Zum Inhalt

Versorgung von diametaphysären Unterarmfrakturen im Kindes- und Jugendalter

Die antegrade intramedulläre Nagelosteosynthese und ihre Alternativen

Erschienen in:

Zusammenfassung

Operationsziel

Die Osteosynthese bei dislozierten diametaphysären Unterarmfrakturen dient der Wiederherstellung von Anatomie und Funktion. Durch die Versorgung mit einer antegraden intramedullären Nagelosteosynthese im Radius sollen Länge, Rotation und Achse im Rahmen der altersspezifischen Korrekturgrenzen wiederhergestellt werden. Die ausreichende Stabilität gewährleistet eine frühfunktionelle Nachbehandlung ohne Last.

Indikationen

Dislozierte diametaphysäre Unterarm- oder Radiusfrakturen, die sich nicht geschlossen, stabil reponieren lassen oder außerhalb der altersspezifischen Korrekturgrenzen verbleiben.

Kontraindikationen

Radius- oder Unterarmfrakturen, die sich distal oder proximal des definierten Areals befinden. Im Zugangsweg befindliche Weichteildefekte, Kontaminationen oder Infekte.

Operationstechnik

Im Verlauf des Thompson-Zugangs wird der Soft-Spot zwischen M. extensor digitorum und M. extensor carpi radialis brevis aufgesucht und eine ca. 3–4 cm Hautinzision durchgeführt. Dann stumpfes Präparieren bis auf den Knochen unter Schonung des N. radialis profundus und superficialis. Retraktion der Muskulatur mit 2 Langenbeck-Haken. Eröffnen der Kortikalis mit einem Pfriem. Gegebenenfalls kann zuvor ein 2,5-mm-Bohrer mit Gewebeschutz bei sehr harter Kortikalis verwendet werden. Der TEN-Durchmesser (TEN = Titanium Elastic Nail) wird so gewählt, dass er etwa zwei Drittel des Markraumes ausfüllt. Es empfiehlt sich, ein Abflachen der TEN-Kufe mit einer Parallelflachzange durchzuführen. Nach geschlossener Reposition wird der TEN dann bis vor die Wachstumsfuge unter leicht rotierenden Bewegungen gebracht. Der TEN wird am proximalen Ende umgebogen und oberhalb der Muskelbäuche abgekniffen. Alternative Verfahren sind die Kirschner-Draht-Osteosynthese oder der retrograde TEN von radial oder dorsal, mit oder ohne additive Biegung.

Weiterbehandlung

Ziel der Osteosynthese ist die frühfunktionelle Nachbehandlung ohne Last. Sportkarenz wird für 8 Wochen empfohlen. Die Metallentfernung kann nach Konsolidierung zwischen 3 und 6 Monaten erfolgen.

Ergebnisse

Deutlich dislozierte bzw. außerhalb der Korrekturgrenzen liegende Radius- und Unterarmfrakturen im Kindesalter zeigen nach beschriebener Osteosynthesetechnik sehr gute Behandlungsergebnisse bei geringem Risikoprofil. Eine Pseudarthrose konnte genauso wie Nervenschäden nicht beobachtet werden. Eine sekundäre Dislokation trat nicht ein.

Redaktion

Frank Unglaub, Bad Rappenau

Zeichnungen

Rüdiger Himmelhan, Mannheim
QR-Code scannen & Beitrag online lesen

Hinweis des Verlags

Der Verlag bleibt in Hinblick auf geografische Zuordnungen und Gebietsbezeichnungen in veröffentlichten Karten und Institutsadressen neutral.

