Zum Inhalt

Vaskulitis der Retina

Klinik, Diagnostik, Management und Therapie

Erschienen in:

Zusammenfassung

Entzündliche Veränderungen der Netzhautgefäße können auf ein breites Spektrum von Ursachen zurückgeführt werden. Dazu zählen Infektionen, intraokulare und systemische Autoimmunprozesse, Allgemeinerkrankungen sowie iatrogene Faktoren. Da das Endothel der Retinakapillaren die innere Blut-Retina-Schranke bildet, ist eine Störung dieser Struktur unmittelbar mit Konsequenzen für den Flüssigkeitselektrolythaushalt der Netzhaut verbunden. Als klinische Folgen können sich Leckagen der Netzhautgefäße und Makulaödem einstellen, die oft funktionell bedrohlich sind und die Lebensqualität der Patienten bedeutend einschränken. Da das Auge als „Indexorgan“ betroffen sein kann, kommt der Abklärung des Patienten durch den Ophthalmologen eine wichtige Bedeutung zu. Im Zeitalter der „Präzisionsmedizin“ bestehen Anstrengungen, neue Erkenntnisse über die pathogenetischen Mechanismen der Vaskulitis durch „‑Omics“ zu erlangen, um innovative Behandlungskonzepte zu entwickeln.

Wissenschaftliche Leitung

Franz Grehn, Würzburg
Horst Helbig, Regensburg
Wolf A. Lagrèze, Freiburg
Uwe Pleyer, Berlin
Berthold Seitz, Homburg/Saar
QR-Code scannen & Beitrag online lesen

Hinweis des Verlags

Der Verlag bleibt in Hinblick auf geografische Zuordnungen und Gebietsbezeichnungen in veröffentlichten Karten und Institutsadressen neutral.

Lernziele

Nach der Lektüre dieses Beitrags …
  • sind Ihnen die pathophysiologischen Grundlagen der retinalen Vaskulitis bekannt,
  • wissen Sie um die wichtige Unterscheidung in eine infektiöse und nichtinfektiöse Genese bei Vaskulitis der Retina,
  • erkennen Sie die klinischen Zeichen der retinalen Vaskulitis und können die diagnostischen Maßnahmen einleiten,
  • können Sie die bildgebenden Verfahren und deren Wertigkeit einschätzen,
  • kennen Sie die möglichen assoziierten Systemerkrankungen und entsprechenden Überweisungsstrategien,
  • sind Sie mit den Grundzügen zur Behandlung der retinalen Vaskulitis und mit deren Besonderheiten vertraut.

Einleitung

Eine adäquate Perfusion der Netzhaut ist aufgrund ihrer hohen Stoffwechselaktivität von entscheidender Bedeutung. Jede Beeinträchtigung der Oxygenierung – z. B. aufgrund einer Vaskulitis – kann daher schwerwiegende Komplikationen nach sich ziehen. Zu den Veränderungen infolge einer retinalen Vaskulitis gehören Gefäßeinscheidungen, Exsudation, Gefäßverschluss mit kapillärer Nonperfusion, präretinale Blutung und Neovaskularisation. Bei weiterer Progression kann über ein Makulaödem, Untergang (Apoptose) retinaler Nervenfasern bis hin zur Glaskörperblutung und zur traktionsbedingten Amotio retinae ein Sehverlust eintreten.

Hintergrund

Der Begriff „Vaskulitis“ wurde 1866 erstmals von Kussmaul anhand histopathologischer Untersuchungen eines Patienten mit Polyarteriitis nodosa geprägt. Fauci [1] hat 1978 damit begonnen, diese histologischen Befunde mit dem Gefäßkaliber und systemischen Vaskulitiden zusammenzuführen und anschließend in mehreren Chapel Hill Consensus Conferences eine international akzeptierte Klassifikation etabliert [2]. Die letzte Überarbeitung dieser Einteilung hat einige Neuerungen erbracht, die v. a. bildgebende Verfahren stärker bei den Definitionskriterien einbeziehen. Interessanterweise werden dabei Gefäßveränderungen des Auges kaum berücksichtigt [3]. Dies kann darauf zurückgeführt werden, dass Gewebeproben lediglich an großen Gefäßen (A.-temporalis-Biopsie), aber nicht an retinalen Gefäßen gewonnen werden können. Die mittelgroßen Gefäße des Auges (anteriore und posteriore Ziliararterien) sind überwiegend bei Skleritis und peripherer ulzerierender Keratitis betroffen und verursachen häufig nekrotisierende Prozesse mit hoher Mortalität [4]. Die Vaskulitis der Retina betrifft dagegen kleine Gefäße. Interessanterweise bezieht die Entzündung großer wie auch mittelgroßer Gefäße des Auges nur sehr selten die Gefäße der Retina mit ein. Andererseits ist die Differenzierung/Trennung zwischen Vaskul„itis“ und Vaskulo„pathie“ unscharf. So sind z. B. Gefäßleckagen in der Angiographie auch bei der diabetischen Retinopathie oder bei retinalen Gefäßverschlüssen zu beobachten.
Die Anatomie des Auges ermöglicht eine unmittelbare klinische Untersuchung und Beurteilung struktureller Veränderungen der Retinagefäße. Entscheidende Bedeutung kommt der Darstellung und Beurteilung des retinalen und choroidalen Gefäßsystems mittels Fluoreszenzangiographie (FAG) und Indocyaningrünangiographie (ICGA) zu. Ergänzende Informationen können durch die optische Kohärenztomographie (OCT) und OCT-Angiographie (OCT-A) gewonnen werden [5].
Bisher existiert keine allgemein anerkannte Klassifikation der Vaskulitis der Retina. Zur Einteilung wird daher entweder die Ätiologie (infektiös vs. nichtinfektiös), das Kaliber betroffener Gefäße (Erkrankung großer, mittlerer oder kleiner Gefäße) oder das klinische Bild (okklusive oder nichtokklusive Vaskulitis) herangezogen. Eine Übersicht der Ätiologien bieten Tab. 1 und 2.
Tab. 1
Nichtinfektiöse retinale Vaskulitiden
Systemische Erkrankungen
Antiphospholipidsyndrom
Cogan-Syndrom
Colitis ulcerosa
Dermatomyositis
Eosinophile Granulomatose mit Polyangiitis (EGPA)
Granulomatose mit Polyangiitis (GPA)
HLA-B27-assoziierte Uveitis
Mikroskopische Polyangiitis
Morbus Behçet
Morbus Crohn
Multiple Sklerose (MS)
Sarkoidose
Susac-Syndrom
Systemischer Lupus erythematodes (SLE)
Polyarteriitis nodosa (PAN)
Polychondritis
Polymyositis
Rheumatoide Arthritis
Riesenzellarteriitis
Sjögren-Syndrom
Takayasu-Arteriitis
Thromboangiitis obliterans
Vogt-Koyanagi-Harada-Syndrom (VKH)
Okuläre Erkrankungen
Akute multifokale hämorrhagische retinale Vaskulitis
Akute retinale Nekrose
Akute posteriore multifokale plakoide Pigmentepitheliopathie (APMPPE)
Birdshot-Chorioretinopathie (BSCR)
Frosted-Branch-Angiitis
„Idiopathic retinal vasculitis, aneurysms, and neuroretinitis“(IRVAN)-Syndrom
Morbus Eales
Multifokale Choroiditis mit Panuveitis
Pars planitis
Serpiginöse Chorioretinitis
Sympathische Ophthalmie
„Tubulo interstitial nephritis with uveitis“ (TINU)
Medikamenten-/wirkstoffinduzierte Vaskulitis
Intraokulare Medikamenteneingabe (z. B. Anti-VEGF)
Postvakzinal
Systemische Therapien (z. B. Checkpointinhibitoren)
Malignome
Akute Leukämie
Lymphome
Paraneoplastisch
HLA humanes Leukozytenantigen, VEGF „vascular endothelial growth factor“
Tab. 2
Infektiöse retinale Vaskulitiden
Bakterien
Borreliose (Borellia burgdorferi)
Brucellose
Endophthalmitis
Katzenkratzkrankheit (Bartonella henselae)
Leptospirose
Morbus Whipple (Tropheryma whipplei)
Post-Streptokokken-Syndrom
Rickettsiose (Rocky-Mountain-/mediterranes Fleckfieber)
Syphilis
Tuberkulose
Viren
Chikungunya-Virus
Zytomegalievirus (CMV)
Dengue-Virus
Ebola-Virus
Epstein-Barr-Virus (EBV)
Hepatitis
Herpes-simplex-Virus (HSV)
Humanes Immundefizienzvirus (HIV)
Humanes T‑Zell-Lymphomvirus Typ 1
Kawasaki-Syndrom
Rifttalfieber-Phleboviren
Varizella-Zoster-Virus (VZV)
West-Nil-Virus
Zikavirus
Pilze
Aspergillose
Candidiasis
Kokzidioidomykose
Nematoden
Diffuse unilaterale subakute Neuroretinitis (DUSN)
Protozoen
Toxoplasmose
In diesem CME-Beitrag wird die Unterscheidung nach der Ätiologie in
  • Vaskulitis der Retina bei Systemerkrankung,
  • isolierte, nichtinfektiöse Vaskulitis der Retina,
  • Vaskulitis der Retina durch Infektionserreger sowie
  • iatrogen ausgelöste Gefäßentzündung der Retina
vorgenommen.

