Zum Inhalt

Unveiling the retinal secrets of neuromyelitis optica spectrum disorder

  • Open Access
  • 01.12.2024
  • Research
Erschienen in:

Abstract

Background

Vascular alterations are now recognized as important contributors to the pathophysiology of neuromyelitis optica spectrum disorder (NMOSD). This study aimed to use optical coherence tomography (OCT) and OCT-angiography (OCTA) to assess alterations in the retinal structure and microvasculature in patients with NMOSD, so we can understand pathophysiology of NMOSD, implicating this on disease activity, visual outcome and management on the future.

Methods

A case–control study was conducted on 40 NMOSD patients with (NMOSD + ON) and without (NMOSD – ON) history of optic neuritis and 36 healthy subjects. The following data were assessed in NMOSD patients: clinical history, EDSS, and visual function testing. Both groups underwent spectral domain (SD)-OCT and OCTA.

Results

In this study, NMOSD + ON patients had a statistically significant reduction in all SD-OCT parameters compared to healthy control. Regarding OCTA, there was a significant reduction in radial peripapillary capillary density (RPCD) in NMOSD + ON (P-value < 0.001) and some sectors of NMOSD–ON compared to healthy control. NMOSD + ON patients had significant differences in RPCD compared to those without (P-value < 0.001).

Conclusions

Here we show that the advance of this study is that retinal microvascular alterations have been noticed in NMOSD–ON eyes, indicating that subclinical primary retinal vasculopathy and disease activity may occur in NMOSD before onset of ON and retinal atrophy. This may have implications on early detection of disease activity, early interference in management and prognostic tool to visual outcome in following the patients.

Publisher's Note

Springer Nature remains neutral with regard to jurisdictional claims in published maps and institutional affiliations.
ANOVA
Analysis of variance
ARR
Annualized relapse rate
AQP4-ab
Aquaporin 4 antibody.
BCVA
Best corrected visual acuity
DMT
Disease-modifying therapy
EDSS
Extended Disability Status Scale
FLV
Focal loss volume
GCC
Ganglion cell complex
GCIPL
Ganglion cell and inner plexiform layer
GLV
Global loss volume
IOP
Intra-ocular pressure
NMOSD
Neuromyelitis optica spectrum disorder
NMOSD + ON
NMOSD patients with history of optic neuritis
NMOSD–ON
NMOSD patients without history of optic neuritis
OCT
Optical coherence tomography
OCTA
Optical coherence tomography angiography
ON
Optic neuritis
RNFL
Retinal nerve fiber layer
RPCD
Radial peripapillary capillary density
SD-OCT
Spectral domain optical coherence tomography
SLE
Systemic lupus erythromatosis
SPSS
Statistical Package for the Social Sciences

Background

Neuromyelitis optica spectrum disorders (NMOSD) are idiopathic inflammatory autoimmune disorder of the central nervous system primarily relapsing in nature [1, 2]. The prevalence of NMOSD in various studies ranges from 0.5 to 10 per 100,000 [3]. Optic neuritis (ON) attacks occurred in 45% of NMOSD patients at disease onset, and 64.1% of patients experienced ON at least once throughout the disease entire course [4, 5].
Ophthalmological examination may be useful to help clinicians diagnose NMOSD since NMO-related optic neuritis directly impacts visual ability [6, 7]. Optical coherence tomography is a non-invasive method that makes it easy to analyze retinal structures effectively [810].
In,  the past few years, many studies have suggested that retinal nerve fiber layer (RNFL) and macular thickness analysis using OCT are very useful for the detection of axonal loss and treatment effects monitoring in MS and NMOSD [6, 11, 12].
Apart from examining distinct retinal layers, the geometric and topological characteristics of the retinal microvasculature may provide significant insights for the early diagnosis of (NMOSD) [13]. Significant reductions in microvasculature and structural thickness are observed to be linked to impaired visual acuity. Furthermore, the weakening of the retinal structure rises when ON attacks recur, although it is unrelated to how long the condition lasts [1416].
According to reports, ON associated with NMOSD can result in substantial thinning of the retinal nerve fiber layer (RNFL), which indicates diffuse axonal injury, large optic nerve lesion longer than that of MS, and severe visual impairment after just one ON episode. Unfortunately, nothing is currently known about how the retinal vascular network is altered in NMOSD [17, 18].
In NMOSD, the retinal microvasculature is a frequent and early target of inflammatory assault. Changes in the retinal micro vascular network of NMOSD are thought to be a sign of the initiation and progression of retinopathy [17].
According to earlier research, NMOSD eyes with and without optic neuritis had considerably lower densities in the RPC (radial peripapillary capillary density) than did healthy controls [16].
Along with proven immune-mediated mechanisms, vascular changes are increasingly accepted as important contributors in the pathophysiology of neuroinflammatory disorders, especially in multiple sclerosis and NMOSD. The retinal vascular imaging could provide insight into the pathophysiology of NMOSD because the anatomical connections exist between the cerebral and retinal vasculatures and share similar characteristics [17].
The relatively new technology of optical coherence tomography angiography (OCTA) images the retinal and choroidal vasculature using a non-intrusive, depth-resolved technique. OCTA offers an alternative quantitative assessment of retinal impairment by measuring vascular density instead of structural atrophy. Additionally, it might act as a substitute marker for vascular pathology in the central nervous system [19].
OCT can be used to quantity the thickness of the retinal nerve fiber layer (RNFL) besides the ganglion cell and inner plexiform layer (GCIPL). Studies using OCT have determined severe thinning of the RNFL and GCIPL in NMOSD eyes with history of ON, denoting retinal axonal and neuronal loss [20].
These data suggest that OCT-A might be a cost-effective tool to study subclinical disease activity and astrocyte loss in individuals with NMOSD.
The principal outcome of earlier studies was that NMOSD eyes with or without a history of ON had significantly reduced peripapillary and parafoveal vascular density. The results show convincing proof that vascular alterations take place in NMOSD eyes even before ON develops, indicating subclinical primary retinal vasculopathy, supporting the astrocyte-associated vascular alteration [17].
Thus, the purpose of this study was to detect alterations in the retinal structure (measured by SD-OCT) and microvasculature network (measured by OCTA) in patients with NMOSD with or without a history of ON and to correlate between retinal vascular abnormalities and retinal structure in NMOSD patients to each other and correlate them with clinical variables.

