Zum Inhalt

Die Frau mit der geschwollenen Zunge

Die Patientin kann seit einer Woche wegen zunehmender Zungenschmerzen und -schwellung weder richtig essen noch schlucken. Eine Biopsie der Zunge ergibt unter anderem eine eosinophile granulomatöse Entzündung. Im Labor konnten jedoch keine Autoantikörper nachgewiesen werden. Wie geht es jetzt weiter?

weiterlesen

Aus der Medizin

Bei präoperativer Dyspnoe könnte sich gezieltes Atemtraining lohnen

Eine präoperative Dyspnoe war bei Teilnehmenden eines Prähabilitationsprogramms ein Risikofaktor für suboptimale Ergebnisse nach Op. am Magen-Darm-Trakt. Forschende aus den USA plädieren für ein verstärktes individuelles Atemtraining.

Bundesverfassungsgericht: Triage-Regelung nicht mit Grundgesetz vereinbar

Das Bundesverfassungsgericht hat Regelungen zur Triage für nichtig erklärt. Es gab damit Verfassungsbeschwerden von Intensiv- und Notfallmedizinern statt. Der Eingriff in die Berufsfreiheit der Ärztinnen und Ärzte sei verfassungsrechtlich nicht gerechtfertigt, betont das Gericht.

Ein Implantat ohne Gewinde

Ein neu entwickeltes Zahnimplantat verspricht eine schonendere und präzisere Versorgung nach Zahnverlust. Forschende der TU Berlin und der Charité haben eine innovative Prozesskette geschaffen, die patientenspezifischen Zahnersatz direkt nach der Zahnentfernung ermöglicht.

Mit „pflanzlichen“ Supplementen in die adrenale Insuffizienz

Als pflanzlich deklarierte Nahrungsergänzungsmittel gelten mit Blick auf unerwünschte Effekte gemeinhin als harmlos. Wie sehr man sich hier irren kann, zeigt ein Fallbericht.

Was lindert kindliche Kopfschmerzen?

Die Migräne-Inzidenz steigt auch bei Kindern und Jugendlichen. Medikamentös gibt es nur wenige Optionen, insbesondere für die Prophylaxe. Multimodale Ansätze sind gefragt. Hilft dabei auch ein strukturiertes Riechtraining? 

Vermehrt psychische Störungen nach vorzeitiger Pubertät

Kommen Kinder vorzeitig in die Pubertät, ist das Risiko für unterschiedliche psychische Störungen deutlich erhöht. Jungen sind dabei stärker gefährdet als Mädchen.

Update Zahnmedizin

Bestellen Sie unseren Fach-Newsletter und bleiben Sie gut informiert – ganz bequem per eMail.

DGI e.Academy – Ihre digitale Fortbildungsplattform

  • Exklusive implantologische Fortbildungen
  • CME-Kurse & Springer-Fachzeitschriften
  • Leitlinien & Kongress-Highlights

Wissen, das Sie weiterbringt – kostenfrei für DGI-Mitglieder

Jetzt entdecken

Dental Cases: Schritt für Schritt erklärt

Standardbehandlungen, interessante Techniken und besondere Fälle. In den Dental Cases finden Sie schrittweise Anleitungen und Falldokumentationen detailliert beschrieben und anschaulich dargestellt. Die Sammlung beinhaltet schon 50 Fälle aus allen Bereichen der Zahnmedizin. Schauen Sie doch mal rein!

hier gehts zu den Dental Cases

Neueste CME-Kurse

Die Assoziation von Parodontitis und rheumatoider Arthritis

CME: 2 Punkte

Parodontitis (PAR) und rheumatoide Arthritis (RA) gehören zu den häufigsten chronisch entzündlichen Erkrankungen des Menschen. In diesem Fortbildungsbeitrag beschreiben wir Ätiologie, Diagnostik, Klassifikation und Therapie der RA und klären über die Assoziation zwischen RA und PAR und deren Pathomechanismen auf. Somit sind Sie in der Lage, im Sinne eines interdisziplinären, präventiv ausgerichteten Behandlungsansatz die RA bei der zahnärztlichen Behandlung zu berücksichtigen.

