Zum Inhalt
Solide Tumoren Thoraxtumoren

Thoraxtumoren

NSCLC – Systemtherapie und Chirurgie Hand in Hand

  • NSCLC
  • Übersichtsartikel

Im Frühstadium des nichtkleinzelligen Lungenkarzinoms (NSCLC) lohnt sich neuen Studienergebnissen zur Folge eine neoadjuvante Immuntherapie zusammen mit chirurgischer Resektion. Diese reicht im Frühstadium wohl auch in kleinerem, sublobärem Umfang aus. In der Diskussion stehen auch weiterhin potenzielle Auswirkungen eines Lungenkrebsscreenings.

weiterlesen

Weiterführende Themen

NSCLC – Systemtherapie und Chirurgie Hand in Hand

  • NSCLC
  • Übersichtsartikel

Im Frühstadium des nichtkleinzelligen Lungenkarzinoms (NSCLC) lohnt sich neuen Studienergebnissen zur Folge eine neoadjuvante Immuntherapie zusammen mit chirurgischer Resektion. Diese reicht im Frühstadium wohl auch in kleinerem, sublobärem Umfang aus. In der Diskussion stehen auch weiterhin potenzielle Auswirkungen eines Lungenkrebsscreenings.

weiterlesen

Kasuistiken

Tumorpatient mit Schwäche und Müdigkeit: eine Hypophysitis war schuld!

Der Patient mit nicht-kleinzelligem Lungenkarzinom war zunächst erfolgreich behandelt worden. Bei den nach jahrelanger Remission aufgetretenen Lungenmetastasen wurde mit einer Systemtherapie einschließlich Immun-Checkpoint-Inhibitoren ebenfalls eine vollständige Regredienz erzielt. Nun eröffnen sich u. a. mit Hypotonie, Hypoglykämie und Hypothyreose neue Probleme.

Psychose nach Bronchoskopie mit metabolischer Alkalose

Eine 68-jährige Patientin wird zur weiteren Abklärung von Leber- und Lungenrundherden bei Tabakkonsum vorgestellt. Zur Diagnosesicherung bei V.a. Bronchialkarzinom erfolgte eine Bronchoskopie unter Vollnarkose. Nachfolgend kam es zur schweren Agitiertheit mit hypertensiver Entgleisung. Was war passiert und wie ging es weiter?

Whipple-Trias mit erhöhten und erniedrigten Insulinspiegeln

Die Ursachen für Hypoglykämien sind extrem vielfältig, ebenso die klinischen Beschwerden, die mit einer Hypoglykämie vereinbar wären. Im Beitrag werden zwei Fälle einer klinisch ausgeprägten Whipple-Trias vorgestellt – die eingehende laborchemische Untersuchung und Abklärung förderte beide Male zwei ganz unterschiedliche Diagnosen zutage.

Weitere Artikel aus unseren Fachzeitschriften

Update zur Therapie bei gastroenteropankreatischen neuroendokrinen Karzinomen (GEP-NEC)

Eine platinbasierte Chemotherapie aus Carboplatin oder Cisplatin in Kombination mit Etoposid stellt die etablierte Erstlinientherapie von gastroenteropankreatischen neuroendokrinen Karzinomen (GEP-NEC) dar. Ab der zweiten Therapielinie stehen …

Pleuramesotheliom – Diagnostik und Therapie

Die Diagnostik und Therapie des malignen Pleuramesothelioms (MPM) sollte gemäß internationalen Leitlinien und möglichst in Zentren wie den Mesotheliomeinheiten an DKG(Deutsche Krebsgesellschaft)-zertifizierten Lungenkrebszentren erfolgen. Die …

TKI und simultane thorakale Radiotherapie: ein vielversprechender Ansatz?

  • NSCLC
  • Kommentierte Studie

Die Ergebnisse einer aktuellen Studie liefern interessante Erkenntnisse zur Rolle einer kombinierten Tyrosinkinaseinhibitor(TKI)- und thorakalen Radiotherapie (TRT) bei oligoorganmetastasiertem, EGFR-mutiertem nichtkleinzelligem Lungenkarzinom (NSCLC). Jedoch sind einige Aspekte für die Bewertung der Arbeit zu berücksichtigen.

