Zum Inhalt
Arthroskopie

Dislozierter DogBone-Button nach arthroskopischer Schultereckgelenkstabilisierung

Erschienen in:

Zusammenfassung

Ein 53-jähriger Patient beklagt 9 Jahre nach stattgehabter arthroskopischer Stabilisierung seines gesprengten linken Akromioklavikulargelenks (ACG) erneut Schmerzen in der linken Schulter. Ein Auslöser der Schmerzen oder adäquates Retrauma ist dabei nicht erinnerlich. In der Bildgebung zeigte sich eine Dislokation des inferioren DogBone-Buttons in den glenohumeralen Gelenkspalt. Nebenbefundlich stellte sich eine beginnende posttraumatische Omarthrose der gleichen Seite dar. Zur Bergung des gelösten Buttons wurde eine Arthroskopie des Schultergelenks durchgeführt, wodurch die Beschwerden des Patienten regredient waren.
QR-Code scannen & Beitrag online lesen

Hinweis des Verlags

Der Verlag bleibt in Hinblick auf geografische Zuordnungen und Gebietsbezeichnungen in veröffentlichten Karten und Institutsadressen neutral.
Sprengungen des Akromioklavikulargelenks (ACG) sind häufige sportorthopädische Verletzungen der oberen Extremität und für bis zu 10 % der Verletzungen des Schultergürtels verantwortlich [6]. Es handelt sich in der Regel um Hochenergietraumata, wie Sport- oder Verkehrsunfälle, mit direktem Anprall des ACG [11]. Solche Verletzungen betreffen insbesondere jüngere, männliche Patienten [6].
Die derzeit gängigste Klassifikation der ACG-Sprengungen wurde 1984 von Rockwood beschrieben. Diese unterteilt entsprechend den jeweils verletzten Weichteilstrukturen in 6 Typen [7]: Typ I und II sind nicht disloziert und können daher konservativ, bspw. mit einem Gilchrist-Verband, therapiert werden. Bei den Typen III bis VI handelt es sich um dislozierte ACG-Luxationen. Insbesondere für die Typen IV bis VI wird ein operatives Vorgehen empfohlen, für Typ-III-Verletzungen sind Faktoren wie die Stabilität des Gelenks in der Therapieentscheidung zu berücksichtigen [6].
Zur operativen Therapie von ACG-Sprengungen eignen sich offene oder arthroskopische Verfahren. Zu den offenen Verfahren gehören beispielsweise die von Mazzocca et al. beschriebene anatomische Rekonstruktion der korakoklavikulären (CC) Bänder mittels freiem Sehnentransplantat (ACCR) oder der Transfer des Korakoakromialbands (mod. nach Weaver-Dunn) [2, 4]. Weniger invasiv ist die arthroskopische, indirekte Rekonstruktion der CC-Ligamente mittels Fäden und Endobutton [8].
Vorteil der modernen Fadentechniken ist die Reduzierung des Bohrkanaldurchmessers
Zu diesen Techniken existieren multiple Weiterentwicklungen, sowohl der Fäden als auch der Plättchen zur Verbesserung der Primärstabilität. Der Vorteil dieser modernen Techniken ist die Reduzierung des Bohrkanaldurchmessers, wodurch das Risiko für Frakturen verringert werden kann. Ebenso können durch das Buttondesign mehrere Tapes an einem Plättchen verankert werden, sodass nur noch ein Bohrkanal notwendig ist [10]. Für die ACG-Stabilisierung mit dieser Technik zeigten sich in Studien reproduzierbare und größtenteils exzellente Ergebnisse.

Fallbericht

Anamnese

Ein 53-jähriger Patient stellt sich 9 Jahre nach ACG-Sprengung (Rockwood III), damals in Folge eines Sturzes beim Skifahren, jetzt mit erneuten Beschwerden in der linken Schulter vor. Es ist kein die Symptomatik erklärendes, adäquates Retrauma erinnerlich. Die Schmerzen treten dabei insbesondere bei sportlicher Betätigung auf. Die Versorgung der Verletzung erfolgte 2015 in Fadentechnik mit zwei DogBone-Buttons (Arthrex Inc., Naples, Florida, USA; Abb. 1).
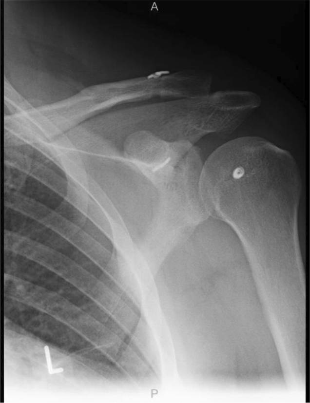
Abb. 1
Röntgenaufnahme Schulter links a.‑p. 2015: korrekte Lage des Fadenmaterials und Button mit bereits partiellem Repositionsverlust
Bild vergrößern

