Zum Inhalt

Tumor budding in pre-neoadjuvant biopsy and post-neoadjuvant resection specimens is associated with poor prognosis in intrahepatic cholangiocarcinoma—a cohort study of 147 cases by modified ITBCC criteria

  • Open Access
  • 10.10.2024
  • ORIGINAL ARTICLE
Erschienen in:

Abstract

Tumor budding (TB) has been associated with poor survival in a variety of cancers including intrahepatic cholangiocarcinoma (iCCA). As tumor histomorphological features are significantly altered after neoadjuvant therapy (NAT), our study aims to assess the prognostic significance of TB in iCCA patients before and after NAT, by the modified International Tumor Budding Consensus Conference (ITBCC) criteria. 147 NAT-treated iCCA cases were included in this study. In biopsy specimens obtained before NAT, the TB-positive subgroup had lower overall survival (OS) in univariate analysis (P = 0.010). In resection specimens obtained after NAT, the TB-positive subgroup had reduced OS (P = 0.002) and recurrence-free survival (RFS) (P = 0.013) in univariate analysis. In multivariate analysis including TNM stage, lymphovascular invasion and perineural invasion, TB-positive in post-NAT resection was also found as an independent prognostic factor for both OS and RFS (OS, HR, 3.005; 95% CI, 1.333–6.775, P = 0.008; RFS, HR, 1.748; 95% CI, 1.085–2.816, P = 0.022). In conclusion, assessing the presence of TB by modified ITBCC criteria provides robust prognostic information in the NAT setting of iCCA patients and can be considered to be included in routine pathological reporting.

Supplementary Information

The online version contains supplementary material available at https://doi.org/10.1007/s00428-024-03937-y.
Gaohua Wu, Rongkui Luo, and Qianhui Xu contributed equally to this work as first authors.

Publisher's Note

Springer Nature remains neutral with regard to jurisdictional claims in published maps and institutional affiliations.

Introduction

Intrahepatic cholangiocarcinoma (iCCA), the second most lethal primary liver cancer after hepatocellular carcinoma, is expected to experience a ten-fold increase in global incidence over the next two to three decades [1]. iCCA patients have a 5-year survival rate of less than 10% due to late diagnosis, aggressive biological behavior, and limited options for effective treatment [2, 3]. Surgical resection is currently the only curative-intent treatment for early- to intermediate-stage resectable iCCA patients. Nevertheless, the 3-year recurrence rate is reported to be as high as 80%, which negatively impacts the outcome of surgery [4, 5].
In the past, when conventional chemotherapy was the mainstream treatment modality in late-stage iCCA, limited evidence showed the benefit of neoadjuvant therapy (NAT) [6, 7]. In the era of immunotherapy, the combination of immune checkpoint inhibitors with chemotherapy and/or targeted shows promising results in treating advanced iCCA by downstaging the tumor, increasing the rate of complete resection, and reducing the rate of local recurrence [811]. The phase III randomized clinical trial TOPAZ-1 (NCT03875235) has shown significant improvement in treating advanced iCCA patients. The regimen used in this trial (durvalumab plus gemcitabine and cisplatin) has since been approved by the FDA for locally advanced or metastatic biliary tract cancer [12, 13]. Another phase III clinical trial (NCT04003636) with a larger patient cohort, involving pembrolizumab plus gemcitabine and cisplatin, also demonstrated that advanced iCCA patients can benefit from systematic immunotherapy [10]. Both results indicate that more iCCA patients can benefit from systematic immunotherapy, which also enlightens the future for borderline resectable iCCA patients [12, 1416]. Evidence from clinical practice also reveals that initially unresectable or borderline resectable iCCA patients can benefit from combined immunotherapy by downstaging the tumor and eventually undergoing surgical resection [1719]. Nevertheless, the effectiveness of combined immunotherapy varies significantly among iCCA patients [20, 21]. Clinicopathological parameters and biomarkers that could stratify patients into different prognostic and potentially therapeutic subgroups would be highly beneficial. Conventional pathological parameters, such as tumor size and grade, are known to be profoundly altered after treatment [22, 23]. To date, reliable clinicopathological parameters that can predict the survival of post-NAT iCCA patients are not well reported in the literature.
Tumor budding (TB) is a histomorphological parameter defined as the presence of single cell or tumor cell clusters comprising fewer than five cells within or at the invasive front of the tumor [24, 25]. High TB counts have been reported to indicate poor prognosis in various types of cancers, including recently published results in iCCA [2630]. Notably, the International Tumor Budding Consensus Conference (ITBCC) criteria have been recommended and adopted into the routine pathology report protocol for colorectal cancer resection specimens [31], after its prognostic value was validated in large prospective and population-based cohorts [3234]. On the other hand, high TB counts have also been reported as an adverse prognostic factor in biopsy specimens from different types of cancers [35, 36]. Increasing evidence from post-NAT studies investigating TB in rectal [37], esophageal [38], gastric [39] cancers, and perihilar cholangiocarcinoma [40] suggests that even after NAT, where conventional histopathological grading is usually omitted, the prognostic power of TB is retained.
In this study, we evaluated tumor budding in pre-NAT biopsy specimens and subsequent surgically resected iCCA specimens from patients who received NAT, to determine its prognostic significance.

Materials and methods

Patient cohort and follow-up

This study included a total of 147 iCCA patients who received NAT and underwent surgery in the Department of Liver Surgery and Transplantation, Liver Cancer Institute, Zhongshan Hospital, Fudan University between January 2019 and October 2023. All patients had histologically or clinically confirmed iCCA and were considered initially unsuitable for surgery by our multidisciplinary team (MDT). MDT suggested patients to receive 6 to 8 cycles of treatment prior to a second MDT discussion. The treatment regimen was gemcitabine, oxaliplatin, lenvatinib, and anti-PD1 antibody. A surgery was performed after MDT confirmed patients were suitable for resection. The clinical and follow-up information, including age at diagnosis, gender, date of surgery, and the date and site of recurrence/metastasis, and/or death, when applicable, were obtained from medical records and a follow-up database which was updated every 3 months. Local disease recurrence and distant metastasis were determined based on clinical and radiographic evaluation during the follow-up visits.
The study was approved by the Zhongshan Hospital Research Ethics Committee Research Ethics Committee and complied with all ethical regulations(Approval ID: B2023-321, IRB number: IRB00014212).

