Zum Inhalt
Gefässchirurgie

Mausmodelle für die Erforschung abdomineller Aortenaneurysmen

Erschienen in:

Zusammenfassung

Hintergrund

Mausmodelle zur Erforschung der Pathogenese von Aortenerkrankungen sind seit Jahren in der vaskulären Forschung etabliert. Aufgrund der komplexen multifaktoriellen Prozesse der Entstehung von Aortenaneurysmen, die bis heute noch nicht vollständig verstanden sind, wurden verschiedene Mausmodelle entwickelt. Der vorliegende Artikel stellt eine Übersicht der verfügbaren Modelle sowie der Vor- und Nachteile des jeweiligen Modells vor dem Hintergrund spezifischer Fragestellungen dar.

Methodik

Es erfolgte eine selektive Literaturrecherche zum Thema.

Ergebnisse

Die verfügbaren Mausmodelle lassen sich in drei Kategorien einteilen: genetisch induzierte, chemisch-topisch induzierte und medikamentös-systemisch induzierte Modelle. Die einzelnen Mausmodelle bieten jeweils spezifische Vor- und Nachteile, sodass die Auswahl des Modelles anhand der zugrunde liegenden Fragestellung erfolgen muss. Idealerweise werden mehrere Modelle kombiniert, um auszuschließen, dass den Ergebnissen modellspezifische Effekte zugrunde liegen. Medikamentös-systemisch induzierte Modelle mittels Angiotensin II und chemisch-topisch induzierte Modelle mittels Kalziumchlorid oder Elastase stellen dabei aufgrund ihrer Flexibilität die am häufigsten verwendeten Mausmodelle dar. Sie erlauben die Untersuchung einer Vielzahl verschiedener Einflussfaktoren oder medikamentöser Therapieansätze.

Schlussfolgerung

Mausmodelle liefern grundlegende Erkenntnisse zur bislang noch unzureichend verstandenen komplexen und multifaktoriellen Pathophysiologie der Entstehung und Progression von Aortenaneurysmen. Tiermodellbasierte Forschungsansätze stellen dabei eine ideale Grundlage für translationale Forschungsprojekte dar, welche prospektiv für die Entwicklung konservativer medikamentöser Therapieansätze für Aortenaneurysmen wesentliche Erkenntnisse beitragen können.

Warum brauchen wir Mausmodelle zur Erforschung von Aortenaneurysmen?

Die Entstehung von Aortenaneurysmen ist ein komplexer multifaktorieller Prozess, der bei weitem noch nicht verstanden ist. Die beteiligten pathophysiologischen Prozesse lassen sich grob orientierend in 4 Kategorien einteilen: Degeneration des Bindegewebes der Aortenwand, entzündliche/immunologische Prozesse, genetische Faktoren und biomechanische Effekte (Abb. 1; [1, 2]).
Abb. 1
Pathophysiologie des Aortenaneurysmas. Exemplarische Übersicht der Faktoren, die pathophysiologisch zur Entstehung von abdominellen Aortenaneurysmen beitragen [1, 27]
Bild vergrößern
Die medikamentöse Behandlung von Aortenaneurysmen beschränkt sich momentan weitestgehend auf die Einstellung der kardiovaskulären Risikofaktoren, insbesondere der arteriellen Hypertonie, sowie der Nutzung pleiotroper Statin-Effekte auf Inflammation und Plaque-Stabilisierung [3]. Eine kausale medikamentöse Therapie zur Verhinderung des Wachstums oder einer Ruptur ist bislang noch nicht verfügbar.
Humane Gewebeproben, die im Rahmen von offenen Operationen gewonnen werden, sind in diesem Kontext nur eingeschränkt verwertbar, zumal ihre Verfügbarkeit durch die zunehmende Anzahl an endovaskulären Eingriffen eingeschränkt ist. Zusätzlich zeigen die Gewebeproben ausgeprägte inter- und intraindividuelle Unterschiede, die die Interpretierbarkeit stark einschränken. Am schwersten wiegt jedoch die Tatsache, dass Gewebeproben nur aus operationspflichtigen Aortenaneurysmen gewonnen werden können, dem „Endstadium“ der Erkrankung. Eine Aussage über die am Anfang der Erkrankung ablaufenden Prozesse, die wiederum für die Entwicklung potenzieller medikamentöser Therapieansätze entscheiden sind, ist somit nur eingeschränkt oder gar nicht möglich. Darüber hinaus bieten tiermodellbasierte Forschungsansätze eine ideale Grundlage für translationale Forschungsprojekte. Im Mausmodell gewonnene Erkenntnisse können sekundär gezielt an humanen Proben verifiziert werden. Letztlich lässt sich nur so die Relevanz der am Mausmodell erhobenen Befunde in Bezug auf humane Aortenaneurysmen beurteilen.