Zusammenhänge zwischen parodontalen Entzündungen und kardiovaskulären Erkrankungen

CME: 2 Punkte

Herz-Kreislauf-Erkrankungen stellen weltweit die häufigste Todesursache dar und sind in Europa für ca. 3,9 Mio. Todesfälle (45% aller Todesfälle) verantwortlich. In diesem Fortbildungsbeitrag zeigen wir die Hintergründe der Zusammenhänge zwischen Parodontitis und kardiovaskulären Erkrankungen auf. Dadurch wissen Sie, was Sie bei Patienten/-innen mit kardiovaskulären Erkrankungen im Rahmen der Parodontitisbehandlung berücksichtigen müssen und können die wechselseitigen Risiken gegenüber Ihren Patient*innen aufklären.

Penicillinallergie: eine medizinische Herausforderung

CME: 3 Punkte

Obwohl Allergien auf β-Laktam-Antibiotika, v. a. Penicilline, zu den am häufigsten berichteten Arzneimittelallergien gehören, verträgt die Mehrheit der Patienten diese Antibiotika ohne Probleme. Die Dokumentation einer vermeintlichen Allergie ist für den Patienten mit erheblichen Nachteilen verbunden. Da umfangreichere Allergietests im ambulanten Setting nicht darstellbar sind, wurde kürzlich der sog. anamnesebasierte PEN-FAST-Score entwickelt. Um Sie bei der praktischen Arbeit zu unterstützen, fassen wir alles Wichtige zum Überblick allergischer Reaktionen, zu Ausweichpräparaten und Tests zusammen.

Implantatversorgung bei seltenen Erkrankungen mit orofazialer Beteiligung

CME: 2 Punkte

In diesem Fortbildungsbeitrag stellen wir die Möglichkeiten der oralen Rehabilitation mit dentalen Implantaten bei Personen mit seltenen Erkrankungen dar. Für Ektodermale Dysplasie, Singleton-Merten-Syndrom, Achondroplasie, Pierre-Robin-Syndrom und Hanhart-Syndrom klären wir die zahnmedizinischen Aspekte hinsichtlich deren Merkmale und Komplikationen sowie die Indikationsstellungen für Implantate je nach Alter und Schweregrad der Erkrankung.

Mein CME

Punktekonto, Kursarchiv, Bescheinigungen – Ihr persönlicher CME-Bereich

Weiterführende Themen

Biokeramische Sealer in der Wurzelkanalbehandlung - eine echte Alternative?

Die klassische Wurzelkanalobturation erfolgt in vielen Praxen mit Epoxidharz-basierten Sealern, die in Kombination mit der warm-vertikalen Obturationstechnik den derzeitigen Goldstandard für Wurzelkanalfüllungen darstellen. In den letzten Jahren ist jedoch ein zunehmendes Interesse an bioaktiven Materialien zu beobachten - insbesondere an Sealern auf Basis von Kalziumsilikat. Aber wie gut ist die klinische Performance dieser neuen bioaktiven Wurzelkanal-Sealer?

weiterlesen

Frontzahnästhetik mit direkten Kompositrestaurationen

In der modernen Zahnmedizin stehen neben der Funktionalität das präventionsorientierte Vorgehen und die Ästhetik im Fokus. Eine Frontzahnrestauration soll nicht nur die Kaufunktion wiederherstellen, sondern im besten Fall unsichtbar sein. In der aktuellen S3-Leitlinie wurde das Indikationsfeld für Kompositrestaurationen erneut erweitert. In diesem Sinn gehen wir mit diesem Fortbildungsbeitrag auf die korrekte Umsetzung von therapeutischen Maßnahmen ein, die eine natürliche Ästhetik, gute Überlebenszeiten und ein dauerhaft hochwertiges Ergebnis gewährleisten.

