Zum Inhalt

Technical note: A comparison between rehydrating solutions in the pretreatment of mummified and corified skin for forensic microscopic examination

  • Open Access
  • 11.05.2022
  • Method Paper
Erschienen in:

Abstract

Microscopic examination of mummified or corified skin may be of extreme importance for forensic purposes. However, standard histological samples in these cases are low-end, and preparation is burdened by several problems and so are diagnostic results: an improvement of these types of specimens is therefore advantageous. This study aims to identify the best performing rehydration solution among a fabric softener, a body lotion, and Sandison’s rehydrating solution. Samples of skin undergoing mummification or corification were collected from 25 corpses and each sample was divided into 4 fragments: one of these fragments was directly fixated in 4% formalin, one was previously treated with a tissue softener, another one was previously treated with a body lotion, and the last one was treated with Sandison’s solution. After 72 h, the pretreated samples were post-fixated in 4% formalin and then prepared for standard histological examination staining the histological slides with hematoxylin-eosin and Masson’s trichrome. At the microscopic examination, samples directly fixated in formalin were characterized by usual marked structural alterations and altered stainability, typical of such dry tissues. Vice versa, those previously treated appeared to be better-preserved even though with different improvement levels: body lotion made a medium–low-grade restoration of the tissues, and fabric softener a high-grade restoration, while Sandison’s rehydrating solution produced an optimal grade restoration. Sandison’s rehydrating solution was confirmed to be the best rehydrating substance for mummified and corified skin. Fabric softener could be, however, considered a valid substitute, being productive of high-grade microscopic yield.
Stefano Tambuzzi and Guendalina Gentile are co-first authors.

Publisher’s note

Springer Nature remains neutral with regard to jurisdictional claims in published maps and institutional affiliations.

Introduction

Under peculiar climatic and environmental conditions, cadaveric putrefaction stops [1] and “conservative” transformative processes [2] such as mummification and corification [3] take place. Responsible for these two phenomena are both the percentage of humidity of the place in which the body remains after death [4] and the intrinsic conditions of the corpse [5]. Complete mummification and corification usually require several months to realize, although such phenomena can affect, at much earlier times, focal areas of skin, especially the acromial extremities, with high interindividual variability [2]. It is very common that, after the exhumation or the discovery of a mummified or corified corpse, a judicial autopsy might be required, possibly followed by histopathological investigations [6]. However, in such cases, the histological examination assessed with standard preparation can be very difficult or impossible to be performed. Many negative effects can be experienced in all the phases of the histological preparation, due to the intrinsic hardness and dryness of the tissues, their altered stainability, and possible loss of material [7]. In these cases, it could be very difficult to distinguish the “real pathology” and the possible crucial forensic aspects of wounds from the “post-mortal artifacts” that often overlap each other [8]. Consequently, it becomes essential to have effective improving histological procedures, such as rehydration techniques. To date, forensic literature identifies Sandison’s rehydrating solution as the best choice for restoring highly degraded skin, such as mummified or corified tissues [9]. Isolated application of comfort fabric softener on Egyptian mummies has also been described in the 1980s [10].
The authors tested the efficacy of two innovative rehydrating solutions on mummified and corified corpses: a fabric softener and a body lotion, both commercially used. The effectiveness of these two substances has been evaluated on the basis of their microscopic performance, comparing them to each other, with the Sandison’s rehydration solution and with the direct fixation in formalin. The aim was to identify the most performing one or a valuable alternative, in order to obtain better histological preparations, facilitate forensic diagnoses, and provide forensic pathologists a guideline to follow when facing microscopic examination of these peculiar and insidious cadaveric tissues.

