Zum Inhalt
Die Dermatologie

Hydroxychloroquin – nicht immer ein harmloses Medikament für den Off-label-Gebrauch in der Dermatologie

Erschienen in:

Zusammenfassung

Hydroxychloroquin wird bei Entzündungserkrankungen eingesetzt und gilt als nebenwirkungsarm. Wir berichten über eine Patientin, die sich mit einem schweren Exanthem nach Einnahme von Hydroxychloroquin vorstellte, das sie im Rahmen eines Lichen planopilaris erhielt. Basierend auf klinischen, laborchemischen und histologischen Befunden, wurde die Diagnose einer DRESS(„drug reaction with eosinophilia and systemic symptoms“)-artigen Arzneimittelreaktion gestellt. Der Fall illustriert, dass Hydroxychloroquin in seltenen Fällen zu schweren unerwünschten Wirkungen führen kann und Patienten, die dieses Medikament nehmen, sorgfältig aufgeklärt werden müssen.
QR-Code scannen & Beitrag online lesen

Hinweis des Verlags

Der Verlag bleibt in Hinblick auf geografische Zuordnungen und Gebietsbezeichnungen in veröffentlichten Karten und Institutsadressen neutral.

Anamnese

Eine 51-jährige Patientin stellte sich im September 2020 mit einem neu aufgetretenen, progredienten, stark juckenden Exanthem am gesamten Integument vor. Des Weiteren gab die Patientin eine Schwellung der Lippen und ein leichtes Globusgefühl am Hals an. Aufgrund eines Lichen planopilaris sei vor 16 Tagen eine Therapie mit Hydroxychloroquin (200 mg 1–0–1) als Off-label-Medikation initiiert worden. Diese Medikation sei am Tag zuvor bei beginnendem Exanthem abgesetzt worden. Ansonsten bestünden bis auf eine Hypothyreose, die mit L‑Thyroxin behandelt wurde, keine weiteren Erkrankungen und keine weitere Medikation.

Befund

Es imponierte ein polymorphes Bild aus großflächig konfluierenden, teils düsterroten Erythemen, disseminierten Pusteln, Vesikeln und Blasen sowie teils kokardenförmigen Plaques am gesamten Integument unter Aussparung der Schleimhäute (Abb. 1a–d). Zudem zeigte sich eine dezente Schwellung im Bereich der Lippen.
Abb. 1
ad Hautbefund bei Aufnahme
Bild vergrößern