Befund und Diagnostik

In der klinischen Untersuchung zeigte sich ein reizloses Schultergelenk ohne Anzeichen auf eine Infektion. Die passive Bewegungsprüfung war ohne Einschränkungen möglich, jedoch fielen deutliche Krepitationen und Bewegungsschmerzen auf. Starter-Test, Hawkins-Test, Jobe-Test und O’Brien-Test waren in der Untersuchung positiv, Belly-Press-Test und Cross-Body-Adduction-Test fielen negativ aus.
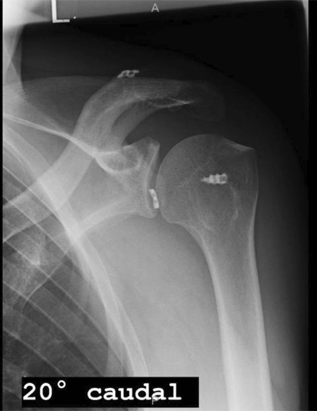
In der durchgeführten radiologischen Bildgebung stellte sich eine chronische ACG-Instabilität mit einem erhöhten CC-Abstand dar. Es imponierte ein nach intraartikulär disloziertes inferiores DogBone-Plättchen (Abb. 2). In der Magnetresonanztomographie (MRT) zeigten sich eine intakte Rotatorenmanschette sowie Knorpelschäden am Humerus im Sinne einer beginnenden Omarthrose.
Abb. 2
Röntgenaufnahme Schulter links a.‑p. 2024: intraartikulär dislozierter inferiorer Button
Bild vergrößern

Diagnose

In Zusammenschau der klinischen und radiologischen Befunde kann die Diagnose einer asymptomatischen chronischen ACG-Instabilität mit partiellem Repositionsverlust links sowie ein nach intraartikulär dislozierter DogBone-Button gestellt werden.

Therapie und Verlauf

Die arthroskopische Bergung des dislozierten DogBone-Buttons wird eingeleitet.
Intraoperativ stellt sich eine ausgeprägte Synovialitis mit serösem Erguss und deutlichen Verklebungen dar. Es erfolgte eine Synovektomie und Bursektomie der Bursa subcoracoidea sowie die Entfernung multipler Knorpelfragmente (Abb. 3). Nach weiterer Präparation des Korakoids und des subkorakoidalen Raums war die Bergung des frei florierenden inferioren DogBone-Buttons ventral der Subskapularissehne möglich (Abb. 4). Anschließend konnten die Fäden und der superiore DogBone-Button mini-open dargestellt und ebenfalls geborgen werden (Abb. 5).
Abb. 3
Arthroskopie Schulter links: beginnende posttraumatische Omarthrose und Knorpelfragmente
Bild vergrößern
Abb. 4
Arthroskopie Schulter links: arthroskopische Bergung des dislozierten Buttons
Bild vergrößern
Abb. 5
Mini-open Schulter links: Entfernung des superioren DogBone-Buttons
Bild vergrößern
Im Rahmen der postoperativen Nachbehandlung wurden in den ersten 2 Wochen schmerzadaptierte Bewegung und Beübung empfohlen. Zudem wurde eine Armschlinge zur Entlastung des Gelenks bei Bedarf verordnet. Während dieser Zeit war zunächst eine schrittweise Mobilisation mit aktiven und passiven Bewegungen bis zu einer Flexion und Abduktion von 90° zulässig. Anschließend erfolgte die schrittweise und schmerzadaptierte Steigerung des Bewegungsumfangs.