NSCLC – Systemtherapie und Chirurgie Hand in Hand

  • NSCLC
  • Übersichtsartikel

Im Frühstadium des nichtkleinzelligen Lungenkarzinoms (NSCLC) lohnt sich neuen Studienergebnissen zur Folge eine neoadjuvante Immuntherapie zusammen mit chirurgischer Resektion. Diese reicht im Frühstadium wohl auch in kleinerem, sublobärem Umfang aus. In der Diskussion stehen auch weiterhin potenzielle Auswirkungen eines Lungenkrebsscreenings.

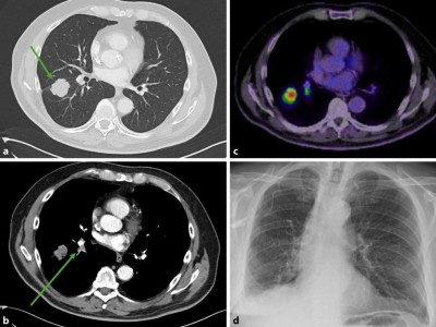
Einsatz von funktioneller Bildgebung zur Therapieplanung

Funktionelle Bildgebung hat in den letzten Jahren immer mehr Bedeutung in der onkologischen Therapieplanung gewonnen. Die Positronenemissionstomographie (PET), meist kombiniert mit einer Computertomographie (PET-CT), ermöglicht häufig nicht nur …

Aktuelle und kommende Biomarker beim NSCLC

  • NSCLC
  • Übersichtsartikel

Beim nichtkleinzelligen Lungenkarzinom (NSCLC) kommt der molekularpathologischen Diagnostik eine zentrale Rolle zu, da immer mehr Biomarker je nach Tumorstadium so früh wie möglich untersucht werden müssen. Die Therapie hat dadurch rasant an Komplexität gewonnen. 

Lungenkrebs bei Nichtrauchern: Auf der Suche nach Risikofaktoren

Lungenkarzinome bei Nichtrauchern machen ca. 15-25 % aller Lungenkarzinome aus. Bekannte Risikofaktoren erklären die Inzidenz nicht hinreichend. Die vorliegende Studie nutzte die Clinical Practice Research Datalink des Vereinigten Königreichs, um weitere Faktoren, die mit Nichtraucherkrebs assoziiert sind, zu identifizieren.

Immunresistenz: Wie Tumorzellen dem Immunsystem entwischen

Tumorzellen können sich maskieren oder sie erschweren es Immunzellen zu arbeiten, indem sie den pH-Wert der Tumormikroumgebung verändern. Sie nutzen diese und weitere Mechanismen, um der Kontrolle durch das Immunsystem zu entgehen. Das kann den Verlauf von onkologischen Erkrankung maßgeblich beeinflussen.

Sonderformate

Wirksamkeit der TTFields-Therapie

Tumor Treating Fields (TTFields) sind seit mehreren Jahren eine etablierte Behandlungsoption beim neu diagnostizierten Gliom WHO-Grad 4. Seit dem Jahr 2022 ist die TTFields-Therapie auch zur Behandlung des Mesothelioms verfügbar. Nun liegt für das metastasierte nicht-kleinzellige Lungenkarzinom (mNSCLC) auf Basis der Phase-III-Studie LUNAR eine CE-Kennzeichnung vor.

Mit freundlicher Unterstützung von:
  • Novocure GmbH

Buchkapitel zum Thema

Vom Symptom zur Diagnose

Der technische Fortschritt bei den Sonographiegeräten, der zur Herstellung mobiler und sogar tragbarer Geräte geführt hat, hat den raschen Einsatz der Sonographie am Krankenbett für eine große Zahl von Indikationen ermöglicht. Der Schallkopf dient …

Sonografie der Thoraxwand

Sowohl Rippen- als auch Sternumfrakturen sind sonographisch gut darstellbar. Die sonographische Frakturdiagnostik ist nicht nur deutlich sensitiver als das konventionelle Röntgenbild, darüber hinaus lassen sich auch begleitende Weichteilläsionen …

Lungenkrebs (Bronchialkarzinom)

In diesem Kapitel erfahren Sie mehr über Symptome, Untersuchungen, Pathologie, Behandlungsmethoden, Mesotheliom, Lungenmetastasen.

Nicht gefunden, wonach Sie suchten?

