Zum Inhalt

Simultaneous onset of systemic sclerosis and light chain amyloidosis: the first report of a case report and review of the literature

  • Open Access
  • 01.10.2025
  • Case Based Review
Erschienen in:

Abstract

Systemic sclerosis (SSc) and amyloidosis are rare, complex conditions that impair the function of multiple organs, each with distinct pathogenic mechanisms: autoimmunity for SSc and misfolded protein deposition for amyloidosis. We present the first documented case of a 57-year-old woman with coexisting SSc and systemic AL amyloidosis with multi-organ involvement, in which treatment for amyloidosis led to a notable improvement in SSc symptoms. The patient presented experiencing fatigue, exertional dyspnea, epigastric pain and syncopal episodes in the summer of 2023. Investigations revealed mild increase in left ventricle thickness, elevated NT-proBNP and troponin with negative coronary angiography. She was subsequently diagnosed with SSc with multi-organ involvement and systemic AL amyloidosis confirmed by biopsy. Treatment with a modified Dara-CyBorD protocol led to improvement in SSc symptoms, especially in terms of dyspnea and skin involvement. This is the first reported case of SSc coexisting with systemic AL amyloidosis. The patient responded well to therapy for amyloidosis, suggesting potential overlapping treatment benefits. A multidisciplinary approach was essential, and further studies are needed to explore therapeutic interactions between these two rare diseases.
Anna Colangelo, Francesco Tromby, Elena Bartoloni and Carlo Perricone contributed equally to this work.

Publisher’s note

Springer Nature remains neutral with regard to jurisdictional claims in published maps and institutional affiliations.

Introduction

Systemic sclerosis (SSc) is a complex autoimmune disease characterized by cutaneous and internal organ fibrosis, diffuse fibroproliferative vascular modifications, and autoimmunity. The pathogenesis involves an initial vascular injury due to autoimmunity and environmental factors, leading to chronic inflammation and fibroblast activation, culminating in fibrosis across multiple organs [1, 2].
AL (light-chain) amyloidosis is a systemic disorder caused by the extracellular deposition of misfolded immunoglobulin light chains produced by a clonal population of plasma cells. These amyloid fibrils infiltrate multiple organs, most commonly the kidneys, heart, liver, and peripheral nerves, leading to progressive organ dysfunction. The clinical presentation of AL amyloidosis is notoriously variable and often overlaps with features of other chronic conditions, making timely diagnosis particularly challenging [3].
The coexistence of SSc and systemic AL amyloidosis is exceptionally rare and poses significant diagnostic and therapeutic challenges. Both diseases can manifest with similar symptoms, such as skin thickening, renal impairment, and cardiac involvement, complicating clinical assessment [4]. Understanding the interplay between these two conditions is critical for appropriate diagnostic evaluation and tailored treatment strategies, particularly given the vastly different pathophysiological mechanisms and therapeutic approaches involved.​.

