Zum Inhalt
Die Dermatologie

Die Bedeutung von Sarkopenie für die immunvermittelte Toxizität bei Patienten mit malignem Melanom unter einer Immuncheckpoint-Inhibition

Erschienen in:

Zusammenfassung

Hintergrund

Sarkopenie ist die Verminderung der Muskelkraft und -masse sowie Einschränkung der Funktion. Das Ziel der vorliegenden Studie war es zu untersuchen, ob die anhand der Psoasmuskulatur bestimmte prätherapeutische Sarkopenie die therapievermittelte Toxizität bei Patienten mit malignem Melanom unter einer Immuncheckpoint-Inhibition beeinflusst.

Patienten und Methoden

Die Vermessung der Psoasmuskulatur erfolgte prätherapeutisch mithilfe der Computertomographie auf der Höhe des 3. Lendenwirbelkörpers (LWK) bei 75 Patienten zwischen Januar 2011 und Dezember 2020. Die Sarkopenie wurde anhand des Psoasmuskelindex (PMI) definiert. Die immunvermittelte Toxizität wurde retrospektiv ermittelt.

Ergebnisse

Bei 33 der 75 Patienten (44 %) wurde eine behandlungsbedingte Toxizität unter Therapie mit Immuncheckpoint-Inhibitoren registriert. Davon erlitten 16 Patienten (36,2 %) eine dosislimitierende schwere Toxizität (DLT). Eine prätherapeutische Sarkopenie wurde bei 25 Patienten (33,3 %) ermittelt. Die Vergleichsanalyse ergab, dass die Patienten mit einer DLT im Vergleich zu der Patientengruppe ohne DLT niedrigere PMI-Werte aufwiesen (4,65 ± 1,33 vs. 5,79 ± 1,67 cm2m−2, p = 0,015) (OR = 0,60, 95 %-KI: 0,40–0,92, p = 0,02).

Schlussfolgerungen

Die anhand der Psoasmuskulatur gemessene prätherapeutische Sarkopenie ist kein signifikanter Prädiktor für DLT bei Patienten mit malignem Melanom unter einer Immuncheckpoint-Inhibition. Patienten mit einer DLT weisen jedoch im Vergleich zu der Patientengruppe ohne DLT niedrigere Werte für die Psoasmuskelparameter PMI und Gauge auf.
QR-Code scannen & Beitrag online lesen

Hinweis des Verlags

Der Verlag bleibt in Hinblick auf geografische Zuordnungen und Gebietsbezeichnungen in veröffentlichten Karten und Institutsadressen neutral.
BMI
Body Mass index
BSA
Body surface area
CT
Computertomographie
CTCAE v5.0
Common Terminology Criteria for Adverse Events Version 5.0
DLT
Dosislimitierende Toxizität
irAE
Immunvermittelte Nebenwirkungen
ICI
Immuncheckpointinhibitor
IgG
Immunglobulin G
IL-15
Interleukin-15
LWK
Lendenwirbelkörper
mAb
Monoklonaler Antikörper
NK
Natürliche Killerzellen
OSM
Oncostatin M
PMA
Psoasmuskelfläche
PMD
Psoasmuskeldichte
PMI
Psoasmuskelindex
SPARC
Secreted protein acidic and rich in cysteine

Hintergrund

Immuncheckpoint-Inhibitoren (ICI) sind Bestandteil der Therapie bei Patienten mit fortgeschrittenem malignem Melanom. Unter der Therapie mit ICI können immunvermittelte Nebenwirkungen (irAEs) auftreten. Die Prävalenz der Sarkopenie, die durch einen Verlust von Muskelkraft, -masse und -funktion definiert wird, beträgt etwa 39 % bei Krebspatienten vor Therapiebeginn [1, 2]. Sarkopenie ist somit ein häufiges Syndrom bei fortgeschrittenen malignen Erkrankungen [3]. Verschiedene Studien haben Sarkopenie als Prädiktor für operative Komplikationen bestätigt [4, 5]. In der Onkologie wurde ein Zusammenhang zwischen prätherapeutischer Sarkopenie und Toxizität unter Chemotherapie beobachtet [2]. Ein vielversprechender Ansatz ist daher die Vorhersage einer Toxizität bei Patienten mit malignem Melanom vor einer Therapie mit ICI anhand der Sarkopenie als möglichem Prädiktor. In einigen Studien wurde bereits ein Zusammenhang zwischen Sarkopenie und immunvermittelter Toxizität bei Patienten mit malignem Melanom beobachtet [6, 7].
Aktuell existiert keine standardisierte Methode zur Bestimmung der Sarkopenie [1]. Mehrere Autoren konnten allerdings zeigen, dass die gesamte Skelettmuskelmasse mit der Muskelmasse des M. psoas korreliert [810].
Im Rahmen dieser Studie wurde untersucht, ob es eine Korrelation zwischen der anhand der Psoasmuskulatur bestimmten Sarkopenie bei Patienten mit malignem Melanom und der unter der Therapie mit ICI auftretenden immunvermittelten Toxizität gibt.

