Zum Inhalt

Maskierte Bedrohung: das primär vitreoretinale Lymphom (PVRL)

  • Open Access
  • 09.04.2025
  • Uveitis
  • Kasuistiken
Erschienen in:
download
DOWNLOAD
print
DRUCKEN
insite
SUCHEN
QR-Code scannen & Beitrag online lesen

Hinweis des Verlags

Der Verlag bleibt in Hinblick auf geografische Zuordnungen und Gebietsbezeichnungen in veröffentlichten Karten und Institutsadressen neutral.

Anamnese

Eine 91-jährige Patientin stellte sich in unserer Klinik zur konsiliarischen Mitbeurteilung einer akuten Sehverschlechterung am linken Auge (LA) vor, welche seit einer Woche bestehe. In den letzten Jahren sei es an beiden Augen zu einer schleichenden Visusreduktion gekommen. Vor 5 Monaten erfolgte extern am rechten Auge (RA) eine Pars-plana-Vitrektomie mit Öltamponade infolge einer Glaskörperblutung mit einhergehender Tensiodekompensation sowie Amotio retinae. Aufgrund der Untersuchungsergebnisse (Abb. 1a, c) und der Klinik wurde extern eine zytologische Untersuchung der Glaskörperprobe des RA durchgeführt. Diese erbrachte keinen Hinweis auf neoplastische Zellen oder andere Pathologien. Anhand der morphologischen Darstellung des rechten Fundus ist die Verdachtsdiagnose einer komplizierten CMV-Uveitis mit posteriorer Beteiligung gestellt worden. Es bestand nun der Verdacht einer Beteiligung der CMV-Uveitis am LA.
Abb. 1
a Fundusfoto des RA mit retinalen Blutungen sowie Cotton-Wool-Herden, DD „Ketchup-Mayonnaise-Fundus“ bei CMV-Retinitis (extern). b Fundusfoto des LA mit Glaskörperschlieren sowie angedeutet gelblichen Herden am unteren Gefäßbogen (zum Zeitpunkt der konsiliarischen Vorstellung). c OCT-Untersuchung der linken Papille mit deutlicher Schwellung der Nervenfasern (extern)
Bild vergrößern