Methods

This study is a case control study performed on 40 aquaporin-positive NMOSD patients, aged 15–55 years, who were diagnosed using the 2015 international consensus diagnostic criteria for neuromyelitis optica spectrum disorder [21] and either had an optic neuritis history (NMOSD + ON) or did not (NMOSD-ON), as determined by the clinical diagnostic criteria for optic neuritis [22]. From February 1, 2021, until August 1, 2022, patients were continuously recruited from the multiple sclerosis clinic at local hospital. Another 36 age and sex-matched healthy individuals were enrolled as controls at the same time.
Exclusion criteria included NMOSD patients with a history of ON or any other relapse within the last 3 months, NMOSD patients were receiving intravenous or oral steroids within three months, patients with ophthalmic diseases, such as glaucoma or cataract, or another neurological disease such as cerebrovascular disease, patients with neurological syndromes mimicking NMOSD as sarcoidosis, chronic infection or SLE. Any patient or control with prior ocular surgery that can have an impact on the visual outcomes or the macular morphology or with refractory error within + 3.00 to − 6.00 and also those who received drugs with identified effect on the vision such as isoniazid, ethambutol, sildenafil or any other drugs might affect vision [17].
As regards methodology details, both the patient and control groups' demographic information was gathered. Visual function testing was carried out for patients and controls. The best corrected visual acuity (BCVA) of both eyes was measured on the same day as OCT and OCT-A examination for each eye individually using the Snellen chart. Visual acuity was measured by logMAR [23], fundus examination with optic disc evaluation, and intraocular pressure measurement were performed.
NMOSD patients were evaluated regarding clinical data, disease course, annualized relapse rate (ARR), full neurological examination, disease-modifying therapy (DMT), and the Expanded Disability Status Scale (EDSS) [24].
Investigations needed for diagnosis of NMOSD such as MRI brain and cervical spine with an injection of gadolinium contrast, and aquaporin four testing (serum samples were tested for AQP 4 IgG utilizing cell-based assay) were gathered.
The following procedures; optical coherence tomography (OCT) and optical coherence tomography angiography (OCTA) were performed on patients and control groups alike.
The Optovue RTVueTM system (Optovue Inc., Fremont, CA, USA) was used for spectral domain OCT. The peripapillary RNFL technique and the macular map protocol, which allows for fast macular scanning for GCC measurements, were both applied to the examined eye (each patient examined for single eye). At the Ophthalmology Department of Cairo University Hospital, a single experienced ophthalmologist conducted each examination.
We obtained OCT angiography images with the same OCT device, optic disc OCTA scan in which radial peripapillary capillary vascular density (RPCD) was measured in 4.5 × 4.5 scan around optic disc boundary, and including whole image scan, inside disc scan, and peripapillary scan: that further divided into multiple sectors, superior hemisphere, inferior hemisphere, nasal superior, nasal inferior, inferior nasal, inferior temporal, temporo superior, superior temporal and superior nasal.
There are other studies that discussed this study topic regarding OCT, OCTA in NMOSD patients with similar methods and approaches [16, 17, 19, 2527].
Regarding statistical methods, data were coded and entered using the statistical package for the Social Sciences (SPSS) version 28 (IBM Corp., Armonk, NY, USA). For quantitative variables, mean and standard deviation were used to summarize the data, and for categorical variables, frequencies (the number of cases) and relative frequencies (percentages) were used. Analysis of variance (ANOVA) with multiple comparisons post hoc test was used to compare groups for normally distributed quantitative variables. Comparatively, non-parametric Kruskal–Wallis test and Mann–Whitney test were used for non-normally distributed quantitative variables [28]. An analysis using the Chi-square (χ2) test was done to compare categorical data. Exact test was used instead when the expected frequency is less than 5 [29]. The Spearman correlation coefficient was used to determine correlations between quantitative variables [30]. Logistic regression was done to detect independent predictors of ON [31]. P-values less than 0.05 were considered as statistically significant.