Übersicht über die vorhandenen Modelle

Die verfügbaren Mausmodelle für Aortenaneurysmen lassen sich in 3 Kategorien einteilen (Tab. 1). Die Entstehung und das Wachstum eines Aortenaneurysmas bis hin zur Ruptur sind multifaktorielle Prozesse mit einer komplexen Interaktion hämodynamischer, physikalischer und inflammatorischer Einflussfaktoren. Wie bei vielen anderen Erkrankungen, deren Pathophysiologien noch nicht endgültig verstanden sind, bildet keines der genannten Modelle das humane Aortenaneurysma komplett ab. Zudem bietet jedes der vorgestellten Modelle individuelle Vor- und Nachteile, sodass die Wahl des Modelles in Abhängigkeit von der zu beantwortenden Fragestellung erfolgen muss. Gegebenenfalls müssen Erkenntnisse, die in einem Mausmodell gewonnen wurden, sogar an einem zweiten Modell nachvollzogen werden, um ausschließen zu können, dass es sich um einen modellspezifischen Effekt handelt.
Tab. 1
Übersicht über die vorhandenen Mausmodelle für Aortenaneurysmen. (Mod. nach Daugherty et al. [4])
Genetisch induzierte Modelle
Induktion des Aneurysmas durch Modifikation einzelner Gene
Blotchy-Maus
Lox Knockout
MMP-3/TIMP‑1 Knockout
ApoE Knockout
ApoE eNOS Doppel-Knockout
LDL-Rezeptor Knockout
Überexpression von Renin und Angiotensinogen
Chemisch-topisch induzierte Modelle
Lokale Schädigung und der elastischen Fasern der Aortenwand durch eine topische Applikation verschiedener Substanzen
Elastase
Calciumchlorid
Medikamentös-systemisch induzierte Modelle
Systemische Applikation von Substanzen führt zur Ausbildung von Aortenaneurysmen
Angiotensin II
LOX Lysyloxidase, MMP Matrixmetalloprotease, TIMP tissue inhibitor of metalloproteinase, ApoE Apolipoprotein E, LDL Low-density-Lipoproteine, eNOS endotheliale Stickstoffmonoxid-Synthase

