Zum Inhalt

ECMO in cardiac arrest and cardiogenic shock

  • Open Access
  • 26.01.2017
  • Main topic
Erschienen in:

Abstract

Cardiogenic shock is an acute emergency, which is classically managed by medical support with inotropes or vasopressors and frequently requires invasive ventilation. However, both catecholamines and ventilation are associated with a worse prognosis, and many patients deteriorate despite all efforts. Mechanical circulatory support is increasingly considered to allow for recovery or to bridge until making a decision or definite treatment. Of all devices, extracorporeal membrane oxygenation (ECMO) is the most widely used. Here we review features and strategical considerations for the use of ECMO in cardiogenic shock and cardiac arrest.
CPR
Cardiopulmonary resuscitation
ECMO
Extracorporeal membrane oxygenation
ECPR
Extracorporeal cardiopulmonary resuscitation
IABP
Intra-aortic balloon pump
LV
Left ventricle
LVAD
Left ventricular assist device
OHCA
Out-of-hospital cardiac arrest
ROSC
Return of spontaneous circulation
Cardiogenic shock and cardiac arrest are life-threatening emergencies with a high mortality rate despite numerous efforts in diagnosis and therapy. For a long time medical therapy – at the forefront with catecholamines, vasodilators and others – and mechanical ventilation, if necessary, were the standard of care for cardiogenic shock. Oxygen supply and perfusion are critically reduced during shock and arrest, and both are physical processes that are in principle amenable to (temporary) extracorporeal mechanical support. Early pioneering work to prove this principle was performed in animals as early as 1937 [1] and in humans 20–30 years later [2, 3]. With the seminal paper by Hill and coworkers [4], extracorporeal membrane oxygenation (ECMO), which can provide blood flow support and extracorporeal gas exchange at the same time, was introduced into the clinic. Since then, technical improvements have contributed to the current worldwide use of ECMO for severe respiratory and cardiorespiratory failure refractory to medical therapy. Recently, there has been some discussion on initiating mechanical support even earlier, with the intention to avoid multiorgan failure associated with excessive catecholamine doses and/or aggressive ventilator settings. By analogy with the concept of veno-venous ECMO and lung-protective ventilation for treatment of acute respiratory distress syndrome, the goal of mechanical support in cardiogenic shock is myocardial rest while protecting end organ perfusion.
In the following, we review ECMO support in the context of cardiogenic shock and refractory cardiac arrest, with a special focus on technical aspects of veno-arterial ECMO. Of note, the following statements are primarily true for percutaneous ECMO with femoral cannulation and may not necessarily be directly transferable to central or upper-body cannulation.

Cardiogenic shock and cardiac arrest

Cardiogenic shock is the main cause of early mortality in patients with acute myocardial infarction [5]. Other conditions leading to shock comprise acutely decompensated chronic heart failure, decompensated valvular heart disease, myocarditis, Takotsubo syndrome, acute pulmonary embolism, acute allograft failure, incessant arrhythmia, peripartum cardiomyopathy [6], and others [7]. During cardiogenic shock not only the heart itself suffers from pump failure, but even more end organs such as the brain, kidney, liver, and gut are at risk due to insufficient perfusion (multiorgan dysfunction syndrome) [8], and the rate of congestion-associated pneumonia increases. Beyond blood pressure and heart rate as classic shock markers, serum lactate, central venous oxygenation, liver enzyme levels, and urine output are surrogate markers of circulatory failure and multiorgan dysfunction [9]. Reduced coronary perfusion further decreases cardiac output, and multiorgan dysfunction/failure is further complicated by metabolic acidosis and acute coagulopathy. All of these conditions aggravate each other in a fatal vicious circle [8, 9].
Out-of-hospital cardiac arrest (OHCA) occurs with an estimated incidence of 500,000 per year in Europe [10, 11], with two thirds having a primary cardiac cause [12]. Mortality after OHCA remains high despite interventional therapy and modern intensive care. Only 10–15% of those who arrive at the normal hospital survive [13, 14], of whom about 50–80% have a favorable neurological prognosis [15, 16]. In this context, immediate bystander CPR and area-wide availability of automated external defibrillators are essential to increase survival and prognosis. The first electric shock should be applied as early as possible [17] to minimize the time of hypoperfusion, associated LV pump failure, and consecutive development of shock [18]. After return of spontaneous circulation (ROSC), the patient needs to be transferred to an experienced center, which holds all required diagnostic and therapeutic tools [19]. In clinical routine, the first 24 h after resuscitation often decide on the outcome, and guidelines recommend cardiac catheterization in most cases early after OHCA [20, 21]. Therefore, primary admission to a tertiary center should be preferred over admission to a regional hospital and secondary transfer to a tertiary center, when progression of shock has already occurred.
The majority of patients after OHCA develop post-cardiac arrest syndrome [22, 23] in a vicious circle: Cardiac arrest leads to ischemia of the myocardium and end organs, which results in adverse metabolism, acidosis, and vasoplegia. The hypoperfused heart is not able to respond to the circulatory needs, which in turn aggravates peripheral ischemia [24]. Therefore, restoration of systemic perfusion is essential – particularly in the immediate and early phase after ROSC – in order to limit multiorgan dysfunction [25], which can also be considered a “whole-body reperfusion syndrome.” In this context, complete cardiac revascularization is recommended [12, 26], but care of other end organs such as the brain, intestine, liver, and kidneys is equally important [23].
As outlined, cardiogenic shock and cardiac arrest share many pathophysiological features and evoke many similar responses. Thus, it was not surprising but very important to prove that the prognosis of both conditions is equally adverse: In a recent study of 250 consecutive patients from Denmark, 130 were admitted to a tertiary center with cardiogenic shock, while 118 had OHCA. Interestingly, both groups had the same dismal outcome with 60% 1‑week mortality [27]. This underlines the urgent need for novel therapeutic strategies for patients with cardiogenic shock and arrest.

Restoration of systemic circulation

For many years catecholamines have been used for stabilization of patients with cardiogenic shock. Inotropes such as dobutamine are given with the intention to increase cardiac output by their positive inotropic and chronotropic function. In contrast, vasopressors such as norepinephrine are administered for increasing blood pressure by vasoconstriction and indirect effects such as increased preload. Epinephrine shares features of both drug classes. However, inotropic drugs increase myocardial oxygen consumption, heart rate, arrhythmogenicity, and inflammation in the already diseased heart [28]. Beta1-adrenoceptor agonists have been associated with energy depletion, oxidative stress, and adverse outcome in acute heart failure [29]. Vasopressors increase myocardial afterload and potentially impair peripheral tissue perfusion. Thus, from a pathophysiological perspective, inotropes as well as vasopressors are associated with adverse effects on the heart and other end organs while these organs should recover. Consistently, current guidelines recommend catecholamines as a short-term bridge in the acute situation (only class IIb, level of evidence C), but clearly mention the disadvantages of such drugs, also in light of the paucity of clinical studies demonstrating a survival benefit [25, 30, 31]. In clinical routine, catecholamines are often “effective” in terms of increasing blood pressure, but linked to impaired microcirculation and multiorgan failure, and thus not sufficient for sustained and harmless stabilization of patients with severe cardiogenic shock and resuscitation. In this context, beta-blockers and calcium antagonists taken by the patient before arrest might further contribute to the limited efficacy of catecholamines.
Therefore, it is increasingly being discussed to initiate mechanical circulatory support as a powerful tool for bridging earlier and more frequently, in order to improve the prognosis of patients with severe cardiogenic shock or refractory arrest [32]. However, this trend is based on data from many registries and retrospective/observational studies, while evidence from prospective randomized controlled studies is lacking.

Mechanical circulatory support

Several modes and devices of mechanical support are currently available [32], of which each has its own features and advantages.
The intra-aortic balloon pump (IABP) consists of a catheter-mounted balloon that inflates during diastole and deflates during systole in the descending thoracic aorta. By this, coronary perfusion should be enhanced during diastole, while afterload should be decreased during systole when the left ventricle (LV) ejects. Notwithstanding the attractive pathophysiological principle, augmentation by IABP depends on LV output, and the potential of support decreases with lower LV output. Several studies have demonstrated that IABP support is not favorable in infarct-related cardiogenic shock [33, 34]. Therefore, current guidelines have retracted the recommendation of IABP use [31].
The TandemHeart® consists of a pump and two cannulas, of which one is inserted via venous access and transseptal approach into the left atrium (LA), and the other one via arterial access into the femoral artery. By this, the TandemHeart® introduces a right-to-left shunt, reduces LV preload by LA drainage, but increases afterload by retrograde flow support toward the aorta. The TandemHeart® is not widely used in Europe and requires experienced transseptal cannula placement, which is assumed to harbor considerable risk in the acute situation.
Transaortic microaxial pumps (Impella®, Heartmate PHP®) are introduced via arterial access through the aorta across the aortic valve into the LV. These devices directly unload the LV, transport the drained volume inside of the pump toward the aorta and eject into the aortic root. This elegant approach, which follows the physiological blood flow direction, is comprehensively described in the same issue of this journal (Schäfer A, Bauersachs J, doi: 10.1007/s00059-016-4512-7). However, microaxial pumps do not offer gas exchange or temperature control.
Probably, the most often used form of mechanical circulatory support today is ECMO. Originating from cardiac surgery and initially developed for temporary lung replacement, ECMO support is now broadly established for cardiorespiratory support [35]. Notwithstanding its enormous support potential, ECMO has several special features and harbors certain specific risks, which will be reviewed here (see next sections).
In general, mechanical support can be used with different strategies (Table 1). In patients with severe cardiogenic shock from myocardial infarction or myocarditis, mechanical support is routinely employed in a bridge-to-recovery approach. In the case of acute decompensated chronic heart failure, the potential for recovery may be limited, which sometimes results in a bridge-to-destination approach. In resuscitated patients, a bridge-to-decision strategy is usually required, as further therapies such as LVAD surgery, ICD implantation etc. are postponed until awakening of the patient allows for estimating neurological recovery and eligibility.
Table 1
Strategies of mechanical circulatory support
Strategy
Indication (examples)
Principle
Goal
Bridge-to-recovery
Acute heart failure (myocarditis, acute myocardial infarction)
Stabilize systemic circulation, ensure end organ perfusion and reduce preload until myocardial recovery
Recovery
Bridge-to-transplantation
Terminal heart failure
Stabilize systemic circulation, ensure end organ perfusion until heart transplantation
Transplantation
Bridge-to-destination
Terminal heart failure
Stabilize systemic circulation, ensure end organ perfusion until LVAD implantation
LVAD
Bridge-to-surgery
Acute pulmonary embolism with shock (and contraindication for fibrinolysis)
Reduce preload and stabilize systemic circulation until emergent embolectomy
Embolectomy
Bridge-to-decision
Extracorporeal CPR
Stabilize systemic circulation, ensure end organ perfusion until (neurological) re-evaluation and decision on therapeutic strategy
Re-evaluation
Refractory cardiogenic shock
ECMO implantation at the referral center by the ECMO team and transport to the tertiary center for further therapy
Transfer
CPR cardiopulmonary resuscitation, ECMO extracorporeal membrane oxygenation, LVAD left ventricular assist device