Pathogenese

Die Pathogenese der Vaskulitis der Retina ist bisher nicht geklärt. Bei einer Reihe von Erkrankungen wird eine Kombination aus genetischer Prädisposition und exogenen Faktoren vermutet. Gene des Haupthistokompatibilitätskomplexes (MHC) spielen eine wichtige Rolle bei der Immunantwort. MHC-Klasse-I-spezifische Allele korrelieren stark z. B. mit Birdshot-Chorioretinopathie (BSCR) (HLA[humanes Leukozytenantigen]-A*29) oder der Behçet-Krankheit (HLA-B*51). MHC-Klasse-II-spezifische Allele werden mit weiteren systemischen Erkrankungen wie Sarkoidose (HLA-DQB1) und Vogt-Koyanagi-Harada(VKH)-Syndrom (HLA-DRB1) in Verbindung gebracht [6]. Diese Korrelationen können helfen, die Erkrankungen immunogenetisch zu klassifizieren. Weitere Studien – einschließlich genomweiter Assoziationsstudien – haben zusätzlich prädisponierende Gene identifiziert. So wurde z. B. die Assoziation der Interleukin(IL)-23R-Region bei vielen Formen der nichtinfektiösen Uveitis wie der Behçet-Krankheit, der okulären Sarkoidose und des VKH-Syndroms identifiziert. Der IL-23-Rezeptor wird auf der Zelloberfläche von T‑Helfer(TH)-17-Zellen exprimiert, die wiederum proinflammatorisches Zytokin IL-17 sekretieren. Es liegen somit Hinweise vor, dass eine TH17-Immunantwort ein gemeinsamer Schlüssel in der Pathogenese der Uveitis sein könnte.
Die Abb. 1 bietet einen Überblick über die pathologischen Prozesse im Rahmen der retinalen Vaskulitis mit einzelnen Mediatoren und „Omics“-Biomarkern, die zukünftig diagnostische und therapeutische Rollen einnehmen könnten.
Abb. 1
Vereinfachte Darstellung der sequenziellen Abfolge der Entzündung mit wichtigen Mediatoren und Biomarkern bei Vaskulitis. Die Phasen überschneiden sich häufig. BRS Blut-Retina-Schranke, ICAM „intercellular adhesion molecule“, IL Interleukin, JAK Januskinase, LT Leukotrien, MAPK „mitogen-activated protein kinase“, MCP „monocyte chemoattractant protein“, MPO Myeloperoxidase, NE neutrophile Elastase, NETs „neutrophil extracellular traps“, STAT „signal transducer and activator of transcription proteins“, Th T-Helferzellen, VCAM „vascular cell adhesion protein“
Bild vergrößern

Diagnostisches Vorgehen

Aufgrund der vielfältigen Ätiologien der Vaskulitis muss eine umfassende und gleichzeitig zielgerichtete Diagnostik erfolgen. Wie bei der Uveitisdiagnostik stützt sich diese auf Anamnese, ophthalmologische Befunde einschließlich multimodaler Bildgebung und ergänzende Maßnahmen (Labordiagnostik, interdisziplinäre Abklärung).
Die Anamnese bezieht sich einerseits auf die aktuellen Beschwerden der Patienten und andererseits auf allgemeinere Auskünfte wie Berufs‑, Familien- und Reiseanamnese. Die Symptome der Patienten variieren stark je nach Ausprägung der Vaskulitis. So kann eine periphere Vaskulitis mit milden Befunden völlig asymptomatisch verlaufen, wohingegen die zentrale, okklusive Vaskulitis rasch bis zum Visusverlust führen kann. Die Patienten berichten überwiegend über Sehminderung, verschwommenes Sehen, Schlieren, Skotome und/oder Photopsien. Neben dem Symptombeginn (plötzlich, schleichend) sollten der Verlauf (monophasisch, rezidivierend) und ggf. die Dauer erfasst werden (akut oder chronisch > 3 Monate). Neben den okulären Symptomen sollten systemische Beschwerden wie neurologische Beteiligung (Taubheitsempfinden, Schwindel, Hörminderung) gastrointestinale Beschwerden, Hautläsionen (Aphthen, Erythema nodosum, Erythema migrans) oder eine B‑Symptomatik aktiv erfragt werden.
Die ophthalmologische Untersuchung beinhaltet neben der Visusprüfung und Augeninnendruckmessung die Untersuchung an der Spaltlampe. Im vorderen Augenabschnitt können ggf. assoziierte Befunde mit intraokularem Reizzustand, (Hornhautendothelpräzipitate, Granulome, Irisveränderungen) bei Panuveitis oder Skleritis auffallen. In der Fundoskopie können sich Glaskörperveränderungen wie „vitreous haze“ (Sichtbarkeit des hinteren Segments), „Snowballs“, Blutungen oder retinale sowie choroidale Läsionen darstellen. Klinisch wegweisend für die retinale Vaskulitis sind eine Erweiterung der Gefäße, Gefäßeinscheidungen, perivaskuläre Infiltrate, präretinale Blutungen, Exsudation oder Neovaskularisationen (Abb. 2). Die Tab. 3 präsentiert spezifische Fundusbefunde als differenzialdiagnostische Hinweise [7].
Abb. 2
Die Frosted-Branch-Angiitis tritt meistens idiopathisch auf. Trotzdem sollte eine Abklärung bezüglich eines Masquerade-Syndroms, systemischer Infektionen oder Autoimmunerkrankungen erfolgen (s. Tab. 3). a Fundusbild mit ausgeprägten panvaskulären weißlichen Gefäßeinscheidungen sowie retinaler Hämorrhagie. b Panvaskuläre Gefäßleckage in der Fluoreszenzangiographie
Bild vergrößern
Tab. 3
Fundusbefunde als differenzialdiagnostische Hinweise. (Mod. nach Abu El-Asrar, 2009 [7])
Befund
Häufige Differenzialdiagnosen
Arteriitis
Akute Netzhautnekrose (ARN), eosinophile Granulomatose mit Polyangiitis (EGPA), idiopathische retinale Vaskulitis, Aneurysma und Neuroretinitis (IRVAN), Polyarteriitis nodosa (PAN), progressive äußere Netzhautnekrose (PORN), systemischer Lupus erythematodes (SLE), Syphilis, Susac-Syndrom
Phlebitis
Birdshot-Chorioretinitis (BSCR), intermediäre Uveitis, Morbus Eales, multiple Sklerose, Sarkoidose, Tuberkulose
Panvaskulitis
Granulomatose mit Polyangiitis (GPA), Morbus Behçet, Morbus Crohn, okuläre Toxoplasmose, rezidivierende Polychondritis
Frosted-Branch-Angiitis
Epstein-Barr-Virus, Herpes-simplex-Virus, HIV(humanes Immundefizienzvirus)-Infektion, idiopathisch, Infiltration maligner Zellen (Lymphom/Leukämie), Morbus Crohn, okuläre Toxoplasmose, systemischer Lupus erythematodes (SLE)
Entzündlicher Venenastverschluss
Morbus Behçet, Sarkoidose (selten), Tuberkulose
Entzündlicher Arterienastverschluss
Katzenkratzkrankheit (Bartonella henselae), eosinophile Granulomatose mit Polyangiitis (EGPA), Granulomatose mit Polyangiitis (GPA), Morbus Crohn, okuläre Toxoplasmose, Polyarteriitis nodosa (PAN), Susac-Syndrom, systemischer Lupus erythematodes (SLE)
Retinale Ischämie
Morbus Behçet, Morbus Eales, multiple Sklerose (selten), Sarkoidose (selten), Tuberkulose
Retinale Nekrose
Akute Netzhautnekrose (ARN), okuläre Toxoplasmose, progressive äußere Netzhautnekrose (PORN), Zytomegalievirus-Retinitis
Intraretinale Infiltrate
Katzenkratzkrankheit (Bartonella henselae), Morbus Behçet, okuläre Toxoplasmose, Rickettsiose
Aneurysmatische Veränderungen
Idiopathische retinale Vaskulitis, Aneurysma und Neuroretinitis (IRVAN), Sarkoidose
Die multimodale Bildgebung dient der detaillierteren Einschätzung der Entzündung. In der FAG können sich Gefäßleckagen, die segmental oder diffus auftreten können, sowie okklusive Veränderungen darstellen. Außerdem können klassische Komplikationen wie Makula‑/Papillenödem, Ischämien oder retinale/choroidale Neovaskularisationen detektiert werden. Die ICGA kann durch die Darstellung der Aderhautgefäße weitere wegweisende Befunde bezüglich der Ätiologie bieten. In der OCT‑A lassen sich perivaskuläre Verdickungen im Bereich der Leckage sowie ggf. Minderperfusion und Neovaskularisationsmembranen detektieren.
Zur Abgrenzung der Differenzialdiagnosen bei retinaler Vaskulitis ist neben der gezielten Anamnese und den ophthalmologischen Befunden eine weiterführende Labordiagnostik indiziert. Diese ist möglichst durchzuführen, bevor eine antiinflammatorische Therapie beispielsweise mit Steroiden eingesetzt wird. Zusätzlich verfälschen Steroide zahlreiche Laborparameter und die klinischen Befunde bei Systemerkrankungen. Neben dem Basislabor (Differenzialblutbild, Elektrolyte, Nieren‑/Leberfunktionswerte, CRP [C-reaktives Protein]/BSG [Blutkörperchensenkungsgeschwindigkeit], Lues‑/Borrelienserologie) können folgende Laborparameter bei Verdacht wegweisend sein: ACE („angiotensin converting enzyme“), sIL-2R (löslicher Interleukin-2-Rezeptor) (Sarkoidose), Quantiferon-Test (Tuberkulose), ANA (antinukleäre Antikörper), ANCA (antineutrophile zytoplasmatische Antikörper), dsDNA (doppelsträngige Desoxyribonukleinsäure) (Systemvaskulitis, Kollagenosen), HLA-B51 (Behçet) und HLA-A29 (BSCR).
Initial ist der Ausschluss einer infektiösen Genese bei Vaskulitis der Retina von großer Bedeutung. Zur Abklärung einer herpetischen Retinitis mit retinaler Vaskulitis hat sich die intraokulare Diagnostik mit Erregernachweis etabliert (Vorderkammerpunktion/diagnostische Vitrektomie). Dies hat sich auch zur Abgrenzung eines Masquerade-Syndroms wie dem primären vitreoretinalen Lymphom durch die Bestimmung des IL-10/IL-6-Quotienten sowie der Zytologie bewährt. Im Weiteren können Bildgebung wie Röntgen/Computertomographie des Thorax (Sarkoidose/Tuberkulose) oder eine kraniale Magnetresonanztomographie (MRT) (u. a. multiple Sklerose, Neurosarkoidose, Susac-Syndrom, Neuro-Behçet) indiziert sein.
Cave
Vor Beginn einer immunsuppressiven Therapie ist der Ausschluss einer infektiösen Genese der retinalen Vaskulitis obligat.