Case report

We report the clinical case of a 57-year-old woman who began experiencing fatigue, exertional dyspnea, syncopal episodes and epigastric pain during the summer of 2023. She underwent oesophagogastroduodenoscopy which showed the presence of gastritis and ergometric stress test that was terminated early due to dyspnea and hypotension. Therefore, she was put on the list for coronarography.
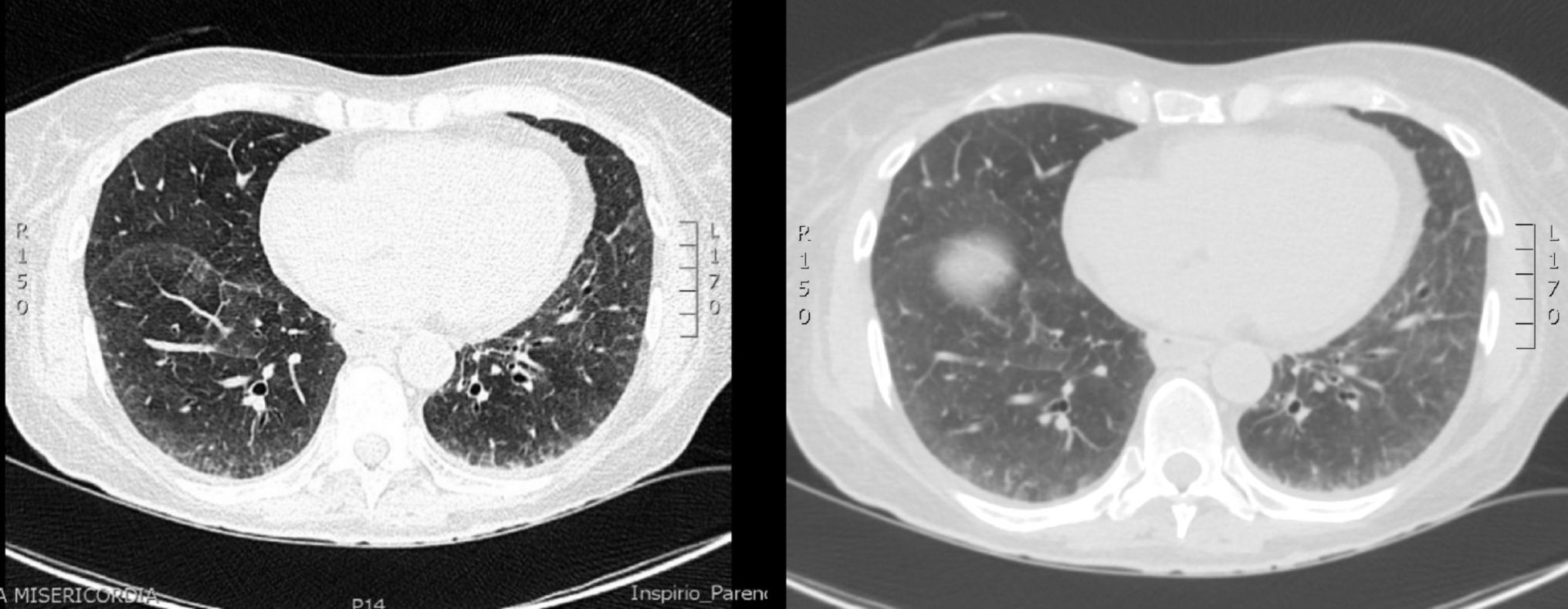
During hospitalisation, the echocardiography showed mild increase in left ventricle (LF) thickness with interventricular septal of 12 mm, not justified by the presence of valvulopathy or systemic arterial hypertension. NT-proBNP was also elevated (1170 pg/ml). Coronary angiography showed no lesions. Serum immunofixation revealed IgM kappa at 6.1 g/L, kappa (κ) light chains at 123 mg/L (normal range: 6–22 mg/L), and lambda (λ) light chains at 53 mg/L (normal range: 5–26 mg/L), with traces of κ light chains on urinary immunofixation. Bone marrow biopsy showed findings consistent with IgM “plasma cell-like” monoclonal gammopathy of undetermined significance (MGUS) without amyloid deposits (Congo red staining and polarized light microscopy were negative). In December 2023, she was admitted again to the cardiology unit due to fatigue, severe dyspnea requiring oxygen supplementation up to 12 L/min, orthostatic hypotension, and elevated troponin levels (1010 ng/L). Echocardiography confirmed mildly increased LV wall thickness with slight of the interventricular septum and preserved EF, with normal filling pressure. High-resolution chest computed tomography (HRCT) showed mosaic attenuation pattern in the middle lobe and lingula, diffuse ground-glass opacities at the bases with interlobular septal thickening and dilated oesophagus (Fig. 1).
Fig. 1
HRCT showing a mosaic attenuation pattern and diffuse ground-glass opacities at the lung bases with interlobular septal thickening
Bild vergrößern
Given the onset of rapidly progressive cutaneous involvement characterized by sclerodactyly and thickening of the skin on the distal upper limbs, abdomen, and face with microstomia, rheumatology consultation was requested. Clinical examination revealed a modified Rodnan Skin Score (mRSS) of 11. Laboratory tests were relevant for positive ANA 1:640 with homogeneous staining and anti-topoisomerase I antibodies (anti-Scl70) at high titers (84 U/ml, normal range: <15 U/ml). A capillaroscopy showed an “active” scleroderma pattern. In view of the rapid worsening of the cutaneous manifestations, in addition to a chest HRCT scan, a malignancy workup including an abdominal ultrasound, an esophagogastroduodenoscopy and the test for other autoantibodies such as myositis specific antibodies, anti-RNA Polymerase III, PM/Scl-100, PM/Scl-75, Fibrillarin (U3 RNP) and Th/To antibodies were also performed to rule out paraneoplastic causes and tested negative for underlying malignancy. She was therefore diagnosed with SSc, which also fulfilled ACR/EULAR classification criteria [5] (score 16) with cutaneous, pulmonary, and esophageal involvement. Quite surprisingly, at that time, she had never suffered from Raynaud’s phenomenon (RP) and neither telangiectasia nor digital ulcers were detected at physical examination.
An electromyography (EMG) was also performed, which showed a mild chronic distal sensory-motor polyneuropathy of the lower limbs.
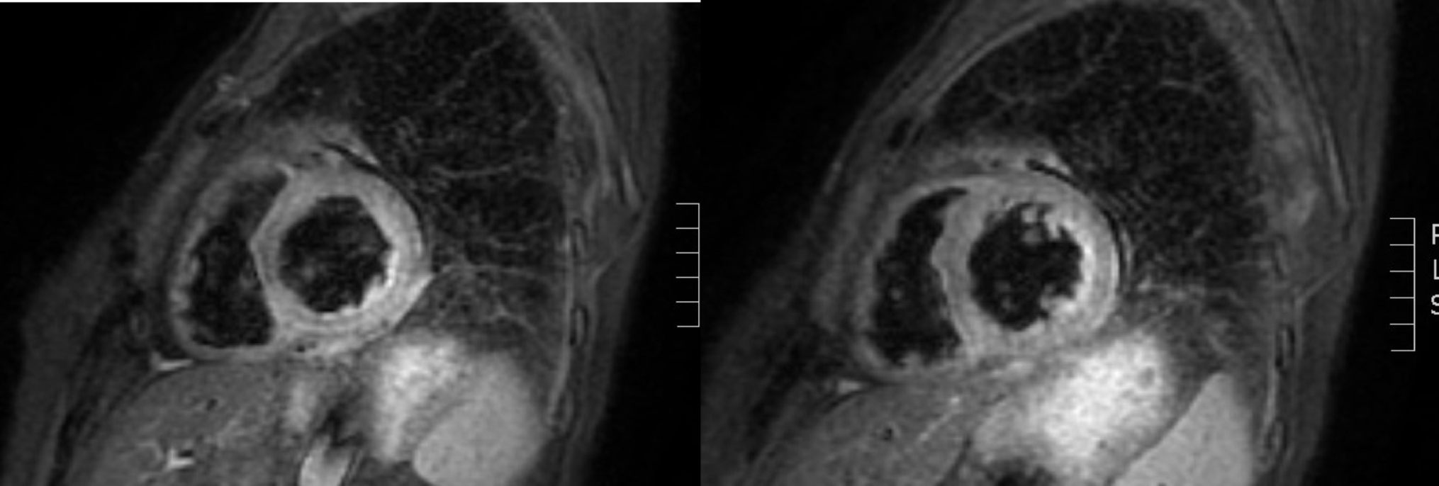
A periumbilical fat biopsy revealed fibroadipose tissue without amyloid deposits at Congo red and thioflavin staining. Cardiac MRI findings were compatible with amyloidosis showing “mid-basal LV, circumferential, subendocardial-transmural late gadolinium enhancement (LGE), more prominent in the inferior and lateral regions” (Fig. 2).
