Zum Inhalt

Wertigkeit der CT und des transthorakalen Lungenultraschalls bei PatientInnen mit systemischer Sklerose

Gemeinsame Stellungnahme der ÖRG/ÖGP/ÖGR/ÖGUM

  • Open Access
  • 05.05.2022
  • Computertomografie
  • Empfehlungen und Stellungnahmen von Fachgesellschaften
Erschienen in:

Zusammenfassung

Die Lungenbeteiligung ist die häufigste Todesursache bei Patienten mit systemischer Sklerose (SSc). Da eine Lungenbeteiligung häufig asymptomatisch ist, wird derzeit empfohlen, bei allen Patienten mit einer neu diagnostizierten SSc eine Thorax-CT durchzuführen. Uneinigkeit herrscht derzeit darüber, wie SSc-Patienten, bei denen zum Diagnosezeitpunkt keine Lungenbeteiligung gefunden wurde, weiterverfolgt werden sollen. Basierend auf einem Konsensus österreichischer Rheumatologen, Pneumologen und Radiologen, wird empfohlen, bei asymptomatischen PatientInnen mit einer negativen CT zum Zeitpunkt der Erstdiagnose jährlich transthorakale Ultraschalluntersuchungen sowie Lungenfunktionsuntersuchungen alle 6 bis 12 Monate durchzuführen. Bei Vorliegen eines positiven Lungenultraschallbefundes wird eine ergänzende CT zur weiterführenden Abklärung empfohlen. Aufgrund der Datenlage werden bei PatientInnen mit einem höheren Risiko, definiert durch entsprechende Risikofaktoren, jährliche CT-Verlaufskontrollen empfohlen.
QR-Code scannen & Beitrag online lesen
Die systemische Sklerose ist eine seltene Autoimmunerkrankung mit einer Prävalenz zwischen 3 und 24 pro 100.000 Menschen, die neben einer Fibrosierung der Haut auch innere Organe beteiligen kann [19]. In der Lunge führt die systemische Sklerose bei bis zu 80 % der PatientInnen zu einer interstitiellen Lungenerkrankung (ILD) mit Lungenfibrose (SSc-ILD), die bei bis zu 25–30 % der PatientInnen einen progressiven Verlauf einschlägt [19]. Bei bis zu 35 % der PatientInnen ist die Lungenfibrose noch vor der isolierten pulmonalen arteriellen Hypertonie (26 %) die häufigste Todesursache bei Betroffenen mit einer systemischen Sklerose [37]. Nach derzeitigem Wissen ist eine Lungenfibrose irreversibel. Durch eine frühe medikamentöse Therapie kann das Fortschreiten der Erkrankung verlangsamt werden [11]. Aus diesem Grund ist die Frühdiagnose einer ILD bei systemischer Sklerose von besonderer Wichtigkeit.
In einer auf einem Delphi-Prozess basierenden Expertenempfehlung wird aus diesem Grund bei allen PatientInnen mit neu diagnostizierter systemischer Sklerose empfohlen, als Screening eine Computertomographie (CT) des Thorax [17] durchzuführen. Bei PatientInnen mit initial negativer CT sollten gemäß derselben Empfehlung weitere CT-Screening-Untersuchungen in Abhängigkeit von individuellem Risiko, klinischer und lungenfunktioneller Dynamik durchgeführt werden [17].
Da die SSc-ILD ein interdisziplinäres Zusammenarbeiten erfordert, haben sich die Österreichische Gesellschaft für Rheumatologie (ÖGR), die Österreichische Gesellschaft für Pneumologie (ÖGP), die Österreichische Röntgengesellschaft (ÖRG) und die Österreichische Gesellschaft für Ultraschall in der Medizin (ÖGUM) zu einem gemeinsamen Statement zur bildgebenden Diagnostik bei SSc-ILD unter besonderer Berücksichtigung des transthorakalen Ultraschalles entschlossen.

Methodik

Eine ausführliche Literaturrecherche wurde mit den Begriffen „transthoracic ultrasound and systemic sclerosis“, „transthoracic ultrasound and scleroderma“, „transthoracic ultrasound and interstitial lung disease“, „lung sonography and systemic sclerosis“, „lung sonography and scleroderma“ und „lung sonography and interstitial lung disease“ durchgeführt. Es fanden sich 297 Arbeiten, wobei 44 Literaturstellen in diese Arbeit einflossen. „Case reports“, „case series“ und Arbeiten mit weniger als 25 Probanden wurden nicht hinzugezogen. Die Arbeiten wurden von ExpertInnen aus den ILD-Arbeitskreisen der ÖGP, ÖGR, ÖGUM und ÖGR gelesen. In mehreren Sitzungen wurden Fragen bezüglich der Anwendung des transthorakalen Lungenultraschalls bei systemischer Sklerose abgestimmt. Das Manuskript wurde nach Verfassung von den Vorständen der ÖGP, ÖRG, ÖGUM und ÖGR approbiert. Von keinem der Mitglieder der Konsensusgruppe wurde ein potenzieller Interessenkonflikt angegeben. Für die Erstellung des Konsensus wurde auch seitens der Pharmaindustrie keine finanzielle Unterstützung erhalten.

Bildgebende Verfahren zur Abklärung einer SSc-ILD

Thoraxröntgen

Aufgrund ihrer geringen Sensitivität sollten konventionelle Röntgenuntersuchungen des Thorax nicht zur Diagnose oder Verlaufskontrolle von PatientInnen mit SSc-ILD eingesetzt werden.

