Zum Inhalt

Schwerstverletztenversorgung mit aktiver Blutung unter Apixaban und gerinnungsrelevanter Restaktivität

Erschienen in:

Zusammenfassung

Direkte orale Antikoagulanzien (DOAK) werden zunehmend zur Prophylaxe thrombembolischer Ereignisse eingesetzt. Ihr Umgang, insbesondere in Notfallsituationen, gestaltet sich schwierig, da Spiegelmessungen oft nicht zeitnah zur Verfügung stehen und bis vor Kurzem keine Möglichkeit zur Antagonisierung bestand. Es wird die notfallmäßige Behandlung eines Schwerstmehrfachverletzten mit lebensbedrohlicher traumatischer Blutung unter Dauertherapie mit dem Faktor-Xa-Hemmer Apixaban, viskoelastizitätsbasierter Detektion gerinnungsrelevanter Restaktivität bei Schockraumaufnahme und gezielter Wirkungsaufhebung beschrieben.

Redaktion

Frank Hildebrand, Aachen
Klemens Horst, Aachen
QR-Code scannen & Beitrag online lesen
Direkte orale Antikoagulanzien (DOAK) haben Phenprocoumon zur Prophylaxe thrombembolischer Ereignisse weitestgehend abgelöst, und ihr klinischer Gebrauch wird weiter zunehmen. Während es für die Elektivchirurgie Handlungsempfehlungen zum sicheren Umgang mit diesen Substanzen gibt, fehlen diese bislang für die Akutsituation mit der Notwendigkeit für einen chirurgischen Notfalleingriff. Inzwischen existieren spezifische Antidote und neue Messmethoden zur besseren Handhabung von DOAK in der unfallchirurgischen Notfallsituation.

Falldarstellung

Anamnese: Prähospitale Versorgung

Die Aufnahme des 54-jährigen, männlichen Patienten erfolgte luftgebunden nach einem Verkehrsunfall mit Einklemmung und technischer Rettung. Bei Eintreffen des Rettungsdienstes war der Patient wach und ansprechbar (Glasgow Coma Scale [GCS] 14) mit Schmerzen abdominell und in beiden unteren Extremitäten. Bei klinischem Verdacht auf eine geschlossene Unterschenkelfraktur rechts erfolgte die Schienung, bei ebenfalls klinischem Verdacht auf eine Beckenfraktur mit proximaler Mehretagenfraktur des linken Femurs die Anlage einer Beckenschlinge. Kardiothorakopulmonal imponierte die Situation insgesamt kompensiert bei ultrasonographischem Nachweis eines Flüssigkeitssaums zwischen Milz und linker Niere (Koller-Pouch) und klinisch leichter Abwehrspannung. Auf Befragen des Notarztes bejahte der Patient die dauerhafte Einnahme des Faktor-Xa-Hemmers Apixaban. Nach Anlage von 2 großlumigen Zugängen zur restriktiven Volumentherapie erfolgte unter Analgosedierung sowie axialer Stabilisierung auf der Vakuummatratze der Transport in die Zielklinik.