Diagnose

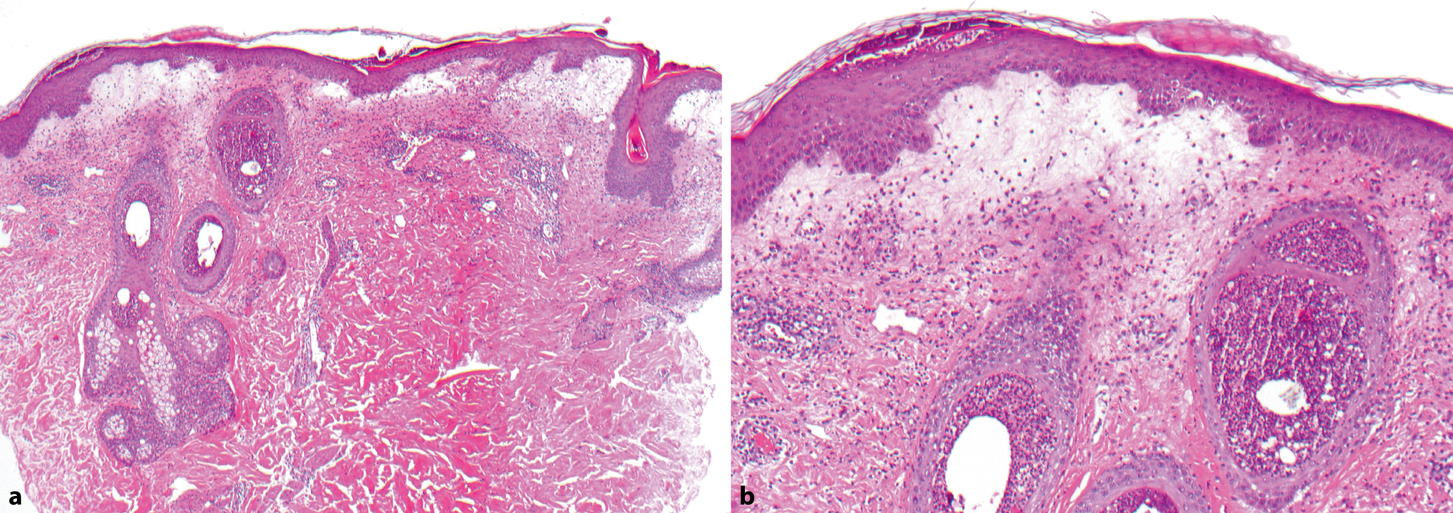
Es erfolgten eine Blutentnahme, Abstriche aus einer Vesikula bzw. Pustel sowie die Entnahme einer Hautbiopsie am rechten Schulterblatt. Laborchemisch zeigten sich eine Leukozytose (bis 19,93 Tsd/µl) sowie eine Erhöhung der Leberparameter (GOT [Glutamat-Oxalacetat-Transaminase] 57 U/l, GPT [Glutamat-Pyruvat-Transaminase] 84 U/l, gamma-GT [Gamma-Glutamyl-Transferase] 62 U/l) bei fehlender Eosinophilie. Eine umfangreiche Virusdiagnostik (HSV[Herpes-simplex-Virus]1, HSV2, VZV [Varizella-Zoster-Virus], Enteroviren, SARS-CoV-2) und die Syphilisdiagnostik waren negativ. Histologisch fanden sich in der Epidermis und in dilatierten Haarfollikelostien Ansammlungen von neutrophilen Granulozyten, subepidermal ein Ödem und perivaskulär akzentuiert lymphozytär betonte Entzündungszellinfiltrate mit Beimengung von neutrophilen Granulozyten. In der PAS(„periodic acid–Schiff reaction“)-Färbung waren keine Pilzelemente zu erkennen (Abb. 2a, b). Die direkte Immunfluoreszenz zeigte keine Antikörperablagerungen. Eine Sonographie von Abdomen und ein Röntgen des Thorax waren ohne pathologischen Befund. Die Patientin fieberte kurzzeitig auf (38,4 °C). In Zusammenschau von Anamnese, klinischen, laborchemischen und histologischen Befunden konnte die Diagnose einer DRESS(„drug reaction with eosinophilia and systemic symptoms“)-artigen Arzneimittelreaktion nach Einnahme von Hydroxychloroquin gestellt werden.
Abb. 2
a Histologie: dilatierte Haarfollikelostien, subepidermal Ödem, perivaskulär Entzündungszellinfiltrate (H&E[Hämatoxylin-Eosin], Originalvergr. 40:1). b Histologie: intrakorneal und subkorneal in der Epidermis und in dilatierten Haarfollikelostien Ansammlungen von neutrophilen Granulozyten, subepidermal Ödem, perivaskulär gemischtzellige Entzündungszellinfiltrate (H&E, Originalvergr. 200:1)
Bild vergrößern

Therapie und Verlauf

Es erfolgte eine hoch dosierte orale Steroidstoßtherapie mit Prednisolon, wobei die Dosis aufgrund des persistierenden starken Eruptionsdruckes mehrmals angepasst werden musste (bis zu 2 mg/kgKG [Körpergewicht]). Des Weiteren wurde topisch mit Clobetasol-17-propionat-Creme am Rumpf und an den Extremitäten, mit Methylprednisolonaceponat-Creme im Gesicht und Clobetasol-17-propionat-Lösung am Capillitium therapiert. Während des 4‑wöchigen Krankenhausaufenthaltes zeigten die Hautveränderungen einen undulierenden 2‑gipfligen Verlauf in kraniokaudaler Richtung. Nach Einleitung einer zusätzlichen Behandlung mit Dapson (50 mg 1‑mal täglich für 7 Tage, dann 2‑mal täglich) zeigte sich der Hautbefund langsam, aber vollständig regredient. In den folgenden Monaten zeigte sich bei den Verlaufskontrollen ein weiterhin stabiler Hautbefund, sodass die Dosis von Dapson sukzessiv reduziert und die Therapie im Juni 2021 abgesetzt werden konnte und die Medikation mit Prednisolon ausgeschlichen und im Mai 2021 beendet wurde. Hinweise auf Virusreaktivierungen, z. B. durch EBV (Epstein-Barr-Virus), oder eine kardiale Beteiligung ergaben sich im Verlauf nicht.