Fig. 2
Cardiac MRI findings showing mid-basal left ventricular LGE in a circumferential, subendocardial-to-transmural pattern, more pronounced in the inferior and lateral regions
Bild vergrößern
The MRI pattern, although not pathognomonic, was highly suggestive of cardiac amyloidosis [6]. Interestingly, right ventricular (RV) endomyocardial biopsy revealed histological findings of replacement fibrosis consistent with SSc, while AL amyloid deposits were detected at electron microscopy (EM). EM of the umbilical fat biopsy confirmed AL amyloidosis (κ light chains).
In February 2024, given the poor prognosis of the patient and the concomitant AL amyloidosis, treatment with daratumumab 1800 mg, cyclophosphamide (CYC) 175 mg/m2, bortezomib 0.7 mg/m2, and dexamethasone 20 mg (Dara-CyBorD protocol) was initiated, using bortezomib at a reduced regimen to minimize cardiac toxicity.
The approach with CYC and its dosage were considered adequate to treat both SSc and AL amyloidosis, requiring cautious monitoring of cardiac parameters. After the first cycle of therapy, troponin levels rapidly decreased to 191 ng/L post-treatment, while NT-proBNP remained stable. Dyspnea significantly improved and O2-therapy was reduced to 2 L/min. Autologous haematopoietic stem cell transplantation (ASCT) could not be considered in our patient given the mortality risk of the procedure and the eligibility criteria for stem cell transplant with full dose (200 mg/m2) melphalan. Indeed, the criteria for ASCT include, among the others, troponin T < 60 ng/L (higher in our patient), New York Heart Association class < III (III in our patient), systolic blood pressure ≥ 100 mm Hg (lower in our patient).
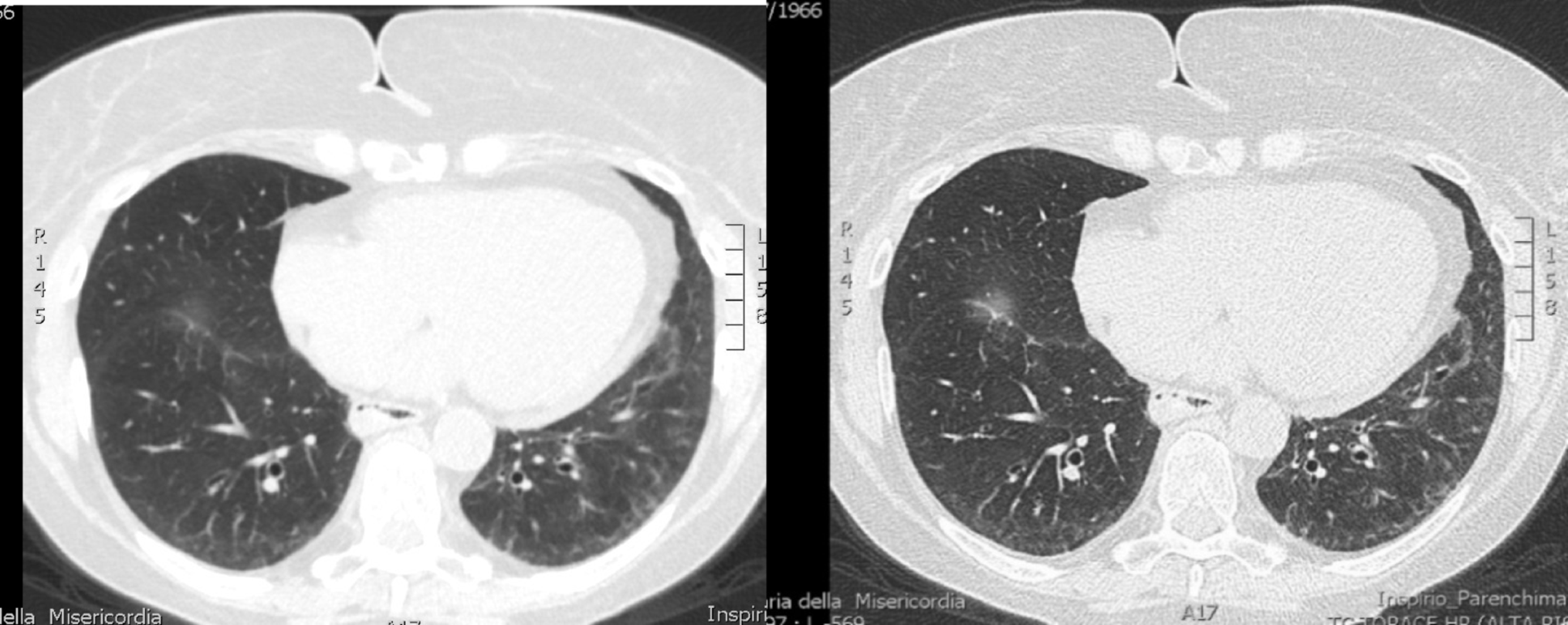
After three months of treatment, the patient reported further improvement in dyspnea and fatigue. Follow-up HRCT showed reduced ground-glass opacities but persistent basal reticular patterns bilaterally (Fig. 3).
Fig. 3
Follow-up HRCT showing a reduction in ground-glass opacities but persistent bilateral basal reticular pattern
Bild vergrößern
Repeated cardiac MRI revealed findings indicative of diffuse myocardial involvement by SSc with transmural fibrosis. Right heart catheterization demonstrated moderate post-capillary pulmonary hypertension.
In July 2024, after six cycles of therapy, CYC (total dose approximately 7 g) and bortezomib were discontinued, while daratumumab and dexamethasone were continued. Mycophenolate mofetil (MMF) 2 g/day was therefore initiated along with nintedanib 150 mg twice daily. The latter was at first reduced to 100 mg twice daily and then suspended due to gastrointestinal symptoms (diarrhea) not responsive to antidiarrheal medications and gut modifiers.
In October 2024, a partial improvement in skin manifestations was reported (mRSS = 7) and, remarkably, the patient developed RP. Nonetheless, capillaroscopy remained stable. Control cardiac MRI was performed showing overall stable findings except for a slight improvement in LV ejection fraction and reduction in LV inferolateral wall edema, less noticeable LGE areas in the RV. Further support treatment, including pantoprazole 40 mg/day and nifedipine 20 mg/day, was introduced.
The patient continued to improve, however in January 2025 dexamethasone was discontinued due to osteoporotic vertebral fractures (D12, L1, L2), thus teriparatide was started.
At last visit on August 2025 mRSS was 5, dyspnoea significantly ameliorated, and the HRCT scan performed in June 2025 showed a stable condition. According to Palladini et al. [7], a very good partial haematologic response was obtained for amyloidosis. Since May 2025 daratumumab was also discontinued, and the patient continued maintenance therapy with MMF at a dose of 2 g/day.