Computertomographie (CT) der Lunge

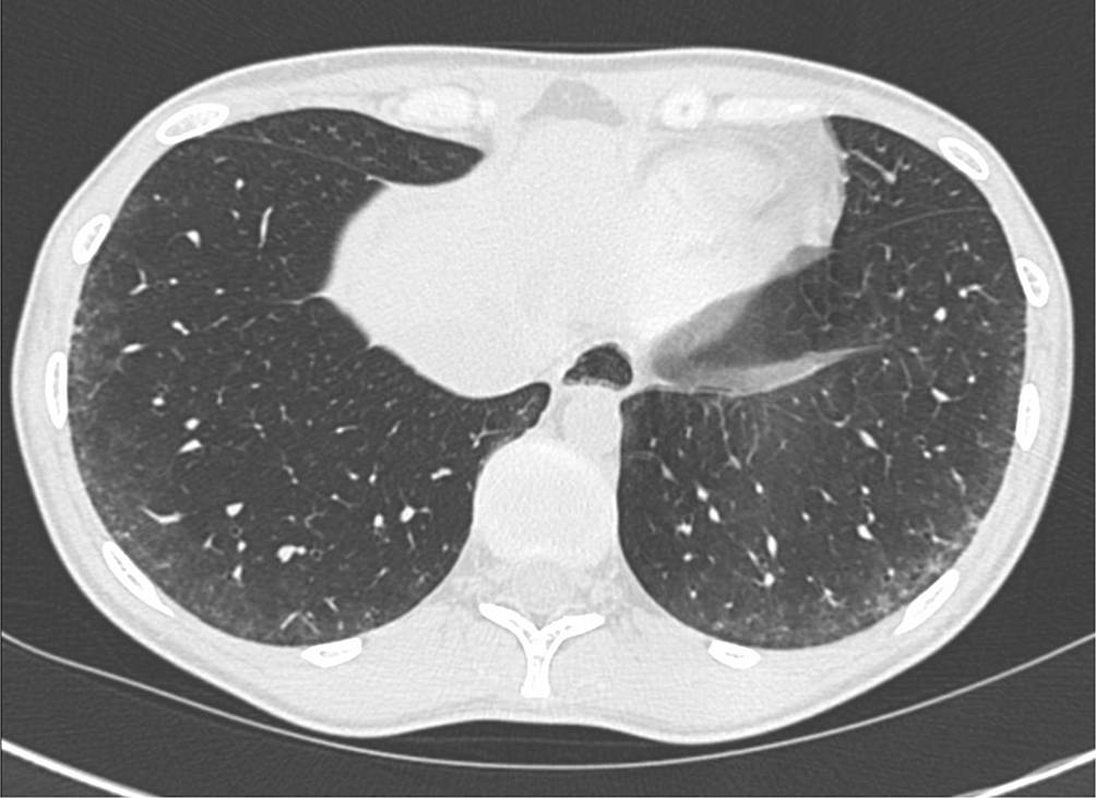
Die Computertomographie ist der Lungenfunktion in der Frühdiagnose einer ILD überlegen [35]. In der CT manifestiert sich die SSc-ILD meist (80 %) unter dem Bild einer nicht-spezifischen interstitiellen Pneumonie (NSIP). Die typischen Veränderungen sind dabei Milchglasverdichtungen neben einer variablen Ausprägung von retikulären Veränderungen in einer basalen und peripheren Verteilung mit häufiger subpleuraler Aussparung (Abb. 1).
Abb. 1
CT einer 27 Jahre alten Patientin mit einer bekannten Sklerodermie. Es finden sich in der Peripherie beider Unterlappen Milchglasverdichtungen und retikuläre Verdichtungen, vereinbar mit einer nicht-spezifischen interstitiellen Pneumonie (NSIP)
Bild vergrößern
Als Folge der fibrosierenden Veränderungen bei der NSIP finden sich auch ein Volumenverlust der Lunge, eine irreversible Erweiterung von Bronchien (Bronchiektasien) und bei manchen PatientInnen auch ein gering ausgeprägtes Honigwabenmuster (Honeycombing, [8, 10]). Als Honeycombing beschreibt man eine Anhäufung (Cluster) von zahlreichen aneinander grenzenden Zysten ähnlicher Größe, die sich die Wände teilen ([42]; Abb. 2).
Abb. 2
CT einer 32 Jahre alten Patientin mit einer bekannten Sklerodermie. Die CT zeigt mehrreihige zystische Veränderungen in der Peripherie beider Unterlappen (Honeycombing) im Sinne eines sog. UIP(„usual interstitial pneumonia“)-Musters
Bild vergrößern
Deutlich seltener (10 %) findet sich bei PatientInnen mit SSc-ILD das Muster „usual interstitial pneumonia“ (UIP), welches durch retikuläre Verdichtungen, Traktionsbronchiektasien und Honeycombing in basaler und subpleuraler Verteilung gekennzeichnet ist [8, 10]. Bei weiteren 10 % der PatientInnen finden sich Zeichen einer fibrosierenden Lungenerkrankung, die keinem definierten Muster zugeordnet werden können.
In den letzten Jahren sind auch spezifische Verteilungsmuster bei SSc-ILD beschrieben worden, die insbesondere die anterioren Oberlappen und die „Ecken“ der Lungenlappen als prädominante Bereiche einer Mitbeteiligung identifiziert haben [40].
Das „4-Corner-Sign“ (FCS) in der Computertomographie mit Inflammation/Fibrose im Bereich der bilateralen anterolateralen Oberlappen und posterosuperioren Unterlappen ist außerdem ein spezifisches Zeichen, um eine SSc-ILD von einer idiopathischen pulmonalen Fibrose abzugrenzen [40].
Neben der Beschreibung des Musters ist auch die Abschätzung des Ausmaßes der Veränderungen von wesentlicher Bedeutung, da dies für die Prognose bestimmend ist. PatientInnen mit einem Ausmaß der Lungenveränderungen von weniger als 20 % des Lungenvolumens haben dabei eine wesentlich bessere Prognose als solche mit mehr als 20 % [13].
Ein weiterer wichtiger Befund in der Thorax-CT ist eine Erweiterung des Truncus pulmonalis, welche auf eine pulmonale Hypertonie hinweist. Die CT kann jedoch nur den Verdacht auf eine PH stellen, weswegen zu einem PH-Screening unter anderem auch eine jährliche Echokardiographie empfohlen wird [3]. Die Abklärung einer pulmonalen Hypertonie ist von Wichtigkeit, da neben der ILD die PH einen bedeutenden Einfluss auf die Mortalität hat [12]. Die PH wird aber in dieser Arbeit nicht weiter behandelt.
CT-Untersuchungen der Lunge bei PatientInnen mit neu diagnostizierter systemischer Sklerose sollten als native Dünnschicht-Volumen-CT (geringste mögliche Kollimation, rekonstruierte Schichtdicke ≤ 1,0 mm) in Rückenlage in tiefer Inspiration mit reduzierter Dosis und hohem Pitch durchgeführt werden (Effektivdosis zwischen 1 und 3 mSv). Zur Vermeidung von diagnostischen Unklarheiten aufgrund von dorsalen Hypostasearealen sollten die PatientInnen im Zweifelsfall zusätzlich in Bauchlage mit kontinuierlichen Schichten oder geringen Untersuchungsvolumina in kraniokaudaler Richtung der Karina untersucht werden. Längere Liegezeiten auf dem Rücken sollten daher nach Möglichkeit vermieden werden. Ergänzende Schichten (kleinste Volumina in Exspiration) sind bei Verdacht auf Obstruktion oder bei unklarem Mosaikmuster in der Inspirations-CT sinnvoll. Iterative Rekonstruktionen der Bilder können verwendet werden [29]. Zur besseren Vergleichbarkeit sollte das Untersuchungsprotokoll der Verlaufsuntersuchungen analog zur Erstuntersuchung erfolgen.

Magnetresonanztomographie (MRT) und Positronenemissionstomographie (PET)

Obwohl einzelne Studien zur Vorhersage des Krankheitsverlaufes der SSc-ILD mittels MRT oder PET vielversprechende Resultate zeigen konnten [25, 26, 28, 33, 38], empfehlen wir zu diesem Zeitpunkt den Einsatz dieser Modalitäten außerhalb von Studien nicht.

