Zum Inhalt
Die Dermatologie

Ungewöhnliche Präsentation einer Psoriasis vulgaris bei einem 11-jährigen Patienten

Erschienen in:
download
DOWNLOAD
print
DRUCKEN
insite
SUCHEN

Zusammenfassung

Die Psoriasis vulgaris tritt mit einer Prävalenz von bis zu 2 % im Kindes- und Jugendalter auf. Größtenteils wird die Diagnose klinisch gestellt. Wir berichten über einen pädiatrischen Patienten, welcher uns aufgrund der für eine Psoriasis vulgaris eher untypischen Lokalisation vor eine diagnostische Herausforderung stellte. Diskutiert werden die wichtigsten Differenzialdiagnosen der verschiedenen Psoriasisformen sowie die aktuellen Therapieempfehlungen im Kindes- und Jugendalter.
QR-Code scannen & Beitrag online lesen

Anamnese

Ein 11-jähriger Patient stellte sich in Begleitung seiner Mutter in der Ambulanz für pädiatrische Dermatologie aufgrund juckender therapieresistenter Hautveränderungen am Gesäß seit 4 Jahren vor. Die bisherigen lokalen Behandlungen umfassten blande Externa, Antimykotika, Glukokortikoide sowie Antibiotika. Der Patient nahm keine Dauermedikation ein. In der Krankengeschichte fanden sich neben einer Phimose im Kleinkindalter und einer Schädelprellung nach einem Fahrradsturz keine Besonderheiten. In der Familienanamnese war zu erheben, dass sowohl ein Onkel als auch eine Cousine des Jungen an einer Psoriasis vulgaris litten.

Klinischer Befund

In der dermatologischen Untersuchung zeigten sich in der Gesäßfalte und der rechtsseitigen Glutealregion mehrere hautfarbene bis blassrote, teils konfluierende kleinpapulöse Plaques mit teilweise nur diskreter weißlicher Schuppung und stellenweise oberflächlichen Exkoriationen (Abb. 1).
Abb. 1
Lokalbefund an der Gesäßfalte mit juckenden, teils konfluierenden Plaques. Eine Schuppung ist kaum vorhanden
Bild vergrößern

Diagnose

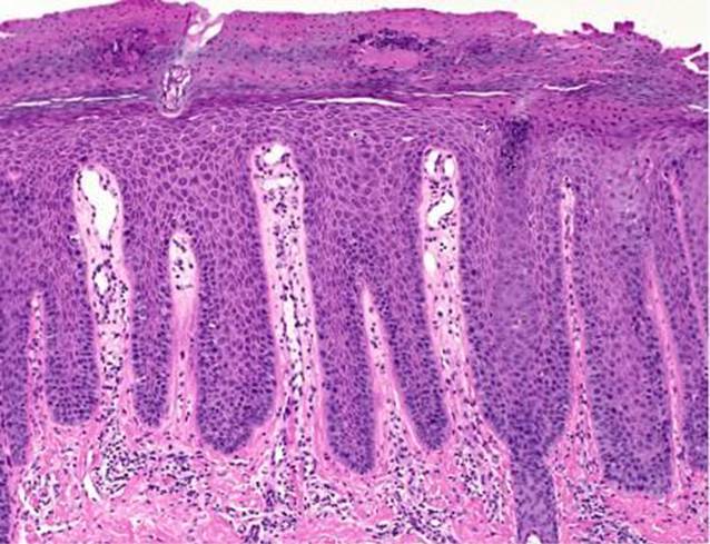
Zur weiterführenden Diagnostik wurde eine Probebiopsie (4-mm-Stanze) in Lokalanästhesie entnommen (Abb. 2).
Abb. 2
Der histopathologische Befund ergab eine psoriasiforme Epidermishyperplasie mit Parakeratose und Verlust des Stratum granulosum. Auffallend sind auch verlängerte dermale Papillae mit teleangiektatisch erweiterten Kapillaren
Bild vergrößern

Therapie und Verlauf

Unser Patient hat eine kurzfristige Lokaltherapie mit einem Glukokortikoid der Klasse III erhalten, welches im Anschluss durch ein topisches Vitamin-D-Derivat ersetzt wurde. Vier Wochen nach Einleitung der Therapie war der störende Juckreiz bereits abgeklungen, und die Hautveränderungen sind flacher geworden. Im Rahmen der Langzeitbetreuung werden an unserer Klinik Kontrollen in 3‑monatigen Abständen durchgeführt.