Medikamentös-systemisch induzierte Modelle

Angiotensin II-Modell

Die Induktion von Aortenaneurysmen durch Angiotensin II (Ang II) wurde erstmals 1999 in transgenen Mäusen mit einem Knockout des Low-density-Lipoprotein- (LDL-)Rezeptors gezeigt, wobei die eigentliche Zielsetzung der Experimente die Evaluation des Einflusses von Ang II auf die Entwicklung atherosklerotischer Plaques war [5]. Ein Jahr später bestätigte dieselbe Arbeitsgruppe, dass das Modell unter Einsatz von Apolipoprotein E- (ApoE-)Knockout-Mäusen ebenfalls funktioniert [6]. Inzwischen ist bekannt, dass die Inzidenz von Aortenaneurysmen in Mäusen mit Hyperlipidämie, die entweder mittels Fütterung einer fettreichen Diät oder genetisch induziert sein kann, deutlich erhöht ist. Aber auch in Mäusen mit normwertigem Fettstoffwechsel ist eine Induktion von Aneurysmen mittels Ang II möglich, jedoch bei deutlich geringerer Inzidenz (ca. 25–40 % bei Wildtyp- (C57Bl/6J-)Mäusen) [7]. Bei ApoE respektive LDL-Knockout-Mäusen beträgt die Inzidenz weit über 60 % [8, 9].
Die Applikation von Ang II erfolgt über eine subkutan implantierte osmotische Pumpe, die über einen bestimmten Zeitraum die kontinuierliche Applikation verschiedenster Substanzen erlaubt (Abb. 2a). Üblicherweise erfolgt eine Therapie mit 1000 ng/kg*min über eine Dauer von 28 Tagen. Die osmotischen Pumpen werden in einem gering invasiven Eingriff subkutan im Bereich des Rückens implantiert (Abb. 2b). Abhängig von der Fragestellung und dem verwendeten Mausstamm kann die Dosis und die Dauer der Applikation jedoch variiert werden bis hin zu einer sequenziellen Implantation von mehreren Pumpen [10].
Abb. 2
Angiotensin-II-Mausmodell für Aortenaneurysmen. a Osmotische Pumpe Modell 2004 (ALZET®, DURECT Corporation, Cupertino, CA, USA), die eine Applikation von insgesamt 200 µl Volumen über einen Zeitraum von 4 Wochen erlaubt. b Subkutan implantierte osmotische Pumpe in eine C57Bl/6J-Maus. c Duplexsonographische Darstellung der abdominellen Aorta vor Beginn der Behandlung (oben) und nach Induktion eines Aortenaneurysmas durch Angiotensin-II-Applikation (unten). Die Aorta ist jeweils durch einen Kreis markiert. d Rupturierte Aneurysmen des Aortenbogens und des suprarenalen Aortenabschnitts durch eine Therapie mit Angiotensin II (1500 ng/kg*min)
Bild vergrößern
Nach einer rapiden Zunahme des Aortendurchmessers in der ersten Woche folgt anschließend eine langsame kontinuierliche Dilatation der Aorta (Abb. 2c; [11]). Die Aneurysmen entstehen vor allem im Bereich des Aortenbogens und der suprarenalen Aorta, es können sich jedoch auch langstreckige Aneurysmen der thorakoabdominellen Aorta bilden. Während der ersten beiden Wochen kommt es parallel zu der raschen Expansion zu einer erhöhten Rate an aortalen Rupturen mit oftmals letalem Verlauf (Abb. 2d). Die Mortalität ist in Abgängigkeit des jeweiligen Versuchsansatzes mit bis zu 25–40 % zu beziffern [8, 11].
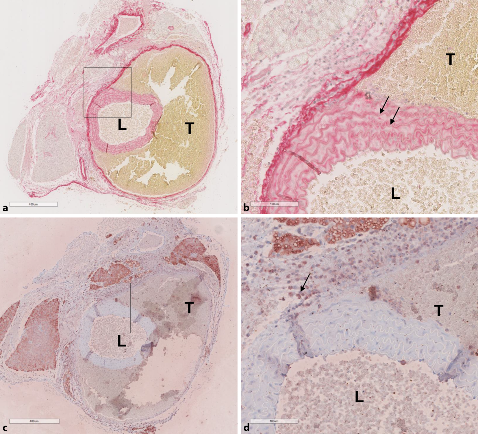
Passend zu dieser raschen Dilatation in der ersten Phase des Experiments ist der erste Schritt der Aneurysmaformation die Ausbildung einer fokalen Dissektion [12]. Auch die Histologie der Aneurysmen ähnelt eher einer chronischen Dissektion mit kompletter Thrombose des Falschkanals (Abb. 3).
Abb. 3
Histologisches Präparat eines Aortenaneurysmas, induziert durch Infusion mit Angiotensin II in einer C57Bl/6J-Maus. ab Sirius-Red-Färbung zur Visualisierung von Kollagen und glatten Muskelzellen (rot) a Querschnitt durch das Aneurysma im Bereich des maximalen Durchmessers mit exemplarischer Vergrößerung eines Ausschnitts (b), Pfeile: elastische Fasern. cd Immunhistochemische Färbung mit einem CD45-spezifischen Antikörper, der die Infiltration mit Leukozyten anzeigt (rotbraun). c Querschnitt durch das Aneurysma im Bereich des maximalen Durchmessers mit exemplarischer Vergrößerung eines Ausschnitts (d) L Lumen, T Thrombus
Bild vergrößern
Interessanterweise führt die verwendete Ang-II-Dosierung lediglich zu einem moderaten Blutdruckanstieg von etwa 25 mm Hg [13]. Die Entstehung der Aneurysmen scheint also ein substanzspezifischer Effekt von Angiotensin zu sein. Dies kann noch weiter eingegrenzt werden: Während Angiotensin-I-Rezeptor-Blocker die Rate an Aneurysmen signifikant reduzieren, haben Ang-II-Rezeptor-Blocker genau den gegenteiligen Effekt [9].
Zudem ist, ähnlich wie beim Menschen, die Inzidenz bei männlichen Mäusen höher als bei weiblichen [13] und nimmt mit steigendem Alter der eingesetzten Mäuse zu. Unter Berücksichtigung der erhöhten Inzidenz bei Hyperlipidämie spiegelt dieses Modell somit viele epidemiologische Züge humaner Aortenaneurysmen wider.