Befund

In unserer Klinik präsentierte sich die Patientin mit einem Visus am LA von 0,1 Decimal, während am RA lediglich Licht wahrgenommen werden konnten. Der intraokuläre Druck (IOD) war beidseits normoton. Inspektorisch zeigte sich am rechten Auge, abgesehen von Ölblasen in der Vorderkammer (VK), ein reizfreier pseudophaker Vorderabschnitt. Am linken Auge zeigte sich bis auf zarte Endothelbeschläge ebenfalls ein reizfreier pseudophaker Vorderabschnitt. Fundoskopisch bestand am RA kein Einblick. Das LA zeigte bei insuffizienter Mydriasis Glaskörpertrübungen (VH+) sowie mehrere chorioretinale Veränderungen am unteren Gefäßbogen (Abb. 1b). Die Netzhaut war, soweit einsehbar, anliegend. Wir stellten ebenfalls den Verdacht einer Panuveitis bei CMV sowie die Differenzialdiagnose eines Masquerade-Syndroms. Die Patientin wurde stationär aufgenommen und die bereits extern begonnene Therapie mit Ganciclovir 300 mg alle 12 h fortgesetzt. Diagnostisch ist eine Vorderkammerpunktion des LA geplant worden.
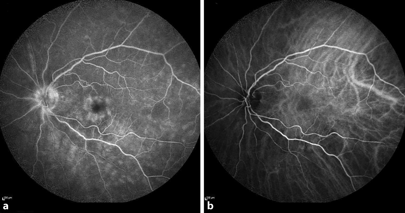
Die Vorderkammerpunktion des LA ergab im Verhältnis zur Blutserumuntersuchung keine erhöhten CMV-Antigen-Antikörper-Werte (Goldmann-Witmer-Koeffizient: 1,09). Stattdessen zeigten sich eine erhöhte Interleukin-10(IL-10)-Konzentration (907,0 pg/ml) sowie ein erhöhtes Verhältnis von IL-10 zu IL-6 > 1. Diese Befunde erhärteten den Verdacht eines Masquerade-Syndroms in Form des primär vitreoretinalen Lymphoms (PVRL). Die Fluoreszenzangiographie (FAG) des LA zeigte eine ausgeprägte retinale Hyperfluoreszenz sowie Leckage der Papille. Die Indocyaningrünangiographie (ICGA) zeigte hypofluoreszente Herde am unteren Gefäßbogen (Abb. 2).
Abb. 2
Angiographie des linken Auges. a FAG (5:11 min): generalisierte punktförmige Hyperfluoreszenz im Sinne einer Schrankenstörung. b ICGA (5:11 min): hypofluoreszente Läsionen am unteren Gefäßbogen
Bild vergrößern
Es wurde sich für eine diagnostische Enukleation des RA entschieden, um weitere Informationen für das linke Ultimus-Auge zu erhalten. Die pathologische Untersuchung des enukleierten rechten Bulbus oculi ergab ein diffuses großzelliges B‑Zell-Lymphom (DLBCL) innerhalb der Choroidea und Retina mit Infiltration des N. opticus (Abb. 3). Die N.-opticus-Absetzungsebene stellte sich tumorfrei dar.
Abb. 3
Querschnitt durch den Bulbus oculi des RA. a Makroskopisch dichter weißer Bereich im hinteren Augenabschnitt. b Histopathologisch dichtes Infiltrat basophiler Zellen in der Retina, Choroidea und im Sehnervenkopf
Bild vergrößern
Die immunhistologische Untersuchung zeigte eine starke Expression von CD20 und eine Wachstumsfraktion von über 95 % (Abb. 4c, d). Außerdem ließen sich in den Tumorzellen BCL‑2 und in den Zellkernen der Tumorzellen BCL‑6 anfärben (Abb. 4e, f). Darüber hinaus konnten keine CMV-positiven Zellen dargestellt werden (Abb. 4g). Des Weiteren ist die Melan-A-Expression negativ (Abb. 4h).
Abb. 4
a Ausbreitung der DLBCL-Infiltrate entlang der Netzhaut, der Chorioidea, des Sehnervenkopfes und des Sehnervs. b Große DLBCL-Zellen mit zentroblastischer Morphologie. c Starke membranöse Expression von CD20 der DLBCL-Zellen. d Hoher Proliferationsindex Ki-67 (> 95 %) der DLBCL-Zellen. e Starke Expression von BCL‑2 in den DLBCL-Zellen. f Nukleäre Expression von BCL‑6 in den DLBCL-Zellen. g Kein Nachweis für eine CMV-Infektion. h Melan‑A negativ
Bild vergrößern
Das anschließende Staging-CT (Abdomen, Thorax, Becken) ergab keinen Hinweis auf einen anderen Primarius oder Metastasen. Eine geplante Lumbalpunktion konnte aufgrund einer ausgeprägten Skoliose nicht durchgeführt werden. Die durchgeführte cMRT-Untersuchung ergab keinen Hinweis auf ZNS-Beteiligung.

Diagnose

Es wurde die Diagnose eines PVRL mit Befall beider Augen gestellt. Histopathologisch liegt ein Non-Hodgkin-Lymphom der B‑Zell Reihe (DLBCL) vor (Abb. 4). In der genetischen Untersuchung hat sich kein Hinweis auf eine MYC-Translokation ergeben, die bei High-grade-Lymphomen auftritt.