Methodik

Datenerhebung und Patienten

Klinische Daten von 78 Patienten mit malignem Melanom im Stadium der Lymphknoten- und Fernmetastasierung wurden retrospektiv anhand der archivierten Patientenakten akquiriert. Die Auswahl der Patienten erfolgte mithilfe einer Zufallsstichprobe innerhalb des Patientenkollektivs, bei denen im Zeitraum zwischen Januar 2011 und Dezember 2020 eine Immuntherapie mit Pembrolizumab, Ipilimumab, Nivolumab oder mit der Kombination aus Ipilimumab und Nivolumab am Universitätsklinikum Magdeburg eingeleitet wurde. Es wurden Patienten eingeschlossen, die im Rahmen einer Erstlinientherapie behandelt wurden, bis maximal zur dritten Behandlungslinie. Von 75 der ursprünglich 78 untersuchten Patienten konnten prätherapeutisch geeignete CT-Bilder akquiriert werden, sodass 23 Patienten mit adjuvanter Therapie und 52 Patienten im inoperablen bzw. fernmetastasierten Stadium eingeschlossen wurden. Die Bestimmung des Schweregrades der irAEs erfolgte anhand der aktuell gültigen Common Terminology Criteria for Adverse Events Version 5.0 (CTCAE v5.0) [11]. Anhand der prätherapeutischen Bilder der Computertomographie erfolgte die Berechnung unterschiedlicher Parameter der Psoasmuskulatur. In der vorliegenden Studie wurde der Psoasmuskelindex (PMI) zur Bestimmung von Sarkopenie verwendet.

Messung der Psoasmuskulatur im CT

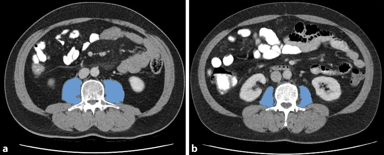
Alle computertomographischen (CT) Untersuchungen wurden in der portalvenösen Phase durchgeführt. Die Messungen am linken und rechten M. psoas wurden anhand von CT-Bildern auf der Höhe des 3. LWK in der Axialebene durchgeführt (Abb. 1). Ein Weichteilfenster von −30 bis 110 Hounsfield units (HU) wurde gewählt, um größere Gefäß- und Fettinfiltrationen der Muskeln von den nachfolgenden Berechnungen auszuschließen. Die Psoasmuskelflächen PMAlinks und PMArechts wurden addiert, um die gesamte Psoasmuskelfläche (PMAgesamt) zu berechnen. Aus dem Mittelwert der berechneten Abschwächung der Röntgenstrahlung (Röntgenopazität) beider Psoasmuskeln wurde die Röntgendichte (PMD) in HU berechnet (Abb. 1).
Abb. 1
a Männlicher Patient ohne Sarkopenie, PMI-Wert: 8,75 cm2 m−2; b männlicher Patient mit Sarkopenie, PMI-Wert: 4,30 cm2 m−2
Bild vergrößern

Berechnung verschiedener Parameter der Psoasmuskulatur

Ergänzend wurden anhand der bereits bestimmten Parameter der Psoasmuskulatur weitere Parameter errechnet, deren klinische Relevanz bereits in wissenschaftlichen Publikationen unter Beweis gestellt werden konnte: Psoasmuskelindex (PMI) und die Psoas-Gauge [4, 5]. Der PMI wurde berechnet durch Bildung eines Quotienten aus PMAgesamt und der Körpergröße des Patienten. Zudem errechneten wir die Psoas-Gauge, welche den Psoasmuskelindex und die Psoasmuskeldichte kombiniert [12]. Hierfür wurde der PMI mit der PMD multipliziert. Als geschlechtsspezifische Grenzwerte für die Diagnose der Sarkopenie wurden die bereits von anderen Autoren publizierten Werte verwendet: PMI < 5,24 cm2/m2 für Männer und PMI < 3,85 cm2/m2 für Frauen [13, 14].

