Zum Inhalt
Arthroskopie

Langzeitfolgen nach Implantation eines KineSpring-Implantats

Entlastung oder Belastung

Erschienen in:

Zusammenfassung

Die Gonarthrose ist eine der weltweit verbreitetsten chronischen Erkrankungen mit steigender Prävalenz im Alter. Nach Ausschöpfung der konservativen Therapie steht als operative Therapie die Endoprothetik bzw. bei Beinachsendeviationen eine Umstellungsosteotomie zur Verfügung. Letztere ist nur für eine begrenzte Anzahl von Patienten indiziert und verändert die Beinachse dauerhaft; eine Prothese ist für junge Patienten keine optimale Lösung, sodass Alternativen gesucht werden. Experimentelle klinische Studien haben gezeigt, dass die Distraktion eines arthrotischen Gelenks schmerzlindernd sein kann. Diesem Prinzip folgend, wurde ein minimal-invasives Implantat entwickelt, eine Art Stoßdämpfer (KineSpring©, Moximed, Inc., Fremont, CA, USA), der medial am Knie implantiert wurde, den Druck im Kniegelenk reduziert und das Gelenk in den belastungsfreien Phasen distrahieren kann. Dies soll Schmerzen lindern, ohne den natürlichen Bewegungsablauf des Kniegelenks wesentlich zu beeinträchtigen. Langfristige Studien oder Fallberichte fehlen bisher in der Literatur, weshalb wir einen Patienten 12 Jahre nach Implantation vorstellen.
QR-Code scannen & Beitrag online lesen

Hinweis des Verlags

Der Verlag bleibt in Hinblick auf geografische Zuordnungen und Gebietsbezeichnungen in veröffentlichten Karten und Institutsadressen neutral.
Gonarthrose ist eine chronisch-degenerative Gelenkerkrankung, die bisher irreversibel ist. Es kommt zu einem chronischen Knorpelabbau. Risikofaktoren für die primäre Gonarthrose sind Übergewicht, höheres Alter und genetische Prädisposition [1]. Gonarthrose ist einer der Hauptgründe bei Erwachsenen für körperliche Einschränkungen im Alltag. Symptome sind u. a. Schmerzen und Bewegungseinschränkung [1, 2]. Die Therapieoptionen sind nicht kausal und eine Heilung nicht möglich; es können lediglich Symptome reduziert und die Progression verringert werden. Die konservativen Therapieoptionen umfassen die vielfältigen physiotherapeutischen Behandlungen, Analgesie, Akupunktur, Orthesen, Injektionen sowie die Veränderung des Lebensstils, z. B. Gewichtsreduktion. Chirurgische Maßnahmen beinhalten u. a. die Beinachsenkorrektur oder eine unikondyläre bzw. Knietotalendoprothese (Knie-TEP). Knieprothesen führen zu einer deutlichen Schmerzreduktion und Verbesserung der Kniefunktion. Sie werden heute routinemäßig in vielen Kliniken durchgeführt. Jedoch sind sie irreversibel, stellen keine kleinen Operationen dar und bergen z. B. ein nicht unerhebliches Infektionsrisiko mit einer in der Literatur berichteten Inzidenzrate von 0,7–3,4 % [3, 4]. Des Weiteren haben Knieprothesen nur eine begrenzte Lebensdauer, v. a. bei jüngeren Patienten [1, 5]. Aus diesen Gründen ist eine gelenkerhaltende Behandlung mit geringerem Risikoprofil wünschenswert.
Eine Möglichkeit ist die Distraktion des Gelenks. Das Prinzip der gelenkerhaltenden Behandlung der Arthrose mittels Gelenkdistraktion wurde erstmals in den 1990er Jahren für Hüft‑, Sprung- und Fußgelenke angewendet und konnte eine anhaltende Schmerzlinderung, funktionelle Verbesserung und Reparatur des Knorpelgewebes nachweisen [2, 6]. Als innovative Technologie wurde 2011 ein gelenkerhaltendes, lastaufnehmendes Implantat für die Behandlung der medialen Gonarthrose beschrieben: eine Art Stoßdämpfer für das Knie. Dieses wird im extrakapsulären Weichteilmantel des Knies medial implantiert [7]. Die titanlegierten Basisplatten des Implantats werden medial an der proximalen Tibia und dem distalen Femur mit Schrauben befestigt (Abb. 1). Sie sind durch eine gelenkübergreifende Feder verbunden, die aus einer Kobalt-Chrom-Legierung besteht (Abb. 1). In den biomechanischen Untersuchungen wurden Gangzyklen am Leichenknie simuliert. Das KineSpring-Implantat (Moximed©, Inc. Fremont, CA, USA) zeigte eine signifikante Reduktion der Belastung im medialen tibiofemoralen Kompartiment um 14 ± 5 kg und im gesamten Knie um 9 ± 4 kg in der Standphase. Diese Absorption lag innerhalb der klinisch wirksamen Bereiche anderer Gelenkentlastungstherapien [7].
Abb. 1
Komponentenaufbau des KineSpring-Implantats (Moximed ©, Inc. Fremont, CA, USA) mit einem Metall-Metall-Design. A Femorale Basisplatte, B helikale Feder, C tibiale Basisplatte. (Mit freundlicher Genehmigung von Moximed Inc., Fremont, CA 94538 USA – alle Rechte vorbehalten)
Bild vergrößern
Die Mehrheit der klinischen Studien zum KineSpring-Implantat untersuchte bisher mittelfristig seine Wirksamkeit in Zeiträumen von 2 bis 5 Jahren nach Implantation [8, 9]. Langzeitstudien liegen hingegen noch nicht vor. Lediglich in einer Fallstudie wird der erfolgreiche Wechsel eines solchen Systems knapp 7 Jahre nach der Implantation in eine Knie-TEP beschrieben [10]. Mit diesem Bericht können wir eine erste Langzeitbeobachtung aufweisen, die einen Zeitraum von 12 Jahren umfasst.

