Zum Inhalt
Die Urologie

65/m mit stattgehabter Makrohämaturie und auffälligem Sonographiebefund

Vorbereitung auf die Facharztprüfung: Fall 1

Erschienen in:

Auszug

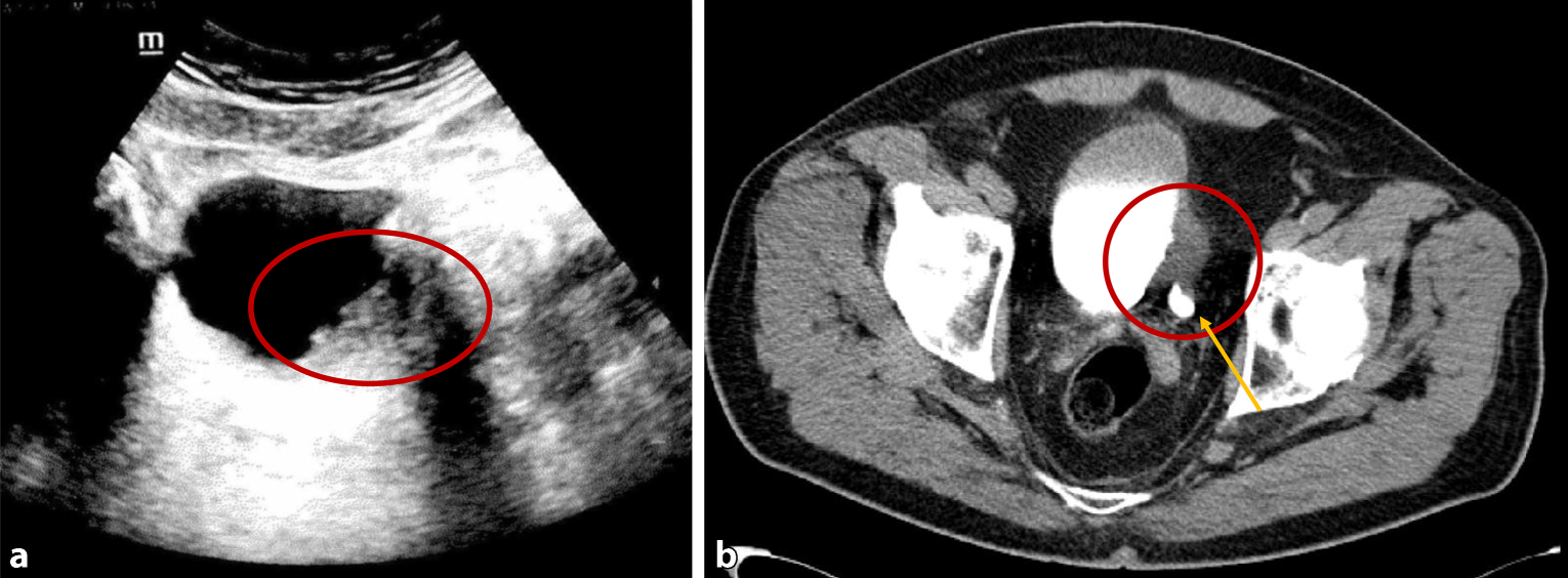
In Ihre Ambulanz kommt ein 65-jähriger Patient mit stattgehabter einmaliger und erstmaliger Makrohämaturie. Dysurische und pollakisurische Beschwerden werden verneint. Aktuell ist der Urin klar. Im Ultraschallbild sehen Sie einen ca. 3–4 cm großen Blasentumor am linken Blasenboden (Abb. 1a) und einen weiteren exphytischen Tumor am Blasendach. Zudem zeigt sich eine Grad-II-Ektasie der linken Niere. Die Laboruntersuchung ist bis auf eine Anämie (Hämoglobin- [Hb-]Wert 12,6 g/dl) unauffällig.
Abb. 1
a Ultraschallbild der Harnblase mit Verdacht auf Harnblasentumor an der linken Trigonalleiste. b CT-Urogram des Patienten vor transurethraler Resektion von Harnblase (TURB) mit deutlicher Wandverdickung im Bereich des rechten Ostiums und erweitertem Harnleiter präostial (Pfeil)
Bild vergrößern
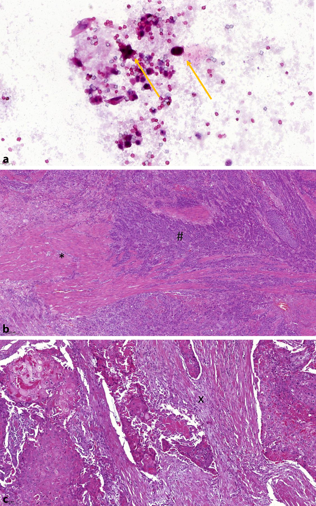
Abb. 2
a Urinzytologie mit eindeutig dysplastischen Kernen (gelbe Pfeile) – hoch suspekt auf das Vorliegen eines High-grade-Urothelkarzinoms. b Muskelinvasives Harnblasenkarzinom (Raute) mit Infiltration der Lamina muscularis der Harnblase (Sternchen). c Harnblasenkarzinom mit plattenepithelialer Differenzierung (x). (Mit Bestem Dank an Dr. Markus Eckstein, Erlangen)
Bild vergrößern
Titel
65/m mit stattgehabter Makrohämaturie und auffälligem Sonographiebefund
Vorbereitung auf die Facharztprüfung: Fall 1
Verfasst von
Prof. Dr. med. Maximilian Kriegmair
Publikationsdatum
30.10.2020
Verlag
Springer Medizin
Erschienen in
Die Urologie / Ausgabe Sonderheft 2/2020
Print ISSN: 2731-7064
Elektronische ISSN: 2731-7072
DOI
https://doi.org/10.1007/s00120-020-01370-y
Dieser Inhalt ist nur sichtbar, wenn du eingeloggt bist und die entsprechende Berechtigung hast.