Therapie

Die akute Therapie der nichtinfektiösen Vaskulitis umfasst systemische und intravitreale Kortikosteroide je nach Augenbeteiligung und Nebenwirkungsprofil. Bei chronischer Manifestation sollte eine immunsuppressive Therapie erwogen werden mittels konventioneller „disease-modifying anti-rheumatic drugs“ (cDMARDs) oder biologischer DMARDs (bDMARDs). Die Vaskulitis im Rahmen einer Infektionskrankheit wird entsprechend dem Erreger antiviral oder antibiotisch behandelt. Neben der medikamentösen Therapie sollte bei retinalen Ischämien gemäß der Fluoreszenzangiographie eine retinale Laserkoagulation erfolgen (Abb. 3). Details zu einzelnen Krankheitsbildern sind in den folgenden Abschnitten zu finden.
Abb. 3
Fluoreszenzangiographie zur Darstellung des Entzündungsrückgangs nach Laserkoagulation ischämischer Netzhautareale bei retinaler Vaskulitis. a Angiographie unter systemischer Therapie mit Methotrexat und Adalimumab. b Angiographie unter systemischer Therapie mit Methotrexat und Adalimumab nach retinaler Laserkoagulation
Bild vergrößern
Merke
Bei Patienten mit einer nichtinfektiösen retinalen Vaskulitis ist analog zur nichtinfektiösen Uveitis intermedia oder posterior eine immunsuppressive Therapie mit cDMARDs oder bDMARDs zu erwägen.

Vaskulitis der Retina bei Systemerkrankung

Morbus Behçet

Der Morbus Behçet (MB) ist eine systemische Vaskulitis, die nach der Chapel-Hill-Nomenklatur unterschiedliche Gefäßkaliber betrifft. Dies schließt die Retinagefäße ein und birgt bei unbehandelten, okklusiven Gefäßveränderungen ein hohes Erblindungsrisiko (Abb. 4). Zu den Diagnosekriterien und klinischen Erscheinungen zählen orale Aphthen, genitale Ulzera, positiver Pathergietest und entzündliche Augenbeteiligung. Gefürchtet ist die Beteiligung des zentralen Nervensystems (ZNS) (Neuro-Behçet). Lebensbedrohliche Komplikationen sind thromboembolische Manifestationen, die Lunge, Herz und Darm betreffen können. Daher sind frühzeitiges Erkennen des MB und eine adäquate immunmodulatorische Behandlung wichtig [8].
Abb. 4
a Fundusbild einer okklusiven Vaskulitis bei Morbus Behçet mit beginnender Optikusneuropathie. b Darstellung eines Aneurysmas der A. poplitea in der digitalen Subtraktionsangiographie (oben) und Magnetresonanztomographie (MRT) eines Patienten mit Neuro-Behçet mit Manifestation der parenchymatösen Entzündung (T2-hyperintense Läsionen) im Hirnstamm (unten)
Bild vergrößern
Die Augenbeteiligung ist oft der erste und schwerwiegendste klinische Befund. Sowohl die venöse als auch die arterielle Blutversorgung der Retina können betroffen sein [9]. Bei bis zu einem Drittel der Patienten mit okulärem MB treten entsprechend Venenastverschlüsse mit intraretinalen Blutungen und ein Makulaödem auf. Arterielle Verschlüsse der Retinagefäße sind seltener und treten bei einem Teil der Betroffenen in der prognostisch ungünstigen Konstellation mit okklusiven Veränderungen auf. Gefürchtet sind Neovaskularisationen durch die Ischämie und Spätverläufe mit Optikusneuropathie.
Unbehandelt führte die Vaskulitis der Retina früher bei jungen Patienten oft zur Erblindung. Durch immunmodulatorische Behandlung, insbesondere mit cDMARDs oder bDMARDs wie TNF(Tumor-Nekrose-Faktor)-Inhibitoren oder α‑Interferon kann die Prognose deutlich verbessert werden. Die aktuellen European Alliance of Associations for Rheumatology(EULAR)-Therapieempfehlungen beziehen den Schweregrad der Befunde am Auge ein und sollten berücksichtigt werden [10].

Sarkoidose

Die okuläre Sarkoidose ist in Deutschland eine der häufigsten systemischen Assoziationen der Uveitis und Vaskulitis der Retina [11]. Eine okuläre Beteiligung kann auch ohne eine systemische pulmonale Sarkoidose vorliegen. Die Kriterien des International Workshop on Ocular Sarcoidosis (IWOS) ermöglichen die Diagnosestellung durch eine Kombination von klinischen Befunden, Labordiagnostik sowie Bildgebung bihilärer Lymphadenopathie im Röntgen Thorax [12]. Ein klinisches Kriterium ist die charakteristische Phlebitis, die segmental auftritt. Bei ausgeprägtem Befund kommt es zum sog. „Kerzenwachsphänomen“ [13]. Außerdem zählen Makroaneurysmen zu den Diagnosekriterien (Abb. 5). Neben dem primär guten Ansprechen auf eine Steroidtherapie sind bei persistierender Inflammation bDMARDs zur Entzündungskontrolle indiziert.
Abb. 5
Veränderungen bei Sarkoidose. a Röntgenaufnahme des Thorax bei bihilärer Lymphadenopathie. b Sarkoidosegranulom mit Schaumann-Körperchen aus dem Lymphknoten in HE(Hämatoxylin-Eosin)-Färbung. c Fundusfotografie bei okulärer Sarkoidose mit Aneurysma am unteren Gefäßbogen und choroidalen Granulomen. d Indocyaningrünangiographie mit hypofluoreszenten Läsionen in der Frühphase/mittleren Phase durch Minderperfusion der Choriokapillaris in Bereichen kleiner choroidaler Granulome
Bild vergrößern

Multiple Sklerose

Die multiple Sklerose (MS) ist eine chronisch entzündliche Erkrankung des zentralen Nervensystems (ZNS). Sie ist durch Entzündungen, Demyelinisierung, Gliose und neuroaxonale Degeneration gekennzeichnet und betrifft überwiegend junge Frauen (Abb. 6; [14]). Die Diagnose wird anhand der McDonald-Diagnosekriterien aus klinischen, radiologischen und Laborergebnissen gestellt [15]. Während die Augenbeteiligungen in Form der Optikusneuritis oft mit der MS in Verbindung gebracht werden, ist dies bei der Uveitis seltener der Fall. Bei Patienten mit MS sind die intermediäre Uveitis und retinale Vaskulitis in Form der Phlebitis die häufigste Manifestation. Sie kann asymptomatisch verlaufen und ist in der FAG zu diagnostizieren. Als wichtige Komplikationen sind das zystoide Makulaödem, die Bildung epiretinaler Membranen und eine okklusive Vaskulitis zu nennen.
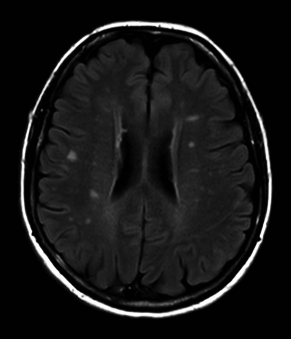
Abb. 6
Zerebrale Magnetresonanztomographie (MRT) (T2W FLAIR) mit multiplen hyperintensen Läsionen bei multipler Sklerose
Bild vergrößern
Ähnlich wie bei der nichtinfektiösen Uveitis wird die MS-assoziierte Entzündung in der Regel mit systemischen Kortikosteroiden behandelt. Retrospektive Studien berichteten über eine Verbesserung nach Behandlung mit Interferon‑β oder Glatirameracetat sowie Mycophenolat-Mofetil. Aktuelle hoch wirksame Therapiemöglichkeiten bei MS sind Anti-CD20-Therapien wie Rituximab und Ocrelizumab, die in kleineren Serien auch positive Effekte auf die Uveitis zeigten [16].
Cave
Sehr wichtig ist, dass die Anti-TNF-Therapie mit De-novo-Demyelinisierung und Exazerbationen einer bestehenden demyelinisierenden Erkrankung in Verbindung stehen und daher kontraindiziert sind!