Results

Regarding the demographics and clinical characteristics of NMOSD patients and controls, this study was performed on 40 aquaporin-4-positive NMOSD patients; 30 had a history of ON (NMOSD + ON), 10 had no ON (NMOSD-ON), and 36 were age and sex-matched controls. The demographic characteristics of the NMOSD patients and healthy controls are shown in (Table 1).
Table 1
Demographic characteristics of NMOSD patients and healthy controls
Items
Patient group
(n = 40)
Control group (n = 36)
Age (years)
Range
15–50
26–40
Mean ± SD
33.23 ± 10.55
31.97 ± 3.09
Sex (n, %)
Female
39 (97.5)
30 (83.3)
Male
1 (2.5)
6 (16.7)
NMOSD: neuromyelitis optica spectrum disorder, n: number, SD: standard deviation
The mean age of onset of patients in our population is 27.6 ± 9.8 SD years, with a mean duration of illness of 66.4 ± 50.3 months. Seventy-five percent of the patients had a history of ON, either unilateral or bilateral. The mean annualized relapse rate (ARR) is 1 ± 0.55 SD, while the mean EDSS of the patients is 3.96 ± 1.62 SD. The patients' clinical characteristics, investigations, and treatment are shown in Table 2.
Table 2
Clinical characteristics, imaging and aquaporin-4 status among our NMOSD patients
Items
Patient group (n = 40)
Age of onset of the disease (years)
Mean ± SD
27.6 ± 9.8
Duration of illness (months)
Mean ± SD
66.4 ± 50.3
Total number of relapses
Mean ± SD
4.63 ± 3.39
History of ON (n, %)
With
30 (75%)
Unilateral or bilateral ON history
Unilateral
11(27.5%)
Bilateral
19 (47.5%)
Number of ON attacks
Mean ± SD
1.92 ± 2.14
EDSS at time of questionnaire (mean ± SD)
3.96 ± 1.62
EDSS
 < 4
18 (45%)
4–6.5
21 (52.5%)
 > 6.5
1 (2.5%)
Annual relapse rate
Mean ± SD
1 ± 0.55
DMT (n, %)
No treatment
6 (15%)
Rituximab
27 (67.5%)
Azathioprine
3 (7.5%)
Azathioprine and steroid
4 (10%)
Spinal MRI (cervical spine, dorsal spine) (n, %)
Normal
 ≥ Three segments
 < Three segments
6 (15%)
30 (75%)
4 (10%)
MRI brain (n, %)
Normal
24(60%)
Abnormal
16 (40%)
NMOSD: neuromyelitis optica spectrum disorder, n: number, SD: standard deviation, %: percentage, ON: optic neuritis, EDSS: Expanded Disability Status Scale, DMT: disease-modifying therapy
There was a statistically significant difference between patients with a history of ON and healthy control regarding visual acuity (P-value ≤ 0.001). In contrast to IOP, which shows no difference.
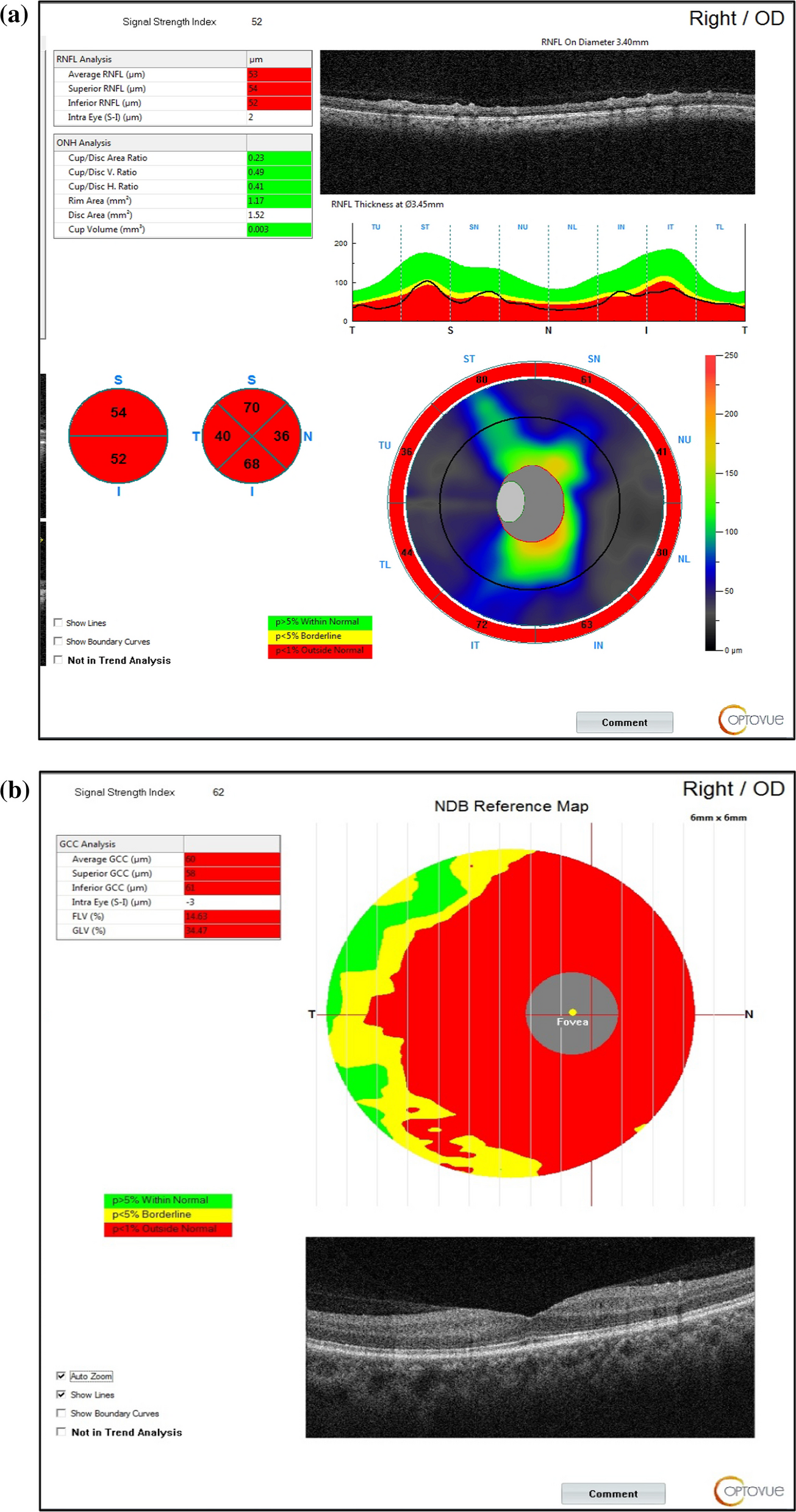
As regards OCT, patients with a history of ON had significantly lower retinal nerve fiber layer, ganglion cell complex parameters (Fig. 1a, b), and significantly higher global loss volume (GLV) and focal loss volume (FLV) than the control group (P-value < 0.001 in the whole scan). There were no statistically significant differences for these parameters between patients without a history of ON and healthy control (Table 3, Fig. 2a, b).
Fig. 1
a, b SD OCT imaging for RNFL
Bild vergrößern
Table 3
Spectral domain OCT parameters among study groups
SD-OCT parameters
NMOSD + ON
(mean ± SD)
NMOSD
-ON
(mean ± SD)
Healthy controls
(mean ± SD)
NMOSD + ON versus Controls
(p value)
NMOSD
-ON versus controls
(p value)
Average RNFL (µm)
69.43 ± 20.3
100.50 ± 9.42
103.03 ± 7.77
 < 0.001*
1.000
Superior RNFL (µm)
70.67 ± 21.21
101.80 ± 8.64
105.42 ± 8.65
 < 0.001*
1.000
Inferior RNFL (µm)
68.17 ± 20.94
99.60 ± 11.34
101.33 ± 7.69
 < 0.001*
1.000
Average GCC (µm)
73.57 ± 16.46
97.70 ± 7.70
101.11 ± 7.62
 < 0.001*
1.000
Superior GCC (µm)
72.13 ± 16.13
97.00 ± 8.10
97.92 ± 16.91
 < 0.001*
1.000
Inferior GCC (µm)
71.27 ± 18.25
97.90 ± 7.69
101.25 ± 7.23
 < 0.001*
1.000
FLV (%)
8.73 ± 5.28
1.32 ± 1.84
0.60 ± 0.36
 < 0.001*
1.000
GLV (%)
23.07 ± 14.24
3.07 ± 3.37
1.79 ± 1.55
 < 0.001*
1.000
NMOSD: neuromyelitis optica spectrum disorder, NMOSD + ON: patients with history of ON, NMOSD – ON: without history of ON, SD: standard deviation, SD-OCT: spectral domain optical coherence tomography, RNFL: retinal nerve fiber layer, GCC: ganglion cell complex, FLV: focal loss volume, GLV: global loss volume
*p < 0.05 is significant, < 0.01 is highly significant, < 0.001 is extremely significant
Fig. 2
a, b Spectral domain OCT parameters among study groups
Bild vergrößern
As regards OCTA, patients with a history of ON had a significantly lower radial peripapillary capillary vessel density (RPCD) in comparison to controls (P-value < 0.001 in all sectors) (Fig. 3a, b). Also, some sectors (peripapillary, superior hemisphere, nasal superior, temporo inferior, temporo superior, and superior nasal) were significantly lower in patients without a history of ON in comparison to controls (P-value = 0.04, 0.033, 0.037, 0.025, 0.39, 0.36, respectively) (Table 4, Fig. 4a, b,).
