Zum Inhalt

Akute partielle Okulomotoriusparese

Hochaktiver Beginn einer multiplen Sklerose bei einem 8 Jahre alten Mädchen

  • Open Access
  • 10.09.2020
  • Schielen
  • Kasuistiken
Erschienen in:

Zusammenfassung

Präsentiert wird der Fall eines 8 Jahre alten Mädchens mit Schielen, Doppelbildern und Nystagmus bei akuter partieller Okulomotoriusparese. Auffällige MRT-Untersuchung mit zahlreichen intrakraniellen Veränderungen mit Dissemination in Raum und Zeit. In der Liquordiagnostik Nachweis intrathekaler Antikörpersynthese mit oligoklonalen Banden. Bei hochaktiver multipler Sklerose Beginn mit einer Steroidtherapie und darauffolgendem schnellen Symptomrückgang. Progress nach 3 Monaten bei Nichtbeginn der empfohlenen immunmodulierenden Therapie.

Redaktion

B. Koletzko, München
T. Lücke, Bochum
E. Mayatepek, Düsseldorf
N. Wagner, Aachen
S. Wirth, Wuppertal
F. Zepp, Mainz

Aktuelle Anamnese

Einweisung eines 8 Jahre alten Mädchens mit seit 4 Tagen bestehendem Schielen und Doppelbildern. Eine Woche vor Symptombeginn habe sich die Patientin einen Tag lang über Schüttelfrost sowie starke Kopf- und Nackenschmerzen beklagt. Laut der Mutter sei sie in den darauffolgenden Tagen ruhiger und weinerlicher als sonst gewesen. Am Vortag wurde im Rahmen einer ophthalmologischen Untersuchung eine akute partielle Okulomotoriusparese diagnostiziert. Die stationäre Aufnahme erfolgte nun zur neurologischen Abklärung.

Vorgeschichte

Anamnestisch bestanden keine Hinweise auf relevante Vorerkrankungen oder ein stattgehabtes Trauma. Bisher unauffällige Vorsorgeuntersuchungen mit normaler Entwicklung. Impfstatus entsprechend der aktuellen Empfehlungen der Ständigen Impfkommission (STIKO). Keine Allergien. Keine Dauermedikation. Die erhobene Familienanamnese insbesondere zu neurologischen Vorerkrankungen war bis auf eine bekannte Migräne im weiteren familiären Umfeld der Patientin unauffällig.

Klinischer Befund

Acht Jahre altes, kooperativ-freundliches Mädchen im guten Allgemeinzustand, internistisch-pädiatrischer Untersuchungsbefund unauffällig. Stabile Vitalzeichen. 35,7 kg, 131 cm.
Neurologische Untersuchung: partieller Ausfall des III. Hirnnervs mit Parese des M. rectus medialis rechts und damit Verlust der Adduktionsfähigkeit des rechten Auges mit Doppelbildern beim Blick über die Mittellinie. Restliche Muskelfunktionen des rechten N. oculomotorius (M. rectus superior, M. rectus inferior, M. obliquus inferior sowie M. sphincter pupillae, M. ciliaris und M. levator palpebrae) waren intakt. Beidseitiger vertikaler Nystagmus beim Aufwärtsblick.
Übriger neurologischer Status unauffällig, insbesondere Sensibilität, Motorik, Koordination, Reflexstatus und Untersuchung der weiteren Hirnnerven.