Literature review

This case-based review was conducted in accordance with the CABARET (CAse-BAsed REview sTandards) recommendations of the EQUATOR Network [8]. We conducted a literature search in PubMed/MEDLINE, Scopus, and the Directory of Open Access Journals without restrictions on publication date (up to July 20, 2025). The keywords used for the search were: “systemic sclerosis”, “scleroderma”, and “amyloidosis.” All peer-reviewed case series and case reports describing the concomitant presence of SSc and amyloidosis were included. Articles not published in English were excluded. Two authors (A.C. and C.P.) independently performed the literature review, screened titles and abstracts, and assessed the full texts of potentially eligible articles. Duplicates were removed. Disagreements between the authors were resolved through discussion. A flow diagram summarizing the selection process is provided (Fig. 4).
Fig. 4
PRISMA 2020 flow diagram of study selection. Flow diagram showing the number of records identified, screened, excluded, and included in the qualitative and quantitative synthesis according to PRISMA 2020 guidelines
Bild vergrößern

Discussion

SSc is a rare disease characterized by autoimmunity, fibrosis of the skin and internal organs, and vasculopathy. Affected organs include the skin, lungs, kidneys, and heart. While some manifestations of SSc are insidious and progress slowly, others may present acutely and progress rapidly [9].
Amyloidosis includes a heterogeneous group of disorders characterized by abnormal deposition of insoluble protein aggregates in extracellular spaces, leading to organ dysfunction. Amyloid is composed of protein subunits that adopt a beta-sheet configuration, rendering them insoluble. These aggregates stain with Congo red and display apple-green birefringence under polarized light [10]. Subtypes of amyloidosis are classified by the type of amyloid fibrils, such as AL (light chain), AH (heavy chain), and AA (serum amyloid A) [11].
We identified 13 reported cases of SSc associated with amyloidosis (Table 1). Most patients were female, with a mean age around the fifth to sixth decade of life and predominantly presented with the limited cutaneous subtype of SSc. Autoantibody profiles were heterogeneous but often included anticentromere antibodies (ACA).
The majority (9/13) involved primary amyloidosis with exclusively cutaneous deposition, while only one case described tendinous involvement. Notably, cases describing major organ involvement such as the heart or kidneys were limited to secondary amyloidosis, which is rarely reported in SSc compared to other chronic inflammatory diseases (e.g., rheumatoid arthritis or systemic lupus erythematosus). To our knowledge, our case is the first describing a patient fulfilling the 2013 EULAR/ACR classification criteria for systemic sclerosis who developed primary systemic amyloidosis.
Table 1
Published cases of systemic sclerosis (SSc) associated with amyloidosis
https://static-content.springer.com/image/art%3A10.1007%2Fs00296-025-05982-5/MediaObjects/296_2025_5982_Tab1_HTML.png