Fig. 3
a, b Peripapillary OCTA images
Bild vergrößern
Table 4
RPCD among the three study groups
OCT-A grid sector (Radial peripapillary capillary density)
NMOSD + ON
(mean ± SD)
NMOSD
-ON
(mean ± SD
Healthy controls
(mean ± SD)
NMOSD + ON versus controls
(p value)
NMOSD
-ON versus controls
(p value)
Whole image
38.78 ± 8.21
51.04 ± 1.56
53.14 ± 3.74
 < 0.001*
0.943
Inside disc
46.62 ± 7.7
52.17 ± 3.08
53.78 ± 5.18
 < 0.001*
1.000
Peripapillary
38.55 ± 10.38
52.35 ± 1.95
57.13 ± 2.75
 < 0.001*
0.04*
Superior hemisphere
37.98 ± 11.05
52.12 ± 2.13
57.75 ± 2.9
 < 0.001*
0.033*
Inferior hemisphere
39.06 ± 10.08
53.50 ± 2.41
54.93 ± 3.18
 < 0.001*
1.00
Nasal superior
35.27 ± 10.94
51.1 ± 3.11
55.93 ± 3.98
 < 0.001*
0.037*
Nasal inferior
36.51 ± 8.52
49.66 ± 4.17
51.77 ± 4.91
 < 0.001*
1.00
Inferior nasal
38.97 ± 13.37
54.14 ± 3.22
54.55 ± 4.19
 < 0.001*
1.00
Inferior temporal
42.6 ± 15
60.09 ± 3.79
59.42 ± 3.07
 < 0.001*
1.00
Temporo inferior
39.04 ± 9.29
51.38 ± 3.43
56.97 ± 3.64
 < 0.001*
0.025*
Temporo superior
42.07 ± 9.76
54.7 ± 3.04
59.89 ± 2.94
 < 0.001*
0.039*
Superior temporal
40.02 ± 14.43
56.86 ± 2.04
58.65 ± 3.36
 < 0.001*
1.00
Superior nasal
35.74 ± 12.92
51.15 ± 4.88
57.52 ± 4.47
 < 0.001*
0.036*
NMOSD + ON: patients with history of ON, NMOSD – ON: without history of ON, SD: standard deviation, OCTA: optical coherence tomography angiography
*p < 0.05 is significant, < 0.01 is highly significant, < 0.001 is extremely significant
Fig. 4
a, b Radial peripapillary capillary density among the three study groups
Bild vergrößern
Regarding the impact of ON on the characteristics of NMOSD patients, NMOSD patients with ON had significantly lower RNFL, GCC thickness parameters, and significantly higher global and focal loss volumes (GLV, FLV) compared to those without ON (P-value < 0.001 in all segments) (Table 5). These differences denote severe structural atrophy in the retina between NMOSD + ON patients compared to NMOSD–ON patients; whereas, both groups of patients are age and sex-matched (P-value = 0.346, 1, respectively), and there were no statistically significant differences between them regarding age of onset, the number of relapses, disease duration, EDSS, annual relapse rate (ARR), brain, cervical imaging and DMT.
Table 5
SD OCT parameters among the two groups of patients
SD- OCT parameters
NMOSD + ON
Mean ± SD
NMOSD –ON
Mean ± SD
(P value)
Average RNFL
69.43 ± 20.83
100.50 ± 9.42
 < 0.001*
Superior RNFL
70.67 ± 21.21
101.80 ± 8.64
 < 0.001*
Inferior RNFL
68.17 ± 20.94
99.60 ± 11.34
 < 0.001*
Average GCC
73.57 ± 16.46
97.70 ± 7.70
 < 0.001*
Superior GCC
72.13 ± 16.13
97.00 ± 8.10
 < 0.001*
Inferior GCC
71.27 ± 18.25
97.90 ± 7.69
 < 0.001*
FLV
8.73 ± 5.28
1.32 ± 1.84
 < 0.001*
GLV
23.07 ± 14.24
3.07 ± 3.37
 < 0.001*
NMOSD + ON: patients with history of ON, NMOSD – ON: without history of ON, SD: standard deviation, SD-OCT: spectral domain optical coherence tomography, RNFL: retinal nerve fiber layer, GCC: ganglion cell complex, FLV: focal loss volume, GLV: global loss volume
*p < 0.05 is significant, < 0.01 is highly significant, < 0.001 is extremely significant
There were statistically significant differences between NMOSD patients with and without ON in all scans of RPCD (P-value < 0.001 in all sectors) (Table 6). These significant differences denote severe affection in the vascular density in NMOSD + ON compared to NMOSD – ON.
Table 6
RPCD parameters among the two patients groups
Radial peripapillary capillary density
NMOSD + ON
Mean ± SD
NMOSD – ON
Mean ± SD
(P value)
Whole image
38.78 ± 8.21
51.04 ± 1.56
 < 0.001*
Inside disc
46.62 ± 7.70
52.17 ± 3.08
0.047*
Peripapillary
38.55 ± 10.38
52.35 ± 1.95
 < 0.001*
Superior hemisphere
37.98 ± 11.05
52.12 ± 2.13
 < 0.001*
Inferior hemisphere
39.06 ± 10.08
53.50 ± 2.41
 < 0.001*
Nasal superior
35.27 ± 10.94
51.10 ± 3.11
 < 0.001*
Nasal inferior
36.51 ± 8.52
49.66 ± 4.17
 < 0.001*
Inferior nasal
38.97 ± 13.37
54.14 ± 3.22
 < 0.001*
Inferior temporal
42.60 ± 15.00
60.09 ± 3.79
 < 0.001*
Temporo inferior
39.04 ± 9.29
51.38 ± 4.43
 < 0.001*
Temporo superior
42.07 ± 9.76
54.70 ± 3.43
 < 0.001*
Superior temporal
40.02 ± 14.43
56.86 ± 2.04
 < 0.001*
Superior nasal
35.74 ± 12.92
51.15 ± 4.88
 < 0.001*
NMOSD + ON: patients with history of ON, NMOSD –ON: without history of ON, SD: standard deviation, OCTA: optical coherence tomography angiography
*p < 0.05 is significant, < 0.01 is highly significant, < 0.001 is extremely significant
