Zum Inhalt

Chronischer Tinnitus aus psychologischer Sicht

Chronischer Tinnitus ist ein belastendes Phänomen, das in der chronischen Phase zuvorderst psychologisch aufrechterhalten wird. Die psychosomatischen Wechselwirkungen sind komplex und hierbei zentral. Was der aktuelle Wissensstand ist und wie Sie ihn in die Praxis integrieren können, erfahren Sie hier.

weiterlesen

Kasuistiken

Cochleaimplantat bei Autoimmunschwerhörigkeit möglich?

Bei einem Patienten mit einer medikamentös behandelten Autoimmunerkrankung des Innenohrs (AIED) verschlechtert sich das Hörvermögen auf dem linken Ohr. Die Ärzte entscheiden sich für die Implantation eines Cochlea-Implantats. Doch damit nicht getan - wichtig ist die Nachsorge. 

Wenn sie den Kopf nach links dreht, wird alles schwarz

Eine 43-Jährige klagt seit mehreren Monaten über wiederholten Bewusstseinsverlust und beidseitigen Tinnitus. Auslöser der wiederholten Synkopen ist eine seitliche Verdrehung des Kopfes nach links. Darüber hinaus berichtet sie über einen selbstauflösenden Thoraxschmerz, eine Woche vor der letzten Synkope.

Pulsierende Ohrgeräusche nach Weihnachten – lag es wirklich am Stress?

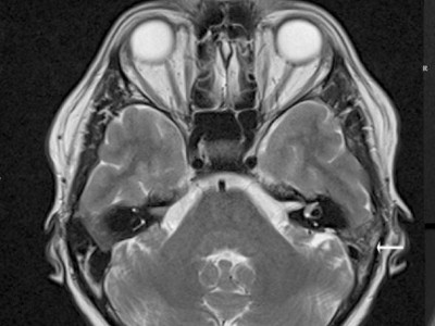
Eine 48-jährige Patientin leidet seit Weihnachten an pulsierenden, immer lauter werdenden Ohrgeräuschen auf der linken Seite. Eine hohe Stressbelastung kommt zuerst in Frage. Doch schon der erste MRT Befund liefert einen Hinweis auf eine schwerwiegendere, organische Ursache. Hätten Sie das gesehen?

Weitere Artikel aus unseren Fachzeitschriften

Tinnitus – das sind die neuesten Erkenntnisse

In der Tinnitusforschung und -behandlung hat sich im vergangenen Jahr viel getan. Aufbauend auf neuen Studien konnten zentrale Mechanismen besser verstanden werden, beispielsweise wie Tinnitus entsteht. Mehr dazu und zu weiteren aktuellen Entwicklungen erfahren Sie im folgenden Beitrag.

Schwindelsymptomatik und Bogengangdehiszenzsyndrom

„Der Patient hat Schwindel.“ Schwindel – ein Symptom, das so vielseitig ist wie die Ursachen, die dahinterstecken können und rein bildmorphologisch oft schwer zu fassen ist. Multimodales Vorgehen und interdisziplinäre Zusammenarbeit sind hier die …

Was ist Glück? Und was hat die HNO-Heilkunde damit zu tun?

Glück ist ein Thema, das den meisten Menschen in unserer Gesellschaft wichtig ist, obwohl es in politischen und gesellschaftlichen Zielsetzungen nur eine untergeordnete Rolle spielt. Welche Evidenz es zu dieser Frage gibt und warum die HNO-Heilkunde dabei eine zentrale Rolle spielt, erläutern die Autoren in diesem Beitrag.

Chronischer Tinnitus aus psychologischer Sicht

Chronischer Tinnitus ist ein belastendes Phänomen, das in der chronischen Phase zuvorderst psychologisch aufrechterhalten wird. Die psychosomatischen Wechselwirkungen sind komplex und hierbei zentral. Was der aktuelle Wissensstand ist und wie Sie ihn in die Praxis integrieren können, erfahren Sie hier.

Klinisches Screening für HNO-Ärzte bei potenziell somatosensorischem Tinnitus aurium

Somatosensorischer Tinnitus ist mit Funktionsstörungen der Halswirbelsäulenregion und/oder der Kiefergelenkregion vergesellschaftet. Hier kann die manuelle Medizin hilfreich sein. Doch welche Patientinnen und Patienten soll eine HNO-Praxis zum …

Was tun, wenn es im Ohr piepst?

Herr M., 55 Jahre alt, kommt in die hausärztliche Praxis wegen eines anhaltenden Ohrgeräuschs, das vor etwa drei Monaten erstmals auftrat. Er beschreibt ein dauerhaftes Pfeifen im rechten Ohr, begleitet von Schlafstörungen und leichter …

Dürfen Hörgeräte am Lärmarbeitsplatz getragen werden?

  • HNO
  • Übersichtsartikel

Was, wenn Kommunikation am Lärmarbeitsplatz erforderlich ist? Oder Warnsignale beachtet werden müssen? Für Hörgeräte gibt es inzwischen Ausnahmen: Komplettsysteme mit Gehörschutz-Otoplastik und Hörgerät sowie neu auch Kombinationsgeräte mit freier Wahl von Hörgerät und Gehörschutz.

