Zum Inhalt
Vorhofflimmern Therapie des Vorhofflimmerns

Therapie des Vorhofflimmerns

Thoraxschmerz, Schweißausbruch und Schwindel – was sehen Sie im EKG?

  • EKG
  • Kasuistik

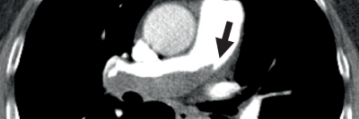
Ein 66-jähriger Beamter mit langjähriger Hypertonie klagte wiederholt über links thorakale Schmerzen ohne anderweitige Symptome. Kardiologische Untersuchungen verliefen bisher ergebnislos. Beim Arbeiten im Garten kam es nun plötzlich zu Herzstolpern, Herzrasen, Schweißausbruch und Schwindel. Wie lautet Ihre Diagnose?

weiterlesen

Weiterführende Themen

Frühe Antikoagulation sicher und wirksam?

Bei einem ischämischen Schlaganfall und Vorhofflimmern besteht ein hohes Risiko für Rezidive. Eine frühzeitige Behandlung mit einem direkten oralen Antikoagulans könnte dieses Risiko senken, eine spätere soll das Blutungsrisiko mindern. Die ELAN-Studie adressierte diese zentrale Unsicherheit erstmals in einem großen, randomisierten Setting. 

weiterlesen

Kasuistiken

Thoraxschmerz, Schweißausbruch und Schwindel – was sehen Sie im EKG?

  • EKG
  • Kasuistik

Ein 66-jähriger Beamter mit langjähriger Hypertonie klagte wiederholt über links thorakale Schmerzen ohne anderweitige Symptome. Kardiologische Untersuchungen verliefen bisher ergebnislos. Beim Arbeiten im Garten kam es nun plötzlich zu Herzstolpern, Herzrasen, Schweißausbruch und Schwindel. Wie lautet Ihre Diagnose?

„Unaufhörliches“ Herzrasen bei 57-jährigem Kraftfahrer – Ihre Diagnose?

  • EKG
  • Kasuistik

Bei einem 57-jähriger Kraftfahrer, langjährig übergewichtig und Raucher, kommt es nach dem Beladen des LKWs zu Stechen im Brustkorb, Herzrasen und Luftnot. Weil sich sein Herz auch nach 30 Minuten nicht "beruhigt" hat, rufen seine Kollegen den Notarzt. Was erkennen Sie sofort im EKG – und was erst bei genauerem Hinsehen?

Schwerste Intoxikation mit Eibengift überlebt

Starkes Unwohlsein und Bauchkrämpfe sind die ersten Beschwerden, nachdem ein 22-Jähriger einen Sud aus den Nadeln der Eibe in suizidaler Absicht getrunken hat. Kurz darauf muss der junge Mann bereits reanimiert werden. Maligne Herzrhythmusstörungen  sind das Leitsymptom bei schweren Eibenvergiftungen – das Überleben setzt eine hochspezialisierte Akuttherapie voraus.

Weitere Artikel aus unseren Fachzeitschriften

ICD-Elektroden-Implantation zur Linksschenkelstimulation

Wir befinden uns in einer neuen Ära der physiologischen Stimulation durch das Left Bundle Branch Area Pacing (LBBAP), das zunehmend in der klinischen Routine eingesetzt wird. Die Platzierung der Sonde des implantierbaren …

Qualitätskriterien zur Durchführung der Katheterablation von Vorhofflimmern – DGK-Positionspapier

Das aktualisierte Positionspapier der DGK zur Katheterablation von Vorhofflimmern (AF) stellt die aktuelle Evidenz, Techniken und Qualitätsstandards dar, die sich seit 2017 gemeinsam mit Indikation, Technik und Rolle der Ablation in der Therapie …

Erneut ischämischer Schlaganfall unter DOAK – was nun?