Diskussion

Die Behandlung einer ACG-Verletzung Rockwood Typ III, wie sie hier initial vorlag, ist Gegenstand kontroverser Diskussionen in der Literatur. Konservative Therapieansätze bieten den Vorteil einer kürzeren Rehabilitationszeit, können jedoch zu persistierenden Schmerzen und kosmetisch störenden Deformitäten führen. Operative Verfahren zeigen in Studien signifikant bessere radiologische Ergebnisse, beispielsweise hinsichtlich des Akromioklavikularabstands (ACD), sind jedoch gleichzeitig auch mit einem Risiko für Komplikationen wie Infektionen oder Implantatversagen assoziiert [6, 9, 12]. Die Wahl des Behandlungsansatzes sollte daher individuell unter Berücksichtigung von Faktoren wie Patientenalter, Aktivitätsniveau und funktionellen Anforderungen erfolgen [3].
Die Behandlung von ACG-Sprengungen mittels Fadensystemen und Endobutton gehört mittlerweile zu den operativen Standardversorgungen dieser Verletzung. Insbesondere in der vertikalen Ebene kann mit dieser Technik eine gute Primärstabilität gewonnen werden [1]. Andererseits wurde jedoch auch eine vergleichsweise hohe Komplikationsrate von 20,7 % nachgewiesen [5]. Ebenso wird über ein signifikant erhöhtes Risiko für einen Repositionsverlust berichtet [10]. Auch im direkten Vergleich von DogBone-Button und TightRope (Arthrex Inc., Naples, Florida, USA) wurden bei Ersterem schlechtere Repositionsergebnisse und häufigerer Repositionsverlust in den radiologischen Kontrollen festgestellt [13].
Während Materialversagen und Repositionsverlust im kurz- und mittelfristigen Follow-up in der Literatur abgebildet sind, gibt es wenige Berichte über ein Therapieversagen in so großem zeitlichem Abstand zu Primärversorgung wie in diesem Fall.

Fazit für die Praxis

  • Eine atraumatische akute Funktionsverschlechterung kann durch eine sekundäre Buttondislokation entstehen und mittels Röntgenuntersuchung diagnostiziert werden.
  • Wenn die Entfernung der Buttons nach einer arthroskopischen, fadensystembasierten Stabilisierung des Akromioklavikulargelenks (ACG) erfolgen soll, so sollte dies stets beide Plättchen umfassen.
  • Hierbei muss die Möglichkeit einer Dislokation des inferioren DogBone-Buttons in das Schultergelenk berücksichtigt werden, da diese auch als Spätkomplikation auftreten kann.

Einhaltung ethischer Richtlinien

Interessenkonflikt

K. Müller und F. Dyrna geben an, dass kein Interessenkonflikt besteht.
Für diesen Beitrag wurden von den Autor/-innen keine Studien an Menschen oder Tieren durchgeführt. Für die aufgeführten Studien gelten die jeweils dort angegebenen ethischen Richtlinien. Für Bildmaterial oder anderweitige Angaben innerhalb des Manuskripts, über die Patient/-innen zu identifizieren sind, liegt von ihnen und/oder ihren gesetzlichen Vertretern/Vertreterinnen eine schriftliche Einwilligung vor.
Open Access Dieser Artikel wird unter der Creative Commons Namensnennung 4.0 International Lizenz veröffentlicht, welche die Nutzung, Vervielfältigung, Bearbeitung, Verbreitung und Wiedergabe in jeglichem Medium und Format erlaubt, sofern Sie den/die ursprünglichen Autor(en) und die Quelle ordnungsgemäß nennen, einen Link zur Creative Commons Lizenz beifügen und angeben, ob Änderungen vorgenommen wurden. Die in diesem Artikel enthaltenen Bilder und sonstiges Drittmaterial unterliegen ebenfalls der genannten Creative Commons Lizenz, sofern sich aus der Abbildungslegende nichts anderes ergibt. Sofern das betreffende Material nicht unter der genannten Creative Commons Lizenz steht und die betreffende Handlung nicht nach gesetzlichen Vorschriften erlaubt ist, ist für die oben aufgeführten Weiterverwendungen des Materials die Einwilligung des jeweiligen Rechteinhabers einzuholen. Weitere Details zur Lizenz entnehmen Sie bitte der Lizenzinformation auf http://creativecommons.org/licenses/by/4.0/deed.de.

Hinweis des Verlags

Der Verlag bleibt in Hinblick auf geografische Zuordnungen und Gebietsbezeichnungen in veröffentlichten Karten und Institutsadressen neutral.