Chemisch-topisch induzierte Modelle

Bei den chemisch induzierten Modellen für Aortenaneurysmen wird die Aortenwand, vor allem die elastischen Fasern, mittels einer topischen Applikation von verschiedenen Substanzen lokal geschädigt. Dies kann entweder mithilfe einer lokalen Perfusion des Gefäßes oder durch Substanzapplikation von außen auf die Aortenwand erfolgen. Durch die Schwächung der Wand kommt es anschließend zur Dilatation des Gefäßabschnitts mit Ausbildung eines Aortenaneurysmas. Hierbei bildet sich initial eine akute Entzündungsreaktion, die anschließend in eine chronische Entzündung übergeht.
Bereits seit 1988 ist bekannt, dass die lokale Applikation von Calciumchlorid (CaCl2) auf Gefäße zur Ausbildung von lokalen Aneurysmen führt [14]. Dies wurde 2001 auf die Aorta zur Induktion von Aortenaneurysmen übertragen [15], wobei ein mit CaCl2 getränkter Schwamm lokal auf die infrarenale Aorta aufgebracht wurde. CaCl2 bildet mit den elastischen Fasern Komplexe, die wiederum eine inflammatorische Reaktion mit sukzessiver Destabilisierung und Dilatation der Aortenwand auslösen. 2–10 Wochen nach dieser Intervention bilden sich bei bis zu 100 % der behandelten Mäuse Aneurysmen aus, die sich bis auf das doppelte des ursprünglichen Durchmessers erweitern.
Eine weitere Substanz zur lokalen Schädigung der Aortenwand mit nachfolgender Aneurysma-Induktion ist Elastase. Die Induktion von Aortenaneurysmen mittels Elastase wurde 1990 erstmals in der Ratte beschrieben [16] und 2000 schließlich auf die Maus übertragen [17]. Initial wurde hierfür ein infrarenaler Abschnitt der Aorta kurzfristig ausgeklemmt, anschließend punktiert und die Elastase über eine Zeit von 5 min mit einem Druck von 100 mm Hg in das Gefäß instilliert. Bereits dies führt zu einer Zunahme des Aortendurchmessers um bis zu 70 % ([17]; Abb. 4). Allerdings ist dieser Eingriff durch die notwendige Präparation der Aorta, die Punktion, die druckgesteuerte Elastase-Applikation und zuletzt die Übernähung der Punktionsstelle technisch anspruchsvoll. Einfacher ist eine Applikation von Elastase von außen auf die Aorta, welche in über 60 % der Mäuse zur Induktion von Aortenaneurysmen führt [18]. Interessanterweise gibt es jedoch deutliche histologische Unterschiede zwischen intra- und extraluminaler Applikation von Elastase, insbesondere in Bezug auf die auftretende Inflammation [19].
Abb. 4
Chemische Induktion von Aneurysmen mittels Elastase. Mausaorta a vor Behandlung und b 14 Tage nach chemischer Induktion eines Aneurysmas mittels intraluminaler Applikation von Elastase. Hierdurch kam es zur Ausbildung eines Aneurysmas mit einem Maximaldurchmesser von 1,2 mm (↔). Sternchen Übernähung der Punktionsstelle für die intraluminale Elastase-Applikation. c Hämatoxylin-Eosin-Färbung einer unbehandelten Aorta (oberes Bild) und eines mittels Elastase induzierten Aortenaneurysmas (unteres Bild)
Bild vergrößern

Genetisch induzierte Modelle

10–20 % aller Aortenaneurysmen beim Menschen werden auf genetische Ursachen zurückgeführt [2]. Ebenso gibt es mehrere transgene Mauslinien, bei denen durch singuläre oder kombinierte genetische Änderungen spontan Aortenaneurysmen entstehen.
10–20 % aller Aortenaneurysmen werden auf genetische Ursachen zurückgeführt
Eine der bekanntesten transgenen Mausmodelle ist die Blotchy-Maus, bei der eine Mutation auf dem X‑Chromosom zu einer unzureichenden Kupferaufnahme führt. Hierdurch kommt es zu einer unzureichenden Vernetzung von Elastin- und Kollagen-Fasern, da durch den Kupfermangel die Funktion der Lysyloxidase nicht mehr ausreichend gegeben ist. Mit steigendem Alter bilden Blotchy-Mäuse zunehmend Aneurysmen. Die Inzidenz erreicht bei 6 Monaten fast 100 % [20]. Auch ein direkter Knockout der Lysyloxidase führt zur Ausbildung von Aortenaneurysmen [21].
Interessanterweise bilden sowohl ApoE- als auch LDL-Rezeptor-Knockout-Mäuse Aneurysmen unter Fettfütterung aus [22]. Dies verdeutlicht einmal mehr den engen Zusammenhang zwischen Atherosklerose und Aneurysmen. Allerdings ist bei beiden Modellen die Inzidenz von Aneurysmen vergleichsweise gering, sodass die praktische Verwendung zur Erforschung der Pathophysiologie von Aneurysmen eingeschränkt ist.