In NMOSD patients with ON, there was a statistically significant negative correlation between all SD-OCT (RNFL, GCC) parameters and visual acuity affection (P-value < 0.001 in all grid sectors), except for GLV and FLV, there was positive correlation (P-value < 0.001). This denotes that the structural atrophy and retinal layer volume loss strongly affect visual acuity.
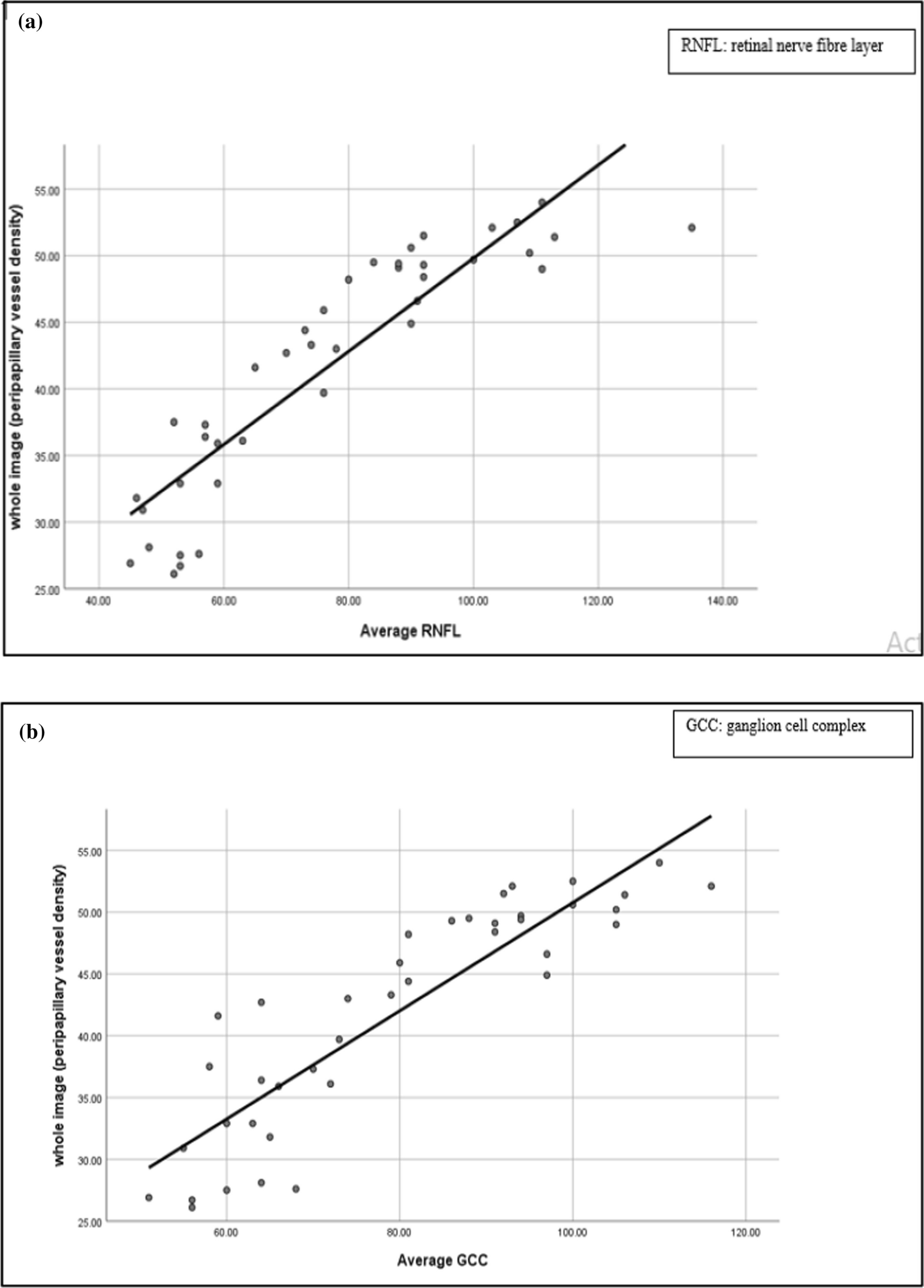
A statistically significant negative correlation existed between RPCD parameters in all grid sectors and visual acuity affection (P-value < 0.001 in all sectors). Also, most sectors of RPCD with number of ON attacks. There were a statistically significant positive correlation between SD-OCT parameters (RNFL, GCC) and radial peripapillary capillary density (RPCD) detected by OCTA in all sectors (P-value < 0.001 in whole image) except for GLV and FLV there were significant negative correlation (P-value < 0.001) (Fig. 5a, b).
Fig. 5
a, b Correlation between radial peripapillary capillary density and (RNFL, GCC) in NMOSD + ON
Bild vergrößern
Correlation between SD-OCT parameters and RPCD parameters in NMOSD-ON patients showed that in NMOSD patients without ON, there was a statistically significant positive correlation between some SD-OCT parameters and RPCD parameters in a few sectors (peripapillary, superior hemisphere, inferior hemisphere, temporo superior, and superior temporal) (Table 7).
Table 7
Correlations between SD-OCT parameters and RPCD parameters in NMOSD – ON
NMOSD -ON RPCD/SD OCT
Average RNFL
Superior RNFL
Inferior RNFL
Average GCC
Superior GCC
Inferior GCC
FLV
GLV
Whole image
 r
0.584
0.427
0.576
0.565
0.515
0.456
− 0.673
− 0.552
 P value
0.077
0.219
0.082
0.089
0.128
0.185
0.033*
0.098
Inside disc
 r
0.113
− 0.006
0.036
− 0.107
− 0.109
− 0.088
− 0.426
0.043
 P value
0.756
0.987
0.920
0.769
0.763
0.808
0.220
0.907
Peripapillary
 r
0.687
0.573
0.709
0.650
0.600
0.578
− 0.576
− 0.636
 P value
0.028*
0.083
0.022*
0.042*
0.067
0.080
0.082
0.048*
Superior hemisphere
 r
0.665
0.587
0.681
0.741
0.699
0.610
− 0.498
− 0.705
 P value
0.036*
0.074
0.030*
0.014*
0.024*
0.061
0.143
0.023*
Inferior hemisphere
 r
0.511
0.305
0.636
0.571
0.564
0.608
− 0.709
− 0.588
 P value
0.132
0.392
0.048*
0.084
0.090
0.062
0.022*
0.074
Nasal superior
 r
0.614
0.585
0.588
0.547
0.479
0.365
− 0.442
− 0.552
 P value
0.059
0.075
0.074
0.102
0.162
0.300
0.200
0.098
Nasal inferior
 r
0.426
0.201
0.527
0.517
0.527
0.517
− 0.733
− 0.527
 P value
0.220
0.577
0.117
0.126
0.117
0.126
0.016*
0.117
Inferior nasal
 r
0.244
0.269
0.365
0.412
0.359
0.537
− 0.286
− 0.413
 P value
0.497
0.452
0.300
0.237
0.309
0.110
0.424
0.235
Inferior temporal
 r
− 0.255
− 0.299
− 0.103
− 0.128
− 0.079
0.043
0.067
0.127
 P value
0.476
0.402
0.777
0.725
0.829
0.907
0.855
0.726
Temporo inferior
 r
0.486
0.573
0.430
0.413
0.345
0.365
− 0.345
− 0.345
 P value
0.154
0.083
0.214
0.235
0.328
0.300
0.328
0.328
Temporo superior
 r
0.320
0.549
0.362
0.646
0.644
0.665
− 0.080
− 0.595
 P value
0.367
0.100
0.304
0.044*
0.044*
0.036*
0.827
0.070
Superior temporal
 r
0.390
0.324
0.474
0.747
0.796
0.665
− 0.182
− 0.632
 P value
0.265
0.361
0.166
0.013*
0.006*
0.036*
0.614
0.050*
Superior nasal
 r
0.085
− 0.104
− 0.055
0.164
− 0.176
− 0.16-
− 0.248
0.188
 P value
0.815
0.776
0.881
0.650
0.627
0.650
0.489
0.603
SD-OCT: spectral domain optical coherence tomography, RPCD: radial peripapillary capillary density, RNFL: retinal nerve fiber layer, GCC: ganglion cell complex, FLV: focal loss volume, GLV: global loss volume, r: correlation co-affiant
*p < 0.05 is significant, < 0.01 is highly significant, < 0.001 is extremely significant
Multivariate regression analysis was done to detect the subclinical affection of optic nerve in the NMOSD-ON group among all SD-OCT and OCTA parameters. The independent predictor was peripapillary vessel density, especially the nasal inferior sector (P-value = 0.017, OR = 0.647, 95% CI 0.453–0.925).
To summarize our results in this study NMOSD + ON patients had a statistically significant reduction in all SD-OCT parameters compared to healthy control but not in NMOSD–ON (P-value < 0.001). Regarding OCTA there was a significant reduction in radial peripapillary capillary density (RPCD) in NMOSD + ON (P-value < 0.001 in all sectors) and some sectors of NMOSD–ON compared to healthy control. NMOSD + ON patients had significant differences in RPCD compared to those without (P-value < 0.001). In NMOSD + ON patients, significantly positive correlation existed between all OCT and OCTA parameters (P-value < 0.001) and a negative correlation of both with visual acuity (P-value < 0.001).

