Zum Inhalt

Schweres Thoraxtrauma mit Trachealruptur – ein Fallbericht

Zusammenfassung

Das schwere Thoraxtrauma stellt aufgrund der vielen lebenswichtigen und sehr empfindlichen Organe, deren physiologische Funktion durch die beim Trauma einwirkenden Kräfte lebensbedrohlich beeinträchtigt werden kann, eine große Herausforderung in der Notfallmedizin dar. Daher ist das Thoraxtrauma in Deutschland auch die zweithäufigste traumabedingte Todesursache nach dem Schädel-Hirn-Trauma. Selten, dafür aber besonders schwierig zu diagnostizieren und in der notfallmedizinischen Phase zu beherrschen sind hierbei tracheobronchiale Verletzungen. Hämoptysen, Dyspnoe und ein Hautemphysem müssen bereits prähospital den Verdacht darauf lenken. Im Rahmen der innerklinischen Bildgebung sind ein Pneumomediastinum und ein persistierender Pneumothorax trotz korrekt einliegender Thoraxdrainagen starke Hinweise auf eine solche Verletzung. Bei klinischem Verdacht muss zur Diagnosesicherung eine Bronchoskopie erfolgen, da sie eine höhere Sensitivität hat als die Computertomographie. Die Läsion muss im Folgenden durch spezielles Atemwegsmanagement oder eine extrakorporale Membranoxygenierung funktionell ausgeschlossen werden und in der Regel operativ versorgt werden. Das mögliche prähospitale Management sowie die interdisziplinäre innerklinische Versorgung eines Patienten mit tracheobronchialer Verletzung werden hier anhand einer Kasuistik dargestellt und diskutiert.
QR-Code scannen & Beitrag online lesen

Hinweis des Verlags

Der Verlag bleibt in Hinblick auf geografische Zuordnungen und Gebietsbezeichnungen in veröffentlichten Karten und Institutsadressen neutral.
Tracheobronchiale Verletzungen sind bei einem Thoraxtrauma eine seltene, aber aufgrund der hohen Mortalität gefürchtete Komplikation. In einer Aufarbeitung des deutschen Traumaregisters aus dem Jahr 2020 wird eine Inzidenz von 0,4 % bei einem Polytrauma angegeben, 0,35 %, wenn man penetrierende Verletzungen (Stich‑, Schnitt- und Schussverletzungen) nicht berücksichtigt [1]. In einer Obduktionsstudie dagegen werden bei 2,8 % der verstorbenen Traumapatienten tracheobronchiale Verletzungen detektiert [2]. Das heißt, dass vermutlich bis zu 80 % der Patienten mit einer tracheobronchialen Verletzung prähospital versterben [26]. Insuffizientes Atemwegsmanagements, die Entwicklung eines Spannungspneumothorax, Verletzungen der großen intrathorakalen Gefäße, Wirbelsäulenverletzungen und intraabdominelle Verletzungen sind ursächlich für die hohe Sterblichkeit während der Prähospitalphase und der frühen innerklinischen Versorgung [2, 7, 8]. Das frühe Erkennen einer tracheobronchialen Verletzung und deren rasche, suffiziente Therapie sind daher essenziell [9]. Im vorliegenden Fallbericht wird das prähospitale Vorgehen sowie das interdisziplinäre innerklinische Management eines Patienten mit tracheobronchialer Verletzung dargestellt und diskutiert.

Anamnese

Ein 23-jähriger Soldat der Schweizer Armee stand in der geöffneten Luke eines Panzers, als dieser rückwärtsfuhr. Dabei stieß der Deckel der Luke gegen das Geschützrohr des dahinterstehenden Panzers, wodurch dieser angehoben und in Verschlussposition gekippt wurde. Dadurch wurde der Soldat auf Höhe von Kopf und Thorax zwischen Lukenöffnung und deren Deckel eingeklemmt. Seine Kameraden erkannten dies sofort, ließen das Geschützrohr anheben und zogen den schwer verletzten Soldaten aus der Panzerluke. Nach Alarmierung des Rettungsdiensts traf der Rettungshubschrauber ca. 15 min nach dem Unfallereignis am Einsatzort ein. Zusätzliche bodengebundene Rettungsmittel wurden aufgrund der äußerst entlegenen Lokalisation des Einsatzorts und sehr langen Fahrzeiten von der Einsatzzentrale nicht entsandt.

Befund

Der „primary survey“ ergab folgenden Befund:
  • X: keine offensichtliche Massenblutung
  • A: enoral Blut und mehrere abgebrochene Zähne. Halswirbelsäule (HWS) bei vigilanzgemindertem Patienten stabilisiert
  • B: periphere Sauerstoffsättigung (SpO2) 60 %, auskultatorisch beidseits ventilierte Lungen
  • C: Blutdruck 80/43 mm Hg, Puls 102/min. Thorax und lange Röhrenknochen stabil, Bauch weich, Becken stabil
  • D: Spontanbewegung nur von der linken Hand. Glasgow Coma Scale (GCS) 10 (A4, V1, M5). Pupillen isokor
  • E: mehrere Schürfwunden im Thoraxbereich und im Gesicht, Riss-Quetsch-Wunde an der linken Wange, Temperatur nicht gemessen.
Grob orientierende Ultraschalluntersuchung nach dem Extended-Focused-Assessment-with-Sonography-in-Trauma(eFAST)-Protokoll:
  • Pleuragleiten beidseits, kein Hinweis auf einen Pneumothorax
  • Kein Hinweis auf Perikarderguss/-tamponade
  • Keine freie Flüssigkeit im Abdomen
Aufgrund des teilweise mit Blut und Speichel verlegten und damit akut gefährdeten Atemwegs bei Vigilanzminderung und schwerem Gesichtstrauma und der kritischen Oxygenierungssituation des Patienten (SpO2 60 %) erfolgte unmittelbar nach „primary survey“ und eFAST-Untersuchung die Narkoseeinleitung mit Fentanyl (0,1 mg), Ketamin (100 mg) und Rocuronium (100 mg). Die tracheale Intubation erfolgte unter Videolaryngoskopie und manueller In-line-Stabilisierung der HWS im ersten Versuch (Innendurchmesser des Tubus 8,0 mm). Während dieses Intubationsvorgangs mussten mit einer Magill-Zange mehrere abgebrochene Zähne aus dem Rachen geborgen und mehrmals Blut aus dem Rachen abgesaugt werden, um freie Sicht auf die Stimmbänder zu erhalten. Die SpO2 stieg nach Beginn der manuellen Maskenbeatmung mit einem Beatmungsbeutel mit Reservoir und einem Sauerstofffluss von 12 l/min von 60 % auf etwa 80 % an. Da sich auch in einer wiederholten sonographischen Untersuchung der Lunge nach Narkoseeinleitung und Intubation kein Hinweis auf einen Pneumothorax zeigte, wurde auf die Anlage von Thoraxdrainagen verzichtet, der Patient auf einer Vakuummatratze immobilisiert und in den Rettungshubschrauber verladen. Die SpO2 stieg im weiteren Verlauf der Versorgung und des Transports mit einer inspiratorischen Sauerstofffraktion (FiO2) von 80 bis 90 % auf 98 % an. Der Kreislauf musste zur Einhaltung normotoner Blutdruckwerte bei Verdacht auf Schädel-Hirn-Trauma durch die Gabe von insgesamt 1400 ml Kristalloiden und einmalig 10 µg Noradrenalin i.v. stabilisiert werden.

