Zum Inhalt
Innere Medizin Onkologie und Hämatologie

Onkologie und Hämatologie

Therapiezieländerung und Palliativtherapie auf Intensiv – wann und wie?

Wann ist bei intensivmedizinisch betreuten Krebskranken eine Therapiezieländerung sinnvoll? Ein „zeitlich begrenzter Therapieversuch“ kann den Entscheidungsprozess bei unklarer Prognose strukturieren – angepasst an die konkrete Situation, insbesondere bei Beendigung lebenserhaltender Maßnahmen. Ebenso entscheidend ist die angemessene Kommunikation.

weiterlesen

Update Onkologie

Bestellen Sie unseren Fach-Newsletter und bleiben Sie gut informiert.

Nachrichten

Wo ist das größte Innovationspotenzial in der Strahlentherapie?

Mit freundlicher Unterstützung von:
  • Deutsche Krebsgesellschaft und Deutsche Krebshilfe

Therapieoptionen beim NSCLC managen

Mit freundlicher Unterstützung von:
  • Deutsche Krebsgesellschaft und Deutsche Krebshilfe

Vorbereitungskurs zur Facharztprüfung Innere Medizin - Hämatologie und Onkologie (Link öffnet in neuem Fenster)

  • 69 klinische Fallbeispiele verschiedener Themenfelder, aktualisiert und erweitert um 4 Fälle aus der Palliativmedizin
  • Typische Prüfungsfragen mit ausführlichen Antworten
  • Klinisch relevante Abbildungen

Von renommierten Experten und erfahrenen Prüferinnen entwickelt und zur Vorbereitung empfohlen.

Jetzt kostenlos fortbilden
Für die fachärztliche Weiterbildung

Medizinwissen für den Klinikalltag

Podcast

Frailty: Funktionalität erhalten – aber wie?

Ab 60 Jahren in die Muckibude? Häufiger ein Frühstücksei im Alter? Zurückhaltung bei der Blutdruckregulation? Persönlich wie auch fachlich besprechen Markus M. Lerch und Cornel Sieber die Besonderheiten bei Prävention und Therapien im Alter. Und was es eigentlich bedeutet, gebrechlich – also frail – zu sein.

Deutsche Gesellschaft für Innere Medizin

Patient nach Chemotherapie – plötzliche nächtliche Verschlechterung

Auf der hämatologischen Station präsentiert sich ein 58-jähriger Patient mit zunehmender Schwäche, Übelkeit und Erbrechen. Er befindet sich am vierten Tag des ersten Zyklus einer intensiven Chemotherapie. Zusätzlich bestehen eine Tachykardie, Unruhe und Muskelzuckungen. Im Labor fallen u.a. Hyperkaliämie, Hypokalzämie und eine beginnende Niereninsuffizienz auf. Schnelles Handeln ist gefragt.

CME: Morbus Waldenström – die „Hydra unter den Lymphomen“

Der Morbus Waldenström ist ein klinisch und biologisch sehr heterogenes Lymphom. In den letzten Jahren wurden deutliche Fortschritte in der Behandlung gemacht – besonders durch die Einführung der BTK-Inhibitoren. Im folgenden CME-Beitrag werden die aktuellen Empfehlungen zur Diagnosestellung, Prognoseklassifizierung und Behandlung dargestellt.

Berufseinstieg und Praxisthemen

CME: So klären Sie über jedes Anästhesieverfahren juristisch korrekt auf

Trotz scheinbar problemloser PDA klagt eine 58-Jährige postoperativ über persistierende Schmerzen im Bereich der Punktion. Erst jetzt fällt auf, dass die Frau den Aufklärungsbogen nicht unterzeichnet hat. Warum hat ihre Strafanzeige dennoch keinen Bestand? Worauf es bei Aufklärung und Dokumentation in der Anästhesiologie ankommt: Grundlagen, Checklisten und Tipps.

Ist ein Arzt an Bord? So ist die Rechtslage

Müssen Ärztinnen und Ärzte im Flugzeug noch eingreifen, wenn ein Rettungssanitäter bereits medizinische Hilfe leistet? Wer haftet im Schadensfall? Und welches Recht gilt überhaupt an Bord? Notfallbehandlungen im Flugzeug aus rechtlicher Sicht – das sollten Sie wissen.

