Zum Inhalt
Die Pathologie

Doppelte Rarität: Die Koinzidenz von zwei seltenen Speicheldrüsentumoren

download
DOWNLOAD
print
DRUCKEN
insite
SUCHEN

Redaktion

Matthias Gaida, Mainz
Wilfried Roth, Mainz

Hinweis des Verlags

Der Verlag bleibt in Hinblick auf geografische Zuordnungen und Gebietsbezeichnungen in veröffentlichten Karten und Institutsadressen neutral.
Vorbekannt ist bei der 27-jährigen Patientin ein im Alter von 10 Jahren aufgetretenes EBV-assoziiertes B‑Zell-Non-Hodgkin-Lymphom mit Z. n. erfolgreicher Therapie und allogener Stammzelltransplantation. In einer Kontrolluntersuchung wurde ein 2 cm großer Tumor in der Parotis entdeckt (Abb. 1). Darüber hinaus offenbarte sich eine weitere umschriebene, teils bekapselte, 4,5 mm große Läsion (Abb. 2).
Abb. 1
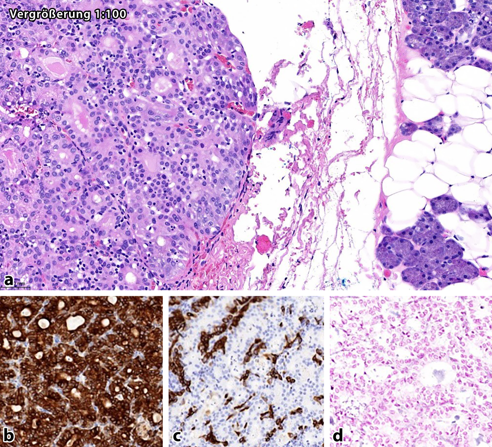
Histologisch kam eine synzytial gewachsene epitheliale Neoplasie mit ausgedehntem assoziierten lymphozytär dominierten Entzündungsinfiltrat zur Darstellung (ab). Immunhistochemisch zeigte sich eine positive Färbereaktion für Panzytokeratin (c), p40 und CK5/6 bei Negativität für p16 und positiven Signalen in einer EBER-in-situ-Hybridisierung (d). Bei unauffälliger Panendoskopie des übrigen HNO-Gebiets wurde die Diagnose eines EBV-assoziierten lymphoepithelialen Karzinoms der Parotis gestellt. In einigen ethnischen Gruppen (insbesondere bei der Inuitpopulation sowie der südchinesischen, japanischen, nordafrikanischen und mongolischen Population) machen lymphoepitheliale Karzinome 3,6–92 % der malignen Speicheldrüsentumoren aus, wohingegen sie in nichtendemischen Regionen nur 0,3–0,7 % der Speicheldrüsenmalignome repräsentieren [1]. Die Läsion wurde zweizeitig operiert. Im Präparat der Restparotidektomie zeigten sich keine weiteren Anteile des lymphoepithelialen Karzinoms
Bild vergrößern
Abb. 2
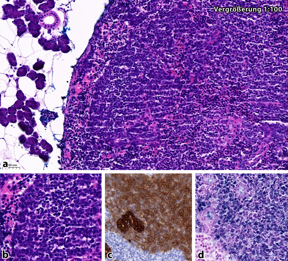
Umschriebene, teils bekapselte, 4,5 mm große Läsion bestehend aus dicht gelagerten Drüsenstrukturen mit einer duktalen Zelllage aus kleinen, monomorphen, runden Zellkernen und breitem eosinophilen Zytoplasma sowie umgebend einer flachen myoepithelialen Zelllage (a). Immunhistochemisch wies die Läsion eine positive Färbereaktion für Panzytokeratin und CK7 (b) auf mit Markierung der Myoepithelien mittels p40 und CK5/6 (c). Eine EBER-in-situ-Hybridisierung verblieb negativ (d). In Zusammenschau der Anamnese, der Morphologie und Immunhistochemie stellten wir die Diagnose eines Schaltstückadenoms („intercalated duct adenoma“). Schaltstückadenome sind seltene, benigne Speicheldrüsentumoren, die häufig inzidentell, insbesondere im Rahmen von anderen, meist neoplastischen Speicheldrüsenerkrankungen gefunden werden [1]
Bild vergrößern