Untersuchungsgang

Normale bzw. klinisch nicht relevant veränderte Werte für Blutbild, CRP, BSG, Elektrolyte, Kreatinin, Harnstoff, CK, Osmolalität, LDH, Blutzucker, Lactat, GPT, GOT, γ‑GT, Cholesterinesterase, AP, Amylase, Lipase, Folsäure und Vitamin B12.
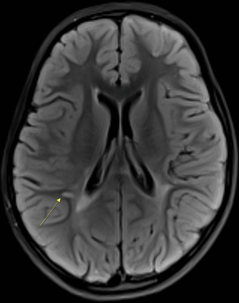
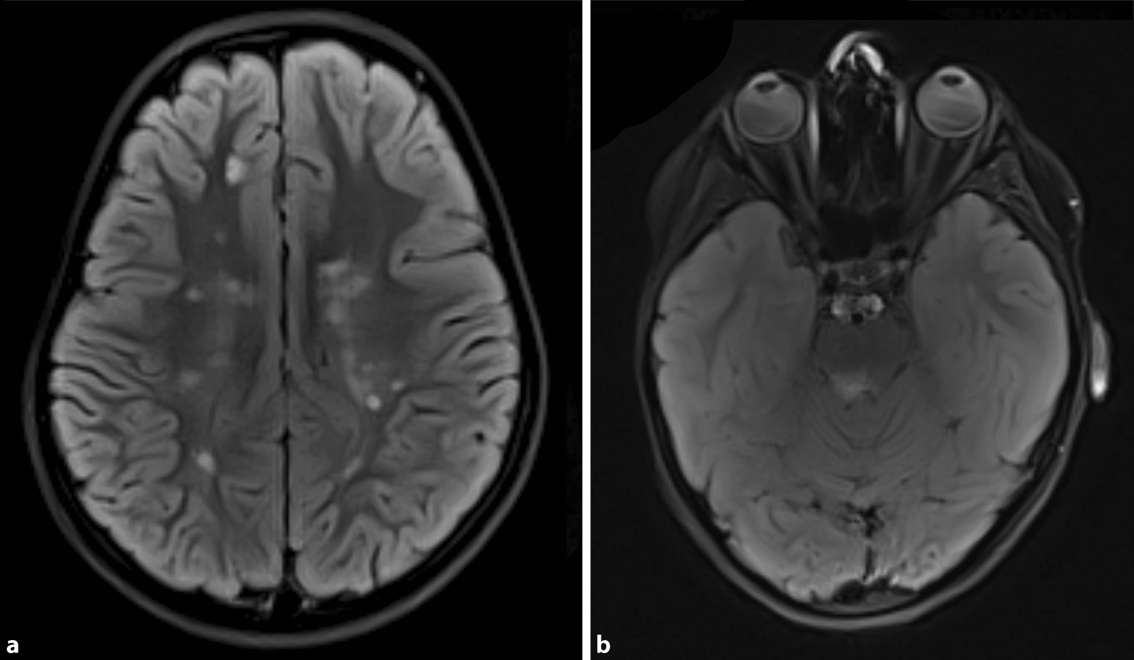
In der kraniellen MR-Tomographie ließen sich 10 periventrikuläre, 12 juxtakortikale sowie eine infratentorielle T2-hyperintense Läsion abgrenzen (Abb. 1). Davon zeigten 2 Läsionen eine Kontrastmittelanreicherung (Abb. 2). Die MRT-Untersuchung des Spinalkanals war unauffällig.
Abb. 1
T2-gewichtete cMRT-Aufnahmen mit hyperintensen Läsionen juxtakortikal und periventrikulär (a) sowie infratentoriell (b)
Bild vergrößern
Abb. 2
T1-gewichtete cMRT-Aufnahmen mit kontrastmittelaufnehmenden Läsionen juxtakortikal (a) und infratentoriell (b)
Bild vergrößern
Im Liquor zeigten sich zusätzliche oligoklonale Banden als Hinweis für eine intrathekale Synthese von Immunglobulinen im Rahmen einer chronisch-entzündlichen ZNS-Erkrankung. Keine Pleozytose oder intrathekale Albuminerhöhung. Kein serologischer Nachweis von Myelin-Oligodendrozyten-Glykoprotein(MOG)-Antikörpern und Aquaporin-4(AQP4)-Antikörpern.
Zur weiteren Differenzialdiagnostik erfolgten Untersuchungen (Antikörperquotienten bzw. PCR aus Liquor-Serum-Paar) auf neurotrope Viren (Influenza-A-Virus, RSV, Adenoviren, CMV, FSME-Viren, MMR-Viren, HSV, EBV und VZV) und Borrelien, die keine pathologischen Befunde erbrachten. Ebenfalls unauffällig blieben folgende Laborparameter: ANA, Rheumafaktor, Kardiolipinantikörper, β2-Glykoprotein-Antikörper und ACE.
Die elektrophysiologischen Untersuchungen (EEG, AEP, Medianus- und Tibialis-SSEP) zeigten altersentsprechende Normalbefunde. Auf die sonographische Untersuchung des Abdomens mit Restharnbestimmung wurde verzichtet, da eine spinale Beteiligung im MRT nicht nachweisbar war.

