Zum Inhalt

Update on cutaneous mesenchymal tumors in the 5th edition of WHO classification of skin tumors with an emphasis on new fusion-associated neoplasms

  • Open Access
  • 12.09.2024
  • REVIEW
Erschienen in:

Abstract

The section on mesenchymal tumors in the 5th edition of WHO classification of skin tumors has undergone several changes, the most important of which is the inclusion of newly identified tumor entities, which will be the main focus of this review article. These specifically include three novel cutaneous mesenchymal tumors with melanocytic differentiation, and rearrangements of the CRTC1::TRIM11, ACTIN::MITF, and MITF::CREM genes as well as EWSR1::SMAD3-rearranged fibroblastic tumors, superficial CD34-positive fibroblastic tumors, and NTRK-rearranged spindle cell neoplasms. Some of the other most important changes will be briefly mentioned as well.

Publisher's Note

Springer Nature remains neutral with regard to jurisdictional claims in published maps and institutional affiliations.

Introduction

Published in 2023, the 5th edition of the WHO classification of skin tumors has undergone some significant changes in the mesenchymal tumors section. The main focus of this review will be the novel tumor entities included in this latest edition while the inclusion of other selected changes, such as alterations in terminology and novel (mainly molecular) findings added to established entities will be only briefly mentioned. All novel tumor entities, their salient clinicopathological and molecular features, and key differential diagnostic considerations are summarized in Table 1.
Table 1
Characteristic clinicopathological and molecular features of novel WHO entities
Entity
Clinical features
Pathological features
Immunohistochemical features
Molecular features
Prognosis
Differential diagnosis
CRTC1::TRIM11 tumor
- 40< reported cases
- Distal extremities and trunk
- Well-defined papule or nodule
- Rarely observed in submucosal regions
- Dermal nodule with occasional extension into subcutis
- Short intersecting fascicles or nests of epithelioid to spindle cells
- Uniform cells with moderate to severe atypia, prominent nucleoli and eosinophilic cytoplasm
- Limited mitotic activity (< 5 mitoses/10 HPF), no atypical forms
- SOX10+, S100 (≈ 80%, often focal/patchy)
- variable HMB-45 and Melan A (at least one of them positive in ≈80%)
CRTC1::TRIM11 fusion
- 6/38 cases with adverse events
- LR (3/6), LN met (5/6), pulmonary met (3/6)
- Cellular blue nevus
- Melanoma
- Clear cell sarcoma
- PEComa
- MITF::CREM tumors
MITF::CREM tumor
- 3 reported cases:
- 2 newborns (one F, one of unknown gender), 1 adult F
- Locations:
Scalp (n=2), hand (n=1)
- Dermal nodule with some subcutaneous extension
- Infiltrative growth
- Two cases abutting the epidermis but no intraepidermal component
- Solid sheets, small nests, or bundles of epithelioid to spindle cells with moderate atypia, prominent nucleoli
- Eosinophilic or clear cytoplasm
- Variable mitotic activity (4-11 mitoses/10 HPF), occasional atypical forms
- 3/3 tested cases: S100, SOX10 positive
- 2/2: MITF and
HMB-45 positive
- Melan A: 2/3 cases positive
MITF::CREM fusion
- 1/3 case recurred locally at 9m, NED 23m later
- 2/3 cases NED 9 and at 39m
- Cellular blue nevus
- Melanoma
- Clear cell sarcoma
- PEComa
- CRTC1::TRIM11 tumors
ACTIN::MITF tumor
- 9 reported cases (+1 in our files)
- All F aged 15-75 years (median 40 years)
- Extremities (7/10 cases), breast (1/10)
- Infiltrative dermal lesion with subcutaneous extension
- Solid sheets of large epithelioid cells with clear cytoplasm, mild to moderate atypia and variably prominent nucleoli
- Characteristic dissection of collagen bundles (checkerboard-like pattern)
- Minimal mitotic activity (0-1 mitosis/10 HPF)
- S100 protein, tyrosinase, HMB-45, Melan A: variable positivity
- Some cases negative for all these markers
- 2/2 cases: SOX10 negative
- ACTB::MITF
- ACTG1::MITF fusions
NED 3/3 cases (follow-up: 7-17 years)
- PEComa
- Cellular blue nevus
- Melanoma
- Clear cell sarcoma
EWSR1::SMAD3 rearranged fibroblastic tumor
- 17 documented cases
- All age groups
- F>M
- Acral location (lower>upper limbs)
- one bone case
- Dermal lesion with subcutaneous extension
- Densely packed cellular bundles of monomorphic bland spindle cells
- Prominently hyalinized stroma
- Mitotic activity low or absent
- ERG+
- Keratins, CD34, CD31: negative
- SMA occasionally weakly positive
EWSR1::SMAD3 fusion
Favorable
(recurs if incompletely excised)
- Cellular FH
- Myofibroma
- Fibromatosis
- Monophasic synovial sarcoma
- DFSP
- Low-grade fibromyxoid sarcoma
Superficial CD34+ fibroblastic tumor
- Adolescents or young adults
- Proximal limbs (particularly thigh)
- Well-circumscribed dermal/subcutaneous tumor
- Sheets/bundles of epithelioid/spindle cells with marked pleomorphism and frequent nuclear pseudoinclusions
- Abundant, markedly eosinophilic, granular to glassy cytoplasm
- Usually low mitotic activity and lack of atypical mitoses
- All cases: CD34 and
SynCam3 positivity
- ≈ 70-80%: focal/patchy keratin expression
- ≈ 2/3 of cases: N-terminus WT-1 positivity
PRDM10 fusions with CITED2, MED12, ARHGAP32 or RAD30 genes
- Indolent
- Rare LR and LN mets
- UPS
- Pleomorphic liposarcoma
- DFSP
- Myxoinflammatory fibroblastic sarcoma
- Atypical cellular FH
NTRK-rearranged spindle cell neoplasms
-Children>adults
- Any location
- Continuous spectrum of spindle cell tumors that based on cellularity, degree of atypia and mitotic activity can be divided into low, intermediate and high-grade lesions
- Common co-expression of CD34, S100 protein and CD30+,
- PanTRK and ALK positive in cases with respective fusions
NTRK1/2/3, BRAF, RAF1, RET, ALK, MET, rarely other kinase fusions
- BRAF, EGFR mutations
- LR: 7-26% cases
- mets: 5-20%
- high-grade tumors more aggressive
- LG group:
Lipofibromatosis
DFSP
SFT
Benign neurogenic tumors
- HG group:
MPNST
Fibrosarcoma arising in DFSP
DFSP, dermatofibrosarcoma protuberans; F, female; FH, fibrous histiocytoma; m, months; M, male; MPNST, malignant peripheral nerve sheath tumor; LN, lymph node; LR, local recurrence; SFT, solitary fibrous tumor; UPS, Undifferentiated pleomorphic sarcoma

MITF pathway–activated cutaneous melanocytic tumors (tumors with ACTIN::MITF, MITF::CREM, and CRTC1::TRIM11 fusions)

This group comprises three recently identified tumor types characterized by distinct genetic alterations: tumors with CRTC1::TRIM11, ACTIN::MITF, and MITF::CREM fusions [18]. However, in the WHO classification, these tumors were placed in different chapters. ACTIN::MITF- and MITF::CREM-rearranged tumors are categorized as melanocytomas in the melanocytic tumors chapter while neoplasms with CRTC1::TRIM11 fusions are classified as malignant soft tissue tumors with uncertain differentiation. Notably, in contrast to the highly malignant nature of clear cell sarcoma, i.e., a tumor in many aspects similar to these three novel tumors, the latter exhibit a more favorable prognosis [1, 36]. Despite shared pathogenesis, some of their clinicopathological features differ significantly. Nevertheless, there are also several recurrent features shared by all three tumor types.
All three tumors tend to involve the dermis, with variable extension into the subcutis, and typically lack an intraepidermal component. Additionally, they exhibit a similar immunophenotype characterized by frequent, albeit variable, expression of HMB-45 and Melan A (most cases show positivity with at least one of these markers). Notably, tumors with CRTC1::TRIM11 and MITF::CREM fusions consistently demonstrate diffuse expression of SOX10 and typically express S100 protein, while ACTIN::MITF tumors display variable S100 protein expression and are usually negative for SOX10 (although only two cases were tested) [18].
The tumors share similar morphology and immunophenotype, leading to a common differential diagnosis, including cellular blue nevus, melanoma, clear cell sarcoma, and PEComa. CRTC1::TRIM11 and MITF::CREM tumors have identical differential diagnoses and thus will be discussed only in the section on CRTC1::TRIM11 tumors. ACTIN::MITF tumors also have a similar differential with the previously mentioned entities but due to a slightly different immunophenotype, it warrants a separate discussion.
While the specific molecular mechanisms vary to some extent and have been previously explained in detail [4, 5], they ultimately lead to the overexpression of MITF in both CRTC1::TRIM11 and ACTIN::MITF, as well as MITF::CREM-associated tumors. MITF, part of the MIT/TFE gene family alongside TFEB, TFE3, and TFEC genes, serves as a key regulatory protein in the development of melanocyte lineage. It not only regulates the expression of melanocyte proteins, such as HMB-45, but it also supports melanocyte survival and proliferation, implying its potential involvement in tumorigenesis [4, 9]. In melanocytes, its expression is triggered physiologically by a signaling pathway activated by melanocyte-stimulating hormone (MSH). Elevated MSH level increases cAMP, activating cAMP-dependent transcription factors from the CREB family, which comprises CREB1, ATF1, and CREM. These proteins directly recognize CREB in the MITF promoter, impacting MITF expression [1, 3, 4, 10, 11]. Interestingly, all three discussed fusions seem to activate this signaling pathway at various levels. ACTIN::MITF rearrangement results in MITF overexpression most likely by directly impacting this protein [4]. In contrast, similar to EWSR1::ATF1 fusion in clear cell sarcoma, both CRTC1::TRIM11 and MITF::CREM fusions likely lead to MITF overexpression through the induction of the CREB signaling cascade [1, 3, 5, 6]. However, it is unclear at this point whether melanocytic differentiation of these tumors (i.e., expression of S100, SOX10, HMB-45, Melan A, etc.) is attained via origin in a soft tissue melanocyte or via their distinct genetic alterations resulting in the activation of the MITF pathway or both [12]. Nevertheless, some of the experts in this field seem to favor the latter possibility which appears as a much more logical explanation to us as well [12].