Resilienz: Umgang mit Stressoren in der Medizin

Die Corona-Pandemie hat gezeigt, wie wichtig resiliente Teams sind, um Krisen zu meistern und auch unter Druck eine gute Arbeit zu leisten. Moderator Prof. Markus M. Lerch befragt DGIM-Kongresspräsident Prof. Dr. med. Jan Galle zu den Facetten von Resilienz in der Inneren Medizin. Und sie geben einen Ausblick auf die geplanten Sitzungen des Kongresses.

Deutsche Gesellschaft für Innere Medizin

Nachhaltigkeit in der Klinik – Was können wir tun?

Der Klimawandel betrifft die Gesundheit und damit auch die Medizin. Dabei ist der Gesundheitssektor selbst ein relevanter Mitverursacher des Problems. Das Projekt "Carus Green" der Uniklinik Dresden zeigt, wie Kliniken und Behandelnde selbst auf ihren ökologischen Fußabdruck achten können.

Mehr auf unserer Seite "Fit für die Facharztprüfung"

Die Seite für Ärztinnen und Ärzte in Weiterbildung

Kasuistiken

Üble Überraschung in der Oberbauch-Sono

Ein 34-jähriger Maler und Lackierer, der in seiner Freizeit wettkampfmäßig Volleyball spielt, stellt sich wegen akuter Oberbauchbeschwerden ohne Übelkeit, Erbrechen oder Diarrhö vor. Mit dem Ultraschallgerät kommt man der Ursache schnell auf die Spur.

Hartnäckige Hyponatriämie als erstes Krebsanzeichen

Trotz eines Olfaktoriusneuroblastoms ist eine 36-Jährige komplett frei von sinunasalen Beschwerden. Glücklicherweise führt eine anhaltende Hyponatriämie auf die Spur des Tumors.

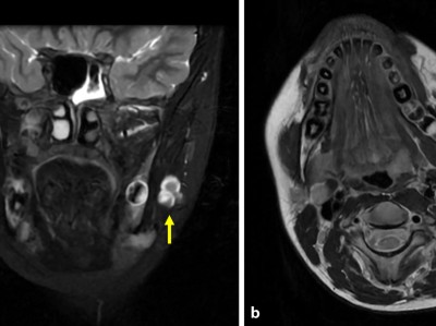
Ein Knubbel in der Wange – an welche Diagnose denken Sie?

Nach wiederholten Besuchen bei Kinder-, HNO- und Zahnärzten steht nun die 11-jährige Patientin vor Ihnen. Sie leidet seit zwei Jahren unter belastungsabhängigen Schmerzen beim Kauen. Nachdem eine vorausgegangene Sonographie und ein vergrößerter Lymphknoten eine Raumforderung im M. masseter vermuten lassen, sehen Sie nun diese MRT-Bildgebung.

Podcast

Podcast

Frailty: Funktionalität erhalten – aber wie?

Ab 60 Jahren in die Muckibude? Häufiger ein Frühstücksei im Alter? Zurückhaltung bei der Blutdruckregulation? Persönlich wie auch fachlich besprechen Markus M. Lerch und Cornel Sieber die Besonderheiten bei Prävention und Therapien im Alter. Und was es eigentlich bedeutet, gebrechlich – also frail – zu sein.

Deutsche Gesellschaft für Innere Medizin
Podcast

Endometriose: Was sich in Diagnostik und Therapie ändern muss

In der Diagnostik und Therapie der Endometriose hat sich in den letzten Jahren einiges getan. Die Aktualisierung der Leitlinie zeigt: moderne Endometriose-Versorgung muss mit überholten Vorstellungen aufräumen, Frauen in ihren Beschwerden ernst nehmen und individuell auf sie eingehen. PD Dr. med. Stefanie Burghaus, Gynäkologin und Leitlinien-Koordinatorin, erklärt im Podcast, was das für die Praxis bedeutet.