Diagnose

Nach einem ca. 30-minütigen, komplikationslosen Transport in ein überregionales Traumazentrum erfolgte die Übergabe im Schockraum mit anschließendem Reassessment:
  • X: keine offensichtliche Massenblutung
  • A: intubiert. HWS durch Orthese immobilisiert
  • B: SpO2 98 %. Abrasion über Manubrium sterni. Nicht gestaute Halsvenen, kein Hautemphysem
    • eFAST: Lungenpunkt beidseits und freie Flüssigkeit in den Recessi pleurales
  • C: einmalig kurz vor Eintreffen Noradrenalingabe, aktuell kreislaufstabil. Bauch weich, lange Röhrenknochen stabil. Becken stabil
    • eFAST: kein Perikarderguss, keine intraabdominelle freie Flüssigkeit
  • D: GCS 3, analgosediert. Pupillen mittelweit, isokor, direkt und indirekt prompt lichtreagibel. Normoglykämisch
  • E: normotherm. Kein Log-Roll durchgeführt bei klinisch sehr wahrscheinlicher Wirbelsäulenverletzung und unmittelbar folgender computertomographischer Bildgebung
  • Arterielle Blutgasanalyse (aBGA) s. Tab. 1
Tab. 1
Arterielle Blutgasanalyse nach Übergabe im Schockraum (pO2 Sauerstoffpartialdruck, pCO2 Kohlenstoffdioxidpartialdruck, Hb Hämoglobinkonzentration)
pH
7,282
pO2
121 mm Hg (bei einer FiO2 von 80 %)
pCO2
50,9 mm Hg
Bicarbonat
23,9 mmol/l
SpO2
98 %
Hb
152 g/l
Hämatokrit
0,37 l/l
Kalium
4,6 mmol/l
Natrium
140 mmol/l
Laktat
1,3 mmol/l
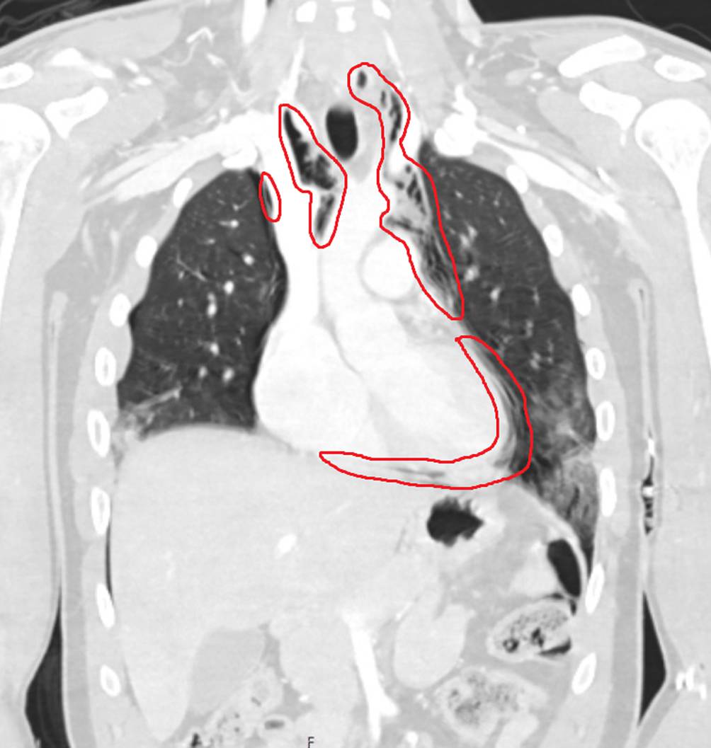
Bei nun stabiler Kreislaufsituation (ohne Volumen- oder Noradrenalingabe) und gemäß aBGA ausreichender Oxygenierung und Ventilation entschieden wir uns, zunächst einmal auf die Anlage von Thoraxdrainagen zu verzichten und die bildgebende Diagnostik durch eine Computertomographie (CT) zu vervollständigen. Diese zeigte im Wesentlichen komplexe Mittelgesichtsfrakturen (LeFort-I-Fraktur rechts komplett, links inkomplett, LeFort-II-Fraktur rechts und LeFort-III-Fraktur beidseits, Abb. 1), nichtdislozierte Frakturen der Processi transversi des Halswirbelkörpers (HWK) 7 und der Processi transversi der Brustwirbelkörper (BWK) 1 und 2 rechts, einen schmalen beidseitigen Hämatopneumothorax mit maximaler Saumbreite von 2,5 cm, Rippenserienfrakturen beidseits (Costae I–VII rechts, Costae I–IX links) mit Flail-Segment rechts (Costae I–VII jeweils mehrfach zwei- oder dreifach frakturiert), eine Lungenkontusion und -lazeration beidseits sowie ein Pneumomediastinum (Abb. 2). Bis auf die genannten Querfortsatzfrakturen fand sich keine weitere Wirbelsäulenverletzung, das Alignment war über die komplette Wirbelsäule intakt.
Abb. 1
Computertomographische 3‑D-Rekonstruktion des Schädels mit komplexen Mittelgesichtsfrakturen (LeFort-I-Fraktur rechts komplett, links inkomplett, LeFort-II-Fraktur rechts und LeFort-III-Fraktur beidseits)
Bild vergrößern
Abb. 2
Koronarer Schnitt der initialen computertomographischen Diagnostik im Rahmen der Schockraumversorgung mit Nachweis eines Pneumomediastinums
Bild vergrößern
Aufgrund des nachgewiesenen Pneumomediastinums wurde unmittelbar nach Abschluss der CT-Diagnostik noch im Schockraum eine Bronchoskopie durchgeführt. Dabei zeigte sich dorsal auf Höhe der Carina eine etwa 3 cm lange Trachealruptur, die sich spiralförmig bis in den rechten Hauptbronchus erstreckte (Abb. 3). Die Tubusspitze lag 5,5 cm kranial von der Carina. Die nun bronchoskopisch diagnostizierte tracheobronchiale Ruptur ließ sich retrospektiv auch in den CT-Bildern verifizieren (Abb. 4). Somit bestand die dringende Op.-Indikation zur Übernähung der Trachea über eine rechtsseitige Thorakotomie. Noch im Schockraum vor Verlegung in den OP wurde linksseitig eine Thoraxdrainage in Bülau-Position eingelegt, bei unmittelbar folgender Thorakotomie rechts und aktuell tolerierbarer kardiopulmonaler Situation verzichteten wir zunächst auf eine Drainage-Anlage rechts. Durch die Kollegen der Gastroenterologie wurde noch vor Verlegung in den OP endoskopisch eine Begleitverletzung des Ösophagus ausgeschlossen. Auf eine präoperative magnetresonanztomographische Darstellung (MRI) der spinalen Achse bei bis dahin nicht erklärter peripherer Plegie der Beine und des rechten Arms wurde aufgrund der zeitdringlichen thoraxchirurgischen Op.-Indikation verzichtet.
Abb. 3
Bronchoskopisches Bild mit Nachweis der tracheobronchialen Verletzung (Bildmitte) dorsal im Bereich der Hauptcarina und in den rechten Hauptbronchus ziehend (Pfeil)
Bild vergrößern
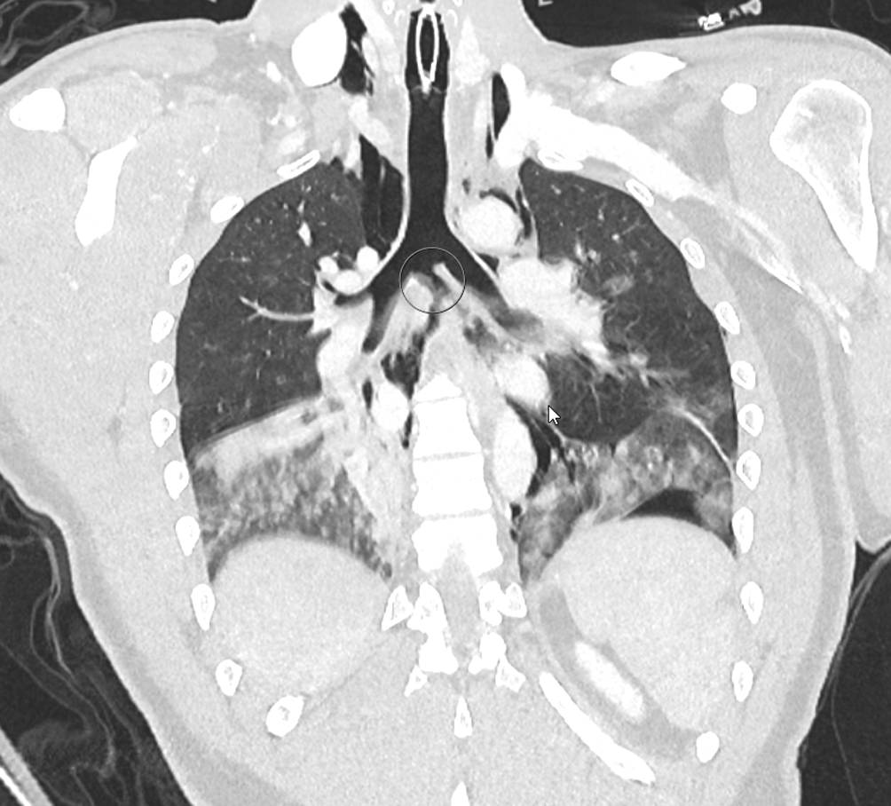
Abb. 4
Koronarschnitt der Computertomographie im Rahmen der Schockraumversorgung mit Nachweis der tracheobronchialen Verletzung (Kreis)
Bild vergrößern