Befund: Versorgung und Diagnostik im Schockraum

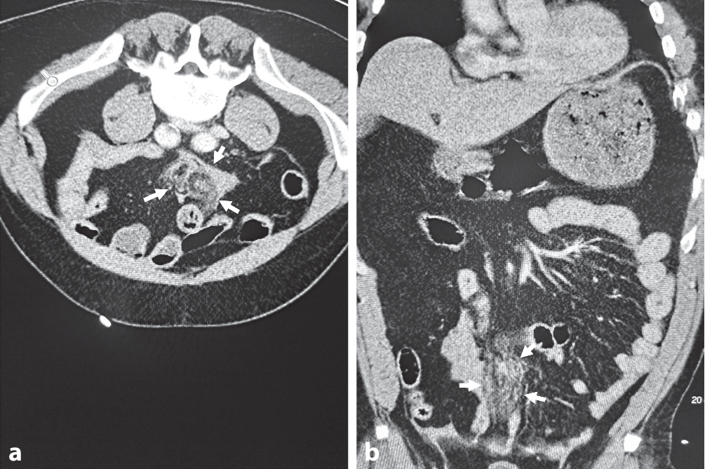
Bei Aufnahme im Schockraum der Zielklinik zeigte sich ein tachykarder (Herzfrequenz 125/min), normotoner (mittlerer arterieller Blutdruck [MAP] 100 mm Hg) und analgosedierter Patient (GCS 11) mit einer Spontanatemfrequenz von 20/min unter 10 l/min Sauerstoff. Der intraabdominelle Flüssigkeitsnachweis um Milz und Blase wurde im Schockraum ultrasonographisch bestätigt und in Rücksprache mit dem Notarzt als größenzunehmend gewertet. Es erfolgte die Gabe von 1 g Tranexamsäure intravenös. Laborchemisch zeigte sich ein Hb 15,6 g/dl bei einem pH 7,269, Lactat 4,4 mmol/l und BE −1,1 mmol/l; als Zeichen des Abdominaltraumas waren die Leberenzyme leicht erhöht, und es zeigte sich ein Kreatinin von 1,62 mg/dl als Zeichen einer eingeschränkten Nierenfunktion. Im Rahmen der konventionellen Gerinnungsdiagnostik imponierten eine International Normalized Ratio (INR) 2,75, PTT 38,4 s, Thrombozyten 204/nl und D‑Dimere 18,7 mg/l. Die computertomographische Ganzkörperschnittbildgebung zeigte als intraabdominelle und aktive Blutungsquellen mehrere Mesoeinrisse (Abb. 1); das weitere Verletzungsmuster bestand aus multiplen Lungenkontusionen, einer Dreietagenfraktur des linken Femurs mit begleitender drittgradig offener Fraktur der Patella, einer geschlossenen Unterschenkelfraktur rechts sowie einer Dissektion der linken A. iliaca communis.
Abb. 1
Computertomographischer (CT) Nachweis der aktiven intraabdominellen Blutung. a CT-Transversalebene und b CT-Fontalebene aus diffusen Mesoeinrissen (Pfeile in a und b)
Bild vergrößern

Therapie und Verlauf: „Point-of-care“-Diagnostik und Gabe des Antidots

Bei zunehmender kardiozirkulatorischer Dekompensation mit hämodynamisch relevantem Zirkulationsproblem (C‑Problem) infolge der aktiven Blutung wurde der Patient zur notfallmäßigen Laparotomie in den OP verbracht. Bei eigenanamnestischer Dauereinnahme von Apixaban erfolgte die „Point-of-Care“ viskoelastizitäts-basierte 6‑Kanal-Gerinnungsdiagnostik mittels ClotPro® (Fa. enicor GmbH, München, Deutschland). Hier zeigte sich nach 4‑minütiger Laufzeit im Russell-Viper-Venom-Test (RVV) eine Verlängerung der CT-Zeit auf 116 s als Hinweis auf eine noch deutlich gerinnungsrelevante und systemische Apixabanrestaktivität (Abb. 2); die Gerinnungszeit im Test zur Einschätzung des Gesamtgerinnungsprozesses (EX-Test) war auf 69 s verlängert. In der Zusammenschau aus gesichert klinisch-relevanter und aktiver intraabdomineller Blutung mit progredienter lebensbedrohlicher Schocksymptomatik, gerinnungsaktiver Apixabanrestaktivität sowie Verdacht auf eine eingeschränkte Apixaban-Clearance durch die laborchemisch erhobene Niereninsuffizienz erfolgte im interdisziplinären Konsens die Antagonisierung mittels Andexanet alfa. Bei vermutet letztmaliger Einnahme von Apixaban in der Standarddosierung von 2,5 mg am Morgen und damit im Zeitfenster < 8 h zum aktuellen Zeitpunkt erfolgte die Gabe von Andexanet alfa in der niedrigen Dosierung als i.v.-Bolusgabe von 400 mg mit einer Infusionsgeschwindigkeit von 30 mg/min über 15 min, gefolgt von einer Dauerinfusion über 120 min mit einer Infusionsgeschwindigkeit von 4 mg/min (480 mg) gemäß den Herstellerempfehlungen. Im Intervall erfolgte die Wiederholung der Gerinnungsdiagnostik mittels ClotPro® mit Normalisierung der RVV-CT-Zeit (Abb. 2). Zur Stabilisierung der Gesamtgerinnungsfunktion erhielt der Patient bei initial erhöhter INR und verlängerter ClotPro®-EX-Zeit insgesamt 2000 IE Prothrombinkomplexkonzentrat (PPSB) sowie 4 Frischplasmakonzentrate. Parallel hierzu erfolgten die chirurgische Blutstillung und die Versorgung der Frakturen nach dem „Damage-Control“-Prinzip.
Abb. 2
ClotPro®-RVV-Test vor (a) und nach Gabe (b) von Andexanet alfa mit effektiver Aufhebung der antikoagulatorischen Restaktivität mit Normalisierung der CT-Zeit
Bild vergrößern
Nach Antagonisierung und aggressiver Stabilisierung der Gesamtgerinnungsfunktion wurde intraoperativ kein größerer Blutverlust mehr beobachtet; der unmittelbar vor Schnitt kontrollierte Hb-Wert lag bei 11,7 g/dl, die unmittelbar postoperative Kontrolle bei 9,7 g/dl und am Morgen des Folgetages bei 8,1 g/dl. Der Base Excess (BE) als Schockindikator lag postoperativ bei 0,8 mmol/l und nach weiteren 90 min bei 0,9 mmol/l. Der intraoperative Blutverlust wurde mit 700 ml dokumentiert; auf die Transfusion von Erythrozytenkonzentraten konnte im Kontext der Akutversorgung des Patienten sowie innerhalb der ersten 24 h verzichtet werden. Die konventionellen Gerinnungsparameter lagen für den INR unmittelbar postoperativ bei 1,01, PTT 34,4 s, und die Thrombozyten fielen zu keinem Zeitpunkt innerhalb der ersten 24 h ohne Substitution unter 110/nl. Bei Dissektion der linken Arteria iliaca communis wurde bereits 4 h nach der Operation mit einer prophylaktischen Antikoagulation mit 400 IE/h Heparin begonnen. Darunter lag die PTT in den ersten 24 h immer zwischen 30 und 36 s; thrombembolische Komplikationen entwickelten sich in der Akutphase nicht.