Kritische Gegenüberstellung der Mausmodelle

Die beschriebenen genetisch induzierten Modelle sind in ihrer Aussagekraft hinsichtlich der Pathogenese von Aortenaneurysmen deutlich limitiert, da sie vor allem den Effekt eines einzelnen Gens bis hin zu dem durch das entsprechende Gen kontrollierten Signalweg darstellen. Auch die Übertragbarkeit der durch genetische induzierte Modelle gewonnenen Erkenntnisse auf menschliche Patienten bleibt – abhängig von der jeweiligen Fragestellung – limitiert, da Aneurysmen bis auf wenige bekannte Bindegewebserkrankungen multifaktorielle Erkrankungen sind, die sich nicht auf einen singulären Gendefekt zurückführen lassen. Obwohl sie wichtige Erkenntnisse über die Funktion einzelner Proteine geliefert haben, spielen die genetisch induzierten Modelle bei der Erforschung der Pathophysiologie von Aortenaneurysmen nur eine untergeordnete Rolle.
Am weitesten verbreitet sind das Ang II-Mausmodell und die chemisch-topisch induzierten Modelle [23]. Vorteil dieser Modelle ist ihre hohe Flexibilität. Der Test von medikamentösen Behandlungen und der Einsatz verschiedener transgener Mauslinien ist meist problemlos möglich, sodass unterschiedlichste Fragestellungen beantwortet werden können.
Das Ang II Mausmodell und die chemisch-topisch induzierten Modelle sind am weitesten verbreitet
Bezogen auf die technische Durchführung ist hierbei das Ang II-Mausmodell den chemisch induzierten Modellen überlegen. Die subkutane Implantation der osmotischen Pumpen kann in einer kurzen Narkose mit geringer Belastung für die Versuchstiere und geringer Komplikationsrate durchgeführt werden. Auf eine Laparotomie, wie sie bei den chemisch induzierten Modellen notwendig ist, kann somit verzichtet werden. Die Etablierung dieses Modells erscheint somit vergleichsweise einfach und ist mit einer relativ flachen Lernkurve verbunden. Erkauft wird dies durch die höheren Kosten, die durch die Verwendung der osmotischen Pumpen zustande kommen.
Der Hauptnachteil des Ang II-Modells ist in der Morphologie der Aneurysmen zu sehen. Während die Aneurysmen sich duplexsonographisch als teilthrombosierte Aortenaneurysmen darstellen, ähneln sie in histologischen Untersuchungen eher Aortendissektionen mit einem vollständig thrombosierten Falschkanal. Wenn man zusätzlich die rasche Entstehung der Aneurysmen in der ersten Woche mit anschließender langsamer Dilatation und die hohe aortenassoziierte Letalität in der Anfangsphase im Hinterkopf behält, ist nicht auszuschließen, dass das Modell eine Mischform zwischen einem Aortenaneurysma und einer Aortendissektion abbildet [12].
Als weiterer Nachteil ist die vergleichsweise hohe Letalität durch die Ang II-Applikation anzuführen. Grund hierfür sind akute Rupturen der Aorta, die vor allem in den ersten beiden Wochen der Ang II-Applikation auftreten. Mortalitätsraten bis zu 40 % machen abhängig vom Endpunkt des Experiments die Kalkulation der Mauszahlen schwierig, können aber auf der anderen Seite einen zusätzlichen Endpunkt im Sinne der aortenassoziierten Letalität bieten.
Mittels CaCl2 induzierte Aneurysmen rupturieren selten und bilden kaum intraluminale Thromben. Da letztere oft eine starke Infiltration mit inflammatorischen Zellen aufweisen und somit eine wichtige Rolle in der Progression von Aortenaneurysmen zu spielen scheinen [24], schränkt dies die Aussagekraft des Modells ein.
Eindeutiger Vorteil dieser Modelle ist, dass man mit hoher Sicherheit an prädestinierten Abschnitten der Aorta Aneurysmen auslösen kann, sei es abdominell oder thorakal ([25]; Abb. 5). Die Rate an erfolgreichen Induktionen erreicht hierbei nahezu hundert Prozent, sodass die notwendigen Tierzahlen gering gehalten werden können. Außerdem sind die chemisch induzierten Modelle aus finanzieller Sicht vergleichsweise günstig, da lediglich die benötigen Stoffe zur Destabilisierung der Aortenwand benötigt werden.
Abb. 5
Thorakaler Zugang zur Aorta. Ein Vorteil der chemisch induzierten Mausmodelle ist, dass Aneurysmen an definierten Gefäßabschnitten ausgelöst werden können. Hier gezeigt ist beispielsweise ein Zugang zur thorakalen Aorta zur Induktion thorakaler Aortenaneurysmen
Bild vergrößern
Im Vergleich zum CaCl2-Modell ist die intraluminale Applikation von Elastase technisch gesehen deutlich aufwendiger, resultiert aber in Aneurysmen, die humane Aortenaneurysmen besser widerzuspiegeln scheinen.
Ob die im Rahmen der durch die chemische Destruktion der elastischen Fasern sowie durch das lokale Gewebetrauma im Rahmen des Eingriffs ausgelöste Entzündungsreaktion mit den in humanen Aneurysmen nachweisbaren inflammatorischen Prozessen gleichzusetzen sind, ist weitestgehend unklar.
Nachteilig sind darüber hinaus die langsamere Lernkurve der Operateure und die höhere Belastung für die eingesetzten Versuchstiere, die mit der notwendigen Laparotomie mit Freipräparation der Aorta einhergehen.
Chemisch-topisch induzierte Aneurysmen können an beliebigen Gefäßabschnitten ausgelöst werden
Wie bereits mehrfach erwähnt, bildet keines der vorgestellten Mausmodelle das humane Aortenaneurysma in allen seinen Krankheitszügen ab. Aus diesem Grund wurden im Laufe der letzten Jahre die einzelnen Modelle weiter verfeinert, was jedoch die Komplexität auch weiter erhöht. Durch die zusätzliche Gabe eines gegen TGF- (transforming growth factor-)β gerichteten Antikörpers während der Induktion von Aortenaneurysmen mittels Elastase kann zum Beispiel ein vermehrtes Wachstum des Aneurysmas bis hin zur Ruptur mit einer verstärkten Entzündungsreaktion der Aortenwand und Bildung eines intraluminalen Thrombus erreicht werden, sodass mehrere distinktive Elemente der humanen Erkrankung besser abgebildet werden [26].

