Zum Inhalt

Schwindel

Alter ist keine Diagnose

Was geht Ihnen durch den Kopf, wenn ältere Patientinnen und Patienten über eine ständig tropfende Nase, Hyposmie, viel Sekret, Schwindel, Dysphagie oder Dysphonie berichten? Altersdiskriminierung bzw. Ageismus erfolgt häufig unbewusst. Lesen Sie hier, wie Sie damit produktiv umgehen können.

weiterlesen

Kasuistiken

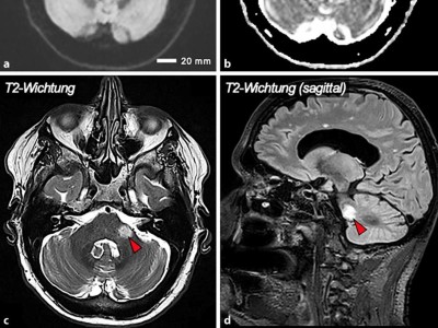
Red Flags beim akutem vestibulären Syndrom

Seit zwei Tagen verspürt ein 66-Jähriger einen konstanten Drehschwindel mit linkseitiger Hörminderung. An einen Auslöser kann sich der Patient nicht erinnern. Der Patient weist ein Nystagmus auf und eine deutliche Rückstellsakkade bei Drehung nach links im Kopfimpulstest. Besteht hier ein Notfall?

71-Jährige mit Schwindel und häufigen Stürzen – was sehen Sie im EKG?

  • EKG
  • Kasuistik

Eine 71-jährige Frau mit diversen Vorerkrankungen und Bluthochdruck stellt sich zu einer Kontrolluntersuchung vor. Die Patientin berichtet, dass ihr öfter schwindelig werde, sie mehrfach gestürzt sei und zudem ihr Herz manchmal unregelmäßig und schnell schlagen würde. Wie lautet Ihre Diagnose? 

Weitere Artikel aus unseren Fachzeitschriften

Alter ist keine Diagnose

Was geht Ihnen durch den Kopf, wenn ältere Patientinnen und Patienten über eine ständig tropfende Nase, Hyposmie, viel Sekret, Schwindel, Dysphagie oder Dysphonie berichten? Altersdiskriminierung bzw. Ageismus erfolgt häufig unbewusst. Lesen Sie hier, wie Sie damit produktiv umgehen können.

So gehen Sie der richtigen Ursache von Schwindel auf den Grund

Da Schwindel diverse Ursachen hat, die über Fachgebietsgrenzen führen, sehen sich Ärztinnen und Ärzte trotz standardisierten Vorgehens mit einer großen diagnostischen Aufgabe konfrontiert. Dieser Beitrag stellt die häufigsten und seltensten Schwindelsyndrome auf dem aktuellen Stand des Wissens vor.

Aktuelles zur Therapie von Schwindelsyndromen

Ist die Diagnose eines peripheren, zentralen oder funktionellen Schwindels einmal gestellt, hat eine adäquate Therapie heute gute Erfolgsaussichten. Problematisch bleibt der Off-Label-Use in der Pharmakotherapie. Lesen Sie hier einen Überblick über die derzeit möglichen Ansätze.

CME: Systematische Ursachensuche bei Schwindel

Hinter akutem Drehschwindel kann sich eine relativ harmlose Ursache verstecken wie eine Neuritis vestibularis - aber auch ein Hirnstamm- oder ein Kleinhirninfarkt. Dreht es sich immer mal wieder, ist ein Morbus Menière oder eine vestibuläre Migräne möglich. Die systematische Anamnese und körperliche Untersuchung führen zur richtigen Diagnose und Therapie.

Buchkapitel zum Thema

Schwindel und Erbrechen

Übelkeit und Schwindel gehören zu den regelmäßig wiederkehrenden Beratungsanlässen in der Hausarztpraxis. Für Schwindel oder Taumel (Dizziness) werden Häufigkeiten von 1,0 und 15,5 % genannt (Bosner et al. 2018). Nausea ist in zirka 1–1,6 % Anlass …

Nicht gefunden, wonach Sie suchten?