Immunvermittelte Toxizität unter Immuncheckpoint-Inhibition

Die irAEs wurden nach Durchsicht der digital archivierten Patientenakten dokumentiert und entsprechend der CTCAE v5.0 in die Schweregrade eingeteilt: Grad I–II (leicht bis mittelschwer), III–IV (schwer bis lebensbedrohlich) und V (Tod). Die dosislimitierende Toxizität (DLT) wurde festgelegt als ein irAE mit einem Schweregrad ≥ III (schwer bis tödlich). Sofern bei einem Patienten mehrere irAEs im Nachbeobachtungszeitraum auftraten, wurden diese vollständig erfasst. Hierbei war die schwerste Toxizität ausschlaggebend für die Zuordnung zu einer DLT.

Statistische Analyse

Die statistische Analyse erfolgte mit dem SPSS-Paket (IBM SPSS Statistics for Windows, v. 225.0, IBM Corporation, Armonk, NY, USA). Die Daten wurden je nach Eignung als Mittelwert ± Standardabweichung oder Median (IQR) angegeben. Der Zusammenhang zwischen der Toxizität und der Sarkopenie wurde anhand einer Vergleichsanalyse, univariaten sowie multivariaten binär-logistischen Regressionsanalyse und der Odds-Ratio ermittelt. Ein p-Wert < 0,05 wurde als signifikant betrachtet.

Ergebnisse

Eingeschlossene Patienten und Analyse der Muskelparameter

Die Studienpopulation umfasste 43 Männer (57,3 %) und 32 Frauen (42,7 %). Der PMI betrug durchschnittlich 5,54 ± 1,65 cm2m−2, eine Sarkopenie wurde bei 25 Patienten (33,3 %) ermittelt. Die Charakteristika der Studienpopulation sind in Tab. 1 und die anthropometrischen Maßzahlen und Parameter der Psoasmuskulatur in Tab. 2 dargestellt.
Tab. 1
Charakteristika der Studienpopulation, die Werte werden in n (%) angegeben
Charakteristika der Studienpopulation
n = 75
Alter (Jahre) bei Erstdiagnose Melanom
Median (IQR)
64 (49–75)
Altersspanne
18–87
Alter (Jahre) bei Start der Immuntherapie (IQR)
67 (52–76)
Geschlecht
Männlich
43 (57,3)
Weiblich
32 (42,7)
Immuncheckpoint-Inhibitor bei Einleitung der Immuntherapie
Nivolumab, n (%)
30 (40,0)
Pembrolizumab, n (%)
26 (34,7)
Ipilimumab, n (%)
8 (10,6)
Ipilimumab und Nivolumab, n (%)
11 (14,7)
BRAF-Mutationsstatus zum Zeitpunkt der Immuntherapieeinleitung
BRAF-positiv
29 (38,6)
BRAF-negativ
45 (60,0)
BRAF nicht auswertbar
1 (1,3)
M‑Stadium zum Zeitpunkt der Immuntherapieeinleitung
M1a
14 (26,9)
M1b
10 (19,2)
M1c
21 (40,4)
M1d
7 (13,5)
AJCC-Stadium des malignen Melanoms zum Zeitpunkt der Immuntherapieeinleitung
IIIA
2 (2,6)
IIIB
4 (5,3)
IIIC
13 (17,3)
IIID
4 (5,3)
IV
52 (69,3)
Klinisches Stadium nach AJCC 2017
Patienten mit adjuvanter Therapie
23 (30,7)
Patienten mit Therapie im inoperablen Stadium
52 (69,3)
IQR Interquartilsabstand, IrAE immunvermitteltes unerwünschtes Ereignis, BRAF „v-Raf murine sarcoma viral oncogene homolog B1“, AJCC American Joint Commitee on Cancer
Tab. 2
Anthropometrie und Parameter der Psoasmuskulatur, die Werte werden als Standardabweichung angegeben (SD), sofern nicht anders angegeben
Charakteristik
Männer (n = 43)
Frauen (n = 32)
Insgesamt (n = 75)
BMI (kg m−2)
27,25 (3,69)
31,62 (6,27)
27,73 (4,97)
BSA (m2)
2,04 (0,17)
1,94 (0,20)
1,96 (0,21)
Untergewicht (≤ 18,5 kg m−2), n (%)
0 (0)
1 (3,1)
1 (1,3)
Normalgewicht (18,5–24,9 kg m−2), n (%)
13 (30,2)
9 (28,1)
23 (30,7)
Übergewicht (25–29,9 kg m−2) n (%)
23 (53,5)
9 (28,1)
32 (42,7)
Adipositas (≥ 30,0 kg m−2), n (%)
7 (16,3)
13 (40,6)
20 (26,7)
PMA (cm2)
19,92 (5,00)
12,41 (3,15)
16,72 (5,69)
PMI (cm2 m−2)
6,31 (1,54)
4,52 (1,17)
5,54 (1,65)
Sarkopenie, n (%)
16 (37,2)
9 (28,1)
25 (33,3)
PMD (HU)
45,78 (7,30)
46,42 (10,04)
46,05 (8,58)
Psoas-Gauge (AU)
307,52 (105,95)
213,95 (85,92)
259,85 (105,04)
BMI Body-Mass-Index, BSA „body surface area“, PMA Psoasmuskelfläche, PMI Psoasmuskelindex, PMD Psoasmuskeldichte, HU Hounsfield unit, AU willkürliche Einheit