Therapie und Verlauf

Noch vor Erhalt aller Befunde wurde unter dem dringenden Verdacht auf einen (ersten) Schub einer noch nicht diagnostizierten multiplen Sklerose (MS) umgehend mit der leitliniengemäßen Akuttherapie mit Methylprednisolon (tägliche Einzeldosis 20 mg/kgKG, max. 1 g, als Kurzinfusion über insgesamt 5 Tage) begonnen.
Hierunter war die Symptomatik langsam, aber stetig rückläufig. Neun Tage nach Ende der Steroidtherapie erfolgte eine neuropädiatrische Verlaufskontrolle. Hier zeigte sich die Patientin beschwerdefrei. Sowohl die Parese des rechten M. rectus medialis als auch der beidseitige Nystagmus waren zu diesem Zeitpunkt nicht mehr nachweisbar.
Darüber hinaus wurde die Empfehlung zu einer krankheitsmodifizierenden Therapie mit Fingolimod unter der Annahme einer wahrscheinlich hochaktiven, schubförmigen bzw. rasch fortschreitenden Verlaufsform einer MS ausgesprochen. Dieser konnten sich die Eltern genauso wenig anschließen wie einer ebenfalls diskutierten Interferontherapie. Stattdessen entschieden sie sich für eine alternativmedizinische Behandlung. Es konnte lediglich eine MRT-Verlaufskontrolle nach 3 Monaten vereinbart werden. In dieser Untersuchung wurde eine neue T2-hyperintense Marklagerläsion auf Höhe des Trigonums des rechten Seitenventrikels festgestellt (Abb. 3). Aufgrund dessen wurde erneut der Beginn einer immunmodulierenden Therapie empfohlen. Zur Einholung einer Zweitmeinung wurde eine ambulante Vorstellung in einem Kompetenzzentrum für MS im Kindesalter nahegelegt.
Abb. 3
T2-gewichtete cMRT-Aufnahme im Verlauf nach 3 Monaten mit neu nachgewiesenen Marklagerläsionen auf Höhe des Trigonums des rechten Seitenventrikels
Bild vergrößern

Diskussion

Präsentation einer besonderes interessanten Patientengeschichte eines 8‑jährigen Mädchens mit plötzlich aufgetretenem partiellen neurologischen Ausfall des III. Hirnnervs. Der zusätzlich bestehende vertikale Nystagmus deutet auf eine über das Kerngebiet des N. oculomotorius hinausgehende, mesenzephale Affektion (Abb. 2). Wegen des erstmaligen Auftretens der Symptome wurde u. a. an eine akute Infektion und an eine akute disseminierte Enzephalomyelitis (ADEM) gedacht. Gegen Letztere spricht das Fehlen eines enzephalopathischen Geschehens. In der MR-Tomographie wurden entsprechend den revidierten McDonald-Kriterien die räumliche Dissemination (T2-hyperintense Läsionen in mindestens 2 der 4 typischen Regionen) und die zeitliche Dissemination (gleichzeitige Präsenz von Kontrastmittel-(Gadolinium)-aufnehmenden und Nicht-Kontrastmittel-(Gadolinium)-aufnehmenden Läsionen) nachgewiesen [1, 2]. Die zeitliche Dissemination wurde ferner durch den Nachweis oligoklonaler Banden bestätigt [2]. Somit sind die bildmorphologischen, klinischen und Liquorbefunde eindeutig mit der Diagnose multiple Sklerose vereinbar.
Leitliniengemäß soll mit Diagnosestellung einer akuten MS eine krankheitsmodifizierende Dauertherapie eingeleitet werden. Für die milde und moderate Verlaufsform stehen Interferon‑β oder Glatirameracetat (Copaxone®/TEVA) zur Verfügung [3]. Im Kindesalter sind die rekombinanten Interferon-Präparate Betaferon®, Extavia® (jeweils IFN-β-1b) und Avonex® (IFN-β-1a) ab dem 12. Lebensjahr zugelassen. Das IFN-ß-1a-Präparat Rebif® hat eine Zulassung ab dem 2. Lebensjahr [3].
Das junge Alter der Patientin und die hohe Läsionslast deuten auf eine hochaktive Verlaufsform hin, obgleich die formalen Kriterien (noch) nicht erfüllt sind [3]. Als nachgewiesen gilt die hochaktive Verlaufsform, wenn unter einer verlaufsmodifizierten Therapie im vorhergehenden Jahr sich mindestens ein Schub klinisch manifestiert hat und mindestens 9 T2-hyperintense Läsionen oder mindestens eine Kontrastmittel(Gadolinium)-anreichernde Läsion im kraniellen MRT-Bild nachweisbar ist. Zur Behandlung der hochaktiven Verlaufsform kommen Natalizumab (Tysabri®/Biogen Idec) und Fingolimod (Gilenya®/Novartis) infrage [3]. Aufgrund schwerer Nebenwirkungen [4] ist der Einsatz von Alemtuzumab (Lemtrada®/Sanofi-Aventis) im Kindesalter derzeit nicht empfohlen. Unter Abwägung von Nutzen und Risiken empfehlen wir den Off-Label-Einsatz von Fingolimod [5], da anzunehmen ist, dass durch die leitliniengerechte Behandlung mit einem Basistherapeutikum keine ausreichende Schubkontrolle erzielt werden kann. Bei Fingolimod handelt es sich um ein Sphingosin-1-Phosphat-Analogon, das die Migration der T2-Lymphozyten in das Zentralnervensystem blockiert und so das autoinflammatorische Geschehen unterdrückt. In der PARADIGMS-Studie führte der Einsatz von Fingolimod im Vergleich mit Interferon-β-1a zu einer signifikant höheren Reduktion der jährlichen Rezidivrate und zu deutlich weniger neuen MRT-Läsionen [6]. Nachteilig war die höhere Rate schwerwiegender Nebenwirkungen. Dennoch führte diese Studie mit zur Zulassung des Präparats ab dem 10. Lebensjahr in den Vereinigten Staaten von Amerika [7] und in der EU [8]. Damit ist es das erste und bislang einzige im Kindesalter zugelassene Medikament für die hochaktive MS-Verlaufsform.