Diskussion

Das DRESS(„drug reaction with eosinophilia and systemic symptoms“)-Syndrom ist eine schwere, T‑Zell-mediierte Arzneimittelreaktion, die typischerweise 2 bis 6 Wochen nach Beginn einer Systemtherapie beginnt und mit Fieber, einem generalisierten Exanthem, Lymphknotenschwellungen und hämatologischen Auffälligkeiten (insbesondere Leukozytose, Eosinophilie) einhergeht [4, 6]. Ätiopathogenetisch werden eine genetische Prädisposition und eine virale Reaktivierung (insbesondere HHV[humanes Herpesvirus]-6) diskutiert [8]. Die Klinik und insbesondere die Effloreszenzen sind heterogen, wobei typischerweise über 50 % der Körperoberfläche betroffen sind [8]. Eine Beteiligung von Leber, Niere und anderen Organen ist möglich, und die Erkrankung kann sogar letal verlaufen [3]. Umso wichtiger ist es daher, mögliche Auslöser zu identifizieren, um die Therapie mit dem kausalen Medikament zügig zu beenden und eine konsequente Systemtherapie mit Steroiden einzuleiten. Unser Fall zeigt, dass Hydroxychloroquin selten als Auslöser einer DRESS-artigen Arzneimittelreaktion fungieren kann. So sind bei unserer Patientin die RegiSCAR-Kriterien nach Hama et al. nicht erfüllt [5]. Es sind mindestens 20 weitere ähnliche, schwere kutane Reaktionen auf Hydroxychloroquin, die 2 bis 3 Wochen nach Therapiebeginn einsetzten, beschrieben [7]. Die Bezeichnung dieser Reaktionen ist in der Literatur uneinheitlich [7].
Hydroxychloroquin erlangte im Rahmen der COVID-19-Pandemie für die Allgemeinbevölkerung breitere mediale Aufmerksamkeit, da es als scheinbar harmloses und möglicherweise antivirales Mittel von Donald Trump mit den Worten „What do you have to lose? Take it!“ proklamiert wurde [1, 9].
Hydroxychloroquin wird aufgrund seiner immunmodulierenden und antiinflammatorischen Eigenschaften bei vielen Entzündungserkrankungen – teilweise als Off-label-Medikation – angewandt und gilt als Medikament mit günstigem Sicherheitsprofil [2]. Unser Fall macht jedoch deutlich, dass Hydroxychloroquin nicht leichtfertig als harmloses Medikament zu werten ist.

Fazit für die Praxis

  • Hydroxychloroquin kann in seltenen Fällen zu schweren Arzneimittelreaktionen der Haut führen.
  • Eine vollständige Aufklärung von Patienten, die dieses Medikament gerade als Off-label-Medikation erhalten, ist immer nötig.

Einhaltung ethischer Richtlinien

Interessenkonflikt

P. Seidel, E. Spukti, K. Steinbrink, D. Metze und M. Böhm geben an, dass kein Interessenkonflikt besteht.
Für diesen Beitrag wurden von den Autor/-innen keine Studien an Menschen oder Tieren durchgeführt. Für die aufgeführten Studien gelten die jeweils dort angegebenen ethischen Richtlinien. Für Bildmaterial oder anderweitige Angaben innerhalb des Manuskripts, über die Patient/-innen zu identifizieren sind, liegt von ihnen und/oder ihren gesetzlichen Vertretern/Vertreterinnen eine schriftliche Einwilligung vor.
Open Access Dieser Artikel wird unter der Creative Commons Namensnennung 4.0 International Lizenz veröffentlicht, welche die Nutzung, Vervielfältigung, Bearbeitung, Verbreitung und Wiedergabe in jeglichem Medium und Format erlaubt, sofern Sie den/die ursprünglichen Autor(en) und die Quelle ordnungsgemäß nennen, einen Link zur Creative Commons Lizenz beifügen und angeben, ob Änderungen vorgenommen wurden.
Die in diesem Artikel enthaltenen Bilder und sonstiges Drittmaterial unterliegen ebenfalls der genannten Creative Commons Lizenz, sofern sich aus der Abbildungslegende nichts anderes ergibt. Sofern das betreffende Material nicht unter der genannten Creative Commons Lizenz steht und die betreffende Handlung nicht nach gesetzlichen Vorschriften erlaubt ist, ist für die oben aufgeführten Weiterverwendungen des Materials die Einwilligung des jeweiligen Rechteinhabers einzuholen.
Weitere Details zur Lizenz entnehmen Sie bitte der Lizenzinformation auf http://creativecommons.org/licenses/by/4.0/deed.de.