Therapie und Verlauf

In Rücksprache mit den Operateuren war für den Eingriff eine Ein-Lungen-Ventilation notwendig. Aufgrund der zahlreichen Mittelgesichtsfrakturen war das Gesicht jedoch ebenso wie der Hals – durch ein inzwischen nun auch klinisch nachweisbares Hautemphysem – so massiv angeschwollen, dass eine Umintubation auf einen Doppellumentubus nicht (mehr) infrage kam, weil dies mit einem Risiko für einen Verlust des Atemwegs verbunden gewesen wäre. Daher entschieden wir uns in Rücksprache mit den Operateuren für eine Ein-Lungen-Ventilation mittels rechtsseitigem Bronchusblocker.
Intraoperativ zeigte sich – wie bereits nach der Bronchoskopie vermutet – ein partieller Abriss des rechten Hauptbronchus mit konsekutiver Carinaläsion und Ruptur der trachealen Pars membranacea nach kranial über 3–4 cm. Aus anästhesiologischer Sicht verschlechterte sich die Ventilation aufgrund des großen Leckagevolumens von 1–2 l/min über den Defekt intraoperativ zunehmend. Wir versuchten daher, den Trachealtubus unter fiberoptischer Sicht in den linken Hauptbronchus vorzuschieben, wobei sich der Tubus-Cuff jedoch bei jedem Versuch in der Läsion der Carina verfing und daher nicht weiter distal positioniert werden konnte. Eine Umintubation auf einen Doppellumentubus oder einen dünneren Einlumentubus war weiterhin aufgrund der zu erwartenden sehr schwierigen Bedingungen für eine Laryngoskopie keine Option. Daher entschieden wir uns während des thoraxchirurgischen Eingriffs für eine Anlage einer extrakorporalen Membranoxygenierung (ECMO). Aufgrund des bereits steril abgedeckten Op.-Felds, der weiter notwendigen HWS-Orthese bei klinisch dringend vermuteter HWS-Verletzung sowie nicht zugänglicher linker Leiste bei Linksseitenlage war die venoarterielle Anlage mit beiden Zugängen in der rechten Leiste technisch deutlich einfacher als die venovenöse Kanülierung. Die tracheobronchiale Verletzung konnte nun unter stabilen Bedingungen erfolgreich adaptiert und mit einem Venenflap des distalen Anteils der V. azygos und Fibrinkleber verstärkt werden.
Postoperativ wurde die venoarterielle ECMO bei hämodynamisch stabiler Situation sowie günstigerem Risikoprofil auf eine venovenöse ECMO zur Entlastung der Tracheaplastik umkanüliert. Bei einem beschichteten ECMO-System wurde initial auf eine Antikoagulation verzichtet. Aufgrund beginnender thrombotischer Ablagerungen im System musste jedoch mit der Antikoagulation mit unfraktioniertem Heparin am ersten postoperativen Tag begonnen werden. Im Rahmen dieser Antikoagulation kam es zweimalig zur Entwicklung von relevanten Hämatothoraces, die jeweils operativ evakuiert werden mussten, da diese auch über ein Anspülen der einliegenden Drainagen nicht suffizient abgeleitet werden konnten.
Schlussendlich wurde der Patient zur Verhinderung von hohen Beatmungsdrücken während des Entwöhnens von der ECMO (und damit zur Schonung der Tracheaplastik) und bei absehbar länger dauernder Beatmungszeit (aufgrund der Lungenkontusionen und -lazeration, zahlreichen Rippenfrakturen und mehreren Nachblutungen) plastisch tracheotomiert. Zudem wurden die Mittelgesichtsfrakturen operativ versorgt. Im Aufwachversuch zeigte sich der Patient adäquat mit jedoch persistierender Paraplegie der Beine (beidseits Kraftgrad M1 auf Schmerzreiz) bei symmetrischer Bewegung beider Arme (beidseits Kraftgrad M4). Da eine MRI aufgrund der einliegenden ECMO weiterhin nicht möglich war, führten wir zur weiteren Bildgebung und Bestimmung des Prozedere hinsichtlich der Wirbelsäulenverletzung eine Verlaufs-CT durch. Diese zeigte einen Versatz der BWK 4/5 um 2 mm (ohne Kompression des Spinalkanals) im Sinne einer stattgehabten Luxationsverletzung, welche eine Myelopathie erklären könnte.
Am 13. postoperativen Tag wurde die ECMO erfolgreich beendet und sämtliche Kanülen problemlos entfernt. Die nun unmittelbar durchgeführte MRI zeigte eine Myelonkontusion auf Höhe BWK 5 und ein posteriores Epiduralhämatom auf Höhe BWK 2–6; es bestand der Verdacht auf eine Ruptur des Ligamentum longitudinale posterius auf Höhe BWK 4/5. Aufgrund dessen erfolgte die transmuskuläre dorsale Spondylodese BWK 3–6. Der Patient wurde nach insgesamt 21 Tagen auf der Intensivstation neurologisch komplett orientiert bei weiterhin persistierender Paraplegie der Beine in die Neurorehabilitation entlassen.