Diskussion

Die Psoriasis vulgaris tritt sowohl im Kindes- als auch Erwachsenenalter in etwa 70 % der Fälle als Plaquepsoriasis auf [11]. Die Schuppung und Infiltration der Herde können jedoch bei Kindern milder als bei Erwachsenen ausgeprägt sein [3].
Etwa 30 % der Kinder mit Psoriasis vulgaris präsentieren sich initial mit einer Psoriasis guttata. Diese akute Verlaufsform tritt häufig in Assoziation mit einer Infektion durch β‑hämolysierende Streptokokken oder Viren auf. In diesem Zusammenhang zählen die Angina tonsillaris als auch die streptogene perianale Dermatitis zu den häufigsten Auslösern [11].
Seltenere Varianten beinhalten unter anderem die Psoriasis inversa, Windelpsoriasis, Psoriasis pustulosa, Psoriasis palmoplantaris und die Erythrodermie [7].
Eine Besonderheit bei pädiatrischen Patienten mit Psoriasis vulgaris stellt die bevorzugte Beteiligung bestimmter Hautareale wie etwa Gesicht, Capillitium, Intertrigines und Windelbereich dar. Im Gegensatz zur irritativen Windeldermatitis sind bei der Windelpsoriasis auch die Inguinalfalten mit betroffen. Eine Beteiligung von Nägeln oder Gelenken wird bei jeweils bis zu 40 % der Betroffenen beobachtet [12].
In der Regel wird die Diagnose einer Psoriasis vulgaris anhand des typischen klinischen Erscheinungsbildes gestellt. Dennoch können seltenere Psoriasisvarianten und das Auftreten psoriatischer Hautveränderungen an atypischen anatomischen Lokalisationen eine diagnostische Herausforderung darstellen. Bei nicht eindeutigem klinischem Befund ist eine Probebiopsie zur histologischen Diagnosesicherung notwendig.
Die Differenzialdiagnosen umfassen unter anderem das seborrhoische und atopische Ekzem, die Pityriasis rosea, Epidermomykosen oder den Morbus Leiner (Tab. 1).
Tab. 1
Wichtige Differenzialdiagnosen der Psoriasis und deren klinische Unterscheidungsmerkmale. (Mod. nach Blume-Peytavi et al. [2])
Psoriasisform
Differenzialdiagnosen mit Unterscheidungsmerkmalen
Psoriasis vulgaris (nummularis)
Seborrhoisches Ekzem
Erythematöse Plaques mit gelblich-fettiger Schuppung in talgdrüsenreichen Arealen (Kopfhaut, äußeres Ohr, zentrales Gesicht, oberer Stamm, Intertrigines)
Fehlen von Nagelveränderungen
Atopisches Ekzem
Unscharf begrenzte erythematöse Plaques und exkoriierte Papeln
Juckreiz meist stärker als bei der Psoriasis ausgeprägt
Aussparung der Windelregion, Assoziation mit Allergien und Asthma bronchiale
Nummuläres Ekzem
Relativ scharf begrenzte, runde erythematöse Plaques mit Schuppung oder feinen Fissuren zwischen 1 und 10 cm Durchmesser an Stamm und Extremitäten
Aussparung von Gesicht und Kopfhaut
Erythrokeratodermia symmetrica progressiva
Scharf begrenzte erythematöse hyperkeratotische Plaques an Streckseiten der Extremitäten
Psoriasis guttata (exanthematica)
Pityriasis rosea
Akutes Auftreten multipler erythematöser Papeln und Plaques mit Collerette-Schuppung an Stamm und proximalen Extremitäten, häufig Beginn mit „Primärmedaillon“
Meist Aussparung des Gesichts und der Intertrigines
Tinea corporis
Scharf begrenzte rundovale Erytheme oder Plaques mit randbetonter Schuppung oder pustulösem Randsaum und zentralem Auslöschphänomen
Erregernachweis kulturell
Pityriasis lichenoides chronica
Chronisch rezidivierender Verlauf mit Auftreten disseminierter erythematöser Papeln mit zentraler Deckelschuppe an Stamm und Extremitäten
Aussparung des Kopfes
Psoriasis inversa
Intertriginöse Kandidose
Erytheme mit abstreifbaren weißen Belägen, im Randbereich papulopustulöse Satelliten
Erregernachweis mikroskopisch, kulturell
Irritative Windeldermatitis
Scharf begrenzte Rötungen und erythematöse Papeln mit Erosionen oder Mazeration an Gesäß, Genitale, Unterbauch und Oberschenkeln
Aussparung der Hautfalten
Erythrodermatische Psoriasis
Kutane T‑Zell-Lymphome
Erythrodermie und Schuppung mit Lymphadenopathie
Diagnosesicherung histologisch, immunhistologisch
Morbus Leiner
Maximalvariante des seborrhoischen Säuglingsekzems mit Erythrodermie und fettig-lamellöser Schuppung