Veno-arterial ECMO

Technical aspects

ECMO is a modified form of cardiopulmonary bypass [36], and has undergone a dramatic technical evolution since the widely known publication by Hill and coworkers in 1972 [4]. In principle, ECMO drains venous blood through a cannula and tubing and returns it via another tubing and cannula into the body, both driven by a rotor unit. During ECMO passage the blood becomes oxygenated, decarboxylated, and warmed in an extracorporeal gas exchange unit. In nonsurgical application in adults, peripheral cannulation of the femoral and/or jugular vessels is the standard technique, usually with 21–25 French draining and 15–19 French returning cannulas (Table 2). Veno-venous (VV) ECMO drains from and returns to the right atrium. It is used for replacement of lung function, typically during acute respiratory distress syndrome, and is not further discussed here.
Table 2
Technical features of VA-ECMO
Implantation
Cannulation of femoral artery (15–19 Fr) and vein (21–15 Fr) with modified Seldinger’s technique takes about 10 min until circuit starts
Mobility
Inter- and intrahospital transfer, up to air-bridge (flight transfer)
Hemodynamic effect
Increased systemic perfusion by retrograde flow support
Preload reduction
Afterload increase
Flow rates
Up to 7 l/min, depending on cannulas and rotor/oxygenator
Gas exchange
Highly efficient oxygenation and decarboxylation of reinfused blood
Contraindications
Ethical considerations, patient’s will
No perspective of a bridging strategy
Severe peripheral artery disease (iliac)
(Severe) aortic regurgitation
Aortic dissection
Left ventricular thrombus (relative)
Uncontrolled bleeding disorder (relative)
Potential complications
Leg ischemia
Bleeding
Vascular complications
Two-circulation syndrome
LV distension
Hyperfibrinolysis
Embolism
Fr French, VA-ECMO veno-arterial extracorporeal membrane oxygenation
In contrast, veno-arterial (VA) ECMO drains blood from the right atrium and returns to the arterial system, typically to the iliac arteries toward the aorta (Fig. 1). By this, VA-ECMO reduces preload and increases aortic flow and end organ perfusion [36]. With arterial cannulation, placement of a dedicated sheath for antegrade perfusion of the cannulated leg (Fig. 1) is recommended to prevent leg ischemia [37], which is standard in many centers.
Fig. 1
Veno-arterial (VA) ECMO. VA-ECMO drains venous blood (blue) from the right atrium and returns an equal volume after reoxygenation and decarboxylation (red) to the iliac artery toward the aorta. Note the position of the draining venous cannula tip in the mid right atrium. Femoral arterial cannulation requires an extra sheath for antegrade perfusion of the leg (inset). (Modified from Napp & Bauersachs [49]; © L. C. Napp, J. Bauersachs 2016. This publication is an open access publication, available on intechopen.com)
Bild vergrößern
A great advantage of VA-ECMO is that cannulation may be performed nearly everywhere, as the system and all parts are transportable. Thus, an unstable patient can receive ECMO support in the emergency room, on the ward, in the catheterization laboratory, the operating theater, or even in the field [38, 39]. In contrast to other support systems, fluoroscopy or echocardiography guidance is – albeit helpful – not required for successful implantation. Once ECMO is running, the patient can be transferred with the whole unit, which is another advantage over other systems. Therefore ECMO is frequently used for transport of unstable patients by car, helicopter, or even by plane as an air-bridge [40].
VA-ECMO establishes a massive right-to-left shunt by draining venous blood and returning it to the iliac artery. This flow support, which can reach 7 l/min with large cannulas and contemporary rotors, results in a significant increase in blood pressure as long as there is enough vascular resistance (pressure = flow × resistance). The massive venous drainage effectively reduces preload and thus leads to venous decongestion. Arterial reinfusion to the systemic circulation strongly enhances perfusion of end organs and is therefore attractive during severe cardiorespiratory failure or resuscitation. Of note, at the same time retrograde flow support increases LV afterload (see next section).

Contraindications and complications

Notwithstanding the fast set-up of the system and the efficient hemodynamic support, VA-ECMO has contraindications and harbors a significant risk of complications (Table 2). Most contraindications are relative owing to the lifesaving nature of ECMO support, which in turn underlines that ECMO should only be initiated when ethical aspects or the patient’s wish do not preclude mechanical support. Uncontrolled bleeding is a contraindication, as ECMO requires heparin for anticoagulation at least for longer support. In selected patients, however, this contraindication is relative, if ECMO is the only strategy to save the life of the patient. There are indeed centers that run ECMO support in high-risk patients without any anticoagulation (off-label) for a limited time (such as in severe trauma [41] or diffuse alveolar hemorrhage [42]). A nearly absolute contraindication is severe aortic regurgitation: The retrograde flow support of VA-ECMO would cause severe LV distension and pulmonary edema. VA-ECMO results in LV distension even in patients with moderate aortic regurgitation [43]. Further contraindications are listed in Table 2.
ECMO support is an invasive procedure with profound changes of body oxygenation and circulation, and inherently associated with potentially severe complications [37, 44]. Among these are vascular complications, leg ischemia, bleeding, hyperfibrinolysis, stroke, and air embolism (Table 2). These are anticipated and in most cases effectively controlled in tertiary centers. This emphasizes that initiation, maintenance, weaning, and removal of ECMO requires a strong theoretical and practical expertise and should be performed in high-volume centers only.