Assessment of histological samples

Hematoxylin and eosin (HE)-stained slides, from all biopsy and surgical resection samples, were retrieved from the archive. They were scanned and digitized using the KF-PRO-400 Digital Slide Scanner (KFBIO CO., Yuyao, China). Two experienced histopathologists (RY Shi and RK Luo) evaluated all the slides and graded TB independently, blind to the follow-up data. Discrepant cases were discussed with a third senior pathologist (KTE Chang) together to reach the final counting consensus. TB grade in 6 biopsy cases and 10 resection cases were found discordant and eventually obtained a consensus on budding status.
In this study, we used the definition of tumor budding from the 2016 ITBCC criteria: A tumor bud is defined as a single tumor cell or a cell cluster of up to four tumor cells [37] and assessed TB counts in all available slides with tumor and counted the TB in a “hotspot” field measuring 0.785 mm2 (objective magnification, × 20).
For the resection specimens, we initially graded TB count as low (0 to 4 buds), intermediate (5 to 9 buds), or high (≥ 10 buds) based on ITBCC criteria and subsequently modified intermediate and high grades as TB-positive subgroup and low TB grade as TB-negative subgroup. We assessed TB in whole tumor areas in the entire tumor bed rather than at the invasive front because treatment-related changes such as necrosis, fibrosis, and hemorrhage made the determination of the front frequently difficult.
For biopsy specimens, we used the receiver operating characteristic (ROC) curve to determine the best cut-off value of TB counts to predict survival. A TB-positive subgroup is defined as having TB counts more than the cut-off value.
Tumor regression scores (TRS) were assessed according to the grading scheme recommended by the College of American Pathologists (CAP) for pancreatic cancer [41].

Statistical analysis

Statistical analysis was performed using the SPSS 27.0 software package (IBM Corp., Armonk, N.Y., USA). The chi-square test or the Fisher exact test was employed to compare differences between two independent subgroups. RFS and OS curves for the subgroups were generated by GraphPad Prism (GraphPad Software, San Diego, California, USA) using the Kaplan–Meier method and compared using the log-rank test. The univariate and multivariate analyses were performed using Cox regression analysis. The correlation of tumor buds in pre- and post-NAT specimens were defined by the Spearman correlation test. A 2-sided significance level of 0.05 was used for all statistical analyses.

Results

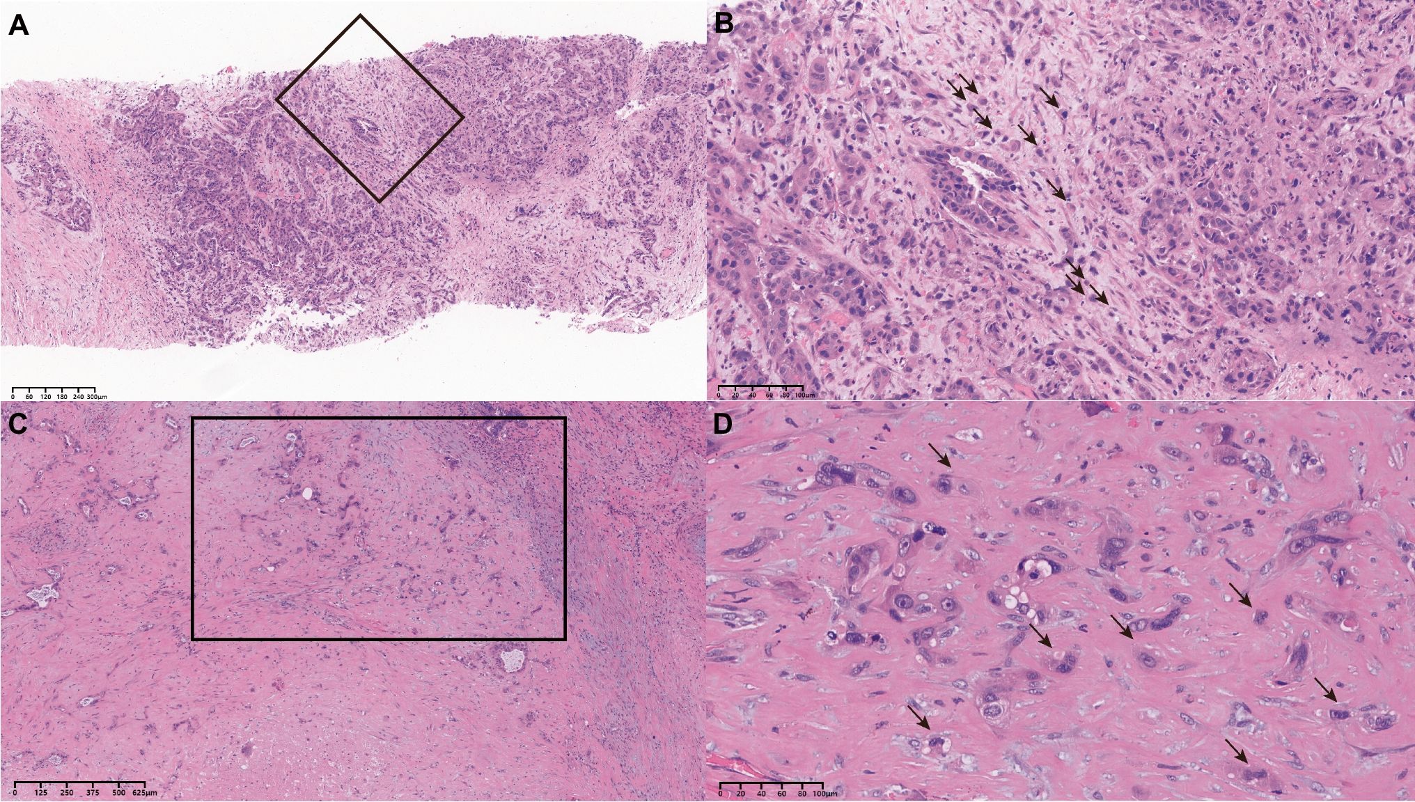
A total of 147 cases were included in our study, comprising 95 cases of biopsy material obtained from patients before NAT and 139 cases of post-NAT resection with viable tumor cells for TB assessment. All surgical margins were negative, with a range of 0.1 to 5.0 cm. Eight cases were not included in post-treatment analysis, because 5 cases showed complete tumor necrosis and 3 cases of resection specimen slides were not available for us. A total of 87 cases had paired pre-NAT biopsy and post-NAT resection specimens for TB assessment. The median follow-up time was 29 months, during this follow-up 79 patients (53.7%) developed disease progression and 32 patients (21.8%) died. TB counts could be readily identified in both biopsy and resection specimens (Fig. 1). cTNM stage was confirmed before NAT. TRS did not show significant association with TB grade (P = 0.395) (Table 1). TRS grade 3 did not show significant association with either OS (P = 0.870) or RFS (P = 0.205) in the univariate analysis (Tables 2,3), as well as on Kaplan–Meier curves for either OS (P = 0.382) or RFS (P = 0.052) (Supplemental Fig. 1).
Fig. 1
Representative HE images of tumor buds. A Pre-NAT biopsy specimens in low power view. B High power view of the rectangular area in A demonstrating TB can be readily identified in the biopsy. C Post-NAT resection specimens in low power view, residual tumor cells are present in the background of treatment-related changes such as fibrosis and foamy histocyte aggregation. D High power view of the rectangular area in C demonstrating TB can be readily identified, despite treatment-related changes. HE indicates hematoxylin–eosin; NAT, neoadjuvant therapy; TB, tumor budding
Bild vergrößern
Table 1
Associations between tumor budding and clinicopathologic features of 139 post-NAT resection iCCA patients
 