Discussion

Neuromyelitis optica spectrum disorder (NMOSD) is an uncommon but severe inflammatory demyelinating condition that relapses and is presenting with catastrophic optic neuritis (ON). Vision impairment results from the optic neuritis in NMOSD, which damages the optic nerve and retina's neuroaxonal structure [32].
Vascular alterations are becoming more widely acknowledged as significant aspects in the pathogenesis of neuroinflammatory diseases, particularly neuromyelitis optica spectrum disorder (NMOSD), in addition to established immune-mediated processes [19].
Optical coherence tomography angiography (OCTA), a relatively new technology, provides depth-resolved, non-invasive pictures of the retinal and choroidal vasculature. OCTA measures vascular density rather than structural atrophy, offering a different quantitative indicator of retinal affection [19].
In this study, we aimed to assess the retinal vascular abnormalities through OCT angiography in NMOSD patients with or without a history of ON compared to each other and with healthy controls and investigate their correlations with neuroaxonal structural damage evaluated with spectral domain OCT (SD-OCT), as well as visual acuity (VA) and other clinical outcomes.
Our results in this study found that NMOSD + ON patients had a statistically significant reduction in all SD-OCT parameters compared to healthy control but not in NMOSD–ON. With regard to OCTA, there was a significant reduction in radial peripapillary capillary density (RPCD) in NMOSD + ON in all sectors and some sectors of NMOSD–ON compared to healthy control. NMOSD + ON patients had significant differences in RPCD compared to those without history of ON. In NMOSD + ON patients, significantly positive correlation existed between all OCT and OCTA parameters and a negative correlation of both with visual acuity. Retinal microvascular changes were present in NMOSD–ON eyes indicating that subclinical primary retinal vasculopathy may occur in NMOSD prior to ON and RNFL atrophy.
These results goes with results of other studies as we will discuss in details and they give us an image about understanding the pathophysiology of NMOSD, and how it is changed from being only inflammatory disease to another pathology related to retinal vascular alterations which is also related to aquaporin-4 antibodies. these results will help us in early detecting cases with retinal affection even before development of ON attacks and structural damage allowing close monitoring to those patients and also as prognostic marker and also can be monitoring biomarker by serial follow-up retinal imaging by OCTA and detecting the changes and finally all this will reflected on disease management regarding early intervention with suitable DMTs, escalation during follow-up or finally for future medications that targeting this pathophysiology of the disease but this needs more research in this context.
The retinal microvasculature is an early and frequent target of inflammatory attacks in NMOSD. Changes in the retinal microvasculature in NMOSD patients are thought to be a sign of retinopathy onset and development [17]. Previous investigations support the concept that NMOSD is a primary astrocytopathy. In the retina, there exist AQP4 expressing astrocytic cells called ‘Müller cells’, which may be directly targeted by AQP4-ab and become a probable cause of primary retinopathy in NMOSD [33].
This study confirmed the presence of significant alterations in the retinal structure and microvasculature network in NMOSD patients with a history of ON, as compared to controls and patients without ON, all RNFL and GCC values were significantly lower in patients with ON, with a significant increase in focal and global loss volume (FLV, GLV) this implying severe structural and axonal degeneration but no significant difference in these parameters between patients without history of ON and healthy control. Similarly, RNFL and GCC thickness parameters were thinner in NMOSD + ON compared to healthy controls and NMOSD − ON and same results obtained by previous studies [16, 17, 33, 34] regarding SD-OCT parameters in NMOSD + ON and NMOSD–ON.
Also, in the NMOSD + ON group, a significant correlation was found between all SD-OCT parameters when correlated with visual acuity affection, denoting that the structural atrophy and volume loss of retinal layers strongly affect visual acuity. These findings agree with another study of Kwapong and colleagues [16] who found a significantly reduced structural thickness and microvasculature, as well as the association between these changes and impaired visual acuity.
This study demonstrated that there was no significant correlation between SD OCT parameters (RNFL, GCC thickness) and number of optic neuritis attacks in NMOSD + ON group.
Oertel and colleagues in 2021 found that first optic neuritis attack is usually severe than subsequent attacks, they explained these finding by longer time until reaching to effective anti-inflammatory therapy and the typical choice of less effective therapies (like steroids instead of plasma exchange) at the first attack compared with the following attacks. And the net results is more damage in first attack and reduced neuroaxonal content.
In agreement with previous studies [16, 17, 26], this study confirmed the presence of substantial alterations in the retinal microvasculature network in patients with NMOSD with or without a history of ON. This study revealed a significant reduction in vascular density in RPCD (whole image and all peripapillary grid sectors) in NMOSD + ON in comparison to healthy control. Also, there was a significant reduction in some RPCD sectors in NMOSD–ON compared to healthy controls.
Concurrently, this study revealed a significant difference in RPCD between NMOSD + ON and NMOSD–ON. Despite that, OCTA finding in NMOSD–ON compared to healthy control was not associated with any changes in SD-OCT parameters, which implies that vascular alterations occurred in NMOSD eyes even before the onset of ON and the occurrence of structural damage in the retina, denoting subclinical primary retinal vasculopathy.
Regarding the explanation of reduced retinal vascular density in NMOSD patients, according to Chen and colleagues [26], a pathological study of NMOSD patients revealed that the vascular walls of the optic nerve were penetrated by inflammatory cells. Damaged astrocyte and vascular endothelial cells that induced by inflammation likely directly reduces vascular perfusion and could facilitate neurodegeneration. Müller cells are responsible for water homeostasis, energy metabolism, and neurotransmitter recycling, and maintaining the function of the blood–brain barrier. High level of aquaporin-4 are expressed by these retinal astrocytic cells. Thus, Müller cells may likely be attacked by AQP4-ab before the occurrence of ON, causing retinal vascular rarefaction in patients with NMOSD [26, 33]. This suggests that NMOSD has subclinical disease activity and might drive relapse-independent disease progression [25].
Consistent with previous studies [16, 17, 35], this study showed a significantly negative correlation between all RPCD parameters and visual acuity impairment in NMOSD patients with ON. Also, there is a significant negative correlation between number of ON attacks and vessel density in RPCD, proving that the increased frequency of ON worsen the microvascular impairment in NMOSD. This goes with the results of Kwapongand colleagues [35]. In contrast, Huang and colleagues [17] found no significant correlations between vessel density parameters and the number of ON attacks. This may explain why this current study involved more sectors in OCTA than Huang’s study (13 sectors in this current study versus seven sectors in his study in RPCD). This study goes in agreement with other studies of Huang and colleagues [17], Kwapongand colleagues[16], who found that in NMOSD + ON patients, the peripapillary vessel densities correlated well with the spectral domain OCT parameters (RNFL, GCC), suggesting that the vascular alterations are related to structural damages involving the retina and both related to poor visual outcome.
This study found a significant positive correlation between some OCT parameters (RNFL, GCC) and RPCD in NMOSD-ON. This goes with Huang and colleagues [17] who found a correlation between RPCD and OCT parameters, indicating that these subclinical changes may be interconnected to a certain degree.
Multivariate logistic regression analysis in this study found that peripapillary capillary density, especially the nasal inferior sector, is the most accurate predictor for detecting subclinical optic nerve affection in the NMOSD–ON group between all OCT and OCTA parameters.
RPCD is only vascular plexus in OCTA correlated with SD OCT parameters in NMOSD – ON group. In comparing NMOSD + ON and NMOSD – ON groups, there was highly significant difference between them in RPCD, which means that involvement of RPCD is marked in NMOSD + ON compared to NMOSD – ON.
These results goes in agreement of Huang and his colleagues 2019 that patients with poorer peripapillary perfusion may present with more severe visual acuity impairment and that peripapillary vessel density may be a surrogate predictor of visual outcomes in NMOSD patients with ON.
From these previous points, we can conclude that RPCD is the earliest vascular plexus to be affected in NMOSD – ON group and also the most severely affected plexus in NMOSD + ON group. The identified biomarkers and observed alterations may contribute to the early diagnosis and monitoring of NMOSD, potentially offering a time window for intervention and prevention of disease progression [3638].
This study had some limitations. First, a small sample size prevented a more comprehensive comparison study between NMOSD patients subgroups (NMOSD with ON versus NMOSD without ON) as NMOSD-ON group was much lower. A larger sample size is needed to prove the results regarding OCT and OCTA. Second, its cross-sectional design made it impossible to determine the exact sequence of the medical events; we cannot demonstrate whether vascular alterations are secondary to fewer energy requirements from the atrophied retina or a primary process causing generalized ischemia with secondary retina atrophy. Therefore, longitudinal studies are necessary to support this hypothesis about microvascular alterations. Also, the broad age spectrum in this study (15–50) is considered a weak point, as we are comparing extremely different ages in their retinal vascular changes. Age may be a corresponding factor in these changes.

Conclusions

Retinal structure and vascular plexus density are significantly reduced in NMOSD patients than in healthy controls. Retinal microvascular changes were present in NMOSD–ON eyes indicating that subclinical primary retinal vasculopathy may occur in NMOSD before the onset of ON and RNFL atrophy. This will have implications on early detection of disease activity and acting as prognostic and monitoring biomarker for disease progression which in turn implicating on patients management. Decreased microvascular density in NMOSD patients correlated with worsening their visual acuity, thus it can be used as monitoring biomarker for visual function that is more accurate and detecting progression even before clinical affection. Correlation between microvascular impairment and structural damage revealed that retinal microvascular alteration may contribute to neuroaxonal loss in NMOSD patients. Radial peripapillary capillary density (RPCD) is the most accurate predictor to detect subclinical optic nerve affection in the NMOSD–ON group between all OCT and OCTA parameters.

Acknowledgements

Not applicable.