Diskussion

Der Fall zeigt die notfallmäßige Behandlung eines Schwerstmehrfachverletzten (Injury Severity Score (ISS) 66) mit lebensbedrohlicher traumatischer intraabdomineller Blutung unter Dauertherapie mit dem Faktor-Xa-Hemmer Apixaban und verbliebener gerinnungsrelevanter Restaktivität durch zeitnahe effektive Antagonisierung mittels Andexanet alfa, „Point-of-care“-gesteuerter viskoelastizitätsbasierter Gerinnungstherapie und chirurgischer Blutungskontrolle.
Laut Daten des TraumaRegister der Deutschen Gesellschaft für Unfallchirurgie (TR-DGU®) wurde 2019 fast jeder 4. Schwerstverletzte (n = 6171; 24,1 %) direkt zur (Notfall)Operation in den OP weiterverlegt [1]; 20 % (n = 4452) davon hatten eine vorbestehende Störung ihrer Gerinnungsfunktion, und wiederum 20 % (n = 2569; Daten im reduzierten TR-DGU®-Datensatz nicht verfügbar) benötigten eine medikamentöse Hämostasetherapie. Seit 2019 steht Andexanet alfa zur Anwendung bei Erwachsenen zur Verfügung, die mit den direkten FaktorXa(FXa)-Inhibitoren Apixaban oder Rivaroxaban behandelt werden, wenn aufgrund lebensbedrohlicher/nichtkontrollierbarer Blutungen eine Aufhebung der Antikoagulation erforderlich ist. Aufgrund fehlender Daten wird die Anwendung zur Aufhebung des FXa-Inhibitors Edoxaban aktuell in Deutschland nicht empfohlen, obgleich die Substanz in Japan hierfür zugelassen ist [2]. Das empfohlene Dosierungsschema orientiert sich an der zum Zeitpunkt der Aufhebung eingenommenen Apixabandosis sowie der Zeit nach letztmaliger Einnahme [2]. Im vorliegenden Fall erfolgte eine niedrigdosierte Therapie mit Andexanet alfa bei eigenanamnestischer Dauermedikation mit Apixaban 2,5 g 2‑mal täglich und letztmaliger Einnahme am Morgen des Unfalls.
Erleichtert wurde die Therapieentscheidung durch die eigenanamnestische Angabe des am Unfallort wachen Patienten in Bezug auf die Dauereinnahme von Apixaban infolge einer stattgehabten zentralen Lungenarterienembolie. In Zusammenschau von sowohl prä- als auch intrahospital ultrasonographisch nachweisbarer intraabdomineller Flüssigkeit und dem klinischen Bild eines zunehmenden hämorrhagischen Schocks wurde frühzeitig eine erweiterte viskoelastizitätsbasierte Diagnostik mittels ClotPro® einschließlich der differenzialdiagnostischen Untertests auf DOAK-Einnahme eingeleitet. Während über den ClotPro®-ECA-Test (Ecarintest) der zeitnahe Nachweis von direkten Thrombinhemmern erfolgt, besitzt der hier genutzte RVV-Test eine hohe Sensitivität für Faktor-Xa-Hemmer. In einer Kohortenstudie an 108 Traumapatienten mit Vorhofflimmern unter DOAK-Therapie korrelierten beide Tests mit den parallel detektierten Plasmaspiegeln [3]. Im vorliegenden Fall zeigte der RVV-Test eine deutlich verlängerte CT-Zeit und somit eine noch deutlich vorhandene und gerinnungsrelevante Restaktivität des am Morgen eingenommenen Faktor-Xa-Hemmers Apixaban.
In den Zulassungsstudien wurde gezeigt, dass Andexanet alfa die Wirkung von FXa-Inhibitoren innerhalb von Minuten aufhebt [4]. In der im Intervall durchgeführten ClotPro®-RVV-Kontrolle zeigte sich eine rasche Normalisierung der CT-Zeit und somit eine effektive Antagonisierung. Aktuell existiert keine alternative laborchemische Methode, die die Überwachung einer Behandlung mit Andexanet alfa ermöglichen würde. Insbesondere die Messung der Anti-FXa-Aktivität mit kommerziellen Methoden ist ungeeignet, da diese die Aufhebungsaktivität von Andexanet alfa unterschätzen. Der Hersteller empfiehlt daher, die Überwachung des Therapieerfolges anhand der klinischen Wiederherstellung der Hämostase und des Nichtauftretens von thrombembolischen Ereignissen durchzuführen [5].
Bereits gegen Ende des operativen Eingriffs imponierte eine wiederhergestellte und regelhafte Hämostase mit normalisierten Gerinnungsparametern in der laborchemischen Kontrolle. Der intraoperative Blutverlust wurde mit 700 ml dokumentiert; auf die Gabe von Erythrozytenkonzentraten konnte im Rahmen des Notfallmanagements komplett verzichtet werden. Bei diagnostizierter Dissektion der linken Arteria iliaca communis erfolgte nach Kontrolle von Blutung und Wiederherstellung der Hämostase die frühzeitige Antikoagulation. Eine Interaktion zwischen Andexanet alfa und der Heparinwirkung wurde nicht beobachtet.