Fallbeschreibung

Ein 59-jähriger, berufstätiger Patient mit einem Body-Mass-Index (BMI) von 31,1 stellte sich in unserer Sprechstunde aufgrund zunehmender medialer Gonalgie nach Implantation eines KineSpring-Implantats vor 12 Jahren (2012) alio loco vor. Die initiale Operation verlief komplikationslos. Post operationem konnte der Patient uneingeschränkt seinen Beruf als Koch ausüben. Hobbys wie Volleyball und Fußball konnten ein halbes Jahr nach durchgeführter Operation wieder aufgenommen werden. Vor 2 Jahren kam es erneut zu einer langsam zunehmenden belastungsabhängigen Gonalgie mit einer Exazerbation in den vergangenen 6 Monaten. Die durchgeführte regelmäßige orale Schmerzmedikation mit nichtsteroidalen Antirheumatika erbrachte keinerlei Linderung. Aufgrund der zunehmenden Gonalgie reduzierte sich die Gehstrecke zunehmend.
In der klinischen Untersuchung des Kniegelenks nach 12 Jahren zeigten sich inspektorisch reizfreie Haut- und Narbenverhältnisse sowie eine gerade Beinachse. Der Bewegungsumfang des Kniegelenks zeigte ein Streck- und Beugedefizit von Extension/Flexion 0 – 10 – 100° aktiv und passiv. In der späteren Narkoseuntersuchung zeigte sich ein Bewegungsumfang von Extension/Flexion 0 – 10 – 130°. Das Gelenk war bandstabil ohne intraartikulären Erguss. Des Weiteren war das Zohlen-Zeichen positiv, und ein Druckschmerz konnte am medialen Gelenkspalt ausgelöst werden.
In der vorliegenden Bildgebung (Röntgenaufnahme Kniegelenk in 2 Ebenen) zeigte sich die regelrechte Implantatlage ohne Lockerungszeichen bei medialer Gonarthrose Grad 3 gemäß Kellgren-Lawrence (Abb. 2c). Aufgrund der zunehmenden Arthrose-assoziierten Beschwerden und radiologischen Arthrosemarker empfahlen wir eine offene Implantatentfernung und im Rahmen dessen eine diagnostische Kniearthroskopie und zweizeitig dann die Implantation einer Knieprothese. Es wurde ein zweizeitiges Vorgehen gewählt, da eine Studie zeigte, dass 22 (11 %) von insgesamt 203 Implantaten um Hüft- und Kniegelenke eine positive Sonikationskultur und eine signifikante bakterielle Besiedlung aufwiesen, obwohl keine offensichtlichen klinischen Symptome einer Entzündung vorlagen. Die häufigsten nachgewiesenen Bakterien waren Koagulase-negative Staphylokokken [11]. Des Weiteren hätte ein einzeitiges Vorgehen bedeutet, dass der Patient 3 Zugänge am Knie gehabt hätte: ein anteriorer für die Implantation der Knieendoprothese und zwei mediale, einer femoral und einer tibial, für die Explantation des KineSpring-Implantats, was das Weichteiltrauma bei einer Operation deutlich erhöht hätte.
Abb. 2
a Präoperative Aufnahmen in 2 Ebenen mit medialer Gonarthrose und deutlicher Verschmälerung des Gelenkspalts. b Postoperative Röntgenaufnahmen in 2 Ebenen nach Implantation des KineSpring-Systems (2012). c Präoperative Röntgenaufnahmen des Kniegelenks im Oktober 2024 vor der Implantatentfernung
Bild vergrößern