Immunvermittelte Toxizität unter einer Therapie mit Immuncheckpoint-Inhibitoren

Bei 33 der 75 Patienten (44 %) wurde eine immunvermittelte Toxizität unter Therapie mit ICI beobachtet. Davon erlitten 17 Patienten (63,8 %) leichte bis mittelschwere unerwünschte Ereignisse und 16 Patienten (36,2 %) dosislimitierende schwere Ereignisse. Insgesamt ereigneten sich bei diesen 33 Patienten kumulativ 50 irAEs. Die Art und der Schweregrad der erfassten irAEs sind in Abb. 1 dargestellt.

Zusammenhang zwischen Psoasmuskelparametern und immunvermittelter Toxizität

Die Vergleichsanalyse ergab, dass die Patienten mit einer DLT im Vergleich zu der Patientengruppe ohne DLT niedrigere PMI-Werte (4,65 ± 1,33 vs. 5,79 ± 1,67 cm2m2, p = 0,015) sowie eine niedrigere Gauge (210,44 ± 85,43 vs. 273,24 ± 107,35 AU, p = 0,034) aufwiesen (OR = 0,60, 95 %-KI: 0,40–0,92, p = 0,02; OR = 0,99, 95 %-KI: 0,98–1,00, p = 0,04, respektiv) (Tab. 3). In der univariaten Regressionsanalyse zeigte sich, dass Patienten mit einer niedrigeren Gauge eine höhere Inzidenz von DLT hatten, verglichen mit der Patientengruppe mit höherer Gauge (OR = 0,993, 95 %-KI: 0,986–1,000, p = 0,04) (Tab. 4). Nach Durchführung einer multivariablen Regressionsanalyse wies allerdings keiner der analysierten Prädiktoren eine statistische Signifikanz hinsichtlich der prognostischen Bedeutung für das Auftreten der DLT auf (Tab. 5).
Tab. 3
Vergleichsanalyse zwischen der DLT und Nicht-DLT und den Variablen PMI, PMD, Gauge, BMI und BSA
M ± SD
Keine DLT
DLT
p-Wert
PMI
5,79 ± 1,67
4,65 ± 1,33
0,02
PMD
46,45 ± 8,22
44,57 ± 10,19
0,44
Gauge
273,24 ± 107,35
210,44 ± 85,43
0,03
BMI
27,16 ± 6,19
28,06 ± 4,39
0,58
BSA
1,95 ± 0,33
1,89 ± 0,19
0,49
Vergleichsanalyse der Subgruppen
Patienten mit Sarkopenie
18 (30,5 %)
8 (50,0 %)
0,146
Sarkopene Patienten mit Übergewicht
12 (20,0 %)
6 (37,5 %)
0,143
DLT dosislimitierende Toxizität, PMI Psoasmuskelindex, PMD Psoasmuskeldichte, BMI Body-Mass-Index, BSA Körperoberfläche
Tab. 4
Prädiktoren für die DLT. Univariable Regressionsanalyse
  
OR
95 %-KI
p-Wert
PMI
0,60
0,40–0,92
0,02
PMD
0,97
0,91–1,04
0,44
Gauge
0,99
0,98–1,00
0,04
Sarkopenie vs. keine Sarkopenie
2,28
0,74–7,02
0,15
Sarkopenie mit Übergewicht vs. keine Sarkopenie mit Übergewicht
2,40
0,73–7,92
0,15
PMI Psoasmuskelindex, PMD Psoasmuskeldichte, OR Odds Ratio, KI Konfidenzintervall
Tab. 5
Prädiktoren für die DLT. Multivariable Regressionsanalyse
  
OR
95 %-KI
p-Wert
Gauge
0,99
0,98–1,00
0,13
BMI
1,02
0,93–1,13
0,58
BMI Body mass index