Susac-Syndrom

Das Susac-Syndrom ist eine seltene autoimmune entzündliche Enzephalopathie, die eine Mikroangiopathie verursacht. Sie ist durch eine klassische Trias aus neurosensiblem Hörverlust, Enzephalopathie und okklusiver retinal-arterieller Vaskulitis gekennzeichnet. Die Erkrankung betrifft ebenfalls insbesondere junge Frauen [17]. Bei Erstmanifestation weisen nur 15 % die vollständige klinische Triade auf. Die Pathogenese ist unklar. Antiendothelzellantikörper werden bei bis zu 30 % der Patienten gefunden. Diese sind jedoch nicht spezifisch und können auch bei anderen entzündlichen Erkrankungen gefunden werden. Symptomatisch leiden 80 % der Patienten zunächst an Kopfschmerzen im Rahmen der Enzephalopathie [18]. Fortschreitend kann es zu einem zunehmenden Gedächtnisverlust, Konzentrationsstörung, Desorientierung und Verhaltensänderungen kommen. Die zerebrale Beteiligung wird durch typische MRT-Befunde in T2- oder FLAIR-gewichteten Sequenzen als hyperintensive, multifokale, runde kleine Läsionen im Corpus callosum nachgewiesen. Die Beteiligung des vestibulocochleären Systems zeigt sich zunächst als niederfrequenter sensorineuraler Hörverlust im Audiogramm. Peripherer Schwindel, Nystagmus und Tinnitus treten oft assoziiert auf [19].
Ophthalmologische Befunde umfassen fokale, segmentale, arterioläre Verengungen, Cotton-wool-Herde, ein Papillenödem, perivaskuläre Einscheidungen sowie periphere Gefäßverschlüsse (Abb. 7). Die FAG zeigt zudem segmentale arterielle Hyperfluoreszenzen (Abb. 7) und ist daher für die Diagnose obligatorisch [20].
Abb. 7
Veränderungen bei Susac-Syndrom. a Fundusbild mit Gefäßeinscheidungen und peripheren retinalen Hämorrhagien. bc Fluoreszenzangiographie mit peripheren Gefäßokklusionen und segmentaler Vaskulitis. d T2-MRT (Magnetresonanztomographie) mit hyperintenser Läsion im Bereich des Corpus callosum
Bild vergrößern
Die Behandlung richtet sich nach der Schwere der ZNS-Beteiligung und besteht aus hoch dosierten intravenösen Kortikosteroiden, gefolgt von hoch dosierten oralen Kortikosteroiden mit langsamer Reduktion. Die Langzeitbehandlung erfolgt in der Regel mit intravenösen Immunglobulinen, Cyclophosphamid, Mycophenolat-Mofetil, Adalimumab oder Rituximab [19].

Antineutrophile zytoplasmatische Antikörper-assoziierte Vaskulitis

Vaskulitiden, die mit der Bildung antineutrophiler zytoplasmatischer Antikörper (ANCA) assoziiert sind, können in 3 Subtypen unterschieden werden:
  • Granulomatose mit Polyangiitis (GPA; früher Wegener-Granulomatose),
  • mikroskopische Polyangiitis (MPA) und
  • eosinophile Granulomatose mit Polyangiitis (EGPA; früher Churg-Strauss-Syndrom).
Die ANCA-assoziierte Vaskulitis wird gehäuft bei älteren Menschen (> 60 Jahren) und bei Männern diagnostiziert [21].
Die Erkrankungen sind selten und weisen oft ein unspezifisches klinisches Erscheinungsbild auf. Häufige klinische systemische Präsentationen neben einer B‑Symptomatik umfassen bei GPA die Nasenbeteiligung mit Epistaxis, okuläre Entzündungen sowie eine Beteiligung der oberen Atemwege und Nieren. Patienten mit MPA sind oft älter und haben eine schwerere Nierenerkrankung im Vergleich zu GPA-Patienten. Außerdem sind ein Exanthem sowie eine Neuropathie möglich. Die EGPA erscheint oft als ein multisystemischer Symptomkomplex aus Asthma, Nasenpolypen und Bluteosinophilie [22].
Eine Augenbeteiligung wurde bei 50–60 % der Personen mit ANCA-positiver Vaskulitis berichtet [23]. Während die retinale Vaskulitis als typischer Befund im Zusammenhang mit der systemischen Gefäßentzündung angenommen werden könnte, sind interessanterweise die meisten GPA-Patienten von einer anterioren Skleritis betroffen, gefolgt von der Uveitis und anderen okulären Entzündungsbefunden (Keratitis, orbitale Zellulitis, Dakryoadenitis und Dakryozystitis). Bei retinaler Beteiligung zeigen sich Cotton-wool-Herde sowie okklusive arterielle oder venöse Gefäßverschlüsse (Abb. 8). Derzeit sind systemische Kortikosteroide in Kombination mit Cyclophosphamid oder Rituximab Goldstandard zur Therapie von Patienten mit schwerer, lebensbedrohlicher Erkrankung [24].
Abb. 8
Fluoreszenzangiographie einer okklusiven Vaskulitis bei systemischem Lupus erythematodes. Ausgeprägte Ischämie im Bereich der zentralen (a) und peripheren Retina (b)
Bild vergrößern

Vogt-Koyanagi-Harada-Syndrom

Das Vogt-Koyanagi-Harada(VKH)-Syndrom ist eine Multisystemerkrankung, der vermutlich eine T‑Zell-vermittelte Autoimmunreaktion gegen Melanozytenantigene zugrunde liegt [25]. Organbeteiligungen betreffen melaninhaltige Strukturen wie das ZNS (rezidivierende aseptische Meningitis), die Uvea (posteriore > anteriore, granulomatöse Uveitis) sowie die Haut (Vitiligo, Poliosis, Wimpernverlust). Die Erkrankung beginnt überwiegend zwischen dem 20. und 50. Lebensjahr mit einem unspezifischen Prodromalstadium, das einer viralen Infektion ähnelt und sich als rezidivierende aseptische Meningitis ggf. mit Hörstörung präsentiert [26]. Die Diagnose wird nach klinischen Leitkriterien abhängig von den extraokulären Manifestationen als: komplett, inkomplett oder wahrscheinlich gestellt.
Das VKH ist eine primäre, stromale Choroiditis, die später die Retina klinisch erfasst. Die ICGA ist folglich die Methode der Wahl, um die Aderhautentzündung in allen Stadien darzustellen. Vier ICGA-Zeichen der Aderhautentzündung wurden bei akuter Entzündung (Erstbefall oder Rezidiv) beschrieben und konsistent gefunden:
1.
frühe Hyperfluoreszenz und Leckage der großen Aderhautgefäße,
 
2.
hypofluoreszente schwarze Flecken („dark dots“) als Ausdruck umschriebener Entzündung der Aderhaut,
 
3.
verschwommener Aspekt („Fuzzyness“) großer stromaler Gefäße, wohl als Darstellung der choroidalen Vaskulitis und
 
4.
Papillenhyperfluoreszenz („hot disk“) als Zeichen akuter Entzündung im Bereich der Papille.
 
Die FAG zeigt in der akuten Phase multiple punkt- und fleckförmige Hyperfluoreszenzen (Abb. 9). Diese vergrößern sich im Verlauf der Angiographie, Farbstoff tritt in den subretinalen Raum aus, und ein „Pooling“ im Bereich der exsudativen Ablatio tritt ein. In der chronischen Phase zeigt die Angiographie Fensterdefekte im Bereich des atrophen retinalen Pigmentepithels (RPE) bzw. Blockaden durch Pigmentverklumpungen. Oft ist die Ausdehnung einer vorangegangenen exsudativen Netzhautabhebung als „Hochwasserlinie“ erkennbar.
Abb. 9
Veränderungen bei Vogt-Koyanagi-Harada-Syndrom. a Fluoreszenzangiographie mit hyperfluoreszenten Pinpoint-Läsionen. b Poliosis – Depigmentierung der Zilien
Bild vergrößern
Die Behandlung ist im initialen Stadium mit hoch dosierten Steroiden erfolgreich; bei chronisch rezidivierendem Verlauf sind dann ggf. längerfristig zusätzlich cDMARDs oder bDMARDs notwendig, um schwere Verläufe mit ausgeprägten, irreversiblen Veränderungen zu vermeiden [27].
Merke
Für Entzündungen im Bereich der Choroidea ist die ICG(Indocyaningrün)-Angiographie Methode der Wahl. Die Läsionen korrelieren oft nicht vollständig mit den fundoskopischen Befunden.