Fazit für die Praxis

1.
Die Anzahl Schwerstverletzter und blutender Patienten unter DOAK-Dauertherapie wird weiter zunehmen.
 
2.
Weiterentwickelte viskoelastische Testverfahren haben die Diagnostik in der Notfallsituation verbessert.
 
3.
Spezifische Antidote stehen zur Verfügung.
 
4.
Traumazentren sollten die Möglichkeit zur notfallmäßigen Antagonisierung vorhalten.
 

Einhaltung ethischer Richtlinien

Interessenkonflikt

M. Maegele erhielt Vortrags- und Beraterhonorare von Portola Inc., Alexion Pharma, Astra Zeneca und TEM International/IL-Werfen. B. Stolz, S. Trojan, I. Lazarevits, M. Linde, J. Meyer-Zillekens, M. Formesyn, E. von der Leyen und U. Limper geben an, dass kein Interessenkonflikt besteht.
Für diesen Beitrag wurden von den Autor/-innen keine Studien an Menschen oder Tieren durchgeführt. Für die aufgeführten Studien gelten die jeweils dort angegebenen ethischen Richtlinien. Für Bildmaterial oder anderweitige Angaben innerhalb des Manuskripts, über die Patient/-innen zu identifizieren sind, liegt von ihnen und/oder ihren gesetzlichen Vertretern/Vertreterinnen eine schriftliche Einwilligung vor.
Open Access Dieser Artikel wird unter der Creative Commons Namensnennung 4.0 International Lizenz veröffentlicht, welche die Nutzung, Vervielfältigung, Bearbeitung, Verbreitung und Wiedergabe in jeglichem Medium und Format erlaubt, sofern Sie den/die ursprünglichen Autor(en) und die Quelle ordnungsgemäß nennen, einen Link zur Creative Commons Lizenz beifügen und angeben, ob Änderungen vorgenommen wurden.
Die in diesem Artikel enthaltenen Bilder und sonstiges Drittmaterial unterliegen ebenfalls der genannten Creative Commons Lizenz, sofern sich aus der Abbildungslegende nichts anderes ergibt. Sofern das betreffende Material nicht unter der genannten Creative Commons Lizenz steht und die betreffende Handlung nicht nach gesetzlichen Vorschriften erlaubt ist, ist für die oben aufgeführten Weiterverwendungen des Materials die Einwilligung des jeweiligen Rechteinhabers einzuholen.
Weitere Details zur Lizenz entnehmen Sie bitte der Lizenzinformation auf http://​creativecommons.​org/​licenses/​by/​4.​0/​deed.​de.