Surgery
Parameter
TB-negative (%)
TB-positive (%)
P
Age
  
0.810
 < 65
47 (67.1)
45 (65.2)
 
 ≥ 65
23 (32.9)
24 (34.8)
 
Gender
  
0.633
Male
45 (64.3)
47 (68.1)
 
Female
25 (35.7)
22 (31.9)
 
HBV infection
  
0.077
Negative
43 (61.4)
52 (75.4)
 
Positive
27 (38.6)
17 (24.6)
 
CEA (ng/mL)
  
0.152
 < 5
62 (88.6)
55 (79.7)
 
 ≥ 5
8 (11.4)
14 (20.3)
 
CA19-9 (U/mL)
  
0.184
 < 37
51 (72.9)
43 (62.3)
 
 ≥ 37
19 (27.1)
26 (37.7)
 
cTNM
  
0.785
I
6 (8.6)
6 (8.7)
 
II
5 (7.1)
7 (10.1)
 
III
56 (80.0)
51 (73.9)
 
IV
3 (4.3)
5 (7.2)
 
ypTNM
  
0.751
I
12 (17.1)
15 (21.7)
 
II
4 (5.7)
4 (5.8)
 
III
51 (72.9)
45 (65.2)
 
IV
3 (4.3)
5 (7.2)
 
Histologic grade
  
0.813
I
40 (57.1)
40 (58
 
II
27 (38.6)
28 (40
 
III
3 (4.3)
1 (1.4)
 
Tumor size (median = 50) (mm)
  
0.943
 < 50
29 (41.4)
29 (42.0)
 
 ≥ 50
41 (58.6)
40 (58.0)
 
Tumor number
  
0.393
1
49 (70.0)
44 (63.8)
 
2
9 (12.9)
9 (13.0)
 
 ≥ 3
12 (17.1)
16 (23.2)
 
Histologic typea
  
0.055
Large duct type
21 (37.5)
11 (20.8)
 
Small duct type
35 (62.5)
42 (79.2)
 
Hepatic steatosis
  
0.805
Negative
54 (77.1)
52 (75.4)
 
Positive
16 (22.9)
17 (24.6)
 
Liver cirrhosis
  
0.637
Negative
60 (85.7)
61 (88.4)
 
Positive
10 (14.3)
8 (11.6)
 
Vascular invasion
  
0.716
Negative
65 (92.9)
66 (95.7)
 
Positive
5 (7.1)
3 (4.3)
 
Lymphovascular invasion
  
0.437
Negative
58 (82.9)
53 (76.8)
 
Positive
12 s(17.1)
16 (23.2)
 
Perineural invasion
  
0.034*
Negative
60 (85.7)
50 (72.5)
 
Positive
10 (14.3)
19 (27.5)
 
TRS grade
  
0.395
Grade 1
5 (7.1)
2 (2.9)
 
Grade 2
48 (68.6)
53 (76.8)
 
Grade 3
17 (24.3)
14 (20.3)
 
aIn 30 cases, histologic type is difficult to be assessed due to severe morphological alteration after neoadjuvant therapy. iCCA indicates intrahepatic cholangiocarcinoma, TB tumor budding, HBV hepatitis B virus, TRS tumor regression score
Table 2
Univariate and multivariate analyses of factors associated with overall survival of 139 post-NAT resection iCCA patients
 
Univariate
Multivariate
Parameter
HR
P
HR
P
Age (≥ 65)
1.782 (0.889–3.570)
0.103
  
Gender (male)
1.035 (0.499–2.148)
0.927
  
HBV infection status (positive)
0.869 (0.390–1.936)
0.731
  
CEA (≥ 5 ng/mL)
1.796 (0.778–4.149)
0.170
  
CA19-9 (≥ 37 U/mL)
1.986 (0.993–3.974)
0.052
  
cTNM3/4
1.495 (0.525–4.254)
0.451
  
ypTNM3/4
2.122 (0.745–6.040)
0.159
  
Histologic grade (poor)
1.779 (0.883–3.582)
0.107
  
Tumor size (≥ 50 mm)
1.507 (0.713–3.183)
0.282
  
Tumor number (≥ 3)
1.337 (0.600–2.979)
0.478
  
Histologic type (large duct type)
1.586 (0.657–3.830)
0.305
  
Hepatic steatosis
1.223 (0.565–2.647)
0.610
  
Liver cirrhosis
0.410 (0.098–1.716)
0.222
  
Vascular invasion
0.458 (0.063–3.359)
0.443
  
Lymphovascular invasion
2.860 (1.395–5.864)
0.004*
1.906 (0.907–4.005)
0.089
Perineural invasion
2.742 (1.345–5.588)
0.006*
1.512 (0.705–3.242)
0.288
TB subgroup (TB-positive)
3.491 (1.611–7.567)
0.002*
3.005 (1.333–6.775)
0.008*
TRS grade 3
1.054 (0.562–1.974)
0.870
  
NAT indicates neoadjuvant therapy, iCCA intrahepatic cholangiocarcinoma, TB tumor budding, HBV hepatitis B virus, TRS tumor regression score
Table 3
Univariate and multivariate analyses of factors associated with recurrence-free survival of 139 post-NAT resection iCCA patients
 