Therapie

Die Tumorkonferenz entschied sich aufgrund des eingeschränkten Allgemeinzustands (ECOG 3) der Patientin gegen eine systemische Chemotherapie und stattdessen für eine lokale Therapie mit Methotrexat (MTX) und Rituximab. Die Patientin hat in der Folge 4 intravitreale Injektionen mit MTX (400 µg/0,1 ml) und Rituximab (1 mg/0,1 ml) im Abstand von 4 Wochen erhalten. In der ersten Kontrolle war der Visus der Patientin am LA bereits auf 0,4 Decimal angestiegen und lag nach der vierten Injektion bei 0,3 Decimal. Außerdem ergab die Verlaufsvorderkammerpunktion des LA keinen Nachweis mehr von IL-10, was ein positives Therapieansprechen untermauert. In Rücksprache mit der Patientin und den Angehörigen wurde sich für eine Fortführung der lokalen Therapie mit Verlängerung des Intervalls entschieden, weshalb ein weiterer Termin in 8 Wochen vereinbart wurde.

Diskussion

Eine Herausforderung in der ophthalmologischen Diagnostik ist die Abgrenzung einer Uveitis von einem Masquerade-Syndrom. Masquerade-Syndrome – oft maligne Erkrankungen – täuschen hierbei eine intraokuläre Entzündung vor [4]. Dabei sind 50–80 % der Masquerade-Syndrome auf PVRL zurückzuführen [3].
Sowohl die Uveitis als auch das PVRL präsentieren sich klinisch mit ähnlicher Symptomatik der Patienten: getrübtes Sehen, „Floater“ und fortschreitende Visusreduktion. Typische Untersuchungsbefunde für die Uveitis intermedia/posterior sind entzündliche Zellinfiltrate im Glaskörper, eine retinale Vaskulitis und ggf. ein Makulaödem. Charakteristisch für das PVRL sind eine Vitritis und subretinale gelbliche Infiltrate ohne Makulaödem. Der Verlauf des PVRL ist schleichend und die Diagnosestellung verzögert sich durchschnittlich um 6 bis 40 Monate. Außerdem sind gehäuft beide Augen erkrankt. Therapeutisch spricht das PVRL im Gegensatz zur Uveitis langfristig unzureichend auf eine Kortikosteroidtherapie an, auch wenn es in der Regel kurzfristig zu einer Besserung kommt. Zudem tritt das PVRL meist in einem höheren Lebensalter auf [4].
Da die alleinige klinische Präsentation keine sichere Differenzierung erlaubt, wurden weitere diagnostische Methoden entwickelt. Der Goldstandard ist die histologische Sicherung anhand einer zytologischen Untersuchung des Glaskörpers [4]. Der zytologische Nachweis von neoplastischen Zellen im Glaskörper ist sehr spezifisch, allerdings weniger sensitiv (45–60 %) [4]. Der Transport der Probe sollte aufgrund der Instabilität der Zellen in einem spezifischen Medium (z. B. HOPE) erfolgen und die Untersuchung in einem spezialisierten Labor. Darüber hinaus spielt die Analyse des Kammerwassers eine zentrale Rolle. Von besonderem Interesse sind dabei die Bestimmung der IL-10-Konzentration sowie das Verhältnis von IL-10 zu IL‑6. Liegt die IL-10-Konzentration im Kammerwasser über 50 pg/ml, kann mit einer Sensitivität von 89 % und einer Spezifität von 93 % von einem PVRL ausgegangen werden [2]. Dieselbe Messung lässt sich auch mit Flüssigkeit aus dem Glaskörper durchführen. Ein IL-10/IL-6-Verhältnis von > 1 spricht sowohl im Kammerwasser als auch in der Glaskörperflüssigkeit für ein PVRL [2]. Des Weiteren spielt die Molekulargenetik eine immer größere Rolle – hierbei ist insbesondere die MYD88-Mutation in 74 % der Fälle zu erwähnen [1].
Dieser Fall unterstreicht den hohen differenzialdiagnostischen Mehrwert, der in der Bestimmung von IL-10 und dem Verhältnis von IL-10 zu IL‑6 liegt. In diesem Fall konnte die zytologische Untersuchung des Glaskörpers primär keinen Hinweis auf ein PVRL erbringen. Gründe dafür liegen in der oft geringen Menge an Probenmaterial und Zellzahl sowie der Fragilität der Tumorzellen. Außerdem kann eine Therapie mit Kortikosteroiden das Ergebnis der Analyse verfälschen und sollte deshalb 2 Wochen präoperativ abgesetzt werden [4]. Aufgrund des spezifischen Interleukinmusters konnte der Verdacht auf ein PVRL dennoch erhoben und schließlich durch die histologische Untersuchung nach Enukleation bestätigt werden [4].

