Zum Inhalt

Secondary progressive COVID-19-associated extensive leukoencephalopathy

  • 04.07.2023
  • Neuro-Images
Erschienen in:

Auszug

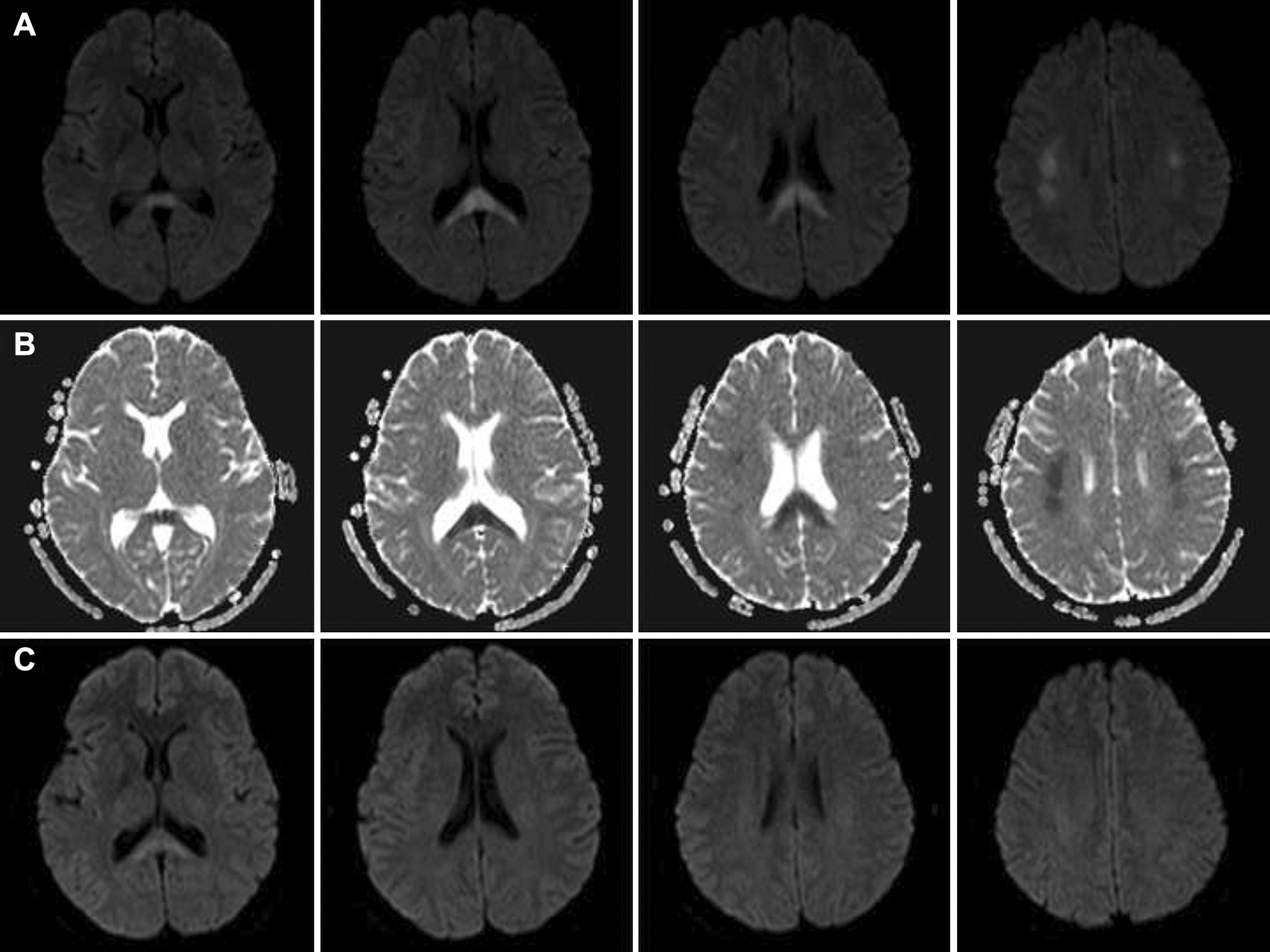
A 53-year-old woman was admitted with an altered state of consciousness for 8 hours. Two months earlier, she experienced slurred speech following a COVID-19 infection, but no remarkable abnormalities were found on pulmonary CT. Diffusion-weighted MRI revealed hyperintensities in the corpus callosum splenium and periventricular white matter with decreased signal intensity on apparent diffusion coefficient maps (Fig. 1A, B). After receiving symptomatic support and neuroprotective treatment, the aforementioned lesions significantly subsided (Fig. 1C), and the reverse transcription–polymerase chain reaction (RT–PCR) test for SARS-CoV-2 turned negative.
Fig. 1
Brain MRI two months before. Paired axial diffusion-weighted imaging and apparent diffusion coefficient map showed symmetric foci of restricted diffusion involving the corpus callosum splenium and periventricular white matter A, B. After 12 days of treatment, the above lesions significantly subsided C and the corresponding lesions largely disappeared on T2-weighted imaging and fluid-attenuated inversion recovery map (unshown)
Bild vergrößern
Titel
Secondary progressive COVID-19-associated extensive leukoencephalopathy
Verfasst von
Shugang Cao
Minqiang Bao
Rongfeng Wang
Mingwu Xia
Publikationsdatum
04.07.2023
Verlag
Springer International Publishing
Erschienen in
Acta Neurologica Belgica / Ausgabe 1/2025
Print ISSN: 0300-9009
Elektronische ISSN: 2240-2993
DOI
https://doi.org/10.1007/s13760-023-02323-w
Dieser Inhalt ist nur sichtbar, wenn du eingeloggt bist und die entsprechende Berechtigung hast.