CRTC1::TRIM11 cutaneous tumor

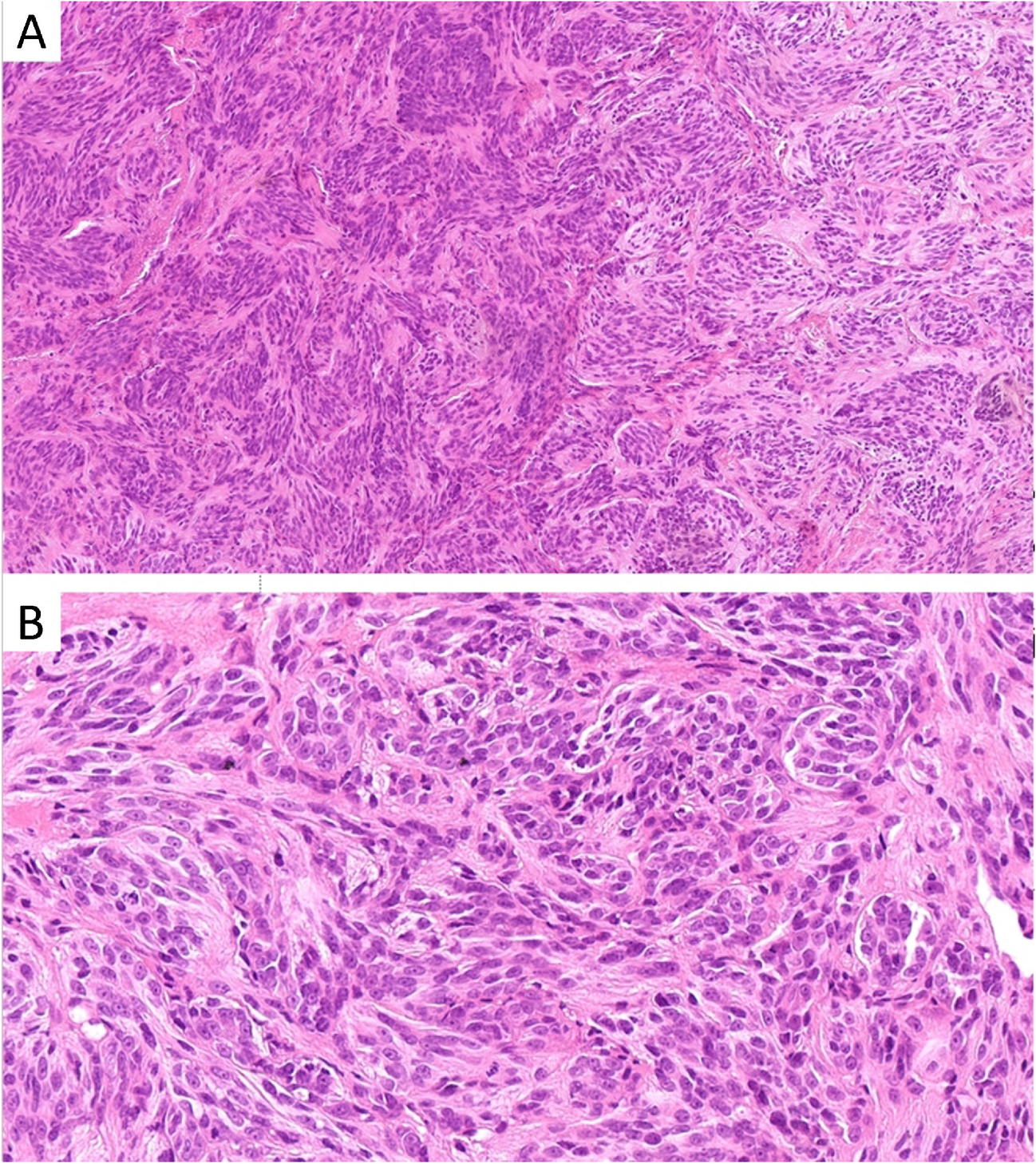
The subgroup characterized by CRTC1::TRIM11 fusion is relatively well-documented, with over 40 reported cases so far [2, 5, 7, 8]. Typically found on the distal extremities and trunk, this tumor presents as a well-defined dermal nodule, occasionally extending into subcutis. Almost all cases lacked an intraepidermal component apart from one case which, most likely as a result of an upward growth of a primarily dermal tumor, exhibited junctional nests of tumor cells, similar to what has been described in rare cases of clear cell sarcoma [1315]. Individual cases have been observed in submucosal regions [5]. The tumor consists of short intersecting fascicles or nests of relatively uniform epithelioid to spindle cells with eosinophilic cytoplasm, moderate to severe atypia, prominent nucleoli, and limited mitotic activity (< 5 mitoses/10 HPF), without atypical forms (Fig. 1). Binucleated or multinucleated cells are occasionally observed, yet wreath-like multinucleated giant cells, which can be observed in clear cell sarcoma, are absent. Small areas of necrosis are infrequently detected. Immunohistochemically, the tumor consistently exhibits positivity for SOX10 and in approximately 80% of cases demonstrates expression of S100 protein, albeit often limited in extent. Furthermore, at least 60% of reported cases show positivity for HMB-45 and Melan A, with at least one of these markers being positive in 80% of cases [2, 5, 7].
Fig. 1
A, B CRTC1::TRIM11-rearranged tumor is usually composed of short intersecting fascicles or nests of epithelioid to spindle cells with eosinophilic cytoplasm, prominent nucleoli, and minimal mitotic activity (< 5 mitoses/10 HPF), without atypical forms
Bild vergrößern
As previously mentioned, the main entities in the differential diagnosis include cellular blue nevus, melanoma, clear cell sarcoma, and PEComa. Cellular blue nevus typically presents with heavy pigmentation and often features a conventional blue nevus component at the periphery of the lesion. Mutations in GNAQ or GNA11 confirm the latter diagnosis in challenging cases. Cutaneous melanoma commonly exhibits an intraepidermal component, along with significantly higher pleomorphism and mitotic activity, including common atypical forms. The most frequently observed mutations in melanomas include BRAF, NRAS, NF1, etc. Moreover, genetic alterations such as a high mutational burden and a UV signature are another characteristic features of melanoma [16]. In both CRTC1::TRIM11 and MITF::CREM tumors, clear cell sarcoma poses the most challenging differential diagnosis due to their striking similarities. Clear cell sarcoma, typically localized around the ankle, may be distinguished by the presence of multiple wreath-like multinucleated giant cells. However, accurate differentiation often requires molecular methods. Detection of EWSR1 gene rearrangement and/or confirmation of an EWSR1::ATF1 or EWSR1::CREB1 gene fusion confirms the diagnosis of clear cell sarcoma. Distinguishing CRTC1::TRIM11 and MITF::CREM tumors from PEComa can be easily achieved by SOX10 staining, which is negative in the latter [1, 3, 5, 6].
The prognosis of these tumors is relatively favorable. However, out of 38 cases with follow-up information, 6 showed an adverse event either in the form of a local recurrence (n = 3/6), lymph node metastasis (5/6, unconfirmed histologically in one case), or pulmonary metastasis (3/6, unconfirmed histologically in one case) [5, 8, 1719].
Finally, a very recent study reported three cases with a novel MED15::ATF1 fusion. Briefly, all three patients were children (5–16 years old) and the tumors occurred on the arm, cheek, and scalp. All were centered to the dermis but one of the cases showed epidermotropism as well. Most of their morphological and immunohistochemical features were otherwise similar to CRTC1::TRIM11 tumors. Despite limited follow-up, one of the cases showed an early spread to regional lymph nodes [12].