Fazit für die Praxis

  • Mausmodelle liefern grundlegende Erkenntnisse zur bislang noch unzureichend verstandenen komplexen und multifaktoriellen Pathophysiologie der Entstehung und Progression von Aortenaneurysmen. Zudem tragen Sie zur Entwicklung konservativer medikamentöser Therapieansätze bei.
  • Die einzelnen Mausmodelle bieten jeweils spezifische Vor- und Nachteile, sodass die Auswahl des Modelles anhand der zu beantwortenden Forschungsfrage erfolgen muss.
  • Prinzipiell lassen sich die vorhadenen Modelle in medikamentös-systemisch, chemisch-topisch und genetisch induzierte Modelle einteilen.
  • Das Angiotensin II und die mittels Calciumchlorid oder Elastase chemisch-topisch induzierten Aneurysma-Modelle sind die häufigsten verwendeten Mausmodelle. Sie erlauben die Untersuchung einer Vielzahl verschiedener Einflussfaktoren oder medikamentöser Therapieansätze.
  • Genetisch induzierte Modelle erlauben die genaue Untersuchung des Effekts eines einzelnen Gens respektive des entsprechenden Signalwegs, sind aber im Umkehrschluss auf das jeweilige Gen limitiert und somit wenig flexibel.

Einhaltung ethischer Richtlinien

Interessenkonflikt

M. Wortmann, K. Meisenbacher, A. Busch, M.S. Bischoff, S. Dihlmann und D. Böckler geben an, dass kein Interessenkonflikt besteht.
Für diesen Beitrag wurden von den Autoren keine Studien an Menschen oder Tieren durchgeführt. Für die aufgeführten Studien gelten die jeweils dort angegebenen ethischen Richtlinien.
Open Access. Dieser Artikel wird unter der Creative Commons Namensnennung 4.0 International Lizenz veröffentlicht, welche die Nutzung, Vervielfältigung, Bearbeitung, Verbreitung und Wiedergabe in jeglichem Medium und Format erlaubt, sofern Sie den/die ursprünglichen Autor(en) und die Quelle ordnungsgemäß nennen, einen Link zur Creative Commons Lizenz beifügen und angeben, ob Änderungen vorgenommen wurden.
Die in diesem Artikel enthaltenen Bilder und sonstiges Drittmaterial unterliegen ebenfalls der genannten Creative Commons Lizenz, sofern sich aus der Abbildungslegende nichts anderes ergibt. Sofern das betreffende Material nicht unter der genannten Creative Commons Lizenz steht und die betreffende Handlung nicht nach gesetzlichen Vorschriften erlaubt ist, ist für die oben aufgeführten Weiterverwendungen des Materials die Einwilligung des jeweiligen Rechteinhabers einzuholen.
Weitere Details zur Lizenz entnehmen Sie bitte der Lizenzinformation auf http://creativecommons.org/licenses/by/4.0/deed.de.
download
DOWNLOAD
print
DRUCKEN
Titel
Mausmodelle für die Erforschung abdomineller Aortenaneurysmen
Verfasst von
Dr. M. Wortmann
K. Meisenbacher
A. Busch
M. S. Bischoff
S. Dihlmann
D. Böckler
Publikationsdatum
03.06.2020
Verlag
Springer Medizin
Erschienen in
Gefässchirurgie / Ausgabe 4/2020
Print ISSN: 0948-7034
Elektronische ISSN: 1434-3932
DOI
https://doi.org/10.1007/s00772-020-00647-y
1.
Zurück zum Zitat Wassef M, Baxter BT, Chisholm RL et al (2001) Pathogenesis of abdominal aortic aneurysms: a multidisciplinary research program supported by the national heart, lung, and blood institute. J Vasc Surg 34:730–738CrossRef
2.
Zurück zum Zitat Kuivaniemi H, Ryer EJ, Elmore JR et al (2015) Understanding the pathogenesis of abdominal aortic aneurysms. Expert Rev Cardiovasc Ther 13:975–987CrossRef
3.
Zurück zum Zitat Salata K, Syed M, Hussain MA et al (2018) Statins reduce abdominal aortic aneurysm growth, rupture, and perioperative mortality: a systematic review and meta-analysis. J Am Heart Assoc 7:e8657CrossRef
4.
Zurück zum Zitat Daugherty A, Cassis LA (2004) Mouse models of abdominal aortic aneurysms. Arterioscler Thromb Vasc Biol 24:429–434CrossRef
5.
Zurück zum Zitat Daugherty A, Cassis L (1999) Chronic angiotensin II infusion promotes atherogenesis in low density lipoprotein receptor −/− mice. Annals NY Acad Sci 892:108–118CrossRef
6.
Zurück zum Zitat Daugherty A, Manning MW, Cassis LA (2000) Angiotensin II promotes atherosclerotic lesions and aneurysms in apolipoprotein E‑deficient mice. J Clin Invest 105:1605–1612CrossRef
7.
Zurück zum Zitat Deng GG, Martin-McNulty B, Sukovich DA et al (2003) Urokinase-type plasminogen activator plays a critical role in angiotensin II-induced abdominal aortic aneurysm. Circ Res 92:510–517CrossRef