SSc and AL amyloidosis: comparative clinical manifestations

Few cases have been reported where amyloidosis (usually AA) was misdiagnosed as SSc or occurred in conjunction with the autoimmune disease in the literature, highlighting the complexity in distinguishing between these conditions [12].
Bély and Apáthy [13] performed a histopathological analysis of 12 deceased SSc patients depicting AL deposits in 1 patient (8.0%). This was a 67 years-old female patient with a 1-year disease history of SSc associated with B-cell lymphoma and complicated by systemic AL-amyloidosis. They found that the prevalence and extent of light-chain deposits were higher in contrast to amyloid A, probably due to a greater affinity of AL for tissues than amyloid A protein. Infiltration of the vessel walls - regarding the amount of light-chain and amyloid A deposits in arterioles and arteries in contrast to the veins - showed an inverse tendency in SSc patients with AL or AA. This may be related to sluggish blood flow or stasis (backward congestion and accumulation of circulating precursors) in both diseases.
However, there are no cases describing the simultaneous onset of SSc and AL amyloidosis and their management. Diagnosis can be challenging since both diseases may affect the same organs while possibly exhibiting distinct disease-specific alterations.
Skin involvement in SSc typically begins in the distal extremities and can extend proximally, involving the face and trunk, while AL amyloidosis presents with more variable cutaneous manifestations such as petechiae, purpura, nodules, and rarely scleroderma-like lesions. Cases of scleredema preceding or coexisting with AL amyloidosis and multiple myeloma have been reported, typically without SSc-specific autoantibodies and lacking clinical features such as RP or ILD, features that, by contrast, are present in our patient [14, 15]. In addition to amyloidosis, a scleroderma-like cutaneous pattern can be caused by drugs, exposure to toxic agents, nephrogenic systemic fibrosis, thyroid disorders such as hyperthyroidism or hypothyroidism, and paraneoplastic syndromes, all of which were excluded in our patient [16].
Pulmonary involvement in SSc usually manifests as ILD with a nonspecific interstitial pneumonia (NSIP) pattern, especially in anti-Scl70-positive patients. AL amyloidosis can affect the lungs through diffuse tracheobronchial deposits, nodular parenchymal amyloidosis (amyloidomas), or diffuse alveolar-septal involvement, which may mimic SSc-related ILD and complicate differential diagnosis [10, 17].
Cardiac manifestations also differ: SSc may present with myocardial inflammation, perfusion defects, and fibrosis (more frequent in anti-Scl70-positive patients), while AL amyloidosis typically causes restrictive cardiomyopathy due to interstitial amyloid deposition, with ventricular thickening and preserved ejection fraction. Advanced imaging techniques, such as assessment of myocardial deformation and late gadolinium enhancement, help distinguish the two conditions and have prognostic value in AL amyloidosis [10, 1820].

Therapeutic approaches for SSc and AL amyloidosis

Current treatment for AL amyloidosis focuses on reducing the production of amyloidogenic immunoglobulin light chains by targeting plasma cell clones, aiming to decrease amyloid precursors and halt further deposition. This approach allows gradual tissue regression of amyloid deposits, improving organ function and survival. Therapeutic options include ASCT and, for ineligible patients, Dara-CyBorD regimen [21].
Treatment for SSc varies according to the organ affected. Recently, ACR/EULAR updated recommendations have been proposed [22]. Effective options include methotrexate, rituximab (RTX), MMF, and tocilizumab for skin involvement, and CYC, RTX, or MMF for ILD. Cardiac manifestations may be managed with corticosteroids and CYC in cases of myocarditis or life-threatening arrhythmias [18, 22, 23].
In the last two decades, B cells have been recognized as central to autoimmunity. Anti-CD20 therapy with RTX benefits many autoimmune diseases but often fails to eliminate long-lived plasma cells that continue producing pathogenic autoantibodies. Daratumumab, an anti-CD38 monoclonal antibody shows promise in refractory autoimmune diseases such as systemic lupus erythematosus, Sjögren’s syndrome, and ANCA-associated vasculitis. By directly depleting long-lived, autoantibody-secreting plasma cells, daratumumab may achieve deeper and more durable disease control than B cell–targeted therapies alone [2427].
Beyond its role in plasma cells, CD38 is overexpressed in patients with SSc, a disease marked by widespread fibrosis. CD38 promotes the breakdown of nicotinamide adenine dinucleotide (NAD+), leading to lower intracellular NAD + levels and reduced activity of sirtuins, which normally act to restrain fibrotic processes. Experimental studies show that inhibiting CD38, genetically or pharmacologically, or restoring NAD + levels through precursor supplementation, significantly reduces fibrosis in multiple organs by restoring sirtuin activity and dampening pro-fibrotic signalling. These findings highlight CD38 as an active mediator of fibrosis in SSc, suggesting it could represent a novel therapeutic target to counteract tissue fibrosis [2831].
Among established treatments for SSc and amyloidosis, CYC has long been used in neoplastic and autoimmune disorders for its cytotoxic and immunosuppressive effects and remains indicated in SSc with severe organ involvement.
Additionally, bortezomib has shown antifibrotic effects by blocking TGF-β1-mediated target gene expression, thereby promoting normal tissue repair and preventing skin and lung fibrosis after injury. This drug was tested in a phase II trial on patients with SSc. The results have not yet been published, but are available at https://clinicaltrials.gov/study/NCT02370693?tab=results, and suggest a potential benefit when used in combination with MMF compared to placebo [32].
While the importance of ASCT for the treatment of AL amyloidosis is well established, emerging evidence supports its use in patients with SSc presenting with early and diffuse cutaneous involvement, accompanied by organ involvement, which is associated with a 50% 5-year survival rate [22, 33, 34]. However, as abovementioned, this strategy was not suitable for our patient.
MMF was chosen as maintenance therapy to help control disease activity, given the good response of amyloidosis to Dara-CyBorD regimen and the lack of robust data on daratumumab use in SSc. It could be of interest to explore the potential of daratumumab in monotherapy for maintenance of SSc, besides this drug seems to be more suitable for induction of response and long term regimes appear to be limited by potential side effects including hypogammaglobulinemia [23].

Limitations

This case-based review describes the clinical response of a single patient with SSc and AL amyloidosis. As such, the single-case design limits the generalizability of our findings to broader patient populations. Furthermore, we lacked histological or immunophenotypic confirmation of plasma cell infiltration or CD38 expression in the affected tissues, which would have strengthened the link between treatment and response in SSc. Thus, while the clinical improvement observed is of interest, these results should be viewed as preliminary and interpreted with caution, as they do not establish a definitive therapeutic effect.

Conclusions

To the best of our knowledge, this report represents the first description of a case of SSc associated with systemic AL amyloidosis, highlighting the diagnostic complexity and the importance of targeted therapy.
Treatment for amyloidosis demonstrated improvement in SSc manifestations, suggesting potential shared therapeutic benefits.
A multidisciplinary approach was crucial for the diagnosis and management of these rare conditions. This case underscores the need for further research to understand the interactions between these diseases and optimize diagnostic and therapeutic strategies.