Diskussion

In der Literatur werden drei mögliche Pathomechanismen der tracheobronchialen Verletzungen im Rahmen eines Thoraxtraumas beschrieben [4, 1012]:
  • Hoher intratrachealer Druck bei Thoraxkompression und geschlossener Glottis
  • Scherkräfte an der Bifurkation der Trachea bei frontaler Kompression des Thorax, wodurch beide Lungen auseinandergedrückt werden
  • Scherkräfte an der Bifurkation der Trachea durch starke Dezeleration, da diese anatomisch fixiert ist
In 76–96 % betreffen Trachealrupturen beim stumpfen Thoraxtrauma daher die Bifurkation mit einem Radius von 2,5 cm [4, 5, 1214]. Die rechtsseitige Verletzung, wie sie auch in unserem Fall vorlag, ist wesentlich gefährlicher als die linksseitige, da linksseitige Verletzungen häufig noch vom Aortenbogen gedeckt werden können [15]. Im Gegensatz zu iatrogenen tracheobronchialen Verletzungen, welche in der Regel longitudinal verlaufen, handelt es sich beim stumpfen Thoraxtrauma meist um transversale oder spiralförmige Verletzungen. Dabei kommt es meist zum Abriss der Trachea oder der Hauptbronchien zwischen den Knorpelspangen oder zu einer spiralförmigen Trachealverletzung mit Ausdehnung in einen Hauptbronchus [11]. Beim penetrierenden Thoraxtrauma dagegen sind die Verletzungen des Tracheobronchialbaums in der Regel an der zervikalen Trachea zu finden [5, 16].
Eine Übersicht über Symptome und Befunde, die den Verdacht auf eine mögliche tracheobronchiale Verletzung lenken müssen, bietet Tab. 2; [4, 6, 1521].
Tab. 2
Auf tracheobronchiale Verletzung verdächtige Symptome und Befunde
Klinische Zeichen
Bildgebung
Dyspnoe/Stridor (Inzidenz 59–100 % [2224])
Pneumomediastinum
Tachypnoe (Inzidenz 61 % [17])
Persistierender Pneumothorax bei korrekt einliegender Thoraxdrainage
Hautemphysem im Hals- oder Thoraxbereich (Inzidenz 81–87 % [17, 19, 23]) sowie Schwellung des Larynx
(Spannungs‑)Pneumothorax (Inzidenz 17–70 % [1, 19, 23])
Hämoptyse oder Blut im Tubus (Inzidenz 14–74 % [22, 24])
Heiserkeit
Hohe Leckage bei der Beatmung bei Volumenverlust entlang des Cuffs oder über eine einliegende Thoraxdrainage
Steigende Beatmungsdrücke trotz einliegender Thoraxdrainagen
Hämoptyse, Hautemphysem und ein persistierender Pneumothorax trotz einliegender Thoraxdrainage gelten als Kardinalsymptome einer Tracheobronchialverletzung [6, 20, 25]. Bleibt die Kontinuität des Atemwegs durch peritracheales oder peribronchiales Gewebe erhalten, kann die Symptomatik milder ausfallen und die Verletzung lange Zeit unerkannt bleiben [21]. Im vorliegenden Fall war ein Hautemphysem prähospital und während der initialen Schockraumversorgung zu keinem Zeitpunkt nachzuweisen, was die Einschätzung des zugrunde liegenden Verletzungsmusters deutlich erschwerte und weshalb eine tracheobronchiale Verletzung zunächst auch – bis zum Abschluss der CT-Diagnostik und dem Erkennen des Pneumomediastinums – nicht vermutet wurde.