Tumors with MITF::CREM fusion

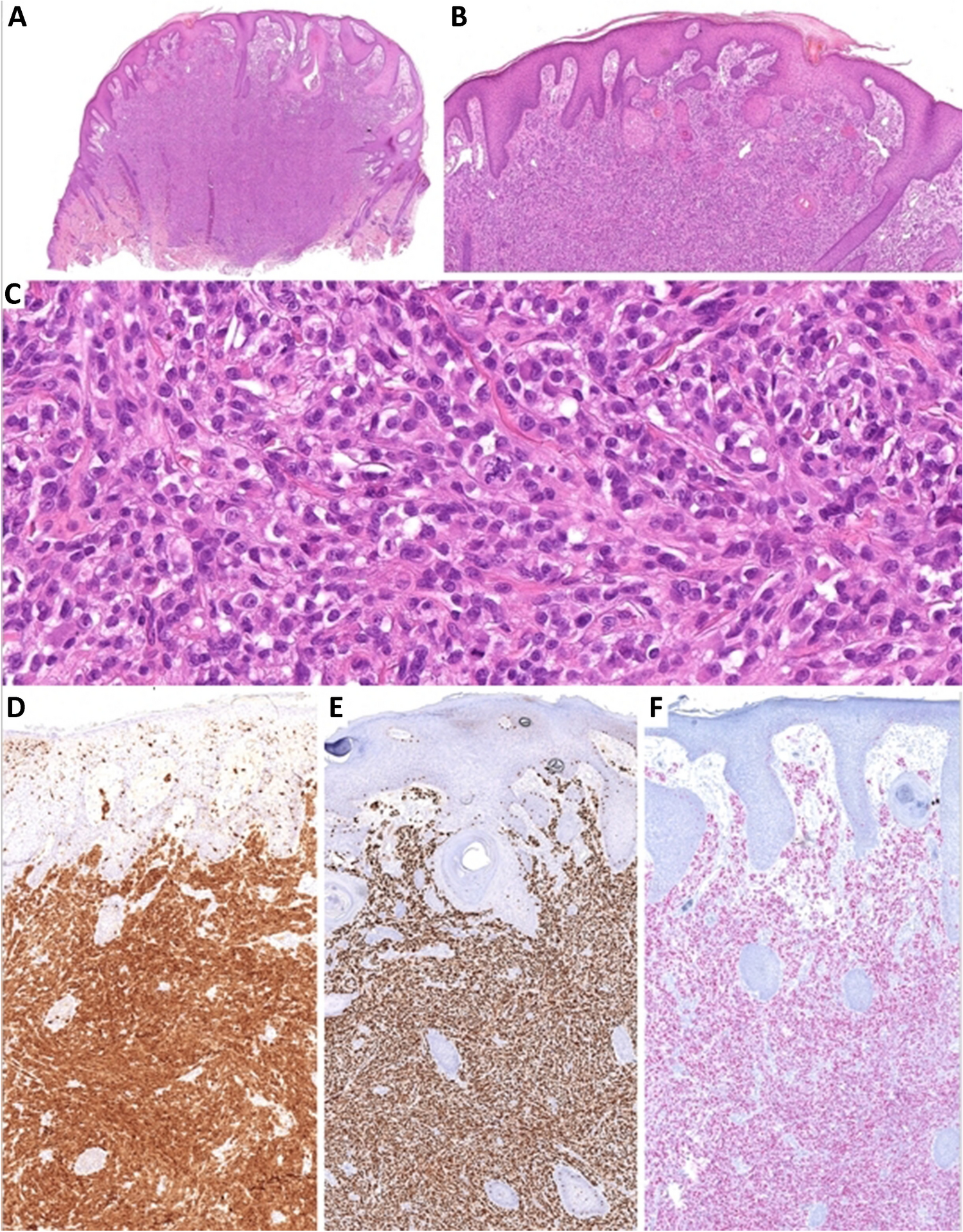
This group of tumors represents a so far understudied subset, with only three documented cases reported in the literature, one of which was reported by our institution [1, 3, 6]. Among these cases, two were identified in newborns (one female and one of unknown gender), while the third occurred in a 37-year-old woman. Tumor locations varied, with two cases affecting the scalp and the remaining case arising on the dorsum of the hand. Given the limited available data, the prognosis of these tumors is not well established. From the three reported cases, one recurred locally 9 months after an incomplete excision and the patient had no evidence of disease 23 months later. The other two reported cases had no evidence of disease 9 and 39 months after complete excision.
Histology of all tumors exhibited infiltrative growth patterns, lacking well-defined margins, predominantly involving the dermis with partial subcutaneous extension (Fig. 2A). Although two cases closely abutted the epidermis, no intraepidermal component was noticed (Fig. 2A, B). All documented lesions consisted of highly cellular proliferation of epithelioid to spindle cells arranged in solid sheets or small solid nests or bundles which were particularly evident at the periphery. While clear cells predominated in one case, the remaining two cases consisted of cells with predominantly eosinophilic cytoplasm. Tumor cells demonstrated moderate nuclear atypia, prominent nucleoli, and increased mitotic activity (ranging from 4 to 11 mitoses/10 HPF), including atypical forms (Fig. 2C). Similar to CRTC1::TRIM11 tumors, diffuse strong expression of S100 protein (Fig. 2D), SOX10 (Fig. 2E), and MITF (Fig. 2F) was observed in all tested cases, with HMB-45 and Melan A positivity detected in two out of three cases. The differential diagnosis closely mirrors that of CRTC1::TRIM11 tumors; however, distinguishing between the two groups is very challenging [1, 3, 6]. Morphologically, the primary distinction often lies in the sharper demarcation and more fascicular arrangement of cells in CRTC1::TRIM11 tumors. Nonetheless, molecular methods may be indispensable for a reliable distinction.
Fig. 2
A MITF::CREM-rearranged tumor shows infiltrative growth patterns, lacking well-defined margins, and predominantly involves the dermis sometimes with subcutaneous extension. B Despite the close proximity to the epidermis, no intraepidermal component is present. C All documented lesions consisted of highly cellular proliferation of epithelioid to spindle cells arranged in small solid nests or bundles, particularly evident at the periphery. One case predominantly displayed cells with pale cytoplasm, while the remaining two cases consisted of cells with predominantly eosinophilic cytoplasm (shown here). Tumor cells demonstrated moderate to marked nuclear atypia, prominent nucleoli, and increased mitotic activity including atypical mitoses (center). S100 (D), SOX10 (E), and MITF (F) positivity was detected in all tested cases
Bild vergrößern

Tumors with ACTIN::MITF fusions (ACTB::MITF OR ACTG1::MITF fusions)

Limited information for this tumor subtype is available, derived from a single publication that included seven cases [4] and one additional very recent study primarily focusing on PEComas [20]. Nonetheless, the clinicopathological characteristics of these tumors appear distinct and were also observed in one additional case identified at our institution. Among the eight cases with clinical information known to us to date, all occurred in women of different ages (15–75 years, median 40 years), with seven affecting the extremities and one observed on the breast. Notably, no recurrence or metastasis were documented among the three cases with available clinical data, with follow-up durations ranging from 7 to 17 years [4].
This tumor typically manifests as a dermal lesion which, due to a highly infiltrative growth pattern, often extends into the subcutis (Fig. 3A). It consists of solid sheets of large epithelioid cells with clear cytoplasm which characteristically dissect the surrounding collagen bundles (so-called checkerboard-like pattern of growth [20]) (Fig. 3B). Cytomorphology is characterized by mild to moderate atypia, variably prominent nucleoli, and minimal mitotic activity (0–1 mitosis/10HPF) (Fig. 3C). Immunohistochemically, variable expression of S100 protein, tyrosinase (Fig. 3D), HMB-45 (Fig. 3E), or Melan A is commonly present, although some cases were also completely negative for all these markers. SOX10 was negative in one case published [4] as well as in our case (Fig. 3F). Regarding the genetic background, this tumor is associated with the alteration of MITF gene, which is fused either with the ACTB or ACTG1 gene [4]. Both of these genes belong to the ACTIN family and so the fusions observed are collectively referred to as ACTIN:MITF in the literature.
Fig. 3
A ACTIN::MITF-rearranged tumor manifests as dermal lesions with significant infiltrative growth pattern often extending into the subcutis. B It consists of solid sheets of bulky epithelioid cells with bright eosinophilic cytoplasm, intermingled between bundles of collagen (so-called checkerboard-like pattern of growth). C Cytomorphology is characterized by mild to moderate atypia, variably prominent nucleoli, and minimal mitotic activity. The tumor is typically positive with melanocytic markers such as tyrosinase (D) or HMB45 (E) although the expression may be focal. F Two tested cases were negative with SOX10
Bild vergrößern
Thanks to their characteristic morphology and minimal mitotic activity, this tumor can be reliably differentiated from blue nevus, clear cell sarcoma, and melanoma. However, distinguishing it from PEComa is more challenging and in some cases impossible without the use of molecular methods. Typical cases with clear cell morphology may be difficult to distinguish particularly from the TFE3-rearranged PEComa subtype, which is composed of similar looking clear cells and has a similar immunophenotype (TFE3 gene belongs to the same MIT/TFE signaling pathway as MITF). Importantly, two recently reported cases showed predominantly pink granular cytoplasm, making a distinction from conventional PEComas with TSC1/2 mutations (or more rarely other molecular alterations) impossible on morphological grounds [20]. Generally, the main distinguishing feature is the frequent positivity for S100 protein, observed in five out of eight cases, three of which showed diffuse positivity. In contrast, S100 protein expression is relatively rare (and focal if present) in PEComas. Nevertheless, the striking similarity between ACTIN::MITF-rearranged tumors and PEComas is intriguing and raises a question whether ACTIN::MITF tumors represent a standalone entity, a distinct subtype of PEComa or whether ACTIN::MITF fusions may be shared by two different tumor types [4, 20].

EWSR1::SMAD3-rearranged fibroblastic tumor

To date, 17 cases of this tumor have been documented in the English literature, affecting individuals across all age groups, with a slightly higher prevalence among women. The tumor shows a strong predilection for the acral location, particularly the lower limbs; one intraosseous case has been also described in the tibia [21]. It is a benign tumor which frequently recurs unless completely excised [2224].
Histologically, the tumor typically consists of two components: densely packed cellular bundles of monomorphic bland spindle cells and prominent hyalinized stroma (Fig. 4A–C). Mitotic activity is usually absent. Immunohistochemically, a strong diffuse nuclear expression of ERG is observed, with intensity similar to that of capillary endothelium (Fig. 4D). In contrast, markers such as keratins, CD34, CD31, and others are typically negative; SMA may be occasionally weakly positive. In all cases, EWSR1::SMAD3 fusion was present. EWSR1 break-apart FISH probe can be used to confirm the diagnosis in challenging cases [23, 24].
Fig. 4
A–C EWSR1::SMAD3-rearranged tumor is usually consists of two components: densely packed cellular bundles of monomorphic bland spindle cells with prominent centrally located hyalinized stroma. D Uniform diffuse strong nuclear expression of ERG is characteristic
Bild vergrößern
In terms of differential diagnosis, it is crucial to distinguish this tumor from cellular spindle cell sarcomas such as monophasic synovial sarcoma, dermatofibrosarcoma protuberans, or low-grade fibromyxoid sarcoma. However, it is more commonly confused with benign spindle cell tumors such as myofibroma/myopericytoma, perineurioma, fibromatosis, and especially cellular fibrous histiocytoma. Almost all of these entities can be distinguished from EWSR1::SMAD3-rearranged fibroblastic tumor based on typical morphological and immunohistochemical features [24]. The only exception is cellular fibrous histiocytoma, which can closely resemble EWSR1::SMAD3-rearranged tumor morphologically and regularly show diffuse expression of ERG [25]. However, the intensity of ERG expression is typically weaker than that observed in the endothelium of surrounding vessels (or that observed in EWSR1::SMAD3-rearranged tumor) and comparison with these structures is diagnostically useful.