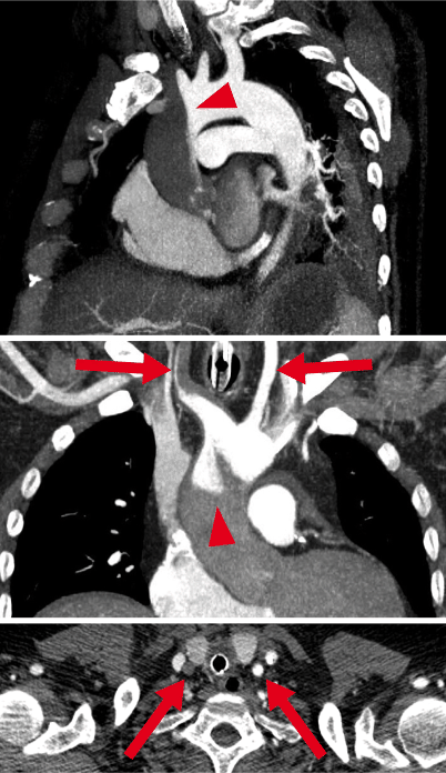
Pathophysiology: watershed

The retrograde ECMO output meets the antegrade LV output at a zone called the “watershed” [36, 45, 46]. In most cases the watershed occurs somewhere between the aortic root and the diaphragm (Fig. 2), depending on the native output of the heart: The higher the LV output relative to ECMO output, the more distal the watershed [46]. Since the output of most ECMO devices is nonpulsatile, pulse pressure measured at the right radial artery serves as an estimate of LV output [46]. For example, a blood pressure of 80/70 mm Hg at an ECMO flow of 4.5 l/min suggests a watershed in the aortic root, whereas a blood pressure of 140/70 mm Hg at the same ECMO flow suggests a watershed in the descending thoracic aorta. Blood from the ECMO is usually well oxygenated; however, oxygenation of blood from the LV depends on the respiratory function of the lung. Therefore the position of the watershed is critical for oxygenation. Aortic root oxygenation cannot be continuously measured with standard equipment. If the watershed is located in the ascending aorta and blood from the LV has an oxygen saturation of, e. g., 56% during lung failure, then the heart itself may be perfused for hours or days with an extremely insufficient oxygen saturation from the lungs in the presence of sufficient oxygenation of all other organs from the ECMO. In this context, the extreme form of dismal circulation is the “two-circulation-syndrome” [47]: If the venous cannula is incorrectly placed in the inferior caval vein, so that only blood from the lower body is drained, blood from the upper body goes through the lungs to the ascending aorta. Then venous drainage from and the perfusion of the upper body are both disconnected from that of the lower body. This results in a “Harlequin”-like appearance of the patient, with upper-body hypoxia and lower-body hyperoxia.
Fig. 2
Watershed phenomenon during VA-ECMO. Computed tomography. Antegrade blood flow (low contrast) from the heart competes with retrograde blood flow (high contrast) from the ECMO in the aorta, resulting in a watershed phenomenon (arrowhead). Here computed tomography of a patient with pulmonary embolism and reduced cardiac output demonstrates a rather proximal watershed, leading to perfusion of the right carotid artery with “heart blood” (dark) and the left carotid artery with “ECMO blood” (bright, arrows). Upper panel: sagittal oblique maximum intensity projection (MIP); middle panel: coronal oblique MIP; lower panel: transverse plane. (From Napp et al. [36]; © L. C. Napp, C. Kühn, M. M. Hoeper et al. 2015. This publication is an open access publication, available on springerlink.com)
Bild vergrößern
As outlined, circulation and oxygenation are overall subject to profound changes during VA-ECMO. Therefore multiple parameters have to be monitored in a patient on VA-ECMO at the same time (Table 3; [48]).
Table 3
Monitoring of patients on VA-ECMOa
Parameter
Reason/surrogate
Hemodynamics
PA catheter: Mean PA pressure, PC wedge pressure
Efficacy of preload reduction
Central venous pressure
Efficacy of preload reduction
Right radial pulsatility
LV output
Right radial mean blood pressure
Perfusion pressure
Consider CCO catheterb
LV output
Central venous oxygen saturation
Systemic circulation
Urine output
Renal perfusion and function
Lab: liver enzymes
Venous decongestion
Respiratory support
Right radial blood gases
Brain oxygenation, decarboxylation
Lactate
End organ ischemia
Transcutaneous continuous near-infrared spectroscopy
Tissue oxygenation (independent of pulsatility)
Pulse oximetry (right hand finger or ear)
Tissue oxygenation (largely dependent of pulsatility)
Acral perfusion (clinical)
Tissue perfusion
ECMO outflow blood gases
Control of oxygenator capacity
Imaging
Echocardiography
LV distension
Aortic regurgitation
Pericardial effusion
RV function
LV thrombus
Chest X‑Ray
Pulmonary edema, pneumothorax
Pleural sonography
Pleural effusion
Coagulation
D-dimer, fibrinogen, platelet count
Hyperfibrinolysis
Free hemoglobin, LDH
Hemolysis
Activated clotting time (POCT)
Anticoagulation
Blood cell count
Anemia, thrombopenia
Leg perfusion
Clinical perfusion assessment
Ischemia of the cannulated leg
General critical care monitoring
CCO continuous cardiac output, LDH lactate dehydrogenase, LV left ventricle, PA pulmonary artery, PC pulmonary capillary, POCT point of care testing
aPeripheral femoro-femoral cannulation
bClassic thermodilution is not reliable owing to right atrial drainage

Triple cannulation

VA-ECMO delivers powerful circulatory and respiratory support (Table 2). Carbon dioxide elimination by the ECMO is nearly always sufficient, thus hypercapnia is nearly never a problem in patients on ECMO support – in contrast to (differential) hypoxia. As outlined earlier, the high oxygen content of ECMO output reaches only organs below the watershed. Thus, under normal conditions the lower extremities, gut, kidneys, liver etc. are well oxygenated during VA-ECMO support. An additional effect on organ oxygenation results from a higher amount of oxygen delivered to the lower body and an associated higher venous backflow oxygen: Depending on oxygenation settings, ECMO outflow pO2 usually equals at least 200–300 mm Hg, compared with 50–100 mm Hg in arterial blood oxygenated in the lungs of a standard ventilated shock patient. This results in a higher total oxygen delivery to the body, which may have an effect also on organs perfused by LV blood, yet the relevance of this effect is unclear to date.
However, in some patients on VA-ECMO support secondary lung failure develops. This is a dangerous situation: Depending on the watershed position, all organs perfused by blood from the heart are prone to severe ischemia in the presence of ECMO support, in particular the heart and brain. If lung failure is due to pulmonary edema, ultrafiltration and active LV unloading (see later) are sufficient to achieve decongestion. However, in many patients with lung failure on VA-ECMO support, the problem results from an ARDS-like condition, which cannot be or should not be effectively solved by aggressive ventilation or decongestion. In these patients an elegant and very effective treatment is upgrading the ECMO circuit to a triple-cannulated ECMO, with one venous-draining, one arterial-supplying, and one venous-supplying cannula (“VAV-ECMO”, Fig. 3; [36, 49]). In addition to the VA circuit, the additional venous cannula adds preoxygenated blood to the lungs and thereby establishes a “VV component.” This ensures sufficient oxygen content of blood ejected by the heart and allows for lung protective ventilation. Of note, VAV-ECMO requires sufficient RV function, otherwise it may be necessary to relocate the venous-supplying cannula into the pulmonary artery [49] for bypassing the RV. Retrospective studies suggest efficacy of VAV cannulation for rescue of body oxygenation and recovery of lung failure [5052], but prospective studies are needed to confirm the observed benefit.
Fig. 3
Veno-arterial-venous (VAV) ECMO. VAV-ECMO drains venous blood (blue) from the right atrium and returns balanced volumes of blood after reoxygenation and decarboxylation (red) to the iliac artery toward the aorta and to the right atrium toward the pulmonary circulation. For this purpose, the ECMO outflow is divided by a Y-connector. Flow through the returning cannulae is balanced with an adjustable clamp and monitored with a separate flow sensor on the upper return cannula. (Modified from Napp & Bauersachs [49]; © L. C. Napp, J. Bauersachs 2016. This publication is an open access publication, available on intechopen.com)
Bild vergrößern

Pathophysiology: afterload, decompression

During acute heart failure, the diseased LV has impaired ability to eject, and stroke work and myocardial oxygen consumption are increased [30, 53]. When bridge-to-recovery is the therapeutic goal (e. g., myocarditis or myocardial infarction), stroke work and myocardial oxygen consumption have to be reduced to facilitate regeneration. However, notwithstanding the immediate massive hemodynamic and respiratory support and the reduction of preload, VA-ECMO increases LV afterload [5357]. This may result in increased LV filling pressures, wall stress, and severe pulmonary congestion despite reduction of preload. Moreover, ECMO is often ascribed a positive effect on coronary perfusion; however, human data are lacking and data from animal studies are conflicting [58, 59]. From a pathophysiological perspective, a high LV pressure during diastole impairs coronary perfusion by reducing the transcoronary perfusion gradient. In patients with extremely low systolic LV function and in all patients with ongoing arrest, VA-ECMO support results in a functionally closed aortic valve without relevant transaortic blood flow. This potentially results in severe LV distension [54] and pulmonary congestion in the presence of sufficient systemic circulation.
Thus, LV unloading, prevention of LV distension, reduction of myocardial wall stress, and enhancement of coronary perfusion are important goals during mechanical circulatory support for bridge-to-recovery. Unloading (= “venting”) can be achieved by different methods. One way is venting through the atrial septum, either by atrioseptostomy [60, 61] or placement of an additional draining cannula through the atrial septum [62], both of which are potentially hazardous [61] particularly in the already critically ill patient. Another possibility is transvalvular unloading across the aortic valve, which has already been performed in an experimental approach with a transvalvular coronary catheter connected to the venous draining ECMO cannula [63]. However, simple draining of the LV has no direct effect on coronary perfusion and does not increase antegrade transaortic blood flow. Therefore pumps have been developed that are percutaneously inserted, drain the LV, and eject into the ascending aorta. Their first use (Hemopump®) was published as early as in 1990 [64], but the clinical breakthrough took nearly 20 years to occur, mainly attributed to technical improvement of the device. Today, the only transvalvular microaxial pump approved in the United States and Europe is the Impella® device (Abiomed, Danvers, USA), which is the current device of choice of most centers for active LV unloading, also combined with VA-ECMO (Fig. 4).
Fig. 4
VA-ECMO and active LV unloading by using an Impella® microaxial pump. In addition and in contrast to VA-ECMO, which delivers retrograde flow support to the aorta, the Impella® pump drains the LV and supplies the blood to the ascending aorta. This “unloads” the LV and facilitates myocardial recovery and pulmonary decongestion. (Modified from Napp & Bauersachs [49]; © L. C. Napp, J. Bauersachs 2016. This publication is an open access publication, available on intechopen.com)
Bild vergrößern
The frequency of the combined use of ECMO and Impella® varies greatly between centers. Of note, it is unclear to date which patients have a benefit of additional Impella® support in parallel to VA-ECMO. There are two published studies reporting combined support [65, 66]. Their data point to a benefit of dual support, but further studies are unequivocally needed. Fig. 5 shows a proposal for the management of VA-ECMO and potential unloading, based on pathophysiological considerations and clinical practice in our center. In general, the lower systolic LV function is in a given patient, the sooner active LV unloading should be considered.
Fig. 5
Management of VA-ECMO for bridge-to-recovery in cardiogenic shock. Proposal of mechanical support strategies for patients with cardiogenic shock and prospect of cardiac recovery. LVEDP left ventricular end-diastolic pressure, RR arterial blood pressure, VAV-ECMO venoarteriovenous extracorporeal membrane oxygenation
Bild vergrößern