Prähospitales Management bei Verdacht auf Tracheobronchialverletzung

Eine intrathorakale tracheobronchiale Verletzung prähospital zu erkennen, ist aufgrund der dort begrenzten diagnostischen Möglichkeiten eine Herausforderung [15]. Besteht der Verdacht auf eine tracheobronchiale Verletzung, sollte – falls es der Patientenzustand erlaubt – bei erhaltener Spontanatmung von einer Überdruckbeatmung möglichst abgesehen werden, da diese die Emphysembildung und den Pneumothorax aggraviert [25]. Wache Patienten können – wenn möglich – über eine dicht sitzende Sauerstoffmaske mit Reservoir oder mittels assistierender Maskenbeatmung (falls verfügbar mit einem Demand-Ventil) unterstützt werden [19]. Bei drohender respiratorischer Erschöpfung/Insuffizienz und zunehmendem Emphysem muss aber rechtzeitig die Atemwegssicherung erfolgen, bevor ein ausgedehntes Emphysem diese zunehmend erschwert oder unmöglich macht [19]. Hierbei muss von einem erschwerten Management und aufgrund der thorakalen Verletzung von einer reduzierten respiratorischen Reserve und einer verminderten Apnoetoleranz ausgegangen werden [25]. Bei bereits prähospitalem Verdacht auf eine tracheobronchiale Verletzung kann eine absichtliche endobronchiale Intubation (also in der Regel meist rechtsseitig) versucht werden [4, 25]. Aufgrund der typischen Lokalisation der tracheobronchialen Verletzungen in der Nähe der Hauptcarina lässt sich die Verletzung so oft funktionell ausschalten und eine weitere Verschärfung der respiratorischen Situation vermeiden. Andererseits zeigt unser Fallbericht, dass dies mechanisch nicht immer möglich sein kann, und verdeutlicht auch, dass die Verletzung dadurch eventuell aggraviert werden könnte, zumal in der Prähospitalphase in der Regel keine Hilfsmittel wie eine Fiberoptik zur Verfügung stehen. Der Cuff sollte in so einem Fall mit dem minimal notwendigen Druck geblockt werden, um ein Fortschreiten der Verletzung zu verhindern [4, 11]. Bei steigendem Beatmungsdruck, zunehmendem Pneumothorax sowie fortschreitendem Hautemphysem muss davon ausgegangen werden, dass die Tubusspitze nicht distal des Defekts platziert ist [25]. In den Leitlinien zur Schwerverletztenbehandlung und Handlungsempfehlungen zur Therapie tracheobronchialer Verletzungen fehlen klare Angaben zur Indikation der Thoraxdrainage-Anlage bei tracheobronchialer Verletzung in der prähospitalen Phase [15, 26]. Bei Vorliegen eines Spannungspneumothorax muss selbstverständlich bereits prähospital die Einlage einer Thoraxdrainage erfolgen [15]. Je nach Ausmaß der Verletzung ist das Luftfistelvolumen allerdings oft so groß, dass sich sehr rasch eine Spannungskomponente entwickeln kann, sodass die Indikation zur Drainage großzügig zu stellen ist, ganz besonders bei Überdruckbeatmung. Aufgrund der Gefahr eines „acute respiratory distress syndrome“ (ARDS) nach Thoraxtrauma sollte das Tidalvolumen 6 ml/kg Körpergewicht, der Beatmungsdruck 25–30 cmH2O und der positive endexspiratorische Druck (PEEP) 8–10 cmH2O nicht überschreiten [16, 25]. Nur durch einen thoraxchirurgischen Eingriff ist eine kausale Therapie möglich, weshalb die Zeit am Einsatzort möglichst kurz gehalten werden muss [19].

Innerklinisches Management bei Verdacht auf tracheobronchiale Verletzung

In einer Röntgenübersichtsaufnahme könnten als typische Hinweise auf eine tracheobronchiale Verletzung ein fehlender Hilusschatten sowie eine komplette Atelektase der Lunge auf der betroffenen Seite festgestellt werden [5, 18]. In der in der modernen Schockraumversorgung üblichen und sehr schnell verfügbaren CT finden sich als dringende Hinweise auf eine tracheobronchiale Verletzung typischerweise ein Mediastinalemphysem/Pneumomediastinum sowie ein Pneumothorax [6]. Falls die Verletzung z. B. von peritrachealem oder peribronchialem Gewebe gedeckt ist, kann dies die radiologische Diagnose erschweren [18]. Bei klinischem Verdacht auf eine tracheobronchiale Verletzung muss daher zur Diagnostik sowie Darstellung des Ausmaßes der Verletzung zwingend zeitnah im akutmedizinischen Behandlungsverlauf (z. B. nach Ankunft auf der Intensivstation) eine Bronchoskopie erfolgen [46, 11, 15, 2527], da diese, wie auch in unserem Fall beschrieben, eine höhere Sensitivität als eine CT hat [28]. Zudem können bronchoskopisch Sekret und Blutkoagel entfernt werden [16]; so kann die Verletzung „demaskiert“ werden. Nach Diagnostik einer tracheobronchialen Verletzung ist ein „airway management“ zu wählen, das eine weitere extraluminale Fistelung über die Verletzung verhindert. Hierfür können je nach Lokalisation der Verletzung verschiedene Methoden zum Einsatz kommen. Man kann einen Doppellumentubus einlegen, um nur über das intakte Tracheobronchialsystem zu ventilieren (d. h. linksläufiger Doppellumentubus bei Verletzung des rechten Hauptbronchus bzw. umgekehrt). Weiter kann man je nach Höhe der Trachealverletzung einen Single-Lumen-Tubus distal des Defekts platzieren oder bei einer Bronchialverletzung den Tubus in den intakten Hauptbronchus der Gegenseite einführen. Bei distal der Hauptcarina gelegener Verletzung kann zur Ausschaltung der verletzten Struktur auch ein Bronchusblocker zum Einsatz kommen. Aufgrund der bei traumatischen tracheobronchialen Verletzungen typischerweise carinanahen Lokalisation ist aber ein Doppellumentubus das Verfahren der ersten Wahl. Zudem kommt es im Vergleich zum Bronchusblocker seltener zu Dislokationen, die Operateure haben bessere Bedingungen für die operative Versorgung und die Lungenseparation verhindert einen Übertritt von Blut aus dem verletzten bzw. zu operierenden Bronchialsystem in die ventilierte Lunge. Um ein Aggravieren der Verletzung zu vermeiden, muss die Platzierung aller Arten der Atemwegssicherung immer unter fiberoptischer Kontrolle erfolgen [6, 16, 25]. Für die innerklinische Intubation mit einem Doppellumentubus bedeutet das, dass bereits das Vorschieben des Tubus in der Trachea unter fiberoptischer Sicht erfolgen muss, um zu verhindern, dass sich der bronchiale Schenkel in der Läsion verfängt und dadurch iatrogen zusätzlicher Schaden entsteht. Sollte trotz aller Maßnahmen keine adäquate Atemwegssicherung möglich sein oder eine respiratorische Insuffizienz fortbestehen, kann auch eine ECMO als überbrückende Maßnahme bis zur definitiven operativen Sanierung zum Einsatz kommen [15, 16, 25, 29, 30].
Beschichtete ECMO-Systeme können gemäß den aktuellen S3-Leitlinien „Einsatz der extrakorporalen Zirkulation“ unter strenger Nutzen-Risiko-Evaluation kurzzeitig ohne systemische Antikoagulation betrieben werden [31]. Daher kann auch bei zu erwartender intraoperativer Verschlechterung eines polytraumatisierten Patienten eine präoperative Einlage einer ECMO mit heparinbeschichteten Schläuchen erwogen werden, welche während der Intervention ohne systemische Antikoagulation verwendet werden kann. Im vorliegenden Fall wurde der Plan einer präoperativen ECMO-Einlage bei erwartet erschwerter intraoperativer Beatmung (Einlungenventilation nach Thoraxtrauma, Linksseitenlage und Hämatopneumothorax) zwar ebenfalls diskutiert, aber zu diesem Zeitpunkt nach Nutzen-Risiko-Abwägung verworfen. Erst als sich intraoperativ die Beatmungssituation zunehmend erschwerte, erschien die ECMO als die beste Alternative.
Eine traumaassoziierte tracheobronchiale Verletzung muss in aller Regel, außer bei kleinsten Verletzungen, mit hoher Dringlichkeit operativ versorgt werden [18, 32], insbesondere bei respiratorisch instabilem Patienten, einer Verletzung, die über 2 cm misst und/oder über ein Drittel der Zirkumferenz umfasst, therapieresistenter endobronchialer Blutung, Diskontinuitätsverletzung, Kalibersprüngen, fehlender mediastinaler Abdeckung oder persistierendem Pneumothorax bei einliegender Thoraxdrainage [11, 16]. Weiterhin muss bei Vorliegen einer solchen Verletzung zwingend eine Ösophagoskopie erfolgen, um eine Begleitverletzung des Ösophagus auszuschließen und somit einer tracheoösophagealen Fistel vorzubeugen [11]. Die prophylaktische antibiotische Therapie zur Vorbeugung einer Mediastinitis ist zwingend indiziert (Amoxicillin/Clavulansäure; [11]).
Die Mehrzahl der tracheobronchialen Verletzungen (60 %) ist im Übrigen iatrogener Ursache [33], wobei die Inzidenz bei Intubation mit einem Single-Lumen-Tubus sehr gering ist (ca. 1:75.000; [3335]), bei Intubation mit einem Doppellumentubus aber mit 1:380 bis 1:2000 deutlich höher [3436]. Eine iatrogene Tracheobronchialverletzung erschien uns im präsentierten Fall bei problemloser Intubation unter guter Sicht sowie korrekt liegender Tubusspitze in der CT jedoch als unwahrscheinlich.