Transthorakaler Ultraschall

Der transthorakale Lungenultraschall (LUS) ist eine Methode zum Nachweis von Pleura und Parenchymveränderungen und ist ein in der klinischen Routine etabliertes Verfahren zur Diagnose von Lungenödem, Pneumothoraces, Pleuraergüssen u. Ä. [20].
In den letzten Jahren ist der LUS auch vermehrt Thema von Publikationen, die sich mit der Früherkennung, der Diagnose und der Verlaufsbeurteilung einer Lungenbeteiligung bei systemischer Sklerose auseinandersetzen.
Der Ultraschallnachweis einer Lungenbeteiligung bei systemischer Sklerose beruht auf dem Nachweis von Reverberationsartefakten (Nachhallartefakte), welche sich als laserartige vertikale hyperechogene Linien von der Pleura bis zum Bildschirmrand erstrecken und sich synchron mit der Respiration bewegen [39].
Diese Reverberationsartefakte werden sichtbar, wenn der Luftgehalt im Lungenparenchym teilweise reduziert ist bzw. das Volumen des interstitiellen Raums ausgeweitet ist, wie es im Rahmen des pulmonalen Ödems oder bei interstitiellen Lungenerkrankungen der Fall ist [3032]. Reverberationsartefakte werden in der Literatur als B‑Linien oder auch als Kometenschweifartefakte beschrieben und sind für sich genommen nicht spezifisch für bestimmte Erkrankungen (Abb. 3). Sie können aber im klinischen Kontext zur Frühdiagnose von Lungenveränderungen bei systemischer Sklerose und anderen interstitiellen Lungenerkrankungen herangezogen werden. In einer Konsensusarbeit der World Federation for Ultrasound in Medicine and Biology (WFUMB) wird empfohlen, Reverberationsartefakte, welche von einer glatten Pleura ausgehen (wie beim Lungenödem), als B‑Linien zu beschreiben, und Reverberationsartefakte, welche von einer verdickten oder unregelmäßigen Pleura ausgehen (wie bei interstitiellen Lungenerkrankungen), als Kometenschweifartefakte („comet tail artefacts“) zu beschreiben [21].
Abb. 3
Kometenschweifartefakte bei systemischer Sklerose. Raute Verdickte, irreguläre Pleuralinie, C Kometenschweifartefakte
Bild vergrößern
Die diagnostische Wertigkeit des transthorakalen Ultraschalls für SSc-ILD wurde in einer Reihe von wissenschaftlichen Arbeiten untersucht (Tab. 1 und 2) und gegen den Goldstandard CT verglichen. Hierbei wurden die CT-Untersuchungen mit dem Warrick-Score ausgewertet und dem transthorakalen LUS gegenübergestellt. Der Warrick-Score ist eine semiquantitative Scoring-Methode, um das Ausmaß und die Schwere der SSc-ILD in der Computertomographie zu beschreiben [41].
Tab. 1
Zusammenfassung publizierter Studien zum transthorakalen Ultraschall vs. CT (Goldstandard) bei PatientInnen mit systemischer Sklerose (SSc)
Referenz
Patientenkollektiv
Krankheitsbilder
Goldstandard
Schallkopf
Interkostale Messungen
Sensitivität (B-Lines)
Spezifität (B-Lines)
PPW
NPW
Delle Sedie und Doveri (2010) [9]
25
SSc
HRCT
2,5–3,5 MHz cardiac
62
85 %
70 %
6–12 MHz linear
85 %
60 %
Barskova et al. (2013) [2]
58
SSc
HRCT
2,5–3,5 MHz cardiac sector
72
100 %
55 %
100 %
78 %
Aghdashi et al. (2013) [1]
19 SSc, 8 RA, 2 Overlap-Syndrom, Sjögren-Syndrom, Dermatomyositis
SSc, RA, Overlap, Sjögren-Syndrom, Dermatomyositis
HRCT
7–10 MHz linear
10
73,6 %
88,2 %
95,1 %
51,7 %
Mohammadi et al. (2014) [24]
70
SSc
HRCT
7–10 MHz linear
10
73,6 %
88,2 %
95,1 %
51,7 %
Pinal-Fernandez et al. (2015) [27]
21 ASS, 16 SSc
ASS, SSc
HRCT
5 MHz linear
72
79 % (wenn PI > 24 %)
100 % (wenn PI > 24 %)
Sperandeo et al. (2015) [34]
175
SSc
HRCT
3,5–5 MHz convex
72
94 %
95,2 %
74,3–80 % (PL Verdickung)
99 % (PL Verdickung)
Çakir Edis et al. (2016) [7]
48
SSc
HRCT
5–10 MHz linear
14
100 %
84,2 %
90,6 %
100 %
Tardella et al. (2017) [36]
40
SSc
HRCT
4–13 MHz linear
14
96,3 %