weiterlesen

Verlagerte und retinierte Zähne – ein interdisziplinäres Arbeitsfeld

Verlagerte und retinierte Zähne werden in der ersten und noch häufiger in der zweiten Wechselgebissperiode diagnostiziert. Eine frühzeitige Diagnostik kann dazu beitragen, die Eingliederung der Zähne durch eine kombinierte kieferorthopädisch-kieferchirurgische Therapie in die Wege zu leiten. Dieser Fortbildungsbeitrag beschäftigt sich v. a. mit dem fehlenden Durchbruch bleibender Zähne und beschreibt die Zusammenarbeit und das chirurgische Vorgehen bei verlagerten und/oder retinierten Zähnen sowie die Insertion von skelettalen Verankerungssystemen.

weiterlesen

Review: S3-Leitlinie „Seltene Erkrankungen der Zähne“

Seltene genetische Zahnerkrankungen umfassen über 400 definierte Entitäten, deren molekulargenetische Ursachen in der Mehrzahl identifiziert sind. Wir geben ein Review der Handlungsempfehlungen der kürzlich veröffentlichten S3-Leitlinie der AWMF zur Diagnostik und Therapie. Mit insgesamt 41 Empfehlungen schafft sie eine strukturierte Grundlage für eine qualitätsgesicherte zahnärztliche Betreuung.

weiterlesen

Klassifikation von Mund- und Gesichtsschmerzen

Die International Classification of Orofacial Pain (ICOP) stellt den ersten Versuch einer weltweit einheitlichen Taxonomie der Mund- und Gesichtsschmerzen dar. Um die Vorteile der ICOP herauszuarbeiten, werden auch bereits bestehende Klassifikationssysteme kurz vorgestellt.

weiterlesen

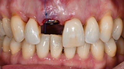
Sofortimplantation bei einer parodontal kompromittierten Patientin nach abgeschlossener kieferorthopädischer Behandlung im Erwachsenenalter

Die implantologische Versorgung parodontal kompromittierter Patienten erfordert ein hohes Maß an interdisziplinärer Planung und klinischer Präzision. Im vorliegenden Fallbericht wird die Versorgung einer Patientin mit fortgeschrittener Parodontalerkrankung beschrieben, bei der im Anschluss an eine abgeschlossene kieferorthopädische Therapie ein nicht erhaltungswürdiger Frontzahn extrahiert und unmittelbar durch ein Implantat ersetzt wurde. Dabei stellten sich mehrere Herausforderungen...

weiterlesen

Moderne Arbeitszeiterfassung in der Zahnarztpraxis

Auch Zahnarztpraxen fallen unter den Beschluss des Bundesarbeitsgerichtes von September 2022 zur Pflicht des Arbeitgebers für eine betriebliche Arbeitszeiterfassung. Unser Beitrag zeigt, dass Dank digitaler Systeme im Gegensatz zum früher üblichen manuellen Aufzeichnen mit Stundenzetteln oder Excel-Tabellen die Erfassung heute komfortabel möglich ist. Darüber hinaus bieten diese Systeme mit zusätzlichen Features rund um das Arbeitszeitmanagement weitere Vorteile.

weiterlesen

Neue Wege in der Kinderzahnmedizin - CAD/CAM als digitale Therapieoption

Die Computer-aided Design/Computer-aided Manufacturing (CAD/CAM)-Technologie ist in der zahnärztlichen Behandlung von Erwachsenen bereits seit vielen Jahren etabliert. In der Kinderzahnmedizin hingegen ist ihr Einsatz ein vergleichsweise neues Anwendungsfeld. In diesem Fortbildungsbeitrag geben wir einen Überblick über die Einsatzmöglichkeiten von CAD/CAM-Technologien in der Kinderzahnmedizin. Dabei werden zentrale Aspekte wie Indikation und therapeutisches Vorgehen anhand von klinischen Fallbeispielen erläutert, um aufzuzeigen, wie sich diese digitalen Verfahren sinnvoll in den Praxisalltag integrieren lassen.

weiterlesen

Die Frau mit der geschwollenen Zunge

Die Patientin kann seit einer Woche wegen zunehmender Zungenschmerzen und -schwellung weder richtig essen noch schlucken. Eine Biopsie der Zunge ergibt unter anderem eine eosinophile granulomatöse Entzündung. Im Labor konnten jedoch keine Autoantikörper nachgewiesen werden. Wie geht es jetzt weiter?

