Zum Inhalt
Orthopädie und Unfallchirurgie Skelettsystemerkrankungen

Skelettsystemerkrankungen

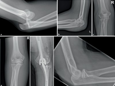
Schulter oder Ellenbogen verletzt: Röntgen oder doch besser gleich eine CT?

Bei Verletzungen am Schulter- oder Ellenbogengelenk liefert die Bildgebung entscheidende Hinweise zur Diagnose – aber nur, wenn Technik und Indikation stimmen. Dieser Beitrag zeigt, welches Verfahren wann sinnvoll ist und warum das konventionelle Röntgen keineswegs verzichtbar ist.

weiterlesen

Weiterführende Themen

CME: Prostatakarzinom-Therapie im fortgeschrittenen Alter

Bei einem 84-Jährigen wird beim Hausarzt ein erhöhter PSA-Wert gemessen. Der Urologe bestätigt in der Stanzbiopsie ein malignes Adenokarzinom der Prostata. Sollte der Patient eine antiandrogene Therapie erhalten? Was muss speziell bei betagten Patienten beachtet werden? Und ab wann ist ein palliativer Ansatz zu wählen?

weiterlesen

Kasuistiken

Ekzem an der Mamille ernst nehmen!

Eine 54-jährige Patientin wird mit einem seit drei Monaten bestehenden, nässenden Ekzem im Bereich der linken Mamille vorstellig. Sonografisch ergibt sich an beiden Mammae ein unauffälliger Befund. Doch die Veränderung ist Zeichen einer ernsteren Erkrankung.

Fokus aufs Frakturrisiko - nicht nur bei Frauen mit Typ-1-Diabetes

Ein bis dato gesunder Mittfünfziger erkrankt ohne familiäre Vorbelastung an Typ-1-Diabetes. Der Stoffwechsel ist gut eingestellt, der Verlauf über viele Jahre unauffällig bis - bei einer Knochendichtemessung ein auffälliger Wert ins Spiel kommt. Was ist hier von Bedeutung?

Patient mit chronisch progredienten Knochenschmerzen – Ihre Diagnose?

Berichtet wird der Fall eines 82-jährigen Mannes mit Knochenschmerzen, die im Laufe von fünf bis sechs Jahren kontinuierlich zunahmen. Es bestand eine Osteomalazie bei Hypophosphatämie. Die Ursache für diesen Befund fand sich aber erst in der erweiterten Diagnostik.

Weitere Artikel aus unseren Fachzeitschriften

Osteoporose und Inflammation

Die operative Behandlung von Patienten mit Osteoporose und entzündlichen Erkrankungen, wie rheumatoider Arthritis, stellt eine erhebliche Herausforderung dar. Die Wechselwirkungen zwischen Immunsystem und Knochenstoffwechsel erfordern innovative …

Strukturierte Versorgung von Patient:innen mit Osteoporose in Deutschland

Aktuell sind weltweit mehr als 200 Mio. Menschen von einer Osteoporose betroffen und perspektivisch wird es aufgrund des demographischen Wandels zukünftig noch mehr Betroffene geben. Somit kommt der Primär‑, Sekundär- und Tertiärprävention sowohl …

Osteoanabole Therapieoptionen

Teriparatid und Abaloparatid sind osteoanabole Wirkstoffe, die über die Aktivierung des PTH1-Rezeptors gezielt die Knochenneubildung fördern und eine signifikante Reduktion des Frakturrisikos, insbesondere vertebraler Frakturen, erzielen.

Therapie der Osteoporose bei systemischer Sklerose

Patienten mit SSc weisen überdurchschnittlich häufig eine Knochendichteminderung auf. In Metaanalysen fanden sich Prävalenzen von bis zu 29,3 % für eine Osteoporose und 50 % für eine Osteopenie [ 1 – 3 ]. Das berechnete Risiko für Osteoporose bei …

Die Rolle der Ernährung in der Osteoprotektion

Die Ernährung ist ein wichtiger Baustein bei der Osteoporoseprophylaxe. Besonders fermentierte Milchprodukte, kalziumreiche Mineralwässer und die mediterrane Ernährungsweise spielen hierbei eine große Rolle. Der folgende Artikel bietet einen …

Trabekuläre Knochendichtemessung in Hounsfield-Einheiten im proximalen Femur zur Osteoporoseabklärung und Frakturrisikobestimmung

Am häufigsten kommt es zu Frakturen der Hüfte bei älteren Patienten nach einem Bagatelltrauma. Meist ist ein erhöhtes Frakturrisiko aufgrund einer vorhandenen Osteoporose nicht bekannt und somit liegt auch keine antiosteoporotische medikamentöse …

Antiresorptive Therapie der Osteoporose

Osteoporose ist eine systemische Skeletterkrankung, die durch eine reduzierte Knochenmasse und eine gestörte Mikroarchitektur des Knochens gekennzeichnet ist. Dies führt zu einer erhöhten Fragilität und Frakturanfälligkeit. Antiresorptive …

