Zum Inhalt
Gefässchirurgie

Lebensbedrohliche intrathorakale Blutung durch ein rupturiertes Vena-brachiocephalica-Aneurysma bei Neurofibromatose Typ 1

Notfall-Clamshell-Thorakotomie als rettende Maßnahme

QR-Code scannen & Beitrag online lesen

Hinweis des Verlags

Der Verlag bleibt in Hinblick auf geografische Zuordnungen und Gebietsbezeichnungen in veröffentlichten Karten und Institutsadressen neutral.

Einleitung

Wir berichten über den außergewöhnlichen Fall einer jungen Patientin mit Neurofibromatose Typ 1 (NF1, Morbus von Recklinghausen), bei der ein rupturiertes venöses Aneurysma der linken Vena brachiocephalica eine massive Hämothoraxbildung mit Kreislaufstillstand verursachte. Der Fall unterstreicht die potenzielle Lebensbedrohlichkeit vaskulärer NF1-Komplikationen und demonstriert die Relevanz notfallchirurgischer Intervention im thorakalen Gefäßsystem. Dabei spielte eine bilaterale anterolaterale Thorakotomie („Clamshell-Thorakotomie“) unter chirurgischer Leitung eine zentrale Rolle bei der erfolgreichen Blutungskontrolle.
Die NF1 ist eine seltene autosomal-dominante Multisystemerkrankung, charakterisiert durch Mutationen des NF1-Gens auf Chromosom 17q11.2 [1].
Sie ist die häufigste Form der Neurofibromatose mit einer geschätzten Geburteninzidenz von 1:2500 und einer Prävalenz zwischen 1:2000 und 1:4000 – und zugleich eine der häufigsten autosomal-dominanten Erkrankungen des Nervensystems. Klinisch stehen meist Haut- und Nervensystemmanifestationen im Vordergrund (multiple kutane Neurofibrome, Café-au-lait-Flecken, Lisch-Knötchen etc.) [2]. Vaskuläre Manifestationen bei NF1 (sog. NF1-assoziierte Vasopathie) sind selten – sie finden sich nur in ca. 0,4–6,4 % der NF1-Fälle [2]. Diese betreffen vorwiegend Arterien und führen zu fibromuskulärer Dysplasie mit Stenosen oder Aneurysmen großer Arterien (z. B. Nierenarterienstenosen, Karotis- und Aortenaneurysmen). Venöse Gefäßläsionen bei NF1 sind hingegen extrem selten [3, 4].

Kasuistik

Anamnese und Befund

Eine 35-jährige Patientin wurde mit ausgeprägter Kreislaufdepression aufgefunden, hatte jedoch noch eigenständig den Rettungsdienst alarmieren können. Sie wurde im Schockzustand per Lufttransport in den Schockraum unseres universitären Zentrums gebracht. Bei Eintreffen war sie spontanatmend, der Blutdruck betrug 90/45 mm Hg, die Pulsfrequenz lag bei 110/min, und der Hämoglobinwert betrug 2,9 g/dl. Die arterielle Blutgasanalyse zeigte einen pH-Wert von 7,33, einen PaO2 von 63 kPa, einen PaCO2 von 6,41 kPa und einen Laktatwert von 13,5 mmol/l.

Diagnostik

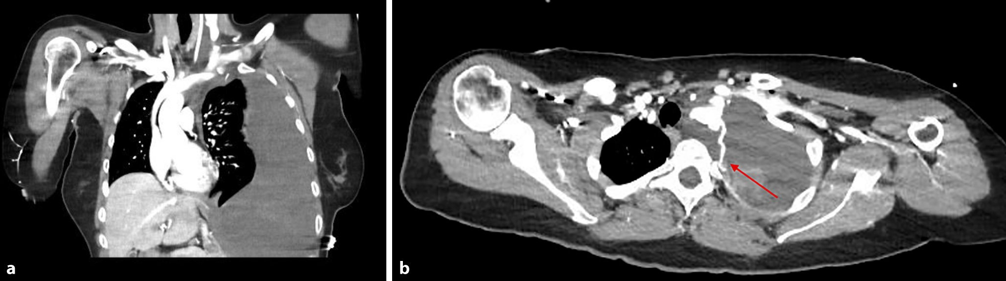
Die initiale FAST-Sonographie zeigte eine erhebliche Flüssigkeitsansammlung im linken Hemithorax. Bei Verdacht auf unklare thorakale Blutung erfolgte eine CT-Angiographie, die eine massive Hämothoraxbildung links sowie eine aktive venöse Blutung im Confluens der linken Vena jugularis interna und Vena subclavia ergab. Zusätzlich wurde ein fusiformes Aneurysma der linken Arteria mammaria interna festgestellt (Abb. 1).
Abb. 1
Die CT-Angiographie zeigte Hämothorax links (a), mit V.a. aktive Blutung bei Läsionen am Confluens der linken V. jugularis interna et V. subclavia (roter Pfeil) (b)
Bild vergrößern