weiterlesen

Bildgebung

Osteomyelitis der Kiefer, medikamentenassoziierte Kiefernekrose und Osteoradionekrose sind gängige Krankheitsbilder in mund-, kiefer- und gesichtschirurgischen wie auch in zahnärztlichen Behandlungseinrichtungen. Häufig stellt die zahnärztliche Praxis die erste Anlaufstelle für diese Patienten dar. In diesem Fortbildungsbeitrag geben wir Ihnen einen Überblick über das radiologische Erscheinungsbild der drei genannten Pathologien und die zum Einsatz kommenden Bildmodalitäten.

weiterlesen

Removal of a fractured file beyond the apical foramen using robot-assisted endodontic microsurgery: a clinical report

Endodontic file fractures are common complications of root canal treatment, and requires removal via specialized techniques such as endodontic microsurgery when the file beyond the apical foramen. It is often challenging to precisely and minimally remove a fractured file. Recently the use of dental autonomous robotic system (ATR) has shown promise in precision and minimality in dental surgery. Therefore, this case details a technique for using the ATR system to guide the removal of a fractured file beyond the apical foramen.

weiterlesen

Sofortimplantation bei einer parodontal kompromittierten Patientin nach abgeschlossener kieferorthopädischer Behandlung im Erwachsenenalter

Die implantologische Versorgung parodontal kompromittierter Patienten erfordert ein hohes Maß an interdisziplinärer Planung und klinischer Präzision. Im vorliegenden Fallbericht wird die Versorgung einer Patientin mit fortgeschrittener Parodontalerkrankung beschrieben, bei der im Anschluss an eine abgeschlossene kieferorthopädische Therapie ein nicht erhaltungswürdiger Frontzahn extrahiert und unmittelbar durch ein Implantat ersetzt wurde. Dabei stellten sich mehrere Herausforderungen...

weiterlesen

Neueste CME-Kurse aus dem e.Dent-Abo

CME: Echte Penicillinallergie - ja oder nein?

Allergien auf β-Laktam-Antibiotika gehören zu den häufigsten Arzneimittelallergien. Dazu fassen wir allergische Reaktionen, Ausweichpräparate und Tests zusammen. Zusätzlich stellen wir eine einfachere, anamnesebasierte Diagnostik im ambulanten Setting vor: den PEN-FAST-Score.

CED: Ein Update für die hausärztlich-internistische Praxis

Chronisch entzündliche Darmerkrankungen (CED) stellen eine diagnostische und therapeutische Herausforderung dar. Angesichts der häufig sehr unspezifischen Symptome und der klinischen Überschneidung mit funktionellen Darmerkrankungen wie dem …

Therapie der Herzinsuffizienz nach Dekompensation

Die frühzeitige Einleitung einer leitliniengerechten medikamentösen Therapie bei akuter Herzinsuffizienz verbessert nachweislich die Prognose und das Überleben. Leitlinien empfehlen, die optimale medikamentöse Therapie schon im Krankenhaus zu …

Evidenzbasierte Therapie viraler Atemwegsinfekte

Virale Atemwegsinfekte stellen eine bedeutende Herausforderung für das öffentliche Gesundheitswesen dar. Dieser Beitrag gibt einen Überblick über die aktuellen evidenzbasierten Strategien bei Diagnostik und Therapie respiratorischer Infektionen …

Machen Sie mit: Ihre gute Antwort auf unsere gute Frage! (Link öffnet in neuem Fenster)

Ihr Foto ganz weit vorn in unserer Zeitschrift – wäre das nicht was? Beantworten Sie uns einfach eine Frage zu Ihrem Leben als Zahnärztin oder Zahnarzt, und schon sind Sie in einer der nächsten Ausgaben von Die junge Zahnmedizin dabei. Die aktuelle Frage und alle weiteren Infos finden Sie hier.

hier geht es zur Frage

Update Zahnmedizin

Bestellen Sie unseren Fach-Newsletter und bleiben Sie gut informiert – ganz bequem per eMail.