VA-ECMO for cardiogenic shock

Despite the broad use of ECMO in experienced centers, data from larger studies are limited. Most studies are retrospective series or registry studies. Some years ago, IABP was used in many countries almost routinely for patients with severe cardiogenic shock, but later on randomized studies demonstrated the noneffectiveness of routine IABP support [33]. With this in mind, the decision for or against mechanical support and the decision for a specific device should take into account several different factors such as RV and LV function, valve status, and lung function. The available devices (ECMO, Impella®, TandemHeart®) each have unique features, and there is no uniform device covering all types of cardiogenic shock. This is one of the major limitations of nearly all retrospective studies.
From clinical experience, ECMO initiation is rather easy and fast, and ECMO is a very effective tool for enhancing and ensuring systemic circulation and provide gas exchange. As such, it should be primarily considered in patients with severe acute cardiorespiratory failure (the “crash and burn” patient). In addition, some specific indications exist, such as decompensated pulmonary arterial hypertension and pulmonary embolism. Table 4 lists selected studies [6772] of VA-ECMO in cardiogenic shock.
Table 4
Selected studies of VA-ECMO for cardiogenic shock
Reference
Origin
Design
Comparison
Etiology
Patients (N)
Age
Implantation
LVEF
Outcome
Complications
Sheu et al. [67]
Taiwan
Prospective observational
ECMO+IABP vs. IABP
100% STEMI in both groups
46 vs. 25 sex not reported
65.1± 10.6 years vs. 67.2± 11.1 years (mean, SD)
In the cathlab (probably shortly after PCI, but timepoint not exactly reported)
Data not reported
30 d-survival 60.9% ECMO-IABP vs. 28.0% IABP
Bleeding or vascular complications 39.1%
Tsao et al. [68]
Taiwan
Retrospective
ECMO+IABP vs. IABP
ECMO+IABP: 54.5% STEMI, 45.5% NSTEMI (93.9% had IABP)
IABP: 44.0% STEMI, 56.0% NSTEMI (100% had IABP)
33 vs. 25
84.8% vs. 64.0% men
74.1 ± 12.2 years vs. 70.1 ± 17.0 years (mean, SD)
In the emergency room or cathlab
ECMO+IABP: 38 ± 10%
IABP: 39 ± 14%
Successful weaning 81.8% in ECMO+IABP vs. 44.0% in IABP survival to discharge 66.7% in ECMO+IABP vs. 32.0% in IABP 1‑year survival 63.6% in ECMO+IABP vs. 24.0% in IABP
Data not reported
Sakamoto et al. [69]
Japan
Retrospective
no device comparison all had VA-ECMO
100.0% ACS, 36.7% had cardiac arrest before ECMO 95.9% received emergency revascularization
98
66.3% men
72 ± 12 years (mean, SD)
44.9% implant on admission, 33.7% implant during PCI, 20.4% implant after PCI. 95.9% had additional IABP
Data not reported
Successful weaning 55.1%
survival to discharge 32.7%
35.7% ECMO-related complications
23.5% cannula site complications
4.1% retroperitoneal hemorrhage
7.1% lower limb ischemia
3.1% cerebral hemorrhage
Sattler et al. [70]
Germany
Retrospective
ECMO vs. IABP
ECMO: 66.7% STEMI, 33.3% NSTEMI, with 66.7% OHCA and 16.7% IHCA
IABP: 83.3% STEMI, 16.7% NSTEMI, with 41.7% OHCA and 16.7% IHCA
12 vs. 12
83.3% men in both groups
54.8 ± 13.3 years vs. 68.3 ± 12.2 years (mean, SD)
1 pat. before PCI
9 pat. immediately after PCI
2 pat. 24 and 48 h after PCI and IABP
ECMO: 48 ± 10%
IABP: 32 ± 13%
30 d-survival 67.0% ECMO vs. 33.0% IABP
3/12 bleeding
2/12 compartment syndrome
hemolysis with 21.0 ± 12.4 packed red blood cell transfusions per patient
Aso et al. [71]
Japan
Register
no device comparison
all had VA-ECMO
42.2% Ischemic heart disease (IHD), 34.8% Heart failure (HF), 13.7% Valvular heart disease (VHD), 4% Myocarditis (MYO), 4.1% Cardiomyopathy (CMP), 0.7% Takotsubo syndrome (TS), 0.3% Infectious endocarditis (IE)
Patients who had cardiac arrest: All 47%, IHD 25.0%, HF 15.0%, VHD 2.7%, MYO 1.4%, CMP 2.5%, TS 0.3%, IE 0.06%
4,658
73.0% men
All 64.8 ± 13.7 years (mean, SD)
Data not reported
60.8% had IABP prior to or in parallel to VA-ECMO
Data not reported
Survival to discharge
all patients 26.4%, IHD 20.9%, HF 32.2%, VHD 23.0%, MYO 43.0%, CMP 26.9%, TS 35.3%, IE 25.0%
Data not reported
Muller et al. [72]
France
Prospective observational
no device comparison
all had VA-ECMO
100% acute myocardial infarction
13.8% received VA-ECMO during CPR and 43.5% after CPR
138
79.7% men
55 (46–63) years
(median, IQR)
10.1% before and 89.9% after PCI
69.6% had IABP parallel to ECMO
2.2% had Impella and ECMO
11.6% were switched to central ECMO cannulation
20 (15–25)%
(median, IQR)
Successful weaning 35.5%
6-months survival 41.3%
39.1% ECMO complications: 12.3% bleeding 10.9% leg ischemia 11.6% access site infection 3.6% hemolysis 11.6% overt pulmonary edema on ECMO
CPR cardiopulmonary resuscitation, ECMO extracorporeal membrane oxygenation, ECPR extracorporeal CPR, IABP intra-aortic balloon pump, IQR interquartile range, LVEF left ventricular ejection fraction, NSTEMI Non-ST-elevation myocardial infarction, pat. patients, PCI percutaneous coronary intervention, STEMI ST-elevation myocardial infarction
From a pathophysiological perspective, VA-ECMO should be favored for bridge-to-destination or bridge-to-transplantation, when recovery is not the primary goal and LVAD or transplantation will follow. VA-ECMO is also favorable for bridge-to-surgery, especially for embolectomy. In resuscitated patients VA-ECMO is the commonly used device for bridge-to-decision. By contrast, VA-ECMO may not be the ideal support form for isolated LV dysfunction with potential for recovery (acute myocardial infarction, myocarditis, Takotsubo syndrome, etc.), since afterload increases and recovery may be hampered [53]. Of note, these are considerations from daily clinical routine and pathophysiology, but dedicated studies are urgently needed to prospectively compare the different support forms. One such study is the prospective, open-label, multicenter, randomized, controlled “ANCHOR” trial (Assessment of ECMO in Acute Myocardial Infarction with Non-reversible Cardiogenic Shock to Halt Organ Failure and Reduce Mortality), which is currently investigating the use of ECMO in cardiogenic shock during myocardial infarction. In this context, an interesting tool that is already mentioned in current heart failure guidelines [31] is the “SAVE” score to estimate the prognosis of patients with cardiogenic shock on VA-ECMO [73]. Another promising score is the “ENCOURAGE” score [72].