Materials and methods

Selection of the case series

We considered 25 corpses undergoing autopsy, in a state of mummification or corification process. Fourteen were male and 11 were female, with an age range from 19 to 90 years. Seventeen of the subjects died of natural causes, 1 of suicide, 1 of traffic accident, 1 of accidental event, and 5 of homicide. In most cases, the victims were found at home, with a few exceptions. Two cases (no. 1 and no. 18) were exhumed corpses, and one case (no. 7) was a traffic accident victim who had undergone an initial conservation process while in cold storage. Post-mortem intervals (PMI) refer to the time elapsed between the autopsy and the last time the victims were seen or heard alive. Cases were selected on the basis of macroscopic observation of mummified or corified skin areas: we considered mummified skin the one that appeared yellow-brownish colored, dry with a hard consistency, parchment-like, and similar to old-tanned leather; conversely, we considered corified the skin that appeared grayish colored, quite hard and elastic, becoming similar to recently tanned leather. Using a scalpel, a skin fragment sized 2.0 cm × 2.0 cm × 0.5 cm was sampled from each corpse during the autopsy. We need to point out that case no. 10 was a murder accomplished with a stabbing weapon, in which the corified area was sampled in close proximity to a wound margin. Also, in case no. 21, the skin sample was characterized not only by mummification but also by partial carbonization, since the victim’s body was burnt and found 5 months later. Table 1 shows the details of the enrolled cases.
Table 1
Presentation of general data from the 25 cases enrolled for the study
Case no.
PMI
Gender
Age
Preservation state of the analyzed skin fragment
Manner of death
Skin sampling site
1
9 months
F
87
Mummified
Homicide (poisoning)
Left periumbilical
2
4 months
M
89
Corified
Accident (CO intoxication)
Right anterior neck
3
10 days
M
89
Corified
Natural death
Periumbilical
4
14 days
M
90
Corified
Natural death
Right knee
5
5 days
F
48
Corified
Suicide (drug intoxication)
Left parasternal
6
3 days
F
49
Corified
Natural death
Right thigh
7
14 h
M
27
Corified
Traffic accident (motorbike against car)
Left knee
8
3 days
F
49
Corified
Natural death
Left anterior chest
9
3 days
F
77
Corified
Natural death
Left dorsal
10
6 days
F
19
Corified
Natural death
Right thigh
11
4 days
M
28
Corified
Natural death
Right knee
12
9 months
M
70
Mummified
Natural death
Right chest
13
2 months
F
80
Mummified
Natural death
Right knee
14
10 days
M
73
Corified
Natural death
Left hand
15
6 months
M
42
Mummified
Natural death
Right foot
16
2 months
M
83
Mummified
Natural death
Left foot
17
1 month
F
62
Mummified
Natural death
Right leg
18
3 years
M
78
Mummified
Homicide (poisoning)
Right back
19
21 days
F
39
Corified
Homicide (blunt force)
Left chest
20
3 months
M
81
Mummified
Natural death
Right abdomen
21
5 months
F
38
Mummified
Homicide (strangulation and charring)
Right abdomen
22
40 days
M
86
Corified
Natural death
3rd finger right hand
23
2 months
M
47
Mummified
Natural death
3rd finger left hand
24
4 months
F
39
Mummified
Natural death
Right hand
25
3 days
M
53
Corified
Natural death
Left back

Procedure for preparing cadaveric samples for rehydration

After collection, each fragment of mummified or corified skin was divided into four equal portions (1-2-3-4), each treated differently:
  • Portion 1 of the sample was directly fixated in 4% formalin produced by Bio Optica® (CAS No. 50-00-0);
  • Portion 2 of the sample was pretreated with the commercial fabric softener “Coccolino ammorbidente liquido® produced by Unilever (CAS N.68500400) composed of benzisothiazolinone (antibacterial and antifungal), alpha-iso methyl ionone, butylphenyl methylpropional, amyl cinnamal (aromas), ethanone1, triethanolamine dialkyl ester (cationic surfactants), triethanolamine methylsulfate (pH balancer), unsaturated fatty acids C10-20, and C16-18 (emollients);
  • Portion 3 of the sample was pretreated with the commercial body lotion “Nivea Nourishing Body Lotion® produced by Beiersdorf AG group (CODE 80212) consisting of aqua, paraffinum liquidum, isohexadecane, glycerin, isopropyl palmitate, PEG-40 Sorbitan Perisostearate, microcrystalline wax, polyglyceryl-3 diisostearate, Prunus amygdalus dulcis oil, tocopherol, magnesium sulfate, sodium citrate, citric acid, tocopheryl acetate, potassium sorbate, linalool, limonene, benzyl alcohol, geraniol, citronellol, alpha-isomethyl ionone, benzyl benzoate, parfum, almond oil, vitamin E;
  • Portion 4 of the sample was pretreated with Sandison’s rehydration solution consisting of 20 ml of 5% sodium carbonate Na2CO3, 30 ml of 96% ethanol, and 50 ml of 1% formalin.
Skin samples were placed in body lotion and fabric softener for 72 h, a period of time currently used for the standard pretreatment with Sandison’s solution. Subsequently, all samples were fixated in 4% formalin according to the scheme shown in Fig. 1.
Fig. 1
Laboratory procedure scheme performed on each skin sample
Bild vergrößern

Procedure for preparation of cadaveric specimens for standard histological examination

At the end of the 4% formalin fixation phase, all the 100 skin fragments (25 fixated directly in formalin, 25 pretreated with fabric softener, 25 pretreated with body lotion, and 25 pretreated with Sandison’s solution) were prepared for standard histological examination. The samples were dehydrated in increasing ethanol solutions, clarified in xylene substitute - Microscopy Neo-Clear® WVR (CAS No. 1330-20-7), and embedded in high melting point (56–58C°) paraffin - Paraplast WVR (CAS No. 64742-51-4). From each paraffin-embedded fragment, we cut out 2 twin sections of 5-μm-thick slides by means of a Reichert-Jung Pabisch model OME slide microtome and Microtome blade stainless steel N35H Feather ©; each slide was loaded on a Super Frost® glass slide holder and dried in a thermostatic chamber at a constant temperature of 37°C for 5 days. We then stained one section with hematoxylin-eosin (H&E) and the other one with Masson-Goldner’s trichrome (TM) technique. The 200 slides obtained were observed using a Leica DMR microscope and the most significant images were photographed with a Leica DC 300F digital camera.

Results

The application of different rehydrating solutions to mummified and corified cadaveric skin provided interesting macroscopic and microscopic results.