Diagnostische Kniearthroskopie und offene Implantatentfernung

Als erster Schritt erfolgte die diagnostische Kniearthroskopie. Intraartikulär zeigte sich eine ausgeprägte, ubiquitäre Synovitis und Metallose (Abb. 3b und c) ohne Anhalt einer Penetration der Gelenkkapsel oder intraartikulären Materiallage. Im medialen Gelenkkompartiment zeigte sich eine großflächige Chondropathie IIIc° (klassifiziert nach der International Cartilage Research Society [ICRS]) femoral und korrespondierend dazu tibial mit einer Fläche von 30 × 40 mm (Abb. 3a). Auch im lateralen tibiofemoralen Kompartiment ließ sich tibial eine Chondropathie IIIc° nach ICRS von 20 × 25 mm nachweisen. Passend zur fortgeschrittenen Chondropathie waren große osteophytäre Randanbauten der Femurkondylen medial und lateral sichtbar. Der noch vorhandene Innenmeniskus zeigte komplexe degenerative Veränderungen mit aufgefaserten Meniskusrändern und einer Aufweichung des Meniskusgewebes. Es wurden Biopsien zur histopathologischen Untersuchung entnommen. Anschließend wurde das Implantat offen durch jeweils zwei 3 cm lange, longitudinale Hautschnitte durch die alten Narben, je über dem femoralen und tibialen Anteil der Verankerung, vollständig entfernt. Auch hier zeigte sich eine ausgeprägte Metallose. Abb. 4a zeigt den Operationssitus mit noch vollständig einliegendem Implantat und deutlich sichtbarer Metallose des umgebenen Weichteilgewebes. Die histopathologische Untersuchung konnte deutliche Metallabriebpartikel im Gewebe nachweisen (Abb. 5). Nach Explantation des Systems wurde ein Bruch der gelenkübergreifenden Feder festgestellt (Abb. 4a), was in den präoperativen radiologischen Bildern nicht sicher identifiziert werden konnte.
Abb. 3
a Arthroskopisches Bild der fortgeschrittenen Chondropathie IIIc° nach ICRS im medialen tibiofemoralen Kompartiment. b Ausgeprägte Synovitis im Recessus lateralis. c Metallinduzierte Synovitis im Recessus suprapatellaris
Bild vergrößern
Abb. 4
a Implantatkomponenten nach Ausbau mit Bruch der gelenkübergreifenden Feder. b Operationssitus mit einliegender Basisplatte femoral und Metallose des Subkutangewebes. c Wundhöhle nach Entfernung des Implantats mit Metallose der Weichteile. Das Foto wurde mithilfe des Arthroskops aufgenommen und zeigt den Bereich im Weichteilgewebe, in dem die Feder lag
Bild vergrößern
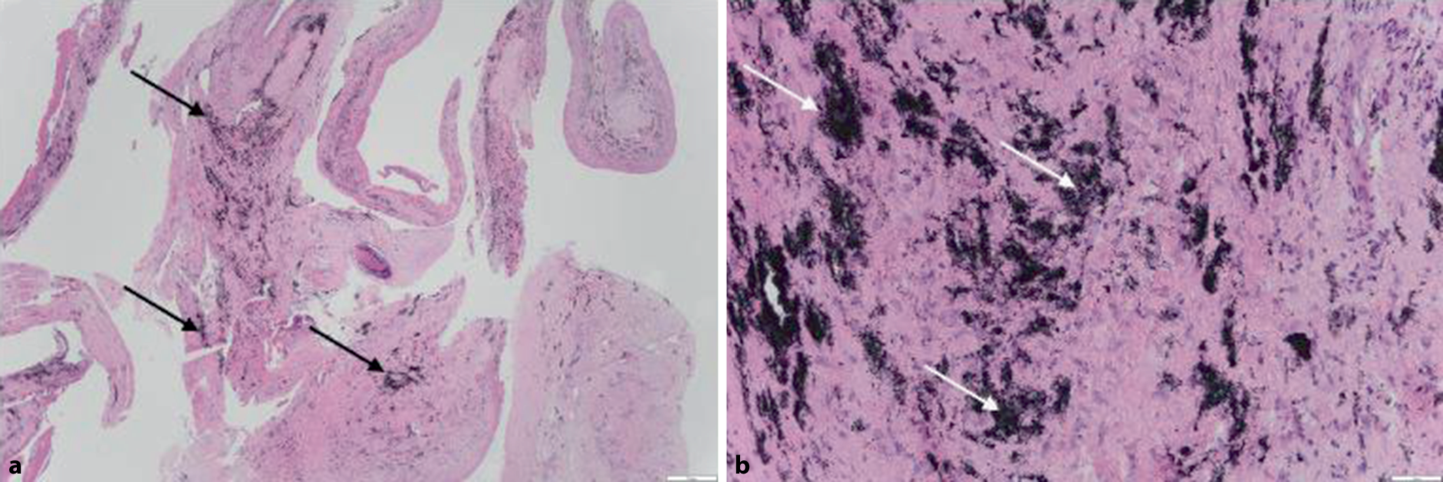
Abb. 5
a Das histologische Präparat (Vergr. 1:20) mit Hämatoxylin-Eosin-Färbung aus der Synovialbiopsie weist Metallabriebpartikel auf (schwarze Pfeile), die auf einen periprothetischen/periosteosynthetischen Infekt, vom abriebinduzierten Typ (Metallabrieb) mit chronischer Low-grade-Synovitis, hinweisen. b Dieser Teil der Abbildung zeigt eine vergrößerte Fotografie (1:100) mit Kennzeichnung der Abriebpartikel mit weißen Pfeilen
Bild vergrößern
Nach vollständiger Implantatentfernung zeigte sich das Kniegelenk weiterhin medial bandstabil. Die Wundheilung verlief per primam. Nach 6 Wochen erfolgte die Wiedervorstellung des Patienten zur Planung der Implantation einer Knieendoprothese.