Fazit für die Praxis

  • Die Unterscheidung einer Uveitis von einem Masquerade-Syndrom bleibt klinisch anspruchsvoll. Differenzialdiagnostisch kann die Bestimmung von IL-10 und IL‑6 im Vorderkammerwasser einen großen Mehrwert bringen.
  • Auch wenn die zytologische Untersuchung des Glaskörpers als Goldstandard in der Diagnostik des PVRL gilt, ist sie wenig sensitiv und kann somit falsch negativ sein.
  • Therapeutisch kann die intravitreale Behandlung eines PVRL mit MTX und Rituximab zur Remission und einem Anstieg des Visus führen.

Einhaltung ethischer Richtlinien

Interessenkonflikt

T. Rüterhenke, L. zur Bonsen, J. Ihlow, S. Schallenberg, B. Müller und U. Pleyer geben an, dass kein Interessenkonflikt besteht.
Für diesen Beitrag wurden von den Autor/-innen keine Studien an Menschen oder Tieren durchgeführt. Für die aufgeführten Studien gelten die jeweils dort angegebenen ethischen Richtlinien. Für Bildmaterial oder anderweitige Angaben innerhalb des Manuskripts, über die Patient/-innen zu identifizieren sind, liegt von ihnen und/oder ihren gesetzlichen Vertretern/Vertreterinnen eine schriftliche Einwilligung vor.
Open Access Dieser Artikel wird unter der Creative Commons Namensnennung 4.0 International Lizenz veröffentlicht, welche die Nutzung, Vervielfältigung, Bearbeitung, Verbreitung und Wiedergabe in jeglichem Medium und Format erlaubt, sofern Sie den/die ursprünglichen Autor(en) und die Quelle ordnungsgemäß nennen, einen Link zur Creative Commons Lizenz beifügen und angeben, ob Änderungen vorgenommen wurden. Die in diesem Artikel enthaltenen Bilder und sonstiges Drittmaterial unterliegen ebenfalls der genannten Creative Commons Lizenz, sofern sich aus der Abbildungslegende nichts anderes ergibt. Sofern das betreffende Material nicht unter der genannten Creative Commons Lizenz steht und die betreffende Handlung nicht nach gesetzlichen Vorschriften erlaubt ist, ist für die oben aufgeführten Weiterverwendungen des Materials die Einwilligung des jeweiligen Rechteinhabers einzuholen. Weitere Details zur Lizenz entnehmen Sie bitte der Lizenzinformation auf http://creativecommons.org/licenses/by/4.0/deed.de.