Vorbemerkungen

Jedes zweite Kind erleidet während des Wachstums einen Knochenbruch [1], davon betreffen ca. 54 % den Unterarm; 18 % liegen im Schaftbereich. Der überwiegende Anteil mit 77 % ist am distalen Unterarm zu finden [2]. Sind die Dislokationen so ausgeprägt, dass sie außerhalb der Korrekturgrenzen liegen bzw. lassen sich die Frakturen geschlossen nicht adäquat reponieren, ist die Operation indiziert. Während im Schaftbereich die ESIN(elastisch stabile intramedulläre Nagel)-Osteosynthese die klassische operative Versorgung darstellt [3], wird der distale Unterarm in der Regel mit Kirschner-Drähten versorgt [4]. Frakturen im Übergang zwischen Dia- und Metaphyse stellen hierbei eine Eigenart dar. Subtrahiert man vom Quadrat über beiden Wachstumsfugen am distalen Unterarm das Quadrat über der Fuge des distalen Radius alleine, erhält man den genannten Bereich (Abb. 1; [5]). Diese Region ist in der AO Pediatric Comprehensive Classification of Long-Bone Fractures (PCCF) im proximalen Anteil der Metaphyse gelegen und entspricht damit dem Code 23-M/X.X [6].
Abb. 1
Definition der Diametaphyse (rot); Subtraktion des Quadrats über der Wachstumsfuge des Radius (blau) vom Quadrat über der Wachstumsfuge von Radius und Ulna (grün)
Bild vergrößern
Die Standardversorgung in dieser Region stellt bisher die Kirschner-Draht-Osteosynthese oder die klassische retrograde ESIN-Osteosynthese dar.
Die Versorgung mit Kirschner-Drähten erfolgt retrograd vom Processus styloideus radii über die Wachstumsfuge in den proximalen Anteil der Fraktur. Die Stärke der Kirschner-Drähte wird in Anbetracht des Alters des Kindes zwischen 1,4 und 1,6 mm gewählt. Ein Kreuzen der Drähte auf Frakturniveau ebenso wie ein mehrfaches Bohren durch die Wachstumsfuge sollten möglichst vermieden werden. Ebenfalls muss dringend die Ranvier-Zone geschont werden, um eine Wachstumsstörung zu vermeiden. Ob 1 Draht oder 2 Drähte ausreichend sind, wird weiterhin vielerorts diskutiert. Häufig ist jedoch bei diametaphysären Frakturen eine Fixierung nicht oder nur ungenügend stabil möglich, da die Drähte in einem zu flachen Winkel eingebracht werden müssen und so nur wenig oder insuffizient die Gegenkortikalis fassen [4].
Die retrograde ESIN-Osteosynthese in klassischer Art von radial distal stellt den Standard für die Versorgung von diaphysären Radiusfrakturen dar. Hierbei kommt es zu einer 3‑Punkt-Abstützung, die eine Stabilisierung der Fraktur als Folge hat [7]. Da bei diametaphysären Frakturen häufig die Gegenkortikalis vor Frakturniveau nicht erreicht werden kann, kommt es zu einem Ausbleiben der Verspannung. Dies kann bei so verbleibender Instabilität zu einer Ad-latus-Dislokation sowie Angulation der Fraktur führen.
Die streckseitige Versorgung vom Tuberculum Listeri aus birgt das Risiko der Verletzung der Extensor-pollicis-longus(EPL)-Sehne [8] sowie der Dislokation des distalen Fragmentes nach palmar (Abb. 2).
Abb. 2
Instabilität der Versorgung mittels streckseitigem TEN (a). Palmare Abkippung des distalen Fragmentes durch streckseitigen TEN (b)
Bild vergrößern
Die optimale Versorgung dieser Region ist somit weiterhin nicht geklärt.
Eine alternative Technik stellt aus Sicht der Autoren die antegrade intramedulläre Nagelosteosynthese des Radius dar. Nach anatomischer Überprüfung der Technik folgte eine Nachuntersuchung an 30 Kindern [9]. Diese Arbeit orientierte sich an der initialen Technik mit Kirschner-Drähten von Sato et al. [10] und stellte eine Weiterentwicklung der Technik dar. Andere zeigten ein geringes Risiko- und Komplikationsprofil [11, 12].
Eine weitere Therapiealternative kann die S‑Technik mit einem retrograden TEN sein, wobei durch entsprechendes Vorbiegen eine Abstützung des kurzen distalen Fragmentes gelingen kann [13].

Operationsprinzip und -ziel

Ziel der antegraden intramedullären Nagelosteosynthese ist die geschlossene Reposition und Retention in einer im Rahmen der Korrekturgrenzen befindlichen Stellung. Hierbei kommt es nicht zu einer 3‑Punkt-Abstützung, sondern zu einer antegraden Schienung des distalen Fragmentes, vergleichbar mit der retrograden Versorgung von subkapitalen Humerusfrakturen im Kindesalter mittels TEN [14]. Als Alternative kann auch ein vorgebogener Kirschner-Draht genutzt werden, der allerdings eine etwas geringere Stabilität bietet. Durch das Ausheilen in regelrechter Position werden die Voraussetzungen für die Wiedererlangung der Funktion und des kompletten Bewegungsumfang, insbesondere der Pro- und Supination, geschaffen.