Acknowledgements

The authors did not use any professional editing agencies. Artificial intelligence (ChatGPT, OpenAI) was employed only to refine the English phrasing and readability of the text. The authors reviewed, verified, and approved all content.

Declarations

Conflict of interest

The authors have no relevant financial or non-financial interests to disclose. All authors contributed to the conception and design of the study. All authors take full responsibility for the integrity and accuracy of all aspects of the work. All authors read and approved the final manuscript.
Patient signed informed consent regarding publishing her data and photographs.

Congress abstract

No related congress abstract has been published.
Open Access This article is licensed under a Creative Commons Attribution 4.0 International License, which permits use, sharing, adaptation, distribution and reproduction in any medium or format, as long as you give appropriate credit to the original author(s) and the source, provide a link to the Creative Commons licence, and indicate if changes were made. The images or other third party material in this article are included in the article’s Creative Commons licence, unless indicated otherwise in a credit line to the material. If material is not included in the article’s Creative Commons licence and your intended use is not permitted by statutory regulation or exceeds the permitted use, you will need to obtain permission directly from the copyright holder. To view a copy of this licence, visit http://creativecommons.org/licenses/by/4.0/.

Publisher’s note

Springer Nature remains neutral with regard to jurisdictional claims in published maps and institutional affiliations.
download
DOWNLOAD
print
DRUCKEN
Titel
Simultaneous onset of systemic sclerosis and light chain amyloidosis: the first report of a case report and review of the literature
Verfasst von
Anna Colangelo
Francesco Tromby
Elisabetta Agliani
Lorenza Bruno
Giacomo Cafaro
Federico Crusco
Anna Mengoni
Cinzia Zuchi
Roberto Gerli
Elena Bartoloni
Carlo Perricone
Publikationsdatum
01.10.2025
Verlag
Springer Berlin Heidelberg
Erschienen in
Rheumatology International / Ausgabe 10/2025
Print ISSN: 0172-8172
Elektronische ISSN: 1437-160X
DOI
https://doi.org/10.1007/s00296-025-05982-5
1.
Zurück zum Zitat Truchetet ME, Brembilla NC, Chizzolini C (2023) Current concepts on the pathogenesis of systemic sclerosis. Clin Rev Allergy Immunol 64:262–283. https://doi.org/10.1007/s12016-021-08889-8CrossRefPubMed
2.
Zurück zum Zitat Asano Y (2020) The pathogenesis of systemic sclerosis: an understanding based on a common pathologic cascade across multiple organs and additional organ-specific pathologies. J Clin Med 9:1–27. https://doi.org/10.3390/jcm9092687CrossRef
3.
Zurück zum Zitat Al Hamed R, Bazarbachi AH, Bazarbachi A et al (2021) Comprehensive review of AL amyloidosis: some practical recommendations. Blood Cancer J. https://doi.org/10.1038/s41408-021-00486-4. 11:CrossRefPubMedPubMedCentral
4.
Zurück zum Zitat Lin X, Mao Y, Qi Q et al (2015) Primary systemic amyloidosis initially presenting with digestive symptoms: a case report and review of the literature. Diagn Pathol 10:4–7. https://doi.org/10.1186/s13000-015-0407-9CrossRefPubMedPubMedCentral
5.
Zurück zum Zitat Van Den Hoogen F, Khanna D, Fransen J et al (2013) 2013 classification criteria for systemic sclerosis: an American college of rheumatology/european league against rheumatism collaborative initiative. Ann Rheum Dis 72:1747–1755. https://doi.org/10.1136/annrheumdis-2013-204424CrossRefPubMed
6.
Zurück zum Zitat Gil KE, Truong V, Liu C et al (2024) Distinguishing hypertensive cardiomyopathy from cardiac amyloidosis in hypertensive patients with heart failure: a CMR study with histological confirmation. Int J Cardiovasc Imaging 2559–2570. https://doi.org/10.1007/s10554-024-03262-0
7.
Zurück zum Zitat Palladini G, Merlini G (2022) How I treat AL amyloidosis. Blood 139:2918–2930. https://doi.org/10.1182/blood.2020008737CrossRefPubMed
8.
Zurück zum Zitat Benlidayi IC, Gupta L (2024) CAse-BAsed review sTandards (CABARET): considerations for authors, reviewers, and editors. J Korean Med Sci 39:1–8. https://doi.org/10.3346/jkms.2024.39.e225CrossRef
9.
Zurück zum Zitat Volkmann ER, Andréasson K, Smith V (2022) Systemic sclerosis. Lancet. https://doi.org/10.1016/S0140-6736(22)01692-0
10.
Zurück zum Zitat Sugi MD, Kawashima A, Salomao MA et al (2021) Amyloidosis: multisystem spectrum of disease with pathologic correlation. Radiographics 41:1454–1474. https://doi.org/10.1148/rg.2021210006CrossRefPubMed
11.
Zurück zum Zitat Benson MD, Buxbaum JN, Eisenberg DS et al (2020) Amyloid nomenclature 2020: update and recommendations by the international society of amyloidosis (ISA) nomenclature committee. Amyloid 27:217–222. https://doi.org/10.1080/13506129.2020.1835263CrossRefPubMed
12.
Zurück zum Zitat Obata T, Takahashi H, Nosho K et al (1998) A case of systemic lupus erythematosus overlapping with progressive systemic sclerosis accompanied by deposition of AA amyloid in the stomach. Ryumachi Dec :810–817
13.
Zurück zum Zitat Bély M, Apáthy Ά (2017) Characteristics of al-l light-chain and amyloid a deposition in progressive systemic sclerosis—a comparative postmortem clinicopathologic study of 12 patients. Ann Rheum Dis 76:1283. https://doi.org/10.1136/annrheumdis-2017-eular.1222CrossRef
14.
Zurück zum Zitat Cho S, Bin, Park JS, Kim HO, Chung KY (2006) Scleroderma-like manifestation in a patient with primary systemic amyloidosis: response to high-dose intravenous Immunoglobulin and plasma exchange. Yonsei Med J 47:737–740. https://doi.org/10.3349/ymj.2006.47.5.737CrossRefPubMedPubMedCentral
15.
Zurück zum Zitat Ma H, Chen M, Li J et al (2015) Syndrome in question. Bras Dermatol 90:270–271. https://doi.org/10.1590/abd1806-4841.20153320CrossRef
16.
Zurück zum Zitat Romanowska-Próchnicka K, Dziewit M, Lesiak A et al (2024) Scleroderma and scleroderma-like syndromes. Front Immunol 15. https://doi.org/10.3389/fimmu.2024.1351675
17.
Zurück zum Zitat Joy GM, Arbiv OA, Wong CK et al (2023) Prevalence, imaging patterns and risk factors of interstitial lung disease in connective tissue disease: a systematic review and meta-analysis. Eur Respir Rev 32. https://doi.org/10.1183/16000617.0210-2022