Fazit für die Praxis

  • Tracheobronchiale Verletzungen sind seltene, aber äußerst lebensbedrohliche Notfälle, die bei jedem (schweren) Thoraxtrauma differenzialdiagnostisch bedacht werden müssen. Prähospital ist die Diagnostik einer tracheobronchialen Verletzung sehr schwierig. Hämoptysen, Dyspnoe und ein Hautemphysem nach Thoraxtrauma müssen jedoch bereits prähospital den Verdacht darauf lenken.
  • Der richtige Zeitpunkt zur Atemwegssicherung darf nicht verpasst werden, da ein zunehmendes Hautemphysem diese rasch verunmöglichen kann, andererseits aber eine Überdruckbeatmung bei tracheobronchialer Verletzung die respiratorische Situation noch verschärfen kann. Im Rahmen des prähospitalen „airway management“ sollte bei Verdacht auf eine tracheobronchiale Verletzung der Tubus möglichst tief, also in der Regel rechtsbronchial platziert werden, sodass der Cuff unterhalb der vermuteten und meist carinanahen Läsion zu liegen kommt.
  • Bei einem begleitenden (Spannungs‑)Pneumothorax ist bereits prähospital die Entlastung der Pleuraräume indiziert. Ohne prähospitale Sonographie zwingt in der Regel die Symptomkonstellation (Hautemphysem nach Thoraxtrauma) bereits zur Anlage von Thoraxdrainagen (oder Fingerthorakostomien).
  • Die Zielklinik sollte bei Verdacht auf eine solche Verletzung ein überregionales Traumazentrum sein, welches auch über die Möglichkeit einer ECMO verfügt. Daher muss abhängig von den Transportzeiten frühzeitig die Alarmierung eines Rettungshubschraubers bedacht werden.
  • Innerklinisch sollte die Diagnostik bei schwerem Thoraxtrauma zwingend eine Bronchoskopie einschließen, da diese eine höhere Sensitivität für das Erkennen einer tracheobronchialen Verletzung aufweist.
  • Die Läsion muss funktionell ausgeschlossen werden. Innerklinisch wird dies üblicherweise durch einen Doppellumentubus oder eine ECMO erreicht. In der Regel ist eine dringende operative Versorgung indiziert.

Einhaltung ethischer Richtlinien

Interessenkonflikt

J. van Hoek, T.-L. Nguyen, M. Bartkevics, E. Torchetti, W. Hautz und J. Knapp geben an, dass kein Interessenkonflikt besteht.
Für diesen Beitrag wurden von den Autor/-innen keine Studien an Menschen oder Tieren durchgeführt. Für die aufgeführten Studien gelten die jeweils dort angegebenen ethischen Richtlinien. Für Bildmaterial oder anderweitige Angaben innerhalb des Manuskripts, über die Patient/-innen zu identifizieren sind, liegt von ihnen und/oder ihren gesetzlichen Vertretern/Vertreterinnen eine schriftliche Einwilligung vor.
Open Access Dieser Artikel wird unter der Creative Commons Namensnennung 4.0 International Lizenz veröffentlicht, welche die Nutzung, Vervielfältigung, Bearbeitung, Verbreitung und Wiedergabe in jeglichem Medium und Format erlaubt, sofern Sie den/die ursprünglichen Autor(en) und die Quelle ordnungsgemäß nennen, einen Link zur Creative Commons Lizenz beifügen und angeben, ob Änderungen vorgenommen wurden. Die in diesem Artikel enthaltenen Bilder und sonstiges Drittmaterial unterliegen ebenfalls der genannten Creative Commons Lizenz, sofern sich aus der Abbildungslegende nichts anderes ergibt. Sofern das betreffende Material nicht unter der genannten Creative Commons Lizenz steht und die betreffende Handlung nicht nach gesetzlichen Vorschriften erlaubt ist, ist für die oben aufgeführten Weiterverwendungen des Materials die Einwilligung des jeweiligen Rechteinhabers einzuholen. Weitere Details zur Lizenz entnehmen Sie bitte der Lizenzinformation auf http://creativecommons.org/licenses/by/4.0/deed.de.