Univariate
Multivariate
Parameter
HR
P
HR
P
Age (≥ 65)
0.991 (0.617–1.593)
0.972
  
Gender (male)
1.205 (0.746–1.946)
0.446
  
HBV infection status (positive)
1.069 (0.654–1.746)
0.791
  
CEA (≥ 5 ng/mL)
0.991 (0.524–1.874)
0.977
  
CA19-9 (≥ 37 U/mL)
1.400 (0.883–2.219)
0.152
  
cTNM3/4
3.193 (1.466–6.957)
0.003*
0.734 (0.118–4.567)
0.740
ypTNM3/4
3.769 (1.881–7.551)
 < 0.001*
5.439 (1.063–27.835)
0.042*
Histologic grade (poor)
1.268 (0.808–1.988)
0.302
  
Tumor size (≥ 50 mm)
1.714 (1.077–2.728)
0.023*
1.704 (1.018–2.853)
0.043*
Tumor number (≥ 3)
2.131 (1.280–3.550)
0.004*
1.364 (0.766–2.431)
0.292
Histologic type (large duct type)
0.993 (0.563–1.755)
0.982
  
Hepatic steatosis
0.839 (0.493–1.426)
0.516
  
Liver cirrhosis
0.731 (0.351–1.524)
0.404
  
Vascular invasion
0.958 (0.349–2.626)
0.933
  
Lymphovascular invasion
2.599 (1.580–4.275)
 < 0.001*
1.801 (1.027–3.156)
0.040*
Perineural invasion
2.250 (1.370–3.694)
0.002*
1.537 (0.888–2.661)
0.125
TB subgroup (TB-positive)
1.772 (1.126–2.789)
0.013*
1.748 (1.085–2.816)
0.022*
TRS grade 3
1.346 (0.850–2.131)
0.205
  
NAT indicates neoadjuvant therapy, iCCA intrahepatic cholangiocarcinoma, HBV hepatitis B virus, TB tumor budding, TRS tumor regression score

Prognostic significance of tumor budding in pre-neoadjuvant biopsy

In biopsy specimens before NAT, the mean number of biopsy cores per case was 1.96 and the median biopsy core length was 1.50 cm. TB was present in 85 cases with a mean count of 3.7. We used ROC analysis with OS as an endpoint to determine the optimal cut-off number of TB. The optimal number of tumor buds in biopsy specimens was 3 (sensitivity = 0.652, specificity = 0.639) per field. Therefore, the threshold was set at 3 buds. At this threshold, the AUC was 0.671 (P = 0.014) (Supplemental Fig. 2). Forty-one cases (43.2%) were assigned to the TB-positive subgroup. Supplemental Table 1 summarizes the clinicopathological characteristics of the 95 biopsy cases. A significant association was observed between the TB-positive subgroup and serum CA19-9 level (P = 0.006). On Kaplan–Meier curves, we observed significant differences between TB-positive and TB-negative subgroups in OS (1-year OS 68.9% vs 95.4%, 3-year OS 56.9% vs 54.4%, P = 0.007) (Fig. 2), indicating a better outcome in TB-negative patients. However, such difference did not achieve statistical significance in RFS (P = 0.193).
Fig. 2
Survival analysis of pre-NAT biopsied iCCA using modified ITBCC criteria. A The OS of TB–positive/TB–negative cases using modified ITBCC criteria. B The RFS of TB–positive/TB–negative cases using modified ITBCC criteria. NAT indicates neoadjuvant therapy; iCCA, intrahepatic cholangiocarcinoma; ITBCC, International Tumor Budding Consensus Conference; OS, overall survival; TB, tumor budding; RFS, recurrence-free survival
Bild vergrößern
In the univariate analysis, the clinicopathologic features associated with shorter OS include tumor number (≥ 3) (P = 0.041) and TB-positive subgroup (P = 0.010) (Supplemental Table 2), whereas advanced cTNM stage and tumor number (≥ 3) (P = 0.013) were related with shorter RFS. The multivariate analysis demonstrated that tumor number (≥ 3) (hazard ratio (HR), 2.510; 95% CI, 1.042–6.046, P = 0.040) and TB-positive subgroup (HR, 2.806; 95% CI, 1.113–7.077, P = 0.029) were correlated with shorter OS (Supplemental Table 2), while tumor number (≥ 3) (HR, 2.840; 95% CI, 1.437–5.613, P = 0.003) indicated a shorter RFS (Supplemental Table 3).

Prognostic significance of tumor budding in post-neoadjuvant resection

In post-NAT resection specimens, TB was present in 121 cases with a mean count of 5.8, and 69 cases (49.6%) were assigned to the TB-positive group. The clinicopathological characteristics of the 139 resection cases are summarized in Table 1. We observed a weak correlation between the TB-positive subgroup in pre-NAT biopsy and the TB-positive subgroup in post-NAT resection through Spearman correlation analysis (P = 0.051, R = 0.204) (Fig. 3). Thirty patients (34.9%) had a TB status switch before and after NAT. The only histological feature associated with the TB-positive subgroup was perineural invasion (P = 0.034). Through Kaplan–Meier survival analyses, we found the prognostic value of standard ITBCC criteria was weak in post-NAT iCCA, especially between the high TB grade and the intermediate TB grade in both OS and RFS (Supplemental Fig. 3). However, by using modified ITBCC criteria, we observed that patients in the TB-positive subgroup had significantly shorter OS (1-year OS 73.9% vs 93.1%, 3-year OS 46.0% vs 75.4%, P < 0.001) and RFS (1-year RFS 40.4% vs 64.8%, 3-year RFS 26.5% vs 40.6%, P = 0.006) compared to those in the TB-negative subgroup (Fig. 4).
Fig. 3
Scatterplot of tumor buds in resection specimens with tumor buds in biopsy specimens (n = 87) (Spearman correlation)
Bild vergrößern
Fig. 4
Survival analysis of post-NAT resected iCCA using modified or standard ITBCC criteria. A The OS of TB–positive/TB–negative cases using modified ITBCC criteria. B The RFS of TB–positive/TB–negative cases using modified ITBCC criteria. C The OS of high TB/intermediate TB/low TB cases using standard ITBCC criteria. D The RFS of high TB/intermediate TB/low TB cases using standard ITBCC criteria. NAT indicates neoadjuvant therapy; iCCA, intrahepatic cholangiocarcinoma; ITBCC, International Tumor Budding Consensus Conference; OS, overall survival; TB, tumor budding; RFS, recurrence-free survival
Bild vergrößern
In the univariate analysis, the clinicopathologic features associated with shorter OS included lymphovascular invasion (P = 0.004), perineural invasion (P = 0.006), and TB-positive subgroup (P = 0.002) (Table 2). TB-positive subgroup was also found as a significant prognostic factor related to shorter RFS (P = 0.013). Other important prognostic factors for RFS included cTNM3/4 (P = 0.003), ypTNM3/4 (P < 0.001), tumor size (≥ 50 mm) (P = 0.023), tumor number (≥ 3) (P = 0.004), lymphovascular invasion (P < 0.001), and perineural invasion (P = 0.002). The multivariate analysis revealed TB-positive subgroup (HR, 2.708; 95% CI, 1.210–6.062, P = 0.015) were the only independent prognostic factors associated with shorter OS (Table 2), whereas ypTNM3/4 (HR, 5.439; 95% CI, 1.063–27.835, P = 0.042), tumor size (≥ 50 mm) (HR, 1.704; 95% CI, 1.018–2.853, P = 0.043), lymphovascular invasion (HR, 1.801; 95% CI, 1.027–3.156, P = 0.040), and TB-positive subgroup (HR, 1.748; 95% CI, 1.085–2.816, P = 0.022) indicated shorter RFS (Table 3).