Fazit für die Praxis

  • Die multiple Sklerose (MS) muss bei Hirnnervenausfälle Teil der Differenzialdiagnostik sein.
  • Die MS-Leitlinie im Kindesalter für Diagnostik und Therapie steht zur Verfügung.
  • Verlaufsformunabhängige MS-Akuttherapie mittels Methylprednisolon für 3 bis 5 Tage.
  • Umgehende Einleitung einer der Verlaufsform angemessenen krankheitsmodifizierenden Therapie.
  • Vorstellung in einem Kompetenzzentrum bei hochaktiver Verlaufsform und/oder schwierigen klinischen Verläufen.

Einhaltung ethischer Richtlinien

Interessenkonflikt

M. Münden, V. Leivaditis, C. Comeau, M. Möllers, E. Hamelmann und G. Classen geben an, dass kein Interessenkonflikt besteht.
Für diesen Beitrag wurden von den Autoren keine Studien an Menschen oder Tieren durchgeführt. Für die aufgeführten Studien gelten die jeweils dort angegebenen ethischen Richtlinien. Für Bildmaterial oder anderweitige Angaben innerhalb des Manuskripts, über die Patienten zu identifizieren sind, liegt von ihnen und/oder ihren gesetzlichen Vertretern eine schriftliche Einwilligung vor.
Open Access. Dieser Artikel wird unter der Creative Commons Namensnennung 4.0 International Lizenz veröffentlicht, welche die Nutzung, Vervielfältigung, Bearbeitung, Verbreitung und Wiedergabe in jeglichem Medium und Format erlaubt, sofern Sie den/die ursprünglichen Autor(en) und die Quelle ordnungsgemäß nennen, einen Link zur Creative Commons Lizenz beifügen und angeben, ob Änderungen vorgenommen wurden.
Die in diesem Artikel enthaltenen Bilder und sonstiges Drittmaterial unterliegen ebenfalls der genannten Creative Commons Lizenz, sofern sich aus der Abbildungslegende nichts anderes ergibt. Sofern das betreffende Material nicht unter der genannten Creative Commons Lizenz steht und die betreffende Handlung nicht nach gesetzlichen Vorschriften erlaubt ist, ist für die oben aufgeführten Weiterverwendungen des Materials die Einwilligung des jeweiligen Rechteinhabers einzuholen.
Weitere Details zur Lizenz entnehmen Sie bitte der Lizenzinformation auf http://creativecommons.org/licenses/by/4.0/deed.de.
download
DOWNLOAD
print
DRUCKEN
Titel
Akute partielle Okulomotoriusparese
Hochaktiver Beginn einer multiplen Sklerose bei einem 8 Jahre alten Mädchen
Verfasst von
M. Münden
V. Leivaditis
C. Comeau
M. Möllers
E. Hamelmann
G. Classen
Publikationsdatum
10.09.2020
Verlag
Springer Medizin
Erschienen in
Monatsschrift Kinderheilkunde / Ausgabe 3/2024
Print ISSN: 0026-9298
Elektronische ISSN: 1433-0474
DOI
https://doi.org/10.1007/s00112-020-01015-6
1.
Zurück zum Zitat Polmann CH et al (2011) Diagnostic criteria for multiple sclerosis: 2010 Revisions to the McDonald criteria. Ann Neurol 69(2):292–302CrossRef
2.
Zurück zum Zitat Thompson AJ, Brenda L, Barkhof F, Carroll WM, Coetzee T, Comi G et al (2018) Diagnosis of multiple sclerosis: 2017 revisions of the McDonald criteria. Lancet Neurol 17(2):162–173CrossRefPubMed
3.
Zurück zum Zitat Blascheck A, Müller-Felber W, Heinen F, Huppke P (2017) S1-Leitlinie: Pädiatrische Multiple Sklerose. Bayrisches Ärzteblatt
4.
Zurück zum Zitat Paul-Ehrlich-Institut (2020) LEMTRADA (Alemtuzumab): Einschränkung der Indikation, zusätzliche Gegenanzeigen und risikominimierende Maßnahmen. https://www.pei.de/SharedDocs/Downloads/DE/newsroom/veroeffentlichungen-arzneimittel/rhb/20-01-24-rhb-lemtrada-alemtuzumab.pdf?__blob=publicationFile&v=2. Zugegriffen: 16. Juli 2020
5.
Zurück zum Zitat Huppke P, Huppke B, Ellenberger D et al (2019) Therapy of highly active pediatric multiple sclerosis. Mult Scler 25(1):72–80CrossRefPubMed
6.
Zurück zum Zitat Chitnis T et al (2018) Trial of fingolimod versus interferon beta-1a in pediatric multiple sclerosis. N Engl J Med 379(11):1017–1027CrossRefPubMed
7.
Zurück zum Zitat FDA (2018) FDA expands approval of Gilenya to treat multiple sclerosis in pediatric patients. http://www.fda.gov/news-events/press-announcements/fda-expands-approval-gilenya-treat-multiple-sclerosis-pediatric-patients. Zugegriffen: 4. Dez. 2019
8.
Zurück zum Zitat European Medicines Agency (2019) Gilenya. https://www.ema.europa.eu/en/medicines/human/EPAR/gilenya. Zugegriffen: 4. Dez. 2019

