnoe sollte bei SarkoidosepatientInnen kardial abgeklärt werden. Zur Diagnostik kommt neben Routinetests, wie (Langzeit‑)EKG und Echokardiographie, primär die Herz-MRT zum Einsatz, in der sich im klassischen Fall das myokardiale „late enhancement“ zeigt. In unklaren Fällen ist auch eine Fasting-18F‑FDG-PET/CT möglich, wobei 12–24 h eine fettreiche Diät ohne Kohlenhydrate, gefolgt von Fasten über 12–18 h eingehalten werden müssen und vor Untersuchung meist noch i.v.-Heparin gegeben wird. Von einer Endomyokardbiopsie kann bei bereits gesicherter oder hochwahrscheinlicher Sarkoidose (typische Untersuchungsbefunde, extrakardiale Histologie) meistens abgesehen werden.
  • Neben einer forcierten immunsuppressiven Therapie (initial meist Steroid + Methotrexat) und einem längeren Therapieintervall kann weiterführend auch eine primärprophylaktische Implantation eines implantierbaren Kardioverter-Defibrillators (ICD) nötig werden.
Abb. 5
Langjährige Sarkoidose mit beginnender Fibrose (perihiläre Retikulationen, Traktionsbronchiektasen) sowie verkalkten Lymphknoten als Zeichen eines bereits langdauernden Krankheitsverlaufs
Bild vergrößern

Patientenperspektive

Beim Verfassen des Positionspapiers der ÖGR und ÖGP wurde auch großer Wert auf die Partizipation von PatientInnenvertretern gelegt. Eine große Problemstellung, die viele PatientInnen betrifft, ist die lange Latenz bis zur Diagnose. Da die Manifestationsarten der Sarkoidose sehr variabel und die Symptome mehrdeutig sein können, dauert es teilweise Jahre, bis die Diagnose Sarkoidose richtig gestellt wird und eine suffiziente Therapie eingeleitet werden kann. Ebenso herausfordernd ist es für Betroffene, richtige Anlaufstellen in Form von Spezialambulanzen bzw. Spezialisten für Organmanifestationen zu finden. Hier sei auf die von der ÖGP publizierte Liste der Ambulanzen für interstitielle Lungenerkrankungen und Sarkoidose verweisen.
Ein viele PatientInnen betreffendes Problem ist die lange Latenz bis zur Diagnose
Von PatientInnenseite wird auch immer wieder beschrieben, dass von Ärzten die Sarkoidose immer wieder als „harmlos“ bzw. „selbstlimitierend“ eingeschätzt wird, was oft im Gegensatz zum oft chronischen und hochsymptomatischen Symptomempfinden steht. Speziell bei jungen Patienten, die im Berufs- und Familienlaben stehen, können die konstitutionellen Beschwerden wir Fatigue im Alltag sehr belastend sein.

Ausblick

Durch die neuen Leitlinien konnte die Diagnostik und die Therapie der Sarkoidose zwar erstmals auf eine evidenzbasierte Basis gestellt werden. Zu beachten ist jedoch, dass die Studienlage und damit die wissenschaftliche Evidenz in vielen Teilbereichen noch insuffizient ist. Dies bedeutet, dass weiterführende Anstrengungen in der Forschung nötig sind und andererseits insbesondere in Bereichen schwacher wissenschaftlicher Evidenz ein „shared-decision making“ mit den PatientInnen unabkömmlich ist.
Dies betrifft insbesondere den Therapiebereich, insbesondere Zweit- und Drittlinientherapien, die allesamt keine formale Zulassung in der Indikation Sarkoidose besitzen. Die Zukunft wird wahrscheinlich neue therapeutische Optionen bringen, einerseits neue Medikamente wie das gerade in Entwicklung befindliche steroidsparende Medikament Efzofitimod; die Phase-III-Studie hierzu bleibt aber noch abzuwarten. Große Hoffnung wird auch in die vermehrte Anwendung von „repurposed“-Medikamenten gesetzt, die bereits für andere Indikationen zugelassen sind, wie beispielsweise Sirolimus oder JAK-Inhibitoren.
Ein ganz neuer Ansatz zur Vermeidung der bei den PatientInnen vielfach unbeliebten Steroidtherapie ist die alleinige Gabe von Methotrexat in der Erstlinie. Hier wurden erste Daten beim europäischen Lungenkongress 2024 vorgestellt, die einen vergleichbaren Therapieeffekt mit weniger Steroidnebenwirkungen zeigten.
Zusammenfassend ist bei Sarkoidose neben einem strukturierten, evidenzbasierten Vorgehen in Diagnostik und Therapie in jedem Fall auch ein intensiver Austausch mit den PatientInnen nötig. Nicht nur müssen Therapieentscheidungen gut aufgeklärt und Therapieziele definiert werden, auch müssen chronische Beschwerden, wie Fatigue oder Neuropathie, deren Häufigkeit von Ärzten meist unterschätzt wird, wahrgenommen und suffizient abgeklärt werden. Trotz der verfügbaren Medikamente müssen immer auch nichtmedikamentöse Ansätze, wie Physiotherapie und Rehabilitation, genauso wie Kontakt mit Selbsthilfegruppen in das multidimensionale Behandlungskonzept bei Sarkoidose integriert werden.