Discussion

A biopsy is not routinely performed for surgically resectable iCCA. However, it is a prerequisite to establish the diagnosis and facilitate subsequent NAT [42]. TB counts have been reported to be applicable in biopsy specimens, correlated well with TB counts in the following surgical resection specimens and prognostic value for survival in several other types of cancers [35, 36, 43]. A recent study [26] on treatment-naive iCCA resection specimens modified ITBCC criteria by assessing TB in whole tumor areas rather than at the invasive front because the authors believed determination of the invasive front was frequently difficult. This study also yielded a positive correlation between high TB counts and poor prognosis. These findings provide scientific and histological evidences to evaluate TB in iCCA biopsy specimens even if the tumor invasive front may not be representative on the limited biopsied tumor tissue. In our study, a relatively weak correlation between TB counts in paired pre-NAT biopsy and post-NAT resection supported the reliability of TB counts reporting in biopsy specimens (Fig. 3). The optimal prognostic cut-off value of TB counts in biopsy varies from 1 to 10 buds in the literature [43]. In our study, we have observed TB counts of 3 to be the best to predict OS, which is similar to the cut-off value in rectal adenocarcinomas [35, 36, 44]. However, such prognostic value is not well achieved in predicting RFS, possibly because not all resection cases’ biopsy slides are available to be included in the study. Further study, preferably a prospective randomized clinical trial with a larger case number, is needed to determine the best cut-off value and its prognostic power in the treatment selection of iCCA.
Recent evidence showed that a proportion of iCCA patients could benefit from NAT to downstage the iCCA in order to achieve surgical resection [20]. Pathological examination of the resection specimens delivers crucial information in the post-NAT setting in many types of cancers, whereas this topic is not well addressed in iCCA [3740]. In our study, the AJCC tumor stages only showed suboptimal prognostic value, as the cTNM stages and ypTNM stages did not achieve statistical significance (Tables 2 and 3). The TRS also fails to demonstrate prognostic value for post-NAT iCCA patients (Supplemental Fig. 1). Therefore, additional biomarkers that are able to stratify these patients into different prognostic and potentially therapeutic groups would be highly beneficial. TB has been identified as a highly valuable histopathological parameter in a variety of cancer types [29, 30, 40, 4547] and recent studies also demonstrated its prognostic value in treatment-naive BTCs [2628, 40, 48]. Our study investigated TB according to the ITBCC criteria, a reproducible TB grading scheme validated by multi-center prospective studies in colon cancer, in post-NAT iCCA resection specimens and identified TB as a strong and independent prognostic factor for OS and RFS. The TB-positive group outperforms all other clinicopathological parameters, including the TNM stage, in multivariate analysis for survival analysis (Tables 2 and 3). Our finding, together with other similar TB studies in colorectal [37], esophageal [38, 49], gastric [39] cancer, and perihilar cholangiocarcinoma [40] post-NAT resection specimens, strongly supported that TB counts retained its significant prognostic power in cancer resection specimens after NAT and shall be considered to be included into the routine pathological report protocol.
Additionally, we have observed that a two-tier grading scheme, merging ITBCC intermediate and high groups into one “positive” group, showed better prognostic power than the original three-tier grading scheme in ITBCC (Fig. 4, Supplemental Fig. 3). Practically, a two-tier scheme is simpler, more cost-effective, and reproducible than a three-tier scheme in routine practices.
The statistically borderline significant, but weak positive, correlation of TB counts in biopsy and in subsequent post-NAT resection specimens (Fig. 3) suggests that TB may not only be a morphological feature of tumor growth but also related to the intrinsic aggressive biological characteristics of the tumor. As TB retained an association with poor prognosis before and after NAT, a consistent biomarker in different spatiotemporal conditions of the tumor, it may be related to certain key biological factors in driving cancer invasion and metastasis. Emerging evidences suggest that TB may play a role in epithelial-mesenchymal transition (EMT) and other molecular pathways of tumor microenvironment in promoting cancer progression [25]. Our results, in a post-NAT setting, also showed high TB counts are related to high perineural invasion. The specific pathologenetic and molecular aspects of these phenomena are worth further investigation, particularly by the latest sub-histology level analysis technology such as single cell sequencing and spatial multi-omics [50].
This study has several limitations. Patients who had undergone a biopsy but were not eligible for surgical resections were not included. And our study is a single-center retrospective cohort study in nature. A prospective multicenter study is preferred to further validate our results in the future.

Conclusion

In summary, our study demonstrated that tumor budding, evaluated by modified ITBCC criteria, provides independent prognostic information in pre-NAT biopsy and post-NAT resection iCCA specimens. Our findings, in line with other evidences, support tumor budding to be included as a routine parameter in the pathology report of iCCA.

Declarations

This study was approved by the Zhongshan Hospital Research Ethics Committee Research Ethics Committee and complied with all ethical regulations (Approval ID: B2023-321, IRB number: IRB00014212).