Therapie und Verlauf

Nach der CT-Angiographie zeigte die Patientin eine zunehmende Kreislaufinstabilität, wurde intubiert und in den OP-Saal gebracht. Dort kam es zum Kreislaufstillstand, woraufhin sofort eine Reanimation eingeleitet wurde. Im Rahmen der Maßnahmen wurde eine 28er-Thoraxdrainage gelegt und an den Cellsaver angeschlossen. Anschließend erfolgte eine bilaterale anterolaterale Thorakotomie („Clamshell“) durch ein erfahrenes interdisziplinäres Team unter gefäßchirurgischer Führung. Das Perikard wurde eröffnet und eine offene Herzdruckmassage eingeleitet (Abb. 2). Die blutende Vena brachiocephalica sinistra wurde mittels Satinsky-Klemme ausgeklemmt. Es zeigte sich ein rupturiertes venöses Aneurysma. Die Rekonstruktion der V. brachiocephalica sinistra erfolgte mittels überwendlich-fortlaufender Direktnaht. Die Wiederherstellung einer stabilen Kreislaufsituation war nach Blutungskontrolle und Massivtransfusion rasch erfolgreich. Insgesamt wurden 15 Erythrozytenkonzentrate, 14 Fresh Frozen Plasma (FFP), 2 Thrombozytenkonzentrate, 6 g Fibrinogen und 3500 IE Prothrombinkomplex verabreicht.
Abb. 2
Clamshell-Thorakotomie
Bild vergrößern
Die Patientin stabilisierte sich rasch und konnte problemlos geweant und am ersten postoperativen Tag extubiert werden. Unter intensiver Atemtherapie und Anpassung der Analgesie gestaltete sich der weitere postoperative Verlauf ebenfalls komplikationslos, die Patientin wurde am 16. postoperativen Tag in gutem Zustand entlassen (Abb. 3). Erst im Verlauf berichtete sie von ihrer bekannten Diagnose einer Neurofibromatose Typ 1. Zwei Monate später befand sie sich weiterhin in stabilem Zustand; eine langfristige Nachsorge wurde etabliert.
Abb. 3
Reizlose Wunde am 10. postoperativen Tag
Bild vergrößern