Unsere Produktempfehlungen

Die Unfallchirurgie

Print-Titel

Fortbildung für unfallchirurgisch und chirurgisch tätige Ärztinnen und Ärzte, State-of-the-art Reviews zu aktuellen Themen und CME - Evidenzbasierte Medizin zum Punkte sammeln

e.Med Interdisziplinär

Kombi-Abonnement

Für Ihren Erfolg in Klinik und Praxis - Die beste Hilfe in Ihrem Arbeitsalltag

Mit e.Med Interdisziplinär erhalten Sie Zugang zu allen CME-Fortbildungen und Fachzeitschriften auf SpringerMedizin.de.

e.Med Orthopädie & Unfallchirurgie

Kombi-Abonnement

Mit e.Med Orthopädie & Unfallchirurgie erhalten Sie Zugang zu CME-Fortbildungen der Fachgebiete, den Premium-Inhalten der dazugehörigen Fachzeitschriften, inklusive einer gedruckten Zeitschrift Ihrer Wahl.

download
DOWNLOAD
print
DRUCKEN
Titel
Schwerstverletztenversorgung mit aktiver Blutung unter Apixaban und gerinnungsrelevanter Restaktivität
Verfasst von
Professor Dr. med. Marc Maegele
Benedikt Stolz
Stefan Trojan
Igor Lazarevits
Martin Linde
Jürgen Meyer-Zillekens
Mathias Formesyn
Eliza von der Leyen
Ulrich Limper
Publikationsdatum
28.03.2023
Verlag
Springer Medizin
Erschienen in
Die Unfallchirurgie / Ausgabe 7/2023
Print ISSN: 2731-7021
Elektronische ISSN: 2731-703X
DOI
https://doi.org/10.1007/s00113-023-01310-3
3.
Zurück zum Zitat Oberladstätter D, Voelckel W, Schlimp C et al (2021) A prospective oberservational study of the rapid detection of clinically-relevant plasma direct oral anticoagulant levels following acute traumatic injury. Anaesthesia 76(3):373–380CrossRefPubMed
4.
Zurück zum Zitat Siegal DM, Curnutte JT, Connolly SJ et al (2015) Andexanet alfa for the reversal of factors Xa inhibitory activity. N Engl J Med 373:2413–2424CrossRefPubMed

Arthropedia

Grundlagenwissen der Arthroskopie und Gelenkchirurgie erweitert durch Fallbeispiele, Videos und Abbildungen. Zur Fortbildung und Wissenserweiterung, verfasst und geprüft von Expertinnen und Experten der Gesellschaft für Arthroskopie und Gelenkchirurgie (AGA).


Jetzt entdecken!

Neu im Fachgebiet Orthopädie und Unfallchirurgie

Zwei auf einen Streich: Wie sicher ist der simultane bilaterale Gelenkersatz?

Ein französisch-belgisches Team hat Komplikationsrisiko und Transfusionsraten nach simultanem bilateralem Hüft- bzw. Kniegelenkersatz in mehr als 280 Fällen untersucht. Die Ergebnisse sind vielversprechend, vor allem beim beidseitigen Teilersatz des Kniegelenks.

Gelenkinfektion: Datenlage spricht für frühen Wechsel auf orales Antibiotikum

Im Fall einer periprothetischen Gelenkinfektion kann die antibiotische Behandlung wohl frühzeitig von intravenös auf oral umgestellt werden, ohne dass der Therapieerfolg darunter leidet. Das zeigen die Ergebnisse einer neuen Metaanalyse.

Sjögren-Frühdiagnose künftig über Autoantikörper im Speichel?

Forschende haben bei Menschen mit vermeintlichem Non-Sjögren-Sicca-Syndrom typische Sjögren-Autoantikörper im Speichel gefunden und damit womöglich einen frühen Phänotyp der Erkrankung entdeckt.

Neue Therapieoption mit Navepegritid für Kinder mit Achondroplasie

In einer placebokontrollierten Phase-2b-Studie steigerte Navepegritid die Wachstumsgeschwindigkeit von Kindern mit Achondroplasie gegenüber Placebo und verbesserte sowohl Beinachsen als auch Körperproportionen. Die Behandlung erwies sich als gut verträglich und brachte zudem Vorteile für die Lebensqualität.

Update Orthopädie und Unfallchirurgie

Bestellen Sie unseren Fach-Newsletter und bleiben Sie gut informiert.

Bildnachweise
Arthropedia, Knochensäge im Einsatz bei Knie-TEP/© Issara / stock.adobe.com (Symbolbild mit Fotomodellen), Älterer Mann schaut kritisch auf Tabletten/© Mediteraneo / stock.adobe.com (Symbolbild mit Fotomodell), Speicheldrüsensonographie der Glandula parotis links bei Sjögren-Syndrom/© Zehrfeld N. et al. / all rights reserved Springer Medizin Verlag GmbH