Competing interests

The authors have disclosed that they have no significant relationships with, or financial interest in, any commercial companies pertaining to this article.
Open Access This article is licensed under a Creative Commons Attribution 4.0 International License, which permits use, sharing, adaptation, distribution and reproduction in any medium or format, as long as you give appropriate credit to the original author(s) and the source, provide a link to the Creative Commons licence, and indicate if changes were made. The images or other third party material in this article are included in the article's Creative Commons licence, unless indicated otherwise in a credit line to the material. If material is not included in the article's Creative Commons licence and your intended use is not permitted by statutory regulation or exceeds the permitted use, you will need to obtain permission directly from the copyright holder. To view a copy of this licence, visit http://creativecommons.org/licenses/by/4.0/.

Publisher's Note

Springer Nature remains neutral with regard to jurisdictional claims in published maps and institutional affiliations.
download
DOWNLOAD
print
DRUCKEN
Titel
Tumor budding in pre-neoadjuvant biopsy and post-neoadjuvant resection specimens is associated with poor prognosis in intrahepatic cholangiocarcinoma—a cohort study of 147 cases by modified ITBCC criteria
Verfasst von
Gaohua Wu
Rongkui Luo
Qianhui Xu
Liuxiao Yang
Hongping Xia
Valerie Chew
Ye Xin Koh
Kenneth Tou En Chang
Jian Zhou
Jia Fan
Qiang Gao
Ruoyu Shi
Kai Zhu
Publikationsdatum
10.10.2024
Verlag
Springer Berlin Heidelberg
Erschienen in
Virchows Archiv / Ausgabe 5/2024
Print ISSN: 0945-6317
Elektronische ISSN: 1432-2307
DOI
https://doi.org/10.1007/s00428-024-03937-y
1.
Zurück zum Zitat Ilyas SI, Khan SA, Hallemeier CL, Kelley RK, Gores GJ (2018) Cholangiocarcinoma-evolving concepts and therapeutic strategies. Nat Rev Clin Oncol 15(2):95–111PubMedCrossRef
2.
Zurück zum Zitat Endo I, Gonen M, Yopp AC, Dalal KM, Zhou Q, Klimstra D et al (2008) Intrahepatic cholangiocarcinoma: rising frequency, improved survival, and determinants of outcome after resection. Ann Surg 248(1):84–96PubMedCrossRef
3.
Zurück zum Zitat Moris D, Palta M, Kim C, Allen PJ, Morse MA, Lidsky ME (2023) Advances in the treatment of intrahepatic cholangiocarcinoma: an overview of the current and future therapeutic landscape for clinicians. CA Cancer J Clin 73(2):198–222PubMedCrossRef
4.
Zurück zum Zitat Mavros MN, Economopoulos KP, Alexiou VG, Pawlik TM (2014) Treatment and prognosis for patients with intrahepatic cholangiocarcinoma: systematic review and meta-analysis. JAMA Surg 149(6):565–574PubMedCrossRef
5.
Zurück zum Zitat Tsilimigras DI, Sahara K, Wu L, Moris D, Bagante F, Guglielmi A et al (2020) Very early recurrence after liver resection for intrahepatic cholangiocarcinoma: considering alternative treatment approaches. JAMA Surg 155(9):823–831PubMedCrossRef
6.
Zurück zum Zitat Mason MC, Massarweh NN, Tzeng CD, Chiang YJ, Chun YS, Aloia TA et al (2021) Time to rethink upfront surgery for resectable intrahepatic cholangiocarcinoma? Implications from the neoadjuvant experience. Ann Surg Oncol 28(11):6725–6735PubMedCrossRef
7.
Zurück zum Zitat Sutton TL, Billingsley KG, Walker BS, Enestvedt CK, Dewey EN, Orloff SL et al (2021) Neoadjuvant chemotherapy is associated with improved survival in patients undergoing hepatic resection for intrahepatic cholangiocarcinoma. Am J Surg 221(6):1182–1187PubMedCrossRef
8.
Zurück zum Zitat Chao J, Wang S, Wang H, Zhang N, Wang Y, Yang X et al (2023) Real-world cohort study of PD-1 blockade plus lenvatinib for advanced intrahepatic cholangiocarcinoma: effectiveness, safety, and biomarker analysis. Cancer Immunol Immunother 72(11):3717–3726PubMedPubMedCentralCrossRef
9.
Zurück zum Zitat Chen X, Wu X, Wu H, Gu Y, Shao Y, Shao Q et al (2020) Camrelizumab plus gemcitabine and oxaliplatin (GEMOX) in patients with advanced biliary tract cancer: a single-arm, open-label, phase II trial. J Immunother Cancer 8(2):e001240PubMedPubMedCentralCrossRef
10.
Zurück zum Zitat Kelley RK, Ueno M, Yoo C, Finn RS, Furuse J, Ren Z et al (2023) Pembrolizumab in combination with gemcitabine and cisplatin compared with gemcitabine and cisplatin alone for patients with advanced biliary tract cancer (KEYNOTE-966): a randomised, double-blind, placebo-controlled, phase 3 trial. Lancet 401(10391):1853–1865PubMedCrossRef
11.
Zurück zum Zitat Oh DY, Ruth He A, Qin S, Chen LT, Okusaka T, Vogel A et al (2022) Durvalumab plus gemcitabine and cisplatin in advanced biliary tract cancer. NEJM Evid. 1(8):EVIDoa2200015PubMedCrossRef
12.
Zurück zum Zitat ClinicalTrials.gov, Durvalumab or placebo in combination with gemcitabine/cisplatin in patients with 1st line advanced biliary tract cancer (TOPAZ-1) (TOPAZ-1), https://clinicaltrials.gov/study/NCT03875235. Accessed June 20, 2024
13.
Zurück zum Zitat The U. S. Food and drug administration (2022) FDA approves durvalumab for locally advanced or metastatic biliary tract cancer. FDA. https://www.fda.gov/drugs/resources-information-approved-drugs/fda-approves-durvalumab-locally-advanced-or-metastatic-biliary-tract-cancer. Accessed 20 Jun 2024
14.
Zurück zum Zitat Oh DY, Lee KH, Lee DW, Yoon J, Kim TY, Bang JH et al (2022) Gemcitabine and cisplatin plus durvalumab with or without tremelimumab in chemotherapy-naive patients with advanced biliary tract cancer: an open-label, single-centre, phase 2 study. Lancet Gastroenterol Hepatol 7(6):522–532PubMedCrossRef
15.
Zurück zum Zitat Oh DY, He AR, Bouattour M, Okusaka T, Qin S, Chen LT et al (2024) Durvalumab or placebo plus gemcitabine and cisplatin in participants with advanced biliary tract cancer (TOPAZ-1): updated overall survival from a randomised phase 3 study. Lancet Gastroenterol Hepatol 9(8):694–704PubMedCrossRef
16.
Zurück zum Zitat Burris HA 3rd, Okusaka T, Vogel A, Lee MA, Takahashi H, Breder V et al (2024) Durvalumab plus gemcitabine and cisplatin in advanced biliary tract cancer (TOPAZ-1): patient-reported outcomes from a randomised, double-blind, placebo-controlled, phase 3 trial. Lancet Oncol 25(5):626–635PubMedCrossRef
17.
Zurück zum Zitat Zhao Q, Chen Y, Du S, Yang X, Chen Y, Ji Y et al (2021) Integration of radiotherapy with anti-PD-1 antibody for the treatment of intrahepatic or hilar cholangiocarcinoma: reflection from four cases. Cancer Biol Ther 22(3):175–183PubMedPubMedCentralCrossRef
18.
Zurück zum Zitat Zhang Z, Zhang W, Wang H, Hu B, Wang Z, Lu S (2021) Successful treatment of advanced intrahepatic cholangiocarcinoma with a high tumor mutational burden and PD-L1 expression by PD-1 blockade combined with tyrosine kinase inhibitors: a case report. Front Immunol 12:744571PubMedPubMedCentralCrossRef
19.
Zurück zum Zitat Zhang W, Luo C, Zhang ZY, Zhang BX, Chen XP (2023) Conversion therapy for advanced intrahepatic cholangiocarcinoma with lenvatinib and pembrolizumab combined with gemcitabine plus cisplatin: a case report and literature review. Front Immunol 13:1079342PubMedPubMedCentralCrossRef
20.
Zurück zum Zitat Nara S, Ioka T, Ogawa G, Kataoka T, Sano Y, Esaki M et al (2023) Randomized multicenter phase III trial of neoadjuvant gemcitabine + cisplatin + S-1 (GCS) versus surgery first for resectable biliary tract cancer (JCOG1920: NABICAT). J Clin Oncol 41:TPS621–TPS621CrossRef
21.