Trotz einer optimalen Therapie mit direkten oralen Antikoagulanzien (DOAK) kann es zu einem (erneuten) ischämischen Schlaganfall kommen. Wie es dann weitergehen soll, ist aktuell umstritten. Eine Metaanalyse zeigt nun v. a. eines: Ein Wechsel auf …

Endokardiale linksventrikuläre Stimulation im Jahr 2025

Die kardiale Resynchronisationstherapie (CRT) hat mit der Möglichkeit der Leitungssystemstimulation ein ergänzendes Verfahren und eine neue Therapieoption in der Behandlung der systolischen Herzinsuffizienz bekommen. Erweiternd kommen sondenlose …

Antikoagulation bei dermatochirurgischen Eingriffen: Ab wann? Wie viel?

Der Umgang mit Antikoagulation bei dermatochirurgischen Eingriffen erfordert Sorgfalt. Man muss das Risiko thromboembolischer Ereignisse beim Unterbrechen der Antikoagulation gegen das erhöhte Blutungsrisiko bei Fortführung abwägen. Hier eine Entscheidungshilfe.

Sequenztherapie des metastasierten kolorektalen Karzinoms

Die Einführung interdisziplinärer und zielgerichteter Therapiekonzepte verbesserte die Prognose von Menschen mit metastasiertem kolorektalem Karzinom signifikant. Anhand klinischer sowie molekularbiologischer Charakteristika werden optimale Therapiestrategien ausgewählt. Im Beitrag werden diese näher beschrieben.

Gefäßverschluss nach elektrophysiologischen Eingriffen – praxisnah erklärt

Die geplante Ambulantisierung elektrophysiologischer Eingriffe stellt die verantwortlichen Ärztinnen und Ärzte vor die Herausforderung, Patientinnen und Patienten nach nur wenigen Stunden Überwachung sicher in das häusliche Umfeld entlassen zu …

Buchkapitel zum Thema

Thromboembolieprophylaxe

Ein 55-jähriger, etwa 75 kg schwerer Patient befindet sich seit 22 Tagen in intensivmedizinischer Behandlung, zuerst auf der Intensivstation, nun auf der IMC. Bei einem Sturz als Fahrradfahrer hatte er ein schweres Thoraxtrauma mit …

Herzerkrankungen

HerzglykosideHerzglykoside sind positiv inotrop wirkende Arzneimittel zur Behandlung der HerzinsuffizienzHerzinsuffizienz mit reduzierter Pumpfunktion (HFrEF) mit zusätzlich antiarrhythmischen Eigenschaften. Die Bedeutung der Herzglykoside …

Antithrombotische Therapie

Die Verordnungen für Heparine stiegen bis 2012 stetig an, nehmen jedoch seit 2015 langsam wieder ab. Vitamin K-Antagonisten werden seit 2012 kontinuierlich seltener verordnet; im Jahr 2021 beträgt die Abnahme gegenüber 2012 60 %. Parallel dazu …

Thromboembolieprophylaxe

Seit den Untersuchungen von Kakkar (1971) ist die Low-dose-Heparinisierung zum Standard als Thromboseprophylaxe in der operativen Medizin geworden. Komplikationen nach varizenausschaltenden Eingriffen sind selten und in der Mehrzahl unbedeutend.

Nicht gefunden, wonach Sie suchten?

Probieren Sie es mit der Suchfunktion:

Passend zum Thema

ANZEIGE

PFA: Welche Patienten profitieren?

Die Therapie des Vorhofflimmerns verfolgt drei zentrale Ziele: Symptomkontrolle, Vermeidung von Folgekomplikationen und Verbesserung der Prognose. Ein wichtiger Bestandteil der Rhythmuskontrolle ist die Katheterablation, die in der neuen S3-Leitlinie Vorhofflimmern (AWMF 2025 ) ausdrücklich empfohlen wird – bei paroxysmalem Vorhofflimmern bereits als Erstlinientherapie, nicht erst nach medikamentösem Therapieversagen. 

ANZEIGE

Ablation im Wandel – wie die Pulsed Field Ablation die Praxis verändert

Die Pulsed Field Ablation (PFA) mit dem FARAPULSE™-System verändert das Management von Vorhofflimmern grundlegend. Erfahren Sie, wie eine frühzeitige Ablation die Prognose verbessert – und wie niedergelassene Kardiologen ihre Patienten beraten und in EP-Zentren überweisen.