Bildnachweise
Geschwollene Zunge der Patientin/© Munzinger F et al. doi.org/10.1007/s00106-025-01662-9 unter CC-BY 4.0, Illustration eines Zahns im Längsschnitt mit eingebrachter endodontischem Instrument/© Aleksandra Gigowska / Stock.adobe.com, Frau mit schmerzendem Kiefer/© Adiano / stock.adobe.com (Symbolbild mit Fotomodell), Illustration des Ziffernblatts einer Uhr als App-Kachel mit blauem Hintergrund und weißen Zeigern/© Alex White / Fotolia, Osteotomy procedure. Mehrere Hände halten an einem zur OP abgedeckten Gesicht Abhalter in den offenen Mund eines Patienten. Von links ist ein länglicher, mechanisch-robotischer Arm zu sehen, dessen Spitze zum Mund führt./© M. Fu, S. Zhao, X. Zhou, B. Hou, C. Zhang | BMC Oral Health (25)·8, Lungentrainer/© S@photo / stock.adobe.com (Symbolbild mit Fotomodell), Junge Ärztin vor einem Triage-Zelt/© Milos / Stock.adobe.com (Symbolbild mit Fotomodell), Tabletten werden in Hand geschüttet/© O.Farion / Stock.adobe.com (Symbolbild mit Fotomodell), Kranker Junge mit erhöhter Temperatur/© Imgorthand / Getty Images / iStock (Symbolbild mit Fotomodell), Logo DGI e.Academy/© youvivo GmbH / DGI e.V., Okklusale Ansicht Zahn 26: Eingesetztes Individuelles Healing Abutment. Umgebendes Weichgewebe ist mit Nähten fixiert./© Niko Erhard | Die junge Zahnmedizin (16)·2:Centerfold, Zahn 23: Pulpakavum ist vollständig dargestellt. Am Pulpakammerboden lassen sich alle vier Kanaleingänge identifizieren./© M. Hülsmann | Der Freie Zahnarzt (68)·12:58-68, Röntgenbild: Ausschnitt der Oberkieferfrontzahnregion. Zahn 11 und Zahn 21 vorhanden. An Stelle von Zahn 22 ist nur die leere Alveole zu sehen. Weiße Pfeile zeigen auf Zahn 21/© E. Maier, J. Lubauer, K. Galler | Oralprophylaxe & Kinderzahnmedizin (47)·3:161-164, Illustration eines Zahns mit Wurzel im Querschnitt in Knochen. In Zahn und Wurzel ist eine endodontisches Instrument eingebracht./© Maksym Yemelyanov / stock.adobe.com, Illustration eines Zahnbogens mit transparenten Zähnen. In einem Zahn wird eine endodontisches Instrument eingeführt/© Alexandr Mitiuc / stock.adobe.com, Kanüle mit endodontischer Arbeitsspitze, die in einem Messgerät mit Skala zur Bestimmung der Arbeitslänge steckt/© A.D. Nguyen, C. Witting, Ch.R. Gernhardt | Der Freie Zahnarzt (68)·2:56-63, Beispiel einer Mehrschicht- und Mehrfarbentechnik. Aufbau der approximalen Schmelzwände der Zähne 11 und 12 mit individueller Verschalungstechnik und einem Farbverlauf von inzisal nach zervikal/© A. Bolbos | Die junge Zahnmedizin (16)·3:10-19, Zähne einer Seniorin mit Parodontalerkrankung/© Universitätsklinikum Heidelberg, Mädchen hält Zahnbürste mit Zahnpasta/© diamant24 / iStock / Thinkstock, Intraorale Aufnahmen: hochgewölbter Gaumen mit Schleimhautverdickung und kariösen Zähnen/© G. Bilello, A. La Torre, G. Giuliana | Oralprophylaxe & Kinderzahnmedizin (47)·2:83-89, Molaren im UK mit Kavität. Angelegte und einseitig beschliffene Teilmatrize, Abdichtung mit kompaktiertem Teflonband/© C. Mempel, A.