Podcast

Wechseljahre: „Ich will eine Frau behandeln und nicht die Umgebung“

Bis zu 10% ihrer Lebenszeit können Frauen in den Wechseljahren verbringen. Wie diese Phase erlebt wird und welche Symptome auftreten, ist ganz unterschiedlich. Doch wann ist eine Therapie sinnvoll? Wie gemeinsam mit den Frauen eine Antwort auf diese Frage gefunden werden kann, erklärt die Hausärztin Theresa Buuck.

Zeitschrift für Allgemeinmedizin, DEGAM

Übersichtsarbeiten

Personalisierte Systemtherapie beim Peniskarzinom: Molekulare Zielstrukturen und neue therapeutische Horizonte

Das Peniskarzinom zählt zu den seltenen urologischen Tumoren. Weltweit werden jährlich ca. 36.000 neue Fälle und 13.200 Todesfälle registriert (Stand 2020; [ 16 ]). In Deutschland geht man pro Jahr von ca. 1000 Neuerkrankungen (Inzidenzrate ca. 1,6 …

Hormonsyndrome bei neuroendokrinen Tumoren

Das frühzeitige Erkennen eines durch einen neuroendokrinen Tumor (NET) hervorgerufenen Hormonsyndroms ist sowohl für die Lebensqualität der Patienten als auch für ihr krankheitsspezifisches Überleben von entscheidender Bedeutung. Etwa ein Viertel …

Tumormikromilieu des hepatozellulären Karzinoms – Schlüssel zur Therapiestratifizierung von Lebertumoren

Die systemische Therapie des fortgeschrittenen hepatozellulären Karzinoms (HCC) durchläuft einen Paradigmenwechsel: Immuncheckpointinhibitor(ICI)-basierte Therapien verbessern das Überleben gegenüber Tyrosinkinase-Inhibitoren (TKI) und stellen nun …

Urothelkarzinom des oberen Harntrakts

Das Urothelkarzinom des oberen Harntrakts (UTUC) ist eine seltene und aggressive Tumorentität, welche bei Erstdiagnose meist in fortgeschrittenem Tumorstadien vorliegt. Die Kardinalssymptome sind eine schmerzlose Hämaturie und Flankenschmerzen.

Medikamentöse Systemtherapien bei neuroendokrinen Tumoren

Die individualisierte Systemtherapie bei neuroendokrinen Tumoren (NET) des gastroenteropankreatischen (GEP) Systems sollte differenziert nach Primariuslokalisation, Grading, Tumorlast und klinischem Remissionsdruck, Tumordynamik, Funktionalität …

Molekulare Therapie in der Therapiesequenz des metastasierten Blasenkarzinoms

Klassische Chemotherapie ist ein alter Standard in der Behandlung von Patienten mit metastasiertem Urothelkarzinom (mUC). Typischerweise sind hierunter mediane Gesamtüberlebenszeiten (mOS) von 12–15 Monaten erwartbar. Klassische Metastasenorte …

Weiterführende Themen

Die Frau mit der geschwollenen Zunge

Die Patientin kann seit einer Woche wegen zunehmender Zungenschmerzen und -schwellung weder richtig essen noch schlucken. Eine Biopsie der Zunge ergibt unter anderem eine eosinophile granulomatöse Entzündung. Im Labor konnten jedoch keine Autoantikörper nachgewiesen werden. Wie geht es jetzt weiter?

weiterlesen

Therapiezieländerung und Palliativtherapie auf Intensiv – wann und wie?

Wann ist bei intensivmedizinisch betreuten Krebskranken eine Therapiezieländerung sinnvoll? Ein „zeitlich begrenzter Therapieversuch“ kann den Entscheidungsprozess bei unklarer Prognose strukturieren – angepasst an die konkrete Situation, insbesondere bei Beendigung lebenserhaltender Maßnahmen. Ebenso entscheidend ist die angemessene Kommunikation.

weiterlesen

Videos und Webinare

Webinar

Magenkarzinom – State of the Art 2025: Biomarker, Therapien, Zukunftsperspektiven (Link öffnet in neuem Fenster)

  • Live
  • Webinar | 04.12.2025 | 18:00

Die Therapie des Magenkarzinoms entwickelt sich dynamisch weiter. Biomarker, präzisionsmedizinische Ansätze und neue Studienergebnisse verändern bereits heute den klinischen Alltag – von der Pathologie über das kurative bis hin zum metastasierten Setting. Melden Sie sich jetzt kostenlos für das Webinar am 4. Dezember von 18 bis 19.30 Uhr an, diskutieren Sie mit und sichern sich 2 CME-Punkte.