Vorteile

  • Stabiles, minimal-invasives Verfahren zur Behandlung von diametaphysären Unterarmfrakturen
  • Frühfunktionelle Nachbehandlung
  • Schnellere Wiedererlangung der Sportfähigkeit im Vergleich zur konservativen Therapie
  • Verhindern einer verfahrensassoziierten Dislokation (wie unter Vorbemerkungen erwähnt)

Nachteile

  • Relevantes Risiko der Verletzung des Ramus profundus und superficialis des N. radialis in der Hand des in dieser anatomischen Region Ungeübten
  • Eröffnung der Kortikalis mit dem Pfriem kann erschwert sein, da der Knochen hier härter ist als in der Metaphyse
  • Größere Schnittführung als bei den alternativen Verfahren notwendig

Indikationen

  • Frakturen, die nach Lieber et al. [5] definiert sind (Abb. 1)
  • Stark dislozierte Frakturen, die konservativ nicht behandelt werden können

Kontraindikationen

  • Frakturen des distalen Unterarms
  • Frakturen des Unterarmschaftes
  • Komorbiditäten, die eine Operation verhindern
  • Verletzungen der Haut oder kritische Weichteile im Zugangsbereich

Patientenaufklärung

  • Aufklärung von Kind und Eltern über Therapiealternativen (konservativ/ESIN retrograd/Kirschner-Drähte)
  • Gegebenenfalls Notwendigkeit der offenen Reposition
  • Allgemeine Operationsrisiken, wie z. B. Gefäß‑/Nervenschaden etc.
  • Notwendigkeit der Metallentfernung
  • Risiko der sekundären Dislokation
  • Fehlstellung und Fehlfunktion
  • Dauer der Konsolidierung
  • Pseudarthrose
  • Sportkarenz

Operationsvorbereitungen

  • Standardröntgen der Frakturregion in 2 Ebenen
  • Klinische Evaluation der peripheren Durchblutung, Motorik und Sensorik (pDMS)
  • Untersuchung der Weichteile
  • Bildverstärker (BV)

Instrumentarium

  • TEN Stärke 2–3,0 mm
  • Pfriem
  • TEN-Applikator
  • Parallelflachzange
  • Schneideinstrument für TEN
  • Gegebenenfalls 2,5-mm-Bohrer
  • Gegebenenfalls Kirschner-Drähte 1,6/2,0 mm für Kapandji-Manöver

Anästhesie und Lagerung

  • Rückenlage mit ausgelagertem Arm auf Handtisch
  • Freie Durchleuchtungsmöglichkeit mit Einblenden
  • Desinfektion Hand/Unterarm bis handbreit proximal des Ellenbogengelenks
  • Intubationsnarkose mit ggf. Relaxation bei grober Dislokation der Fraktur
  • BV auf der Seite der Ulna bei proniertem Arm