-K. Lührs | wissen kompakt (19)·2:75-86, Molaren mit Amalgamfüllung/© icefront / Getty Images / iStock, Orthopantomogramm mit verlagerten Eckzähne und zweiten Molaren im Oberkiefer, Zahnkeime der Sapientes in allen vier Quadranten/© D. Müller-Winter, J. Heider | wissen kompakt (19)·3, Mann erhält eine Spritze im Gesicht/© Alvaro / Stock.adobe.com (Symbolbild mit Fotomodell), Seitliche Ansicht eines Kiefers in Okklusion: Okklusale Abrasion mit komplettem Verlust der Kaufläche sichtbar/© Moataz Bayadse, Mund eines Kindes mit fester Zahnspange und Zahnlücke/© Daria Nipot / Stock.adobe.com (Symbolbild mit Fotomodell), Älterer Mann in hellbraunem Pullover hält sich beide Hände an die Wangen und macht einen besorgten Ausdruck/© Nes / Getty Images / iStock (Symbolbild mit Fotomodell), Antiresorptiva-assoziierte Kiefernekrose/© © O. Ristow, Frontalansicht auf Gebiss in Okklusion: Zähne sind mit gelblich braunem Belag versehen. Zahnfleisch stellenweise gerötet/© J. Kühnisch | Oralprophylaxe & Kinderzahnmedizin (47)·3:184-193, Offener Mund: Wange, Mundboden und Zunge werden von einer bogenförmigen, transparenten Schiene fixiert, die zwischen den Kiefern klemmt./© N. Schulz-Weidner, M. A. Schlenz | Oralprophylaxe & Kinderzahnmedizin (47)·3:198-205, Offener Mund mit herausgestreckter Zunge. in der Mitte der Zunge ist eine große herzförmige und weißliche Verfärbung der Oberfläche zu sehen./© R. Steffen | Oralprophylaxe & Kinderzahnmedizin (47)·2:77-78, Unterkieferfrontzahnbereich: Verbandplatte nach Zahnextraktion im Unterkiefer/© F. Siegberg, P. W. Kämmerer | wissen kompakt (19)·3, Zwei in blaue Arztkittel gekleidete Personen stehen an einem auf dem Behandlungsstuhl liegenden Patienten und führen über eine Lupeninstallationen eine Behandlung im Mund durch/© karrastock / Stock.adobe.com (Symbolbild mit Fotomodellen), Orthopantomogramm eines Unterkiefers mit zwei gelben Pfeilen: Doppelkontur im Bereich des äußeren Kieferwinkels als Ausdruck einer periostalen Knochenapposition, milchglasartige Darstellung des linken aufsteigenden Unterkieferastes/© M. Maurer | Der Freie Zahnarzt (68)·10:64-71, Digitaler Scan und Illustration: Kiefer im seitlichen Profil. Am Kiefergelenk ist eine gelblich dargestellte Endoprothese am Gelenk und Unterkieferknochenansatz zu sehen./© J. Rustemeyer | Die MKG-Chirurgie (17)·3:205-221, Offene Wunde im Oberkiefer und fehlender Frontzahn. Eine weißliche A-PRF-Matrix wird eingebracht./© D. Heimes, E. Naser | wissen kompakt (19)·3, MRT des Beckens: Uterus und Ovarialtumoren/© Hosten AK et al. / all rights reserved Springer Medizin Verlag GmbH, Zahn 11: Zustand nach Sofortimplantation und Bindegewebstransplantation. Zahnlücke mit eingebrachtem Implantat und vernähter Wunde/© A. Rudolph | ZI Zahnärztliche Implantologie (2)·3:144-147, Palatinale Ansicht eines Oberkiefers mit metallisch überkronter Restbezahnung und Zahnlücken/© J.M. Stein | Die MKG-Chirurgie (18)·2:116-123, Klinische Abbildung: mehrere freigelegte enossale Implantate im Kieferkamm mit horizontalem Knochenabbau/© S. Becher | Die MKG-Chirurgie (18)·2:133-140, DGI-Podcast. Blauer Hintergrund in mehreren Schattierungen. im Vordergrund Textzug: Dr. Christian Hammächer. Parodontitis-Patienten implantieren - Wann und wie sicher umsetzen?