Zum Inhalt

Tyrosinkinaseinhibitoren

CME: Chronische myeloische Leukämie im Kindesalter

Die chronische myeloische Leukämie (CML) verläuft bei Kindern und Jugendlichen anders als bei Erwachsenen. Das erschwert sowohl die Diagnose als auch die Therapie. In diesem CME-Artikel sind die Besonderheiten der pädiatrischen CML zusammengefasst.

weiterlesen

Kasuistiken

Generalisiertes Exanthem unter Osimertinib: Tumortherapie absetzen?

Ein 43-jähriger normalgewichtiger Patient, der zur Behandlung eines Lungenkarzinoms eine isolierte Therapie mit dem EGFR-Tyrosinkinase-Inhibitor Osimertinib bekam, stellte sich mit einem seit 4 Wochen bestehenden generalisierten livid-roten, stark juckenden Exanthem vor. Wie würden Sie vorgehen?

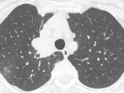
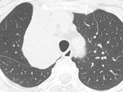
Der besondere Fall: Hyponatriämie bei einer 58-Jährigen mit Lungenkarzinom

Manche Patienten mit nichtkleinzelligem Lungenkarzinom erfahren bei Progress unter zielgerichteter Therapie eine Tumortransformation. Dann ist es nötig, erneut zu biopsieren – so wie im folgenden Fall.

Hyponatriämie bei einem EGFR-positiven pulmonalen Adenokarzinom

Die Patientin entwickelte unter einer Tyrosinkinaseinhibitor-Therapie eine schwere Hyponatriämie – u.a. mit begleitenden Konzentrationsstörungen. Handelt es sich um ein Fortschreiten des Tumors, eine Nebenwirkung der Therapie oder um etwas Anderes?

Weitere Artikel aus unseren Fachzeitschriften

Tumormikromilieu des hepatozellulären Karzinoms – Schlüssel zur Therapiestratifizierung von Lebertumoren

Die systemische Therapie des fortgeschrittenen hepatozellulären Karzinoms (HCC) durchläuft einen Paradigmenwechsel: Immuncheckpointinhibitor(ICI)-basierte Therapien verbessern das Überleben gegenüber Tyrosinkinase-Inhibitoren (TKI) und stellen nun …

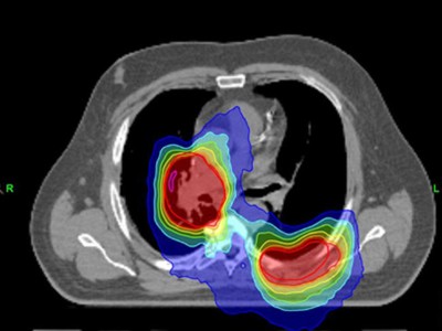
TKI und simultane thorakale Radiotherapie: ein vielversprechender Ansatz?

  • NSCLC
  • Kommentierte Studie

Die Ergebnisse einer aktuellen Studie liefern interessante Erkenntnisse zur Rolle einer kombinierten Tyrosinkinaseinhibitor(TKI)- und thorakalen Radiotherapie (TRT) bei oligoorganmetastasiertem, EGFR-mutiertem nichtkleinzelligem Lungenkarzinom (NSCLC). Jedoch sind einige Aspekte für die Bewertung der Arbeit zu berücksichtigen.

Aktuelle und kommende Biomarker beim NSCLC

  • NSCLC
  • Übersichtsartikel

Beim nichtkleinzelligen Lungenkarzinom (NSCLC) kommt der molekularpathologischen Diagnostik eine zentrale Rolle zu, da immer mehr Biomarker je nach Tumorstadium so früh wie möglich untersucht werden müssen. Die Therapie hat dadurch rasant an Komplexität gewonnen. 

Moderne Krebstherapien verstehen: Grundlagen der Immunonkologie

Wie unterscheidet das Immunsystem zwischen "fremd" und "selbst"? Im Beitrag werden Mediatoren und Mechanismen der immunologischen Tumorabwehr und ihre Zielstrukturen beschrieben, die für aktuelle klinische Anwendungen in der Krebsimmuntherapie relevant sind bzw. in naher Zukunft wahrscheinlich an Relevanz gewinnen.

Neue Immuncheckpoint-Inhibitoren und Kombinationen

Trotz signifikanter Fortschritte bestehen weiterhin Limitationen durch schwierige Patientenselektion, Resistenzen sowie immunvermittelte Nebenwirkungen (irAE). Neue Strategien zielen darauf ab, die Effektivität bestehender Therapien durch gezieltere Immunmodulation, neue Zielstrukturen und eine Steuerung des Tumormikromilieus (TME) zu erhöhen.

Melanom: Zeitlich begrenzte zielgerichtete Behandlung als Add-on zur Checkpointblockade?

In der Studie waren die Patientinnen und Patienten zunächst über sechs Wochen mit insgesamt zwei Zyklen Pem-brolizumab behandelt worden. Per Los wurde danach entweder die ICI-Thera-pie für weitere sechs Wochen allein fortgeführt oder um eine …

Sonderformate

JAK1/2-Hemmung jetzt für Kinder unter zwölf Jahren und in neuer Darreichungsform möglich

Der Januskinase (JAK)1/2-Inhibitor Ruxolitinib ist in der Indikation Graft-versus-Host-Erkrankung (GvHD) nach einer Zulassungserweiterung im Januar 2025 jetzt auch zur Behandlung von Kindern unter zwölf Jahren zugelassen. In der REACH4-Studie wurde die Effektivität und Sicherheit bei einer pädiatrischen, steroidrefraktären Patientenpopulation mit akuter GvHD unter Beweis gestellt.