Probieren Sie es mit der Suchfunktion:

Neu im Fachgebiet Onkologie

Ösophagogastrale Karzinome: "Highlight des Jahres" und mehr

Sowohl bei der zielgerichteten Behandlung als auch der Immuntherapie von resezierbaren Karzinomen des Magens und des gastroösophagealen Übergangs gibt es neue Daten. Ein Highlight: Die Ergebnisse zum Gesamtüberleben der Phase-III-Studie MATTERHORN.

iFOBT: Positiv ist positiv – Punkt.

Das Ergebnis des fäkalen immunochemischen Tests auf Blut im Stuhl wird üblicherweise qualitativ als positiv oder negativ interpretiert. Ob sich mit einer quantitativen Auswertung das Risiko näher differenzieren lässt, ist in einer Studie untersucht worden.

Mammografie-Screening: Das sind Hindernisse und Motivatoren

Brustkrebs ist die häufigste Krebserkrankung bei Frauen. Mit dem Mammografie-Screening können Tumoren potenziell früh erkannt werden – allerdings nehmen es viele Patientinnen nicht in Anspruch. Wie kann man sie besser motivieren?

Immuncheckpoint-Blockade überall wirksam – nur nicht bei Lymphomen?

Innerhalb von nur zehn Jahren wurden Checkpoint-Inhibitoren in mehr als 110 Indikationen zugelassen, vor allem bei soliden Tumoren. Das Therapieprinzip ist auch in hämatologischen Indikationen oft erfolgreich, nicht aber bei den großzelligen Lymphomen.

Update Onkologie

Bestellen Sie unseren Fach-Newsletter und bleiben Sie gut informiert.

Bildnachweise
Operation/© andrys lukowski / stock.adobe.com (Symbolbild mit Fotomodell), Arzt impft Patient/© FG Trade / Getty Images / iStock (Symbolbild mit Fotomodell), Koloskopie/© Kzenon / stock.adobe.com (Symbolbild mit Fotomodellen), Bestrahlungsplans einer Wirbelsäulenmetastase eines oligometastasierten Prostatakarzinoms/© Springer Medizin Verlag GmbH, Blutprobe wird bei Patient abgenommen/© Tashi-Delek / Getty Images / iStock(Symbolbild mit Fotomodellen), Endobronchialer Befund mit exophytischem Tumor im Bereich des rechten Oberlappens/© Möller, M., Schütte, W. / all rights reserved Springer Medizin Verlag GmbH, Eine ältere Frau bekommt eine intravenöse Therapie/© peopleimages.com / stock.adobe.com, Mann gibt Anweisungen auf Baustelle/© Oliver Raupach - Fotolia (Symbolbild mit Fotomodell), CT-Thorax mit Verdacht auf Lungenkrebs/© Springer Medizin Verlag GmbH, Nicht-kleinzelliges Bronchialkarzinom/© windcatcher / Getty Images / iStock, Immuncheckpointinhibitoren binden an Krebszelloberflächenproteine /© Juan Gärtner / stock.adobe.com, Einem Mann wird Fieber gemessen/© eggeeggjiew / Getty Images / iStock (Symbolbild mit Fotomodell), Mann stützt den Kopf in die Hände/© Charday Penn / Getty Images / iStock (Symbolbild mit Fotomodell), Bronchoskopie/© Schroll S et al. / all rights reserved Springer Medizin Verlag GmbH, NSCLC in der PET-CT/© A. Schäffler, Bestrahlung eines Lungenkarzinoms/© Springer Medizin Verlag GmbH, Bildgebung einer rechts pulmonalen Raumforderung der Lunge/© Klotz, L.V., Welcker, K. / all rights reserved Springer Medizin Verlag GmbH, Search Icon, Endoskopische Befunde des Magenkarzinoms/© Probst, A., Messmann, H. / all rights reserved Springer Medizin Verlag GmbH, Hand hält Laborröhrchen/© Kunstzeug / stock.adobe.com (Symbolbild mit Fotomodell), Radiologin richtet Mammographiescreening ein/© LIGHTFIELD STUDIOS / stock.adobe.com (Symbolbild mit Fotomodellen), Diffus großzelliges B-Zell-Lymphom (DLBCL)/© David A Litman / stock.adobe.com