Macroscopic characteristics of skin fragments

Before the histological preparation procedure, mummified skin fragments had markedly hard consistency: mummified samples were parchment-like and brownish-yellow colored, with the sole exception of the partially charred one, which was black-brownish colored; the corified fragments, however, were characterized by a hard-elastic consistency and a grayish color.
The skin samples directly fixated in formalin, once extracted from the solution, appeared rigid, and retracted, with a very hard consistency but, at the same time, fragile, with an easy detachment of dry portions.
After pretreatment with body lotion, fabric softener, and Sandison’s rehydration solution, skin samples appeared smooth, stretched, silky, and with a soft consistency. These characteristics were particularly noticeable in the specimens pretreated with fabric softener and Sandison’s solution, which also made the specimens lighter in color by removing their brownish pigmentations. After the formalin fixation phase, we observed that only the skin samples pretreated with the body lotion had lost most of their previously acquired softness returning to hard consistency.

Microscopic characteristics of sections obtained by direct fixation in formalin 4%

All the samples stained with H&E showed structural alterations of the different tissue portions with marked alterations of the dyeing affinity (Fig. 2A) and marked deterioration effects with confirmation of the severe degree of desiccation. The cutaneous structure was no longer homogeneous and there were gross losses of substance, with wide areas of breakage and subversion of the structures that, in some areas, overlapped each other. The epithelium was diffusely de-epithelialized with the presence of fungal and bacterial colonies from putrefaction on the surface of the samples; the dermis showed marked degenerative post-mortal aspects and, in the subcutaneous adipose tissue, there was the occasional finding of residues of elastic and collagen arterial parietal fibers; in the vessels, the presence of eosinophilic granular material, ascribable to blood cells in a high degree of autolysis, could be observed. Twin sections, stained with TM, showed similar structural and stainability alterations, with the dermis and adipose tissue being reddish and granular in appearance, rather than green as usual (Fig. 2B). In case no. 10, referred to the homicide accomplished with a stabbing weapon and the subsequent corification of the victim, the sample analyzed and directly fixated in formalin allowed to observe both with H&E (Fig. 2C) and TM (Fig. 2D) the presence of vital hemorrhagic infiltrates, localized in the dermis and the adipose tissue.
Fig. 2
Microscopic view of preparations obtained after direct fixation in 4% formalin with marked structural alterations and altered stainability of the different tissue portions caused by severe and persistent drying. A Case no. 4 (H&E, 50×). B Case no. 6 (TM, 50×). C, D Case no. 10 (H&E, 100×, and TM, 100×, respectively) with evidence of vital hemorrhagic infiltrates
Bild vergrößern

Microscopic characteristics of sections obtained after preliminary treatment with the body lotion

All the samples showed a slight reduction in the destructive effects of the severe dehydration that were also observed in the samples directly fixated in formalin. In fact, most samples stained with H&E showed partial fragmentation (Fig. 3A), completely de-epithelialized portions, and rare areas of preservation of the epithelium layer. The keratin layer was frequently detached from the cellular epithelium layer, and numerous fungal and bacterial colonies were observed. Hair follicles with sebaceous glands were partially preserved both in their cellular and nuclear components. Some dermal vessels were dilated and filled with clotted blood; the skin elastic component appeared poorly preserved and, only in some cases, recognizable, thanks to the intense basophilic staining with H&E. In the specific case of mummified and partially charred skin (case no. 21), the staining with H&E showed the low efficacy of the body lotion in restoring the histological architecture (Fig. 3B, C). Sections were characterized by large areas of carbonization, protein coagulation, and marked loss of different skin portions; stainability was intensely basophilic, with a black-brownish coloration. Even the TM-stained twin sections showed a slight histological improvement (Fig. 3D) and a partial restoration of the stain affinity since only small areas of red (abnormal) rather than green (normal) coloration were still present (Fig. 3E). In case no. 10, the sample analyzed and pretreated with body lotion did not allow to evaluate evident hemorrhagic infiltrates, but only areas suggestive of possible hemorrhagic micro-extravasation localized in the subcutaneous adipose tissue (Fig. 3F).
Fig. 3
Microscopic view of preparations obtained after pretreatment with body lotion and then fixated in 4% formalin with the evidence of poor tissue restoration, permanence of some drying effects, and small connective areas still inverted and red stained. However, all histological structures are recognizable. A, D Case no. 17 (H&E, 50× and TM, 50× respectively). E Case no. 8 (TM, 50×). B, C Case no. 21 (H&E, 100× and 200×, respectively) with low restoration of the histomorphology, due to charring and corification. F Case no. 10 (TM, 400×), with suggestive areas of possible hemorrhagic micro-extravasation
Bild vergrößern

Microscopic characteristics of the slides obtained after preliminary treatment with fabric softener