Mit freundlicher Unterstützung von:
  • Novartis Pharma GmbH

Nicht gefunden, wonach Sie suchten?

Probieren Sie es mit der Suchfunktion:

Neu im Fachgebiet Onkologie

Deutliche Rezidivangst bei jeder siebten Brustkrebspatientin

Fünf Jahre nach Diagnose eines frühen Brusttumors leidet jede siebte Langzeitüberlebende unter ausgeprägter Rezidivangst. Besonders betroffen sind Frauen mit Nebenwirkungen der endokrinen Therapie oder ohne eine solche Behandlung.

Tiefere Diagnostik, mehr Therapietargets bei metastasiertem Brustkrebs

Eine umfangreichere molekulardiagnostische Aufarbeitung kann bei metastasiertem Brustkrebs mehr therapierelevante Angriffsstellen aufdecken als das Standardvorgehen, was sich in Behandlungsvorteile übersetzt. Dafür sprechen zumindest die ersten Ergebnisse der deutschen CATCH-Studie.     

Steigert Langzeit-Cannabiskonsum das Risiko für Hodentumoren?

Männer, die regelmäßig oder über viele Jahre Cannabis konsumieren, entwickeln häufiger testikuläre Keimzelltumoren – vor allem nicht-seminomatöse Formen. Darauf verweist eine Analyse von drei Fall-Kontroll- und zwei Beobachtungsstudien.

Akute Zystitis kann auf künftigen Krebs hinweisen

Die Diagnose einer akuten Zystitis im Alter ab 50 Jahren hat sich in einer Studie als nützlicher Prädiktor kommender urogenitaler Krebserkrankungen erwiesen. Besonders hoch ist das Risiko demnach in den ersten drei Monaten nach der Blasenentzündung.

Update Onkologie

Bestellen Sie unseren Fach-Newsletter und bleiben Sie gut informiert.

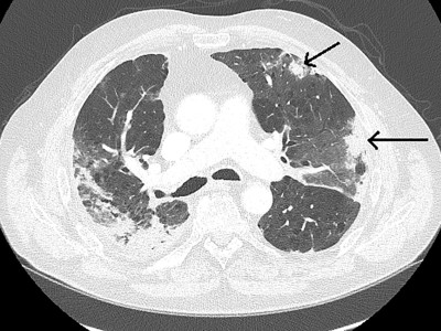
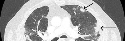
Bildnachweise
Kind erhält Leukämie Therapie/© FatCamera / Getty Images / iStock (Symbolbild mit Fotomodell), Immuncheckpointinhibitoren binden an Krebszelloberflächenproteine /© Juan Gärtner / stock.adobe.com, Arzt misst Blutzucker per Glucometer/© geargodz / Stock.adobe.com (Symbolbild mit Fotomodell), CT der Lunge mit Konsolidierungen (Pfeile) und Milchglastrübungen bei einer immunvermittelten Pneumonitis/© Minuth-Fuchs, K.L., Schulz, C. / all rights reserved Springer Medizin Verlag GmbH, Hepatozelluläres Karzinom im Lebersegment VIII/© Wengert, G. et al. / all rights reserved Springer Medizin Verlag GmbH, Blutabstrich der chonisch lymphatischen Leukämie/© jarun011 / Getty Images / iStock, Endobronchialer Befund mit exophytischem Tumor im Bereich des rechten Oberlappens/© Möller, M., Schütte, W. / all rights reserved Springer Medizin Verlag GmbH, Mann nimmt eine Tablette ein/© Jelena Stanojkovic / stock.adobe.com (Symbolbild mit Fotomodell), Thymom mit pleuraler Aussaat rechts im Masaoka-Koga-Stadium IVa./© Ried, M. et al. / all rights reserved Springer Medizin Verlag GmbH, Patientin schaut besorgt auf Infusionsbeutel/© KatarzynaBialasiewicz / Getty Images / iStock (Symbolbild mit Fotomodellen), Ältere Frau nimmt Tablette ein/© amenic181 / stock.adobe.com (Symbolbild mit Fotomodell), Generalisierte, konfluierende, kokardenartige Erytheme mit zentraler Blase/© Springer Medizin Verlag GmbH, Bronchialkarzinom/© Dr. Myriam Koch , Pulmonales Adenokarzinom bei Diagnosestellung/© Springer Medizin, Bestrahlung eines Lungenkarzinoms/© Springer Medizin Verlag GmbH, Search Icon, Ältere Frau fasst sich an die Brust/© Jelena Stanojkovic / Stock.adobe.com (Symbolbild mit Fotomodell), Person setzt DNS-Probe in Maschine ein/© Vit Kovalcik / stock.adobe.com, Mann raucht Joint/© Daniel Sierralta / Westend61 / stock.adobe.com (Symbolbild mit Fotomodell), Blut in Toilette/© stylefoto24 / stock.adobe.com