Unsere Produktempfehlungen

Arthroskopie und Gelenkchirurgie

Print-Titel

Umfassende Reviews zu aktuellen arthroskopischen Fragestellungen sowie Tipps und Tricks zur endoskopischen Untersuchung und Chirurgie der Gelenke


e.Med Interdisziplinär

Kombi-Abonnement

Für Ihren Erfolg in Klinik und Praxis - Die beste Hilfe in Ihrem Arbeitsalltag

Mit e.Med Interdisziplinär erhalten Sie Zugang zu allen CME-Fortbildungen und Fachzeitschriften auf SpringerMedizin.de.

e.Med Orthopädie & Unfallchirurgie

Kombi-Abonnement

Mit e.Med Orthopädie & Unfallchirurgie erhalten Sie Zugang zu CME-Fortbildungen der Fachgebiete, den Premium-Inhalten der dazugehörigen Fachzeitschriften, inklusive einer gedruckten Zeitschrift Ihrer Wahl.

download
DOWNLOAD
print
DRUCKEN
Titel
Dislozierter DogBone-Button nach arthroskopischer Schultereckgelenkstabilisierung
Verfasst von
Katharina Müller
PD Dr. med. habil Felix Dyrna
Publikationsdatum
06.08.2025
Verlag
Springer Medizin
Erschienen in
Arthroskopie / Ausgabe 5/2025
Print ISSN: 0933-7946
Elektronische ISSN: 1434-3924
DOI
https://doi.org/10.1007/s00142-025-00803-0
1.
Zurück zum Zitat Berthold D, Dyrna F, Imhoff AB, Martetschläger F (2019) Innovationen bei der Therapie von Instabilitäten des Akromioklavikulargelenks. Arthroskopie 32(1):11–14. https://doi.org/10.1007/s00142-018-0245-3CrossRef
2.
Zurück zum Zitat Berthold DP, Muench LN, Dyrna F, Mazzocca AD, Garvin P, Voss A, Scheiderer B, Siebenlist S, Imhoff AB, Beitzel K (2022) Current concepts in acromioclavicular joint (AC) instability—a proposed treatment algorithm for acute and chronic AC-joint surgery. BMC Musculoskelet Disord 23(1):1078. https://doi.org/10.1186/s12891-022-05935-0CrossRefPubMedPubMedCentral
3.
Zurück zum Zitat Berthold DP, Muench LN, Imhoff AB, Lacheta L (2022) Stabilisierung des Akromioklavikulargelenks. Arthroskopie 35(4):279–287. https://doi.org/10.1007/s00142-022-00546-2CrossRef
4.
Zurück zum Zitat Carofino BC, Mazzocca AD (2010) The anatomic coracoclavicular ligament reconstruction: surgical technique and indications. J Shoulder Elbow Surg 19(2):37–46. https://doi.org/10.1016/j.jse.2010.01.004CrossRefPubMed
5.
Zurück zum Zitat Clavert P, Meyer A, Boyer P, Gastaud O, Barth J, Duparc F (2015) Complication rates and types of failure after arthroscopic acute acromioclavicular dislocation fixation. Prospective multicenter study of 116 cases. Orthop Traumatol Surg Res 101(8):S313–S316. https://doi.org/10.1016/j.otsr.2015.09.012CrossRefPubMed
6.
Zurück zum Zitat Giai Via R, Bosco F, Giustra F, Lavia AD, Artiaco S, Risitano S, Giachino M, Massè A (2022) Acute Rockwood type III ACJ dislocation: Conservative vs surgical approach. A systematic review and meta-analysis of current concepts in literature. Injury 53(10):3094–3101. https://doi.org/10.1016/j.injury.2022.07.050CrossRefPubMed
7.
Zurück zum Zitat Gorbaty JD, Hsu JE, Gee AO (2017) Classifications in Brief: Rockwood Classification of Acromioclavicular Joint Separations. Clin Orthop Relat Res 475(1):283–287. https://doi.org/10.1007/s11999-016-5079-6CrossRefPubMed
8.
Zurück zum Zitat Lee S, Bedi A (2016) Shoulder acromioclavicular joint reconstruction options and outcomes. Curr Rev Musculoskelet Med 9(4):368–377. https://doi.org/10.1007/s12178-016-9361-8CrossRefPubMedPubMedCentral
9.
Zurück zum Zitat Longo UG, Ciuffreda M, Rizzello G, Mannering N, Maffulli N, Denaro V (2017) Surgical versus conservative management of Type III acromioclavicular dislocation: a systematic review. Br Med Bull 122(1):31–49. https://doi.org/10.1093/bmb/ldx003CrossRefPubMed
10.
Zurück zum Zitat Madi S, Pandey V, Murali S, Acharya K (2022) Clinical and radiological outcome of acute high-grade acromioclavicular joint dislocation: A retrospective cohort study on Hook plate versus arthroscopic assisted single coracoclavicular tunnel with DogBone™ button dual FiberTape® construct. J Clin Orthop Trauma 27:101825. https://doi.org/10.1016/j.jcot.2022.101825CrossRefPubMedPubMedCentral
11.
Zurück zum Zitat Nordin JS, Olsson O, Lunsjö K (2020) Acromioclavicular joint dislocations: incidence, injury profile, and patient characteristics from a prospective case series. JSES Int 4(2):246–250. https://doi.org/10.1016/j.jseint.2020.01.009CrossRefPubMedPubMedCentral
12.
Zurück zum Zitat Tauber M, Hoffelner T, Lehmann L, Kraus N, Scheibel M, Moroder P (2023) Prospective Multicenter Randomized Controlled Trial of Surgical Versus Nonsurgical Treatment for Acute Rockwood Type 3 Acromioclavicular Injury. Orthop J Sports Med 11(8):23259671231190411. https://doi.org/10.1177/23259671231190411CrossRefPubMedPubMedCentral
13.
Zurück zum Zitat Vulliet P, Le Hanneur M, Cladiere V, Loriaut P, Boyer P (2018) A comparison between two double-button endoscopically assisted surgical techniques for the treatment acute acromioclavicular dislocations. Musculoskelet Surg 102(1):73–79. https://doi.org/10.1007/s12306-017-0501-0CrossRefPubMed