Diskussion

Obwohl es eine Vielzahl von Behandlungen für die Gonarthrose gibt, kann bisher keine davon, trotz intensivster Forschungsbemühungen, ihr Fortschreiten wirksam verhindern. Eine im Jahr 2005 durchgeführte Tierstudie an Kaninchen war vielversprechend. Durch Distraktion des Kniegelenks mithilfe eines Fixateur externe konnte eine signifikante Knorpelregeneration erreicht werden, nachdem im Vorfeld mit einer oszillierenden Säge ein Knorpeldefekt an der gesamten Tibiagelenkfläche kreiert worden war [12]. Diesem Prinzip der Distraktion folgend, wurde ein Federsystem zur Entlastung des medialen tibiofemoralen Kompartiments entwickelt. In humanen biomechanischen Studien konnte eine mediale Gelenkentlastung von 14 ± 5 kg und im gesamten Knie von 9 ± 4 kg erreicht werden [7]. In vivo in einer Schafstudie wurde die sichere Anwendung nachgewiesen [13]. 2012 wurde das KineSpring-Implantat in Europa eingeführt. Die Indikation war eine schmerzhafte beginnende mediale Gonarthrose (bis Kellgren-Lawrence Grad 3) ohne große Osteophyten. Die Gonarthrose sollte konservativ austherapiert sein und der Patient aktiv ohne größere Beinachsenabweichung (Genu varum <10°; [9]). Faktoren wie Geschlecht, Alter, BMI und Krankheitsschwere haben keinen signifikanten Einfluss auf die klinischen Ergebnisse, was im Gegensatz zu vielen Studien zu Kniearthroplastiken steht [9]. Adipöse Patienten (BMI > 30) zeigten sogar größere klinische Verbesserungen in allen Fragebögen des Western Ontario and McMaster Universities Osteoarthritis Index (WOMAC) im Vergleich zu nichtadipösen Patienten. In einer Studie, welche die Ergebnisse von 99 Patienten nach im Mittel 17 Monaten (Spanne: 1,5 bis 48 Monate) von 3 prospektiven Studien zusammenfasste, wurde eine hochsignifikante Verbesserung des WOMAC-Fragebogens im Vergleich zum präoperativen Zustand festgestellt [9]. Anzumerken ist, dass diese Fallserien von der Entwicklungsgruppe des KineSpring durchgeführt wurden. Eine weitere prospektive Fallserie mit 53 Patienten zeigte signifikante Verbesserungen im Vergleich zu präoperativ im Knee Injury and Osteoarthritis Outcome Scores (KOOS), in den Schmerz- und Funktionsbereichen des WOMAC-Fragebogens, im Lysholm-Fragebogen, im International Knee Documentation Committee (IKDC) Fragebogen und im Knieschmerz-Fragebogen der visuellen Analogskala (VAS) 3, 6 und 12 Monate nach der Operation. Fünf von 53 Patienten wurden aufgrund von Komplikationen wie Infektionen oder anhaltenden Knieschmerzen erneut operiert [14]. In der Literatur gibt es auch 2 Fallberichte, die eine Explantation nach 1,5 bzw. 3 Jahren wegen einer wieder aufgetretenen medialen Gonalgie, radiologischer Lockerung des KineSpring-Implantats in einem Fall und einer Metallose intraartikulär und um das Implantat in einem anderen Fall beschrieben. In einem Fall war sogar die mediale Kapsel aufgerieben worden, womit das KineSpring-Implantat direkten Kontakt nach intraartikulär hatte und postoperativ eine erhöhte mediale Laxität vorhanden war [15, 16]. In unserem Fall berichtete der Patient über eine Verbesserung der Beschwerdesymptomatik über einen Zeitraum von 10 Jahren. Erst in den letzten 2 Jahren sei es zu einer progredienten Zunahme der belastungsabhängigen medialen Gonalgie gekommen, sodass er den Verfahrenswechsel auf eine Knieprothese wünschte. Die auch bei ihm intraoperativ deutlich erkennbare Synovitis und Metallose zeigt, wie auch schon in den beiden vorangegangenen Fallberichten, einige Risiken auf. Potenziell kann es zu erhöhten Chromionenwerten im Blutserum kommen [16].