Mit freundlicher Unterstützung von:
  • Daiichi Sankyo Austria GmbH & AstraZeneca Österreich GmbH
Webinar

ADCs x Brustkrebs: Strategien für den klinischen Alltag (Link öffnet in neuem Fenster)

  • Live
  • Webinar | 19.11.2025 | 18:00

Rund 30 % der Patientinnen mit HER2-positivem Mammakarzinom entwickeln im Laufe der Zeit Hirnmetastasen – mit gravierenden Folgen für Prognose und Lebensqualität. Im Webinar am 19. November von 18 bis 19.30 Uhr erhalten Sie einen praxisnahen Überblick zum Management von Hirnmetastasen bei metastasiertem Brustkrebs. Das Webinar ist mit 2 CME-Punkten zertifiziert.

Mit freundlicher Unterstützung von:
  • Daiichi Sankyo Austria GmbH & AstraZeneca Österreich GmbH
Webinar

Lymphknotenvergrößerung in der internistischen Praxis: wann abwarten, wie abklären (Link öffnet in neuem Fenster)

  • Webinar | 17.09.2025 | 18:00

Hinter einer Lymphknotenvergrößerung kann sich vieles verbergen – von harmlosen reaktiven Veränderungen bis hin zu malignen Erkrankungen. Wann ist Abwarten gerechtfertigt? Und welche Warnzeichen erfordern eine gezielte fachärztliche Abklärung? Anhand konkreter Fallbeispiele diskutiert der Hämato-Onkologe PD Dr. Pelzer im aufgezeichneten Webinar Differenzialdiagnosen und Entscheidungskriterien für das strukturierte Vorgehen.

PD Dr. med. Uwe Pelzer
DGIM – Deutsche Gesellschaft für Innere Medizin
Webinar

Rationelle Stufendiagnostik bei Bauchtumoren

  • Webinar | 16.01.2025 | 18:00

Bauchtumoren bei Kindern können diagnostisch und therapeutisch herausfordernd sein. Im aufgezeichneten Webinar erhalten Sie einen Überblick über die wichtigsten zu bedenkenden Diagnosen. Und: Wie kommen Sie anhand einer einfachen Systematik rasch und zielgerichtet zu einer Diagnose? Welche diagnostischen Schritte sollten noch in einer Allgemeinpädiatrie oder schon in einem spezialisierten kinderonkologischen Zentrum vorgenommen werden?

Prof. Dr. med. Dominik Schneider
Deutsche Gesellschaft für Kinder- und Jugendmedizin

Krebsforschung aktuell – Neueste Sonderformate

Präzisionsmedizin in der Therapie des Multiplen Myeloms - Ebnet sie den Weg zur funktionellen Heilung dieser Neoplasie?

Dank neuer medikamentöser Optionen zur Behandlung des Multiplen Myeloms (MM), hat sich die Prognose verbessert. Unter Therapie sind Remissionen möglich, allerdings treten häufig Rezidive und Refraktärität auf. Hoffnung in dieser Situation bietet die Präzisionsmedizin, insbesondere in Form von CAR (Chimärer Antigenrezeptor)-T-Zelltherapien und bispezifischen Antikörpern.

Mit freundlicher Unterstützung von:
  • Janssen-Cilag GmbH

Nach Umstellung auf Iptacopan: Hämoglobin-Wert klinisch relevant verbessert

Seit Mai 2024 ist mit Iptacopan der erste orale Faktor-B-Inhibitor als Monotherapie für Komplementinhibitor-naive oder -vortherapierte Erkrankte mit PNH zugelassen, die eine hämolytische Anämie aufweisen. Die kürzlich auf dem Kongress der European Hematology Association vorgestellten Daten der APPULSE-PNH-Studie zeigen, dass auch vorbehandelte Betroffene mit Hämoglobin-Werten von ≥10g/dl von einer Umstellung auf Iptacopan profitieren.