Operationstechnik

Antegrade intramedulläre Nagelosteosynthese des Radius

(Abb. 3, 4, 5, 6, 7 und 8)
Abb. 3
Zugangsweg eingezeichnet. Verlauf des Thompson-Zugangs gepunktet vom dorsalen Processus styloideus radii zum Epicondylus lateralis. Im mittleren Anteil dieser Linie lässt sich zwischen M. extensor carpi radialis brevis und M. extensor digitorum ein Softspot tasten. Hier erfolgt die Schnittführung über 2–3 cm. Ulnar vom Zugang verläuft der Ramus profundus und radial der Ramus superficialis des N. radialis in engem Bezug zur Muskulatur
Bild vergrößern
Abb. 4
Schnitt eröffnet mit Langenbeck und Nerven. Schnittführung über 2–3 cm. Stumpfes Präparieren entlang der Muskellücke zwischen M. extensor carpi radialis brevis und M. extensor digitorum. Einsetzen von Langenbeck-Haken unter moderatem Zug zur Schonung der Nerven. Durch das stumpfe zur Seite halten der Muskelbäuche nach radial und ulnar und der in Bezug zu diesen liegenden Nerven kann eine Schädigung im Rahmen der Eröffnung der Kortikalis und der Insertion vermieden werden. Diese moderate Retraktion muss konsequent eingehalten werden, da das Risiko einer Verletzung des Ramus profundus und superficialis sonst deutlich erhöht ist. Darstellen der dorsalen Kortikalis
Bild vergrößern
Abb. 5
Perforation der Kortikalis unter Sicht. Bei mittels Haken offen gehaltener Wunde erfolgt die klassische Eröffnung der dorsalen Kortikalis mit dem Pfriem. Dies kann zeitweise sehr schwierig sein, da der Knochen hier härter als metaphysär ist. Wir empfehlen dann zunächst das Eröffnen der Kortikalis mit einem Bohrer der Stärke 2,5 mm mit Nutzung eines Gewebeschutzes. Im Anschluss dann weiteres Eröffnen, wie zuvor beschrieben, mit dem Pfriem ca. 45° zur Knochenoberfläche. Wichtig ist, wie zuvor beschrieben, die konsequente Schonung der Nerven durch Schutz mittels Langenbeck- oder Hohmann-Haken
Bild vergrößern
Abb. 6
Intraoperative Bilder. a Radiologische Darstellung des Eingehens mit dem Pfriem im 45°-Winkel, da der Schaft hier einen kleinen Durchmesser hat, ist noch mehr darauf zu achten, nicht die Gegenkortikalis zu perforieren. b Vorschieben des TEN bis zur Fraktur unter drehenden Bewegungen, dann Reposition der Fraktur. Hier kann das in der Abb. 7 beschriebene Kapandji-Manöver hilfreich sein, um eine offene Reposition zu vermeiden. Ebenfalls sollte die Kufe des TEN mit der Flachzange begradigt werden. c Bei reponierter Fraktur Vorschieben des TEN bis knapp unter die Wachstumsfuge. de Additive antegrade Versorgung der Ulna und Ausrichten der TEN-Enden bis zur optimalen Frakturstellung
Bild vergrößern
Abb. 7
Kapandji-Manöver. Zur einfacheren Reposition kann von streckseitig ein Draht der Stärke 1,6 oder 2,0 mm im 45°-Winkel in den Frakturspalt eingebracht werden. Unter Längszug des Armes und Druck von dorsal auf das Fragment wird der Draht dann sukzessive nach distal gekippt, sodass es zu einer Reposition des Fragmentes kommt. Der Draht kann dann temporär in der Gegenkortikalis des Schaftes fixiert werden, bis der TEN nach distal vorgebracht wird. Anschließend wird der Draht wieder entfernt
Bild vergrößern
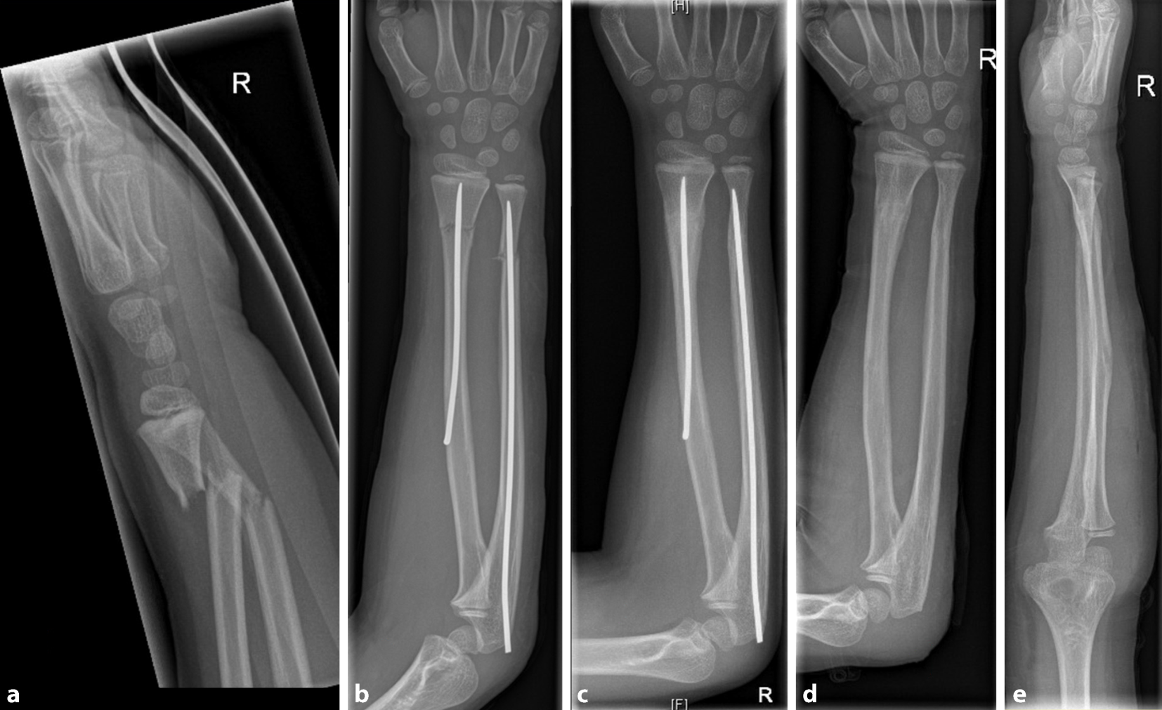
Abb. 8
Fall eines 7‑jährigen Jungen nach Sturz vom Klettergerüst auf den rechten Arm und radiologische Darstellung einer diametaphysären Unterarmfraktur (a). Postoperatives Röntgenbild nach antegrader TEN-Osteosynthese (b). Regelrechte Konsolidierung nach 3 Monaten (c). Verheilte Fraktur in regelrechter Stellung nach Metallentfernung (d, e)
Bild vergrößern