Hinweis des Verlags

Der Verlag bleibt in Hinblick auf geografische Zuordnungen und Gebietsbezeichnungen in veröffentlichten Karten und Institutsadressen neutral.
download
DOWNLOAD
print
DRUCKEN
Titel
Schweres Thoraxtrauma mit Trachealruptur – ein Fallbericht
Verfasst von
Jasper van Hoek
Thanh-Long Nguyen
Maris Bartkevics
Eleonora Torchetti
Wolf Hautz
Prof. Dr. Jürgen Knapp
Publikationsdatum
20.12.2025
Verlag
Springer Medizin
Erschienen in
Notfall + Rettungsmedizin
Print ISSN: 1434-6222
Elektronische ISSN: 1436-0578
DOI
https://doi.org/10.1007/s10049-025-01678-2
1.
Zurück zum Zitat Schibilsky D, Driessen A, White WJ et al (2020) Traumatic tracheobronchial injuries: incidence and outcome of 136.389 patients derived from the DGU traumaregister. Sci Rep. https://doi.org/10.1038/s41598-020-77613-xCrossRefPubMedPubMedCentral
2.
Zurück zum Zitat Bertelsen S, Howitz P (1972) Injuries of the trachea and bronchi. Thorax 27:188–194. https://doi.org/10.1136/thx.27.2.188CrossRefPubMedPubMedCentral
3.
Zurück zum Zitat Madden BP (2017) Evolutional trends in the management of tracheal and bronchial injuries. J Thorac Dis 9:E67–E70. https://doi.org/10.21037/jtd.2017.01.43CrossRefPubMedPubMedCentral
4.
Zurück zum Zitat Welter S, Hoffmann H (2013) Verletzungen des Tracheobronchialbaums. Zentralblatt Chir – Z Allg Visz Gefässchirurgie 138:111–116. https://doi.org/10.1055/s-0032-1328269CrossRef
5.
Zurück zum Zitat Schreiner W, Castellanos I, Dudek W, Sirbu H (2018) Organverletzungen im Rahmen des Thoraxtraumas. Unfallchirurg 121:596–604. https://doi.org/10.1007/s00113-018-0525-4CrossRefPubMed
6.
Zurück zum Zitat Kozian A, Bergmann A, Hachenberg T et al (2017) Der Patient mit Thoraxtrauma: anästhesiologisches Management. Anästhesiologie Intensivmed Notfallmedizin Schmerztherapie 52:422–435. https://doi.org/10.1055/s-0042-118055CrossRef
7.
Zurück zum Zitat Chu CPW, Chen PP (2002) Tracheobronchial Injury Secondary to Blunt Chest Trauma: Diagnosis and Management. Anaesth Intensive Care 30:145–152. https://doi.org/10.1177/0310057X0203000204CrossRefPubMed
8.
Zurück zum Zitat Welter S, Essaleh W (2020) Management of tracheobronchial injuries. J Thorac Dis 12:6143–6151. https://doi.org/10.21037/jtd-2019-as-05CrossRefPubMedPubMedCentral
9.
Zurück zum Zitat Cassada DC, Munyikwa MP, Moniz MP et al (2000) Acute injuries of the trachea and major bronchi: importance of early diagnosis. Ann Thorac Surg 69:1563–1567. https://doi.org/10.1016/S0003-4975(00)01077-8CrossRefPubMed
10.
Zurück zum Zitat Lee RB (1997) Traumatic injury of the cervicothoracic trachea and major bronchi. Chest Surg Clin N Am 7:285–304CrossRefPubMed
11.
Zurück zum Zitat Herrmann D, Hecker E (2024) Tracheobronchial Injuries. Zentralblatt für Chirurgie – Zeitschrift für Allgemeine. Visz Gefässchirurgie 149:275–285. https://doi.org/10.1055/a-2182-7126CrossRef
12.
Zurück zum Zitat Palade E, Passlick B (2011) Chirurgie traumatischer trachealer und tracheo-bronchialer Verletzungen. Chirurg 82:141–147. https://doi.org/10.1007/s00104-010-1976-5CrossRefPubMed
13.
Zurück zum Zitat Bölükbas S, Ghezel-Ahmadi D, Heesen C, Schirren J (2012) Intrathorakale Verletzungen. Chirurg 83:91–100. https://doi.org/10.1007/s00104-011-2237-yCrossRefPubMed
14.
Zurück zum Zitat Kiser AC, O’brien SM, Detterbeck FC (2001) Blunt Tracheobronchial Injuries: Treatment and Outcomes. Ann Thorac Surg 71:2059–2065. https://doi.org/10.1016/s0003-4975(00)02453-xCrossRefPubMed
15.
Zurück zum Zitat Kalverkamp S, Störmann P, Graeff P, Raab S (2023) Traumatic Tracheobronchial Injuries—Recommendation of the Interdisciplinary Working Group of the DGT and DGU to Establish a Uniform Classification for Diagnostics and Therapy. Zentralblatt fur Chirurgie – Zeitschrift fur Allgemeine. Visz Gefasschirurgie 148:85–92. https://doi.org/10.1055/a-1970-3555CrossRef
16.
Zurück zum Zitat Dango S (2009) Thoraxchirurgischer Notfall. Intensivmed Up2date 5:317–337. https://doi.org/10.1055/s-0028-1119689CrossRef
17.
Zurück zum Zitat Rossbach MM, Johnson SB, Gomez MA et al (1998) Management of Major Tracheobronchial Injuries: A 28-Year Experience. Ann Thorac Surg 65:182–186. https://doi.org/10.1016/s0003-4975(97)01001-1CrossRefPubMed
18.
Zurück zum Zitat Toffel M et al (2020) Thoraxchirurgische Aspekte beim Polytrauma. Zentralbl Chir 145:108–120. https://doi.org/10.1055/a-0903-1461CrossRefPubMed
19.
Zurück zum Zitat Rielage T (2019) Rarely, often unnoticed and deadly: Blunt chest trauma with a main bronchus rupture in daily accidents. Notarzt 35:76–78. https://doi.org/10.1055/a-0809-4759CrossRef
20.
Zurück zum Zitat Besmer I, Schüpfer G, Stulz P, Jöhr M (2001) Die Trachealruptur – Verzögerte Diagnose durch primär zu tiefe endobronchiale Intubation. Anaesthesist 50:167–170. https://doi.org/10.1007/s001010050984CrossRefPubMed
21.
Zurück zum Zitat Nordmann M, Riepl R, Scheithauer M (2014) Traumatische Trachealverletzung: Präsentation eines seltenen Falles. Laryngorhinootologie 93:330–331. https://doi.org/10.1055/s-0034-1370934CrossRefPubMed
22.
Zurück zum Zitat Velly J, Martigne C, Moreau JM et al (1991) Post traumatic tracheobronchial lesions A follow-up study of 47 cases. Eur J Cardio-thoracic Surg 5:352–355. https://doi.org/10.1016/1010-7940(91)90051-kCrossRef
23.
Zurück zum Zitat Aliev D, Metelmann I, Keller M et al (2024) Tracheobronchial injury after blunt thoracic trauma—lessons to learn in diagnosis, treatment, and postoperative care: a case series. J Thorac Dis 16:6237–6248. https://doi.org/10.21037/jtd-24-579CrossRefPubMedPubMedCentral
24.
Zurück zum Zitat Rieth A, Varga E, Kovács T et al (2021) Contemporary management strategies of blunt tracheobronchial injuries. Injury 52:7–14. https://doi.org/10.1016/j.injury.2020.07.026CrossRef
25.
Zurück zum Zitat Schieren M, Defosse JM, Annecke T (2024) Spezielle intensivmedizinische Behandlungskonzepte des schweren Thoraxtraumas. Anästhesiologie Intensivmed Notfallmedizin Schmerztherapie 59:354–367. https://doi.org/10.1055/a-2149-1814CrossRef
26.
Zurück zum Zitat Polytrauma/Schwerverletzten-Behandlung S3-Leitlinie. Arbeitsgemeinschaft der Wissenschaftlichen Medizinischen Fachgesellschaften
27.
Zurück zum Zitat Grewal HS, Dangayach NS, Ahmad U et al (2019) Treatment of Tracheobronchial Injuries: A Contemporary Review. Chest 155:595–604. https://doi.org/10.1016/j.chest.2018.07.018CrossRefPubMed
28.
Zurück zum Zitat Hwang JJ, Kim YJ, Cho HM, Lee TY (2013) Traumatic tracheobronchial injury: Delayed diagnosis and treatment outcome. Korean J Thorac Cardiovasc Surg 46:197–201. https://doi.org/10.5090/kjtcs.2013.46.3.197CrossRefPubMedPubMedCentral
29.
Zurück zum Zitat Al-Thani H, Ahmed K, Rizoli S et al (2021) Utility of extracorporeal membrane oxygenation (ECMO) in the management of traumatic tracheobronchial injuries: Case series. J Surg Case Rep. https://doi.org/10.1093/jscr/rjab158CrossRefPubMedPubMedCentral
30.
Zurück zum Zitat Wada D, Hayakawa K, Maruyama S et al (2019) A paediatric case of severe tracheobronchial injury successfully treated surgically after early CT diagnosis and ECMO safely performed in the hybrid emergency room. Scand J Trauma Resusc Emerg Med. https://doi.org/10.1186/s13049-019-0628-0CrossRefPubMedPubMedCentral
31.
Zurück zum Zitat (2020) Einsatz der extrakorporalen Zirkulation (ECLS / ECMO) bei Herz-und Kreislaufversagen. Arbeitsgemeinschaft der Wissenschaftlichen Medizinischen Fachgesellschaften
32.
Zurück zum Zitat Dienemann H, Hoffmann H (2001) Tracheo-bronchiale Verletzungen und Fisteln. Chirurg 72:1130–1136. https://doi.org/10.1007/s001040170050CrossRef
33.
Zurück zum Zitat Schneider T, Volz K, Dienemann H, Hoffmann H (2009) Incidence and treatment modalities of tracheobronchial injuries in Germany. Interact CardioVasc Thorac Surg 8:571–576. https://doi.org/10.1510/icvts.2008.196790CrossRefPubMed
34.
Zurück zum Zitat - (1996) Tracheobronchial Lacerations After Intubation and Tracheostomy. Ann Thorac Surg 61:1483–1487CrossRefPubMed
35.
Zurück zum Zitat Borasio P, Ardissone F, Chiampo G (1997) Post-intubation tracheal rupture. A report on ten cases. Eur J Cardio-thoracic Surg 12:98–100CrossRef
36.
Zurück zum Zitat Liu S, Mao Y, Qiu P et al (2020) Airway Rupture Caused by Double-Lumen Tubes: A Review of 187 Cases. Anesth Analg 131:1485–1490. https://doi.org/10.1213/ANE.0000000000004669CrossRefPubMed