Sakrumfrakturen

Das Os sacrum stellt eine häufig unterschätzte Schnittstelle zwischen Wirbelsäule und Becken dar. Frakturen in diesem Bereich gehen oft mit Instabilität und neurologischen Ausfällen einher und sind vor allem relevant bei Hochrasanztraumata sowie …

Operative Versorgungsstrategien bei interprothetischen Femurfrakturen

Durch den demografischen Wandel ist eine weitere Zunahme von endoprothetischen Versorgungen anzunehmen. Entsprechend ist, wie bereits in den letzten Jahren zu beobachten, mit einem weiteren Anstieg periprothetischer Frakturen zu rechnen. Die …

Interdisziplinäre Zusammenarbeit an der Schnittstelle zwischen Nephrologie und Rheumatologie

Die Schnittstellen zwischen Rheumatologie und Nephrologie sind vielfältig, da sich beide Spezialgebiete der Inneren Medizin mit komplexen Systemerkrankungen beschäftigen, die sich nicht auf ein Organ beschränken lassen. Der Nephrologe ist ein …

Buchkapitel zum Thema

Metabolische Erkrankungen

Metabolische Erkrankungen unterschiedlichster Genese wirken sich auf die Struktur der Wirbelsäule aus, indem sie entweder die Aktivität der Osteoblasten und Osteoklasten oder die Mineralisierung der Knochensubstanz verändern. Die beiden häufigsten …

Osteoporose und Calcium- und Phosphatregulation

CalciumsalzeCalciumsalze werden bei nutritiven oder malabsorptionsbedingten Calcium- und Vitamin-D-Mangelzuständen sowie substitutiv-adjuvant zur Unterstützung einer spezifischen Therapie der Osteoporose eingesetzt. Daneben werden Calciumsalze in …

Skelettsystemerkrankungen

Dieses Kapitel befasst sich mit den Skelettsystemerkrankungen, zu denen die angeborenen (Osteochondrodysplasien wie Anchondroplasie, metaphysäre Dysplasie, Pseudoachondroplasie etc.; Anomalien der Knochendichte/-struktur wie Osteogenesis …

Adnextumoren

Benigne Vergrößerung und Vermehrung von Talgdrüsen …

Nicht gefunden, wonach Sie suchten?

Probieren Sie es mit der Suchfunktion:

Passend zum Thema

ANZEIGE

Achondroplasie (ACH): Ganzheitliches Management ist gefragt

ACH hat viele Gesichter. Die Erkrankung geht nicht nur mit dysproportioniertem Kleinwuchs einher, sondern bringt eine Vielgestalt von Komplikationen sowie psychische und soziale Herausforderungen mit sich. Daher ist ein holistisches Therapie-Management gefragt. Hintergründe und Tipps lesen Sie hier.

Organisiert und finanziert von BioMarin. Nur für Ärztinnen und Ärzte.

Bildnachweise
Indikationen zur konventionellen Bildgebung am Ellenbogen/© Rentschler V et al. / all rights reserved Springer Medizin Verlag GmbH, Transrektale MRT/© Springer Medizin, Osteoporotisch bedingte Sinterungsfrakturen der Wirbelsäule/© L. Heuchemer, D. Emmert, T. Bender et al./Springer Medizin Verlag GmbH, Person isst eine Krankenhaus-Mahlzeit/© gballgiggs / Stock.adobe.com (Symbolbild mit Fotomodell), Springer Medizin Podcast - Stürze im Alter/© Gatz M et al / all rights reserved Springer Medizin Verlag, Mann erhält einen CT-Scan /© Mark Kostich / stock.adobe.com (Symbolbild mit Fotomodell), Person hält zwei Tabletten in der Hand/© AsiaVision / Getty Images / iStock (Symbolbild mit Fotomodell), Fallbeispiel Röntgenaufnahme des Thorax in zwei Ebenen/© Reinke L. et al. / all rights reserved Springer Medizin Verlag GmbH, Frau bei Knochenmineraldichte-Messung/© gelmold / stock.adobe.com (Symbolbild mit Fotomodell), Senior im Krankenhausbett mit gebrochenem Fuß/© Mat Hayward / Stock.adobe.com (Symbolbild mit Fotomodell), Abb - Röntgenaufnahme der linken Hüfte anterior-posterior/© K. M. Peters, Ekzem an der Brustwarze/© T. Jansen, Auch der Knochen leidet bei Diabetes - oft schon im mittleren Lebensalter/© Trueffelpix / stock.adobe.com, Ultraschalllängsschnitt der Fossa olecrani/© Springer Medizin Verlag GmbH, Search Icon, Kind streckt sich freudig, Mutter sitzt und lacht/© BioMarin