Hinweis des Verlags

Der Verlag bleibt in Hinblick auf geografische Zuordnungen und Gebietsbezeichnungen in veröffentlichten Karten und Institutsadressen neutral.
download
DOWNLOAD
print
DRUCKEN
Titel
Maskierte Bedrohung: das primär vitreoretinale Lymphom (PVRL)
Verfasst von
Tim Rüterhenke
Lynn zur Bonsen
Jana Ihlow
Simon Schallenberg
Bert Müller
Prof. Dr. med. Uwe Pleyer
Publikationsdatum
09.04.2025
Verlag
Springer Medizin
Erschienen in
Die Ophthalmologie / Ausgabe 9/2025
Print ISSN: 2731-720X
Elektronische ISSN: 2731-7218
DOI
https://doi.org/10.1007/s00347-025-02228-4
1.
Zurück zum Zitat Bonzheim I, Sander P, Salmeron-Villalobos J et al (2022) The molecular hallmarks of primary and secondary vitreoretinal lymphoma. Blood Adv 6:1598–1607PubMedPubMedCentral
2.
Zurück zum Zitat Cassoux N, Giron A, Bodaghi B et al (2007) IL-10 measurement in aqueous humor for screening patients with suspicion of primary intraocular lymphoma. Invest Ophthalmol Vis Sci 48:3253–3259PubMedCrossRef
3.
Zurück zum Zitat Grange LK, Kouchouk A, Dalal MD et al (2014) Neoplastic masquerade syndromes in patients with uveitis. Am J Ophthalmol 157:526–531PubMedCrossRef
4.
Zurück zum Zitat Soussain C, Malaise D, Cassoux N (2021) Primary vitreoretinal lymphoma: a diagnostic and management challenge. Blood 138:1519–1534PubMedCrossRef

Passend zum Thema

APDS im Praxisalltag erkennen

Das klinische Bild von APDS ist heterogen mit erhöhter Infektanfälligkeit, Immunschwäche, Autoimmunität, Malignität, Allergien und Autoinflammation. Betroffene weisen zwar typische Laborabnormitäten auf, aber eine eindeutige Diagnose kann jedoch nur anhand einer genetischen Untersuchung gestellt werden.

Pathomechanismus – warum Betroffene unter APDS leiden

Ursache von APDS (Activated Phosphoinositide 3-Kinase Delta Syndrome) ist ein Gendefekt der zellulären Phosphoinositid-3-Kinase δ (PI3Kδ). Dieses Enzym gehört zur Familie der Kinasen und spielt eine zentrale Rolle bei der zellulären Signaltransduktion, insbesondere bei der Entwicklung und Funktion des Immunsystems.

ANZEIGE

Seltener Immundefekt: Activated Phosphoinositide 3-Kinase δ Syndrome (APDS)

Beim Activated Phosphoinositide 3-Kinase Delta Syndrome (APDS) handelt es sich um einen seltenen, schweren progredienten Immundefekt mit äußerst heterogener Symptomatik. Eine frühzeitige Diagnosestellung und Therapie ist für das Überleben der Patienten von entscheidender Bedeutung. 

Passend zum Thema

Kongressdossier zum Deutschen Krebskongress 2026

18. - 21. Februar 2026 | Berlin
Auf dieser Seite werden wir Sie mit tagesaktuellen Berichten vom Deutschen Krebskongress auf dem Laufenden halten. Vor dem Start des Kongresses finden Sie hier zudem Ausblicke auf spannende Themen, die vor Ort diskutiert werden. Expertinnen und Experten erzählen, auf welche DKK-Sessions sie sich besonders freuen.

Deutsche Krebsgesellschaft e. V. und Stiftung Deutsche Krebshilfe

Passend zum Thema

ANZEIGE

Atropin zur Verlangsamung der pädiatrischen Myopieprogression*

Bis 2050 wird etwa jedes dritte Kind in Europa kurzsichtig sein [1]. Zur Vermeidung sehkraftgefährdender Folgekomplikationen ist die Progressionsverlangsamung der pädiatrischen Myopie* – z. B. mit niedrig dosiertem Atropin – von zentraler Bedeutung [2,3].   

Santen GmbH
Bildnachweise
Arzt untersucht Teenager an den Lymphknoten/© South_agency | GettyImages (Symbolbild mit Fotomodellen), Pathomechanismus APDS/© Pharming, Teenagerin sitzt im Bett, während sie hustet/© Vladimir Vladimirov | Getty Images (Symbolbild mit Fotomodell), Berlin/© amyrxa / stock.adobe.com, Mädchen in selbst gebauter Zeitmaschine/© Santen GmbH (Symbolbild mit Fotomodell)