Somatogener Tinnitus Typ 4 des Mittelohres

Die Ursache eines Tinnitus liegt nach einem Unfall nicht immer im Innenohr, sondern kann auch einen Ursprung in einer anderen Körperschädigung haben - insbesondere sekundär nach Mittelohrtraumata bei Laterobasisfrakturen.

Patient-Reported Outcome Measures – Einsatz zur Depressions‑, Angst- und Stressdiagnostik

Patient-Reported Outcome Measures (PROM) sind ein zusammenfassender Begriff für verschiedene Selbstbeurteilungsverfahren zur Bewertung der gesundheitsbezogenen subjektiven Eindrücke und des Behandlungserfolgs aus der Perspektive der Patienten. In …

Buchkapitel zum Thema

Tinnitus

Tinnitus ist eine relativ häufige akustische Perzeptionsstörung, die bei einem Teil der Betroffenen mit erheblicher psychischer Beeinträchtigung verbunden ist, die bis zur Arbeitsunfähigkeit führen kann. Diese wird weniger durch die …

Tinnitus

Unter Tinnitus versteht man ein meist sehr hochfrequentes, meist nur vom Patienten wahrgenommenes Geräusch, das in der überwiegenden Zahl der Fälle mit einer Hochtonschwerhörigkeit verknüpft ist und demzufolge mit höherem Lebensalter zunimmt. Der …

Nicht gefunden, wonach Sie suchten?

Probieren Sie es mit der Suchfunktion:

Neu im Fachgebiet HNO

Hartnäckige Hyponatriämie als erstes Krebsanzeichen

Trotz eines Olfaktoriusneuroblastoms ist eine 36-Jährige komplett frei von sinunasalen Beschwerden. Glücklicherweise führt eine anhaltende Hyponatriämie auf die Spur des Tumors.

Bundesverfassungsgericht: Triage-Regelung nicht mit Grundgesetz vereinbar

Das Bundesverfassungsgericht hat Regelungen zur Triage für nichtig erklärt. Es gab damit Verfassungsbeschwerden von Intensiv- und Notfallmedizinern statt. Der Eingriff in die Berufsfreiheit der Ärztinnen und Ärzte sei verfassungsrechtlich nicht gerechtfertigt, betont das Gericht.

Langzeitbeobachtung von oralen Präkanzerosen lohnt sich

Personen mit potenziell malignen Erkrankungen der Mundhöhle wie Leukoplakien entwickeln primär in den ersten fünf Jahren nach der Diagnose einen bösartigen Tumor. Danach ist das Transformationsrisiko zwar geringer, liegt aber noch immer bei mehr als 1%.

In engen Grenzen: So sollen Apotheken Rx-Produkte ohne ärztliches Rezept abgeben

Ganz so frei, wie es zunächst den Anschein hatte, wird die eigenverantwortliche Abgabe verschreibungspflichtiger Arzneimittel in der Offizin nun doch nicht aufgesetzt. Das Gesundheitsministerium will den Apothekern Krankheitsbilder vorgeben.

Update HNO

Bestellen Sie unseren Fach-Newsletter und bleiben Sie gut informiert – ganz bequem per eMail.

Bildnachweise
Frau mit Kopfschmerzen/© MaximFesenko / Getty Images / iStock (Symbolbild mit Fotomodell), Eine ältere Frau riecht an einem Basilikumblatt/© Halfpoint / Stock.adobe.com (Symbolbild mit Fotomodell), Mann berührt sein Hörgerät/© South_agency / Getty Images / iStock (Symbolbild mit Fotomodell), Gestresste Frau am Arbeitsplatz/© Peter Maszlen / stock.adobe.com (Symbolbild mit Fotomodell), Person klebt Pflaster auf einen Arm/© Poike / Getty Images / iStock (Symbolbild mit Fotomodellen), Zunge einer jungen Frau/© Andrey Popov / Stock.adobe.com (Symbolbild mit Fotomodell), Schwangere mit Kopfschmerzen/© Syda Productions / stock.adobe.com (Symbolbild mit Fotomodell), Ein Mann hält sich schmerzverzerrt die Hand ans Ohr/© Daria Kulkova / Getty Images / iStock (Symbolbild mit Fotomodell), Holztisch mit Gemüse, Obst und Fisch/© sonyakamoz / stock.adobe.com, Patientin im Arztgespräch/© KatarzynaBialasiewicz / Getty Images / iStock (Symbolbild mit Fotomodellen), Springer Medizin Podcast - Hörsturztherapie/© (M) toa555 / Stock.adobe.com (Symbolbild mit Fotomodell), Seniorin mit Tablet/© Angelov / Stock.adobe.com (Symbolbild mit Fotomodell), Mann mit Cochlea-Implantat/© Bernd & Angie / Stock.adobe.com (Symbolbild mit Fotomodell), Schädel-Computertomographie (CT) ohne Kontrastmittel (a axial, b koronar)/© L. Gazzini et al. / all rights reserved Springer Medizin Verlag GmbH, Schichten aus der durchgeführten MRT/© Freund W., Eine Frau steckt sich die Finger in die Ohren zum Schutz vor Lärm/© apomares / Getty Images / iStock (Symbolbild mit Fotomodell), Search Icon, Frau wird Blut abgenommen/© andresr / Getty Images / iStock (Symbolbild mit Fotomodellen), Junge Ärztin vor einem Triage-Zelt/© Milos / Stock.adobe.com (Symbolbild mit Fotomodell)