VA-ECMO for extracorporeal resuscitation

Table 5 lists a selection of studies [7486] on extracorporeal CPR (ECPR), i. e., ECMO for refractory resuscitation. Of note, to date there is no prospective randomized study on ECMO for this indication, also for ethical reasons. A comprehensive review of retrospective studies has been recently published elsewhere [87]. Taken together, the available literature on ECPR suggests that ECMO is sufficient to ensure systemic circulation in refractory arrest. However, mortality varies between centers, and four factors appear to critically determine ECPR success: patient selection criteria, a detailed standard operating procedure, immediate and sufficient bystander CPR, and time from arrest to ECMO. Table 6 lists a proposal for inclusion and exclusion criteria for ECPR. Of note, such criteria can only set a frame for decision, but may need to be adjusted for individual patients. A standard operating procedure for ECPR needs to incorporate all elements from circulatory arrest and bystander CPR over professional CPR, early contact with the ECMO center, team approach by anesthesiologists, cardiologists, and intensivists, high-level intensive care medicine, and optimal rehabilitation. A proposal for a prospective study considering all these factors has recently been published [88]. The time-to-ECMO interval is consistently associated with mortality [78, 84], very likely due to the increased incidence and severity of post-resuscitation metabolism with delayed extracorporeal support. Thus, a dedicated program for ECPR needs to put all efforts into earliest ECMO implantation and optimal preclinical CPR.
Table 5
Selected studies of VA-ECMO for cardiac arrest
Reference
Origin
Design
IHCA/OHCA
Etiology
Patients (N)
Age
Bystander CPR
Initial rhythm
Time-to-ECMO
Initial pH
Initial lactate
Outcome
ECMO-related complications
Predictors of mortality
Chen et al. [74]a
Taiwan
Retrospective
96.5%/3.5%
24.6% post cardiotomy all cardiac origin, further details not reported
57
59.6% men
57.1 ± 15.6 years (mean, SD)
96.5%
VF 47.4%, VT 14.0%, PEA/asystole 38.6%
47.6 ± 13.4 min. (mean, SD)
Data not reported
Data not reported
Weaning off ECMO 66.7%
overall survival 31.6%
post-cardiotomy 57.1%
non-post-cardiotomy 23.3%
Massive retroperitoneal hematoma 1.8%
limb amputation after ECMO cannulation 1.8%
further data not reported
Aspartate aminotransferase on day 3 lactate on day 3
Massetti et al. [75]
France
Retrospective
87.5%/12.5%
40% ACS, 10% HF, 15% Intoxication, 10% RHY, 10% post-cardiotomy, 7.5% PE, 5% MYO
40
57.5% men
42 ± 15 years (mean, SD)
Data not reported
Data not reported
105 ± 44 min. (mean, SD)
Data not reported
Data not reported
Weaning off ECMO 30%
survival to discharge 20%
Vascular complications 12.5%
leg ischemia 2.5%
bleeding 7.5%, pulmonary hemorrhage 12.5%
Time-to-ECMO
Sung et al. [76]
South Korea
Observational
100%/0%
36.3% coronary artery disease, 36.3% after cardiac surgery, 9% HF, 9% others, 4.5% PE, 4.5% MYO
22
54.5% men
62.5 ± 14.0 years (mean, SD)
Data not reported
Data not reported
48.5 ± 29.0 min. (mean, SD)
Data not reported
Data not reported
Weaning off ECMO 59.1%
survival to discharge with good neurological outcome 40.9%
13.6% bleeding
4.5% vascular complications
Data not reported
Chen et al. [77] a
Taiwan
Prospective observational
100%/0%
62.7% ACS, 10.2% HF, 8.5% MYO, 11.9% post-cardiotomy, 1.7% PE, 5.1% others
59
84.7%
57.4 ± 12.5 years (mean, SD)
Data not reported (although 100% witnessed arrest)
VT/VF 49.2%, PEA 28.8%, Asystole 22.0%
52.8 ± 37.2 min. (mean, SD)
Data not reported
Data not reported
Weaning off ECMO 49.2%
survival to discharge 28.8%
1-year survival 18.6%
Data not reported
Time-to-ECMO
initial rhythm other than VT/VF
Kagawa et al. [78]
Japan
Retrospective
IHCA vs. OHCA
49.4%/50.6%
IHCA 55% ACS, 3% HF, 5% MYO, 16% PE, 21% others
OHCA 56% ACS, 5% HF, 3% MYO, 15% PE, 21% others
38 vs. 39
58%/85% men
68 (58–73) years
vs.
56 (49–64) years (median, IQR)
92% in IHCA
72% in OHCA
IHCA VT/VF 26%, PEA 68%, Asystole 5%
OHCA VT/VF 49%, PEA 36%, Asystole 15%
IHCA 25 (21–43) min.
OHCA 59 (45–65) min.
(median, IQR)
IHCA 7.24 (7.09–7.39)
OHCA 7.02 (6.90–7.14) (median, IQR)
Data not reported
Weaning off ECMO IHCA 61%, OHCA 36%
good neurological outcome at discharge IHCA 26%, OHCA 10%
30-days survival IHCA 34%, OHCA 13%
leg ischemia IHCA 18%, OHCA 21%
Bleeding or hematoma IHCA 68%, OHCA 59%
Time-to-ECMO
initial rhythm other than VF
Le Guen et al. [79]
France
Prospective observational
0%/100%
86% cardiac (no further details), 6% trauma, 4% drug overdose, 2% respiratory, 2% others
51
90% men
42 ± 15 years (mean, SD)
Data not reported
VF 63%, Asystole 29%, PEA 8%
120 (102–149) min. (median, IQR)
6.93 ± 0.17 (mean, SD)
19.9 ± 6.7 (mean, SD)
24 h-survival 40% 48 h-survival 12% survival with good neurological outcome at day 28 4%
14% severe hemorrhage further data not reported
Lactate at baseline end-tidal CO2 time-to-ECMO
Avalli et al. [80]
Italy
Retrospective IHCA vs. OHCA
57.1%/42.9%
IHCA 37% ACS, 33% post cardiotomy, 13% PE, 9% HF, 9% others
OHCA 67% ACS, 5% HF, 11% RHY, 17% others
24 vs. 18
67%/94% men
67 (61–73) years vs. 46 (37–64) years (median, IQR)
IHCA 100%
OHCA 55%
IHCA VT/VF 50%, PEA/Asystole 50%
OHCA VT/VF 89%, PEA/Asystole 11%
IHCA 55 (40–70) min.
OHCA 77 (69–101) min. (median, IQR)
Data not reported
Data not reported
Weaning off ECMO IHCA 58%, OHCA 16%
28-days survival IHCA 46%,
OHCA 5%
IHCA 46% vascular compl.
OHCA 33% vascular compl.
Data not reported
Chung et al. [81]
Taiwan
Prospective observational
100%/0%
27.6% STEMI, 11.9% NSTEMI, 22.4% post-surgery, 10.5% HF, 19.4% MYO, 6.0% post-PCI, 2.2% others
134
77.6% men
51.8 ± 20.5 years (mean, SD)
100%
VT/VF 27.6%, further data not reported
Data not reported
Data not reported
Data not reported
Weaning off ECMO 50.7%
survival to discharge 42.5%
survival 30 days 54.5%
Overall 21.6%
peripheral limb ischemia 3.0%
further data not reported
APACHE-II-Score ≥22
unsuccessful weaning off ECMO
Haneya et al. [82]
Germany
Retrospective
69.4%/30.6%
30.6% ACS, 15.3% HF, 17.6% post-PCI/TAVI, 16.5% PE, 2.4% HYPO, 5.9% TRA, 11.6% others. Post-cardiotomy patients were excluded
85
71.8% men
59 ± 16 years (mean, SD)
Data not reported
VT/VF 29.4%, PEA 42.4%, Asystole 28.2%
51 ± 35 min. (mean, SD)
All 7.01 ± 0.22
IHCA 7.09 ± 0.18
OHCA 6.85 ± 0.24
(mean, SD)
All 11 ± 6.9
IHCA 7.2 ± 5.6
OHCA 14.7 ± 9.1
(mean, SD)
Weaning off ECMO 47.1% (IHCA 57.6%, OHCA 23.1%)
survival to discharge 34.1% (IHCA 42.4%, OHCA 15.4%)
93.1% without severe neurological deficit among discharged patients
Overall 32.9%
leg ischemia 16.5%
bleeding 3.5%
cannulation complications 12.9%
pH, CPR duration
Fagnoul et al. [83]
Belgium
Prospective observational
41.7%/58.3%
29.2% ACS, 20.8% RHY, 12.5% PE, 8.3% TRA, 8.3% Intoxication, 12.5% HYPO, 8.3% others
24
58.3% men
48 (38–55) years
(median, IQR)
91.7%
VT/VF 41.7%, PEA/Asystole 58.3%
58 (45–70) min.
(median, IQR)
Survivors 7.22 ± 0.23
non-survivors 7.06 ± 0.22
(mean, SD)
Survivors 9.8 ± 5.3
non-survivors 14.9 ± 4.85
(mean, SD)
Weaning off ECMO 29.2%
survival to ICU discharge 25.0%
Major bleeding on ECMO site 29.2%
diffuse bleeding 41.7%
Time-to-ECMO (non-significant trend)
Leick et al. [84]
Germany
Retrospective
0%/100%
53.6% ACS, 21.4% HF, 23.1% septic shock, 7.1% Takotsubo syndrome, 3.6% PE, 3.6% MYO
28
53.6% men
53.9 ± 15.9 years (non-survivors)
60.3 ± 9.6 years (survivors)
(mean, SD)
Data not reported
VF 28.6%, Asystole 21.4%, PEA 39.3%, 10.7% not reported
44.0 (31.0–45.0) min. (survivors)
53.0 (40.0–61.3) min. (non-survivors)
(median, IQR)
Survivors 7.2 (7.05–7.4)
non-survivors 7.1 (7.0–7.3)
(median, IQR)
Survivors 4.5 (3.9–9.3)
non-survivors 4.7 (3.6–7.8)
(median, IQR)
30-day survival 39.3%
leg ischemia 3.6%
bleeding 32.1%
Time-to-ECMO
Stub et al. [85]
Australia
Prospective observational
57.7%/42.3%
53.8% ACS, 7.7% HF, 11.5% Arrhythmia, 7.7% PE, 7.7% respiratory, 11.5% others
26
77% men
52 (38–60) years
(median, IQR)
Data not reported
VF 73.1%, PEA 15.4%, Asystole 11.5%
56 (40–85) min.
(median, IQR)
all 6.9 (6.7–7.1)
survivors 7.0 (6.8–7.1)
non-survivors 6.8 (6.7–7.0)
(median, IQR)
all 10 (7–14)
survivors 8 (6–12)
non-survivors 13 (9–14)
(median, IQR)
Weaning off ECMO 54.1%
survival to discharge 53.8%
Bleeding 69.2%
peripheral vascular issues 38.5%
vascular surgery 41.7%
Time-to-ECMO, pH, troponin
Jung et al. [86]
Germany
Retrospective
70.9%/29.1%
23.1% VT/VF in HF, 40.2% VT/VF in ACS, 28.1% post-surgery/-intervention, 9.4% others
117
68.4% men
61 (51–74) years
(median, IQR)
Data not reported
VT/VF 63.2%, further data not reported
Data not reported
Data not reported
all 9.0 (4.5–14.5)
survivors 4.5 (2.9–6.2)
non-survivors 11.7 (5.5–14.9)
(median, IQR)
Weaning off ECMO 52.1%
30-days survival 23.1%
good neurological outcome 14.5%
Data not reported
Lactate, hemoglobin
ACS acute coronary syndrome, CPR cardiopulmonary resuscitation, ECMO extracorporeal membrane oxygenation, HF heart failure, HYPO accidental hypothermia, IHCA in-hospital cardiac arrest, IQR interquartile range, MYO myocarditis, NSTEMI non-ST-elevation myocardial infarction, OHCA out-of-hospital cardiac arrest, PE pulmonary embolism, PEA pulseless electrical activity, RHY arrhythmia, SD standard deviation, STEMI ST-elevation myocardial infarction, TRA trauma, VF ventricular fibrillation, VT ventricular tachycardia
aNo overlapping patients
Table 6
Proposed criteria for extracorporeal CPR (ECPR)
Inclusion criteria (all need to be met)
Witnessed circulatory arrest
Bystander CPR
Age <75 yearsa
No ROSC after 10 min of professional CPRb
Exclusion criteria (one criterion is sufficient)
Severe comorbidity (cancer, end-stage liver cirrhosis, etc.)
Preexisting cognitive impairment/brain damage
Preclinical CPR >1hc
Optional exclusion criteria
pH at baseline <6.8
Lactate at baseline >15 mmol/l
Exceptions for criteria above
Accidental hypothermia
CPR cardiopulmonary resuscitation, ECMO extracorporeal membrane oxygenation
aAge limit depends on comorbidities and biological age
bExcellent CPR until ECMO is an essential prerequisite for success
cMay be extended in single cases, when very young patients need time for transfer and have optimal CPR

Conclusion

Mechanical support is increasingly used in cardiogenic shock to minimize or avoid catecholamines and to facilitate regeneration of the diseased heart. Refractory cardiac arrest is an emerging indication for mechanical support, and recently more centers have developed ECPR programs. Cardiogenic shock and arrest share many pathophysiological features, and in this context VA-ECMO is a powerful extracorporeal life support system, as long as it is initiated early. VA-ECMO use requires a dedicated bridging strategy, such as bridge-to-recovery, bridge-to-decision, or bridge-to-destination, and complications need to be anticipated. Retrograde flow support increases LV afterload and may result in LV distension, which can be prevented and resolved by LV venting or active LV unloading. Prospective controlled studies are needed to develop specific protocols for defined clinical conditions, in order to find the optimal mechanical support strategy in a given situation.