Declarations

This study was performed in agreement with the Declaration of Helsinki. The Cairo University Research Ethical Committee granted this project ethical permission, the committee's date 16/9/2020, and reference number MD-197-2020. Informedwritten consent to participate in this study was obtained from all participants. All figures attached in this manuscript are original and belong to our work, including images of our patients.
Not applicable.

Competing interests

The authors declare that there is no competing interests.
Open Access This article is licensed under a Creative Commons Attribution 4.0 International License, which permits use, sharing, adaptation, distribution and reproduction in any medium or format, as long as you give appropriate credit to the original author(s) and the source, provide a link to the Creative Commons licence, and indicate if changes were made. The images or other third party material in this article are included in the article's Creative Commons licence, unless indicated otherwise in a credit line to the material. If material is not included in the article's Creative Commons licence and your intended use is not permitted by statutory regulation or exceeds the permitted use, you will need to obtain permission directly from the copyright holder. To view a copy of this licence, visit http://creativecommons.org/licenses/by/4.0/.

Publisher's Note

Springer Nature remains neutral with regard to jurisdictional claims in published maps and institutional affiliations.
Download
Titel
Unveiling the retinal secrets of neuromyelitis optica spectrum disorder
Verfasst von
Amal S. Ashour
Omar El Serafy
Nervana Mohamed El Fayoumy
Amr Hassan
Nehal Samy El Gendy
Eman Salah Heikal
Hadeel Ahmed
Salsabil Abo Al-Azayem
Publikationsdatum
01.12.2024
Verlag
Springer Berlin Heidelberg
DOI
https://doi.org/10.1186/s41983-024-00832-w
1.
Zurück zum Zitat Ramanathan S, Prelog K, Barnes EH, Tantsis EM, Reddel SW, Henderson AP, et al. Radiological differentiation of optic neuritis with myelin oligodendrocyte glycoprotein antibodies, aquaporin-4 antibodies, and multiple sclerosis. Mult Scler. 2016;22(4):470–82.CrossRefPubMed
2.
Zurück zum Zitat Wildemann B, Jarius S, Paul F. Neuromyelitis optica. Nervenarzt. 2013;84(4):436–41.CrossRefPubMed
3.
Zurück zum Zitat Maraş H, Kara B, Anık Y. Seropositive neuromyelitis optica: a pediatric case report and 6-year follow-up. Pediatr Neurol. 2013;49(3):198–202.CrossRefPubMed
4.
Zurück zum Zitat ZhangBao J, Zhou L, Li X, Cai T, Lu J, Lu C, et al. The clinical characteristics of AQP4 antibody positive NMO/SD in a large cohort of Chinese Han patients. J Neuroimmunol. 2017;302:49–55.CrossRefPubMed
5.
Zurück zum Zitat Levin MH, Bennett JL, Verkman AS. Optic neuritis in neuromyelitis optica. Prog Retin Eye Res. 2013;36:159–71.CrossRefPubMedPubMedCentral
6.
Zurück zum Zitat Lang Y, Kwapong WR, Kong L, Shi Z, Wang X, Du Q, et al. Retinal structural and microvascular changes in myelin oligodendrocyte glycoprotein antibody disease and neuromyelitis optica spectrum disorder: An OCT/OCTA study. Front Immunol. 2023;14:1029124.CrossRefPubMedPubMedCentral
7.
Zurück zum Zitat Xie J, Yi Q, Wu Y, Zheng Y, Liu Y, Macerollo A, et al. Deep segmentation of OCTA for evaluation and association of changes of retinal microvasculature with Alzheimer’s disease and mild cognitive impairment. Br J Ophthalmol. 2024;108(3):432–9.CrossRefPubMed
8.
Zurück zum Zitat Merle H, Olindo S, Donnio A, Richer R, Smadja D, Cabre P. Retinal peripapillary nerve fiber layer thickness in neuromyelitis optica. Invest Ophthalmol Vis Sci. 2008;49(10):4412–7.CrossRefPubMed
9.
Zurück zum Zitat Bennett JL, de Seze J, Lana-Peixoto M, Palace J, Waldman A, Schippling S, et al. Neuromyelitis optica and multiple sclerosis: seeing differences through optical coherence tomography. Mult Scler. 2015;21(6):678–88.CrossRefPubMedPubMedCentral
10.
Zurück zum Zitat Ann JK, Sreedhar A, Tomy RM, Mathew DA. Optical coherence tomography in neurophthalmology. Indian J Ophthalmol. 2018;30(2):94–102.
11.
Zurück zum Zitat Nakamura M, Nakazawa T, Doi H, Hariya T, Omodaka K, Misu T, et al. Early high-dose intravenous methylprednisolone is effective in preserving retinal nerve fiber layer thickness in patients with neuromyelitis optica. Graefes Arch Clin Exp Ophthalmol. 2010;248(12):1777–85.CrossRefPubMed
12.
Zurück zum Zitat Lee Y, Park KA, Oh SY, Min JH, Kim BJ. Factors associated with changes in retinal layers following acute optic neuritis: a longitudinal study using optical coherence tomography. J Clin Med. 2020;9(12):3857.CrossRefPubMedPubMedCentral
13.
Zurück zum Zitat Ghassemi F, Mirshahi R, Bazvand F, Fadakar K, Faghihi H, Sabour S. The quantitative measurements of foveal avascular zone using optical coherence tomography angiography in normal volunteers. J Curr Ophthalmol. 2017;29(4):293–9.CrossRefPubMedPubMedCentral
14.
Zurück zum Zitat Guo J, Zhang D, Gong Y, Liu J, Zhang J, Zhao Y. Association of retinal microvascular abnormalities and neuromyelitis optica spectrum disorders with optical coherence tomography angiography. Front Neurosci. 2023;17:1194661.CrossRefPubMedPubMedCentral
15.
Zurück zum Zitat Campbell JP, Zhang M, Hwang TS, Bailey ST, Wilson DJ, Jia Y, Huang D. Detailed vascular anatomy of the human retina by projection-resolved optical coherence tomography angiography. Sci Rep. 2017;7:42201.CrossRefPubMedPubMedCentral
16.
Zurück zum Zitat Kwapong WR, Yan J, Xie L, Miao H, Wang Y, Chen T, et al. RETRACTED: Retinal microvasculature alterations in neuromyelitis optica spectrum disorders before optic neuritis. Mult Scler Relat Disord. 2020;44:102277.CrossRefPubMed
17.
Zurück zum Zitat Huang Y, Zhou L, ZhangBao J, Cai T, Wang B, Li X, et al. Peripapillary and parafoveal vascular network assessment by optical coherence tomography angiography in aquaporin-4 antibody-positive neuromyelitis optica spectrum disorders. Br J Ophthalmol. 2019;103(6):789–96.CrossRefPubMed
18.
Zurück zum Zitat Green AJ, Cree BA. Distinctive retinal nerve fibre layer and vascular changes in neuromyelitis optica following optic neuritis. J Neurol Neurosurg Psychiatry. 2009;80(9):1002–5.CrossRefPubMed
19.
Zurück zum Zitat Kleerekooper I, Houston S, Dubis AM, Trip SA, Petzold A. Optical coherence tomography angiography (OCTA) in multiple sclerosis and neuromyelitis optica spectrum disorder. Front Neurol. 2020;11: 604049.CrossRefPubMedPubMedCentral
20.
Zurück zum Zitat Pache F, Zimmermann H, Mikolajczak J, Schumacher S, Lacheta A, Oertel FC, et al. MOG-IgG in NMO and related disorders: a multicenter study of 50 patients. Part 4: afferent visual system damage after optic neuritis in MOG-IgG-seropositive versus AQP4-IgG-seropositive patients. J Neuroinflammation. 2016;13:1.CrossRef
21.
Zurück zum Zitat Wingerchuk DM, Banwell B, Bennett JL, Cabre P, Carroll W, Chitnis T, et al. International consensus diagnostic criteria for neuromyelitis optica spectrum disorders. Neurology. 2015;85(2):177–89.CrossRefPubMedPubMedCentral
22.
Zurück zum Zitat Petzold A, Fraser CL, Abegg M, Alroughani R, Alshowaeir D, Alvarenga R, et al. Diagnosis and classification of optic neuritis. Lancet Neurol. 2022;21(12):1120–34.CrossRefPubMed
23.
Zurück zum Zitat Kaiser PK. Prospective evaluation of visual acuity assessment: a comparison of snellen versus ETDRS charts in clinical practice (An AOS Thesis). Trans Am Ophthalmol Soc. 2009;107:311.PubMedPubMedCentral
24.
Zurück zum Zitat Kurtzke JF. Rating neurologic impairment in multiple sclerosis: an expanded disability status scale (EDSS). Neurology. 1983;33(11):1444.CrossRefPubMed
25.
Zurück zum Zitat Aly L, Strauß EM, Feucht N, Weiß I, Berthele A, Mitsdoerffer M, et al. Optical coherence tomography angiography indicates subclinical retinal disease in neuromyelitis optica spectrum disorders. Mult Scler. 2022;28(4):522–31.CrossRefPubMed
26.
Zurück zum Zitat Chen Y, Shi C, Zhou L, Huang S, Shen M, He Z. The detection of retina microvascular density in subclinical aquaporin-4 antibody seropositive neuromyelitis optica spectrum disorders. Front Neurol. 2020;11:35.CrossRefPubMedPubMedCentral
27.
Zurück zum Zitat Lang Y, Kwapong WR, Kong L, Shi Z, Zhao Z, Du Q, et al. Sparser macula microvasculature in neuromyelitis optica spectrum disorder occurs independently of optic neuritis. Mult Scler Relat Disord. 2022;58: 103470.CrossRefPubMed
28.
Zurück zum Zitat Chan YH. Biostatistics 102: quantitative data–parametric and non-parametric tests. Singapore Med J. 2003;44(8):391–6.PubMed
29.
Zurück zum Zitat Chan YH. Biostatistics 103: qualitative data-tests of independence. Singapore Med J. 2003;44(10):498–503.PubMed
30.
Zurück zum Zitat Chan YH. Biostatistics 104: correlational analysis. Singapore Med J. 2003;44(12):614–9.PubMed
31.
Zurück zum Zitat Chan YH. Biostatistics 202: logistic regression analysis. Singapore Med J. 2004;45(4):149–53.PubMed
32.
Zurück zum Zitat Schmidt F, Zimmermann H, Mikolajczak J, Oertel FC, Pache F, Weinhold M, et al. Severe structural and functional visual system damage leads to profound loss of vision-related quality of life in patients with neuromyelitis optica spectrum disorders. Mult Scler Relat Disord. 2017;11:45–50.CrossRefPubMed
33.
Zurück zum Zitat Oertel FC, Specovius S, Zimmermann HG, Chien C, Motamedi S, Bereuter C, et al. Retinal optical coherence tomography in neuromyelitis optica. Neurol Neuroimmunol Neuroinflamm. 2021;8(6): e1068.CrossRefPubMedPubMedCentral
34.
Zurück zum Zitat Xia Peng C, Li HY, Wang W, Qing Wang J, Wang L, Gang XuQ, et al. Retinal segmented layers with strong aquaporin-4 expression suffered more injuries in neuromyelitis optica spectrum disorders compared with optic neuritis with aquaporin-4 antibody seronegativity detected by optical coherence tomography. Br J Ophthalmol. 2017;101(8):1032–7.CrossRef
35.
Zurück zum Zitat Kwapong WR, Peng C, He Z, Zhuang X, Shen M, Lu F. Altered macular microvasculature in neuromyelitis optica spectrum disorders. Am J Ophthalmol. 2018;192:47–55.CrossRefPubMed
36.
Zurück zum Zitat Rogaczewska M, Michalak S, Stopa M. Differentiation between multiple sclerosis and neuromyelitis optica spectrum disorder using optical coherence tomography angiography. Sci Rep. 2021;11(1):10697.CrossRefPubMedPubMedCentral
37.
Zurück zum Zitat Liu C, Xiao H, Zhang X, Zhao Y, Li R, Zhong X, et al. Optical coherence tomography angiography helps distinguish multiple sclerosis from AQP4-IgG-seropositive neuromyelitis optica spectrum disorder. Brain Behav. 2021;11(5): e02125.CrossRefPubMedPubMedCentral
38.
Zurück zum Zitat Lange AP, Sadjadi R, Zhu F, Alkabie S, Costello F, Traboulsee AL. Spectral-domain optical coherence tomography of retinal nerve fiber layer thickness in NMO patients. J Neuroophthalmol. 2013;33(3):213–9.CrossRefPubMed