Diskussion

Vaskuläre Komplikationen der NF1 sind selten, aber potenziell letal. Die zugrunde liegende Pathophysiologie involviert meist eine fibromuskuläre Dysplasie mit Verlust elastischer Fasern und neurofibromatöser Infiltration der Gefäßwand. Dies kann zu Aneurysmen, Stenosen oder Rupturen führen. Eine umfassende Übersichtsarbeit von Oderich et al. zur vaskulären Beteiligung bei NF1 zeigte, dass in der Mehrzahl der Fälle arterielle Läsionen vorliegen. In 41 % der Fälle lag die Läsion im Bereich der Nierenarterien, weitere Lokalisationen betrafen Kopf- und Halsbereich (19 %), Extremitäten (12,9 %) sowie die abdominelle Aorta (12 %). Eine Beteiligung des venösen Systems ist hingegen äußerst selten [5].
Aneurysmen der Vena brachiocephalica sind insgesamt extrem seltene Läsionen – weltweit sind lediglich 36 Fälle in der Literatur dokumentiert, davon nur ein einziger (3 %, 1/36) im Zusammenhang mit Neurofibromatose Typ 1 [6, 7].
Es existieren lediglich einzelne Fallberichte über arterielle Blutungen bei NF1, jedoch bislang kein dokumentierter Fall mit intrathorakaler venöser Blutung und entsprechender operativer Versorgung in dieser Patientengruppe [8, 9].
Unser Fall ist nach aktuellem Kenntnisstand der erste dokumentierte NF1-Fall mit spontaner Ruptur eines Aneurysmas der Vena brachiocephalica und konsekutivem Kreislaufstillstand. Die Entscheidung zur bilateralen anterolateralen Thorakotomie erfolgte unter optimalen chirurgischen Bedingungen im Operationssaal durch ein erfahrenes gefäßchirurgisches Team. Dieser Zugang ermöglichte eine simultane Durchführung lebensrettender Maßnahmen wie Perikarderöffnung, offene Herzdruckmassage sowie Gefäßnaht – Voraussetzungen, die außerhalb eines OP-Settings nur in Ausnahmefällen realistisch erfüllt werden könnten [10]. Weiterhin müssen auch in Notfallsituationen die chirurgisch-technischen Limitationen der „Clamshell“-Thorakotomie in Betracht gezogen werden. Während die V. brachiocephalica im vorliegenden Fall durch eine bilaterale anterolaterale Thorakotomie problemlos exponiert werden konnte, sind beispielsweise anatomische Strukturen wie die distalen subclavialen Gefäße durch diesen Zugang schwieriger zu erreichen [14]. Die Wahl des optimalen Zugangsweges zur Versorgung lebensbedrohlicher vaskulärer Pathologien ist somit essenziell und erfordert ein grundliegendes Verständnis anatomischer Strukturen.
In der Literatur hat insbesondere die Londoner Luftrettung (London’s Air Ambulance) die Anwendung der Clamshell-Thorakotomie im prähospitalen Bereich systematisch etabliert. Das dort angewandte Verfahren wurde speziell für Notfallmediziner ohne chirurgische Spezialisierung konzipiert und zielt auf die schnelle Beherrschung lebensbedrohlicher thorakaler Pathologien ab – nicht aber auf komplexe vaskuläre Rekonstruktionen wie im vorliegenden Fall. Eine generelle Übertragbarkeit dieses Verfahrens auf den Rettungsdienst erscheint daher weder realistisch noch sinnvoll [11].
Entsprechend den Empfehlungen der European Resuscitation Council (ERC) Guidelines 2021 kommt die Clamshell-Thorakotomie hauptsächlich beim traumatischen Herz-Kreislauf-Stillstand zum Einsatz [12]. Als Voraussetzungen für ein positives Outcome werden entsprechende operative Expertise, ein angemessenes Umfeld und Equipment (idealerweise ein Operationssaal) sowie eine Zeitdauer von maximal 15 min seit Eintreten des Kreislaufstillstandes gefordert. In unserem Fall war eine Notfallthorakotomie unter laufender Reanimation aufgrund eines spontanen, nichttraumatischen Hämatothorax notwendig. Hier konnten die Vorteile der bilateralen anterolateralen Thorakotomie – die Möglichkeit der offenen Herzdruckmassage bei gleichzeitiger größtmöglicher Exposition zur chirurgischen Blutungskontrolle – ideal genutzt werden. Die von der ERC geforderten Voraussetzungen zur erfolgreichen Durchführung einer Clamshell-Thorakotomie waren vollständig gegeben.