Kompaktes Leitlinien-Wissen Neurologie (Link öffnet in neuem Fenster)

Mit medbee Pocketcards schnell und sicher entscheiden.
Leitlinien-Wissen kostenlos und immer griffbereit auf ihrem Desktop, Handy oder Tablet.

Neu im Fachgebiet Neurologie

Fazialisparese in der Liquordiagnostik aufgeklärt

Periphere Fazialisparesen sollten nicht vorschnell als idiopathisch klassifiziert werden. Vor allem bei atypischen Manifestationen gilt es, auf dem Quivive zu sein. Der Fall einer 73-Jährigen zeigt, warum.

Hilft Kaffee gegen Demenz?

  • 16.02.2026
  • Demenz
  • Nachrichten

Mit zwei bis drei Tassen Kaffee am Tag ist das Demenzrisiko um fast ein Fünftel reduziert, auch die kognitive Leistung ist dann deutlich besser als bei Kaffee-Abstinenz. Das gilt jedoch nur für koffeinhaltigen Kaffee. Ob Koffein tatsächlich protektiv wirkt, lässt eine Langzeitstudie aber offen.

Antibiotikum verbessert Prognose nach leichtem Schlaganfall

Eine Therapie mit Minocyclin kann das funktionelle Ergebnis nach einem milden ischämischen Schlaganfall geringfügig verbessern. In einer Phase-3-Studie aus China lag damit die Chance auf ein sehr gutes funktionelles Ergebnis rund fünf Prozentpunkte höher als unter Placebo.

Schlafarchitektur nach OP oft massiv gestört

Nach einem operativen Eingriff ist die Schlafqualität oft massiv beeinträchtigt. In einer US-Studie waren bei Risikopatienten nicht nur die Gesamtdauer des Schlafs, sondern vor allem auch REM- und Tiefschlafphasen deutlich verkürzt.

Update Neurologie

Bestellen Sie unseren Fach-Newsletter und bleiben Sie gut informiert.

Bildnachweise
Die Leitlinien für Ärztinnen und Ärzte, Lumbalpunktion/© Felipe Caparrós / stock.adobe.com, Arzt sitzt vor dem PC und trinkt Kaffee/© Jacob Lund / Stock.adobe.com (Symbolbild mit Fotomodell), Fachperson breitet Infusion vor/© pirke / stock.adobe.com (Symbolbild mit Fotomodellen), Frauen ruhen im Krankenhaus /© Gorodenkoff / Stock.adobe.com (Symbolbild mit Fotomodell)