All the samples showed better preservation of different skin portions and a significant reduction of the destructive features observed in the samples directly fixated in formalin. The skin fragment stained with H&E appeared only focally de-epithelialized, with scanty remnants of basal epithelial cells colonized by filiform fungal colonies and some spores (Fig. 4A). Occasional recognition of corneous material, hair follicles, and residues of small vascular and nervous branches in the subcutaneous adipose tissue was observed. In the specific case of mummified and partially charred skin (case no. 21), the staining with H&E demonstrated that the pretreatment with the fabric softener preserved large areas of charring of both epithelium and dermis, with an only partial detachment of dermal connective tissue and muscle fibers, protein coagulation, and altered black-brownish coloration (Fig. 4B); in the small and rare striated muscle flaps still persisting, multiple contraction bands and less impaired stainability were observed (Fig. 4C). Overall, therefore, pretreatment was also able to preserve the distinctive features of heat injuries. Twin sections stained with TM showed similar histological features and considerable restoration of the stain affinity since only minimal areas of red (abnormal) rather than green (normal) tissue coloration were still present (Fig. 4D). In case no.10, the sample analyzed and pretreated with fabric softener showed vital hemorrhagic foci, with clearly recognizable red blood cells in the subcutaneous adipose tissue, dissociating the structures in which they were extravasated (Fig. 4E, F).
Fig. 4
Microscopic view of slides obtained after pretreatment with the fabric softener and then fixated in 4% formalin with the evidence of a considerable reduction of destructive effects, better preservation of different tissue portions, and restoration of tissue stainability with the persistence of minimal inverted color areas. A Case no. 24 (H&E, 400×). D Case no.15 (TM, 100×). B, C Case no. 21 (H&E, 50× and 100×, respectively), in which an improvement of the histoarchitecture is observable with the evidence of heat injury signs both on skin and muscle. E, F Case no. 10 (TM, 50× and 100×, respectively) showing clear vital hemorrhagic infiltrates
Bild vergrößern

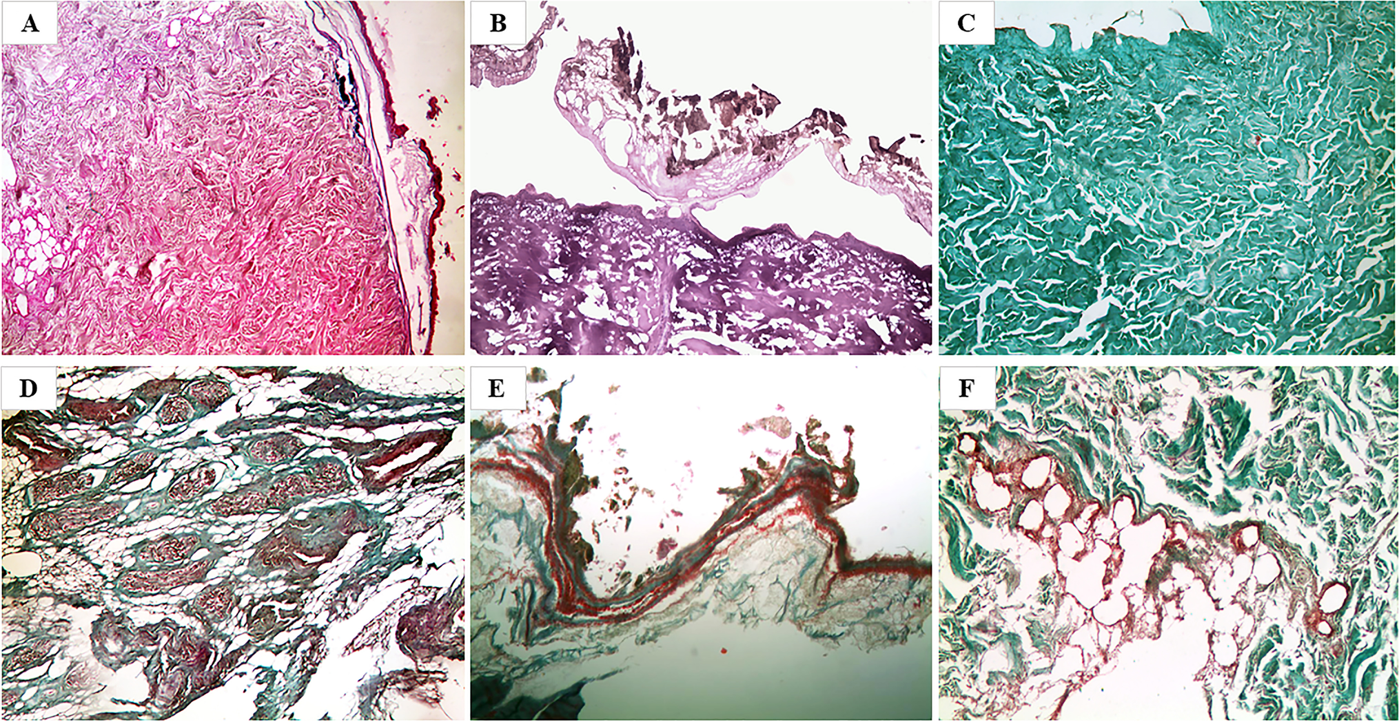
Microscopic characteristics of sections obtained after preliminary treatment with Sandison’s rehydrating solution