Diarrhö, Infektneigung und Gedeihstörungen
Kongenitale ichthyosiforme Erythrodermie
Erythrodermie mit heller feiner Schuppung („Kollodiumbaby“)
Gestörte Temperaturregulation mit Neigung zu Hyperthermie
Psoriasis palmoplantaris
Tinea manuum et pedum
Palmoplantare Erytheme, Schuppen mit teilweise Bläschen oder Rhagaden
Erregernachweis kulturell
Psoriasis capitis
Seborrhoisches Säuglingsekzem
Gelblich-fettige Schuppung an der Kopfhaut (frontoparietal) mit mildem Juckreiz, wobei die Stirn‑/Nackenhaargrenze nicht überschritten wird
Häufig Beginn im Gesicht mit erythematösen schuppenden Plaques
Tinea capitis (Mikrosporie)
Meist juckende Alopezieherde mit feinlamellärer Schuppung und Erythem
Erregernachweis mikroskopisch, kulturell
Pityriasis (Tinea) amiantacea
Festhaftende asbestartige Schuppung an Haaren und Kopfhaut
Atopisches Kopfhautekzem
Erytheme, Papulovesikel und Krusten („Milchschorf“) in der Regel ab dem 3. Lebensmonat
Die Grundlage jeder Psoriasisbehandlung bildet die topische Therapie mit begleitender Basistherapie, welche in den meisten Fällen zum Erfolg führen. Eine zumindest 1‑mal tägliche Anwendung wirkstofffreier Externa wird zum Schutz der Hautbarriere empfohlen. Je nach Ausmaß der Schuppung kann eine initiale Keratolyse angezeigt sein, um eine bessere Penetration der nachfolgend applizierten topischen Wirkstoffe gewährleisten zu können.
Topische Glukokortikoide der Klasse II und III werden als Wirkstoffe der ersten Wahl in der Initial- und Erhaltungstherapie der Psoriasis eingesetzt. Im Gesichts- und Genitalbereich sowie intertriginös sollten jedoch weniger potente Glukokortikoide für maximal 2 Wochen appliziert werden und im Anschluss durch topische Calcineurininhibitoren ersetzt werden [4]. Eine zunächst tägliche Applikation topischer Glukokortikoide mit langsamer Dosisreduktion und nachfolgender proaktiver Anwendung hat sich als zielführend erwiesen [1]. Kombinationsbehandlungen (Glukokortikoide plus Vitamin-D-Derivate) kommen als Erstlinientherapie zum Einsatz [1, 10].
Bei schweren Verläufen ist eine Systemtherapie aufgrund unzureichender Wirksamkeit lokaltherapeutischer Maßnahmen notwendig – hier kommen diverse Immunsuppressiva, Biologika und orale Retinoide zum Einsatz.
Als langjährig eingesetztes Medikament bei Erwachsenen als auch pädiatrischen PatientInnen wird Methotrexat (MTX) als Erstlinientherapie der mittelschweren und schweren Plaquepsoriasis empfohlen [1]. Zusätzlich weist MTX ein günstiges Wirkungsprofil bei der Psoriasisarthritis, schweren Verläufen einer Psoriasis guttata sowie pustulösen und erythrodermatischen Verläufen auf [8]. Bei ausschließlich pustulösen Psoriasisformen wird eine Behandlung mit Acitretin, einem aromatischen Retinoid der zweiten Generation, empfohlen [8].
Zur Therapie der Psoriasis im Kindes- und Adoleszentenalter sind die Biologika Adalimumab (ab dem 4. Lebensjahr) sowie Etanercept, Ustekinumab, Ixekizumab und Secukinumab (jeweils ab dem 6. Lebensjahr) zugelassenen [6, 9]. Für weitere Biologika werden derzeit Phase-III-Studien zur Therapie der pädiatrischen Psoriasis durchgeführt [9].
Regelmäßiges Screening auf mögliche kardiovaskuläre, metabolische als auch psychiatrische Komorbiditäten sowie eine frühzeitige Intervention und begleitende psychosoziale Unterstützung runden den Therapieplan ab [6]. Eine Übersicht der Therapieoptionen im Kindes- und Jugendalter ist in Abb. 3 angeführt.
Abb. 3
Therapieoptionen der Psoriasis vulgaris im Kindes- und Jugendalter. 1Bei nicht ausreichendem Therapieerfolg, Unverträglichkeit, Kontraindikation gegenüber anderen topischen Therapieoptionen. 2Bei nicht ausreichendem Therapieerfolg, Unverträglichkeit, Kontraindikation von Adalimumab oder MTX. 3Bei nicht ausreichendem Therapieerfolg, Unverträglichkeit, Kontraindikation anderer systemischer Therapieoptionen. Asterisk Fehlende Zulassung für die Indikation Psoriasis. (Mod. nach Eisert et al. [5])
Bild vergrößern