Isolierte, nichtinfektiöse Vaskulitis der Retina

Birdshot-Chorioretinopathie

Die Birdshot-Chorioretinopathie (BSCR) gehört zu den White-dot-Syndromen (WDS) und tritt insbesondere bei kaukasischen Patienten auf [28]. Die bilaterale, teilweise asymmetrisch ausgeprägte Choroiditis weist typische chorioretinale Herde auf, die um den Sehnerv angeordnet sind. Dies ist auch der aktive Treiber der Vaskulitis. Betroffen sind überwiegend die großen Netzhautgefäße mit diffuser Leckage [29]. Dies erklärt auch die oft ausgeprägte Glaskörperbeteiligung. Gleichzeitig ist die Exsudation auch ein Grund für das häufige Makulaödem, das bei etwa 80 % der unbehandelten Patienten auftritt. Das HLA-A29-Antigen gilt als klassisches genotypisches Merkmal der BSCR. Okklusive Gefäßveränderungen werden bei BSCR selten beobachtet [30].
Die FAG eignet sich zur Überwachung der Aktivität der Vaskulitis sowie der Detektion einer selten auftretenden choroidalen Neovaskularisation. Neuere Weitwinkeltechnologien haben gezeigt, dass auch periphere Ischämien in Augen bei chronischer BSCR auftreten können, aber interessanterweise oft nicht zu neovaskulären Komplikationen fortschreiten. Bereiche entzündlicher, nicht perfundierter Aderhaut können in der ICGA als oval-runde Läsionen („dark dots“) gesehen werden und überschreiten oft die Anzahl der fundoskopisch sichtbaren Herde.
Entsprechend der angenommenen autoimmunologischen Genese der Erkrankung werden Basistherapeutika als cDMARDs und zunehmend als bDMARDs eingesetzt. Noch ist unklar, wie lange die Therapie aufrechterhalten werden soll [31].
Auf die übrigen Erkrankungen aus dem Kreis der WDS kann hier nicht detailliert eingegangen werden. Da diese ebenfalls häufig mit einer Vaskulitis der Retina/Choroidea einhergehen, sei auf die Übersichtsliteratur verwiesen [6].
Merke
Trotz umfassender Abklärung lässt sich in manchen Fällen keine klare Ätiologie oder systemische Grunderkrankung abgrenzen. Trotzdem sollen auch Patienten mit einer isolierten idiopathischen Entzündung adäquat therapiert werden.

Vaskulitis der Retina durch Infektionserreger

Mycobacterium tuberculosis

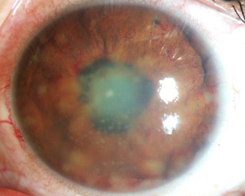
Die okuläre Tuberkulose stellt in Nichtendemiegebieten eine seltene Differenzialdiagnose der retinalen Vaskulitis dar. Die direkte Mycobacterium-tuberculosis-Infektion führt zur Bildung von Granulomen, die sich auch am Auge manifestieren können (Abb. 10; [32, 33]). Bezüglich der Uveitis sowie Vaskulitis assoziiert mit einer Tuberkulose werden hingegen oft indirekte Mechanismen diskutiert. Hierfür sprechen das verzögerte Auftreten sowie das gute Ansprechen auf eine Steroidtherapie. Die Vaskulitis kann okklusiv sein. Bei der Therapie sollte im Rahmen einer Immunsuppression eine Chemoprophylaxe mit Isoniazid und/oder Rifampicin angewendet werden. Die internationalen Collaborative Ocular Tuberculosis Study(COTS)-Kriterien diskutieren die Notwendigkeit einer antibiotischen Vierfachtherapie (Isoniazid, Rifampicin, Pyrazinamid, Ethambutol) im Rahmen einer Tuberkulose-assoziierten Uveitis [34, 35].
Abb. 10
Vorderabschnittsfoto bei okulärer Tuberkuloseinfektion mit granulomatösen Endothelbeschlägen, multiplen Irisgranulomen sowie Rubeosis iridis verbunden mit einem Augeninnendruckanstieg und einer Cataracta complicata
Bild vergrößern
Beim Krankheitsbild Morbus Eales handelt es sich um eine isolierte Vaskulitis des Auges. Es gibt Hinweise darauf, dass Mycobacterium tuberculosis eine Rolle bei der Entstehung der Erkrankung spielt. Morbus Eales betrifft vermehrt jüngere Männer und tritt häufig binokular auf [36]. Klassische klinische Veränderungen zeigen eine Phlebitis, die okklusiv verläuft und zu retinalen Ischämien sowie Blutungen bis hin zu sekundären Neovaskularisationen führt (Abb. 11).
Abb. 11
Fundusbild eines Morbus Eales mit okklusiver Vaskulitis, retinalen Blutungen superior der Papille und retinaler Laserkoagulation temporal im Bereich peripherer Ischämien
Bild vergrößern

Herpesviridae

Herpesviren zählen zu den Auslösern einer nekrotisierenden Infektion der Retina im Rahmen der okulären Vaskulitis [37]. Dabei spielt die Immunkompetenz des Patienten oft eine wichtige Rolle. Eine Vaskulitis im Rahmen einer CMV(Zytomegalievirus)-Infektion kann beispielsweise einen Hinweis auf eine unentdeckte HIV(humanes Immundefizienzvirus)-Infektion bieten oder aufgrund der allgemein reduzierten Immunabwehr der Patienten nach einer Knochenmarktransplantation auftreten. Hierbei zeigt sich klassischerweise eine Retinitis im Bereich der Gefäße am posterioren Pol mit prominenten Hämorrhagien [38]. Im Gegensatz hierzu beginnt die akute Retinanekrose überwiegend peripher mit flächigen Netzhautnekrosen, einer Okklusion der Arteriolen sowie teilweise ausgeprägter Vitritis, die meistens durch VZV (Varizella-Zoster-Virus) oder HSV (Herpes-simplex-Virus) verursacht werden (Abb. 12). Im vorderen Augenabschnitt tritt möglicherweise begleitend eine granulomatöse Uveitis anterior auf. Die Diagnose kann durch eine Probengewinnung im Rahmen einer Vitrektomie und anschließender Polymerasekettenreaktion (PCR) oder dem Nachweis einer okulären Antikörpersynthese (Goldmann-Witmer-Quotient) erfolgen [39]. Die Therapie erfolgt systemisch sowie durch zusätzliche intravitreale antivirale Medikamenteneingabe [37]. Hierunter sind Blutbild sowie Nieren- und Leberwerte zu kontrollieren.
Abb. 12
Fundusbild einer akuten Retinanekrose im Rahmen einer herpetischen Infektion (Bild aus [40]). Die Nekrosen beginnen peripher zirkulär mit konfluierenden Bereichen im Verlauf der Infektion. Die häufigsten Erreger sind das VZV (Varizella-Zoster-Virus) sowie HSV(Herpes-simplex-Virus)1/2. Die Erkrankung kann auch das Partnerauge betreffen
Bild vergrößern
Cave
Im Rahmen einer akuten Retinanekrose sollte immer auch das 2. Auge beurteilt werden.

Dengue‑, West-Nil- und Chikungunya-Virus

Verbunden mit einer verstärkten Reisetätigkeit im Rahmen der Globalisierung sowie erhöhten Temperaturen im Rahmen des Klimawandels werden in Deutschland zunehmend neue Stechmücken-assoziierte Viruserkrankungen nachgewiesen. Hierbei sind das Dengue‑, West-Nil- sowie Chikungunya-Virus zu nennen [41, 42]. Die Patienten leiden typischerweise an grippeähnlichen Beschwerden mit Fieber, Hautausschlag und Gliederschmerzen. Allerdings können die Infektionen auch asymptomatisch verlaufen. Der Nachweis der Infektion erfolgt akut mittels Polymerasekettenreaktion. Nach ungefähr 5 Tagen ist ein Ig(Immunglobulin)M-Antikörpernachweis möglich.
Das Dengue-Virus verbreitet sich weltweit stark mit aktuell 390 Mio. Erkrankten pro Jahr. Bei unter 1 % kommt es zum schwerwiegenden hämorrhagischen Fieber [43]. Eine Impfung ist aktuell für Patienten in Endemiegebieten verfügbar. Eine okuläre Beteiligung tritt bei rund 10 % der Betroffenen in Form von konjunktivalen Petechien, einer Uveitis, Makulopathie oder retinalen Vaskulitis auf.
Das West-Nil-Virus ist eine Zoonose, die am häufigsten über Vögel übertragen wird, jedoch kann der Mensch durch die Culex-Mücke als Fehlwirt infiziert werden. Selten führt eine komplizierte Infektion zu einer Meningoenzephalitis. Okulär treten neben einer Uveitis anterior und Vitritis auch eine lineare multifokale Chorioretinitis entlang der Gefäße sowie eine okklusive Vaskulitis auf. Außerdem sind Optikusneuritiden, Nystagmus und Hirnnervenparesen beschrieben.
Das Chikungunya-Virus kann Arthralgien sowie eine Myokarditis, Hepatitis oder Meningoenzephalitis verursachen. Am Auge kann die Infektion zu einer okklusiven Vaskulitis führen. Des Weiteren sind eine Keratitis, Uveitis anterior, Chorioretinitis sowie Optikusneuritis beschrieben.
Therapeutisch steht im Rahmen der Infektion eine symptomatische Therapie im Vordergrund. Seltener werden antivirale Medikamente wie Doxycyclin oder Ribavirin eingesetzt. Aufgrund der oft um einige Tage verzögerten okulären Beteiligung wird eine immunologische Reaktion diskutiert und insbesondere bei Makulabeteiligung die Steroidtherapie erwogen. Entscheidend ist die primäre Prävention von Mückenstichen und Elimination von Brutstätten.