All the samples showed a significant reduction of the stainability alterations compared to those observed both in the samples directly placed in formalin and placed in the other tested rehydrating substances. In fact, the skin fragments stained with H&E showed optimal histomorphological preservation, being documented by a better tissue homogeneity, compactness, and recognizability of histological structures. A better-preserved morphology of the whole tissue was generally observed, particularly regarding connective tissue and vessels; both elastic fibers and collagen were clearly detected (Fig. 5A). In the specific case of mummified and partially charred skin (case no. 21), H&E staining demonstrated that pretreatment with Sandison’s solution resulted in a marked general improvement in tissue morphology, with epithelium partly preserved and well recognizable (Fig. 5B). Overall, therefore, pretreatment preserved even the peculiar features of heat injuries. Twin sections stained with TM showed complete recognizability of the different skin layers and total restoration of the stainability of the connective tissue, which resulted in entirely green colored instead of red (Fig. 5C, D). In case no. 10, the sample analyzed and pretreated with Sandison’s solution presented an optimal histomorphology restoration (Fig. 5E), yet it was not possible to evaluate with certainty the presence of vital hemorrhagic infiltrates (Fig. 5F).
Fig. 5
Microscopic view of preparations obtained after pretreatment with the Sandison and then fixated in formalin 4% with the evidence of a clear improvement and considerable reduction of structure alterations and artifacts with the complete restoration of the connective tissue stainability. A Case no. 3 (H&E, 50×). C Case no. 13 (TM, 50×). D Case no. 19 (TM, 50×). B Case no. 21 (H&E, 50×) with the evidence of ameliorative effect although with the evidence of heat injury signs. E, F case no. 10 (both TM, 50×) with the evidence of vital hemorrhagic infiltrates
Bild vergrößern
The main histological findings are reported in Table 2.
Table 2
Schematic representation of the main macroscopic and microscopic findings
Findings
Skin appearance
Direct fixation in formalin 4%
Preliminary treatment
Fixation in formalin 4% after the preliminary treatment
Body lotion
Fabric softener
Sandison’s solution
Macroscopic
Mummified
Hard consistency, parchment-like, and brownish-yellow colored
Rigid, retracted, with a very hard consistency, but also fragile and with an easy detachment of dry portions
Smooth, stretched, silky, and with a soft consistency (+)
Smooth, stretched, silky, and with a soft consistency (++)
Smooth, stretched, silky, and with a soft consistency (+++), and removal of the brownish pigmentations
Stiffening and hardening of skin pretreated with body lotion; no changes in skin with the other pretreatments
Corified
Hard-elastic consistency and grayish colored
Microscopic
Mummified
Marked deterioration effects and altered stain affinity due to the severe desiccation (+++)
Slight reduction of the destructive effects (++) and partial restoration of stain affinity
Important reduction of the destructive effects (+) and almost total restoration of stain affinity
Total reduction of the destructive effects and restoration of stain affinity
 
Corified
To allow an easier comparison between the histological findings induced by the three different pretreatments, we have reported some significant images in a single table: every column represents a subgroup of pretreatment, every line a specific skin layer (Fig. 6).
Fig. 6
Comparative picture of the histological findings per specific skin layer that were documented after the three different pretreatments
Bild vergrößern