Eine Analyse der American Association for the Surgery of Trauma (AAST) im Rahmen des AORTA-Registers verglich Clamshell- und anterolaterale Thorakotomien bei Reanimationssituationen (resuscitative thoracotomy, RT). Dabei zeigte sich, dass die Clamshell-Technik häufiger bei komplexen thorakalen Eingriffen (z. B. Herznaht, Lungenresektion) zum Einsatz kam, ohne dabei mit einer erhöhten Komplikationsrate oder längerer Liegedauer assoziiert zu sein [13]. Zwar wird gelegentlich diskutiert, ob durch die größere Wundfläche der Clamshell-Inzision zusätzliche Risiken entstehen könnten – etwa Infektionen im Bereich des Mediastinums oder der eröffneten Pleurahöhlen, verlängerte Beatmungsdauer, pulmonale Funktionseinschränkungen oder ein erhöhtes Pneumonierisiko. Die verfügbaren Daten zeigen jedoch, dass diese potenziellen Gefahren durch die Wahl des Zugangs nicht signifikant beeinflusst werden. Weder systemische noch thorakale Infektionskomplikationen traten vermehrt auf, noch verlängerte sich die Verweildauer auf der Intensivstation oder die Beatmungsdauer im Vergleich zur anterolateralen Thorakotomie.
Eine Clamshell-Thorakotomie stellt primär eine chirurgische Maßnahme zur erweiterten thorakalen Exploration dar. Die strenge Indikationsstellung im Rahmen des (traumatischen) Kreislaufstillstandes macht die Clamshell-Thorakotomie zu einem selten durchgeführten Eingriff, der sich aufgrund des damit verbundenen Zeitdrucks kaum als Ausbildungseingriff eignet. Um die von der ERC geforderte operative Expertise zu gewährleisten, sind daher möglichst realitätsnahe Trainingsszenarien notwendig. In unserer Klinik bieten wir seit 2021 im Rahmen des chirurgisch-anatomischen Ausbildungsprojektes „ICARos“ Medizinstudierenden und Ärzt:innen in unterschiedlichen Modulen die Möglichkeit einer umfassenden praktischen chirurgischen Aus- und Weiterbildung. So umfasst beispielsweise das Modul „Notfall-Chirurgie“ neben intraossären Zugängen, der Notfallkoniotomie und der Anlage von Thoraxdrainagen auch die Möglichkeit, die Clamshell-Thorakotomie zu üben. Hierbei wird der Eingriff von den Teilnehmenden an ethanolfixierten Körperspendern in Kleingruppen unter Anleitung erfahrener Operateure selbst durchgeführt. Ziel ist es, ein fundiertes Verständnis der zugrunde liegenden Anatomie sowie der OP-Schritte zu vermitteln, wobei wir betonen, dass in der klinischen Praxis eine entsprechende fachärztliche operative Expertise und Kenntnis des Zugangswegs zur Behebung der komplexen lebensbedrohlichen Situation unerlässlich für eine erfolgreiche Anwendung der „Clamshell“-Thorakotomie ist (Abb. 4).
Abb. 4
Durchführung der Clamshell-Thorakotomie an Körperspendern (a), Situs nach Durchführung (b)
Bild vergrößern
Die rasche Durchführung einer Clamshell-Thorakotomie war im vorliegenden Fall entscheidend für das Überleben der Patientin. Sie ermöglichte eine zügige Exploration der intrathorakalen Pathologie sowie die unkomplizierte, direkte Kontrolle der rupturierten Vena brachiocephalica sinistra.