Passend zum Thema

ANZEIGE

G-CSF mit neuartiger Struktur – langwirksam ohne PEGylierung

Zur Unterstützung der Chemotherapie werden heute meist langwirksame G-CSF genutzt, die nur einmal pro CTX-Zyklus verabreicht werden müssen. Diese verlängere Wirksamkeit wurde bisher durch eine Kopplung des G-CSF Moleküls an Polyethylenglykol (PEG) erreicht. Ein neuentwickeltes G-CSF kann erstmals eine lange Wirksamkeit ohne PEGylierung erreichen und den zunehmenden Bedarf an einer langwirksamen PEG-freien CIN-Prophylaxe decken.

ANZEIGE

Klinische Studien belegen Wirksamkeit eines neuartigen G-CSF

Die klinische Wirksamkeit eines PEG-freien G-CSF wurde in drei Phase III-Studien im Vergleich zu bisher verfügbaren kurz- und langwirksamen PEGylierten G-CSF belegt. Die PEG-freie Substanz erwies sich als mindestens ebenso wirksam, mit anhaltender Wirkung über alle Chemotherapiezyklen.

ANZEIGE

Neutropenien kontrollieren - für eine Chemotherapie nach Plan

Die Neutropenie-Prophylaxe mit G-CSF hat einen festen Stellenwert in der Supportivtherapie onkologischer Patienten. Die zunehmende Prävalenz von Antikörpern gegen Polyethylenglykol (PEG) führt zu einem wachsenden Bedarf für nicht-PEGylierte langwirksame G-CSF. Erfahren Sie hier mehr über neue Erkenntnisse und Entwicklungen zur Neutropenie-Prophylaxe mit G-CSF.

Apogepha Arzneimittel GmbH
Bildnachweise
Teaserbild G-CSF mit neuer Struktur/© Apogepha, Glass vial, pipette and woman scientist in laboratory for medical study, research or experiment. /© HockleyMedia24/peopleimages.com / Adobe Stock (Symbolbild mit Fotomodellen), Erythrozyten und Leukozyten/© Apogepha