Die Produktentwicklung blieb nicht beim KineSpring stehen. Um eine Metallose zu verhindern, wurden die metallene Feder und ihre metallene Einfassung durch Kunststoffe ersetzt. Die Einfassung der Feder in die tibiale und femorale Basisplatte wurde nun aus Polymeren hergestellt. Der Kopf der Feder besteht nun, anstatt aus Kobaltchrom, aus Karbonfasern, die mit Polyetheretherketonen (PEEK) verstärkt sind. Die Feder ist aus Polycarbonaturethanen. Diese neueste Entwicklung, MISHA, hat im Oktober 2023 die Zulassung der United States (US) Food and Drug Administration (FDA) erhalten (Abb. 6). In einer Publikation wurden die Ergebnisse von 3 klinisch-prospektiven Studien mit 171 Patienten zu den polymerbasierten Neuentwicklungen zusammengefasst [17]. Hier zeigte sich nach einem Nachuntersuchungszeitraum von im Mittel 3,2 + 1,6 Jahren ein Überleben des Implantats in 91 % der Patienten. Der WOMAC-Schmerzfragebogen reduzierte sich um 71 % im Vergleich zu präoperativ (von 58 ± 13 auf 16 ± 17 Punkte). Der WOMAC-Funktionsfragebogen reduzierte sich um 69 % im Vergleich zu präoperativ (von 56 ± 18 auf 17 ± 17 Punkte). Des Weiteren zeigte sich in einer prospektiven vergleichenden Studie, dass das MISHA-Implantat gegenüber einer historischen Patientenkohorte nach medial öffnender Tibiakopfosteotomie überlegen ist [18]. Eine Kosten-Effektivitäts-Analyse zeigte, dass das KineSpring-Implantat hoch kosteneffektiv ist und diesbezüglich der konservativen und anderen operativen Therapien (unikondyläre Knieprothese, Knie-TEP, Tibiakopfosteotomie) nach 5 Jahren (7327 €/„quality-adjusted life years“ [QALY], 9706 €/QALY, 10.467 €/QALY) und nach 10 Jahren (3402 €/QALY, 4899 €/QALY, 9996 €/QALY) überlegen ist [19].
Abb. 6
Das aktuelle Produkt von Moximed (MISHA; FDA-zugelassen) kommt ohne bewegliche Metall-auf-Metall-Verbindungen zwischen Basisplatten und Feder aus. Die Einfassung der Feder in die tibiale und femorale Basisplatte sind aus Polymeren. Der Kopf der Feder ist aus Karbonfasern, Polyetheretherketonen (PEEK), und die Feder aus Polycarbonaturethanen. (Mit freundlicher Genehmigung von Moximed Inc., Fremont, CA 94538 USA – alle Rechte vorbehalten)
Bild vergrößern
Im vorliegenden Fallbericht wurden neben der Explantation des KineSpring-Systems mit anschließender zweizeitiger Implantation einer Knieendoprothese auch alternative Vorgehensweisen erwogen. So hätte die gebrochene Feder ausgetauscht werden können. Alternativ wäre ein vollständiger Wechsel auf das neue MISHA-Implantat möglich gewesen, das auf bewegliche Metall-auf-Metall-Verbindungen verzichtet und stattdessen eine Kunststofffeder verwendet, um eine weitere Metallose zu verhindern. Der Wechsel der Feder oder des Komplettsystems wären vergleichsweise kleine operative Eingriffe gewesen, die dem Patienten eine risikoreichere zweite Operation, die Implantation der Knieendoprothese, womöglich für mehrere Jahre erspart hätte. Auf Grund der ausgeprägten Metallose intraartikulär und um das Implantat, der in den vorherigen Fallberichten gefundenen erhöhten systemischen Werte der Chromionen und der bereits in der Rosenberg-Aufnahme sichtbaren fortgeschrittenen medialen Gonarthrose entschieden wir uns dagegen. Des Weiteren wäre es zum momentanen Zeitpunkt aus rechtlichen Gründen bei momentan fehlendem Conformité-Européenne(CE)-Zertifikat nicht möglich gewesen.