/© DGI-Deutsche Gesellschaft für Implantologie GmbH, Gute Frage - Gute Antwort/© [M] MclittleStock / Stock.adobe.com (modifiziert durch Springer Verlag), DGI-Podcast. Blauer Hintergrund in mehreren Schattierungen. im Vordergrund Textzug: Prof. Knut A. Grötz. Rechtssicher aufklären - Erstgespräch bis Dokumentation/© DGI-Deutsche Gesellschaft für Implantologie GmbH, Roboterhand hält zahnmedizinisches Röntgenbild vor dem Hintergrund einer Behandlungsleuchte/© phonlamaiphoto / stock.adobe.com, Ausschnitt einer Krankenversichertenkarte/© [M] YK / stock.adobe.com, modifiziert vom Springer Verlag, Gesicht mit zugekniffenen Augen und gerunzelter Stirn/© L Ismail / peopleimages.com / stock.adobe.com (Symbolbild mit Fotomodell), Korbinian Benz/© K. Benz | Die junge Zahnmedizin (16)·2:48-52, Digitale Modelldarstellung eines zirkulären Provisoriums (Zahnreihe im Oberkiefer weiß, Zahnreihe im Unterkiefer und restliches Mockup gelb)/© S.M. Blender, H. Rudolph | wissen kompakt (19)·2:68-74, Während die Quadrantenstütze des Vertikalextraktorsystems auf den Zähnen 12, 13, 22 und 23 aufliegt, wird Zahn 21 mit einer Seilwinde nach dem Flaschenzugprinzip herausgezogen/© S. Kistler | ZI Zahnärztliche Implantologie (1)·4:228-237, Aufsicht auf Kaufläche eines Molar mit Molaren-Incisiven-Hypomineralisation isoliert durch hellblauen Kofferdamm/© A. I. Guzman de Hoyos | Oralprophylaxe & Kinderzahnmedizin (46)·4:290-291, Pflegebett mit Rausfallschutz und Fernbedienung/© Alterfalter - Fotolia, Zwei zahnmedizinische Vollprothesen die aufeinanderliegen/© Eshma / Getty Images / iStock, Ulzerative Form des oralen Lichen planus/© Abdusalamov K. et al. doi.org/10.1007/s00105-025-05540-x unter CC-BY 4.0, Blutige Mukositis Tag 9 nach stationärer Aufnahme/© Kolbe H et al. / all rights reserved Springer Medizin Verlag GmbH, Springer Medizin Podcast - Trigeminusneuralgie/© (M) pain au chocolat / stock.adobe.com (Symbolbild mit Fotomodell), Gaumen im offenen Mund: Symmetrische, leicht erhabene, unscharf begrenzte Erythroplakie am Hartgaumen beidseits/© M. Niu, J. Shakhtour, K.D. Wolff | Die MKG-Chirurgie (18)·2:148-151, Orthopantomogramm: auf dem Bild sind mehrere Implantate im Ober und Unterkiefer sowie nicht emmergierte Zähne zu sehen/© G. Trento, T. Joanning, H. Parize, L. Daume, J. Kleinheinz | wissen kompakt (19)·1:16-24, Arzt führt bei Patienten auf zahnmedizinischem Behandlungsstuhl eine Untersuchung mit einem Ultraschallgerät vor. Der Arzt hält das Handstück an den Kiefer des Patienten./© D.G.E. Thiem, S. Vinayahalingam | Die MKG-Chirurgie (18)·1:37-43, Zervikale Resorption an 14/© S. Neumeyer | wissen kompakt (18)·3:92-98, MRT-Bildgebung mit Kontrastmittel: Schädel mit raumforderndem Prozess auf Höhe des linken Kiefergelenks/© P. Gebhart, G. Levidou, J. Stix, A.W. Eckert | Die MKG-Chirurgie (17)·3:194-199, Isolierte Fraktur der Stirnhöhlenvorderwand/© Albrecht T. et al. / all rights reserved Springer Medizin Verlag GmbH, DGI-Podcast. Blauer Hintergrund in mehreren Schattierungen. im Vordergrund Textzug: Prof. Dr. Dr. Bilal Al-Nawas. Zwischen OP und Privatleben - Die Strategien von Prof. Al-Nawas/© DGI-Deutsche Gesellschaft für Implantologie GmbH, Penicillinallergie an der Hand/© Halling, F., Kronenberger, B. | Die MKG-Chirurgie (18)·3:218-225, Logo