Fazit für die Praxis

Mit NF1-assoziierte venöse Aneurysmen sind extrem selten, können jedoch potenziell lebensbedrohlich rupturieren. Bei ungeklärtem thorakalen Schockgeschehen – insbesondere mit Spontanhämothorax – sollte bei bekannter NF1 daher auch eine Gefäßruptur in Betracht gezogen werden. Die Clamshell-Thorakotomie bietet einen effektiven Zugang zur Beherrschung eines akuten thorakalen Blutungsgeschehens und muss von Notfallmedizinern, Herz‑, Thorax- und Gefäßchirurgen durchführbar sein. Frühzeitige Erkennung und konsequente Nachsorge weiterer vaskulärer Läsionen sind bei NF1 essenziell.

Einhaltung ethischer Richtlinien

Interessenkonflikt

A. Alwali, T. Angles, L.S. Buschmann, P. Donndorf und J. Groß geben an, dass kein Interessenkonflikt besteht.
Für diesen Beitrag wurden von den Autor/-innen keine Studien an Menschen oder Tieren durchgeführt. Für die aufgeführten Studien gelten die jeweils dort angegebenen ethischen Richtlinien. Für Bildmaterial oder anderweitige Angaben innerhalb des Manuskripts, über die Patient/-innen zu identifizieren sind, liegt von ihnen und/oder ihren gesetzlichen Vertretern/Vertreterinnen eine schriftliche Einwilligung vor.
Open Access Dieser Artikel wird unter der Creative Commons Namensnennung 4.0 International Lizenz veröffentlicht, welche die Nutzung, Vervielfältigung, Bearbeitung, Verbreitung und Wiedergabe in jeglichem Medium und Format erlaubt, sofern Sie den/die ursprünglichen Autor(en) und die Quelle ordnungsgemäß nennen, einen Link zur Creative Commons Lizenz beifügen und angeben, ob Änderungen vorgenommen wurden. Die in diesem Artikel enthaltenen Bilder und sonstiges Drittmaterial unterliegen ebenfalls der genannten Creative Commons Lizenz, sofern sich aus der Abbildungslegende nichts anderes ergibt. Sofern das betreffende Material nicht unter der genannten Creative Commons Lizenz steht und die betreffende Handlung nicht nach gesetzlichen Vorschriften erlaubt ist, ist für die oben aufgeführten Weiterverwendungen des Materials die Einwilligung des jeweiligen Rechteinhabers einzuholen. Weitere Details zur Lizenz entnehmen Sie bitte der Lizenzinformation auf http://creativecommons.org/licenses/by/4.0/deed.de.

Hinweis des Verlags

Der Verlag bleibt in Hinblick auf geografische Zuordnungen und Gebietsbezeichnungen in veröffentlichten Karten und Institutsadressen neutral.
download
DOWNLOAD
print
DRUCKEN
Titel
Lebensbedrohliche intrathorakale Blutung durch ein rupturiertes Vena-brachiocephalica-Aneurysma bei Neurofibromatose Typ 1
Notfall-Clamshell-Thorakotomie als rettende Maßnahme
Verfasst von
Ahmed Alwali
Theresa Angles
Lisa Sophie Buschmann
Peter Donndorf
Univ.-Prof. Dr. med. Justus Groß
Publikationsdatum
05.11.2025
Verlag
Springer Medizin
Erschienen in
Gefässchirurgie
Print ISSN: 0948-7034
Elektronische ISSN: 1434-3932
DOI
https://doi.org/10.1007/s00772-025-01273-2
1.
Zurück zum Zitat Messiaen LM, Callens T, Mortier G, Beysen D, Vandenbroucke I, Van Roy N, Speleman F, Paepe AD (2000) Exhaustive mutation analysis of the NF1 gene allows identification of 95 % of mutations and reveals a high frequency of unusual splicing defects. Hum Mutat 15(6):541–555CrossRefPubMed
2.
Zurück zum Zitat Ly KI, Blakeley JO (2019) The Diagnosis and Management of Neurofibromatosis Type 1. Med Clin North Am 103(6):1035–1054CrossRefPubMed
3.
Zurück zum Zitat Hamilton SJ, Friedman JM (2000) Insights into the pathogenesis of neurofibromatosis 1 vasculopathy. Clin Genet 58:341–344CrossRefPubMed
4.
Zurück zum Zitat Lin AE, Birch PH, Korf BR et al (2000) Cardiovascular malformations and other cardiovascular abnormalities in neurofibromatosis 1. Am J Med Genet 95:108–117CrossRefPubMed
5.
Zurück zum Zitat Oderich GS, Sullivan TM, Bower TC, Gloviczki P et al (2007) Vascular abnormalities in patients with neurofibromatosis syndrome type 1: clinical spectrum, management, and results. J Vasc Surg 46:475–484CrossRefPubMed
6.
Zurück zum Zitat Nguyen Q, Olive JK, Vervoort D, Phan K, Luc JGY (2020) Brachiocephalic vein aneurysm: a systematic review of the literature. J Thorac Dis 12(5):2747–2758CrossRefPubMedPubMedCentral
7.
Zurück zum Zitat Bartline PB, McKellar SH, Kinikini DV (2016) Resection of a Large Innominate Vein Aneurysm in a Patient with Neurofibromatosis Type 1. Ann Vasc Surg 30(157):e1–5
8.
Zurück zum Zitat Ishizu A, Ooka T, Murakami T, Yoshiki T (2006) Rupture of the thyrocervical branch from the subclavian artery in a patient with neurofibromatosis: a case report. Cardiovasc Pathol 15:153–156CrossRefPubMed
9.
Zurück zum Zitat Miyazaki T, Ohta F, Daisu M, Hoshii Y (2004) Extracranial vertebral artery aneurysm ruptured into the thoracic cavity with neurofibromatosis type 1: case report. Neurosurgery 54:1517–1520CrossRefPubMed
10.
Zurück zum Zitat Wise D, Davies G, Coats T, Lockey D, Hyde J, Good A (2005) Emergency thoracotomy: “how to do it”. Emerg Med J 22(1):22–24CrossRefPubMedPubMedCentral
11.
Zurück zum Zitat Perkins ZB, Greenhalgh R, Ter Avest E, Aziz S, Whitehouse A, Read S, Foster L, Chege F, Henry C, Carden R, Kocierz L, Davies G, Hurst T, Lendrum R, Thomas SH, Lockey DJ, Christian MD (2025) Prehospital Resuscitative Thoracotomy for Traumatic Cardiac Arrest. JAMA Surg 26:e247245
12.
Zurück zum Zitat Lott C, Truhlář A, Alfonzo A et al (2021) Eur Resusc Counc Guidel 2021: Cardiac Arrest Special Circumstances [published Correct Appear Resusc 167:91–92
13.
Zurück zum Zitat DuBose JJ, Morrison J, Moore LJ et al (2020) Does Clamshell Thoracotomy Better Facilitate Thoracic Life-Saving Procedures Without Increased Complication Compared with an Anterolateral Approach to Resuscitative Thoracotomy? Results from the American Association for the Surgery of Trauma Aortic Occlusion for Resuscitation in Trauma and Acute Care Surgery Registry. J Am Coll Surg 231(6):713–719.e1CrossRefPubMed
14.
Zurück zum Zitat Simms ER, Flaris AN, Franchino XMST, Caillot J‑L, Voiglio EJ (2013) Bilateral anterior thoracotomy (clamshell incision) is the ideal emergency thoracotomy incision: an anatomic study. World J Surg 37(6):1277–1285CrossRefPubMed