Arthropedia

Grundlagenwissen der Arthroskopie und Gelenkchirurgie erweitert durch Fallbeispiele, Videos und Abbildungen. Zur Fortbildung und Wissenserweiterung, verfasst und geprüft von Expertinnen und Experten der Gesellschaft für Arthroskopie und Gelenkchirurgie (AGA).


Jetzt entdecken!

Neu im Fachgebiet Orthopädie und Unfallchirurgie

Video

S2e-Leitlinie Hallux valgus

Mehr als eine Million Menschen in Deutschland leiden unter Hallux valgus – eine Fehlstellung des Großzehs, die je nach Schweregrad und Symptomen behandelt wird. Welche neuen Empfehlungen die aktualisierte S2e-Leitlinie bietet, erklärt der Orthopäde Prof. Sebastian Baumbach im MedTalk Leitlinie KOMPAKT der Zeitschrift Orthopädie und Unfallchirurgie.

MedTalk Leitlinie KOMPAKT

Zwei auf einen Streich: Wie sicher ist der simultane bilaterale Gelenkersatz?

Ein französisch-belgisches Team hat Komplikationsrisiko und Transfusionsraten nach simultanem bilateralem Hüft- bzw. Kniegelenkersatz in mehr als 280 Fällen untersucht. Die Ergebnisse sind vielversprechend, vor allem beim beidseitigen Teilersatz des Kniegelenks.

Krankenkassen erklären sich bereit, therapeutische Wundprodukte weiterhin zu erstatten

  • 05.12.2025
  • EBM
  • Nachrichten

Aktuell gesteigertes Regressrisiko bei der Verordnung therapeutischer Wundauflagen? Vielerorts signalisieren Kassen und KVen schon Entwarnung.

Gelenkinfektion: Datenlage spricht für frühen Wechsel auf orales Antibiotikum

Im Fall einer periprothetischen Gelenkinfektion kann die antibiotische Behandlung wohl frühzeitig von intravenös auf oral umgestellt werden, ohne dass der Therapieerfolg darunter leidet. Das zeigen die Ergebnisse einer neuen Metaanalyse.

Update Orthopädie und Unfallchirurgie

Bestellen Sie unseren Fach-Newsletter und bleiben Sie gut informiert.

Bildnachweise
Arthropedia, Operation an der Hand/© karegg / stock.adobe.com (Symbolbild mit Fotomodellen), Knochensäge im Einsatz bei Knie-TEP/© Issara / stock.adobe.com (Symbolbild mit Fotomodellen), Versorgung einer infizierten Wunde bei diabetischem Fuß/© kirov1969 / Stock.adobe.com (Symbolbild mit Fotomodellen), Älterer Mann schaut kritisch auf Tabletten/© Mediteraneo / stock.adobe.com (Symbolbild mit Fotomodell)