Alternative Technik: S-Osteosynthese mit retrogradem TEN

(Abb. 9, 10, 11, 12 und 13)
Abb. 9
In Narkose wird als Zugangsweg der radiale Zugang am distalen Radius gewählt und in typischer Art und Weise das Einbringen des TEN vorbereitet. Hierbei muss auf einen ausreichenden Abstand zur Ranvier-Zone geachtet werden, was teils schwierig ist bei den kurzen Fragmenten. Dann wird der TEN zunächst unvorgebogen in den Markraum eingebracht und die Fraktur nach Reposition unter Bildverstärker überbrückt. Um die exakten Umkehrpunkte und eine optimale Reposition zu erreichen, wird der TEN zunächst bis zur optimalen Position nach proximal vorgetrieben, mit aktuell Inkaufnahme einer gewissen Dislokation im Frakturspalt
Bild vergrößern
Abb. 10
Anschließend wird ein Klemmchen am distalen Ende des ESIN befestigt, und unter Bildwandlerkontrolle werden exakt der radiale Kortikalispunkt proximal der Fraktur, der Frakturspalt und unmittelbar distal der ulnare Umkehrpunkt an der Kortikalis abgemessen
Bild vergrößern
Abb. 11
Anschließend wird der TEN etwas zurückgeschlagen, und in situ befindlich werden die erhobenen Punkte abgemessen und ein S eingeformt. Dabei ist die Richtung der Dislokation zu beachten
Bild vergrößern
Abb. 12
Der TEN wird dann wieder vorgeschoben In der Regel muss das S so gebogen werden, dass der proximale Umkehrpunkt sich an der radialen Kortikaliswand abstützt, die Schräge des S diagonal durch die Frakturlinie verläuft und der distale Umschlagpunkt sich sodann ulnar an der Kortikalis abstützt und anschließend nach radial lateral distal in dem Knochen verläuft. Hierdurch kommt es zu einer Restreposition
Bild vergrößern
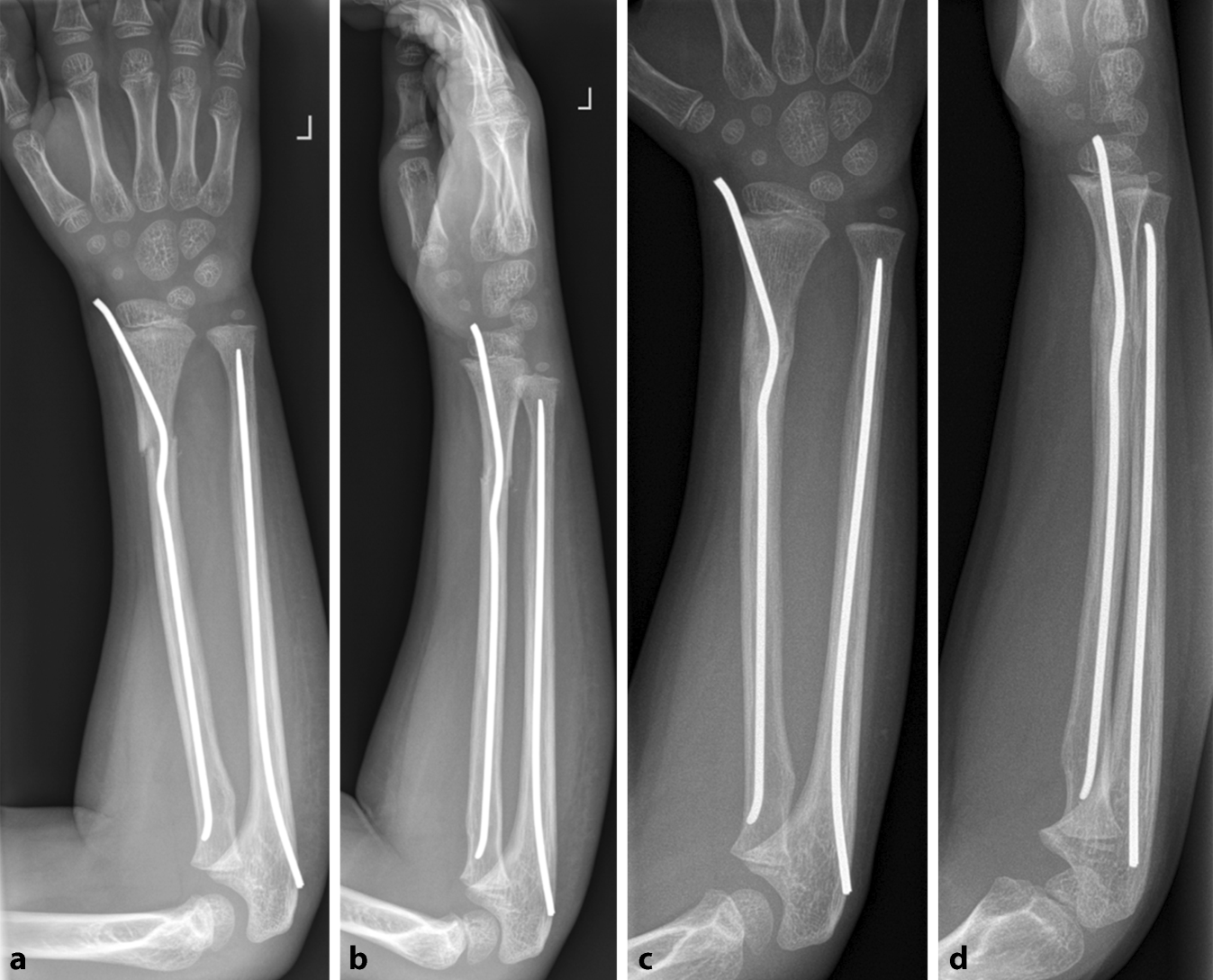
Abb. 13
Fallbeispiel. Versorgung einer diametaphysären Unterarmfraktur mit einem doppelt gebogenen TEN radial und antegradem TEN in der Ulna direkt postoperativ (a, b) und nach Konsolidierung (c, d)
Bild vergrößern