Compliance with ethical guidelines

Conflict of interest

L. C. Napp received travel support outside this work from Abbott, Abiomed, Bayer, Biotronik, Boston Scientific, Cordis, Lilly, Medtronic, Pfizer, Servier and Volcano, and lecture honoraria from Maquet. C. Kühn received lecture honoraria from Maquet and J. Bauersachs received lecture honoraria from Abiomed.
This article does not contain any studies with human participants or animals performed by any of the authors.
Open Access This article is distributed under the terms of the Creative Commons Attribution 4.0 International License (http://creativecommons.org/licenses/by/4.0/), which permits unrestricted use, distribution, and reproduction in any medium, provided you give appropriate credit to the original author(s) and the source, provide a link to the Creative Commons license, and indicate if changes were made.

Unsere Produktempfehlungen

e.Med Interdisziplinär

Kombi-Abonnement

Für Ihren Erfolg in Klinik und Praxis - Die beste Hilfe in Ihrem Arbeitsalltag

Mit e.Med Interdisziplinär erhalten Sie Zugang zu allen CME-Fortbildungen und Fachzeitschriften auf SpringerMedizin.de.

e.Med Innere Medizin

Kombi-Abonnement

Mit e.Med Innere Medizin erhalten Sie Zugang zu CME-Fortbildungen des Fachgebietes Innere Medizin, den Premium-Inhalten der internistischen Fachzeitschriften, inklusive einer gedruckten internistischen Zeitschrift Ihrer Wahl.