Kompaktes Leitlinien-Wissen Neurologie (Link öffnet in neuem Fenster)

Mit medbee Pocketcards schnell und sicher entscheiden.
Leitlinien-Wissen kostenlos und immer griffbereit auf ihrem Desktop, Handy oder Tablet.

Neu im Fachgebiet Neurologie

Hochwirksame MS-Therapie ab 52 Jahren ohne klaren Vorteil

Ein Therapiebeginn mit einer hochwirksamen MS-Arznei verspricht besonders guten Schutz vor neuen Schüben und der Krankheitsprogression. Mit knapp über 50 Jahren zeigten sich in einer Registeranalyse aber keine Vorteile mehr gegenüber einer moderat wirksamen Behandlung.

Auch bei Schallleitungsschwerhörigkeit steigt das Risiko für Demenz

Das Risiko einer Demenz scheint bei Schwerhörigkeit zu steigen, unabhängig davon, wo der Schaden liegt. Darauf deuten die Ergebnisse einer Studie zur Schalleitungsschwerhörigkeit hin.

KI-Chatbots bieten 24/7-Sprechstunde für Patienten

Medizinischen Rat von Chatbots auf der Basis sogenannter künstlicher Intelligenz haben laut Umfragen bereits knapp die Hälfte aller Erwachsenen schon einmal eingeholt. Welche Chancen und Risiken birgt das?

Schützt Optimismus vor Demenz?

  • 14.04.2026
  • Demenz
  • Nachrichten

Wer insgesamt zuversichtlicher aufs Leben blickt, trägt ein geringeres Risiko, später einmal an Demenz zu erkranken als pessimistischere Zeitgenossen. Dafür sprechen zumindest Ergebnisse einer Längsschnittdatenanalyse aus den USA. Ob mehr Optimismus allerdings tatsächlich einer Demenz vorbeugt, bleibt unklar.   

Update Neurologie

Bestellen Sie unseren Fach-Newsletter und bleiben Sie gut informiert.

Bildnachweise
Die Leitlinien für Ärztinnen und Ärzte, Ältere Frau mit Multipler Sklerose, die mit verschiedenen Hilfsmitteln, darunter auch technische Geräte, alltägliche Wartungsarbeiten verrichtet./© eyecrave / Getty Images / iStock (Symbolbild mit Fotomodell), Vater recherchiert am Smartphone/© Elnur / stock.adobe.com (Symbolbild mit Fotomodell), Alter Mann entspannt sich im Grünen/© koldunova_anna / stock.adobe.com (Symbolbild mit Fotomodell)