Einhaltung ethischer Richtlinien

Interessenkonflikt

D. Lang gibt an, dass kein Interessenkonflikt besteht.
Für diesen Beitrag wurden von den Autor/-innen keine Studien an Menschen oder Tieren durchgeführt. Für die aufgeführten Studien gelten die jeweils dort angegebenen ethischen Richtlinien.
Open Access Dieser Artikel wird unter der Creative Commons Namensnennung 4.0 International Lizenz veröffentlicht, welche die Nutzung, Vervielfältigung, Bearbeitung, Verbreitung und Wiedergabe in jeglichem Medium und Format erlaubt, sofern Sie den/die ursprünglichen Autor(en) und die Quelle ordnungsgemäß nennen, einen Link zur Creative Commons Lizenz beifügen und angeben, ob Änderungen vorgenommen wurden. Die in diesem Artikel enthaltenen Bilder und sonstiges Drittmaterial unterliegen ebenfalls der genannten Creative Commons Lizenz, sofern sich aus der Abbildungslegende nichts anderes ergibt. Sofern das betreffende Material nicht unter der genannten Creative Commons Lizenz steht und die betreffende Handlung nicht nach gesetzlichen Vorschriften erlaubt ist, ist für die oben aufgeführten Weiterverwendungen des Materials die Einwilligung des jeweiligen Rechteinhabers einzuholen. Weitere Details zur Lizenz entnehmen Sie bitte der Lizenzinformation auf http://creativecommons.org/licenses/by/4.0/deed.de.