Mit freundlicher Unterstützung von:
  • Novartis Pharma GmbH

Claudin-18.2-Testung – wichtige Aspekte in der Praxis

In den Leitlinien wird empfohlen, alle Patientinnen und Patienten mit fortgeschrittenem Adenokarzinom des Magens oder des gastroösophagealen Übergangs (AEG) im Rahmen der Standard-Biomarkerdiagnostik auf Claudin 18.2 zu testen. Eine positive Testung auf Claudin 18.2 (Definition ≥75 % der Tumorzellen mit moderater bis starker membranöser immunhistochemischer Färbung) ist Voraussetzung für den Einsatz des seit letztem Jahr zugelassenen Antikörpers Zolbetuximab.

Mit freundlicher Unterstützung von:
  • Astellas Pharma GmbH

Kommentierte Studienreferate

Perioperative Immuncheckpointinhibition mit Pembrolizumab in Kombination mit adjuvanter Therapie verlängert das ereignisfreie Überleben bei operablen lokal fortgeschrittenen Kopf-Hals-Tumoren

Die Kombination von ICI mit Radio(chemo)therapie in der Primärtherapie von LA-HNSCC war bislang trotz vielversprechender Ergebnisse in Phase-II-Studien in Phase-III-Studien nicht erfolgreich [ 2 ]. Insbesondere in der primär definitiven …

Radiojodtherapie nach Schilddrüsenresektion beim differenzierten Schilddrüsenkrebs: die IoN-Studie

Die IoN-Studie bestätigt, dass bei Patienten mit pT1- und pT2-Tumoren sowie N0- oder Nx-Status auf eine postoperative RAIT verzichtet werden kann. Damit verdoppelt sich im Vergleich zu ESTIMABL2 die Zahl der Patienten, die ohne RAIT behandelt …

Überlegungen zur zahnmedizinischen Betreuung von zu Hause lebenden pflegebedürftigen Senioren

In einer älter werdenden Gesellschaft stellt die Sicherstellung der oralen Gesundheit eine wachsende Herausforderung dar. Um die Senioren bedarfs-orientiert zu unterstützen, bieten Zahnärzte zunehmend Hausbesuche an. Ziel ist, durch eine engmaschige, professionelle Unterstützung die Mundgesundheit trotz gesundheitlicher Limitationen aufrechtzuerhalten.

Nachschlagen mit gesichertem Wissen: e.Medpedia

  • e.Medpedia enthält alle Inhalte von 33 Referenzwerken von Springer und wird kontinuierlich erweitert und aktualisiert
  • Inklusive unzähliger Abbildungen, klinischer Bilder, Tabellen und Schemata sowie Videos und Querverlinkungen zwischen den einzelnen Beiträgen
  • Verfasst von über 4.000 renommierten Fachärztinnen und Fachärzten, gesichert mit Peer Review-Verfahren

Auch als App nutzbar » Infos zur App

Jetzt entdecken

Kongressberichte

Robuste antitumorale Aktivität bei tenosynovialem Riesenzelltumor

Die 2-Jahres-Daten der Phase-III-Studie MOTION bestätigen Vimseltinib als anhaltend wirksame Therapieoption für Patientinnen und Patienten mit tenosynovialen Riesenzelltumoren bei handhabbarem Risikoprofil.

CLL: Resistenzmechanismen bei BTK-Inhibition durchbrechen

Bruton-Tyrosinkinase-Inhibitoren (BTKi) haben die Therapie der chronischen lymphatischen Leukämie (CLL) revolutioniert. Doch Resistenzen schmälern den Therapieerfolg. Neue Ansätze umgehen Resistenzmechanismen oder eröffnen Alternativtherapien.