Superficial CD34 + fibroblastic tumor

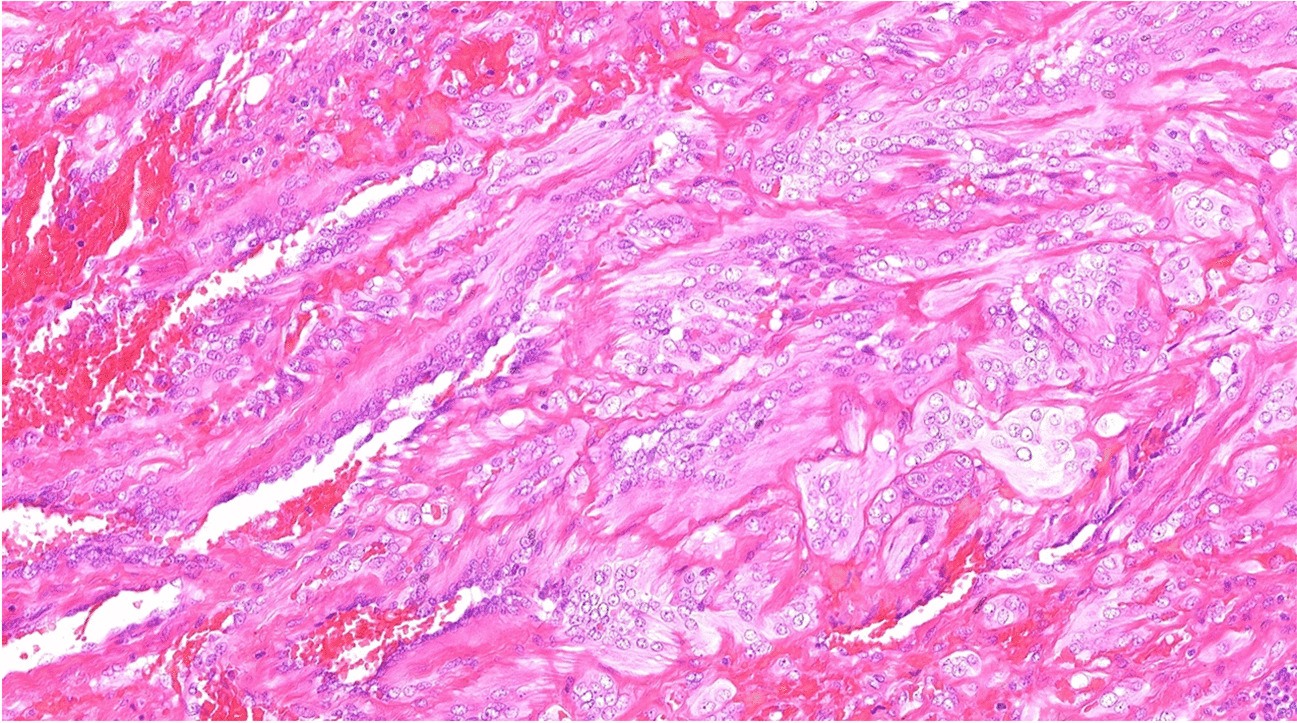
First characterized in 2014, this tumor typically affects adolescents or young adults and demonstrates a preference for the skin and subcutaneous tissue of the proximal limbs, particularly the thigh [2630].
It commonly presents as a well-circumscribed tumor, although small infiltrative foci may be observed (Fig. 5A). Morphologically, the tumor consists of sheets of epithelioid cells (Fig. 5B, C) or spindle cell bundles (Fig. 5D). Perhaps the most striking features are the abundant, markedly eosinophilic, granular-to-glassy cytoplasm and marked nuclear pleomorphism with frequent nuclear pseudoinclusions (Fig. 5C). Despite this, the mitotic activity is generally low, and atypical mitoses are usually absent, although exceptions exist [2630]. Rare cases may show collagen entrapment at the periphery, predominantly spindle cell morphology and somewhat less pronounced atypia, therefore mimicking atypical fibrous histiocytoma [31].
Fig. 5
A Superficial CD34 + fibroblastic tumor is predominantly well-circumscribed, although small areas with infiltrative growth pattern may be present (not shown). B, C The tumor consists of sheets of epithelioid to spindle cells. The most striking features include abundant, markedly eosinophilic, granular-to-glassy cytoplasm and marked nuclear pleomorphism with frequent nuclear pseudoinclusions. Mitotic activity is generally low. D In some cases, spindle cell areas may be present and occasionally may predominate. E Superficial CD34 + fibroblastic tumor shows diffuse strong expression of CD34. F In approximately 70–80% of cases, tumor shows frequent but usually focal expression of cytokeratins. G SynCam3/CADM3 antibody is valuable diagnostic marker with high specificity and sensitivity
Bild vergrößern
By definition, the tumor shows diffuse strong expression of CD34 (Fig. 5E), along with frequent but usually focal expression of cytokeratins (Fig. 5F) which is seen in approximately 70–80% of cases [26, 27, 30]. Nuclear and predominantly diffuse expression of WT-1 is observed in about two-thirds of cases (clone 6F-H2 against the N-terminus of WT1) [26]. A valuable diagnostic marker for this tumor is the SynCam3/CADM3 antibody (Fig. 5G), which is a highly specific and sensitive marker for these tumors based on the available studies [26, 29, 30] as well as in our experience. Approximately half of these tumors harbor PRDM10 fusions with CITED2, MED12, ARHGAP32, or RAD30 genes being the fusion partners [26, 29, 30]. There are no significant differences in clinical characteristics between cases with and without fusion.
Recognition of this tumor is crucial due to its deceptively malignant appearance, often leading to confusion with undifferentiated pleomorphic sarcoma. Despite worrisome morphological features, this lesion has an indolent clinical behavior with low recurrence rate and very rare regional lymph node metastasis [2630]. Apart from undifferentiated pleomorphic sarcoma, the tumor is also frequently misdiagnosed as pleomorphic liposarcoma, dermatofibrosarcoma protuberans, or myxoinflammatory fibroblastic sarcoma. Correlating clinical features (superficial location, typically young patients), morphological appearance (characteristic cytoplasmic features, minimal mitotic activity), and immunophenotype is usually sufficient to differentiate these lesions.

NTRK-rearranged spindle cell neoplasms

Soft tissue tumors with kinase gene alterations traditionally comprised a heterogeneous group of mesenchymal neoplasms which, besides others, included dermatofibrosarcoma protuberans, inflammatory myofibroblastic tumor, and infantile fibrosarcoma (IFS) [32]. While the canonical gene rearrangement of IFS, the ETV6::NTRK3 fusion, was described more than two decades ago [33, 34], the recent widespread adoption of RNA sequencing (RNA-seq) has led to the description of several alternative gene rearrangements such as those of NTRK1/2/3, BRAF, RET, and others [32, 3538]. The same technical breakthrough has also led to the emergence of a novel and not yet fully defined group of mesenchymal tumors with kinase gene alterations that morphologically and molecularly partially overlap with IFS [39, 40]. This group is currently included in the WHO classification of soft tissue and bone tumors as the emerging entity “NTRK-rearranged spindle cell neoplasms” (NTRK-SCN) [41, 42]. These tumors may arise at any anatomical site and affect both children and adults (although the younger age group more commonly). Morphologically, they include spindle cell tumors that form a continuous morphological spectrum which based on cellularity, degree of atypia, and mitotic activity can be roughly divided into three subgroups [39]. The first subgroup consists of clinically benign spindle cell lesions exhibiting low cellularity, minimal atypia, and very few mitoses (further referred to as the low-grade (LG) group), while the second contains morphologically high-grade lesions (high-grade (HG) group) that can follow an aggressive clinical course. In addition, some cases are difficult to assign to one of these categories as they fall somewhere in between these two extremes (intermediate-grade (IG) group). The LG group may exhibit one of several often co-occurring morphological patterns such as lipofibromatosis-like neural tumor pattern [43], prominent stromal and perivascular hyalinization pattern (Fig. 6A) [44, 45], myopericytic/haemangiopericytic pattern [46], and others [41, 47]. Tumors in the IG group may retain similar architecture as tumors from the LG group or they may vaguely resemble LG malignant peripheral nerve sheath tumors [41, 44]. Tumors from the HG group morphologically overlap with IFS, adult fibrosarcoma, and/or HG MPNST (Fig. 6B) [32, 41, 44]. Although some tumors display an uncharacteristic immunoprofile, many cases across the LG, IG, and HG spectrum exhibit immunohistochemical co-expression of CD34 (Fig. 6C) and S100 protein (Fig. 6D) [39, 41]. Additionally, the expression of the CD30 antibody (Fig. 6E) appears to be diagnostically useful as well [48]. Although panTRK immunohistochemistry is relatively sensitive for mesenchymal tumors with NTRK1/2/3 fusions [4952], it demonstrates imperfect specificity in skin and soft tissue mesenchymal tumors, as it can be positive in other neoplasms such as those with neural or myogenic differentiation [51, 52]. The molecular background of NTRK-SCN is characterized by various gene fusions and less often other alterations in kinase genes such as NTRK1/2/3, BRAF, RAF1, RET, ALK, or MET [41, 44, 5361]. The list of these aberrations is broad and ever-expanding but in effect, they all lead to the constitutive activation of the MAP kinase signaling pathway [32].
Fig. 6
A A morphologically distinct subgroup of NTRK-rearranged spindle cell neoplasms are benign tumors with prominent stromal and perivascular hyalinization. B Sarcomatous transformation to fibrosarcoma is relatively common in this subgroup. Immunohistochemically, there is frequent co-expression of CD34 (C) and S100 protein (D) in this subgroup. E Expression of the CD30 antibody appears to be diagnostically useful
Bild vergrößern
Overall, NTRK-SCN may recur and metastasize in 7–26% and 5–20% of cases, respectively [39, 44, 62]. Accurate diagnosis of NTRK-SCN is clinically significant as complete excision can prevent recurrences and thus potential progression of LG lesions to more aggressive HG variants. Additionally, the availability of targeted therapy for advanced or metastatic cases of NTRK-SCN also makes recognition of this entity crucial [39].
Due to the broad morphological spectrum of these lesions, the differential diagnosis is diverse [41]. Tumors on the LG spectrum must be distinguished from other LG spindle cell neoplasms, such as lipofibromatosis, dermatofibrosarcoma protuberans, solitary fibrous tumor, or neurogenic tumors. The most challenging differential in cases from the HG spectrum are tumors with fibrosarcoma-like morphology such from malignant peripheral nerve sheath tumors or fibrosarcoma arising in dermatofibrosarcoma protuberans. In most cases, molecular studies are necessary for a confirmation of the diagnosis of NTRK-SCN.

Other changes

Alterations in terminology and the incorporation of novel findings into existing lesions, particularly regarding their molecular genetic background were the most significant other changes. However, only those which we believe will have the highest impact on routine clinical practice will be mentioned.