92,3 %
Hassan et al. (2019) [16]
67
SSc
HRCT
3,5 MHz convex
72
100 %
34,21 %
53,7 %
100 %
ASS Antisynthetasesyndrom, PI Pleurairregularitäten, PL Pleuradicke
Tab. 2
Referenz-Scoring; B‑Linien entsprechen in diesem Kontext gemäß einer rezenten Empfehlung der World Federation for Ultrasound in Medicine and Biology (WFUMB) Kometenschweifartefakten („comet tail artifacts“, [21]). Der Begriff B‑Linien wurde hier übernommen, da die WFUMB-Konsensempfehlung erst nach der Publikation der angeführten Arbeiten publiziert wurde
Referenz
Scoring
Delle Sedie und Doveri (2010) [9]
Scoring nach Picano et al.
Score 0: < 5 B‑Linien
Score 1: 5–15 B‑Linien
Score 2: 15–30 B‑Linien
Score 3: > 30 B‑Linien
Barskova et al. (2013) [2]
Summe der B‑Linien
> 3 B‑Linien in 2 Arealen
> 5 B‑Linien insgesamt
Kompletter „White screen“ > 10 B‑Linien
Aghdashi et al. (2013) [1]
> 5 B‑Linien positiv
Mohammadi et al. (2014) [24]
> 5 B‑Linien positiv
Pinal-Fernandez et al. (2015) [27]
Anzahl an B‑Linien pro anatomischer Region (Gargani et al.)
Sperandeo et al. (2015) [34]
< 3 B‑Linien negativ
> 3 B‑Linien positiv
Çakir Edis et al. (2016) [7]
≥ 3 B‑Linien in einer Region oder > 5 B‑Linien in benachbarten Regionen werden als positiv bewertet. Ein kompletter „White screen“ in einer Region wird als 10 B‑Linien gewertet
Tardella et al. (2017) [36]
Wenige B‑Linien werden einzeln gezählt. Sind diese jedoch konfluierend, wird nach der semiquantitativen Auswertung nach Gargani und Volpicelli ausgewertet, das bedeutet, der Prozentsatz an vorhandenen B‑Linien wird durch 10 dividiert (z. B. 30 % eines „White screen“ korrespondiert zu 3 B‑Linien, 40 % zu 4 B‑Linien und so weiter)
Hassan et al. (2019) [16]
B‑Linien werden gezählt und ausgewertet nach dem Score von Picano et al.
Diese Studien konnten zeigen, dass der LUS bei Patienten mit systemischer Sklerose eine hohe Spezifität und Sensitivität im Nachweis von Lungenveränderungen aufweist und sich somit zur Früherkennung dieser Veränderungen eignet.
Wesentliche Ultraschallmerkmale einer Lungenbeteiligung im Rahmen einer systemischen Sklerose sind Reverberationsartefakte, die von einer unregelmäßigen/fragmentierten Pleuralinie ausgehen und somit die Kriterien von Kometenschweifartefakten erfüllen. Es hat sich gezeigt, dass das Vorhandensein von 10 pro Interkostalraum oder mehr Kometenschweifartefakten als Cut-off-Point mit dem höchsten positiven Vorhersagewert für eine signifikante SSc-ILD entsprechend einem Warrick-Score ≥ 7 angesehen werden kann; die Sensitivität und Spezifität betragen 96,3 % bzw. 92,3 % [36].
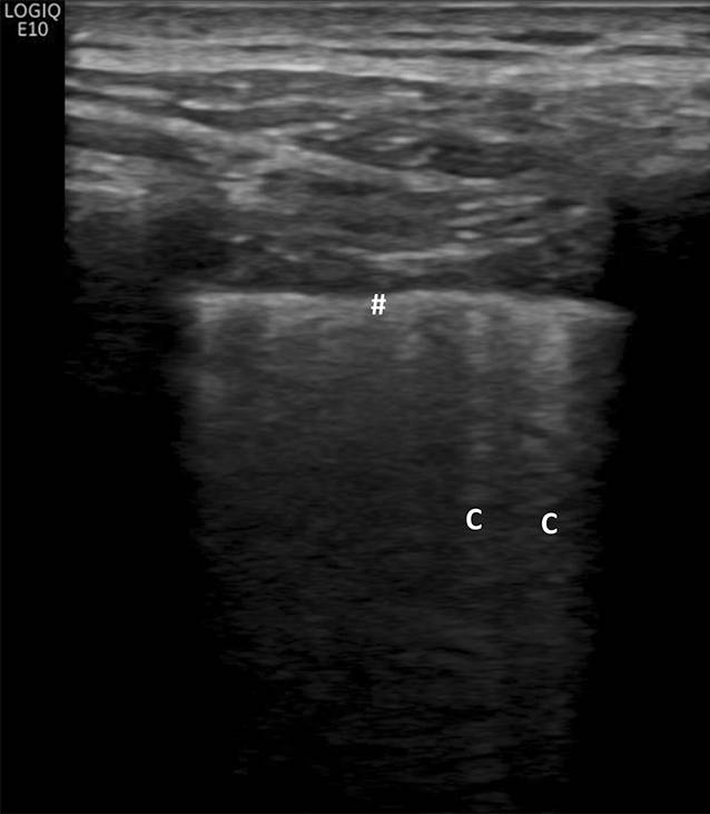
Neben den Kometenschweifartefakten wird auch eine Verbreiterung der Pleuralinie auf ≥ 3 mm in jeglicher Region als pathologisch gewertet [23]. Als Pleuralinie wird die Grenzzone zur belüfteten Lunge beschrieben, bei der es zu einer Totalreflexion der Ultraschallwellen kommt. Obwohl die Pleura selbst aufgrund ihrer geringen Breite nicht durch den Ultraschall dargestellt werden kann, wird die Pleuralinie von vielen Autoren etwas vereinfacht mit der Pleura gleichgesetzt (Abb. 4).
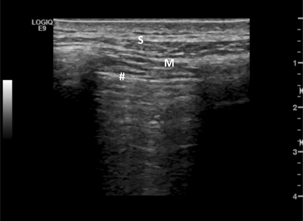
Abb. 4
Lungen-US Normalbefund. S subkutanes Fettgewebe, M Muskulatur, Raute Pleuralinie
Bild vergrößern
Die im Rahmen einer systemischen Sklerose beobachtete unregelmäßige Verbreiterung der Pleuralinie kann durch die Verbreiterung des pulmonalen Interstitiums im Rahmen der Lungenerkrankung erklärt werden. Eine verbreiterte Pleuralinie findet sich aber nicht nur im Rahmen einer ILD, sondern auch bei Pneumonien sowie manchmal auch bei Pleuritis, Lungenemphysem, Lymphangitis, neoplastischen oder zystischen Lungenerkrankungen.