Ösophagogastrale Karzinome: "Highlight des Jahres" und mehr

Sowohl bei der zielgerichteten Behandlung als auch der Immuntherapie von resezierbaren Karzinomen des Magens und des gastroösophagealen Übergangs gibt es neue Daten. Ein Highlight: Die Ergebnisse zum Gesamtüberleben der Phase-III-Studie MATTERHORN.

Immuncheckpoint-Blockade überall wirksam – nur nicht bei Lymphomen?

Innerhalb von nur zehn Jahren wurden Checkpoint-Inhibitoren in mehr als 110 Indikationen zugelassen, vor allem bei soliden Tumoren. Das Therapieprinzip ist auch in hämatologischen Indikationen oft erfolgreich, nicht aber bei den großzelligen Lymphomen.

Algorithmen & Infografiken

Image

In aller Kürze: Neue Therapiestrategien beim Melanom ab dem Stadium IIIB

Bisher folgte die moderne Melanomtherapie einem festen Ablauf: Erst OP, dann Systemtherapie. Neue wissenschaftliche Erkenntnisse empfehlen jedoch ein perioperatives oder neoadjuvantes Schema, das höhere Rezidivfreiheit und Überlebensvorteile bietet. Wie genau so ein Therapieschema aussehen würde, erfahren Sie im „One Minute Wonder“ aus „Die Dermatologie“.

SOP: Gezielte Sedierung in der Palliativversorgung

Bei therapierefraktären, unerträglichen Symptomen kann eine gezielte Sedierung das Leid der Betroffenen lindern. Unterschiedliche Formen der Sedierung stehen zur Auswahl. Diese SOP („Standard Operating Procedure“) führt Sie durch wichtige Fragestellungen. Wie stellen Sie die Indikation? Welche Sedierungstiefe ist nötig? Was müssen Sie bei Aufklärung und Monitoring beachten?

Onkologische Krankheitsbilder auf einen Blick

Ob zu Harnblasen- oder Ovarialkarzinom, tumorbedingter Kachexie oder der chronischen lymphatischen Leukämie – mit den PrimeView-Postern der Zeitschrift "Nature Reviews Disease Primers" erhalten Sie anschaulich aufgearbeitete Informationen zu Diagnose, Mechanismen, Epidemiologie oder Management verschiedener onkologischer Krankheitsbilder.

Wie wirkt was...? Neue onkologische Therapien im Blick

In der Serie "Wie wirkt was...?" lernen Sie die Wirkmechanismen und Zusammenhänge hinter neuen onkologischen Therapien, z. B. bispezifischen Antikörpern, BRAF- oder KRAS-Inhibitoren oder Osteoprotektiva kennen – abgerundet durch eine Facheinschätzung.

Update Onkologie

Bestellen Sie unseren Fach-Newsletter und bleiben Sie gut informiert.