Fazit für die Praxis

  • Die Plaquepsoriasis bildet die häufigste Erscheinungsform der Psoriasis vulgaris im Kindes- und Jugendalter.
  • Die Diagnose wird in der Regel klinisch gestellt. Seltene Psoriasisvarianten und das Auftreten psoriatischer Hautveränderungen an atypischen anatomischen Lokalisationen erfordern eine Probebiopsie.
  • In den meisten Fällen sind lokaltherapeutische Maßnahmen für einen Therapieerfolg ausreichend.

Einhaltung ethischer Richtlinien

Interessenkonflikt

V. Gruber, W. Weger, L. Cerroni und B. Binder geben an, dass kein Interessenkonflikt besteht.
Für diesen Beitrag wurden von den Autoren keine Studien an Menschen oder Tieren durchgeführt. Für die aufgeführten Studien gelten die jeweils dort angegebenen ethischen Richtlinien. Für Bildmaterial oder anderweitige Angaben innerhalb des Manuskripts, über die Patienten zu identifizieren sind, liegt von ihnen und/oder ihren gesetzlichen Vertretern eine schriftliche Einwilligung vor.
Open Access Dieser Artikel wird unter der Creative Commons Namensnennung 4.0 International Lizenz veröffentlicht, welche die Nutzung, Vervielfältigung, Bearbeitung, Verbreitung und Wiedergabe in jeglichem Medium und Format erlaubt, sofern Sie den/die ursprünglichen Autor(en) und die Quelle ordnungsgemäß nennen, einen Link zur Creative Commons Lizenz beifügen und angeben, ob Änderungen vorgenommen wurden.
Die in diesem Artikel enthaltenen Bilder und sonstiges Drittmaterial unterliegen ebenfalls der genannten Creative Commons Lizenz, sofern sich aus der Abbildungslegende nichts anderes ergibt. Sofern das betreffende Material nicht unter der genannten Creative Commons Lizenz steht und die betreffende Handlung nicht nach gesetzlichen Vorschriften erlaubt ist, ist für die oben aufgeführten Weiterverwendungen des Materials die Einwilligung des jeweiligen Rechteinhabers einzuholen.
Weitere Details zur Lizenz entnehmen Sie bitte der Lizenzinformation auf http://creativecommons.org/licenses/by/4.0/deed.de.