Changes in terminology

One significant nomenclature change involves tumors previously known as cutaneous leiomyosarcoma. Due to favorable prognosis, the currently recommended term is atypical intradermal smooth muscle neoplasia (AISMN) [63, 64]. However, it is important to adhere to the definition: these tumors must be primarily located in the dermis (Fig. 7A) and have minimal infiltration of the subcutaneous tissue, the latter of which seem to portend a somewhat more aggressive behavior [64]. In addition, cases located predominantly in the subcutis (i.e., yet deeper than cases described above) which often arise from subcutaneous vessels have a much poorer prognosis that is comparable to the prognosis of deep soft tissue leiomyosarcomas and such cases should not be labeled as AISMN [65]. AISMN typically exhibit a well-differentiated smooth muscle morphology, characterized by fascicles of predominantly uniform spindle cells with classic cigar-shaped nuclei and abundant eosinophilic cytoplasm (Fig. 7B) [63, 64]. When a dermal tumor exhibits a poorly differentiated leiomyosarcoma morphology, a metastasis of a more deeply located soft tissue leiomyosarcoma needs to be excluded [66]. AISMN should also show smooth muscle immunoprofile with positivity for smooth muscle actin, desmin, and h-caldesmon. However, it is important to use the highly specific h-CD clone of h-caldesmon, as other available clones of this marker show very poor specificity [67].
Fig. 7
A Atypical intradermal smooth muscle neoplasia should exhibit a well-differentiated smooth muscle morphology. It should be limited to dermis with absent or minimal infiltration of the subcutaneous fat. B Morphology of this tumor is characterized by fascicles of predominantly uniform spindle cells with classic cigar-shaped nuclei and abundant eosinophilic cytoplasm. C, D DFSP with alternative PDGFD fusions often exhibit unusual clinicopathological features such as purely subcutaneous involvement or circumscribed nodular growth lacking the classic “honeycomb” pattern. Some cases may also show unusual morphological features. E A different case of PDGFD-rearranged DFSP showing sharply circumscribed border and presenting as a small subcutaneous nodule
Bild vergrößern
Another significant terminological change involves the grouping of retiform hemangioendothelioma and papillary intralymphatic angioendothelioma under the collective name “hobnail hemangioendothelioma” since overlapping morphological features and clinical behavior made a reliable distinction of the two entities challenging as well as clinically irrelevant.

Significant novel genetic findings

Although they occur in only a small percentage of cases, the description of alternative PDGFD rearrangements in cases of dermatofibrosarcoma protuberans lacking the canonical COL1A1::PDGFB fusion represents perhaps the most important new addition in this section due to the overall relatively high incidence of this neoplasm. Additionally, tumors with these novel fusions, namely PDGFD::COL6A3, PDGFD::EMILIN2, or PDGFD::TNC, often exhibit distinctive clinicopathologic features, such as preference for the thoracic region in women, subcutaneous involvement, and circumscribed nodular growth lacking the classic infiltrative “honeycomb” pattern (Fig. 7C, E) [6872]. Some cases may also show unusual morphological features (Fig. 7C–E) [7072]. However, their immunohistochemical features and prognosis remain similar to those of dermatofibrosarcoma protuberans with conventional molecular background.
In the section on vascular neoplasms with intermediate malignant potential, a neuroendocrine variant of composite hemangioendothelioma has been incorporated into the respective chapter [73]. This variant is characterized by the combination of a vascular component typically resembling retiform/hobnail hemangioendothelioma, with nests of neuroendocrine cells (Fig. 8) [73, 74]. Notably, this variant shows more aggressive clinical behavior than conventional composite hemangioendothelioma and is associated with fusions of the PTBP1::MAML2 or EPC1::PCH2 genes; single cases also harbored YAP1::FOXR1 and ARID1B::MAML2 fusions [75]. Additionally, a frequent fusion of YAP1 with the MAML2 gene has been reported both in conventional composite hemangioendothelioma and in hobnail (retiform) hemangioendothelioma [76], highlighting the close relationship of these two entities.
Fig. 8
In neuroendocrine composite hemangioendothelioma, the vascular component, typically shows a retiform/hobnail hemangioendothelioma pattern admixed with nests of neuroendocrine/carcinoid-like cells
Bild vergrößern

Declarations

The study was conducted following the rules set by the Faculty Hospital in Pilsen Ethics Committee. Informed consent was not required for the study

Conflict of interest

The authors declare no competing interests.
Open Access This article is licensed under a Creative Commons Attribution 4.0 International License, which permits use, sharing, adaptation, distribution and reproduction in any medium or format, as long as you give appropriate credit to the original author(s) and the source, provide a link to the Creative Commons licence, and indicate if changes were made. The images or other third party material in this article are included in the article's Creative Commons licence, unless indicated otherwise in a credit line to the material. If material is not included in the article's Creative Commons licence and your intended use is not permitted by statutory regulation or exceeds the permitted use, you will need to obtain permission directly from the copyright holder. To view a copy of this licence, visit http://​creativecommons.​org/​licenses/​by/​4.​0/​.

Publisher's Note

Springer Nature remains neutral with regard to jurisdictional claims in published maps and institutional affiliations.

Unsere Produktempfehlungen

e.Med Interdisziplinär

Kombi-Abonnement

Für Ihren Erfolg in Klinik und Praxis - Die beste Hilfe in Ihrem Arbeitsalltag

Mit e.Med Interdisziplinär erhalten Sie Zugang zu allen CME-Fortbildungen und Fachzeitschriften auf SpringerMedizin.de.