Neu im Fachgebiet Chirurgie

Darmkrebsresektion: Laparoskopisches Vorgehen gerade auch für Gebrechliche

Daten aus Großbritannien legen nahe, dass insbesondere ältere und gebrechlichere Darmkrebspatientinnen und -patienten von einem minimalinvasiven Eingriff profitieren könnten – ihnen dieser aber allzu häufig vorenthalten wird.   

Thyreoidektomie auch bei älteren Patienten sicher

Mehr Begleitkrankheiten, geringere physiologische Reserven: Ältere Patientinnen und Patienten tragen ein erhöhtes Risiko für perioperative Komplikationen. Ob und wie ausgeprägt das für die Thyreoidektomie gilt, war Gegenstand einer Metaanalyse von elf Studien.

Therapie von Oligometastasen verbessert Prognose bei Prostata-Ca.

Die operative Entfernung oder Bestrahlung von Oligometastasen eines Prostatakarzinoms verlängert das progressionsfreie Überleben deutlich, der Effekt auf das Gesamtüberleben bleibt jedoch unklar.

Schlafarchitektur nach OP oft massiv gestört

Nach einem operativen Eingriff ist die Schlafqualität oft massiv beeinträchtigt. In einer US-Studie waren bei Risikopatienten nicht nur die Gesamtdauer des Schlafs, sondern vor allem auch REM- und Tiefschlafphasen deutlich verkürzt.

Update Chirurgie

Bestellen Sie unseren Fach-Newsletter und bleiben Sie gut informiert.

Bildnachweise
Laparoskopische Rektumresektion/© Springer Medizin Verlag GmbH, Schilddrüsenoperation/© samrith / stock.adobe.com (Symbolbild mit Fotomodell), Stereotaktische Strahlentherapie (SBRT) einer solitären ossären Metastase in dem Brustwirbelkörper/© Springer Medizin Verlag GmbH, Frauen ruhen im Krankenhaus /© Gorodenkoff / Stock.adobe.com (Symbolbild mit Fotomodell)