Iatrogen ausgelöste Gefäßentzündung der Retina

Unter iatrogener retinaler Vaskulitis versteht man entzündliche Gefäßerkrankungen der Netzhaut, die als unerwünschte Nebenwirkung medizinischer Behandlungen auftreten können.

Intraokulare Medikamenteneingabe

Retinale Vaskulitiden oder Gefäßverschlüsse nach intraokularer Injektion wurden bei einer Reihe unterschiedlicher Wirkstoffe beschrieben. Dazu gehört die intrakamerale Eingabe (Kataraktchirurgie) der Aminoglykoside Amikacin und Gentamycin sowie Vancomycin, die mit einer seltenen Form der hämorrhagischen okklusiven retinalen Vaskulitis (HORV) in Verbindung stehen [44]. Aufgrund der breiten intravitrealen Anwendung von VEGF(„anti-vascular endothelial growth factor“)-Präparaten stehen diese im Mittelpunkt. Inzwischen wurden Gefäßentzündungen der Retina von allen Anti-VEGF-Wirkstoffen berichtet [45]. Es gibt jedoch eine deutliche Häufung der Fälle nach Brolucizumab, einem höher konzentrierten, niedermolekularen Anti-VEGF-Inhibitor zur Behandlung von Patienten mit neovaskulärer altersbedingter Makuladegeneration (nAMD) und diabetischem Makulaödem (DMÖ). Die Rate der unerwünschten Ereignisse beträgt 4,6 % für intraokulare Entzündungen (IOI) allgemein, 3,3 % für eine retinale Vaskulitis und 2,1 % für retinale Gefäßverschlüsse, basierend auf Daten der HAWK- und HARRIER-Zulassungsstudien für die nAMD [46]. Die genaue Pathogenese der Immunogenität gegen Brolucizumab ist bis heute nicht abschließend geklärt [47]. Das Vorhandensein von „anti-drug antibodies“ (ADAs) wird hier diskutiert, allerdings müssen auch weitere Faktoren eine Rolle spielen, da viele Patienten mit Brolucizumab-ADAs nach der Behandlung mit Brolucizumab keine IOI entwickeln.
Klinisch ist es wichtig, die nichtinfektiöse IOI von der infektiösen Endophthalmitis zu unterscheiden. Im Unterschied zur infektiösen Endophthalmitis, die sich meist innerhalb einer Woche entwickelt, kann die IOI verzögert teils viele Wochen nach der intravitrealen Injektion auftreten. Akute Merkmale und Hypopyon sind selten. Glaskörper- und Kammerwasserproben können zur Erregersuche herangezogen werden. Sobald die Diagnose der IOI bestätigt ist, wird eine Kortikosteroidtherapie empfohlen, je nach Schwere der Entzündung sowohl topisch als auch subtenonal. Bei retinaler Vaskulitis ist stets die systemische Gabe geboten [48].
Cave
Eine Vaskulitis der Retina nach intravitrealer Anti-VEGF-Eingabe tritt oft verzögert, teils viele Wochen nach der Injektion, auf.

Checkpointinhibitoren

Checkpointinhibitoren wie Ipilimumab (CTLA-4-Inhibitor), Nivolumab und Pembrolizumab (PD-1-Inhibitoren) revolutionierten die moderne Onkologie, indem sie das Immunsystem gegen Tumorzellen aktivieren. Die Immunaktivierung kann jedoch auch zu autoimmunen Nebenwirkungen führen; darunter zählen in ca. 1 % der Fälle ophthalmologische Komplikationen wie die Keratoconjunctivitis sicca, autoimmune Uveitis oder eine retinale Vaskulitis [49]. Diese tritt auf, wenn das Immunsystem irrtümlich körpereigene retinale Gefäßstrukturen angreift, was zu Entzündungen, Gefäßverschlüssen und potenziell irreversiblem Sehverlust führen kann. Das frühzeitige Erkennen und die Behandlung der iatrogenen retinalen Vaskulitis nach Checkpointinhibitortherapie kann eine Herausforderung darstellen und umfasst in der Regel das Absetzen des auslösenden Agens, den Einsatz von Kortikosteroiden und in einigen Fällen die Einführung alternativer Immuntherapien.

Prognose

Die Prognose von Uveitispatienten mit Vaskulitis der Retina variiert und ist abhängig von der zugrunde liegenden Ätiologie, dem Schweregrad der Entzündung und der Lage der betroffenen Netzhautgefäße. Die wenigen bisher vorliegenden Untersuchungen lassen folgende Aussagen zu: Augen mit retinaler Vaskulitis wiesen ein mehr als doppelt so hohes Risiko für ein zystoides Makulaödem im Vergleich zu Uveitispatienten ohne Vaskulitis auf; Vaskulitisaugen führen mit größerer Wahrscheinlichkeit zu einem Sehverlust als Augen ohne Vaskulitis (Risiko × 1,7); Dieses Risiko steigt weiter um den Faktor 4 bei Augen mit ischämischen Veränderungen der Makula oder wenn 2 oder mehr Netzhautquadranten betroffen sind.

Fazit für die Praxis

  • Die klinische Präsentation der retinalen Vaskulitis kann auf eine Reihe sehr unterschiedlicher Ätiologien zurückgeführt werden.
  • Anamnese, klinischer Befund und ergänzende (Labor‑)Untersuchungen sind Grundpfeiler der Diagnostik.
  • Eine multimodale Bildgebung ist zur Diagnostik und Verlaufskontrolle essenziell.
  • Die Therapie der Vaskulitis orientiert sich an der Ätiologie und ggf. an dem systemischen infektiologischen Befund/Krankheitsbild.
  • Die Behandlung der nichtinfektiösen Vaskulitis erfolgt in der Akutphase überwiegend mit Kortikosteroiden und mit steroidsparenden immunmodulierenden Therapien im Verlauf.
  • Die Prognose der Vaskulitis kann bei vielen Patienten durch eine adäquate Therapie deutlich verbessert werden.

Einhaltung ethischer Richtlinien

Interessenkonflikt

Gemäß den Richtlinien des Springer Medizin Verlags werden Autoren und Wissenschaftliche Leitung im Rahmen der Manuskripterstellung und Manuskriptfreigabe aufgefordert, eine vollständige Erklärung zu ihren finanziellen und nichtfinanziellen Interessen abzugeben.

Autoren

L. zur Bonsen: Finanzielle Interessen: Honorar Referentin: Novartis (2022), AbbVie (2023), Augenärztliches Kolloquium Mitteldeutschland (2024). – Nichtfinanzielle Interessen: Angestellte Augenärztin, Klinik für Augenheilkunde, Charité Universitätsmedizin Berlin | Mitgliedschaften Deutsche Ophthalmologische Gesellschaft, Berlin-Brandenburgische Augenärztliche Gesellschaft, International Ocular Inflammation Society. A. Rübsam: Finanzielle Interessen: Deutsche Forschungsgesellschaft DFG – Sachbeihilfe RU-2022/3. – Referententätigkeit: Firma Novartis, Firma Roche, Firma Bayer Health AG. – Nichtfinanzielle Interessen: Angestellte:r Augenarzt:in, Klinik für Augenheilkunde, Charité Universitätsmedizin Berlin, Berlin | Mitgliedschaft: Deutsche Ophthalmologische Gesellschaft. V. Knecht: Finanzielle Interessen: Biontech (Aktien) – Nichtfinanzielle Interessen: Angestellter Assistenzarzt, Klinik für Augenheilkunde, Charité Universitätsmedizin Berlin. U. Pleyer: Finanzielle Interessen: Forschungsförderung zur persönlichen Verfügung: Deutsche Forschungsgemeinschaft, BMBF, European Union. – Vortragshonorare oder Kostenerstattung als passiv Teilnehmende: AbbVie, Alcon, Allergan, Alimera, Bausch und Lomb, Bayer, Novartis, Santen, Thea. – Bayer, Biontech (Aktien). – Nichtfinanzielle Interessen: Oberarzt, Klinik für Augenheilkunde, Charité Universitätsmedizin Berlin | Mitgliedschaft/Funktion in Interessenverbänden: Sprecher der Sektion: Uveitis/DOG seit 2014|Schwerpunkt wissenschaftlicher klinischer Tätigkeiten: Leiter der Sprechstunde „Tertiärzentrum für entzündliche Augenerkrankungen“ 1994 bis heute | Sekretär: Berlin-Brandenburgische Augenärzte | Vorstandsmitglied: Deutsche UVEITIS Arbeitsgemeinschaft DUAG e. V. U. Pleyer ist Mitglied des Herausgeberboards von Die Ophthalmologie. Er war nicht an der Begutachtung dieses Manuskripts oder an Entscheidungen in Bezug auf dieses Manuskript beteiligt.

Wissenschaftliche Leitung

Die vollständige Erklärung zum Interessenkonflikt der Wissenschaftlichen Leitung finden Sie am Kurs der zertifizierten Fortbildung auf www.​springermedizin.​de/​cme.