8.
Zurück zum Zitat Cao RY, Amand T, Ford MD et al (2010) The murine angiotensin II-induced abdominal aortic aneurysm model: rupture risk and inflammatory progression patterns. Front Pharmacol 1:9PubMedPubMedCentral
9.
Zurück zum Zitat Daugherty A, Manning MW, Cassis LA (2001) Antagonism of AT2 receptors augments angiotensin II-induced abdominal aortic aneurysms and atherosclerosis. Br J Pharmacol 134:865–870CrossRef
10.
Zurück zum Zitat Rateri DL, Howatt DA, Moorleghen JJ et al (2011) Prolonged infusion of angiotensin II in apoE(−/−) mice promotes macrophage recruitment with continued expansion of abdominal aortic aneurysm. Am J Pathol 179:1542–1548CrossRef
11.
Zurück zum Zitat Barisione C, Charnigo R, Howatt DA et al (2006) Rapid dilation of the abdominal aorta during infusion of angiotensin II detected by noninvasive high-frequency ultrasonography. J Vasc Surg 44:372–376CrossRef
12.
Zurück zum Zitat Saraff K, Babamusta F, Cassis LA et al (2003) Aortic dissection precedes formation of aneurysms and atherosclerosis in angiotensin II-infused, apolipoprotein E‑deficient mice. Arterioscler Thromb Vasc Biol 23:1621–1626CrossRef
13.
Zurück zum Zitat Manning MW, Cassi LA, Huang J et al (2002) Abdominal aortic aneurysms: fresh insights from a novel animal model of the disease. Vasc Med 7:45–54CrossRef
14.
Zurück zum Zitat Gertz SD, Kurgan A, Eisenberg D (1988) Aneurysm of the rabbit common carotid artery induced by periarterial application of calcium chloride in vivo. J Clin Invest 81:649–656CrossRef
15.
Zurück zum Zitat Chiou AC, Chiu B, Pearce WH (2001) Murine aortic aneurysm produced by periarterial application of calcium chloride. J Surg Res 99:371–376CrossRef
16.
Zurück zum Zitat Anidjar S, Osborne-Pellegrin M, Coutard M et al (1992) Arterial hypertension and aneurysmal dilatation. Kidney Int Suppl 37:S61–66PubMed
17.
Zurück zum Zitat Pyo R, Lee JK, Shipley JM et al (2000) Targeted gene disruption of matrix metalloproteinase‑9 (gelatinase B) suppresses development of experimental abdominal aortic aneurysms. J Clin Invest 105:1641–1649CrossRef
18.
Zurück zum Zitat Bhamidipati CM, Mehta GS, Lu G et al (2012) Development of a novel murine model of aortic aneurysms using peri-adventitial elastase. Surgery 152:238–246CrossRef
19.
Zurück zum Zitat Busch A, Holm A, Wagner N et al (2016) Extra- and intraluminal elastase induce morphologically distinct abdominal aortic aneurysms in mice and thus represent specific subtypes of human disease. J Vasc Res 53:49–57CrossRef
20.
Zurück zum Zitat Brophy CM, Tilson JE, Braverman IM et al (1988) Age of onset, pattern of distribution, and histology of aneurysm development in a genetically predisposed mouse model. J Vasc Surg 8:45–48CrossRef
21.
Zurück zum Zitat Maki JM, Rasanen J, Tikkanen H et al (2002) Inactivation of the lysyl oxidase gene lox leads to aortic aneurysms, cardiovascular dysfunction, and perinatal death in mice. Circulation 106:2503–2509CrossRef
22.
Zurück zum Zitat Tangirala RK, Rubin EM, Palinski W (1995) Quantitation of atherosclerosis in murine models: correlation between lesions in the aortic origin and in the entire aorta, and differences in the extent of lesions between sexes in LDL receptor-deficient and apolipoprotein E‑deficient mice. J Lipid Res 36:2320–2328PubMed
23.
Zurück zum Zitat Lysgaard Poulsen J, Stubbe J, Lindholt JS (2016) Animal models used to explore abdominal aortic aneurysms: a systematic review. Eur J Vasc Endovasc Surg 52:487–499CrossRef
24.
Zurück zum Zitat Bhagavan D, Di Achille P, Humphrey JD (2018) Strongly coupled morphological features of aortic aneurysms drive Intraluminal thrombus. Sci Rep 8:13273CrossRef
25.
Zurück zum Zitat Ikonomidis JS, Gibson WC, Gardner J et al (2003) A murine model of thoracic aortic aneurysms. J Surg Res 115:157–163CrossRef
26.
Zurück zum Zitat Lareyre F, Clement M, Raffort J et al (2017) TGFbeta (transforming growth factor-beta) blockade induces a human-like disease in a nondissecting mouse model of abdominal aortic aneurysm. Arterioscler Thromb Vasc Biol 37:2171–2181CrossRef
27.
Zurück zum Zitat Grundmann RT (Hrsg) (2011) Etiology, pathogenesis and pathophysiology of aortic aneurysms and aneurysm rupture, Intech open