Discussion

Autopsy performed on mummified and corified corpses is characterized by considerable risk of misinterpretations [11], histological artifacts [12], and failure in determining both cause [13] and mode of death [8]. Indeed, since these tissues are both tough and fragile [14], as well as affected by severe structural alterations, many negative effects can be experienced in all the phases of the histological preparation [15]. First of all, the amount of biological matrices to be used in case of repetition of the examination due to sampling or diagnostic errors is very low [16]. There is also the real risk of the unfeasibility of identifying tissue structures and pathological conditions [8]. Despite these problems, literature [6] recognizes the great value and usefulness of the autopsy on mummified and corified bodies [7], as a gold standard to provide crucial information about injuries suffered by the victim or diseases that occurred intra vitam, even after many years [1719].
Forensic histological studies focusing on human bodies in an advanced state of decomposition are few [4, 9, 2024]. There are neither detailed protocols suitable for mummified or corified bodies nor consensus on the exact mechanisms involved in rehydration techniques [24]. These special post-mortem phenomena have been studied outside forensic practice only concerning a few aspects: rehydration with Sandison’s rehydrating solution to improve histoarchitecture [9], thermal stabilization to avoid its loss during preparation [25], prolongation of histological processing time for structural preservation [26], and successful detection of nuclear chromatin and DNA profiles in highly degraded cadavers without necessarily using bone tissue [27].
In mummified and corified cadavers, tissue-rehydrating techniques are essential to optimize the microscopic examination [28], allowing also to improve tissue staining affinity. In detail, they are able to remove the so-called paradox effect, i.e. the tendency of markedly dehydrated connective tissue to turn red (abnormal staining) instead of green [29, 30].
For these reasons, in the forensic field, there is a continuous quest for improving techniques to obtain high-quality microscopical preparations to facilitate and optimize diagnostics. Therefore, we tested the efficacy on mummified and corified human skin of two innovative commercial substances, i.e., a body lotion and a fabric softener. Their effectiveness was compared with direct fixation in formalin and with Sandison’s rehydration solution, which is currently considered in the literature as the best choice [9]. Our aim was to evaluate which rehydration solution performed best and whether there was a valid alternative to Sandison.
From a macroscopic point of view, we observed that after 3 days of pretreatment with body lotion, fabric softener, and Sandison’s rehydrating solution, the skin samples appeared to be softer than they were at the time of collection. Nevertheless, after standard fixation in 4% formalin, this characteristic was almost completely lost only in the case of pretreatment with the body lotion, resulting in not being very different from those directly fixed in formalin.
Microscopically, the samples preliminarily treated with the three different rehydrating solutions showed an improvement of the tissue structure and stainability compared to those directly fixated in formalin.
The body lotion, containing in it formulation of polyethylene glycol (PEG), acted as an emollient operating an initial softening and hydration of the skin tissue; moreover, thanks to the presence of silicone oils, it fluidized and made the skin smooth and silky, stretching it. However, these effects were unable to prevent the stiffening and coarctation produced by the subsequent fixation in 4% formalin. Therefore, histo-architectural restoration was only partial for both mummified (including partially charred) and corified skin.
The fabric softener, containing biodegradable cationic surfactants, was most likely able to penetrate deep into tissues, creating electrostatic charges able to distance the fibers from each other. This effect has prevented them from agglomerating, overlapping, and fragmenting, making the skin persistently softer and moisturized, and determining a wide restoration of normal staining. On the whole, there has been a high-grade restoration of the histological morphology for both mummified (including partially charred) and corified skin. Moreover, due to an antibacterial-antifungal agent among its constituents, this solution also prevented the microbial colonization of the skin.
Sandison’s rehydrating solution, containing an emulsifying agent (sodium carbonate, Na2CO3), was able to reduce the superficial tension of the water and to permeate homogeneously the cadaveric material. In addition, the solvent (96% ethanol) rehydrated and eliminated the effects of mummification/corification processes, giving stability to the tissues and preventing them from collapse. At last, the presence of the fixative formalin 1% had a bactericidal action that made the substrate not suitable for bacterial colonization and proliferation. Through this triple action, Sandison’s solution spread quickly and uniformly in the dry and friable skin, removing the dark-brownish pigmentation, giving the tissue persistent softness and transparency. Sandison’s rehydration solution was, therefore, the best solution compared to the other two tested substances.
Comparing the grade of morphological and staining restoration of the three tested substances, it emerges how the body lotion has operated a medium–low-grade restoration, and the fabric softener a high-grade restoration, while Sandison’s rehydration solution an optimal-grade restoration. We can clearly state that Sandison’s rehydration solution is the best rehydrating substance for mummified and corified skin, whereas the fabric softener could be considered a valid alternative.
In the particular case of no. 10, concerning a stabbing homicide with subsequent charring and mummification of the victim, in which the skin sampling was performed close to the edge of the wound, we observed a potentially significant fact that should not be underestimated. Indeed, surprisingly, the microscopic presence of vital hemorrhagic evidence was detectable only in the samples directly fixated in formalin and pretreated with the fabric softener. On the contrary, in the specimens pretreated with body lotion, there were areas suggestive of possible hemorrhagic micro-extravasation, while in the one pretreated with Sandison’s rehydrating solution, the presence of any element referable to blood extravasation could not be detected. It is therefore conceivable that different rehydrating substances may have a different impact on preserving the hemorrhagic infiltrate in the skin. In particular, as far as Sandison’s solution, the presence of Na2CO3 can cause the osmotic lysis of red blood cells [31, 32]; if confirmed, this could undoubtedly be a limitation for the application of Sandison’s solution, since it could deprive the forensic pathologist of crucial information, especially about the vitality of mummified or corified skin lesions or associated with underlying bone fractures. Therefore, further studies on the interaction between rehydrating substances and hemorrhagic infiltrate are necessary.
Meanwhile, this study has confirmed that Sandison’s rehydrating solution is the best performing rehydrating solution but fabric softener is unexpectedly able to provide a high-quality microscopic yield. This has been documented on both mummified (including partially charred) and corified tissues, proving to be extremely conservative also regarding hemorrhagic infiltrates. Therefore, in the absence of Sandison’s rehydrating solution, pretreatment with fabric softener could undoubtedly represent an excellent alternative.

Declarations

Ethics approval

This article does not contain any studies with living human participants performed by any of the authors. All the studies conducted followed the guidelines provided by Legislation and the National Bioethical Committee and guidelines by Helsinki Declaration. Moreover, the subjects involved in this study underwent a judicial autopsy at the Institute of Legal Medicine of Milan in order to identify the cause of death. Data collecting, sampling, and subsequent forensic analysis were authorized by the public prosecutor.
The authors declared that all the investigations were carried out accordingly to the Italian Law.
All the authors agree for publication.

Competing interests

The authors declare no competing interests.
Open AccessThis article is licensed under a Creative Commons Attribution 4.0 International License, which permits use, sharing, adaptation, distribution and reproduction in any medium or format, as long as you give appropriate credit to the original author(s) and the source, provide a link to the Creative Commons licence, and indicate if changes were made. The images or other third party material in this article are included in the article's Creative Commons licence, unless indicated otherwise in a credit line to the material. If material is not included in the article's Creative Commons licence and your intended use is not permitted by statutory regulation or exceeds the permitted use, you will need to obtain permission directly from the copyright holder. To view a copy of this licence, visit http://creativecommons.org/licenses/by/4.0/.