Diskussion

Es wird zunehmend anerkannt, dass die Körperzusammensetzung bei vielen Krankheitsbildern einen prognostischen Einflussfaktor darstellt [4, 5]. Diese Studie untersucht, ob die anhand der Psoasmuskulatur gemessene prätherapeutische Sarkopenie die Vorhersage einer immunvermittelten Toxizität bei Patienten mit malignem Melanom unter Therapie mit ICI ermöglicht.
In dieser Studie wurde eine dosislimitierende Toxizität bei 21 % der untersuchten Studienpopulation beobachtet. Die Patientengruppe mit DLT wies im Vergleich zu der Patientengruppe ohne DLT niedrigere Werte für die Psoasmuskelparameter PMI und Gauge auf (OR = 0,60, 95 %-KI: 0,40–0,92, p = 0,02; OR = 0,99, 95 %-KI: 0,98–1,00, p = 0,04, respektiv), als prädiktiver Faktor für eine DLT ist die Sarkopenie anhand der vorliegenden Daten jedoch nicht geeignet.
Die Studien anderer Autoren zeigen, dass die anhand der Skelettmuskelquantität definierte Sarkopenie das Risiko einer schweren immunvermittelten Toxizität bei Patienten mit malignem Melanom erhöhen kann. Insbesondere bei Patienten mit Übergewicht und Sarkopenie sowie bei geringer Muskeldichte wurde ein solches Risiko beobachtet [6, 7]. In einer Metaanalyse konnte ein Zusammenhang zwischen der schweren immunvermittelten Toxizität unter Therapie mit ICI beim malignen Melanom und Sarkopenie allerdings nicht festgestellt werden [15].
Es ist bekannt, dass es Wechselwirkungen zwischen der Skelettmuskulatur und dem Immunsystem gibt [16, 17]. Die Skelettmuskulatur funktioniert wie ein endokrines Organ, indem sie eine spezifische Gruppe von Zytokinen und Peptiden synthetisiert und freisetzt, sog. Myokine. Auf diese Weise kann sie antiinflammatorische und immunprotektive Effekte erzielen [17, 18]. Es ist bekannt, dass das Myokin Interleukin-15 (IL-15) bei der Proliferation, Differenzierung und Reifung von natürlichen Killerzellen (NK) und T‑Zellen relevant ist [19, 20]. IL-15 könnte daher eine Rolle bei der Steigerung der antikörperabhängigen zellulären Zytotoxizität spielen [19]. Weitere Myokine wie Oncostatin M (OSM) und „secreted protein acidic and rich in cysteine“ (SPARC) scheinen ebenfalls über ein antitumorales Potenzial zu verfügen [2123].
Die Skelettmuskulatur spielt neben ihrer Funktion als endokrines Organ auch eine Rolle bei der Metabolisierung von ICI [24]. Eine plausible Hypothese für eine erhöhte Toxizität bei Patienten mit Sarkopenie besteht darin, dass eine Abnahme der Skelettmuskelmasse die Pharmakokinetik von ICI beeinflussen könnte. Alle derzeit klinisch verwendeten therapeutischen Antikörper sind monoklonale Antikörper (mAbs) vom Typ Immunglobulin G (IgG). Da die Muskulatur zu den Hauptorganen für die Eliminierung von mAbs gehört, kann ein Verlust an Skelettmuskelmasse einen möglichen Grund für eine erhöhte Toxizität bei einer Therapie mit ICI darstellen [24]. Andere Autoren argumentieren, dass es durch den Verlust von Skelettmuskelmasse zu einer Abnahme des Verteilungsvolumens der monoklonalen Antikörper kommen könnte [25].
In dieser Studie hatte die Patientengruppe mit DLT im Vergleich zu der Patientengruppe ohne DLT niedrigere Werte für die Psoasmuskelparameter PMI und Gauge unter Therapie mit ICI. Die computertomographisch anhand der Psoasmuskulatur bestimmte Sarkopenie ist aber kein statistisch signifikanter Prädiktor für eine DLT. Zur Validierung der Ergebnisse dieser Studie bedarf es zukünftiger prospektiver Studien mit einer größeren Kohorte. Es sollten zudem weitere Methoden und jeweils einheitliche Grenzwerte zur Bestimmung der Sarkopenie in die Auswertung mit einbezogen werden. Limitiert wird die Studie zudem durch die Verwendung der Psoasmuskelparameter. Die standardisierte Messung entspricht allerdings aktuell der gesamten Muskelmasse auf der Schicht LWK3. Weitere Limitationen stellen die retrospektive Auswertung und die geringe Patientenzahl dar.