Neu im Fachgebiet Chirurgie

Darmkrebsresektion: Laparoskopisches Vorgehen gerade auch für Gebrechliche

Daten aus Großbritannien legen nahe, dass insbesondere ältere und gebrechlichere Darmkrebspatientinnen und -patienten von einem minimalinvasiven Eingriff profitieren könnten – ihnen dieser aber allzu häufig vorenthalten wird.   

Thyreoidektomie auch bei älteren Patienten sicher

Mehr Begleitkrankheiten, geringere physiologische Reserven: Ältere Patientinnen und Patienten tragen ein erhöhtes Risiko für perioperative Komplikationen. Ob und wie ausgeprägt das für die Thyreoidektomie gilt, war Gegenstand einer Metaanalyse von elf Studien.

Therapie von Oligometastasen verbessert Prognose bei Prostata-Ca.

Die operative Entfernung oder Bestrahlung von Oligometastasen eines Prostatakarzinoms verlängert das progressionsfreie Überleben deutlich, der Effekt auf das Gesamtüberleben bleibt jedoch unklar.

Schlafarchitektur nach OP oft massiv gestört

Nach einem operativen Eingriff ist die Schlafqualität oft massiv beeinträchtigt. In einer US-Studie waren bei Risikopatienten nicht nur die Gesamtdauer des Schlafs, sondern vor allem auch REM- und Tiefschlafphasen deutlich verkürzt.

Update Chirurgie

Bestellen Sie unseren Fach-Newsletter und bleiben Sie gut informiert.

Bildnachweise
Laparoskopische Rektumresektion/© Springer Medizin Verlag GmbH, Schilddrüsenoperation/© samrith / stock.adobe.com (Symbolbild mit Fotomodell), Stereotaktische Strahlentherapie (SBRT) einer solitären ossären Metastase in dem Brustwirbelkörper/© Springer Medizin Verlag GmbH, Frauen ruhen im Krankenhaus /© Gorodenkoff / Stock.adobe.com (Symbolbild mit Fotomodell)