download
DOWNLOAD
print
DRUCKEN
Titel
Update on cutaneous mesenchymal tumors in the 5th edition of WHO classification of skin tumors with an emphasis on new fusion-associated neoplasms
Verfasst von
Antonina V. Kalmykova
Vira Baranovska-Andrigo
Michael Michal
Publikationsdatum
12.09.2024
Verlag
Springer Berlin Heidelberg
Erschienen in
Virchows Archiv / Ausgabe 5/2024
Print ISSN: 0945-6317
Elektronische ISSN: 1432-2307
DOI
https://doi.org/10.1007/s00428-024-03925-2
1.
Zurück zum Zitat Alexandrescu S, Imamovic-Tuco A, Janeway K, Hanna J (2023) Clear cell tumor with melanocytic differentiation and MITF::CREM translocation. J Cutan Pathol 50:619–622. https://​doi.​org/​10.​1111/​cup.​14427CrossRefPubMed
2.
Zurück zum Zitat Cellier L, Perron E, Pissaloux D, Karanian M, Haddad V, Alberti L, de la Fouchardiere A (2018) Cutaneous melanocytoma with CRTC1-TRIM11 fusion: report of 5 cases resembling clear cell sarcoma. Am J Surg Pathol 42:382–391. https://​doi.​org/​10.​1097/​PAS.​0000000000000996​CrossRefPubMed
3.
Zurück zum Zitat de la Fouchardiere A, Pissaloux D, Tirode F, Hanna J (2021) Clear cell tumor with melanocytic differentiation and MITF-CREM translocation: a novel entity similar to clear cell sarcoma. Virchows Arch 479:841–846. https://​doi.​org/​10.​1007/​s00428-021-03027-3CrossRefPubMed
4.
Zurück zum Zitat de la Fouchardiere A, Pissaloux D, Tirode F, Karanian M, Fletcher CDM, Hanna J (2021) Clear cell tumor with melanocytic differentiation and ACTIN-MITF translocation: report of 7 cases of a novel entity. Am J Surg Pathol 45:962–968. https://​doi.​org/​10.​1097/​PAS.​0000000000001630​CrossRefPubMed
5.
Zurück zum Zitat Hanna J, Ko JS, Billings SD, Boivin F, Beaudoux O, Pissaloux D, Tirode F, Laga A, Fletcher CDM, de la Fouchardiere A (2022) Cutaneous melanocytic tumor with CRTC1::TRIM11 translocation: an emerging entity analyzed in a series of 41 cases. Am J Surg Pathol 46:1457–1466. https://​doi.​org/​10.​1097/​PAS.​0000000000001952​CrossRefPubMed
6.
Zurück zum Zitat Kalmykova A, Mosaieby E, Kacerovska D, Baranovska-Andrigo V, Martinek P, Smahova S, Michal M, Michal M (2023) MITF::CREM-rearranged tumor: a novel group of cutaneous tumors with melanocytic differentiation. Virchows Arch. https://​doi.​org/​10.​1007/​s00428-023-03621-7
7.
Zurück zum Zitat Ko JS, Wang L, Billings SD, Pissaloux D, Tirode F, Berry R, De La Fouchardiere A (2019) CRTC1-TRIM11 fusion defined melanocytic tumors: a series of four cases. J Cutan Pathol 46:810–818. https://​doi.​org/​10.​1111/​cup.​13533CrossRefPubMed
8.
Zurück zum Zitat Yang L, Yin Z, Wei J, Chai J, Zhao D, Liu Y, Tang Y, Cheng H, Zhe W, Fan L (2023) Cutaneous melanocytic tumour with CRTC1::TRIM11 fusion in a case with recurrent local lymph node and distant pulmonary metastases at early stage: aggressive rather than indolent? Histopathology 82:368–371. https://​doi.​org/​10.​1111/​his.​14812CrossRefPubMed
9.
Zurück zum Zitat Fischer GM, Papke DJ Jr (2023) Gene fusions in superficial mesenchymal neoplasms: emerging entities and useful diagnostic adjuncts. Semin Diagn Pathol 40:246–257. https://​doi.​org/​10.​1053/​j.​semdp.​2023.​04.​014CrossRefPubMed
10.
Zurück zum Zitat Bertolotto C, Abbe P, Hemesath TJ, Bille K, Fisher DE, Ortonne JP, Ballotti R (1998) Microphthalmia gene product as a signal transducer in cAMP-induced differentiation of melanocytes. J Cell Biol 142:827–835. https://​doi.​org/​10.​1083/​jcb.​142.​3.​827CrossRefPubMedPubMedCentral
11.
Zurück zum Zitat Price ER, Fisher DE (2001) Sensorineural deafness and pigmentation genes: melanocytes and the Mitf transcriptional network. Neuron 30:15–18. https://​doi.​org/​10.​1016/​s0896-6273(01)00259-8CrossRefPubMed
12.
Zurück zum Zitat Ko JS, Lemahieu J, Billings SD, Tirode F, Payton D, Boone B, Pissaloux D, de la Fouchardiere A (2024) MED15::ATF1-rearranged tumor: a novel cutaneous tumor with melanocytic differentiation. Mod Pathol 37:100438. https://​doi.​org/​10.​1016/​j.​modpat.​2024.​100438CrossRefPubMed
13.
Zurück zum Zitat Fusumae T, Kamiya K, Maekawa T, Komine M, Murata S, Ohtsuki M (2018) Clear cell sarcoma with intraepidermal nests requiring the differential diagnosis of malignant melanoma. J Dermatol 45:115–116. https://​doi.​org/​10.​1111/​1346-8138.​13780CrossRefPubMed
14.
Zurück zum Zitat Kiuru M, Hameed M, Busam KJ (2013) Compound clear cell sarcoma misdiagnosed as a Spitz nevus. J Cutan Pathol 40:950–954. https://​doi.​org/​10.​1111/​cup.​12197CrossRefPubMed
15.
Zurück zum Zitat Luzar B, Billings SD, de la Fouchardiere A, Pissaloux D, Alberti L, Calonje E (2020) Compound Clear cell sarcoma of the skin-a potential diagnostic pitfall: report of a series of 4 new cases and a review of the literature. Am J Surg Pathol 44:21–29. https://​doi.​org/​10.​1097/​PAS.​0000000000001404​CrossRefPubMed
16.
Zurück zum Zitat Kasago IS, Chatila WK, Lezcano CM, Febres-Aldana CA, Schultz N, Vanderbilt C, Dogan S, Bartlett EK, D’Angelo SP, Tap WD, Singer S, Ladanyi M, Shoushtari AN, Busam KJ, Hameed M (2023) Undifferentiated and dedifferentiated metastatic melanomas masquerading as soft tissue sarcomas: mutational signature analysis and immunotherapy response. Mod Pathol 36:100165. https://​doi.​org/​10.​1016/​j.​modpat.​2023.​100165CrossRefPubMedPubMedCentral
17.
Zurück zum Zitat Bontoux C, Baroudjian B, Le Maignan C, Vercellino L, Farges C, Guillemot D, Pierron G, Lebbe C, Battistella M (2019) CRTC1-TRIM11 fusion in a case of metastatic clear cell sarcoma: are CRTC1-TRIM11 fusion-bearing tumors melanocytomas or clear cell sarcomas? Am J Surg Pathol 43:861–863. https://​doi.​org/​10.​1097/​PAS.​0000000000001217​CrossRefPubMed
18.
Zurück zum Zitat Tseng C, Hein ECK, Smith SM, King I, Saibil S, Saeed Kamil Z (2024) Ulcerated CRTC1::TRIM11 cutaneous tumor with metastases. J Cutan Pathol. https://​doi.​org/​10.​1111/​cup.​14669
19.
Zurück zum Zitat Vest BE, Berrebi KG, Stone MS, Sargen MR, Gerami P (2024) CRTC1::TRIM11 cutaneous tumor: an update with local recurrence and lung metastasis in a pediatric patient. J Cutan Pathol 51:181–183. https://​doi.​org/​10.​1111/​cup.​14556CrossRefPubMed
20.
Zurück zum Zitat Hanna J, Russell-Goldman E, Baranov E, Pissaloux D, Li YY, Tirode F, de la Fouchardiere A, Fletcher CDM (2024) PEComa with MITF overexpression: clinicopathologic and molecular analysis of a series of 36 cases. Am J Surg Pathol. https://​doi.​org/​10.​1097/​PAS.​0000000000002276​CrossRefPubMed
21.
Zurück zum Zitat De Noon S, Flanagan AM, Tirabosco R, O’Donnell P, Amary F (2021) EWSR1-SMAD3 fibroblastic tumour of bone: expanding the clinical spectrum. Skeletal Radiol 50:445–450. https://​doi.​org/​10.​1007/​s00256-020-03563-0CrossRefPubMed
22.
Zurück zum Zitat Habeeb O, Korty KE, Azzato EM, Astbury C, Farkas DH, Ko JS, Billings SD (2021) EWSR1-SMAD3 rearranged fibroblastic tumor: case series and review. J Cutan Pathol 48:255–262. https://​doi.​org/​10.​1111/​cup.​13870CrossRefPubMed
23.
Zurück zum Zitat Kao YC, Flucke U, Eijkelenboom A, Zhang L, Sung YS, Suurmeijer AJH, Antonescu CR (2018) Novel EWSR1-SMAD3 gene fusions in a group of acral fibroblastic spindle cell neoplasms. Am J Surg Pathol 42:522–528. https://​doi.​org/​10.​1097/​PAS.​0000000000001002​CrossRefPubMedPubMedCentral
24.
Zurück zum Zitat Michal M, Berry RS, Rubin BP, Kilpatrick SE, Agaimy A, Kazakov DV, Steiner P, Ptakova N, Martinek P, Hadravsky L, Michalova K, Szep Z, Michal M (2018) EWSR1-SMAD3-rearranged fibroblastic tumor: an emerging entity in an increasingly more complex group of fibroblastic/myofibroblastic neoplasms. Am J Surg Pathol 42:1325–1333. https://​doi.​org/​10.​1097/​PAS.​0000000000001109​CrossRefPubMed
25.
Zurück zum Zitat Friedman BJ (2021) Pitfall regarding expression of ETS-related gene (ERG) in fibrohistiocytic neoplasms. J Cutan Pathol 48:1003–1004. https://​doi.​org/​10.​1111/​cup.​14024CrossRefPubMed
26.
Zurück zum Zitat Anderson WJ, Mertens F, Marino-Enriquez A, Hornick JL, Fletcher CDM (2022) Superficial CD34-positive fibroblastic tumor: a clinicopathologic, immunohistochemical, and molecular study of 59 cases. Am J Surg Pathol 46:1329–1339. https://​doi.​org/​10.​1097/​PAS.​0000000000001927​CrossRefPubMed
27.
Zurück zum Zitat Carter JM, Weiss SW, Linos K, DiCaudo DJ, Folpe AL (2014) Superficial CD34-positive fibroblastic tumor: report of 18 cases of a distinctive low-grade mesenchymal neoplasm of intermediate (borderline) malignancy. Mod Pathol 27:294–302. https://​doi.​org/​10.​1038/​modpathol.​2013.​139CrossRefPubMed
28.
Zurück zum Zitat Lao IW, Yu L, Wang J (2017) Superficial CD34-positive fibroblastic tumour: a clinicopathological and immunohistochemical study of an additional series. Histopathology 70:394–401. https://​doi.​org/​10.​1111/​his.​13088CrossRefPubMed
29.
Zurück zum Zitat Perret R, Michal M, Carr RA, Velasco V, Svajdler M, Karanian M, Meurgey A, Paindavoine S, Soubeyran I, Coindre JM, Boidot R, Charon-Barra C, Geneste D, Weingertner N, Pissaloux D, Tirode F, Baud J, Le Loarer F (2021) Superficial CD34-positive fibroblastic tumor and PRDM10-rearranged soft tissue tumor are overlapping entities: a comprehensive study of 20 cases. Histopathology 79:810–825. https://​doi.​org/​10.​1111/​his.​14429CrossRefPubMed
30.
Zurück zum Zitat Puls F, Carter JM, Pillay N, McCulloch TA, Sumathi VP, Rissler P, Fagman H, Hansson M, Amary F, Tirabosco R, Magnusson L, Nilsson J, Flanagan AM, Folpe AL, Mertens F (2022) Overlapping morphological, immunohistochemical and genetic features of superficial CD34-positive fibroblastic tumor and PRDM10-rearranged soft tissue tumor. Mod Pathol 35:767–776. https://​doi.​org/​10.​1038/​s41379-021-00991-8CrossRefPubMed
31.
Zurück zum Zitat Wakefield CB, Mertens F, Fletcher CDM, Anderson WJ (2024) Clinicopathologic and molecular study of superficial CD34-positive fibroblastic tumours mimicking atypical fibrous histiocytoma (dermatofibroma). Histopathology. https://​doi.​org/​10.​1111/​his.​15282
32.
Zurück zum Zitat Davis JL, Al-Ibraheemi A, Rudzinski ER, Surrey LF (2022) Mesenchymal neoplasms with NTRK and other kinase gene alterations. Histopathology 80:4–18. https://​doi.​org/​10.​1111/​his.​14443CrossRefPubMed
33.
Zurück zum Zitat Knezevich SR, Garnett MJ, Pysher TJ, Beckwith JB, Grundy PE, Sorensen PH (1998) ETV6-NTRK3 gene fusions and trisomy 11 establish a histogenetic link between mesoblastic nephroma and congenital fibrosarcoma. Cancer Res 58:5046–5048PubMed
34.
Zurück zum Zitat Rubin BP, Chen CJ, Morgan TW, Xiao S, Grier HE, Kozakewich HP, Perez-Atayde AR, Fletcher JA (1998) Congenital mesoblastic nephroma t(12;15) is associated with ETV6-NTRK3 gene fusion: cytogenetic and molecular relationship to congenital (infantile) fibrosarcoma. Am J Pathol 153:1451–1458. https://​doi.​org/​10.​1016/​S0002-9440(10)65732-XCrossRefPubMedPubMedCentral
35.
Zurück zum Zitat Church AJ, Calicchio ML, Nardi V, Skalova A, Pinto A, Dillon DA, Gomez-Fernandez CR, Manoj N, Haimes JD, Stahl JA, Dela Cruz FS, Tannenbaum-Dvir S, Glade-Bender JL, Kung AL, DuBois SG, Kozakewich HP, Janeway KA, Perez-Atayde AR, Harris MH (2018) Recurrent EML4-NTRK3 fusions in infantile fibrosarcoma and congenital mesoblastic nephroma suggest a revised testing strategy. Mod Pathol 31:463–473. https://​doi.​org/​10.​1038/​modpathol.​2017.​127CrossRefPubMed
36.
Zurück zum Zitat Flucke U, van Noesel MM, Wijnen M, Zhang L, Chen CL, Sung YS, Antonescu CR (2017) TFG-MET fusion in an infantile spindle cell sarcoma with neural features. Genes Chromosomes Cancer 56:663–667. https://​doi.​org/​10.​1002/​gcc.​22470CrossRefPubMedPubMedCentral
37.
Zurück zum Zitat Kao YC, Fletcher CDM, Alaggio R, Wexler L, Zhang L, Sung YS, Orhan D, Chang WC, Swanson D, Dickson BC, Antonescu CR (2018) Recurrent BRAF gene fusions in a subset of pediatric spindle cell sarcomas: expanding the genetic spectrum of tumors with overlapping features with infantile fibrosarcoma. Am J Surg Pathol 42:28–38. https://​doi.​org/​10.​1097/​PAS.​0000000000000938​CrossRefPubMedPubMedCentral
38.
Zurück zum Zitat Tan SY, Al-Ibraheemi A, Ahrens WA, Oesterheld JE, Fanburg-Smith JC, Liu YJ, Spunt SL, Rudzinski ER, Coffin C, Davis JL (2022) ALK rearrangements in infantile fibrosarcoma-like spindle cell tumours of soft tissue and kidney. Histopathology 80:698–707. https://​doi.​org/​10.​1111/​his.​14603CrossRefPubMed
39.
Zurück zum Zitat Klubickova N, Dermawan JK, Mosaieby E, Martinek P, Vanecek T, Hajkova V, Ptakova N, Grossmann P, Steiner P, Svajdler M, Kinkor Z, Michalova K, Szepe P, Plank L, Hederova S, Kolenova A, Spasov NJ, Kosemehmetoglu K, Pazanin L, Spurkova Z, Banik M, Baumruk L, Meyer A, Kalmykova A, Koshyk O, Michal M, Michal M (2024) Comprehensive clinicopathological, molecular, and methylation analysis of mesenchymal tumors with NTRK and other kinase gene aberrations. J Pathol 263:61–73. https://​doi.​org/​10.​1002/​path.​6260CrossRefPubMed