Interessenkonflikt

V. Haug, B. Ernst und R. Winkelmann geben an, dass kein Interessenkonflikt besteht. P.J. Wild hat Beratungsvergütungen und Honorare für Vorträge erhalten von Bayer, Janssen-Cilag, Novartis, Roche, MSD, Astellas Pharma, Bristol-Myers Squibb, Thermo Fisher Scientific, Molecular Health, Sophia Genetics, Qiagen und AstraZeneca.
Open Access Dieser Artikel wird unter der Creative Commons Namensnennung - Nicht kommerziell - Keine Bearbeitung 4.0 International Lizenz veröffentlicht, welche die nicht-kommerzielle Nutzung, Vervielfältigung, Verbreitung und Wiedergabe in jeglichem Medium und Format erlaubt, sofern Sie den/die ursprünglichen Autor(en) und die Quelle ordnungsgemäß nennen, einen Link zur Creative Commons Lizenz beifügen und angeben, ob Änderungen vorgenommen wurden. Die Lizenz gibt Ihnen nicht das Recht, bearbeitete oder sonst wie umgestaltete Fassungen dieses Werkes zu verbreiten oder öffentlich wiederzugeben. Die in diesem Artikel enthaltenen Bilder und sonstiges Drittmaterial unterliegen ebenfalls der genannten Creative Commons Lizenz, sofern sich aus der Abbildungslegende nichts anderes ergibt. Sofern das betreffende Material nicht unter der genannten Creative Commons Lizenz steht und die betreffende Handlung nicht nach gesetzlichen Vorschriften erlaubt ist, ist für die oben aufgeführten Weiterverwendungen des Materials die Einwilligung des jeweiligen Rechteinhabers einzuholen. Weitere Details zur Lizenz entnehmen Sie bitte der Lizenzinformation http://creativecommons.org/licenses/by-nc-nd/4.0/.

Hinweis des Verlags

Der Verlag bleibt in Hinblick auf geografische Zuordnungen und Gebietsbezeichnungen in veröffentlichten Karten und Institutsadressen neutral.
download
DOWNLOAD
print
DRUCKEN
Titel
Doppelte Rarität: Die Koinzidenz von zwei seltenen Speicheldrüsentumoren
Verfasst von
Dr. Viktoria Haug
PD Dr. Benjamin Ernst
Prof. Dr. Peter J. Wild
Dr. habil. Ria Winkelmann
Publikationsdatum
24.11.2025
Verlag
Springer Medizin
Erschienen in
Die Pathologie
Print ISSN: 2731-7188
Elektronische ISSN: 2731-7196
DOI
https://doi.org/10.1007/s00292-025-01482-2
1.
Zurück zum Zitat WHO Classification of Tumours Editorial Board (2023) Head and neck tumours [Internet]. Lyon (France): International Agency for Research on Cancer. https://tumourclassification.iarc.who.int/chapters/52. Zugegriffen: 30. Sept. 2025

Neu im Fachgebiet Chirurgie

Therapie von Oligometastasen verbessert Prognose bei Prostata-Ca.

Die operative Entfernung oder Bestrahlung von Oligometastasen eines Prostatakarzinoms verlängert das progressionsfreie Überleben deutlich, der Effekt auf das Gesamtüberleben bleibt jedoch unklar.

Schlafarchitektur nach OP oft massiv gestört

Nach einem operativen Eingriff ist die Schlafqualität oft massiv beeinträchtigt. In einer US-Studie waren bei Risikopatienten nicht nur die Gesamtdauer des Schlafs, sondern vor allem auch REM- und Tiefschlafphasen deutlich verkürzt.

Opportunistische Salpingektomie lohnt sich häufig

Eine opportunistische Eileiterentfernung reduziert das Risiko für tubo-ovarielle Karzinome um 40 bis 80% – ohne kurzfristige Nachteile für die Ovarialfunktion. Die Europäische Gynäkologievereinigung rät Frauen ohne Kinderwunsch daher, solche Eingriffe zu nutzen.

Kopfverband nach Mittelohr-OP: Braucht es das wirklich?

Nach einer Mittelohr-OP ist ein Druckverband um den Kopf, wie er in vielen HNO-Kliniken routinemäßig angelegt wird, wohl überflüssig. Laut einem Team aus Pakistan ist der Schaden, der damit angerichtet wird, wahrscheinlich größer als der Nutzen.

Update Chirurgie

Bestellen Sie unseren Fach-Newsletter und bleiben Sie gut informiert.

Bildnachweise
Histologisches Bild Parotistumor/© Haug V et al. doi.org/10.1007/s00292-025-01482-2 unter CC-BY 4.0, Stereotaktische Strahlentherapie (SBRT) einer solitären ossären Metastase in dem Brustwirbelkörper/© Springer Medizin Verlag GmbH, Frauen ruhen im Krankenhaus /© Gorodenkoff / Stock.adobe.com (Symbolbild mit Fotomodell), Hysterektomie/© nkeskin / Getty Images / iStock