Postoperative Behandlung

  • Erhöhtes Lagern des Armes auf einem Kissen mit Kühlung
  • In der Regel keine Immobilisation in Cast oder Schiene; zur Schmerzreduktion kann eine Unterarmschiene für 3 bis 5 Tage angelegt werden
  • OP im Tagesverlauf ambulant möglich, ansonsten Entlassung am Folgetag
  • Wundkontrollen und ggf. zeitgerechter Fadenzug, falls kein resorbierbares Material verwendet wurde (Ausnahme!!)
  • Frühfunktionelle Nachbehandlung ohne Ruhigstellung
  • Röntgenkontrollen direkt postoperativ oder nach 1 Woche sowie zur Konsolidierung nach 4 Wochen und vor Metallentfernung
  • Sportkarenz für Vollkontakt für 8 Wochen („high impact“)
  • Schwimmen, Joggen etc. nach 4 Wochen („low impact“)
  • Materialentfernung nach Konsolidierung zwischen 3 und 6 Monaten

Fehler, Gefahren, Komplikationen

  • Bei fehlendem striktem Schutz der Nervenäste relevantes Risiko der Verletzung des Ramus profundus und superficialis des N. radialis
  • Fehlende Möglichkeit der Reposition
    • Gegebenenfalls limitiert offene Reposition
    • Gegebenenfalls offene Reposition und Plattenosteosynthese als Reserveverfahren
  • Postoperatives Hämatom → ggf. chirurgische Entlastung
  • Irritation am subkutan liegenden Nagelende mit einer möglichen Serombildung
  • Sekundäre Dislokation → Revisionsoperation mit ggf. Verfahrenswechsel
  • Infektion → je nach Ausmaß und Dauer Notwendigkeit einer Wundrevision bis zu Implantatentfernung und Revisionsoperation im Verlauf
  • Verzögerte Knochenheilung bzw. Pseudarthrose → Revisionsoperation

Ergebnisse

Von 2012 bis 2022 wurden insgesamt 17 Kinder im Alter zwischen 5 und 16 Jahren in antegrader Technik operiert. Hiervon wurden 14 Patienten primär versorgt und 3 sekundär bei Fehlstellung mit additiver Korrekturosteotomie. Die Erhebung erfolgte retrospektiv. Nachbehandlungszeitraum mindestens 6 Monaten. Die Metallentfernung konnte in allen Fällen zwischen 3 und 6 Monaten erfolgen. Nach Ausheilung bzw. in der letzten klinischen Kontrolle zeigte sich bei allen Kindern ein volles Range-of-Motion im Seitenvergleich, insbesondere im Hinblick auf die Pro- und Supination. Klinisch wie auch radiologisch zeigten sich keine Fehlstellungen bei komplettem Remodelling der Fraktur. Ein Junge zeigte ein postoperatives Serom am TEN-Ende, welches bei der Metallentfernung entlastet wurde. Weitere Komplikationen, wie z. B. Nervenschäden, Wundheilungsstörungen oder Infekte, zeigten sich nicht. Ruhigstellungen erfolgten nicht. Der Return-to-Sports begann nach 8 Wochen.
In der alternativen S‑Technik wurden zwischen 2019 und 2021 5 Kinder operiert. Die Kinder waren zum Zeitpunkt der Operation 9,58 (± 2,92) Jahre alt. Alle Kinder wurden primär am Unfalltag mit dieser Technik versorgt. In keinem der Fälle wurde ein sekundärer Repositionsverlust beobachtet. Alle Frakturen heilten im Mittel innerhalb von 3 Monaten aus, und es erfolgte regelhaft die Metallentfernung. Hier lag keine Differenz zu anderen Frakturversorgungen in dieser Region vor. Die Metallentfernung gestaltete sich unkompliziert. Alle Kinder waren in der Folge beschwerdefrei und zeigten nach Entfernung des Materials ein volles Range-of-Motion im Ellenbogen und Handgelenk bei voller Belastbarkeit des Armes. Komplikationen traten nicht auf. Diese Ergebnisse und die Anwendbarkeit der alternativen Technik wurden auch bereits zuvor durch Krohn et al. [13] bestätigt.

