Zum Inhalt

Successful Endoscopic Resection of Multiple Colorectal Leiomyosarcomas: The First Case Report

  • 11.09.2024
  • Image of the Month
Erschienen in:

Auszug

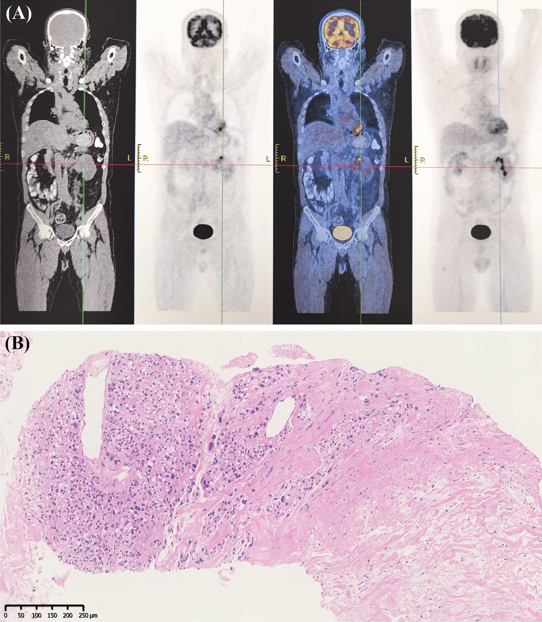
A 66-year-old man presented with a 6-month history of abdominal discomfort. Colonoscopy revealed multiple polypoid elevations (Yamada type I–III), ranging from 0.6 to 3.5 cm in size, located at various distances from the anal verge. Biopsy pathology and immunohistochemistry results suggested leiomyosarcoma (LMS). A subsequent PET-CT scan revealed the presence of left renal carcinoma (Fig. 1).
Fig. 1
PET-CT presence and pathology of renal carcinoma. A PET-CT showed a left renal carcinoma measured 7.1 cm × 5.6 cm × 5.9 cm with abnormal radionuclide concentration. B Ultrasound-guided biopsy showed heterogeneous cellular infiltration in the fibrous tissue, with partially hyaline cytoplasm, large deeply stained nuclei, and patchy necrosis, suggesting uroepithelial carcinoma or high-grade renal clear cell carcinoma
Bild vergrößern
Titel
Successful Endoscopic Resection of Multiple Colorectal Leiomyosarcomas: The First Case Report
Verfasst von
Wei Jiang
Rui Gong
Junxiong Wang
Kaiqi Yang
Lumei Wang
Rui Cheng
Bing Yue
Ye Zong
Yongjun Wang
Publikationsdatum
11.09.2024
Verlag
Springer US
Erschienen in
Digestive Diseases and Sciences / Ausgabe 10/2024
Print ISSN: 0163-2116
Elektronische ISSN: 1573-2568
DOI
https://doi.org/10.1007/s10620-024-08632-1
Dieser Inhalt ist nur sichtbar, wenn du eingeloggt bist und die entsprechende Berechtigung hast.

Kompaktes Leitlinien-Wissen Innere Medizin (Link öffnet in neuem Fenster)

Mit medbee Pocketcards schnell und sicher entscheiden.
Leitlinien-Wissen kostenlos und immer griffbereit auf ihrem Desktop, Handy oder Tablet.

Neu im Fachgebiet Innere Medizin

Erhöht Reflux auch das Risiko für Larynxtumoren?

Gastroösophagealer Reflux ist womöglich auch mit einem erhöhten Risiko für Kehlkopftumoren assoziiert. Dafür sprechen zumindest Teilergebnisse einer aktuellen Metaanalyse. Im Detail ist der Zusammenhang indes weniger klar.

Tirzepatid reduziert kardiovaskuläre Ereignisse bei Diabetes

Der duale GLP-1/GIP-Rezeptoragonist Tirzepatid empfiehlt sich mit Ergebnissen einer großen Studie als weitere Option zur Reduktion kardiovaskulärer Ereignisse bei Patienten mit Typ-2-Diabetes und manifester Gefäßerkrankung.

COVID-19-Impfung schützt offenbar vor infektionsgetriggerter Psoriasis

Schützt die Impfung gegen COVID-19 vor einer durch SARS-CoV-2 getriggerten Psoriasis? In einer Datenbankstudie unter Beteiligung des Uniklinikums Schleswig-Holstein gab es bei den Geimpften deutlich weniger Psoriasis-Fälle.

Pneumokokkenimpfung: STIKO empfiehlt 20-valenten Impfstoff für Kinder

Auch Kinder und Jugendliche mit Risikofaktoren sollen nun mit einem 20-valenten Pneumokokkenimpfstoff geimpft werden. Die Immunisierung mit einer 23-valenten Vakzine wird ihnen nicht mehr empfohlen. Wen es einschließt und worauf man achten muss. 

Update Innere Medizin

Bestellen Sie unseren Fach-Newsletter und bleiben Sie gut informiert.

Bildnachweise
Die Leitlinien für Ärztinnen und Ärzte, Arzt impft Patient/© FG Trade / Getty Images / iStock (Symbolbild mit Fotomodell), Mädchen bekommt eine Spritze in den Oberarm/© Photographee.eu / stock.adobe.com (Symbolbild mit Fotomodell)