Untersuchungsablauf

Beim Lungenultraschall kommen sowohl niedrigfrequente konvexe (3,5–5 MHz) als auch hochfrequente lineare Schallköpfe (8–11 MHz) zur Anwendung. Reverberationsartefakte werden vorzugsweise mit dem konvexen Schallkopf bis zu einer Tiefe von ca. 10 cm dargestellt, während Pleuraveränderungen detaillierter mit dem linearen Schallkopf visualisiert werden können. Im Rahmen einer pulmonalen Fibrose sind Pleurairregularitäten oft die frühesten Veränderungen, aber auch Fragmentation, Verdickung und Unschärfe können zur Darstellung gelangen, die histologisch möglicherweise einer Kombination aus pleuralen und parenchymalen Veränderungen entsprechen. Diese Parameter scheinen eine höhere diagnostische Sensitivität für eine SSc-ILD zu haben und weisen im Vergleich zu Kometenschweifartefakten einen höheren negativen prädiktiven Wert auf [5, 6, 22, 27].
Gutierrez et al. [15] haben in einer Studie die umfassende („comprehensive“) und einfache („simplified“) Lungenultraschalluntersuchung (LUS) verglichen. Beim „comprehensive assessment“ werden 50 LIS („lung intercostal spaces“) und beim „simplified assessment“ 14 LIS untersucht. In der vereinfachten Form werden von anterior der 2. ICR parasternal, der 4. ICR medioklavikulär, der 4. ICR in der vorderen und mittleren Axillarlinie sowie von posterior der 8. ICR im Bereich der paravertebralen, subskapulären und hinteren Axillarlinie untersucht (Abb. 5). Beide Protokolle zeigen eine positive Korrelation der Kometenschweifartefakte mit dem HRCT-Warrick Score. Weiter zeigt sich eine hoch signifikante Korrelation zwischen dem „comprehensive“ vs. „simplified assessment“ („Spearman’s rank test“ p = < 0,001).
Abb. 5
14 LIS-Modell („simplified assessment“). Die Sterne markieren die sonographierten Stellen: 2. ICR parasternal, der 4. ICR medioklavikulär, der 4. ICR in der vorderen und mittleren Axillarlinie sowie von posterior der 8. ICR im Bereich der paravertebralen, subskapulären und hinteren Axillarlinie. (Adaptiert nach [23])
Bild vergrößern
Die umfassende LUS-Untersuchung dauert im Mittel 23,3 min vs. 8,6 min bei der einfachen LUS-Untersuchung [15].