Einhaltung ethischer Richtlinien

Interessenkonflikt

H. Rüther, C. Spering, L. Fortini, K. Dresing, W. Lehmann und T. Radebold geben an, dass kein Interessenkonflikt besteht.
Für diesen Beitrag wurden von den Autor/-innen keine Studien an Menschen oder Tieren durchgeführt. Für die aufgeführten Studien gelten die jeweils dort angegebenen ethischen Richtlinien.
Open Access Dieser Artikel wird unter der Creative Commons Namensnennung 4.0 International Lizenz veröffentlicht, welche die Nutzung, Vervielfältigung, Bearbeitung, Verbreitung und Wiedergabe in jeglichem Medium und Format erlaubt, sofern Sie den/die ursprünglichen Autor(en) und die Quelle ordnungsgemäß nennen, einen Link zur Creative Commons Lizenz beifügen und angeben, ob Änderungen vorgenommen wurden.
Die in diesem Artikel enthaltenen Bilder und sonstiges Drittmaterial unterliegen ebenfalls der genannten Creative Commons Lizenz, sofern sich aus der Abbildungslegende nichts anderes ergibt. Sofern das betreffende Material nicht unter der genannten Creative Commons Lizenz steht und die betreffende Handlung nicht nach gesetzlichen Vorschriften erlaubt ist, ist für die oben aufgeführten Weiterverwendungen des Materials die Einwilligung des jeweiligen Rechteinhabers einzuholen.
Weitere Details zur Lizenz entnehmen Sie bitte der Lizenzinformation auf http://creativecommons.org/licenses/by/4.0/deed.de.