Der Verlag

erklärt, dass für die Publikation dieser CME-Fortbildung keine Sponsorengelder an den Verlag fließen.
Für diesen Beitrag wurden von den Autor/-innen keine Studien an Menschen oder Tieren durchgeführt. Für die aufgeführten Studien gelten die jeweils dort angegebenen ethischen Richtlinien. Für Bildmaterial oder anderweitige Angaben innerhalb des Manuskripts, über die Patient/-innen zu identifizieren sind, liegt von ihnen und/oder ihren gesetzlichen Vertretern/Vertreterinnen eine schriftliche Einwilligung vor.
Open Access Dieser Artikel wird unter der Creative Commons Namensnennung 4.0 International Lizenz veröffentlicht, welche die Nutzung, Vervielfältigung, Bearbeitung, Verbreitung und Wiedergabe in jeglichem Medium und Format erlaubt, sofern Sie den/die ursprünglichen Autor(en) und die Quelle ordnungsgemäß nennen, einen Link zur Creative Commons Lizenz beifügen und angeben, ob Änderungen vorgenommen wurden.
Die in diesem Artikel enthaltenen Bilder und sonstiges Drittmaterial unterliegen ebenfalls der genannten Creative Commons Lizenz, sofern sich aus der Abbildungslegende nichts anderes ergibt. Sofern das betreffende Material nicht unter der genannten Creative Commons Lizenz steht und die betreffende Handlung nicht nach gesetzlichen Vorschriften erlaubt ist, ist für die oben aufgeführten Weiterverwendungen des Materials die Einwilligung des jeweiligen Rechteinhabers einzuholen.
Weitere Details zur Lizenz entnehmen Sie bitte der Lizenzinformation auf http://​creativecommons.​org/​licenses/​by/​4.​0/​deed.​de.

Hinweis des Verlags

Der Verlag bleibt in Hinblick auf geografische Zuordnungen und Gebietsbezeichnungen in veröffentlichten Karten und Institutsadressen neutral.

Unsere Produktempfehlungen

Die Ophthalmologie

Print-Titel

  • Umfassende Themenschwerpunkte mit klaren Handlungsempfehlungen
  • Praxisrelevante CME-Fortbildung in jedem Heft
  • Organ der Deutschen Ophthalmologischen Gesellschaft

e.Med Interdisziplinär

Kombi-Abonnement

Für Ihren Erfolg in Klinik und Praxis - Die beste Hilfe in Ihrem Arbeitsalltag

Mit e.Med Interdisziplinär erhalten Sie Zugang zu allen CME-Fortbildungen und Fachzeitschriften auf SpringerMedizin.de.