Neu im Fachgebiet AINS

Mit den Schmerzen steigen die Troponinspiegel nach Hüft-Op.

Auf mögliche kardiale Auswirkungen postoperativer Schmerzen weist die Subgruppenanalyse des randomisierten kontrollierten HIP-ATTACK-Trials hin. Bei ausgeprägten Schmerzen im Zusammenhang mit einer Hüftoperation stiegen die Troponinspiegel signifikant an – ein Kausalzusammenhang ist damit allerdings noch nicht belegt.

7% durch chronische Schmerzen stark beeinträchtigt

Laut einer Querschnittstudie leiden rund 7% der in Deutschland lebenden über 16-Jährigen unter chronischen Schmerzen, die ihren Alltag stark beeinträchtigen. Außer biologischen scheinen auch psychische und soziale Faktoren mit sogenanntem High-Impact Chronic Pain assoziiert zu sein.

Elektroschrott: Wie Praxen Altgeräte sicher entsorgen

Ob nun Sonogerät, Praxiscomputer oder gar TI-Konnektor: Einfach zum nächsten Wertstoffhof sollten Praxisteams ausgediente Elektrogeräte nicht bringen. Was bei der Entsorgung zu beachten ist. Und wie die Teams sicher sensible Daten auf PC-Festplatte, externem Datenspeicher und TI-Komponenten löschen.

Hypothermie bei Sepsis – ein Warnsignal

  • 04.02.2026
  • Sepsis
  • Nachrichten

Im Fall einer Sepsis ist eine Körpertemperatur unter 36 °C bei älteren Menschen ein Warnsignal. In einer Studie aus Dänemark war bei Hypothermie, nicht aber bei Fieber das Mortalitätsrisiko deutlich erhöht.

Update AINS

Bestellen Sie unseren Fach-Newsletter und bleiben Sie gut informiert.

Bildnachweise
Troponintest/© MdBabul/stock.adobe.com (Symbolbild mit Fotomodell), Verschiedene Tabletten/© zozzzzo / Getty Images / iStock, Ultraschalluntersuchung der Niere/© Your_Photo_Today (Symbolbild mit Fotomodellen), Ohrthermometer/© fresnel6 / Stock.adobe.com (Symbolbild mit Fotomodellen)