ANZEIGE

Patientenaufklärung zur Pulsed Field Ablation (PFA) – praxisnah und evidenzbasiert

Patienten kommen zunehmend informiert in die Praxis, suchen verlässliche Antworten und wünschen sich realistische Perspektiven. Die Pulsed Field Ablation (PFA) bietet eine sichere, gewebeselektive Option bei Vorhofflimmern. Dieser Beitrag zeigt, wie Sie Ihre Patienten gezielt aufklären und optimal beraten.

ANZEIGE

Vorhofflimmern: Pulsed Field Ablation (PFA) mit FARAPULSE™ – Evidenz, Sicherheit und Praxisrelevanz

Die erste deutsche AWMF-S3-Leitlinie Vorhofflimmern (2025) empfiehlt die Katheterablation frühzeitig bei geeigneten Patienten. Erfahren Sie, für welche Patienten das FARAPULSE™ PFA-System besonders relevant ist und wie die "Power Flower"-Servicematerialien Ihre Aufklärung und Überweisung unterstützen.

Boston Scientific Medizintechnik GmbH
Bildnachweise
Tachykardie mit breiten QRS-Komplexen im EKG/© Trappe H-J et al. / all rights reserved Springer Medizin Verlag GmbH, Gastroskopie/© Lohmeyer JL et al. / all rights reserved Springer Medizin Verlag GmbH, Bewusstloser Mann/© chameleonseye / Getty Images / iStock (Symbolbild mit Fotomodellen), Kathetergestützte mechanische Thrombektomie /© Hecker M et al. / all rights reserved Springer Medizin Verlag GmbH, EKG-Kontrolle in einer Praxis/© Inside Creative House / Getty Images / iStock (Symbolbild mit Fotomodell), EKG auf Monitor/© sudok1 / Stock.adobe.com, Eine Frau zeiht Kompressionstrümpfe auf dem Teppich an/© dream@do / stock.adobe.com (Symbolbild mit Fotomodell), Person hält Tablette und Glas/© bilderstoeckchen / stock.adobe.com (Symbolbild mit Fotomodell), Frau hält Tabletten-Blister und Beipackzettel in der Hand/© Vladimir Vladimirov / Getty Images / iStock (Symbolbild mit Fotomodell), Medikamente und Medikationsplan/© Photographee.eu / stock.adobe.com, Zentrale Lungenembolie/© Springer Verlag Berlin Heidelberg 2015, Kaiserschnitt/© karegg / Stock.adobe.com (Symbolbild mit Fotomodellen), Älterer Mann schaut kritisch auf Tabletten/© Mediteraneo / stock.adobe.com (Symbolbild mit Fotomodell), Eine Person hält sich den Oberschenkel/© saran / Stock.adobe.com (Symbolbild mit Fotomodell), Chirurg führt Katheterablation durch/© Damian / stock.adobe.com (Symbolbild mit Fotomodellen), Älterer Mann mit Tabletten in der Hand/© vorDa / Getty Images / iStock (Symbolbild mit Fotomodell), EKG bei ventrikulärer Tachykardie/© Trappe H-J et al. / all rights reserved Springer Medizin Verlag GmbH, Heparin zur Antikoagulation/© Angel Arredondo / stock.adobe.com, Kolorektale Lebermetastase in Segment II, nahe der linken Lebervene (LHV)./© Sucher, E. et al. / all rights reserved Springer Medizin Verlag GmbH, Search Icon, FARAPULSE™ Joggende Frau im Park, Läuferin im Park/© PeopleImages / Shutterstock (Symbolbild mit Fotomodell); Boston Scientific Medizintechnik GmbH, Arzt erklärt Patient Operation am Laptop/© DC Studios / Adobestock (Symbolbild mit Fotomodellen), Arzt-Patienten-Gespräch, Junge Ärztin im Gespräch mit Patientin/© Parichat / Adobestock (Symbolbild mit Fotomodellen), FARAPULSE™ Joggendes Paar im Park/© JenkoAtaman / Adobe Stock (Symbolbild mit Fotomodellen); Boston Scientific Medizintechnik GmbH