Diskussion

Aufgrund ihrer schlechten Prognose und neuen therapeutischen Möglichkeiten ist die Früherkennung einer Lungenbeteiligung im Rahmen einer systemischen Sklerose von besonderer Wichtigkeit. Die frühe Diagnose der Lungenbeteiligung sowie die engmaschige Verlaufskontrolle von PatientInnen mit einer SSc-ILD alle 3 bis 6 Monate je nach Schwere der Erkrankung ermöglichen eine Therapiesteuerung mit ggf. erforderlicher Therapieanpassung.
Bis dato sind bestimmte Risikofaktoren definiert, die eine SSc-ILD begünstigen würden, jedoch liegen keine verlässlichen Parameter vor, um den zeitlichen und klinischen Verlauf (fulminant, chronisch progredient, nicht progredient) der ILD bei SSc voraussagen zu können. Obwohl Lungenfunktionstests sowohl in der Früherkennung als auch im Verlauf von diffusen parenchymatösen Lungenerkrankungen bei Kollagenosen einen wichtigen Stellenwert haben, sind sie v. a. zu Beginn nicht ausreichend sensitiv und spiegeln oftmals nicht den Fibrosegrad wider [4]. Der Stellenwert der Lungenfunktion liegt daher v. a. in der Verlaufsbeurteilung. Die wichtigsten funktionellen Parameter zur Diagnose und Verlaufsbeurteilung einer Lungenmitbeteiligung sind dabei die forcierte Vitalkapazität (FVC) und die Diffusionskapazität (DLCO). Diese Werte können bei den einzelnen Messungen variieren, sodass der Verlaufstrend wichtiger als die Einzelmessungen für die Beurteilung einer Lungenbeteiligung bei der SSc ist. Da die normale FVC (> 80 % des Sollwertes bzw. > „lower limit oft normal“ [LLN]) eine Falsch-negativ-Rate von bis zu 62,5 % aufweist, wäre dieser Messwert, allein genommen, nicht zur Früherkennung einer Lungenbeteiligung geeignet [35]. Auch durch eine Kombination von FVC, ∆FVC, TC, DLCO und FEV1/FVC kann die Falsch-negativ-Rate lediglich auf 27 % gesenkt werden [35]. Während Lungenfunktionsparameter für die Frühdetektion einer SSc-ILD somit eine niedrige Sensitivität aufweisen, sind sie als Prognoseparameter im Verlauf der Erkrankung gut geeignet [14].
Aus diesem Grund wird in einer rezenten Expertenempfehlung neben einer Lungenfunktion bei allen PatientInnen mit einer neu diagnostizierten systemischen Sklerose eine CT des Thorax zum Ausschluss oder zur Diagnose einer Lungenmitbeteiligung empfohlen [17]. Dieselbe Expertengruppe konnte sich hinsichtlich der Frage, ob bei initial negativer CT weiterführende Früherkennungsuntersuchungen mittels transthorakalen Lungenultraschalls durchgeführt werden sollten, nicht einigen.
Obwohl sich bereits eine Reihe von Arbeiten mit dem LUS bei systemischer Sklerose auseinandergesetzt hat, muss hier kritisch angemerkt werden, dass die Rolle des LUS als Früherkennungstool bei asymptomatischen PatientInnen bisher noch nicht ausreichend untersucht wurde und prospektive Studien hier noch ausstehen. Die publizierten Daten zur Detektion von pulmonalen Veränderungen bei systemischer Sklerose und anderen diffusen parenchymatösen Lungenerkrankungen legen aber nahe, dass der LUS als nichtinvasive Methode geeignet wäre, frühe Veränderungen bei asymptomatischen PatientInnen zu erfassen.
Die österreichische Expertengruppe empfiehlt daher, basierend auf den publizierten Studien zu diesem Thema und langjähriger Erfahrung der Experten, jährlich transthorakale Ultraschalluntersuchungen bei asymptomatischen PatientInnen mit einer negativen CT zum Zeitpunkt der Erstdiagnose der systemischen Sklerose durchzuführen. Der negative Vorhersagewert des LUS in dieser Fragestellung wurde noch nicht ausreichend studiert, daher sollten – in Anlehnung an die Empfehlungen der europäischen Expertengruppe [18] – insbesondere bei PatientInnen mit einem höheren Risiko für eine SSc-ILD CT-Verlaufskontrollen durchgeführt werden. Das höhere Risiko wird durch das Vorhandensein von Scl-70-AK, die diffuse Verlaufsform der Sklerodermie, respiratorische Symptome und das männliche Geschlecht bestimmt. CT-Kontrollen sollten vor diesem Hintergrund, aber auch durch das Auftreten von Symptomen bzw. bei einer entsprechenden Dynamik der Lungenfunktionsparameter erfolgen. Die Mehrheit der SklerodermiepatientInnen würde diese Risikofaktoren für diese CT-Verlaufskontrollen nicht erfüllen. Daher einigte sich die österreichische Expertengruppe auf jährliche LUS-Untersuchungen bei PatientInnen ohne Dynamik in den 6‑ bis 12-monatigen Lungenfunktionsuntersuchungen und ohne klinische Symptomatik. In Anlehnung an das Consensus Statement von Hoffmann-Vold et al. sollen bei durch oben genannte Faktoren definierten RisikopatientInnen CT-Verlaufskontrollen erfolgen [18]. Die Expertengruppe empfiehlt hier bei Patienten mit einem hohen Risiko jährliche CT-Verlaufskontrollen.
Bei der Lungenultraschalluntersuchung sollten zumindest die posterior basalen (8. ICR) sowie ventrolateralen Anlotungen (2. + 4. ICR) entsprechend dem simplifizierten Assessment erfolgen, da v. a. die Basen der Lungen und die Oberlappen Veränderungen in der CT zeigen.
Als positiv im Sinne unphysiologischer Zeichen gelten im Lungenultraschall im Besonderen Kometenschweifartefakte und/oder Pleuraunregelmäßigkeiten mit einer Verbreiterung von > 3 mm. Zur Darstellung des Lungenparenchyms dient der konvexe Schallkopf, zur Darstellung der Pleura der lineare Schallkopf. PatientInnen mit einem positiven Ultraschallbefund sollten zur weiteren Abklärung und zur Prognoseabschätzung durch eine HRCT abgeklärt werden.
Die Lungenfunktionsparameter sowie die klinische Visite werden in Anlehnung an die Empfehlungen der Expertengruppe je nach Krankheitsaktivität alle 3 bis 6 Monate bei progredienter Erkrankung bzw. alle 6 bis 12 Monate bei einem stabilen Krankheitsverlauf empfohlen [18].
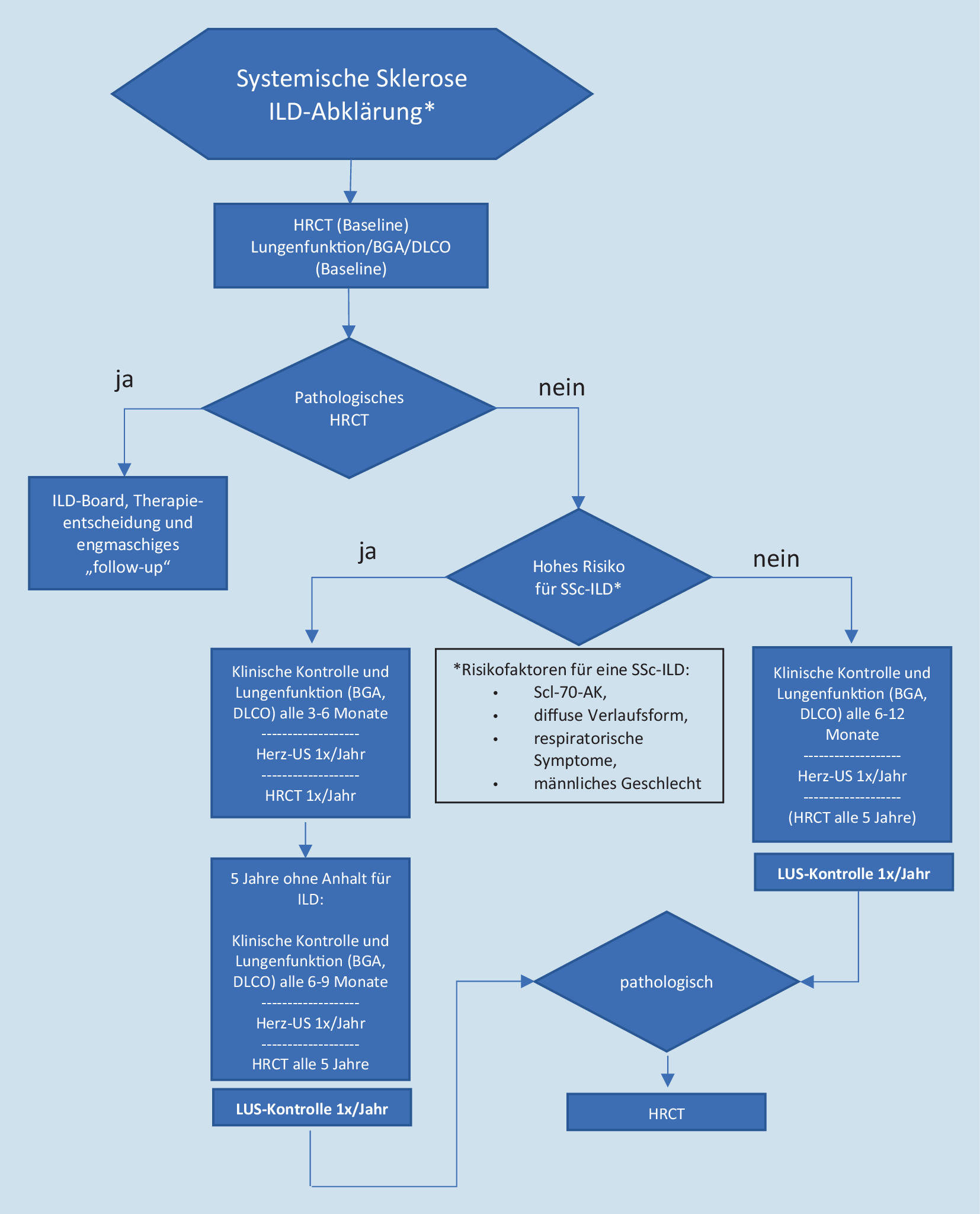
Verlaufsuntersuchungen bei PatientInnen mit bereits diagnostizierter SSc-ILD sollten mittels CT durchgeführt werden, da die Datenlage zum Ultraschall in dieser Fragestellung der Surveillance oder Progredienz noch dürftig ist. Die Expertengruppe einigte sich, dass eine HRCT zumindest alle 5 Jahre auch bei asymptomatischen PatientInnen empfohlen werden sollte (Abb. 6).
Abb. 6
Systemische Sklerose: Algorithmus ILD-Abklärung. Asterisk Graphische Darstellung des Algorithmus zur Abklärung einer ILD mithilfe des transthorakalen Lungenultraschalls
Bild vergrößern