Publisher’s note

Springer Nature remains neutral with regard to jurisdictional claims in published maps and institutional affiliations.
download
DOWNLOAD
print
DRUCKEN
Titel
Technical note: A comparison between rehydrating solutions in the pretreatment of mummified and corified skin for forensic microscopic examination
Verfasst von
Stefano Tambuzzi
Guendalina Gentile
Gianluigi Bilardo
Michele Boracchi
Paolo Bailo
Teresa Casalino
Salvatore Andreola
Riccardo Zoja
Publikationsdatum
11.05.2022
Verlag
Springer Berlin Heidelberg
Erschienen in
International Journal of Legal Medicine / Ausgabe 4/2022
Print ISSN: 0937-9827
Elektronische ISSN: 1437-1596
DOI
https://doi.org/10.1007/s00414-022-02833-x
1.
Zurück zum Zitat Campobasso CP, Falamingo R, Grattagliano I, Vinci F (2009) The mummified corpse in a domestic setting. Am J Forensic Med Pathol 30:307–310. https://doi.org/10.1097/PAF.0b013e318187df4bCrossRefPubMed
2.
Zurück zum Zitat Mazzarelli D, Tambuzzi S, Maderna E, Caccia G, Poppa P, Merelli V et al (2021) Look before washing and cleaning: a caveat to pathologists and anthropologists. J Forensic Legal Med 79:102137. https://doi.org/10.1016/j.jflm.2021.102137CrossRef
3.
Zurück zum Zitat Panzer S, Zink AR, Piombino-Mascali D (2010) Scenes from the past: radiologic evidence of anthropogenic mummification in the Capuchin Catacombs of Palermo. Sicily Radiogr 30:1123–1132. https://doi.org/10.1148/rg.304095174CrossRef
4.
Zurück zum Zitat Fornes P, Tovaglia P, Cecchi R (2007) Il contributo dell’istopatologia nello studio del cadavere putrefatto. Roma: Zacchia. Archivio di Medicina Legale, sociale e criminologica 80:531–541
5.
Zurück zum Zitat Cazzaniga A, Cattabeni CM, Luvoni R, Zoja R (2018) La morte e i fenomeni cadaverici. In: Cazzaniga A, Cattabeni CM, Luvoni R, Zoja R (eds) Compendio di Medicina Legale e delle Assicurazioni. UTET Giuridica, Torino, pp 309–333
6.
Zurück zum Zitat Saukko P, Knight B (2004) Knight’s forensic pathology. Arnold Press, New York, pp 39–40CrossRef
7.
Zurück zum Zitat Jannsen W (1984) Forensic Histopathology. Springer-Verlag, Hamburg, pp 17–22CrossRef
8.
Zurück zum Zitat Maujean G, Vacher P, Bagur J, Guinet T, Malicier D (2016) Forensic autopsy of human decomposed bodies as a valuable tool for prevention: a French regional study. Am J Forensic Med Pathol 37:270–274. https://doi.org/10.1097/PAF.0000000000000266CrossRefPubMed
9.
Zurück zum Zitat Collini F, Andreola SA, Gentile G, Marchesi M, Muccino E, Zoja R (2014) Preservation of histological structure of cells in human skin presenting mummification and corification processes by Sandison’s rehydrating solution. Forensic Sci Int 244:207–212. https://doi.org/10.1016/j.forsciint.2014.08.025CrossRefPubMed
10.
Zurück zum Zitat Turner PJ, Holtom DB (1981) The use of a fabric softener in the reconstitution of mummified tissue prior to paraffin wax sectioning for light microscopical examination. Stain Technol 56:35–38. https://doi.org/10.3109/10520298109067272CrossRefPubMed
11.
Zurück zum Zitat Sauvageau A, Racette S (2008) Postmortem changes mistaken for traumatic lesions: a highly prevalent reason for coroner’s autopsy request. Am J Forensic Med Pathol 29:145–147. https://doi.org/10.1097/PAF.0b013e318174f0d0CrossRefPubMed
12.
Zurück zum Zitat Lynnerup N (2007) Mummies. Am J Phys Anthropol 45:162–190. https://doi.org/10.1002/ajpa.20728CrossRefPubMed
13.
Zurück zum Zitat Mirza FH, Makhdoom PA (1998) Importance of correct interpretation of postmortem artifacts in medicolegal autopsies. J Pak Med Assoc 48:49–50PubMed
14.
Zurück zum Zitat Mekota AM, Vermehren M (2005) Determination of optimal rehydration, fixation and staining methods for histological and immunohistochemical analysis of mummified soft tissues. Biotech Histochem 80:7–13. https://doi.org/10.1080/10520290500051146CrossRefPubMed
15.
Zurück zum Zitat Jannsen W (1984) Forensic histopathology. Springer-Verlag, Hamburg, pp 24–26CrossRef
16.
Zurück zum Zitat Tsokos M (2005) Post mortem changes-overview. In: Payne-James J, Byard RW, Corey T et al (eds) Encyclopedia of forensic and legal medicine. Elsevier/Academic Press, Amsterdam, pp 456–476CrossRef
17.
Zurück zum Zitat Breitmeier D, Graefe-Kirci U, Albrecht K, Weber M, Tröger HD, Kleemann WJ (2005) Evaluation of the correlation between time corpses spent in in-ground graves and findings at exhumation. Forensic Sci Int 154:218–223. https://doi.org/10.1016/j.forsciint.2004.11.018CrossRefPubMed
18.
Zurück zum Zitat Verbov J (1936) The skin of Egyptian mummies. In: David AR (ed) Science in Egyptology. University Press, Manchester, pp 357–360
19.
Zurück zum Zitat Lowenstein EJ (2004) Paleodermatoses: lessons learned from mummies. J Am Acad Dermatol 50:919–936. https://doi.org/10.1016/s0190-9622(03)00914-9CrossRefPubMed
20.
Zurück zum Zitat Hönigschnabl S, Schaden E, Stichenwirth M, Schneider B, Klupp N, Kremeier E et al (2002) Discovery of decomposed and mummified corpses in the domestic setting--a marker of social isolation? J Forensic Sci 47:837–842CrossRef
21.
Zurück zum Zitat Byard RW, Farrell E, Simpson E (2008) Diagnostic yield and characteristic features in a series of decomposed bodies subject to coronial autopsy. Forensic Sci Med Pathol 4:9–14. https://doi.org/10.1007/s12024-007-0025-2CrossRefPubMed
22.
Zurück zum Zitat Job C (2009) Determination of cause of death in decomposed bodies-a regional study. J Indian Acad Forensic Med 31:11–17
23.
Zurück zum Zitat Ambade VN, Keoliya AN, Deokar RB, Dixit PG (2011) Decomposed bodies--still an unrewarding autopsy? J Forensic Legal Med 18:101–106. https://doi.org/10.1016/j.jflm.2011.01.009CrossRef
24.
Zurück zum Zitat Marais AAS, van den Dool AH (2021) Rehydration and restoration of fingerprint ridge detail in mummified post-mortem tissue: literature review and investigation of a simplified formulation. J Forensic Sci 66:2252–2260. https://doi.org/10.1111/1556-4029.14795CrossRefPubMed
25.
Zurück zum Zitat Gentile G, Andreola S, Bilardo G, Boracchi M, Tambuzzi S, Zoja R (2020) Technical note-Stabilization of cadaveric corified and mummified skin thanks to prolonged temperature. Int J Legal Med 134:1797–1801. https://doi.org/10.1007/s00414-020-02258-4CrossRefPubMed
26.
Zurück zum Zitat Boracchi M, Andreola S, Gentile G, Maghin F, Marchesi M, Muccino M et al (2016) Technical note: Improvement of cadaveric skin samples (with severe morphological alteration connected to putrefaction or injury) by an extended histological processing. Forensic Sci Int 261:101–105. https://doi.org/10.1016/j.forsciint.2016.02.015CrossRefPubMed
27.
Zurück zum Zitat Bailo P, Andreola S, Collini F, Gentile G, Maciocco F, Piccinini A et al (2021) Histomorphological aspects of cadaveric skin and its possible use in forensic genetics. Med Sci Law 61:46–53. https://doi.org/10.1177/0025802420934662CrossRefPubMed
28.
Zurück zum Zitat Grupe G, Schmid EM, Soika J (1997) Identification of medieval human soft tissue remains in an advanced state of decomposition. Biotech Histochem 72:135–140. https://doi.org/10.3109/10520299709082226CrossRefPubMed
29.
Zurück zum Zitat Gentile G, Tambuzzi S, Boracchi M, Andreola S, Zoja R (2021) Paradoxal dyeing affinity’s inversion of the connective tissue at Goldner’s Masson trichrome staining as a peculiar characteristic of compressed and exsiccated cadaveric skin. Leg Med (Tokyo) 52:101905. https://doi.org/10.1016/j.legalmed.2021.101905CrossRef
30.
Zurück zum Zitat Gentile G, Battistini A, Andreola S, Boracchi M, Marchesi M, Tambuzzi S et al (2020) Technical note: Preparation improvement of charred cadaveric viscera using Sandison’s rehydrating solution for histological analysis. Forensic Sci Int 306:110066. https://doi.org/10.1016/j.forsciint.2019.110066CrossRefPubMed
31.
Zurück zum Zitat Zierdt CH, Kagan RL, MacLowry JD (1977) Development of a lysis-filtration blood culture technique. J Clin Microbiol 5:46–50. https://doi.org/10.1128/jcm.5.1.46-50.1977CrossRefPubMedPubMedCentral
32.
Zurück zum Zitat Feher J (2017) Osmosis and osmotic pressure. In: Feher J (ed) Quantitative human physiology: an introduction. Elsevier, Amsterdam, pp 182–198CrossRef