Hinweis des Verlags

Der Verlag bleibt in Hinblick auf geografische Zuordnungen und Gebietsbezeichnungen in veröffentlichten Karten und Institutsadressen neutral.
download
DOWNLOAD
print
DRUCKEN
Titel
Versorgung von diametaphysären Unterarmfrakturen im Kindes- und Jugendalter
Die antegrade intramedulläre Nagelosteosynthese und ihre Alternativen
Verfasst von
Dr. med. H. Rüther
C. Spering
L. Fortini
K. Dresing
W. Lehmann
T. Radebold
Publikationsdatum
14.11.2024
Verlag
Springer Medizin
Erschienen in
Operative Orthopädie und Traumatologie / Ausgabe 2/2025
Print ISSN: 0934-6694
Elektronische ISSN: 1439-0981
DOI
https://doi.org/10.1007/s00064-024-00877-3
1.
Zurück zum Zitat Jones I et al (2002) How many children remain fracture-free during growth? A longitudinal study of children and adolescents participating in the Dunedin Multidisciplinary Health and Development Study. Osteoporos Int 13:990–995PubMed
2.
Zurück zum Zitat Kraus R, Schneidmüller D, Röder C (2005) Häufigkeit von Frakturen der langen Röhrenknochen im Wachstumsalter. Dtsch Ärztebl 102(12):838–842
3.
Zurück zum Zitat Weinberg A‑M, Castellani C, Amerstorfer F (2008) Elastic stable intramedullary nailing (ESIN) of forearm fractures. Oper Orthop Traumatol 20:285–296PubMed
4.
Zurück zum Zitat Slongo T (2020) Technik und Biomechanik der Bohr-Draht (Kirschner-Draht)-Osteosynthese bei Kindern. Oper Orthop Traumatol 32(6):509PubMedPubMedCentral
5.
Zurück zum Zitat Lieber J, Sommerfeldt D (2011) Die diametaphysäre Unterarmfraktur im Kindesalter. Unfallchirurg 4(114):292–299
6.
Zurück zum Zitat Slongo T et al (2006) Development and validation of the AO pediatric comprehensive classification of long bone fractures by the Pediatric Expert Group of the AO Foundation in collaboration with AO Clinical Investigation and Documentation and the International Association for Pediatric Traumatology. J Pediatr Orthop 26(1):43–49PubMed
7.
Zurück zum Zitat Schmittenbecher PP (2005) State-of-the-art treatment of forearm shaft fractures. Injury 36:A25–A34PubMed
8.
Zurück zum Zitat Moeller R‑T et al (2022) Langzeitergebnisse der Extensor-indicis-Transposition bei Ruptur der Extensor pollicis longus Sehne nach kindlicher Unterarmfraktur. Handchir Mikrochir Plast Chir
9.
Zurück zum Zitat Eichhorn K (2019) Antegrade Nagelung distaler Radiusfrakturen bei Kindern – klinische Ergebnisse, Operationstechnik und anatomische Studie. Universität Ulm
10.
Zurück zum Zitat Sato O et al (2002) Antegrade intramedullary K‑wire fixation for distal radial fractures. J Hand Surg Am 27(4):707–713PubMed
11.
Zurück zum Zitat Du M, Han J (2019) Antegrade elastic stable intramedullary nail fixation for paediatric distal radius diaphyseal metaphyseal junction fractures: a new operative approach. Injury 50(2):598–601PubMed
12.
Zurück zum Zitat Urcola-Perez M et al (2022) Antegrade ESIN-Technik bei dia-metaphysären Problemfrakturen des kindlichen Radius. Gms Ger Med Sci
13.
Zurück zum Zitat Krohn C (2022) Double Pre-Bending of an Intramedullary Nail Is the Minimal Invasive Osteosynthesis Solution for Dia-Metaphyseal Fractures of the Radius in Children: Technical Note and Case Series. Children 9(4):579PubMedPubMedCentral
14.
Zurück zum Zitat Kelly DM (2016) Flexible Intramedullary Nailing of Pediatric Humeral Fractures: Indications, Techniques, and Tips. J Pediatr Orthop 36(1):S49–S55PubMed

Arthropedia

Grundlagenwissen der Arthroskopie und Gelenkchirurgie erweitert durch Fallbeispiele, Videos und Abbildungen. Zur Fortbildung und Wissenserweiterung, verfasst und geprüft von Expertinnen und Experten der Gesellschaft für Arthroskopie und Gelenkchirurgie (AGA).


Jetzt entdecken!

Neu im Fachgebiet Orthopädie und Unfallchirurgie

Mit Glukokortikoiden überbrücken? Studie stützt europäische Rheuma-Leitlinie

Glukokortikoide, die zu Beginn einer krankheitsmodifizierenden Rheumatherapie begleitend eingesetzt werden, lassen sich in den allermeisten Fällen planmäßig ausschleichen und absetzen: Das Ergebnis der ARCTIC-Studie spricht diesbezüglich für die europäische und gegen die US-amerikanische Leitlinie.

7% durch chronische Schmerzen stark beeinträchtigt

Laut einer Querschnittstudie leiden rund 7% der in Deutschland lebenden über 16-Jährigen unter chronischen Schmerzen, die ihren Alltag stark beeinträchtigen. Außer biologischen scheinen auch psychische und soziale Faktoren mit sogenanntem High-Impact Chronic Pain assoziiert zu sein.

Elektroschrott: Wie Praxen Altgeräte sicher entsorgen

Ob nun Sonogerät, Praxiscomputer oder gar TI-Konnektor: Einfach zum nächsten Wertstoffhof sollten Praxisteams ausgediente Elektrogeräte nicht bringen. Was bei der Entsorgung zu beachten ist. Und wie die Teams sicher sensible Daten auf PC-Festplatte, externem Datenspeicher und TI-Komponenten löschen.

Tipps: So können Praxen die Risiken für einen GOÄ-Streit minimieren

Für Streitigkeiten, die das GOÄ-Honorar betreffen, sind neuerdings nur noch Landgerichte zuständig. Das macht Prozesse teurer. Eine Praxisberaterin erläutert, wie Praxen vorbauen können, um solche Streitfälle und Gerichtsverfahren zu vermeiden.

Update Orthopädie und Unfallchirurgie

Bestellen Sie unseren Fach-Newsletter und bleiben Sie gut informiert.

Bildnachweise
Arthropedia, Verschiedene Tabletten/© zozzzzo / Getty Images / iStock, Ultraschalluntersuchung der Niere/© Your_Photo_Today (Symbolbild mit Fotomodellen), Richter mit Gesetzbuch/© Kzenon / stock.adobe.com (Symbolbild mit Fotomodell)