Zurück zum Zitat Buettner S, Koerkamp BG, Ejaz A, Buisman FE, Kim Y, Margonis GA et al (2017) The effect of preoperative chemotherapy treatment in surgically treated intrahepatic cholangiocarcinoma patients-a multi-institutional analysis. J Surg Oncol 115(3):312–318PubMedCrossRef
22.
Zurück zum Zitat McCluggage WG, Lyness RW, Atkinson RJ, Dobbs SP, Harley I, McClelland HR et al (2002) Morphological effects of chemotherapy on ovarian carcinoma. J Clin Pathol 55(1):27–31PubMedPubMedCentralCrossRef
23.
Zurück zum Zitat Evans AJ (2018) Treatment effects in prostate cancer. Mod Pathol 31(S1):S110–S121PubMedCrossRef
24.
Zurück zum Zitat Ueno H, Murphy J, Jass JR, Mochizuki H, Talbot IC (2002) Tumour ‘budding’ as an index to estimate the potential of aggressiveness in rectal cancer. Histopathology 40(2):127–132PubMedCrossRef
25.
Zurück zum Zitat Lugli A, Zlobec I, Berger MD, Kirsch R, Nagtegaal ID (2021) Tumour budding in solid cancers. Nat Rev Clin Oncol 18(2):101–115PubMedCrossRef
26.
Zurück zum Zitat Tanaka M, Yamauchi N, Ushiku T, Shibahara J, Hayashi A, Misumi K et al (2019) Tumor budding in intrahepatic cholangiocarcinoma: a predictor of postsurgery outcomes. Am J Surg Pathol 43(9):1180–1190PubMedCrossRef
27.
Zurück zum Zitat Agostini-Vulaj D, Cates JMM, Bratton LE, Gonzalez RS (2021) Increasing tumor budding in cholangiocarcinoma is associated with decreased disease-specific survival. Hum Pathol 111:75–83PubMedCrossRef
28.
Zurück zum Zitat Budau KL, Sigel CS, Bergmann L, Lüchtenborg AM, Wellner U, Schilling O et al (2022) Prognostic impact of tumor budding in intrahepatic cholangiocellular carcinoma. J Cancer 13(8):2457–2471PubMedPubMedCentralCrossRef
29.
Zurück zum Zitat Lohneis P, Sinn M, Klein F, Bischoff S, Striefler JK, Wislocka L et al (2018) Tumour buds determine prognosis in resected pancreatic ductal adenocarcinoma. Br J Cancer 118(11):1485–1491PubMedPubMedCentralCrossRef
30.
Zurück zum Zitat Stögbauer F, Beck S, Ourailidis I, Hess J, Poremba C, Lauterbach M et al (2023) Tumour budding-based grading as independent prognostic biomarker in HPV-positive and HPV-negative head and neck cancer. Br J Cancer 128(12):2295–2306PubMedPubMedCentralCrossRef
31.
Zurück zum Zitat Jain D, Chopp WV, Graham RP (2021) Protocol for the examination of resection specimens from patients with primary carcinoma of the colon and rectum. Available at: https://documents.cap.org/protocols/ColoRectal_4.3.0.0.REL_CAPCP.pdf. Accessed June 15, 2024
32.
Zurück zum Zitat Karamitopoulou E, Zlobec I, Kölzer V, Kondi-Pafiti A, Patsouris ES, Gennatas K et al (2013) Proposal for a 10-high-power-fields scoring method for the assessment of tumor budding in colorectal cancer. Mod Pathol 26(2):295–301PubMedCrossRef
33.
Zurück zum Zitat Ueno H, Mochizuki H, Hashiguchi Y, Shimazaki H, Aida S, Hase K et al (2004) Risk factors for an adverse outcome in early invasive colorectal carcinoma. Gastroenterology 127(2):385–394PubMedCrossRef
34.
Zurück zum Zitat Lugli A, Kirsch R, Ajioka Y, Bosman F, Cathomas G, Dawson H et al (2017) Recommendations for reporting tumor budding in colorectal cancer based on the international tumor budding consensus conference (ITBCC) 2016. Mod Pathol 30(9):1299–1311PubMedCrossRef
35.
Zurück zum Zitat Yim K, Jang WM, Cho U, Sun S, Chong Y, Seo KJ (2022) Intratumoral budding in pretreatment biopsies, among tumor microenvironmental components, can predict prognosis and neoadjuvant therapy response in colorectal adenocarcinoma. Medicina (Kaunas) 58(7):926PubMedCrossRef
36.
Zurück zum Zitat Farchoukh L, Hartman DJ, Ma C, Celebrezze J, Medich D, Bahary N et al (2021) Intratumoral budding and automated CD8-positive T-cell density in pretreatment biopsies can predict response to neoadjuvant therapy in rectal adenocarcinoma. Mod Pathol 34(1):171–183PubMedCrossRef
37.
Zurück zum Zitat Trotsyuk I, Sparschuh H, Müller AJ, Neumann K, Kruschewski M, Horst D et al (2019) Tumor budding outperforms ypT and ypN classification in predicting outcome of rectal cancer after neoadjuvant chemoradiotherapy. BMC Cancer 19(1):1033PubMedPubMedCentralCrossRef
38.
Zurück zum Zitat Jesinghaus M, Boxberg M, Wilhelm D, Münch S, Dapper H, Quante M et al (2019) Post-neoadjuvant cellular dissociation grading based on tumour budding and cell nest size is associated with therapy response and survival in oesophageal squamous cell carcinoma. Br J Cancer 121(12):1050–1057PubMedPubMedCentralCrossRef
39.
Zurück zum Zitat Jesinghaus M, Herz AL, Kohlruss M, Silva M, Grass A, Lange S et al (2022) Post-neoadjuvant assessment of tumour budding according to ITBCC subgroups delivers stage- and regression-grade independent prognostic information in intestinal-type gastric adenocarcinoma. J Pathol Clin Res 8(5):448–457PubMedPubMedCentralCrossRef
40.
Zurück zum Zitat Ito T, Kuriyama N, Kozuka Y et al (2020) High tumor budding is a strong predictor of poor prognosis in the resected perihilar cholangiocarcinoma patients regardless of neoadjuvant therapy, showing survival similar to those without resection. BMC Cancer 20(1):209PubMedPubMedCentralCrossRef
41.
Zurück zum Zitat Lawrence JB, William VC, Dhanpat J (2021) Protocol for the examination of specimens from patients with carcinoma of the pancreas. Available at: https://documents.cap.org/protocols/Panc.Exo_4.2.0.2.REL_CAPCP.pdf. Accessed August 16, 2024
42.
Zurück zum Zitat Alvaro D, Gores GJ, Walicki J, Hassan C, Sapisochin G, Komuta M et al (2023) EASL-ILCA clinical practice guidelines on the management of intrahepatic cholangiocarcinoma. J Hepatol 79(1):181–208CrossRef
43.
Zurück zum Zitat Almangush A, Youssef O, Pirinen M, Sundström J, Leivo I, Mäkitie AA (2019) Does evaluation of tumour budding in diagnostic biopsies have a clinical relevance? A systematic review. Histopathology 74(4):536–544PubMedCrossRef
44.
Zurück zum Zitat Chen W, Farchoukh L, Seigh L, Hartman DJ, Pai RK (2021) Combined histopathological risk score using TP53 protein expression, CD8+ T cell density and intratumoral budding is an independent predictor of neoadjuvant therapy response in rectal adenocarcinoma. Histopathology 79(5):826–835PubMedCrossRef
45.
Zurück zum Zitat Bokhorst JM, Ciompi F, Öztürk SK, Oguz Erdogan AS, Vieth M, Dawson H et al (2023) Fully automated tumor bud assessment in hematoxylin and eosin-stained whole slide images of colorectal cancer. Mod Pathol 36(9):100233PubMedCrossRef
46.
Zurück zum Zitat Neppl C, Zlobec I, Schmid RA, Berezowska S (2020) Validation of the international tumor budding consensus conference (ITBCC) 2016 recommendation in squamous cell carcinoma of the lung-a single-center analysis of 354 cases. Mod Pathol 33(5):802–811PubMedCrossRef
47.
Zurück zum Zitat Kairaluoma V, Kemi N, Pohjanen VM, Saarnio J, Helminen O (2020) Tumour budding and tumour-stroma ratio in hepatocellular carcinoma. Br J Cancer 123(1):38–45PubMedPubMedCentralCrossRef
48.
Zurück zum Zitat Okubo S, Mitsunaga S, Kato Y, Kojima M, Sugimoto M, Gotohda N et al (2018) The prognostic impact of differentiation at the invasive front of biliary tract cancer. J Surg Oncol 117(6):1278–1287PubMedCrossRef
49.
Zurück zum Zitat Miyata H, Yoshioka A, Yamasaki M, Nushijima Y, Takiguchi S, Fujiwara Y et al (2009) Tumor budding in tumor invasive front predicts prognosis and survival of patients with esophageal squamous cell carcinomas receiving neoadjuvant chemotherapy. Cancer 115(14):3324–3334PubMedCrossRef
50.
Zurück zum Zitat Lin JR, Wang S, Coy S, Chen YA, Yapp C, Tyler M et al (2023) Multiplexed 3D atlas of state transitions and immune interaction in colorectal cancer. Cell 186(2):363-381.e19PubMedPubMedCentralCrossRef