Neu im Fachgebiet Rechtsmedizin

Lymphome des Thymus und Mediastinums

Lymphozytenreiche Läsionen machen den Großteil der relevanten Differentialdiagnosen im vorderen Mediastinum aus und umfassen nichtneoplastische und neoplastische Entitäten. Lymphome stellen darunter mit ca. 10–15 % der Fälle eher einen kleinen …

Kombinationslymphome, Grauzonenlymphome und künftige Herausforderungen

Lymphome werden grundlegend in Hodgkin-Lymphome und B‑ und T‑Zell-Lymphome eingeteilt. Ihre Diagnostik beruht auf morphologischen, immunhistochemischen und zunehmend molekularen Methoden. Das klassische Hodgkin-Lymphom ist durch …

KI in der Diagnostik – aus Sicht der Pathologie

Die zunehmende Komplexität und Individualisierung onkologischer Diagnostik und Therapie stellt die Pathologie vor neue Herausforderungen. Gleichzeitig entwickelt sich die Künstliche Intelligenz (KI) von einer Zukunftstechnologie zu einem zentralen …

Räumlich-epidemiologische Datenanalyse von Pathologiedaten (REDPath)

In der pathologischen Routinediagnostik entstehen täglich große, gut dokumentierte Datensätze, deren Potential für räumlich-epidemiologische Analysen bislang kaum genutzt wird. Durch die Annotation dieser Daten eröffnen sich neue Möglichkeiten: …