Probieren Sie es mit der Suchfunktion:

Neu im Fachgebiet HNO

Hartnäckige Hyponatriämie als erstes Krebsanzeichen

Trotz eines Olfaktoriusneuroblastoms ist eine 36-Jährige komplett frei von sinunasalen Beschwerden. Glücklicherweise führt eine anhaltende Hyponatriämie auf die Spur des Tumors.

Bundesverfassungsgericht: Triage-Regelung nicht mit Grundgesetz vereinbar

Das Bundesverfassungsgericht hat Regelungen zur Triage für nichtig erklärt. Es gab damit Verfassungsbeschwerden von Intensiv- und Notfallmedizinern statt. Der Eingriff in die Berufsfreiheit der Ärztinnen und Ärzte sei verfassungsrechtlich nicht gerechtfertigt, betont das Gericht.

Langzeitbeobachtung von oralen Präkanzerosen lohnt sich

Personen mit potenziell malignen Erkrankungen der Mundhöhle wie Leukoplakien entwickeln primär in den ersten fünf Jahren nach der Diagnose einen bösartigen Tumor. Danach ist das Transformationsrisiko zwar geringer, liegt aber noch immer bei mehr als 1%.

In engen Grenzen: So sollen Apotheken Rx-Produkte ohne ärztliches Rezept abgeben

Ganz so frei, wie es zunächst den Anschein hatte, wird die eigenverantwortliche Abgabe verschreibungspflichtiger Arzneimittel in der Offizin nun doch nicht aufgesetzt. Das Gesundheitsministerium will den Apothekern Krankheitsbilder vorgeben.

Update HNO

Bestellen Sie unseren Fach-Newsletter und bleiben Sie gut informiert – ganz bequem per eMail.

Bildnachweise
Eine ältere Frau schaut in die Ferne/© RgStudio / Getty Images / iStock (Symbolbild mit Fotomodell), Mann erleidet Schwindel/© Tunatura / Getty Images / iStock (Symbolbild mit Fotomodell), Frau mit schmerzverzerrtem Gesicht in Wohnzimmer/© fizkes / stock.adobe.com (Symbolbild mit Fotomodell), Mann mit Blutdruckmessgerät/© Viktor Koldunov / stock.adobe.com (Symbolbild mit Fotomodell), Person hält Medikamente/© fizkes / Stock.adobe.com (Symbolbild mit Fotomodell), Älterer Mann fasst sich ans Ohr/© Nes / Getty Images / iStock (Symbolbild mit Fotomodell), Eine Frau setzt sich Earbuds auf/© fizkes / Stock.adobe.com (Symbolbild mit Fotomodell), Abklärung von Rückenschmerz bei älterer Patientin/© andreswd / Getty Images / iStock (Symbolbild mit Fotomodellen), Eingang Notaufnahme/© upixa / stock.adobe.com, Schwindel bei junger Frau/© Tunatura / Getty Images / iStock (Symbolbild mit Fotomodell), Eine Frau stützt sich am Türrahmen vor Schwindel/© Tunatura / Getty Images / iStock (Symbolbild mit Fotomodell), eien junge Frau massiert sich mit der Massage-Pistole/© Andrey Popov / stock.adobe.com (Symbolbild mit Fotomodell), Eine Frau im MRT/© Maksym Povozniuk / stock.adobe.com (Symbolbild mit Fotomodellen), Frenzel-Brille/© O. Michel, Köln, Titel/© CandyRetriever / Stock.adobe.com (Symbolbild mit Fotomodell), Klinischer Kopfimpulstest/© Springer Medizin (Symbolbild mit Fotomodell) (mit freundlicher Genehemigung), Zerebrovaskulärer Insult im Stromgebiet der Arteria cerebelli anterior inferior/© Bächinger D. et al. doi.org/10.1007/s00106-023-01403-w unter CC-BY 4.0, Extremitäten-EKG-Ableitungen/© Trappe H-J / all rights reserved Springer Medizin Verlag GmbH, Search Icon, Frau wird Blut abgenommen/© andresr / Getty Images / iStock (Symbolbild mit Fotomodellen), Junge Ärztin vor einem Triage-Zelt/© Milos / Stock.adobe.com (Symbolbild mit Fotomodell)