Neu im Fachgebiet Pathologie

Lymphome des Thymus und Mediastinums

Lymphozytenreiche Läsionen machen den Großteil der relevanten Differentialdiagnosen im vorderen Mediastinum aus und umfassen nichtneoplastische und neoplastische Entitäten. Lymphome stellen darunter mit ca. 10–15 % der Fälle eher einen kleinen …

Kombinationslymphome, Grauzonenlymphome und künftige Herausforderungen

Lymphome werden grundlegend in Hodgkin-Lymphome und B‑ und T‑Zell-Lymphome eingeteilt. Ihre Diagnostik beruht auf morphologischen, immunhistochemischen und zunehmend molekularen Methoden. Das klassische Hodgkin-Lymphom ist durch …

KI in der Diagnostik – aus Sicht der Pathologie

Die zunehmende Komplexität und Individualisierung onkologischer Diagnostik und Therapie stellt die Pathologie vor neue Herausforderungen. Gleichzeitig entwickelt sich die Künstliche Intelligenz (KI) von einer Zukunftstechnologie zu einem zentralen …

Räumlich-epidemiologische Datenanalyse von Pathologiedaten (REDPath)

In der pathologischen Routinediagnostik entstehen täglich große, gut dokumentierte Datensätze, deren Potential für räumlich-epidemiologische Analysen bislang kaum genutzt wird. Durch die Annotation dieser Daten eröffnen sich neue Möglichkeiten: …