download
DOWNLOAD
print
DRUCKEN
Titel
Vaskulitis der Retina
Klinik, Diagnostik, Management und Therapie
Verfasst von
Lynn zur Bonsen
Anne Rübsam
Vitus Knecht
Prof. Dr. med. Uwe Pleyer, FEBO
Publikationsdatum
28.05.2024
Verlag
Springer Medizin
Erschienen in
Die Ophthalmologie / Ausgabe 6/2024
Print ISSN: 2731-720X
Elektronische ISSN: 2731-7218
DOI
https://doi.org/10.1007/s00347-024-02050-4
1.
Zurück zum Zitat Fauci AS, Haynes BF, Katz P (1978) The spectrum of vasculitis: clinical, pathologic, immunologic and therapeutic considerations. Ann Intern Med 89:660–676. https://​doi.​org/​10.​7326/​0003-4819-89-5-660CrossRefPubMed
2.
Zurück zum Zitat Jennette JC, Falk RJ, Bacon PA et al (2013) 2012 revised international chapel hill consensus conference nomenclature of vasculitides. Arthritis Rheum 65:1–11. https://​doi.​org/​10.​1002/​ART.​37715CrossRefPubMed
3.
Zurück zum Zitat Moretti M, Treppo E, Monti S et al (2023) Systemic vasculitis: one year in review 2023. Clin Exp Rheumatol 41:765–773. https://​doi.​org/​10.​55563/​CLINEXPRHEUMATOL​/​ZF4DAJCrossRefPubMed
4.
Zurück zum Zitat Huang YC, Lai ECC, Liao TC, Weng MY (2024) Evaluating the risk of ischemic stroke at a young age in patients with autoimmune inflammatory rheumatic diseases: a population-based cohort study in Taiwan. Front Immunol. https://​doi.​org/​10.​3389/​FIMMU.​2024.​1272557CrossRefPubMedPubMedCentral
5.
Zurück zum Zitat Agarwal A, Afridi R, Agrawal R et al (2017) Multimodal imaging in retinal vasculitis. Ocul Immunol Inflamm 25:424–433. https://​doi.​org/​10.​1080/​09273948.​2017.​1319494CrossRefPubMed
6.
Zurück zum Zitat Pohlmann D, zur Bonsen L, Rübsam A, Pleyer U (2023) Noninfectious posterior uveitis : clinical aspects, diagnostics, management and treatment. Ophthalmologie 120:443–458. https://​doi.​org/​10.​1007/​S00347-023-01833-5CrossRefPubMed
7.
Zurück zum Zitat El-Asrar AMA, Herbort CP, Tabbara KF (2009) Differential diagnosis of retinal vasculitis. Middle East Afr J Ophthalmol 16:202. https://​doi.​org/​10.​4103/​0974-9233.​58423CrossRefPubMedPubMedCentral
8.
Zurück zum Zitat Pleyer U, Kötter I, Stübiger N (2017) Morbus Behçet: Eine interdisziplinäre Herausforderung aus ophthalmologischer Sicht. Akt Rheumatol 42:66–75. https://​doi.​org/​10.​1055/​S-0042-118700/​ID/​R2016-08-0460-0025/​BIBCrossRef
9.
Zurück zum Zitat Ladewig MS, Seitz B, Krause L (2023) Frosted-Branch-Angiitis als erstes Zeichen eines Morbus Behçet. Ophthalmologie 120:947–950. https://​doi.​org/​10.​1007/​S00347-022-01744-XCrossRefPubMed
10.
Zurück zum Zitat Hatemi G, Christensen R, Bang D et al (2018) 2018 update of the EULAR recommendations for the management of Behçet’s syndrome. Ann Rheum Dis 77:808–818. https://​doi.​org/​10.​1136/​ANNRHEUMDIS-2018-213225CrossRefPubMed
11.
Zurück zum Zitat El Jammal T, Loria O, Jamilloux Y et al (2021) Uveitis as an open window to systemic inflammatory diseases. JCM 10:281. https://​doi.​org/​10.​3390/​JCM10020281CrossRefPubMedPubMedCentral
12.
Zurück zum Zitat Mochizuki M, Smith JR, Takase H et al (2019) Revised criteria of International Workshop on Ocular Sarcoidosis (IWOS) for the diagnosis of ocular sarcoidosis. Br J Ophthalmol 103:1418–1422. https://​doi.​org/​10.​1136/​BJOPHTHALMOL-2018-313356CrossRefPubMed
13.
Zurück zum Zitat Zur Bonsen LS, Pohlmann D, Rübsam A, Pleyer U (2021) Findings and graduation of sarcoidosis-related uveitis: a single-center study. Cells 11:89. https://​doi.​org/​10.​3390/​CELLS11010089CrossRefPubMedPubMedCentral
14.
Zurück zum Zitat Casselman P, Cassiman C, Casteels I, Schauwvlieghe PP (2021) Insights into multiple sclerosis-associated uveitis: a scoping review. Acta Ophthalmol 99:592–603. https://​doi.​org/​10.​1111/​AOS.​14697CrossRefPubMed
15.
Zurück zum Zitat Thompson AJ, Banwell BL, Barkhof F et al (2018) Diagnosis of multiple sclerosis: 2017 revisions of the McDonald criteria. Lancet Neurol 17:162–173. https://​doi.​org/​10.​1016/​S1474-4422(17)30470-2CrossRefPubMed
16.
Zurück zum Zitat Stascheit F, Rübsam A, Otto C et al (2022) Anti-CD20 therapy for multiple sclerosis-associated uveitis: a case series. Eur J Neurol 29:3028–3038. https://​doi.​org/​10.​1111/​ENE.​15453CrossRefPubMed
17.
Zurück zum Zitat David C, Sacré K, Henri-Feugeas MC et al (2022) Susac syndrome: a scoping review. Autoimmun Rev. https://​doi.​org/​10.​1016/​J.​AUTREV.​2022.​103097CrossRefPubMedPubMedCentral
18.
Zurück zum Zitat Marrodan M, Fiol MP, Correale J (2022) Susac syndrome: challenges in the diagnosis and treatment. Brain 145:858–871. https://​doi.​org/​10.​1093/​BRAIN/​AWAB476CrossRefPubMed
19.
Zurück zum Zitat Bose S, Papathanasiou A, Karkhanis S et al (2023) Susac syndrome: neurological update (clinical features, long-term observational follow-up and management of sixteen patients). J Neurol 270:6193–6206. https://​doi.​org/​10.​1007/​S00415-023-11891-ZCrossRefPubMedPubMedCentral
20.
Zurück zum Zitat Egan RA, Hills WL, Susac JO (2010) Gass plaques and fluorescein leakage in Susac Syndrome. J Neurol Sci 299:97–100. https://​doi.​org/​10.​1016/​J.​JNS.​2010.​08.​043CrossRefPubMed
21.
Zurück zum Zitat Kitching AR, Anders HJ, Basu N et al (2020) ANCA-associated vasculitis. Nat Rev Dis Primers. https://​doi.​org/​10.​1038/​S41572-020-0204-YCrossRefPubMed
22.
Zurück zum Zitat Comarmond C, Cacoub P (2014) Granulomatosis with polyangiitis (Wegener): clinical aspects and treatment. Autoimmun Rev 13:1121–1125. https://​doi.​org/​10.​1016/​J.​AUTREV.​2014.​08.​017CrossRefPubMed
23.
Zurück zum Zitat Junek ML, Zhao L, Garner S et al (2023) Ocular manifestations of ANCA-associated vasculitis. Rheumatology 62:2517–2524. https://​doi.​org/​10.​1093/​RHEUMATOLOGY/​KEAC663CrossRefPubMed
24.
Zurück zum Zitat Almaani S, Fussner LA, Brodsky S et al (2021) ANCA-associated vasculitis: an update. J Clin Med. https://​doi.​org/​10.​3390/​JCM10071446CrossRefPubMedPubMedCentral
25.
Zurück zum Zitat Patil YB, Garg R, Rajguru JP et al (2020) Vogt-Koyanagi-Harada (VKH) syndrome: a new perspective for healthcare professionals. J Family Med Prim Care 9:31. https://​doi.​org/​10.​4103/​JFMPC.​JFMPC_​787_​19CrossRefPubMedPubMedCentral
26.
Zurück zum Zitat Moorthy RS, Inomata H, Rao NA (1995) Vogt-Koyanagi-Harada syndrome. Surv Ophthalmol 39:265–292. https://​doi.​org/​10.​1016/​S0039-6257(05)80105-5CrossRefPubMed
27.
Zurück zum Zitat Rahman N, Artiaga JCM, Bouras K et al (2023) Immunosuppressive therapy for Vogt-Koyanagi-Harada disease: a retrospective study and review of literature. J Ophthalmic Inflamm Infect. https://​doi.​org/​10.​1186/​S12348-023-00333-6CrossRefPubMedPubMedCentral
28.
Zurück zum Zitat Shah KH, Levinson RD, Yu F et al (2005) Birdshot chorioretinopathy. Surv Ophthalmol 50:519–541. https://​doi.​org/​10.​1016/​J.​SURVOPHTHAL.​2005.​08.​004CrossRefPubMed
29.
Zurück zum Zitat Pohlmann D, Macedo S, Stübiger N et al (2017) Multimodal Imaging in Birdshot Retinochoroiditis. Ocul Immunol Inflamm 25:621–632. https://​doi.​org/​10.​1080/​09273948.​2017.​1375532CrossRefPubMed
30.
Zurück zum Zitat Bousquet E, Duraffour P, Debillon L et al (2022) Birdshot chorioretinopathy: a review. J Clin Med 11:4772. https://​doi.​org/​10.​3390/​JCM11164772CrossRefPubMedPubMedCentral
31.
Zurück zum Zitat Minos E, Barry RJ, Southworth S et al (2016) Birdshot chorioretinopathy: current knowledge and new concepts in pathophysiology, diagnosis, monitoring and treatment. Orphanet J Rare Dis. https://​doi.​org/​10.​1186/​S13023-016-0429-8CrossRefPubMedPubMedCentral
32.
Zurück zum Zitat Basu S, Wakefield D, Biswas J, Rao NA (2015) Pathogenesis and pathology of Intraocular tuberculosis. Ocul Immunol Inflamm 23:353–357. https://​doi.​org/​10.​3109/​09273948.​2015.​1056536CrossRefPubMed
33.
Zurück zum Zitat Shukla D, Kalliath J, Dhawan A (2021) Tubercular retinal vasculitis: diagnostic dilemma and management strategies. Clin Ophthalmol 15:4681–4688. https://​doi.​org/​10.​2147/​OPTH.​S284613CrossRefPubMedPubMedCentral
34.
Zurück zum Zitat Agrawal R, Testi I, Mahajan S et al (2021) Collaborative ocular tuberculosis study consensus guidelines on the management of tubercular Uveitis-report 1: guidelines for initiating antitubercular therapy in tubercular Choroiditis. Ophthalmology 128:266–276. https://​doi.​org/​10.​1016/​J.​OPHTHA.​2020.​01.​008CrossRefPubMed
35.
Zurück zum Zitat Agrawal R, Testi I, Bodaghi B et al (2021) Collaborative ocular tuberculosis study consensus guidelines on the management of tubercular uveitis-report 2: guidelines for initiating antitubercular therapy in anterior Uveitis, intermediate Uveitis, Panuveitis, and retinal Vasculitis. Ophthalmology 128:277–287. https://​doi.​org/​10.​1016/​J.​OPHTHA.​2020.​06.​052CrossRefPubMed
36.
Zurück zum Zitat Murillo López S, Medina MS, Murillo López F (2022) Eales’ disease: epidemiology, diagnostic and therapeutic concepts. Int J Retin Vitreous 8:3. https://​doi.​org/​10.​1186/​S40942-021-00354-0CrossRef
37.
Zurück zum Zitat Lee JH, Agarwal A, Mahendradas P et al (2017) Viral posterior uveitis. Surv Ophthalmol 62:404–445. https://​doi.​org/​10.​1016/​J.​SURVOPHTHAL.​2016.​12.​008CrossRefPubMed
38.
Zurück zum Zitat Gupta PK, Patel NV, Patel SD, Patel KJ (2014) Cytomegalovirus retinitis in acquired immunodeficiency syndrome patients: A problem worth giving attention to. Indian J Sex Transm Dis Aids 35:21. https://​doi.​org/​10.​4103/​2589-0557.​132411CrossRefPubMedPubMedCentral
39.
Zurück zum Zitat Wensing B, Mochizuki M, De Boer JH (2018) Clinical characteristics of herpes simplex virus associated anterior uveitis. Ocul Immunol Inflamm 26:333–337. https://​doi.​org/​10.​1080/​09273948.​2017.​1420806CrossRefPubMed
40.
Zurück zum Zitat Pleyer U (2021) Entzündliche Augenerkrankungen, 2. Aufl. Springer, Berlin, Heidelberg, S 272CrossRef
41.
Zurück zum Zitat Merle H, Donnio A, Jean-Charles A et al (2018) Ocular manifestations of emerging arboviruses: Dengue fever, Chikungunya, Zika virus, West Nile virus, and yellow fever. J Fr Ophtalmol 41:e235–e243. https://​doi.​org/​10.​1016/​J.​JFO.​2018.​05.​002CrossRefPubMed
42.
Zurück zum Zitat Abroug N, Khairallah M, Zina S et al (2021) Ocular manifestations of emerging arthropod-borne infectious diseases. J Curr Ophthalmol 33:227–235. https://​doi.​org/​10.​4103/​JOCO.​JOCO_​134_​21CrossRefPubMedPubMedCentral
43.
Zurück zum Zitat Togami E, Chiew M, Lowbridge C et al (2023) Epidemiology of dengue reported in the World Health Organization’s Western Pacific Region, 2013–2019. Western Pac Surveill Response J. https://​doi.​org/​10.​5365/​WPSAR.​2023.​14.​1.​973CrossRefPubMedPubMedCentral
44.
Zurück zum Zitat Schwartz SG, Relhan N, O’Brien TP, Flynn HW (2017) A new complication associated with the use of prophylactic Intracameral antibiotics: hemorrhagic occlusive retinal Vasculitis. Ophthalmology 124:578–579. https://​doi.​org/​10.​1016/​J.​OPHTHA.​2017.​01.​038CrossRefPubMed
45.
Zurück zum Zitat Cox JT, Eliott D, Sobrin L (2021) Inflammatory complications of Intravitreal anti-VEGF injections. J Clin Med 10:1–16. https://​doi.​org/​10.​3390/​JCM10050981CrossRef
46.
Zurück zum Zitat Monés J, Srivastava SK, Jaffe GJ et al (2021) Risk of inflammation, retinal Vasculitis, and retinal occlusion-related events with brolucizumab: post hoc review of HAWK and HARRIER. Ophthalmology 128:1050–1059. https://​doi.​org/​10.​1016/​J.​OPHTHA.​2020.​11.​011CrossRefPubMed
47.
Zurück zum Zitat Anderson WJ, da Cruz NFS, Lima LH et al (2021) Mechanisms of sterile inflammation after intravitreal injection of antiangiogenic drugs: a narrative review. Int J Retin Vitreous. https://​doi.​org/​10.​1186/​S40942-021-00307-7CrossRef
48.
Zurück zum Zitat Baumal CR, Bodaghi B, Singer M et al (2021) Expert opinion on management of Intraocular inflammation, retinal Vasculitis, and vascular occlusion after brolucizumab treatment. Ophthalmol Retin 5:519–527. https://​doi.​org/​10.​1016/​J.​ORET.​2020.​09.​020CrossRef
49.
Zurück zum Zitat Chaudot F, Sève P, Rousseau A et al (2022) Ocular inflammation induced by immune checkpoint inhibitors. J Clin Med 11:4993. https://​doi.​org/​10.​3390/​JCM11174993/​S1CrossRefPubMedPubMedCentral