Schlussfolgerung

Die Früherkennung einer ILD bei der systemischen Sklerose ist aufgrund ihrer schlechten Prognose von besonderer Bedeutung. Im Rahmen der Erstdiagnose einer systemischen Sklerose wird bei allen PatientInnen eine CT des Thorax zur Erfassung einer Lungenbeteiligung empfohlen.
Die österreichische Expertengruppe empfiehlt, jährlich transthorakale Ultraschalluntersuchungen bei asymptomatischen PatientInnen mit einer negativen CT zum Zeitpunkt der Erstdiagnose einer systemischen Sklerose, ohne klinische Symptome und ohne Dynamik in den 6‑ bis 12-monatigen Lungenfunktionsparametern durchzuführen. Bei Vorliegen eines positiven Lungenultraschallbefundes wird eine erneute HRCT als nicht-invasiver Goldstandard der Diagnose einer ILD zur weiterführenden Abklärung empfohlen. Aufgrund der Datenlage werden generell bei PatientInnen mit einem höheren Risiko, definiert durch entsprechende Risikofaktoren, für eine SSc-ILD jährliche CT-Verlaufskontrollen empfohlen.

Einhaltung ethischer Richtlinien

Interessenkonflikt

M. Grohs, F.C. Moazedi-Fuerst, H. Flick, K. Hackner, A. Haidmayer, S. Handzhiev, H. Kiener, J. Löffler-Ragg, G. Mathis, G. Mostbeck, O. Schindler, G. Widmann und H. Prosch geben an, dass kein Interessenkonflikt besteht.
Für diesen Beitrag wurden von den Autoren keine Studien an Menschen oder Tieren durchgeführt. Für die aufgeführten Studien gelten die jeweils dort angegebenen ethischen Richtlinien.
Open Access Dieser Artikel wird unter der Creative Commons Namensnennung 4.0 International Lizenz veröffentlicht, welche die Nutzung, Vervielfältigung, Bearbeitung, Verbreitung und Wiedergabe in jeglichem Medium und Format erlaubt, sofern Sie den/die ursprünglichen Autor(en) und die Quelle ordnungsgemäß nennen, einen Link zur Creative Commons Lizenz beifügen und angeben, ob Änderungen vorgenommen wurden.
Die in diesem Artikel enthaltenen Bilder und sonstiges Drittmaterial unterliegen ebenfalls der genannten Creative Commons Lizenz, sofern sich aus der Abbildungslegende nichts anderes ergibt. Sofern das betreffende Material nicht unter der genannten Creative Commons Lizenz steht und die betreffende Handlung nicht nach gesetzlichen Vorschriften erlaubt ist, ist für die oben aufgeführten Weiterverwendungen des Materials die Einwilligung des jeweiligen Rechteinhabers einzuholen.
Weitere Details zur Lizenz entnehmen Sie bitte der Lizenzinformation auf http://creativecommons.org/licenses/by/4.0/deed.de.
download
DOWNLOAD
print
DRUCKEN
Titel
Wertigkeit der CT und des transthorakalen Lungenultraschalls bei PatientInnen mit systemischer Sklerose
Gemeinsame Stellungnahme der ÖRG/ÖGP/ÖGR/ÖGUM
Verfasst von
OA Dr. M. Grohs
Univ. FA. PD Dr. F. C. Moazedi-Fuerst
OA Dr. H. Flick
OA Dr. K. Hackner
OA.Dr. A. Haidmayer
OA Dr. S. Handzhiev
PD. Dr. H. Kiener
ao. Univ.-Prof. Dr. J. Löffler-Ragg
Prof. Dr. G. Mathis
Prim. Prof. Dr. G. Mostbeck
OA. Dr. O. Schindler
PD Mag. Dr. G. Widmann
PD Dr. H. Prosch
Publikationsdatum
05.05.2022
Verlag
Springer Medizin
Erschienen in
Zeitschrift für Rheumatologie / Ausgabe 7/2022
Print ISSN: 0340-1855
Elektronische ISSN: 1435-1250
DOI
https://doi.org/10.1007/s00393-022-01206-4
1.
Zurück zum Zitat Aghdashi M, Broofeh B, Mohammadi A (2013) ‘Diagnostic performances of high resolution trans-thoracic lung ultrasonography in pulmonary alveoli-interstitial involvement of rheumatoid lung disease. Int J Clin Exp Med 6(7):562–566PubMedPubMedCentral
2.
Zurück zum Zitat Barskova T et al (2013) Lung ultrasound for the screening of interstitial lung disease in very early systemic sclerosis. Ann Rheum Dis 72(3):390–395. https://doi.org/10.1136/annrheumdis-2011-201072CrossRefPubMed
3.
Zurück zum Zitat Barst RJ et al (2009) Updated evidence-based treatment algorithm in pulmonary arterial hypertension. J Am Coll Cardiol 54(1):S78–S84. https://doi.org/10.1016/j.jacc.2009.04.017CrossRefPubMedPubMedCentral
4.
Zurück zum Zitat Best AC et al (2008) Idiopathic pulmonary fibrosis: physiologic tests, quantitative CT indexes, and CT visual scores as predictors of mortality. Radiology 246(3):935–940. https://doi.org/10.1148/radiol.2463062200CrossRefPubMed
5.
Zurück zum Zitat Buda N, Kosiak W (2017) Is a linear probe helpful in diagnosing diseases of pulmonary interstitial spaces? J Ultrason 17(69):136–141. https://doi.org/10.15557/jou.2017.0021CrossRefPubMedPubMedCentral
6.
Zurück zum Zitat Buda N et al (2016) Lung ultrasonography in the evaluation of interstitial lung disease in systemic connective tissue diseases: criteria and severity of pulmonary fibrosis—analysis of 52 patients. Ultraschall Med 37(04):379–385. https://doi.org/10.1055/s-0041-110590CrossRefPubMed
7.
Zurück zum Zitat Çakir Edis E et al (2016) Effectiveness of thoracic ultrasonography in the evaluation of the severity of pulmonary involvement in patients with systemic sclerosis. Arch Rheumatol 31(4):364–370. https://doi.org/10.5606/ArchRheumatol.2016.5849CrossRefPubMedPubMedCentral
8.
Zurück zum Zitat Chung JH, Walker CM, Hobbs S (2020) Imaging features of systemic sclerosis-associated interstitial lung disease. J Vis Exp 160:1–21. https://doi.org/10.3791/60300CrossRef
9.
Zurück zum Zitat Delle Sedie A, Doveri M, Frassi F (2010) ‘Ultrasound lung comets in systemic sclerosis: a useful tool to detect lung interstitial fibrosi. Clin Exp Rheumatol 28:S54. https://doi.org/10.4213/dm39CrossRefPubMed
10.
Zurück zum Zitat Denton CP, Khanna D (2017) Systemic sclerosis. Lancet 390(10103):1685–1699. https://doi.org/10.1016/S0140-6736(17)30933-9CrossRefPubMed
11.
Zurück zum Zitat Distler O et al (2019) Nintedanib for systemic sclerosis-associated interstitial lung disease. N Engl J Med 380(26):2518–2528. https://doi.org/10.1056/NEJMoa1903076CrossRefPubMed
12.
Zurück zum Zitat Elhai M et al (2017) ‘Mapping and predicting mortality from systemic sclerosis. Ann Rheum Dis 76(11):1897–1905. https://doi.org/10.1136/annrheumdis-2017-211448CrossRefPubMed
13.
Zurück zum Zitat Goh NSL et al (2008) Interstitial lung disease in systemic sclerosis. Am J Respir Crit Care Med 177(11):1248–1254. https://doi.org/10.1164/rccm.200706-877OCCrossRefPubMed
14.
Zurück zum Zitat Goh NS et al (2017) Short-term pulmonary function trends are predictive of mortality in interstitial lung disease associated with systemic sclerosis. Arthritis Rheumatol 69(8):1670–1678. https://doi.org/10.1002/art.40130CrossRefPubMed
15.
Zurück zum Zitat Gutierrez M et al (2011) ‘Utility of a simplified ultrasound assessment to assess interstitial pulmonary fibrosis in connective tissue disorders—preliminary results. Arthritis Res Ther 13(4):R134. https://doi.org/10.1186/ar3446CrossRefPubMedPubMedCentral