18.
Zurück zum Zitat Giucă A, Gegenava T, Mihai CM et al (2022) Sclerodermic cardiomyopathy—a state-of-the-art review. Diagnostics 12:1–22CrossRef
19.
Zurück zum Zitat Li X, Li J, Lin L et al (2020) Left and right ventricular myocardial deformation and late gadolinium enhancement: incremental prognostic value in amyloid light-chain amyloidosis. Cardiovasc Diagn Ther 10:470–480. https://doi.org/10.21037/cdt-20-181CrossRefPubMedPubMedCentral
20.
Zurück zum Zitat Barison A, Aimo A, Todiere G et al (2022) Cardiovascular magnetic resonance for the diagnosis and management of heart failure with preserved ejection fraction. Heart Fail Rev 27:191–205. https://doi.org/10.1007/s10741-020-09998-wCrossRefPubMed
21.
Zurück zum Zitat Wechalekar AD, Cibeira MT, Gibbs SD et al (2023) Guidelines for non-transplant chemotherapy for treatment of systemic AL amyloidosis: EHA-ISA working group. Amyloid 30:3–17. https://doi.org/10.1080/13506129.2022.2093635CrossRefPubMed
22.
Zurück zum Zitat Del Galdo F, Lescoat A, Conaghan PG et al (2024) EULAR recommendations for the treatment of systemic sclerosis: 2023 update. Ann Rheum Dis 0:1–12. https://doi.org/10.1136/ard-2024-226430CrossRef
23.
Zurück zum Zitat Bissell L-A, Anderson M, Burgess M et al (2017) Consensus best practice pathway of the UK systemic sclerosis study group: management of cardiac disease in systemic sclerosis. Rheumatol 56:312–321. https://doi.org/10.1093/rheumatology/kew488CrossRef
24.
Zurück zum Zitat Holzer MT, Ruffer N, Huber TB et al (2023) Daratumumab for autoimmune diseases: a systematic review. RMD Open 9:1–8. https://doi.org/10.1136/rmdopen-2023-003604CrossRef
25.
Zurück zum Zitat Benfaremo D, Gabrielli A (2020) Is there a future for anti-cd38 antibody therapy in systemic autoimmune diseases? Cells 9. https://doi.org/10.3390/cells9010077
26.
Zurück zum Zitat Ye X, Zhao Y, Ma W et al (2023) The potential of CD38 protein as a target for autoimmune diseases. Autoimmun Rev 22:2022–2023. https://doi.org/10.1016/j.autrev.2023.103289CrossRef
27.
Zurück zum Zitat Szlasa W, Czarny J, Sauer N et al (2022) Targeting CD38 in neoplasms and Non-Cancer diseases. Cancers (Basel) 14. https://doi.org/10.3390/cancers14174169
28.
Zurück zum Zitat Hogan KA, Chini CCS, Chini EN (2019) The Multi-faceted Ecto-enzyme CD38: roles in immunomodulation, cancer, aging, and metabolic diseases. Front Immunol 10:1–12. https://doi.org/10.3389/fimmu.2019.01187CrossRef
29.
Zurück zum Zitat Shi B, Wang W, Korman B et al (2021) Targeting CD38-dependent NAD + metabolism to mitigate multiple organ fibrosis. iScience 24:101902. https://doi.org/10.1016/j.isci.2020.101902CrossRefPubMed
30.
Zurück zum Zitat Peclat TR, Shi B, Varga J, Chini EN (2020) The NADase enzyme CD38: an emerging pharmacological target for systemic sclerosis, systemic lupus erythematosus and rheumatoid arthritis. Curr Opin Rheumatol 32:488–496. https://doi.org/10.1097/BOR.0000000000000737CrossRefPubMedPubMedCentral
31.
Zurück zum Zitat Agarbati S, Benfaremo D, Viola N et al (2022) Increased expression of the ectoenzyme CD38 in peripheral blood plasmablasts and plasma cells of patients with systemic sclerosis. Front Immunol 13:1–10. https://doi.org/10.3389/fimmu.2022.1072462CrossRef
32.
Zurück zum Zitat Khanna D, Tashkin DP, Denton CP et al (2019) Ongoing clinical trials and treatment options for patients with systemic sclerosis-associated interstitial lung disease. Rheumatol (United Kingdom) 58:567–579. https://doi.org/10.1093/rheumatology/key151CrossRef
33.
Zurück zum Zitat Gertz MA (2020) Immunoglobulin light chain amyloidosis: 2020 update on diagnosis, prognosis, and treatment. Am J Hematol 95:848–860. https://doi.org/10.1002/ajh.25819CrossRefPubMed
34.
Zurück zum Zitat Pope JE, Denton CP, Johnson SR et al (2023) State-of-the-art evidence in the treatment of systemic sclerosis. Nat Rev Rheumatol 19:212–226. https://doi.org/10.1038/s41584-023-00909-5CrossRefPubMedPubMedCentral
35.
Zurück zum Zitat Atzori L, Ferreli C, Matucci-Cerinic C et al (2021) Primary localized cutaneous nodular amyloidosis and limited cutaneous systemic sclerosis: additional cases with dermatoscopic and histopathological correlation of amyloid deposition. Dermatopathology 8:229–235. https://doi.org/10.3390/dermatopathology8030028CrossRefPubMedPubMedCentral
36.
Zurück zum Zitat Marano AL, Selim MA, Cardones AR, Burton CS (2018) Nodular amyloidosis in a patient with systemic scleroderma. Dermatol Online J 24
37.
Zurück zum Zitat Chanoki M, Ishii M, Hamada T (1994) Progressive systemic scleroris associated with cutaneous amyloidosis. Int J Dermatol 33:648–649CrossRefPubMed
38.
Zurück zum Zitat Chiu YH, Chen PJ, Chang YM, Hou TY (2017) Gastrointestinal amyloidosis in a patient with systemic sclerosis. J Med Sci 37:117–119. https://doi.org/10.4103/jmedsci.jmedsci_64_16CrossRef
39.
Zurück zum Zitat Lowe WC (1969) Scleroderma and amyloidosis. Mil Med 134:1430–1433. https://doi.org/10.1093/milmed/134.12.1430CrossRefPubMed
40.
Zurück zum Zitat Horwitz HM, Dibeneditto JD, Allegra SR, Baumann HM (1982) Scleroderma, amyloidosis, and extensor tendon rupture. Arthritis Rheum 25:1141–1143. https://doi.org/10.1002/art.1780250919CrossRefPubMed
41.
Zurück zum Zitat Azòn-Masoliver A (1995) Widespread primary localized cutaneous amyloidosis (macular form) associated with systemic sclerosis. Br J Dermatol 132:163–165CrossRefPubMed
42.
Zurück zum Zitat Pamuk GE, Pamuk ON, Altiparmak MR et al (2001) Secondary amyloidosis in progressive systemic sclerosis. Clin Rheumatol 20:285–287. https://doi.org/10.1007/s100670170048CrossRefPubMed
43.
Zurück zum Zitat Shiman M, Ricotti C, Miteva M et al (2009) Primary localized cutaneous nodular amyloidosis associated with CREST (calcinosis, raynaud’s phenomenon, esophageal motility disorders, sclerodactyly, and telangiectasia) syndrome. Intern J Dermatology 49:229–230. https://doi.org/10.1111/j.1365-4632.2008.04058.xCrossRef
44.
Zurück zum Zitat Kikuchi N, Sakai E, Nishibu A et al (2010) Primary localized cutaneous amyloidosis in patients with scleroderma. Acta Derm Venereol 90:326–327. https://doi.org/10.2340/00015555-0855CrossRefPubMed