Fazit für die Praxis

Im Rahmen einer personalisierten Medizin gewinnt auch die Körperzusammensetzung an Bedeutung. Einen Teilbereich der Körperzusammensetzung stellt hierbei die Muskulatur dar. Veränderungen der Skelettmuskulatur wirken sich auf die Ergebnisse onkologischer Therapien aus. In dieser Arbeit kann gezeigt werden, dass die Verminderung der Skelettmuskulatur mit einem vermehrten Auftreten von Toxizität unter Therapie von Melanompatienten mit ICI korrelieren könnte. Aufgrund dieser Daten sollte der Körperzusammensetzung in der Planung und Durchführung der dermatoonkologischen Therapie, insbesondere beim Einsatz von ICI, ein Augenmerk gelten.

Einhaltung ethischer Richtlinien

Interessenkonflikt

M. Alter hat in den letzten 5 Jahren Zuwendungen für Vorträge oder Beratung von folgenden Unternehmen erhalten: Bristol-Myers Squibb, Roche Pharma, Merck Sharp Dohme, Novartis, Merck-Serono, Amgen, Almirall Hermal, Pierre Fabre, Sun Pharma, Sanofi/Regeneron, UCB, Janssen-Cilag, Pfizer, AbbVie und Incyte. M. Mengoni hat in den letzten 5 Jahren Zuwendungen für Vorträge, Beratung und Kongressunterstützungen von folgenden Unternehmen erhalten: Merck Sharp Dohme, Bristol-Myers Squibb, Novartis, Stemline Therapeutics, Kyowa Kirin, Pierre Fabre, Sun Pharma, LEO Pharma. C. Holtorf, A. Surov, J. Borggrefe, T. Tüting und A. Wienke geben an, dass kein Interessenkonflikt besteht.
Alle beschriebenen Untersuchungen am Menschen oder an menschlichem Gewebe wurden mit Zustimmung der zuständigen Ethikkommission, im Einklang mit nationalem Recht sowie gemäß der Deklaration von Helsinki von 1975 (in der aktuellen, überarbeiteten Fassung) durchgeführt. Von allen beteiligten Patient/-innen liegt eine Einverständniserklärung vor. Die wissenschaftliche Arbeit wurde von der Ethikkommission der Otto-von-Guericke-Universität in Magdeburg bewilligt und unter Berücksichtigung der regulatorischen Maßgaben der guten klinischen Praxis (GCP) durchgeführt. Ethikvotum: 145/21.
Open Access Dieser Artikel wird unter der Creative Commons Namensnennung 4.0 International Lizenz veröffentlicht, welche die Nutzung, Vervielfältigung, Bearbeitung, Verbreitung und Wiedergabe in jeglichem Medium und Format erlaubt, sofern Sie den/die ursprünglichen Autor(en) und die Quelle ordnungsgemäß nennen, einen Link zur Creative Commons Lizenz beifügen und angeben, ob Änderungen vorgenommen wurden.
Die in diesem Artikel enthaltenen Bilder und sonstiges Drittmaterial unterliegen ebenfalls der genannten Creative Commons Lizenz, sofern sich aus der Abbildungslegende nichts anderes ergibt. Sofern das betreffende Material nicht unter der genannten Creative Commons Lizenz steht und die betreffende Handlung nicht nach gesetzlichen Vorschriften erlaubt ist, ist für die oben aufgeführten Weiterverwendungen des Materials die Einwilligung des jeweiligen Rechteinhabers einzuholen.
Weitere Details zur Lizenz entnehmen Sie bitte der Lizenzinformation auf http://​creativecommons.​org/​licenses/​by/​4.​0/​deed.​de.

Hinweis des Verlags

Der Verlag bleibt in Hinblick auf geografische Zuordnungen und Gebietsbezeichnungen in veröffentlichten Karten und Institutsadressen neutral.

Unsere Produktempfehlungen

Die Dermatologie

Print-Titel

Aktuelle, praxisnahe Leitthemen verständlich aufbereitet

Von Allergologie bis Venerologie

Fortbildung für Klinik und Praxis

e.Med Interdisziplinär

Kombi-Abonnement

Für Ihren Erfolg in Klinik und Praxis - Die beste Hilfe in Ihrem Arbeitsalltag

Mit e.Med Interdisziplinär erhalten Sie Zugang zu allen CME-Fortbildungen und Fachzeitschriften auf SpringerMedizin.de.

e.Dent – Das Online-Abo der Zahnmedizin

Online-Abonnement

Mit e.Dent erhalten Sie Zugang zu allen zahnmedizinischen Fortbildungen und unseren zahnmedizinischen und ausgesuchten medizinischen Zeitschriften.