40.
Zurück zum Zitat Tauziede-Espariat A, Duchesne M, Baud J, Le Quang M, Bochaton D, Azmani R, Croce S, Hostein I, Kesrouani C, Guillemot D, Pierron G, Bourdeaut F, Cardoen L, Hasty L, Lechapt E, Metais A, Chretien F, Puget S, Varlet P, Le Loarer F (2023) NTRK-rearranged spindle cell neoplasms are ubiquitous tumours of myofibroblastic lineage with a distinct methylation class. Histopathology 82:596–607. https://​doi.​org/​10.​1111/​his.​14842CrossRefPubMed
41.
Zurück zum Zitat Antonescu CR (2020) Emerging soft tissue tumors with kinase fusions: an overview of the recent literature with an emphasis on diagnostic criteria. Genes Chromosomes Cancer 59:437–444. https://​doi.​org/​10.​1002/​gcc.​22846CrossRefPubMedPubMedCentral
42.
Zurück zum Zitat Kallen ME, Hornick JL (2021) The 2020 WHO classification: what’s new in soft tissue tumor pathology? Am J Surg Pathol 45:e1–e23. https://​doi.​org/​10.​1097/​PAS.​0000000000001552​CrossRefPubMed
43.
Zurück zum Zitat Agaram NP, Zhang L, Sung YS, Chen CL, Chung CT, Antonescu CR, Fletcher CD (2016) Recurrent NTRK1 gene fusions define a novel subset of locally aggressive lipofibromatosis-like neural tumors. Am J Surg Pathol 40:1407–1416. https://​doi.​org/​10.​1097/​PAS.​0000000000000675​CrossRefPubMedPubMedCentral
44.
Zurück zum Zitat Suurmeijer AJH, Dickson BC, Swanson D, Zhang L, Sung YS, Cotzia P, Fletcher CDM, Antonescu CR (2018) A novel group of spindle cell tumors defined by S100 and CD34 co-expression shows recurrent fusions involving RAF1, BRAF, and NTRK1/2 genes. Genes Chromosomes Cancer 57:611–621. https://​doi.​org/​10.​1002/​gcc.​22671CrossRefPubMedPubMedCentral
45.
Zurück zum Zitat Suurmeijer AJH, Kao YC, Antonescu CR (2019) New advances in the molecular classification of pediatric mesenchymal tumors. Genes Chromosomes Cancer 58:100–110. https://​doi.​org/​10.​1002/​gcc.​22681CrossRefPubMed
46.
Zurück zum Zitat Haller F, Knopf J, Ackermann A, Bieg M, Kleinheinz K, Schlesner M, Moskalev EA, Will R, Satir AA, Abdelmagid IE, Giedl J, Carbon R, Rompel O, Hartmann A, Wiemann S, Metzler M, Agaimy A (2016) Paediatric and adult soft tissue sarcomas with NTRK1 gene fusions: a subset of spindle cell sarcomas unified by a prominent myopericytic/haemangiopericytic pattern. J Pathol 238:700–710. https://​doi.​org/​10.​1002/​path.​4701CrossRefPubMed
47.
Zurück zum Zitat Davis JL, Lockwood CM, Stohr B, Boecking C, Al-Ibraheemi A, DuBois SG, Vargas SO, Black JO, Cox MC, Luquette M, Turpin B, Szabo S, Laetsch TW, Albert CM, Parham DM, Hawkins DS, Rudzinski ER (2019) Expanding the spectrum of pediatric NTRK-rearranged mesenchymal tumors. Am J Surg Pathol 43:435–445. https://​doi.​org/​10.​1097/​PAS.​0000000000001203​CrossRefPubMed
48.
Zurück zum Zitat Kojima N, Mori T, Motoi T, Kobayashi E, Yoshida M, Yatabe Y, Ichikawa H, Kawai A, Yonemori K, Antonescu CR, Yoshida A (2023) Frequent CD30 expression in an emerging group of mesenchymal tumors with NTRK, BRAF, RAF1, or RET fusions. Mod Pathol 36:100083. https://​doi.​org/​10.​1016/​j.​modpat.​2022.​100083CrossRefPubMedPubMedCentral
49.
Zurück zum Zitat Hung YP, Fletcher CDM, Hornick JL (2018) Evaluation of pan-TRK immunohistochemistry in infantile fibrosarcoma, lipofibromatosis-like neural tumour and histological mimics. Histopathology 73:634–644. https://​doi.​org/​10.​1111/​his.​13666CrossRefPubMed
50.
Zurück zum Zitat Rudzinski ER, Lockwood CM, Stohr BA, Vargas SO, Sheridan R, Black JO, Rajaram V, Laetsch TW, Davis JL (2018) Pan-Trk immunohistochemistry identifies NTRK rearrangements in pediatric mesenchymal tumors. Am J Surg Pathol 42:927–935. https://​doi.​org/​10.​1097/​PAS.​0000000000001062​CrossRefPubMed
51.
Zurück zum Zitat Solomon JP, Benayed R, Hechtman JF, Ladanyi M (2019) Identifying patients with NTRK fusion cancer. Ann Oncol 30 Suppl 8:viii16–viii22. https://​doi.​org/​10.​1093/​annonc/​mdz384CrossRefPubMed
52.
Zurück zum Zitat Solomon JP, Linkov I, Rosado A, Mullaney K, Rosen EY, Frosina D, Jungbluth AA, Zehir A, Benayed R, Drilon A, Hyman DM, Ladanyi M, Sireci AN, Hechtman JF (2020) NTRK fusion detection across multiple assays and 33,997 cases: diagnostic implications and pitfalls. Mod Pathol 33:38–46. https://​doi.​org/​10.​1038/​s41379-019-0324-7CrossRefPubMed
53.
Zurück zum Zitat Agaimy A, Perret R, Demicco EG, Gross J, Liu YJ, Azmani R, Engelmann C, Schubart C, Seppet J, Stoehr R, Le Loarer F, Dickson BC (2023) GAB1::ABL1 fusions define a distinctive soft tissue neoplasm, with variable perineurial differentiation, and a predilection for children and young adults. Genes Chromosomes Cancer 62:449–459. https://​doi.​org/​10.​1002/​gcc.​23131CrossRefPubMed
54.
Zurück zum Zitat Antonescu CR, Dickson BC, Swanson D, Zhang L, Sung YS, Kao YC, Chang WC, Ran L, Pappo A, Bahrami A, Chi P, Fletcher CD (2019) Spindle cell tumors with RET gene fusions exhibit a morphologic spectrum akin to tumors with NTRK gene fusions. Am J Surg Pathol 43:1384–1391. https://​doi.​org/​10.​1097/​PAS.​0000000000001297​CrossRefPubMedPubMedCentral
55.
Zurück zum Zitat Choo F, Rakheja D, Davis LE, Davare M, Park JY, Timmons CF, Neff T, Beadling C, Corless CL, Davis JL (2021) GAB1-ABL1 fusions in tumors that have histologic overlap with NTRK-rearranged spindle cell tumors. Genes Chromosomes Cancer 60:623–630. https://​doi.​org/​10.​1002/​gcc.​22972CrossRefPubMed
56.
Zurück zum Zitat Davis JL, Vargas SO, Rudzinski ER, Lopez Marti JM, Janeway K, Forrest S, Winsnes K, Pinto N, Yang SE, VanSandt M, Boyd TK, Corless CL, Liu YJ, Surrey LF, Harris MH, Church A, Al-Ibraheemi A (2020) Recurrent RET gene fusions in paediatric spindle mesenchymal neoplasms. Histopathology 76:1032–1041. https://​doi.​org/​10.​1111/​his.​14082CrossRefPubMed
57.
Zurück zum Zitat Dermawan JK, Azzato EM, Goldblum JR, Rubin BP, Billings SD, Ko JS (2021) Superficial ALK-rearranged myxoid spindle cell neoplasm: a cutaneous soft tissue tumor with distinctive morphology and immunophenotypic profile. Mod Pathol 34:1710–1718. https://​doi.​org/​10.​1038/​s41379-021-00830-wCrossRefPubMed
58.
Zurück zum Zitat Michal M, Ptakova N, Martinek P, Gatalica Z, Kazakov DV, Michalova K, Stolarikova L, Svajdler M, Michal M (2019) S100 and CD34 positive spindle cell tumor with prominent perivascular hyalinization and a novel NCOA4-RET fusion. Genes Chromosomes Cancer 58:680–685. https://​doi.​org/​10.​1002/​gcc.​22758CrossRefPubMed
59.
Zurück zum Zitat Michal M, Ud Din N, Svajdler M, Klubickova N, Ptakova N, Hajkova V, Michal M, Agaimy A (2023) TFG::MET-rearranged soft tissue tumor: a rare infantile neoplasm with a distinct low-grade triphasic morphology. Genes Chromosomes Cancer 62:290–296. https://​doi.​org/​10.​1002/​gcc.​23111CrossRefPubMed
60.
Zurück zum Zitat Penning AJ, Al-Ibraheemi A, Michal M, Larsen BT, Cho SJ, Lockwood CM, Paulson VA, Liu YJ, Plank L, Fritchie K, Beadling C, Neff TL, Corless CL, Rudzinski ER, Davis JL (2021) Novel BRAF gene fusions and activating point mutations in spindle cell sarcomas with histologic overlap with infantile fibrosarcoma. Mod Pathol 34:1530–1540. https://​doi.​org/​10.​1038/​s41379-021-00806-wCrossRefPubMed
61.
Zurück zum Zitat Wegert J, Vokuhl C, Collord G, Del Castillo V-H, Farndon SJ, Guzzo C, Jorgensen M, Anderson J, Slater O, Duncan C, Bausenwein S, Streitenberger H, Ziegler B, Furtwangler R, Graf N, Stratton MR, Campbell PJ, Jones DT, Koelsche C, Pfister SM, Mifsud W, Sebire N, Sparber-Sauer M, Koscielniak E, Rosenwald A, Gessler M, Behjati S (2018) Recurrent intragenic rearrangements of EGFR and BRAF in soft tissue tumors of infants. Nat Commun 9:2378. https://​doi.​org/​10.​1038/​s41467-018-04650-6CrossRefPubMedPubMedCentral
62.
Zurück zum Zitat Kao YC, Suurmeijer AJH, Argani P, Dickson BC, Zhang L, Sung YS, Agaram NP, Fletcher CDM, Antonescu CR (2020) Soft tissue tumors characterized by a wide spectrum of kinase fusions share a lipofibromatosis-like neural tumor pattern. Genes Chromosomes Cancer 59:575–583. https://​doi.​org/​10.​1002/​gcc.​22877CrossRefPubMedPubMedCentral
63.
Zurück zum Zitat Kraft S, Fletcher CD (2011) Atypical intradermal smooth muscle neoplasms: clinicopathologic analysis of 84 cases and a reappraisal of cutaneous “leiomyosarcoma.” Am J Surg Pathol 35:599–607. https://​doi.​org/​10.​1097/​PAS.​0b013e31820e6093​CrossRefPubMed
64.
Zurück zum Zitat Massi D, Franchi A, Alos L, Cook M, Di Palma S, Enguita AB, Ferrara G, Kazakov DV, Mentzel T, Michal M, Panelos J, Rodriguez-Peralto JL, Santucci M, Tragni G, Zioga A, Dei Tos A (2010) Primary cutaneous leiomyosarcoma: clinicopathological analysis of 36 cases. Histopathology 56:251–262. https://​doi.​org/​10.​1111/​j.​1365-2559.​2009.​03471.​xCrossRefPubMed
65.
Zurück zum Zitat Bresler SC, Gosnell HL, Ko JS, Angeles CV, Ronen S, Billings SD, Patel RM (2023) Subcutaneous leiomyosarcoma: an aggressive malignancy portending a significant risk of metastasis and death. Am J Surg Pathol. https://​doi.​org/​10.​1097/​PAS.​0000000000002126​CrossRefPubMed
66.
Zurück zum Zitat Wang WL, Bones-Valentin RA, Prieto VG, Pollock RE, Lev DC, Lazar AJ (2012) Sarcoma metastases to the skin: a clinicopathologic study of 65 patients. Cancer 118:2900–2904. https://​doi.​org/​10.​1002/​cncr.​26590CrossRefPubMed
67.
Zurück zum Zitat Beck EM, Bauman TM, Rosman IS (2018) A tale of two clones: Caldesmon staining in the differentiation of cutaneous spindle cell neoplasms. J Cutan Pathol 45:581–587. https://​doi.​org/​10.​1111/​cup.​13259CrossRefPubMed
68.
Zurück zum Zitat Campbell K, Bridge JA, DiMaio D, Wilson J, Shalin SC, Gardner JM (2022) Dermatofibrosarcoma protuberans with platelet-derived growth factor-D rearrangement; two cases with morphologically distinct presentations. J Cutan Pathol 49:274–277. https://​doi.​org/​10.​1111/​cup.​14148CrossRefPubMed
69.
Zurück zum Zitat Chen Y, Shi YZ, Feng XH, Wang XT, He XL, Zhao M (2021) Novel TNC-PDGFD fusion in fibrosarcomatous dermatofibrosarcoma protuberans: a case report. Diagn Pathol 16:63. https://​doi.​org/​10.​1186/​s13000-021-01123-1CrossRefPubMedPubMedCentral
70.
Zurück zum Zitat Dadone-Montaudie B, Alberti L, Duc A, Delespaul L, Lesluyes T, Perot G, Lancon A, Paindavoine S, Di Mauro I, Blay JY, de la Fouchardiere A, Chibon F, Karanian M, MacGrogan G, Kubiniek V, Keslair F, Cardot-Leccia N, Michot A, Perrin V, Zekri Y, Coindre JM, Tirode F, Pedeutour F, Ranchere-Vince D, Le Loarer F, Pissaloux D (2018) Alternative PDGFD rearrangements in dermatofibrosarcomas protuberans without PDGFB fusions. Mod Pathol 31:1683–1693. https://​doi.​org/​10.​1038/​s41379-018-0089-4CrossRefPubMed
71.
Zurück zum Zitat Dickson BC, Hornick JL, Fletcher CDM, Demicco EG, Howarth DJ, Swanson D, Zhang L, Sung YS, Antonescu CR (2018) Dermatofibrosarcoma protuberans with a novel COL6A3-PDGFD fusion gene and apparent predilection for breast. Genes Chromosomes Cancer 57:437–445. https://​doi.​org/​10.​1002/​gcc.​22663CrossRefPubMedPubMedCentral
72.
Zurück zum Zitat Lee PH, Huang SC, Wu PS, Tai HC, Lee CH, Lee JC, Kao YC, Tsai JW, Hsieh TH, Li CF, Li WS, Liu TT, Su YL, Yu SC, Huang HY (2022) Molecular characterization of dermatofibrosarcoma protuberans: the clinicopathologic significance of uncommon fusion gene rearrangements and their diagnostic importance in the exclusively subcutaneous and circumscribed lesions. Am J Surg Pathol 46:942–955. https://​doi.​org/​10.​1097/​PAS.​0000000000001866​CrossRefPubMed
73.
Zurück zum Zitat Perry KD, Al-Lbraheemi A, Rubin BP, Jen J, Ren H, Jang JS, Nair A, Davila J, Pambuccian S, Horvai A, Sukov W, Tazelaar HD, Folpe AL (2017) Composite hemangioendothelioma with neuroendocrine marker expression: an aggressive variant. Mod Pathol 30:1512. https://​doi.​org/​10.​1038/​modpathol.​2017.​116CrossRefPubMed
74.
Zurück zum Zitat Dermawan JK, Westra WH, Antonescu CR (2022) Recurrent PTBP1::MAML2 fusions in composite hemangioendothelioma with neuroendocrine differentiation: a report of two cases involving neck lymph nodes. Genes Chromosomes Cancer 61:187–193. https://​doi.​org/​10.​1002/​gcc.​23017CrossRefPubMed
75.
Zurück zum Zitat Linos K, Dermawan JK, Pulitzer M, Hameed M, Agaram NP, Agaimy A, Antonescu CR (2024) Untying the Gordian knot of composite hemangioendothelioma: discovery of novel fusions. Genes Chromosomes Cancer 63:e23198. https://​doi.​org/​10.​1002/​gcc.​23198CrossRefPubMed
76.
Zurück zum Zitat Antonescu CR, Dickson BC, Sung YS, Zhang L, Suurmeijer AJH, Stenzinger A, Mechtersheimer G, Fletcher CDM (2020) Recurrent YAP1 and MAML2 gene rearrangements in retiform and composite hemangioendothelioma. Am J Surg Pathol 44:1677–1684. https://​doi.​org/​10.​1097/​PAS.​0000000000001575​CrossRefPubMedPubMedCentral