Hinweis des Verlags

Der Verlag bleibt in Hinblick auf geografische Zuordnungen und Gebietsbezeichnungen in veröffentlichten Karten und Institutsadressen neutral.
download
DOWNLOAD
print
DRUCKEN
Titel
Sarkoidose – neue Leitlinien, neue Therapieansätze
Verfasst von
Priv.-Doz. Dr. David Lang, Ph.D.
Publikationsdatum
09.01.2025
Verlag
Springer Vienna
Erschienen in
rheuma plus / Ausgabe 6/2025
Print ISSN: 1868-260X
Elektronische ISSN: 2191-2610
DOI
https://doi.org/10.1007/s12688-024-00815-y
Zurück zum Zitat Baughman RP, Valeyre D, Korsten P, Mathioudakis AG, Wuyts WA, Wells A, Rottoli P, Nunes H, Lower EE, Judson MA, Israel-Biet D, Grutters JC, Drent M, Culver DA, Bonella F, Antoniou K, Martone F, Quadder B, Spitzer G, Nagavci B, Tonia T, Rigau D, Ouellette DR (2021) ERS clinical practice guidelines on treatment of sarcoidosis. Eur Respir J. 58(6):2004079. https://doi.org/10.1183/13993003.04079-2020. PMID: 34140301CrossRefPubMed
Zurück zum Zitat Crouser ED, Maier LA, Wilson KC, Bonham CA, Morgenthau AS, Patterson KC, Abston E, Bernstein RC, Blankstein R, Chen ES, Culver DA, Drake W, Drent M, Gerke AK, Ghobrial M, Govender P, Hamzeh N, James WE, Judson MA, Kellermeyer L, Knight S, Koth LL, Poletti V, Raman SV, Tukey MH, Westney GE, Baughman RP (2020) Diagnosis and Detection of Sarcoidosis. An Official American Thoracic Society Clinical Practice Guideline. Am J Respir Crit Care Med. 201(8):e26-e51. https://doi.org/10.1164/rccm.202002-0251ST. PMID: 32293205; PMCID: PMC7159433CrossRefPubMedPubMedCentral
Zurück zum Zitat Drent M, Crouser ED, Grunewald J (2021) Challenges of Sarcoidosis and Its Management. N Engl J Med. 385(11):1018-1032. https://doi.org/10.1056/NEJMra2101555. PMID: 34496176CrossRef
Zurück zum Zitat Skowasch D, Bonella F, Buschulte K, Kneidinger N, Korsten P, Kreuter M, Müller-Quernheim J, Pfeifer M, Prasse A, Quadder B, Sander O, Schupp JC, Sitter H, Stachetzki B, Grohé C (2024) Therapie der Sarkoidose. Ein Positionspapier der Deutschen Gesellschaft für Pneumologie und Beatmungsmedizin (DGP) [Therapeutic Pathways in Sarcoidosis. A Position Paper of the German Society of Respiratory Medicine (DGP)]. Pneumologie 78(3):151-166. German. https://doi.org/10.1055/a-2259-1046. Epub 2024 Feb 26. PMID: 38408486.CrossRefPubMed
Zurück zum Zitat Sterniste G, Hackner K, Moazedi-Fürst F, Grasl M, Idzko M, Shao G, Guttmann-Ducke C, Talakić E, Prosch H, Lohfink-Schumm S, Gabriel M, Lim C, Hochreiter J, Bucher B, Böckle BC, Kiener HP, Duftner C, Kastrati K, Rath E, Funk M, Löffler-Ragg J, Steinmaurer M, Kovacs G, Verheyen N, Flick H, Antlanger M, Traxler G, Tatscher E, Zwick RH, Lang D (2024) Correction: Positionspapier der ÖGR und ÖGP zur Diagnose und Therapie der Sarkoidose 2024. Wien Klin Wochenschr. German. https://doi.org/10.1007/s00508-024-02487-2. Epub ahead of print. Erratum for: Wien Klin Wochenschr. 2024 136(Suppl 17):669-687. https://doi.org/10.1007/s00508-024-02444-z. PMID: 39680105.CrossRef

Passend zum Thema

ANZEIGE

G-CSF mit neuartiger Struktur – langwirksam ohne PEGylierung

Zur Unterstützung der Chemotherapie werden heute meist langwirksame G-CSF genutzt, die nur einmal pro CTX-Zyklus verabreicht werden müssen. Diese verlängere Wirksamkeit wurde bisher durch eine Kopplung des G-CSF Moleküls an Polyethylenglykol (PEG) erreicht. Ein neuentwickeltes G-CSF kann erstmals eine lange Wirksamkeit ohne PEGylierung erreichen und den zunehmenden Bedarf an einer langwirksamen PEG-freien CIN-Prophylaxe decken.

ANZEIGE

Klinische Studien belegen Wirksamkeit eines neuartigen G-CSF

Die klinische Wirksamkeit eines PEG-freien G-CSF wurde in drei Phase III-Studien im Vergleich zu bisher verfügbaren kurz- und langwirksamen PEGylierten G-CSF belegt. Die PEG-freie Substanz erwies sich als mindestens ebenso wirksam, mit anhaltender Wirkung über alle Chemotherapiezyklen.

ANZEIGE

Neutropenien kontrollieren - für eine Chemotherapie nach Plan

Die Neutropenie-Prophylaxe mit G-CSF hat einen festen Stellenwert in der Supportivtherapie onkologischer Patienten. Die zunehmende Prävalenz von Antikörpern gegen Polyethylenglykol (PEG) führt zu einem wachsenden Bedarf für nicht-PEGylierte langwirksame G-CSF. Erfahren Sie hier mehr über neue Erkenntnisse und Entwicklungen zur Neutropenie-Prophylaxe mit G-CSF.

Apogepha Arzneimittel GmbH
Bildnachweise
Teaserbild G-CSF mit neuer Struktur/© Apogepha, Glass vial, pipette and woman scientist in laboratory for medical study, research or experiment. /© HockleyMedia24/peopleimages.com / Adobe Stock (Symbolbild mit Fotomodellen), Erythrozyten und Leukozyten/© Apogepha