Hinweis des Verlags

Der Verlag bleibt in Hinblick auf geografische Zuordnungen und Gebietsbezeichnungen in veröffentlichten Karten und Institutsadressen neutral.
download
DOWNLOAD
print
DRUCKEN
Titel
Hydroxychloroquin – nicht immer ein harmloses Medikament für den Off-label-Gebrauch in der Dermatologie
Verfasst von
Paloma Seidel
Eva Spukti
Kerstin Steinbrink
Dieter Metze
Prof. Dr. Markus Böhm
Publikationsdatum
30.01.2024
Verlag
Springer Medizin
Erschienen in
Die Dermatologie / Ausgabe 5/2024
Print ISSN: 2731-7005
Elektronische ISSN: 2731-7013
DOI
https://doi.org/10.1007/s00105-024-05294-y
1.
Zurück zum Zitat Bajpai J, Pradhan A, Verma AK, Kant S (2022) Use of hydroxychloroquine and azithromycin combination to treat the COVID-19 infection. World J Exp Med 12:44–52CrossRefPubMedPubMedCentral
2.
Zurück zum Zitat Bansal P, Goyal A, Cusick A, Lahan S, Dhaliwa HS, Bhyan P et al (2021) Hydroxychloroquine: a comprehensive review and its controversial role in coronavirus disease 2019. Ann Med 53:117–134CrossRefPubMed
3.
Zurück zum Zitat Cacoub P, Musette P, Descamps V, Meyer O, Speirs C, Finzi L, Roujeau JC (2011) The DRESS syndrome: a literature review. Am J Med 124:588–597CrossRefPubMed
4.
Zurück zum Zitat Cho Y‑T, Yang C‑W, Chu C‑Y (2017) Drug Reaction with Eosinophilia and Systemic Symptoms (DRESS): an interplay among drugs, viruses, and immune system. Int J Mol Sci 18:
5.
Zurück zum Zitat Hama N, Abe R, Gibson A, Phillips EJ (2022) Drug-Induced Hypersensitivity Syndrome (DIHS)/Drug Reaction With Eosinophilia and Systemic Symptoms (DRESS): clinical features and pathogenesis. J Allergy Clin Immunol Pract 10(5):1155–1167.e5CrossRefPubMedPubMedCentral
6.
Zurück zum Zitat Schunkert EM, Divito SJ (2021) Updates and insights in the diagnosis and management of DRESS syndrome. Curr Dermatol Rep 10:192–204CrossRefPubMedPubMedCentral
7.
Zurück zum Zitat Schwartz RA, Janniger CK (2020) Generalized pustular figurate erythema: a newly delineated severe cutaneous drug reaction linked with hydroxychloroquine. Dermatol Ther 33(3):e13380CrossRefPubMedPubMedCentral
8.
Zurück zum Zitat Stirton H, Shear NH, Dodiuk-Gad RP (2022) Drug Reaction with Eosinophilia and Systemic Symptoms (DReSS)/Drug-Induced Hypersensitivity Syndrome (DiHS)-readressing the DReSS. Biomedicines 10:

Passend zum Thema

ANZEIGE

Mangelernährung als entscheidender Faktor des Therapie Outcomes

Bis zu 87 % der Patient:innen mit fortgeschrittenen Tumoren verlieren bereits zur Diagnose Gewicht. Das beeinträchtigt Lebensqualität, Therapieansprechen und Mortalität. Warum eine frühzeitige ernährungsmedizinische Intervention essenziell ist, lesen Sie im Artikel.

ANZEIGE

Sarkopenie als Prädiktor für dosislimitierende Toxizität

Ungewollter Gewichtsverlust betrifft nicht nur Fettgewebe, sondern auch Muskelmasse und ist mit erhöhter Therapietoxizität und Komplikationsrisiken assoziiert. Erfahren Sie, wie Sarkopenie die Therapie beeinflusst – und was Sie dagegen tun können.

ANZEIGE

"Krebsdiäten" auf dem Prüfstand

Immer wieder kursieren spezielle „Krebsdiäten“, die Heilung oder Besserung versprechen. Viele Patient:innen sind für solche Versprechen empfänglich – mit oft riskanten Folgen. Erfahren Sie, warum eine fundierte Ernährungsberatung entscheidend ist und welche Ernährungsinterventionen tatsächlich sinnvoll sind.

ANZEIGE

Mangelernährung in der Onkologie – Fortimel® als Teil der ganzheitlichen Versorgung

Bis zu 80% der onkologischen Patient:innen verlieren ungewollt Gewicht – mit gravierenden Folgen für den Therapieverlauf. Eine frühzeitige Ernährungstherapie mit medizinischer Trinknahrung wie Fortimel® kann den Unterschied machen und das Outcome Ihrer Patient:innen unterstützen. Jetzt mehr erfahren.

Fortimel
Bildnachweise
DRESS bei Hydroxychloroquin /© P. Seidel et al. doi.org/10.1007/s00105-024-05294-y unter CC-BY 4.0, Ärztin im Gespräch mit Patientin/© sturti | GettyImages, Ärztin zeigt Patientin etwas auf dem Tablet/© andreswd | GettyImages, Ernährungsberaterin im Gespräch mit älterer Frau am Esstisch, auf dem Laptop und Nahrungsmittel stehen/© Maskot | GettyImages, Junge küsst seine Mutter auf die Nase/© Danone Deutschland