Weitere Produktempfehlungen anzeigen
download
DOWNLOAD
print
DRUCKEN
Titel
Die Bedeutung von Sarkopenie für die immunvermittelte Toxizität bei Patienten mit malignem Melanom unter einer Immuncheckpoint-Inhibition
Verfasst von
Christian Holtorf
Miriam Mengoni
Thomas Tüting
Andreas Wienke
Jan Borggrefe
Alexey Surov
Mareike Alter
Publikationsdatum
14.08.2024
Verlag
Springer Medizin
Erschienen in
Die Dermatologie / Ausgabe 10/2024
Print ISSN: 2731-7005
Elektronische ISSN: 2731-7013
DOI
https://doi.org/10.1007/s00105-024-05405-9
1.
Zurück zum Zitat Cruz-Jentoft AJ, Bahat G, Bauer J et al (2019) Sarcopenia: revised European consensus on definition and diagnosis. Age Ageing 48:16–31CrossRefPubMed
2.
Zurück zum Zitat Pamoukdjian F, Bouillet T, Lévy V, Soussan M, Zelek L, Paillaud E (2018) Prevalence and predictive value of pre-therapeutic sarcopenia in cancer patients: A systematic review. Clin Nutr 37:1101–1113CrossRefPubMed
3.
Zurück zum Zitat Ali S, Garcia JM (2014) Sarcopenia, Cachexia and Aging: Diagnosis, Mechanisms and Therapeutic Options—A Mini-Review. Gerontology 60:294–305CrossRefPubMed
4.
Zurück zum Zitat Joglekar S, Asghar A, Mott SL, Johnson BE, Button AM, Clark E, Mezhir JJ (2015) Sarcopenia is an independent predictor of complications following pancreatectomy for adenocarcinoma: Sarcopenia in Pancreatectomy. J Surg Oncol 111:771–775CrossRefPubMed
5.
Zurück zum Zitat Buettner S, Wagner D, Kim Y, Margonis GA, Makary MA, Wilson A, Sasaki K, Amini N, Gani F, Pawlik TM (2016) Inclusion of Sarcopenia Outperforms the Modified Frailty Index in Predicting 1‑Year Mortality among 1,326 Patients Undergoing Gastrointestinal Surgery for a Malignant Indication. J Am Coll Surg 222:397–407CrossRefPubMed
6.
Zurück zum Zitat Heidelberger V, Goldwasser F, Kramkimel N et al (2017) Sarcopenic overweight is associated with early acute limiting toxicity of anti-PD1 checkpoint inhibitors in melanoma patients. Invest New Drugs 35:436–441CrossRefPubMed
7.
Zurück zum Zitat Daly LE, Power DG, O’Reilly Á, Donnellan P, Cushen SJ, O’Sullivan K, Twomey M, Woodlock DP, Redmond HP, Ryan AM (2017) The impact of body composition parameters on ipilimumab toxicity and survival in patients with metastatic melanoma. Br J Cancer 116:310–317CrossRefPubMedPubMedCentral
8.
Zurück zum Zitat Jones KI, Doleman B, Scott S, Lund JN, Williams JP (2015) Simple psoas cross-sectional area measurement is a quick and easy method to assess sarcopenia and predicts major surgical complications. Colorectal Dis 17:O20–O26CrossRefPubMed
9.
Zurück zum Zitat Hanaoka M, Yasuno M, Ishiguro M, Yamauchi S, Kikuchi A, Tokura M, Ishikawa T, Nakatani E, Uetake H (2017) Morphologic change of the psoas muscle as a surrogate marker of sarcopenia and predictor of complications after colorectal cancer surgery. Int J Colorectal Dis 32:847–856CrossRefPubMed
10.
Zurück zum Zitat Simpson G, Manu N, Magee C, Wilson J, Moug S, Vimalachandran D (2020) Measuring sarcopenia on pre-operative CT in older adults undergoing emergency laparotomy: a comparison of three different calculations. Int J Colorectal Dis 35:1095–1102CrossRefPubMed
11.
Zurück zum Zitat U.S. Department of health and human services (2017) Common Terminology Criteria for Adverse Events (CTCAE)
12.
Zurück zum Zitat Weinberg MS, Shachar SS, Muss HB, Deal AM, Popuri K, Yu H, Nyrop KA, Alston SM, Williams GR (2018) Beyond sarcopenia: Characterization and integration of skeletal muscle quantity and radiodensity in a curable breast cancer population. Breast J 24:278–284CrossRefPubMed