Neu im Fachgebiet Pathologie

Fabrizierte und/oder Induzierte Krankheit und medizinische Kindesmisshandlung

Fabrizierte und/oder Induzierte Krankheit (FII, ehemals Münchhausen-by-Proxy-Syndrom)/medizinische Kindesmisshandlung (MKM) ist eine Form der Kindesmisshandlung, bei der ein Kind oder Jugendliche*r unter 18 Jahren durch Handlungen einer …

Forensisch-medizinische körperliche Untersuchung von Mädchen und Jungen bei Verdacht auf Misshandlung und Missbrauch

1 Einleitung 2 Zielsetzung der Empfehlung 3 Grundsätze zum Umgang mit unterschiedlichen Settings/Auftraggebern und Zuweisern 3.1 Konsiliarische Mitbeurteilungen 3.2 Verletzungseinschätzungen für Jugendämter 3.3 Ermittlungsbehörden 3.4 Sonderfall …

Leibzeichen in Norddeutschland – ein (fast) vergessener Rechtsbrauch

In nordeuropäischen Kirchen werden – meistens im Rahmen von Baumaßnahmen – immer wieder menschliche Überreste entdeckt; diese befinden sich oft in mumifiziertem Zustand, und ihr Ursprung ist weitgehend unbekannt. Zu der Herkunft dieser Relikte – …

Präneoplasien des hepatozellulären Karzinoms

Das hepatozelluläre Karzinom (HCC) entsteht meist auf dem Boden einer Leberzirrhose. Häufige Risikofaktoren sind virale Hepatitiden B/C, Alkoholabusus, „metabolic dysfunction associated steatotic liver disease“ (MASLD) und genetische Erkrankungen.