Kompaktes Leitlinien-Wissen Innere Medizin (Link öffnet in neuem Fenster)

Mit medbee Pocketcards schnell und sicher entscheiden.
Leitlinien-Wissen kostenlos und immer griffbereit auf ihrem Desktop, Handy oder Tablet.

Neu im Fachgebiet Innere Medizin

DOAK schützen auch vor Gerinnseln in den Beinen

Nicht nur Schlaganfälle, sondern auch systemische embolische Ereignisse (SEE) stellen für Menschen mit Vorhofflimmern eine Gefahr dar, wie eine Metaanalyse deutlich macht. Schutz bieten vor allem direkt wirksame orale Antikoagulanzien (DOAK).

Vorhofflimmern: Faktor-XI-Hemmer mit geringerem Blutungsrisiko auch im Alter

Das experimentelle Antikoagulans Abelacimab hat gegenüber Rivaroxaban den Vorteil eines geringeren Blutungsrisikos. Ältere Menschen könnten davon besonders profitieren.

So häufig wird der Krebs erst nach dem Tod erkannt

In einer Autopsiestudie aus Japan fand sich in einem substanziellen Anteil der Fälle eine zu Lebzeiten nicht diagnostizierte Krebserkrankung, häufig ein wenig aggressives Prostata- oder Schilddrüsenkarzinom. Einige wenige Tumoren hatten allerdings unbemerkt gestreut.

RSV birgt in der postakuten Phase erhebliche Risiken

Ob und wie stark können Infektionen mit dem Respiratorischen Synzytial-Virus kardiorespiratorische Probleme auch in der postakuten Phase verursachen? Eine Studie hat das untersucht.

Update Innere Medizin

Bestellen Sie unseren Fach-Newsletter und bleiben Sie gut informiert.

Bildnachweise
Die Leitlinien für Ärztinnen und Ärzte, Medizinisches Personal untersucht das Bein eines Erkankten/© Stratocaster / Stock.adobe.com (Symbolbild mit Fotomodellen), Adenokarzinom der Prostata/© Saiful52 / stock.adobe.com, Seniorin verschluckt sich beim Teetrinken/© South_agency / Getty Images / iStock (Symbolbild mit Fotomodell)