Fazit für die Praxis

  • Der Ansatz eines minimal-invasiven, gelenkentlastenden Systems mit einer Feder ist weiterhin vielversprechend, wie dieser Langzeitfallbericht zeigt.
  • Der Patient war 10 Jahre deutlich schmerzgelindert mit einer guten Kniefunktion.
  • Der endoprothetische Gelenkersatz konnte über einen Zeitraum von 12 Jahren hinausgezögert werden.
  • Die Indikation ist insbesondere bei jüngeren Patienten mit einer leichten bis mittelschweren Gonarthrose gegeben.
  • Es handelt sich um eine minimal-invasive Operation, die es den Patienten ermöglicht, direkt postoperativ voll mit einer freien Beweglichkeit zu belasten.
  • Bei dem neusten Implantat (MISHA) bestehen die beweglichen Verbindungen zwischen Feder und Basisplatten als auch die Feder selbst aus Kunststoffen, um eine Metallose zu verhindern.

Einhaltung ethischer Richtlinien

Interessenkonflikt

C. Manthey, C. Stärke, M. Salzmann und S. Kopf geben an, dass kein Interessenkonflikt besteht.
Für diesen Beitrag wurden von den Autor/-innen keine Studien an Menschen oder Tieren durchgeführt. Für die aufgeführten Studien gelten die jeweils dort angegebenen ethischen Richtlinien. Für Bildmaterial oder anderweitige Angaben innerhalb des Manuskripts, über die Patient/-innen zu identifizieren sind, liegt von ihnen und/oder ihren gesetzlichen Vertretern/Vertreterinnen eine schriftliche Einwilligung vor.
Open Access Dieser Artikel wird unter der Creative Commons Namensnennung 4.0 International Lizenz veröffentlicht, welche die Nutzung, Vervielfältigung, Bearbeitung, Verbreitung und Wiedergabe in jeglichem Medium und Format erlaubt, sofern Sie den/die ursprünglichen Autor(en) und die Quelle ordnungsgemäß nennen, einen Link zur Creative Commons Lizenz beifügen und angeben, ob Änderungen vorgenommen wurden. Die in diesem Artikel enthaltenen Bilder und sonstiges Drittmaterial unterliegen ebenfalls der genannten Creative Commons Lizenz, sofern sich aus der Abbildungslegende nichts anderes ergibt. Sofern das betreffende Material nicht unter der genannten Creative Commons Lizenz steht und die betreffende Handlung nicht nach gesetzlichen Vorschriften erlaubt ist, ist für die oben aufgeführten Weiterverwendungen des Materials die Einwilligung des jeweiligen Rechteinhabers einzuholen. Weitere Details zur Lizenz entnehmen Sie bitte der Lizenzinformation auf http://​creativecommons.​org/​licenses/​by/​4.​0/​deed.​de.

Hinweis des Verlags

Der Verlag bleibt in Hinblick auf geografische Zuordnungen und Gebietsbezeichnungen in veröffentlichten Karten und Institutsadressen neutral.

Unsere Produktempfehlungen

Arthroskopie und Gelenkchirurgie

Print-Titel

Umfassende Reviews zu aktuellen arthroskopischen Fragestellungen sowie Tipps und Tricks zur endoskopischen Untersuchung und Chirurgie der Gelenke


e.Med Interdisziplinär

Kombi-Abonnement

Für Ihren Erfolg in Klinik und Praxis - Die beste Hilfe in Ihrem Arbeitsalltag

Mit e.Med Interdisziplinär erhalten Sie Zugang zu allen CME-Fortbildungen und Fachzeitschriften auf SpringerMedizin.de.

e.Med Orthopädie & Unfallchirurgie

Kombi-Abonnement

Mit e.Med Orthopädie & Unfallchirurgie erhalten Sie Zugang zu CME-Fortbildungen der Fachgebiete, den Premium-Inhalten der dazugehörigen Fachzeitschriften, inklusive einer gedruckten Zeitschrift Ihrer Wahl.