Herz

download
DOWNLOAD
print
DRUCKEN
Titel
ECMO in cardiac arrest and cardiogenic shock
Verfasst von
L. C. Napp, MD
C. Kühn
J. Bauersachs
Publikationsdatum
26.01.2017
Verlag
Springer Medizin
Erschienen in
Herz / Ausgabe 1/2017
Print ISSN: 0340-9937
Elektronische ISSN: 1615-6692
DOI
https://doi.org/10.1007/s00059-016-4523-4
1.
Zurück zum Zitat Gibbon JH Jr. (1937) Artificial maintenance of circulation during experimental occlusion of pulmonary artery. Arch Surg 34:1105–1131CrossRef
2.
Zurück zum Zitat Kennedy JH (1966) The role of assisted circulation in cardiac resuscitation. JAMA 197:615–618CrossRefPubMed
3.
Zurück zum Zitat Gibbon JH Jr. (1954) Application of a mechanical heart and lung apparatus to cardiac surgery. Minn Med 37:171–185PubMed
4.
Zurück zum Zitat Hill JD, O’Brien TG, Murray JJ et al (1972) Prolonged extracorporeal oxygenation for acute post-traumatic respiratory failure (shock-lung syndrome). Use of the Bramson membrane lung. N Engl J Med 286:629–634CrossRefPubMed
5.
Zurück zum Zitat Goldberg RJ, Spencer FA, Gore JM et al (2009) Thirty-year trends (1975 to 2005) in the magnitude of, management of, and hospital death rates associated with cardiogenic shock in patients with acute myocardial infarction: a population-based perspective. Circulation 119:1211–1219CrossRefPubMedPubMedCentral
6.
Zurück zum Zitat Hilfiker-Kleiner D, Haghikia A, Nonhoff J, Bauersachs J (2015) Peripartum cardiomyopathy: current management and future perspectives. Eur Heart J 36:1090–1097CrossRefPubMedPubMedCentral
7.
Zurück zum Zitat Reynolds HR, Hochman JS (2008) Cardiogenic shock: current concepts and improving outcomes. Circulation 117:686–697CrossRefPubMed
8.
Zurück zum Zitat Prondzinsky R, Werdan K, Buerke M (2004) Cardiogenic shock: pathophysiology, clinics, therapeutical options and perspectives. Internist (Berl) 45:284–295CrossRef
9.
Zurück zum Zitat Cooper HA, Panza JA (2013) Cardiogenic shock. Cardiol Clin 31:567–580CrossRefPubMed
10.
Zurück zum Zitat de Vreede-Swagemakers JJ, Gorgels AP, Dubois-Arbouw WI et al (1997) Out-of-hospital cardiac arrest in the 1990’s: a population-based study in the Maastricht area on incidence, characteristics and survival. J Am Coll Cardiol 30:1500–1505CrossRefPubMed
11.
Zurück zum Zitat Atwood C, Eisenberg MS, Herlitz J, Rea TD (2005) Incidence of EMS-treated out-of-hospital cardiac arrest in Europe. Resuscitation 67:75–80CrossRefPubMed
12.
Zurück zum Zitat Dumas F, Cariou A, Manzo-Silberman S et al (2010) Immediate percutaneous coronary intervention is associated with better survival after out-of-hospital cardiac arrest: insights from the PROCAT (Parisian Region Out of hospital Cardiac ArresT) registry. Circ Cardiovasc Interv 3:200–207CrossRefPubMed
13.
Zurück zum Zitat Berdowski J, Berg RA, Tijssen JG, Koster RW (2010) Global incidences of out-of-hospital cardiac arrest and survival rates: Systematic review of 67 prospective studies. Resuscitation 81:1479–1487CrossRefPubMed
14.
Zurück zum Zitat Wong MK, Morrison LJ, Qiu F et al (2014) Trends in short- and long-term survival among out-of-hospital cardiac arrest patients alive at hospital arrival. Circulation 130:1883–1890CrossRefPubMed
15.
Zurück zum Zitat Smith K, Andrew E, Lijovic M et al (2015) Quality of life and functional outcomes 12 months after out-of-hospital cardiac arrest. Circulation 131:174–181CrossRefPubMed
16.
Zurück zum Zitat Goldberger ZD, Chan PS, Berg RA et al (2012) Duration of resuscitation efforts and survival after in-hospital cardiac arrest: an observational study. Lancet 380:1473–1481CrossRefPubMedPubMedCentral
17.
Zurück zum Zitat Kloeck W, Cummins RO, Chamberlain D et al (1997) Early defibrillation: an advisory statement from the Advanced Life Support Working Group of the International Liaison Committee on Resuscitation. Circulation 95:2183–2184CrossRefPubMed
18.
Zurück zum Zitat Braunwald E, Kloner RA (1982) The stunned myocardium: prolonged, postischemic ventricular dysfunction. Circulation 66:1146–1149CrossRefPubMed
19.
Zurück zum Zitat Stewart GC, Stevenson LW (2011) Keeping left ventricular assist device acceleration on track. Circulation 123:1559–1568CrossRefPubMed
20.
Zurück zum Zitat Hollenbeck RD, McPherson JA, Mooney MR et al (2014) Early cardiac catheterization is associated with improved survival in comatose survivors of cardiac arrest without STEMI. Resuscitation 85:88–95CrossRefPubMed
21.
Zurück zum Zitat Nolan JP, Soar J, Cariou A et al (2015) European Resuscitation Council and European Society of Intensive Care Medicine Guidelines for Post-resuscitation Care 2015: Section 5 of the European Resuscitation Council Guidelines for Resuscitation 2015. Resuscitation 95:202–222CrossRefPubMed
22.
Zurück zum Zitat Adrie C, Laurent I, Monchi M et al (2004) Postresuscitation disease after cardiac arrest: a sepsis-like syndrome? Curr Opin Crit Care 10:208–212CrossRefPubMed
23.
Zurück zum Zitat Neumar RW, Nolan JP, Adrie C et al (2008) Post-cardiac arrest syndrome: epidemiology, pathophysiology, treatment, and prognostication. A consensus statement from the International Liaison Committee on Resuscitation (American Heart Association, Australian and New Zealand Council on Resuscitation, European Resuscitation Council, Heart and Stroke Foundation of Canada, InterAmerican Heart Foundation, Resuscitation Council of Asia, and the Resuscitation Council of Southern Africa); the American Heart Association Emergency Cardiovascular Care Committee; the Council on Cardiovascular Surgery and Anesthesia; the Council on Cardiopulmonary, Perioperative, and Critical Care; the Council on Clinical Cardiology; and the Stroke Council. Circulation 118:2452–2483CrossRefPubMed
24.
Zurück zum Zitat Hochman JS (2003) Cardiogenic shock complicating acute myocardial infarction: expanding the paradigm. Circulation 107:2998–3002CrossRefPubMed
25.
Zurück zum Zitat Mebazaa A, Yilmaz MB, Levy P et al (2015) Recommendations on pre-hospital & early hospital management of acute heart failure: a consensus paper from the Heart Failure Association of the European Society of Cardiology, the European Society of Emergency Medicine and the Society of Academic Emergency Medicine. Eur J Heart Fail 17:544–558CrossRefPubMed
26.
Zurück zum Zitat Hambraeus K, Jensevik K, Lagerqvist B et al (2016) Long-term outcome of incomplete revascularization after percutaneous coronary intervention in SCAAR (Swedish Coronary Angiography and Angioplasty Registry). JACC Cardiovasc Interv 9:207–215CrossRefPubMed
27.
Zurück zum Zitat Ostenfeld S, Lindholm MG, Kjaergaard J et al (2015) Prognostic implication of out-of-hospital cardiac arrest in patients with cardiogenic shock and acute myocardial infarction. Resuscitation 87:57–62CrossRefPubMed
28.
Zurück zum Zitat Liaudet L, Calderari B, Pacher P (2014) Pathophysiological mechanisms of catecholamine and cocaine-mediated cardiotoxicity. Heart Fail Rev 19:815–824CrossRefPubMed
29.
Zurück zum Zitat Stapel B, Kohlhaas M, Ricke-Hoch M et al (2016) Low STAT3 expression sensitizes to toxic effects of beta-adrenergic receptor stimulation in peripartum cardiomyopathy. Eur Heart J. doi:10.1093/eurheartj/ehw086 PubMed
30.
Zurück zum Zitat Rihal CS, Naidu SS, Givertz MM et al (2015) 2015 SCAI/ACC/HFSA/STS clinical expert consensus Statement on the use of percutaneous mechanical circulatory support devices in cardiovascular care: endorsed by the American Heart Association, the Cardiological Society of India, and Sociedad Latino Americana de Cardiologia Intervencionista; Affirmation of Value by the Canadian Association of Interventional Cardiology-Association Canadienne de Cardiologie d’intervention. J Am Coll Cardiol 65:2140–2141CrossRefPubMed
31.
Zurück zum Zitat Ponikowski P, Voors AA, Anker SD et al (2016) 2016 ESC Guidelines for the diagnosis and treatment of acute and chronic heart failure: The Task Force for the diagnosis and treatment of acute and chronic heart failure of the European Society of Cardiology (ESC)Developed with the special contribution of the Heart Failure Association (HFA) of the ESC. Eur Heart J 37:2129–2200CrossRefPubMed
32.
Zurück zum Zitat Werdan K, Gielen S, Ebelt H, Hochman JS (2014) Mechanical circulatory support in cardiogenic shock. Eur Heart J 35:156–167CrossRefPubMed
33.
Zurück zum Zitat Thiele H, Zeymer U, Neumann FJ et al (2012) Intraaortic balloon support for myocardial infarction with cardiogenic shock. N Engl J Med 367:1287–1296CrossRefPubMed
34.
Zurück zum Zitat Zeymer U, Hochadel M, Hauptmann KE et al (2013) Intra-aortic balloon pump in patients with acute myocardial infarction complicated by cardiogenic shock: results of the ALKK-PCI registry. Clin Res Cardiol 102:223–227CrossRefPubMed
35.
Zurück zum Zitat Butt W, MacLaren G (2016) Extracorporeal membrane oxygenation 2016: an update. F1000Res 5:750CrossRef
36.
Zurück zum Zitat Napp LC, Kuhn C, Hoeper MM et al (2016) Cannulation strategies for percutaneous extracorporeal membrane oxygenation in adults. Clin Res Cardiol 105:283–296CrossRefPubMed
37.
Zurück zum Zitat Rupprecht L, Lunz D, Philipp A et al (2015) Pitfalls in percutaneous ECMO cannulation. Heart Lung Vessel 7:320–326PubMedPubMedCentral
38.
Zurück zum Zitat Arlt M, Philipp A, Voelkel S et al (2011) Out-of-hospital extracorporeal life support for cardiac arrest-A case report. Resuscitation 82:1243–1245CrossRefPubMed
39.
Zurück zum Zitat Lebreton G, Pozzi M, Luyt CE et al (2011) Out-of-hospital extra-corporeal life support implantation during refractory cardiac arrest in a half-marathon runner. Resuscitation 82:1239–1242CrossRefPubMed
40.
Zurück zum Zitat Lebreton G, Sanchez B, Hennequin JL et al (2012) The French airbridge for circulatory support in the Carribean. Interact Cardiovasc Thorac Surg 15:420–425CrossRefPubMedPubMedCentral
41.
Zurück zum Zitat Arlt M, Philipp A, Voelkel S et al (2010) Extracorporeal membrane oxygenation in severe trauma patients with bleeding shock. Resuscitation 81:804–809CrossRefPubMed
42.
Zurück zum Zitat Abrams D, Agerstrand CL, Biscotti M et al (2015) Extracorporeal membrane oxygenation in the management of diffuse alveolar hemorrhage. ASAIO J 61:216–218CrossRefPubMed
43.
Zurück zum Zitat Pappalardo F, Regazzoli D, Mangieri A et al (2016) Hemodynamic and echocardiographic effects of aortic regurgitation on femoro-femoral veno-arterial ECMO. Int J Cardiol 202:760–762CrossRefPubMed
44.
Zurück zum Zitat Cheng R, Hachamovitch R, Kittleson M et al (2014) Complications of extracorporeal membrane oxygenation for treatment of cardiogenic shock and cardiac arrest: a meta-analysis of 1,866 adult patients. Ann Thorac Surg 97:610–616CrossRefPubMed
45.
Zurück zum Zitat Hoeper MM, Tudorache I, Kuhn C et al (2014) Extracorporeal membrane oxygenation watershed. Circulation 130:864–865CrossRefPubMed
46.
Zurück zum Zitat Napp LC, Brehm M, Kuhn C et al (2015) Heart against veno-arterial ECMO: competition visualized. Int J Cardiol 187:164–165CrossRefPubMed
47.
Zurück zum Zitat Choi JH, Kim SW, Kim YU et al (2014) Application of veno-arterial-venous extracorporeal membrane oxygenation in differential hypoxia. Multidiscip Respir Med 9:55CrossRefPubMedPubMedCentral
48.
Zurück zum Zitat Chung M, Shiloh AL, Carlese A (2014) Monitoring of the adult patient on venoarterial extracorporeal membrane oxygenation. ScientificWorldJournal 2014:393258PubMedPubMedCentral
49.
Zurück zum Zitat Napp LC, Bauersachs J (2016) Triple cannulation ECMO. In: Firstenberg M (ed) ECMO: InTech Open
50.
Zurück zum Zitat Biscotti M, Lee A, Basner RC et al (2014) Hybrid configurations via percutaneous access for extracorporeal membrane oxygenation: a single-center experience. ASAIO J 60:635–642CrossRefPubMed
51.
Zurück zum Zitat Ius F, Sommer W, Tudorache I et al (2015) Veno-veno-arterial extracorporeal membrane oxygenation for respiratory failure with severe haemodynamic impairment: technique and early outcomes. Interact Cardiovasc Thorac Surg 20:761–767CrossRefPubMed
52.
Zurück zum Zitat Stohr F, Emmert MY, Lachat ML et al (2011) Extracorporeal membrane oxygenation for acute respiratory distress syndrome: is the configuration mode an important predictor for the outcome? Interact Cardiovasc Thorac Surg 12:676–680CrossRefPubMed
53.
Zurück zum Zitat Burkhoff D, Naidu SS (2012) The science behind percutaneous hemodynamic support: a review and comparison of support strategies. Catheter Cardiovasc Interv 80:816–829CrossRefPubMed
54.
Zurück zum Zitat Scholz KH, Schroder T, Hering JP et al (1994) Need for active left-ventricular decompression during percutaneous cardiopulmonary support in cardiac arrest. Cardiology 84:222–230CrossRefPubMed
55.
Zurück zum Zitat Fuhrman BP, Hernan LJ, Rotta AT et al (1999) Pathophysiology of cardiac extracorporeal membrane oxygenation. Artif Organs 23:966–969CrossRefPubMed
56.
Zurück zum Zitat Ostadal P, Mlcek M, Kruger A et al (2015) Increasing venoarterial extracorporeal membrane oxygenation flow negatively affects left ventricular performance in a porcine model of cardiogenic shock. J Transl Med 13:266CrossRefPubMedPubMedCentral
57.
Zurück zum Zitat Soleimani B, Pae WE (2012) Management of left ventricular distension during peripheral extracorporeal membrane oxygenation for cardiogenic shock. Perfusion 27:326–331CrossRefPubMed
58.
Zurück zum Zitat Kato J, Seo T, Ando H et al (1996) Coronary arterial perfusion during venoarterial extracorporeal membrane oxygenation. J Thorac Cardiovasc Surg 111:630–636CrossRefPubMed
59.
Zurück zum Zitat Kinsella JP, Gerstmann DR, Rosenberg AA (1992) The effect of extracorporeal membrane oxygenation on coronary perfusion and regional blood flow distribution. Pediatr Res 31:80–84CrossRefPubMed
60.
Zurück zum Zitat Koenig PR, Ralston MA, Kimball TR et al (1993) Balloon atrial septostomy for left ventricular decompression in patients receiving extracorporeal membrane oxygenation for myocardial failure. J Pediatr 122:S95–S99CrossRefPubMed
61.
Zurück zum Zitat Baruteau AE, Barnetche T, Morin L et al (2016) Percutaneous balloon atrial septostomy on top of venoarterial extracorporeal membrane oxygenation results in safe and effective left heart decompression. Eur Heart J Acute Cardiovasc Care. doi:10.1177/2048872616675485 PubMed
62.
Zurück zum Zitat Hlavacek AM, Atz AM, Bradley SM, Bandisode VM (2005) Left atrial decompression by percutaneous cannula placement while on extracorporeal membrane oxygenation. J Thorac Cardiovasc Surg 130:595–596CrossRefPubMed
63.
Zurück zum Zitat Hong TH, Byun JH, Yoo BH et al (2015) Successful left-heart decompression during extracorporeal membrane oxygenation in an adult patient by percutaneous transaortic catheter venting. Korean J Thorac Cardiovasc Surg 48:210–213CrossRefPubMedPubMedCentral
64.
Zurück zum Zitat Frazier OH, Wampler RK, Duncan JM et al (1990) First human use of the Hemopump, a catheter-mounted ventricular assist device. Ann Thorac Surg 49:299–304CrossRefPubMed
65.
Zurück zum Zitat Pappalardo F, Schulte C, Pieri M et al (2016) Concomitant implantation of Impella(R) on top of veno-arterial extracorporeal membrane oxygenation may improve survival of patients with cardiogenic shock. Eur J Heart Fail. doi:10.1002/ejhf.668 PubMed
66.
Zurück zum Zitat Karatolios K, Chatzis G, Markus B et al (2016) Biventricular unloading in patients with refractory cardiogenic shock. Int J Cardiol 222:247–252CrossRefPubMed
67.
Zurück zum Zitat Sheu JJ, Tsai TH, Lee FY et al (2010) Early extracorporeal membrane oxygenator-assisted primary percutaneous coronary intervention improved 30-day clinical outcomes in patients with ST-segment elevation myocardial infarction complicated with profound cardiogenic shock. Crit Care Med 38:1810–1817CrossRefPubMed
68.
Zurück zum Zitat Tsao NW, Shih CM, Yeh JS et al (2012) Extracorporeal membrane oxygenation-assisted primary percutaneous coronary intervention may improve survival of patients with acute myocardial infarction complicated by profound cardiogenic shock. J Crit Care 27(530):e1–e11
69.
Zurück zum Zitat Sakamoto S, Taniguchi N, Nakajima S, Takahashi A (2012) Extracorporeal life support for cardiogenic shock or cardiac arrest due to acute coronary syndrome. Ann Thorac Surg 94:1–7CrossRefPubMed
70.
Zurück zum Zitat Sattler S, Khaladj N, Zaruba MM et al (2014) Extracorporal life support (ECLS) in acute ischaemic cardiogenic shock. int J Clin Pract 68:529–531CrossRefPubMed
71.
Zurück zum Zitat Aso S, Matsui H, Fushimi K, Yasunaga H (2016) In-hospital mortality and successful weaning from venoarterial extracorporeal membrane oxygenation: analysis of 5,263 patients using a national inpatient database in Japan. Crit Care 20:80CrossRefPubMedPubMedCentral
72.
Zurück zum Zitat Muller G, Flecher E, Lebreton G et al (2016) The ENCOURAGE mortality risk score and analysis of long-term outcomes after VA-ECMO for acute myocardial infarction with cardiogenic shock. Intensive Care Med 42:370–378CrossRefPubMed
73.
Zurück zum Zitat Schmidt M, Burrell A, Roberts L et al (2015) Predicting survival after ECMO for refractory cardiogenic shock: the survival after veno-arterial-ECMO (SAVE)-score. Eur Heart J 36:2246–2256CrossRefPubMed
74.
Zurück zum Zitat Chen YS, Chao A, Yu HY et al (2003) Analysis and results of prolonged resuscitation in cardiac arrest patients rescued by extracorporeal membrane oxygenation. J Am Coll Cardiol 41:197–203CrossRefPubMed
75.
Zurück zum Zitat Massetti M, Tasle M, Le Page O et al (2005) Back from irreversibility: extracorporeal life support for prolonged cardiac arrest. Ann Thorac Surg 79:178–184CrossRefPubMed
76.
Zurück zum Zitat Sung K, Lee YT, Park PW et al (2006) Improved survival after cardiac arrest using emergent autopriming percutaneous cardiopulmonary support. Ann Thorac Surg 82:651–656CrossRefPubMed
77.
Zurück zum Zitat Chen YS, Lin JW, Yu HY et al (2008) Cardiopulmonary resuscitation with assisted extracorporeal life-support versus conventional cardiopulmonary resuscitation in adults with in-hospital cardiac arrest: an observational study and propensity analysis. Lancet 372:554–561CrossRefPubMed
78.
Zurück zum Zitat Kagawa E, Inoue I, Kawagoe T et al (2010) Assessment of outcomes and differences between in- and out-of-hospital cardiac arrest patients treated with cardiopulmonary resuscitation using extracorporeal life support. Resuscitation 81:968–973CrossRefPubMed
79.
Zurück zum Zitat Le Guen M, Nicolas-Robin A, Carreira S et al (2011) Extracorporeal life support following out-of-hospital refractory cardiac arrest. Crit Care 15:R29CrossRefPubMedPubMedCentral
80.
Zurück zum Zitat Avalli L, Maggioni E, Formica F et al (2012) Favourable survival of in-hospital compared to out-of-hospital refractory cardiac arrest patients treated with extracorporeal membrane oxygenation: an Italian tertiary care centre experience. Resuscitation 83:579–583CrossRefPubMed
81.
Zurück zum Zitat Chung SY, Sheu JJ, Lin YJ et al (2012) Outcome of patients with profound cardiogenic shock after cardiopulmonary resuscitation and prompt extracorporeal membrane oxygenation support. A single-center observational study. Circ J 76:1385–1392CrossRefPubMed
82.
Zurück zum Zitat Haneya A, Philipp A, Diez C et al (2012) A 5-year experience with cardiopulmonary resuscitation using extracorporeal life support in non-postcardiotomy patients with cardiac arrest. Resuscitation 83:1331–1337CrossRefPubMed
83.
Zurück zum Zitat Fagnoul D, Taccone FS, Belhaj A et al (2013) Extracorporeal life support associated with hypothermia and normoxemia in refractory cardiac arrest. Resuscitation 84:1519–1524CrossRefPubMed
84.
Zurück zum Zitat Leick J, Liebetrau C, Szardien S et al (2013) Door-to-implantation time of extracorporeal life support systems predicts mortality in patients with out-of-hospital cardiac arrest. Clin Res Cardiol 102:661–669CrossRefPubMed
85.
Zurück zum Zitat Stub D, Bernard S, Pellegrino V et al (2015) Refractory cardiac arrest treated with mechanical CPR, hypothermia, ECMO and early reperfusion (the CHEER trial). Resuscitation 86:88–94CrossRefPubMed
86.
Zurück zum Zitat Jung C, Janssen K, Kaluza M et al (2016) Outcome predictors in cardiopulmonary resuscitation facilitated by extracorporeal membrane oxygenation. Clin Res Cardiol 105:196–205CrossRefPubMed
87.
Zurück zum Zitat Fagnoul D, Combes A, De Backer D (2014) Extracorporeal cardiopulmonary resuscitation. Curr Opin Crit Care 20:259–265CrossRefPubMed
88.
Zurück zum Zitat Belohlavek J, Kucera K, Jarkovsky J et al (2012) Hyperinvasive approach to out-of hospital cardiac arrest using mechanical chest compression device, prehospital intraarrest cooling, extracorporeal life support and early invasive assessment compared to standard of care. A randomized parallel groups comparative study proposal. “Prague OHCA study”. J Transl Med 10:163CrossRefPubMedPubMedCentral