16.
Zurück zum Zitat Hassan RI et al (2019) Lung ultrasound as a screening method for interstitial lung disease in patients with systemic sclerosis. J Clin Rheumatol 25(7):304–307. https://doi.org/10.1097/RHU.0000000000000860CrossRefPubMed
17.
Zurück zum Zitat Hoffmann-Vold A‑M et al (2019) Evidence-based consensus recommendations for the identification and management of interstitial lung disease in systemic sclerosis. Eur Respir J. https://doi.org/10.1183/13993003.congress-2019.pa5195CrossRef
18.
Zurück zum Zitat Hoffmann-Vold AM et al (2020) ‘The identification and management of interstitial lung disease in systemic sclerosis: evidence-based European consensus statements. Lancet Rheumatol 2(2):e71–e83. https://doi.org/10.1016/S2665-9913(19)30144-4CrossRef
19.
Zurück zum Zitat Khanna D et al (2020) Etiology, risk factors, and biomarkers in systemic sclerosis with interstitial lung disease. Am J Respir Crit Care Med 201(6):650–660. https://doi.org/10.1164/rccm.201903-0563CICrossRefPubMedPubMedCentral
20.
Zurück zum Zitat Lichtenstein DA (2015) BLUE-protocol and FALLS-protocol: two applications of lung ultrasound in the critically ill. Chest 147(6):1659–1670. https://doi.org/10.1378/chest.14-1313CrossRefPubMed
21.
Zurück zum Zitat Mathis G et al (2020) WFUMB position paper on reverberation artefacts in lung ultrasound: B‑lines or comet-tails? Med Ultrason 23(1):70–73. https://doi.org/10.11152/mu-2944CrossRef
22.
Zurück zum Zitat Moazedi-Fuerst FC et al (2012) Pulmonary echography in systemic sclerosis. Baillieres Clin Rheumatol 31(11):1621–1625. https://doi.org/10.1007/s10067-012-2055-8CrossRef
23.
Zurück zum Zitat Moazedi-Fuerst FC et al (2015) ‘Sonographic assessment of interstitial lung disease in patients with rheumatoid arthritis, systemic sclerosis and systemic lupus erythematosus. Clin Exp Rheumatol 33:87–91. https://doi.org/10.1055/s-0030-1266980CrossRef
24.
Zurück zum Zitat Mohammadi A, Oshnoei S, Ghasemi-Rad M (2014) Comparison of a new, modified lung ultrasonography technique with high-resolution CT in the diagnosis of the alveolo-interstitial syndrome of systemic scleroderma. Med Ultrason 16(1):27–31. https://doi.org/10.11152/mu.2014.2066.161.am1so2CrossRefPubMed
25.
Zurück zum Zitat Ohno Y et al (2015) State-of-the-art imaging of the lung for connective tissue disease (CTD). Curr Rheumatol Rep. https://doi.org/10.1007/s11926-015-0546-8CrossRefPubMed
26.
Zurück zum Zitat Peelen DM et al (2020) The quantitative assessment of interstitial lung disease with positron emission tomography scanning in systemic sclerosis patients. Rheumatology (Oxford) 59(6):1407–1415. https://doi.org/10.1093/rheumatology/kez483CrossRef
27.
Zurück zum Zitat Pinal-Fernandez I et al (2015) Pleural irregularity, a new ultrasound sign for the study of interstitial lung disease in systemic sclerosis and antisynthetase syndrome. Clin Exp Rheumatol 33(4):S136–41PubMed
28.
Zurück zum Zitat Pinal-Fernandez I et al (2016) Fast 1.5 T chest MRI for the assessment of interstitial lung disease extent secondary to systemic sclerosis. Baillieres Clin Rheumatol 35(9):2339–2345. https://doi.org/10.1007/s10067-016-3267-0CrossRef
29.
Zurück zum Zitat Pontana F et al (2016) Effect of iterative reconstruction on the detection of systemic sclerosis-related interstitial lung disease: clinical experience in 55 patients. Radiology 279(1):297–305. https://doi.org/10.1148/radiol.2015150849CrossRefPubMed
30.
Zurück zum Zitat Soldati G, Copetti R, Sher S (2009) Sonographic interstitial syndrome: the sound of lung water. J Ultrasound Med 28(2):163–174. https://doi.org/10.7863/jum.2009.28.2.163CrossRefPubMed
31.
Zurück zum Zitat Soldati G et al (2012) Ex vivo lung sonography: morphologic-ultrasound relationship. Ultrasound Med Biol 38(7):1169–1179. https://doi.org/10.1016/j.ultrasmedbio.2012.03.001CrossRefPubMed
32.
Zurück zum Zitat Soldati G et al (2016) On the physical basis of pulmonary sonographic interstitial syndrome. J Ultrasound Med. https://doi.org/10.7863/ultra.15.08023CrossRefPubMed
33.
Zurück zum Zitat de Souza Müller C et al (2017) Pulmonary magnetic resonance imaging is similar to chest tomography in detecting inflammation in patients with systemic sclerosis. Rev Bras Reumatol Engl Ed 57(5):419–424. https://doi.org/10.1016/j.rbre.2017.02.001CrossRef
34.
Zurück zum Zitat Sperandeo M et al (2015) Ultrasound signs of pulmonary fibrosis in systemic sclerosis as timely indicators for chest computed tomography. Scand J Rheumatol 44(5):389–398. https://doi.org/10.3109/03009742.2015.1011228CrossRefPubMed
35.
Zurück zum Zitat Suliman YA et al (2015) Pulmonary function tests: high rate of false-negative results in the early detection and screening of scleroderma-related interstitial lung disease. Arthritis Rheumatol 67(12):3256–3261. https://doi.org/10.1002/art.39405CrossRefPubMed
36.
Zurück zum Zitat Tardella M et al (2017) AB0655 ultrasound b‑lines in the evaluation of interstitial lung disease in patients with systemic sclerosis: cut-off point definition for the presence of pulmonary fibrosis https://doi.org/10.1136/annrheumdis-2017-eular.6828CrossRef
37.
Zurück zum Zitat Tyndall AJ et al (2010) Causes and risk factors for death in systemic sclerosis: a study from the EULAR scleroderma trials and research (EUSTAR) database. Ann Rheum Dis 69(10):1809–1815. https://doi.org/10.1136/ard.2009.114264CrossRefPubMed
38.
Zurück zum Zitat Uehara T et al (2016) ‘Deep-inspiration breath-hold 18F-FDG-PET/CT is useful for assessment of connective tissue disease associated interstitial pneumonia. Mod Rheumatol 26(1):121–127. https://doi.org/10.3109/14397595.2015.1054099CrossRefPubMed
39.
Zurück zum Zitat Volpicelli G et al (2012) International evidence-based recommendations for point-of-care lung ultrasound. Intensive Care Med 38(4):577–591. https://doi.org/10.1007/s00134-012-2513-4CrossRefPubMed
40.
Zurück zum Zitat Walkoff L et al (2018) The four corners sign: a specific imaging feature in differentiating systemic sclerosis-related interstitial lung disease from idiopathic pulmonary fibrosis. J Thorac Imaging. https://doi.org/10.1097/RTI.0000000000000319CrossRefPubMed
41.
Zurück zum Zitat Warrick JH et al (1991) High resolution computed tomography in early scleroderma lung disease. J Rheumatol 18(10):1520–1528PubMed
42.
Zurück zum Zitat Wormanns D, Hamer OW (2015) Glossar thoraxradiologischer Begriffe entsprechend der Terminologie der Fleischner Society. RoFo 187(8):638–661. https://doi.org/10.1055/s-0035-1553216CrossRefPubMed