download
DOWNLOAD
print
DRUCKEN
Titel
Langzeitfolgen nach Implantation eines KineSpring-Implantats
Entlastung oder Belastung
Verfasst von
Cathrin Manthey
Christian Stärke
Mikhail Salzmann
Sebastian Kopf
Publikationsdatum
10.06.2025
Verlag
Springer Medizin
Erschienen in
Arthroskopie / Ausgabe 4/2025
Print ISSN: 0933-7946
Elektronische ISSN: 1434-3924
DOI
https://doi.org/10.1007/s00142-025-00781-3
1.
Zurück zum Zitat Aggarwal VK, Goyal N, Deirmengian G, Rangavajulla A, Parvizi J, Austin MS (2014) Revision total knee arthroplasty in the young patient: Is there trouble on the horizon? J Bone Joint Surg 96(7):536–542. https://​doi.​org/​10.​2106/​jbjs.​m.​00131CrossRefPubMed
2.
Zurück zum Zitat ALDEGHERI R, TRIVELLA G, SALEH M (1994) Articulated distraction of the hip conservative surgery for arthritis in young patients. Clin Orthop Relat Res 301:94–101. https://​doi.​org/​10.​1097/​00003086-199404000-00016CrossRef
3.
Zurück zum Zitat Bourget-Murray J, Piroozfar S, Smith C, Ellison J, Bansal R, Sharma R, Evaniew N, Johnson A, Powell JN (2023) Annual incidence and assessment of risk factors for early-onset deep surgical site infection following primary total knee arthroplasty in osteoarthritis. Bone Joint J 105-B((9):971–976. https://​doi.​org/​10.​1302/​0301-620x.​105b9.​bjj-2022-1293.​r1CrossRefPubMed
4.
Zurück zum Zitat Hasenauer MD, Ho H, Engh CA, Engh CA (2022) Factors associated with the incidence and timing of total knee arthroplasty infection. J Arthroplasty 37(6):276–2803. https://​doi.​org/​10.​1016/​j.​arth.​2022.​02.​034CrossRef
5.
Zurück zum Zitat Price AJ, Alvand A, Troelsen A, Katz JN, Hooper G, Gray A, Carr A, Beard D (2018) Knee replacement. Lancet 392(10158):1672–1682. https://​doi.​org/​10.​1016/​s0140-6736(18)32344-4CrossRefPubMed
6.
Zurück zum Zitat Valburg AAV, Roermund PMV, Marijnissen ACA, Wenting MJG, Verbout AJ, Lafeber FPJG, Bijlsma JWJ (2000) Joint distraction in treatment of osteoarthritis (II): effects on cartilage in a canine model. Osteoarthr Cartil 8(1):1–8. https://​doi.​org/​10.​1053/​joca.​1999.​0263CrossRef
7.
Zurück zum Zitat Clifford A, O’Connell M, Gabriel S, Miller LE, Block JE (2010) The KineSpring load absorber implant: rationale, design and biomechanical characterization. J Med Eng Technol 35(1):65–71. https://​doi.​org/​10.​3109/​03091902.​2010.​535592CrossRef
8.
Zurück zum Zitat Hayes DA, Waller CS, Li CS, Vannabouathong C, Sprague S, Bhandari M (2015) Safety and feasibility of a KineSpring knee system for the treatment of osteoarthritis: A case series. Clin Med Insights Arthritis Musculoskelet Disord 8:47–54. https://​doi.​org/​10.​4137/​cmamd.​s24423CrossRefPubMedPubMedCentral
9.
Zurück zum Zitat London NJ, Smith J, Miller LE, Block JE (2013) Midterm outcomes and predictors of clinical success with the KineSpring knee implant system. Clin Med Insights Arthritis Musculoskelet Disord 6:19–28. https://​doi.​org/​10.​4137/​cmamd.​s11768CrossRefPubMedPubMedCentral
10.
Zurück zum Zitat Maier GS, Maus U, Horas K, Hartmann F, Lazovic D (2018) A case report of the successful conversion of one of the longest standing KineSpring joint unloading systems. JOCR 8(4):41–44. https://​doi.​org/​10.​13107/​jocr.​2250-0685.​1152CrossRefPubMedPubMedCentral
11.
Zurück zum Zitat Fuchs M, Kinzel S, Gwinner C, Perka C, Renz N, v. Roth P (2019) Clinically asymptomatic patients show a high bacterial colonization rate of osteosynthetic implants around the knee but not the hip. J Arthroplasty 34(8):1761–1766. https://​doi.​org/​10.​1016/​j.​arth.​2019.​03.​058CrossRefPubMed
12.
Zurück zum Zitat Yanai T, Ishii T, Chang F, Ochiai N (2005) Repair of large full-thickness articular cartilage defects in the rabbit. Bone Joint J 87-B(5):721–729. https://​doi.​org/​10.​1302/​0301-620x.​87b5.​15542CrossRef
13.
Zurück zum Zitat Allen MJ, Townsend KL, Bauer TW, Gabriel SM, O’Connell M, Clifford A (2012) Evaluation of the safety of a novel knee load-bypassing device in a sheep model. J Bone Joint Surg 94(1):77–84. https://​doi.​org/​10.​2106/​jbjs.​j.​00918CrossRefPubMed
14.
Zurück zum Zitat Madonna V, Condello V, Piovan G, Screpis D, Zorzi C (2016) Use of the Kine-Spring system in the treatment of medial knee osteoarthritis: preliminary results. Joints 3(3):129–135. https://​doi.​org/​10.​11138/​jts/​2015.​3.​3.​129CrossRefPubMedPubMedCentral
15.
Zurück zum Zitat Citak M, Kendoff D, O’Loughlin PF, Klatte TO, Gebauer M, Gehrke T, Haasper C (2013) Failed joint unloading implant system in the treatment of medial knee osteoarthritis. Arch Orthop Trauma Surg 133(11):1575–1578. https://​doi.​org/​10.​1007/​s00402-013-1830-6CrossRefPubMed
16.
Zurück zum Zitat Schüttler KF, Roessler M, Fuchs-Winkelmann S, Efe T, Heyse TJ (2015) Failure of a knee joint load absorber: Pain, metallosis and soft tissue damage. Hss J 11(2):172–176. https://​doi.​org/​10.​1007/​s11420-015-9436-xCrossRefPubMedPubMedCentral
17.
Zurück zum Zitat Gomoll AH, Diduch DR, Flanigan DC, Ranawat AS, Slynarski K, Walawski J, Crawford DC (2023) An implantable shock absorber yields an 85 % survival—from arthroplasty rate through 5 years in working-age patients with medial compartment knee osteoarthritis. Knee Surg Sports Traumatol Arthrosc 31(8):3307–3315. https://​doi.​org/​10.​1007/​s00167-023-07373-4CrossRefPubMed
18.
Zurück zum Zitat Diduch DR, Crawford DC, Ranawat AS, Victor J, Flanigan DC (2023) Implantable shock absorber provides superior pain relief and functional improvement compared with high tibial osteotomy in patients with mild-to-moderate medial knee osteoarthritis: A 2-year report. CARTILAGE 14(2):152–163. https://​doi.​org/​10.​1177/​1947603523115733​5CrossRefPubMedPubMedCentral
19.
Zurück zum Zitat Li CS, Seeger T, Auhuber TC, Bhandari M (2013) Cost-effectiveness and economic impact of the KineSpring® knee implant system in the treatment for knee osteoarthritis. Knee Surg Sports Traumatol Arthrosc 21(11):2629–2637. https://​doi.​org/​10.​1007/​s00167-013-2427-xCrossRefPubMed