Neu im Fachgebiet Kardiologie

Hypertonie: Mehrfachkontrolle zentraler Risikofaktoren schützt die Niere

Eine große chinesische Kohortenstudie unterstreicht die Bedeutung von vier zentralen Risikofaktoren – systolischem Blutdruck, LDL-Cholesterin, Nüchternglukose und BMI – für die Prävention einer chronischen Niereninsuffizienz bei Patienten mit Hypertonie. Jede zusätzlich kontrollierte Komponente senkte das CKD-Risiko um 18%.

Podcast

„Gesunde“ Bildschirmzeit für Kinder – zwischen Leitlinie und Realität

Medien sind überall – und Kinder kommen oft schon früh mit Smartphone & Co. in Berührung. Eine deutsche Leitlinie versucht dem Wunsch nach Orientierung gerecht zu werden. Doch welche Empfehlungen sind überhaupt realistisch? Medienexpertin Frau Dr. Iren Schulz ordnet im Podcast die Kritikpunkte ein und erklärt den aktuellen Wissensstand zur „gesunden“ Bildschirmzeit.

Akute STEMI: Sauerstoff nach PCI kann Myokardschaden eindämmen

Beim akuten ST-Hebungsinfarkt direkt an die PCI eine Supersaturated-Oxygen(SSO2)-Therapie anzuschließen, kann einer Metaanalyse zufolge die Infarktgröße reduzieren. Auf die kardiovaskuläre Prognose hatte die SSO2-Therapie jedoch keinen Einfluss. Die abschließende Bewertung des Langzeitnutzens steht aber noch aus.

Schwere KHK bei Frauen: Koronarstent oder Bypass-OP?

Perkutane Koronarintervention oder koronare Bypass-OP – welche Methode der Revaskularisation ist speziell bei Frauen mit schwerer KHK die bessere Wahl? Eine neue Studie liefert Informationen zu klinischen Langzeitergebnissen beider Verfahren.

EKG Essentials: EKG befunden mit System

In diesem CME-Kurs können Sie Ihr Wissen zur EKG-Befundung anhand von zwölf Video-Tutorials auffrischen und 10 CME-Punkte sammeln.
Praxisnah, relevant und mit vielen Tipps & Tricks vom Profi.

Update Kardiologie

Bestellen Sie unseren Fach-Newsletter und bleiben Sie gut informiert.

Bildnachweise
Blutdruckmessung bei Patient/© Soloviova Liudmyla / stock.adobe.com (Symbolbild mit Fotomodell), Springer Medizin Podcast - Kind und Mutter am Handy/© (M) kerkezz / stock.adobe.com (Symbolbild mit Fotomodellen), Kardiologen beim Kathetereingriff /© BVMed.de, EKG befunden mit System - EKG Essential/© Springer Medizin Verlag GmbH