Zum Inhalt

Präimplantologische Alveolarkammerhaltung und Alveolarkammrekonstruktion

Erschienen in:

Auszug

Nach einer Zahnextraktion sind Umbauprozesse mit ausgeprägten Dimensionenveränderungen des Alveolarkamms die Regel. Innerhalb von 6 Monaten werden in systematischen Übersichten Reduktionen der Knochenhöhe um etwa 10–20 % und der Knochenbreite um etwa 30–60 % beschrieben. Das betrifft die ästhetische Zone ebenso wie Regionen mit anatomischen Risiken und kann die spätere implantatgetragene Versorgung deutlich erschweren (Abb. 1, Abb. 2). Alveolarkammerhaltende und rekonstruktive Verfahren zielen darauf, diesen physiologischen Volumenverlust zu begrenzen und günstige Bedingungen für die Implantation zu schaffen (Abb. 3). In der Langzeitbetrachtung nach verzögerter Implantation deuten die verfügbaren Studien auf gute Implantatüberlebensraten und stabile marginale Knochenverhältnisse bis zu 10 Jahren hin, die Evidenz ist jedoch heterogen und quantitativ begrenzt. Häufig eingesetzt werden xenogene Knochenersatzmaterialien mit kollagenbasierter Socket-Abdeckung, v. a. in europäischen Settings. Zugleich wird in der Literatur nicht selten der Begriff Alveolarkammerhaltung für Situationen verwendet, die tatsächlich einer Rekonstruktion entsprechen, was die Vergleichbarkeit der Daten erschwert. Für parodontal kompromittierte Molaren zeigt eine aktuelle prospektiv kontrollierte Studie, dass Alveolarkammerhaltung den bukkalen Volumenverlust und den zentralen Konturkollaps im Vergleich zur Spontanheilung reduziert und den Bedarf an zusätzlicher Augmentation senkt. Damit lässt sich die implantatprothetische Planung zuverlässiger im Sinne eines prothetisch rückwärts gedachten Vorgehens umsetzen. Ergänzend werden neue technische Ansätze beschrieben, die die Weichgewebeheilung in defektgeprägten Situationen adressieren. Dazu gehört die zusätzliche Abdeckung mit einer Kollagenmembran als äußere Schicht über dem Augmentat als Mono- oder Doublelayer-Konzept mit dem Ziel, die Graft-Stabilität zu schützen, keratinisierte Mukosa zu gewinnen und die sekundäre Heilung zu unterstützen. Erste Fallserien berichten über ausreichend Kammbreiten und konsistent mindestens 2 mm keratinisierte Mukosa, die Aussagekraft ist aufgrund des Designs naturgemäß limitiert.
Abb. 1
Koronaransicht im Rahmen einer digitalen Volumentomographie nach Implantation im Seitenzahnbereich nach zuvor stattgefundener noch erkennbarer Alveolarkammaugmentation im vestibulären Kieferkammbereich.
Bild vergrößern
Abb. 2
Zweidimensionale röntgenologische Aufnahme (intraoral) mit Saggitalansicht nach prothetischer Versorgung und des noch erkennbaren periimplantären Augmentationsbereichs.
Bild vergrößern
Abb. 3a
Zustand nach Frontzahntrauma mit nachfolgender prothetischer Versorgung im Wechselgebiss vor ca. 10 Jahren.
Bild vergrößern
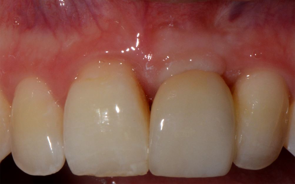
Abb. 3b
Situation direkt nach implantatprothetischer Versorgung (bei noch nicht abgeschlossener Weichgewebsregeneration) nach zuvor stattgefundener Zahnextraktion, Augmentation des Kieferkammbereiches und Spätimplantation.
Bild vergrößern
Titel
Präimplantologische Alveolarkammerhaltung und Alveolarkammrekonstruktion
Verfasst von
Prof. Dr. Karl M. Lehmann
Prof. Dr. Dr. Peer W. Kämmerer
Publikationsdatum
01.12.2025
Verlag
Springer Medizin
Erschienen in
ZI Zahnärztliche Implantologie / Ausgabe 4/2025
Print ISSN: 3004-8699
Elektronische ISSN: 3004-8702
DOI
https://doi.org/10.1007/s44293-025-0131-9

Neu im Fachgebiet Zahnmedizin

Krankenkassen erklären sich bereit, therapeutische Wundprodukte weiterhin zu erstatten

  • 05.12.2025
  • EBM
  • Nachrichten

Aktuell gesteigertes Regressrisiko bei der Verordnung therapeutischer Wundauflagen? Vielerorts signalisieren Kassen und KVen schon Entwarnung.

Betriebliche Weihnachtsfeier: So ist die Gesetzliche Unfallversicherung mit von der Partie

Damit die Gesetzliche Unfallversicherung auch dann leistet, wenn während der betrieblichen Weihnachtsfeier gestolpert wird und hingeschlagen, sind einige Voraussetzungen zu beachten.

gematik verlängert Frist für Austausch der E-Arztausweise

Nachdem die Berichte über Probleme beim Austausch der E-Arztausweise für die digitale Signatur in der Telematikinfrastruktur nicht abrissen, hat die gematik jetzt die Notbremsung eingeleitet: Demnach können eHBA der alten Version nun bis 30. Juni 2026 genutzt werden. Für alte Konnektoren gibt es keinen Aufschub.

Oft genug, aber nicht sauber genug

Viele Deutsche putzen regelmäßig ihre Zähne – doch die meisten erreichen keine Plaquefreiheit. Studien zeigen: Unsystematisches Putzen führt oft zu Zahnfleischentzündungen. Forschende wollen mit KI und gezielter Anleitung die Mundhygiene verbessern..

Update Zahnmedizin

Bestellen Sie unseren kostenlosen Newsletter und bleiben Sie gut informiert – ganz bequem per eMail.

Bildnachweise
Versorgung einer infizierten Wunde bei diabetischem Fuß/© kirov1969 / Stock.adobe.com (Symbolbild mit Fotomodellen), Glatte Straße mit Schnee bedeckt/© Urheber / Agentur (Symbolbild mit Fotomodell), Arztausweis/© Ulrich Zillmann / FotoMedienService / picture alliance (Symbolbild mit Fotomodell)