Arthropedia

Grundlagenwissen der Arthroskopie und Gelenkchirurgie erweitert durch Fallbeispiele, Videos und Abbildungen. Zur Fortbildung und Wissenserweiterung, verfasst und geprüft von Expertinnen und Experten der Gesellschaft für Arthroskopie und Gelenkchirurgie (AGA).


Jetzt entdecken!

Neu im Fachgebiet Orthopädie und Unfallchirurgie

Zwei auf einen Streich: Wie sicher ist der simultane bilaterale Gelenkersatz?

Ein französisch-belgisches Team hat Komplikationsrisiko und Transfusionsraten nach simultanem bilateralem Hüft- bzw. Kniegelenkersatz in mehr als 280 Fällen untersucht. Die Ergebnisse sind vielversprechend, vor allem beim beidseitigen Teilersatz des Kniegelenks.

Gelenkinfektion: Datenlage spricht für frühen Wechsel auf orales Antibiotikum

Im Fall einer periprothetischen Gelenkinfektion kann die antibiotische Behandlung wohl frühzeitig von intravenös auf oral umgestellt werden, ohne dass der Therapieerfolg darunter leidet. Das zeigen die Ergebnisse einer neuen Metaanalyse.

Sjögren-Frühdiagnose künftig über Autoantikörper im Speichel?

Forschende haben bei Menschen mit vermeintlichem Non-Sjögren-Sicca-Syndrom typische Sjögren-Autoantikörper im Speichel gefunden und damit womöglich einen frühen Phänotyp der Erkrankung entdeckt.

Neue Therapieoption mit Navepegritid für Kinder mit Achondroplasie

In einer placebokontrollierten Phase-2b-Studie steigerte Navepegritid die Wachstumsgeschwindigkeit von Kindern mit Achondroplasie gegenüber Placebo und verbesserte sowohl Beinachsen als auch Körperproportionen. Die Behandlung erwies sich als gut verträglich und brachte zudem Vorteile für die Lebensqualität.

Update Orthopädie und Unfallchirurgie

Bestellen Sie unseren Fach-Newsletter und bleiben Sie gut informiert.

Bildnachweise
Arthropedia, Knochensäge im Einsatz bei Knie-TEP/© Issara / stock.adobe.com (Symbolbild mit Fotomodellen), Älterer Mann schaut kritisch auf Tabletten/© Mediteraneo / stock.adobe.com (Symbolbild mit Fotomodell), Speicheldrüsensonographie der Glandula parotis links bei Sjögren-Syndrom/© Zehrfeld N. et al. / all rights reserved Springer Medizin Verlag GmbH