Passend zum Thema

ANZEIGE

Lebensqualität: Was eine MS-Behandlung auszeichnet

Welche Auswirkungen hat die Therapie bei MS auf die Lebensqualität der Patienten? Aktuelle 4-Jahres-Daten vom ACTRIMS Forum 2025 liefern neue Erkenntnisse dazu und beziehen sowohl körperliche als auch mentale Aspekte mit ein [1].

[1] Langdon D et al., ACTRIMS 2025; (P321) 

ANZEIGE

MS und Lebensqualität im Fokus

MS kann die Lebensqualität von Patienten stark negativ beeinflussen. Als besonders belastend werden dabei nicht nur die körperlichen Einschränkungen, sondern vor allem Symptome wie Fatigue, kognitive Probleme, Depressionen oder Angst erlebt. Dies hat Folgen für den beruflichen und sozialen Alltag [1].

[1] Penner IK, Acta Neurol Scand 2016; 134:19–23 

ANZEIGE

Kognitive Fähigkeiten bei MS erhalten

Kognitive Symptome der MS werden in der ärztlichen Praxis häufig unterschätzt oder bleiben unerkannt; für die Betroffenen haben sie jedoch eine hohe Relevanz [1]. Aktuelle Langzeitdaten zeigten, inwiefern die kognitiven Fähigkeiten unter Therapie erhalten bleiben können [2].

[1] Penner IK et al., Eur J Neurol 2025; 32(1)e:16495

ANZEIGE

Update Multiple Sklerose: Aktuelle Erkenntnisse und Entwicklungen

Multiple Sklerose (MS) betrifft das zentrale Nervensystem und kann weitreichende Auswirkungen auf die körperlichen und kognitiven Fähigkeiten haben. Aktuelle Erkenntnisse aus der Forschung eröffnen neue Perspektiven auf die Krankheit und die Versorgung von MS-Patienten.

Merck Healthcare Germany GmbH

Die CME App von Springer Medizin

CME-Punkte sammeln leicht gemacht – Fortbildung, wann und wo Sie wollen

Die CME-App bietet einen schnellen Zugang zu über 500 zertifizierten medizinischen Fortbildungen aus Springer-Publikationen und deckt über 35 Fachbereiche ab. Sie gibt einen perfekten Überblick über das Kursangebot, ermöglicht einfaches Vormerken, Teilnehmen und CME-Punkte-Sammeln.
 

Laden im App Store        Laden bei Google Play

Mehr Infos
Bildnachweise
MRT des Schädels bei multipler Sklerose (MS)/© Münden M et al., Hand legt mit Pfeilen bedruckte Holzwürfel in eine Diagonale/© Suphansa Subruayying | iStock, Frau wandert in den kanadischen Bergen/© AscentXmedia | iStock, Hand hält virtuelle Glühbirne mit Gehirn/© Dilok Klaisataporn | iStock, Darstellung von Nervenbahnen in einem Gehirn/© libre de droit | iStock, CME App