13.
Zurück zum Zitat Moug SJ, Barry SJE, Maguire S, Johns N, Dolan D, Steele RJC, Buchan C, Mackay G, Anderson AS, Mutrie N (2020) Does prehabilitation modify muscle mass in patients with rectal cancer undergoing neoadjuvant therapy? A subanalysis from the REx randomised controlled trial. Tech Coloproctology 24:959–964CrossRef
14.
Zurück zum Zitat Prado CM, Lieffers JR, McCargar LJ, Reiman T, Sawyer MB, Martin L, Baracos VE (2008) Prevalence and clinical implications of sarcopenic obesity in patients with solid tumours of the respiratory and gastrointestinal tracts: a population-based study. Lancet Oncol 9:629–635CrossRefPubMed
15.
Zurück zum Zitat Surov A, Meyer H‑J, Wienke A (2022) Role of Sarcopenia in Advanced Malignant Cutaneous Melanoma Treated with Immunotherapy: A Meta-Analysis. Oncology 100:498–504CrossRefPubMed
16.
Zurück zum Zitat Severinsen MCK, Pedersen BK (2020) Muscle–Organ Crosstalk: The Emerging Roles of Myokines. Endocr Rev 41:594–609CrossRefPubMedPubMedCentral
17.
Zurück zum Zitat Aoi W (2021) Myokines: A potential key factor in development, treatment, and biomarker of sarcopenia. In: Sarcopenia Mol. Mech. Treat. Strateg. Elsevier, S 171–185
18.
Zurück zum Zitat Duggal NA, Niemiro G, Harridge SDR, Simpson RJ, Lord JM (2019) Can physical activity ameliorate immunosenescence and thereby reduce age-related multi-morbidity? Nat Rev Immunol 19:563–572CrossRefPubMed
19.
Zurück zum Zitat Conlon KC, Lugli E, Welles HC et al (2015) Redistribution, Hyperproliferation, Activation of Natural Killer Cells and CD8 T Cells, and Cytokine Production During First-in-Human Clinical Trial of Recombinant Human Interleukin-15 in Patients With Cancer. J Clin Oncol 33:74–82CrossRefPubMed
20.
Zurück zum Zitat Marçais A, Cherfils-Vicini J, Viant C et al (2014) The metabolic checkpoint kinase mTOR is essential for IL-15 signaling during the development and activation of NK cells. Nat Immunol 15:749–757CrossRefPubMedPubMedCentral
21.
Zurück zum Zitat Aoi W, Naito Y, Takagi T et al (2013) A novel myokine, secreted protein acidic and rich in cysteine (SPARC), suppresses colon tumorigenesis via regular exercise. Gut 62:882–889CrossRefPubMed
22.
Zurück zum Zitat Hojman P, Gehl J, Christensen JF, Pedersen BK (2018) Molecular Mechanisms Linking Exercise to Cancer Prevention and Treatment. Cell Metab 27:10–21CrossRefPubMed
23.
Zurück zum Zitat Hojman P, Dethlefsen C, Brandt C, Hansen J, Pedersen L, Pedersen BK (2011) Exercise-induced muscle-derived cytokines inhibit mammary cancer cell growth. Am J Physiol-endocrinol Metab 301:E504–E510CrossRefPubMed
24.
Zurück zum Zitat Ryman JT, Meibohm B (2017) Pharmacokinetics of Monoclonal Antibodies: Pharmacokinetics of Monoclonal Antibodies. CPT Pharmacomet Syst Pharmacol 6:576–588CrossRef
25.
Zurück zum Zitat Chu MP, Li Y, Ghosh S, Sass S, Smylie M, Walker J, Sawyer MB (2020) Body composition is prognostic and predictive of ipilimumab activity in metastatic melanoma. J cachexia sarcopenia muscle 11:748–755CrossRefPubMedPubMedCentral

Passend zum Thema

ANZEIGE

Immunonkologie verändert die Therapie vieler gynäkologischer Tumoren

Prof. Jalid Sehouli, Direktor der Klinik für Gynäkologie und Leiter des gynäkologischen Tumorzentrums (Charité Berlin) spricht über den Stellenwert von Checkpoint-Inhibitoren beim nicht operablen fortg. Endometriumkarzinom und beim Zervixkarzinom im kurativen Setting (Stadium III-IVA).

Bildnachweise
Gebärmutter/© MSD Sharp & Dohme GmbH