Bildnachweise
Krebspatientin/© Photographee.eu / stock.adobe.com (Symbolbild mit Fotomodell), Frau wird Blut abgenommen/© andresr / Getty Images / iStock (Symbolbild mit Fotomodellen), Endoskopisches Bild eines Magenkarzinoms/© Y. Huber, M. Möhler, Ein Abstrich vom Gebärmutterhals wird auf ein Objektivträger geschmiert/© Tatiana Buzmakova / Getty Images / iStock (Symbolbild mit Fotomodellen), Glaszellentumor der Gebärmutter/© Boeker M et al. / all rights reserved Springer Medizin Verlag GmbH, Person setzt DNS-Probe in Maschine ein/© Vit Kovalcik / stock.adobe.com, Mann raucht Joint/© Daniel Sierralta / Westend61 / stock.adobe.com (Symbolbild mit Fotomodell), Blut in Toilette/© stylefoto24 / stock.adobe.com, Frau hält sich eine Brustseite nach Mastektomie/© chotiga / Stock.adobe.com (Symbolbild mit Fotomodell), Facharzttraining Innere Medizin - Hämatologie und Onkologie, DGIM Podcast-Reihe - Frailty/© (M) David L / peopleimages.com / Stock.adobe.com (Symbolbild mit Fotomodell), Älterer Mann im Krankenhausbett hinter Infusionsständer/© Ugurhan Betin / Getty Images / iStock (Symbolbild mit Fotomodell), Knochenmarksbiopsie /© Science Source / Science Photo Library, Periduralanästhesie/© Stephan Morrosch / stock.adobe.com, Kranke Passagierin im Flugzeug/© maroke / stock.adobe.com (Symbolbild mit Fotomodellen), DGIM Podcast-Reihe - Resilienz/© Logo: Springer Medizin | Foto: simonkr / Getty Images / iStock (Symbolbild mit Fotomodellen), Medizinischer Abfall im OP/© Georgii / Stock.adobe.com, junge Ärztin/© dusanpetkovic / Getty Images / iStock, Oberbauchsonoraphie/© C. Raschka, Unklare Raumforderung im M. masseter/© Klama N.R. et al. doi.org/10.1007/s12285-025-00544-x unter CC-BY 4.0, Springer Medizin Podcast - Endometriose/© (M) Willer D. et al. / all rights reserved Springer Medizin Verlag GmbH Logo: Springer Medizin Verlag GmbH, ZFA TALKS - Wechseljahre/© (M) svetikd / Getty Images / iStock (Symbolbild mit Fotomodell) Logo: Springer Medizin Verlag GmbH, Geschwollene Zunge der Patientin/© Munzinger F et al. doi.org/10.1007/s00106-025-01662-9 unter CC-BY 4.0, Plaqueartiger Ausschlag am Rücken des Patienten/© Benjamin Durani, Autoimmungastritis in der Endoskopie/© Kitamura S et al. JGH Open. 2021;5:1210-5, Kind erhält Leukämie Therapie/© FatCamera / Getty Images / iStock (Symbolbild mit Fotomodell), Infusion im OP/© kadmy / Getty Images / iStock (Symbolbild mit Fotomodellen), Person kratzt sich am Arm/© 9nong / stock.adobe.com (Symbolbild mit Fotomodell), Melanom Nahaufnahme/© selvanegra / Getty Images / iStock (Symbolbild mit Fotomodell), Blutabnahme/© (M) dusanpetkovic1 / stock.adobe.com (Symbolbild mit Fotomodellen), Frau bei Strahlentherapie/© (M) Mark Kostich / Stock.adobe.com (Symbolbild mit Fotomodellen), Ultraschalluntersuchung der zervikalen Lymphknoten/© (M) serhiibobyk / Stock.adobe.com (Symbolbild mit Fotomodellen), Sonographie des Bauches bei einem Kind/© (M) megaflopp / Getty Images / iStock (Symbolbild mit Fotomodellen), Zähne putzen bei pflegebedürftigem Senioren/© LPETTET / Getty Images / iStock (Symbolbild mit Fotomodell), e.Medpedia, Frau unkenntlich fasst sich ans Knie/© Pornpak Khunatorn / Getty Images / iStock (Symbolbild mit Fotomodell), Blutabstrich der chonisch lymphatischen Leukämie/© jarun011 / Getty Images / iStock, Endoskopische Befunde des Magenkarzinoms/© Probst, A., Messmann, H. / all rights reserved Springer Medizin Verlag GmbH, Diffus großzelliges B-Zell-Lymphom (DLBCL)/© David A Litman / stock.adobe.com, Berliner Dom/© Photocreo Bednarek / Stock.adobe.com, In aller Kürze: Neue Therapiestrategien beim Melanom ab dem Stadium IIIB/© Mengoni M. et al./ all rights reserved Springer Medizin Verlag GmbH, Infusionstropf mit Pflegepersonal im Hintergrund/© Pitchy / stock.adobe.com (Symbolbild mit Fotomodell), Der moderne Krebs - Lifestyle und Umweltfaktoren als Risiko, Krebs - Neue Chancen auf Gesundheit, Mein Mann hat Krebs, ProstaTALK, Wie sage ich meinem Kind, dass ich Krebs habe?, PrimeView Medulloblastom/© 2018 Macmillan Publishers Limited; Teil von Springer Nature, Labor mit Reagenzgläsern/© Looker_Studio / stock.adobe.com, Logo