Zum Inhalt
Die Chirurgie

Ungewöhnliches Verletzungsmuster nach scharfer Gewalt

Erschienen in:

Auszug

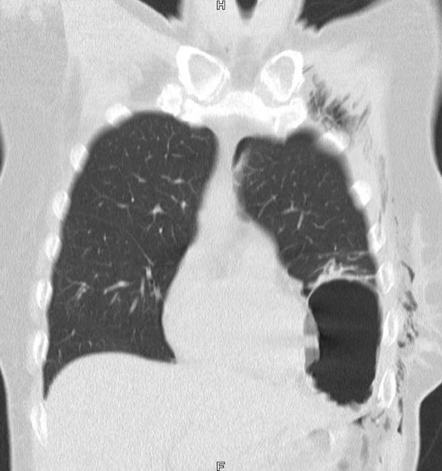
Über die Notaufnahme wurde eine 61-jährige, normgewichtige Patientin mit dem Rettungsdienst aufgrund multipler Schnitt- und Stichverletzungen vorgestellt. Neben potenziell lebensbedrohlichen Stichverletzungen zervikal, thorakal und auch abdominell mit Eröffnung der Bauchhöhle, zeigten sich im Bereich der inframammären Hautfalte links zwei 1,5 cm breite Stichverletzungen. Fremdanamnestisch hatte sich die Patientin die Verletzungen in autoaggressiver Intention im Status einer Wahnvorstellung bei bekannter psychiatrischer Erkrankung mit einem Messer selbst zugeführt. Bei kardioplumonal stabilem Zustand erfolgte die Diagnostik mittels einer Computertomographie (CT) des Thorax und des thorakoabdominellen Überganges. Durch die Radiologie erfolgte in Bezug auf die dargestellte Abb. 1 die Befundung eines gekammerten Hämatoseropneumothorax links. Zunächst wurde eine Magensonde angelegt. Laborchemisch ergaben sich keine wegweisenden Befunde. Die FAST(„focused assessment with sonography for trauma“)-Sonographie zeigte keine freie Flüssigkeit.
Abb. 1
Befund der Radiologie: gekammerter Hämatoseropneumothorax
Bild vergrößern
Titel
Ungewöhnliches Verletzungsmuster nach scharfer Gewalt
Verfasst von
B. Kunz
O. Rückbeil
C. M. Krüger
Publikationsdatum
11.07.2022
Verlag
Springer Medizin
Erschienen in
Die Chirurgie / Ausgabe 12/2022
Print ISSN: 2731-6971
Elektronische ISSN: 2731-698X
DOI
https://doi.org/10.1007/s00104-022-01681-0
Dieser Inhalt ist nur sichtbar, wenn du eingeloggt bist und die entsprechende Berechtigung hast.

Neu im Fachgebiet Chirurgie

Positiver Schnittrand bei Prostatektomie: Ausdehnung ist prognoserelevant

Ob der Nachweis von positiven Schnitträndern nach radikaler Prostatektomie mittelfristig mit einem erhöhten Risiko für biochemische Rezidive und für Metastasen einhergeht, hängt auch von der Ausdehnung des Randbefalls ab.

Liposuktion therapiert das Lipödem am effektivsten

Für die Therapie von Patientinnen – betroffen sind fast ausschließlich Frauen – mit Lipödem existiert eine Reihe von Optionen, mit einem eindeutigen Favoriten in puncto Effektivität. Ein großes Problem ist jedoch die korrekte Diagnose.

Wie Chirurgen durch Missgeschicke zu zweiten Opfern werden

Wenn sich in der Medizin verhängnisvolle Komplikationen oder Fehler ereignen, gibt es neben den betroffenen Patienten oft ein zweites Opfer: die behandelnden Ärztinnen oder Ärzte. Eine dafür besonders anfällige Disziplin ist die Chirurgie.

Machen 5-Alpha-Reduktase-Hemmer die TURP sicherer?

Ergebnisse einer Metaanalyse sprechen dafür, dass eine adjuvante präoperative Behandlung mit 5-Alpha-Reduktase-Inhibitoren bei Männern mit benigner Prostatahyperplasie zu einem geringeren Blutverlust während einer transurethralen Prostataresektion (TURP) beitragen kann.

Update Chirurgie

Bestellen Sie unseren Fach-Newsletter und bleiben Sie gut informiert.

Bildnachweise
Arzt stützt sich nachdenklich ab/© Wavebreakmedia / Getty Images / iStock (Symbolbild mit Fotomodell), Operation/© santypan / stock.adobe.com (Symbolbild mit Fotomodellen)