Unsere Produktempfehlungen

Die Dermatologie

Print-Titel

Aktuelle, praxisnahe Leitthemen verständlich aufbereitet

Von Allergologie bis Venerologie

Fortbildung für Klinik und Praxis

e.Med Interdisziplinär

Kombi-Abonnement

Für Ihren Erfolg in Klinik und Praxis - Die beste Hilfe in Ihrem Arbeitsalltag

Mit e.Med Interdisziplinär erhalten Sie Zugang zu allen CME-Fortbildungen und Fachzeitschriften auf SpringerMedizin.de.

Jetzt bestellen und im ersten Jahr 100 € sparen!

© Springer Medizin


e.Dent – Das Online-Abo der Zahnmedizin

Online-Abonnement

Mit e.Dent erhalten Sie Zugang zu allen zahnmedizinischen Fortbildungen und unseren zahnmedizinischen und ausgesuchten medizinischen Zeitschriften.

Weitere Produktempfehlungen anzeigen
download
DOWNLOAD
print
DRUCKEN
Titel
Ungewöhnliche Präsentation einer Psoriasis vulgaris bei einem 11-jährigen Patienten
Verfasst von
Viktoria Gruber
Wolfgang Weger
Lorenzo Cerroni
PD Dr. med. univ. Barbara Binder
Publikationsdatum
05.01.2022
Verlag
Springer Medizin
Erschienen in
Die Dermatologie / Ausgabe 8/2022
Print ISSN: 2731-7005
Elektronische ISSN: 2731-7013
DOI
https://doi.org/10.1007/s00105-021-04933-y
1.
Zurück zum Zitat AWMF online (2018) S2k-Leitlinie Therapie der Psoriasis bei Kindern und Jugendlichen. https://www.awmf.org/uploads/tx_szleitlinien/013-094l_S2k_Therapie-Psoriasis-Kinder-Jugendliche_2019-07.pdf. Zugegriffen: 21. Sept. 2021
2.
Zurück zum Zitat Blume-Peytavi U et al (2018) Atlas der pädiatrischen Dermatologie, S 392–394CrossRef
3.
Zurück zum Zitat Bronckers IM, Paller AS, van Geel MJ, van de Kerkhof PC, Seyger MM (2015) Psoriasis in children and adolescents: diagnosis, management and comorbidities. Paediatr Drugs 17(5):373–384CrossRef
4.
Zurück zum Zitat Brune A, Miller DW, Lin P, Cotrim-Russi D, Paller AS (2007) Tacrolimus ointment is effective for psoriasis on the face and intertriginous areas in pediatric patients. Pediatr Dermatol 24(1):76–80CrossRef
5.
Zurück zum Zitat Eisert L et al (2019) S2k-Leitlinie zur Therapie der Psoriasis bei Kinder und Jugendlichen, S 864
6.
Zurück zum Zitat Mahé E (2020) Optimal management of plaque psoriasis in adolescents: current perspectives. Psoriasis (Auckl) 10:45–56
7.
Zurück zum Zitat Morris A, Rogers M, Fischer G, Williams K (2001) Childhood psoriasis: a clinical review of 1262 cases. Pediatr Dermatol 18(3):188–198CrossRef
8.
Zurück zum Zitat Napolitano M, Megna M, Balato A, Ayala F, Lembo S, Villani A et al (2016) Systemic treatment of pediatric psoriasis: a review. Dermatol Ther (Heidelb) 6(2):125–142CrossRef
9.
Zurück zum Zitat Nogueira M, Paller AS, Torres T (2021) Targeted therapy for pediatric psoriasis. Paediatr Drugs 23(3):203–212. https://doi.org/10.1007/s40272-021-00443-5CrossRefPubMed
10.
Zurück zum Zitat Oquendo M, Abramovits W, Morrell P (2012) Topical vitamin D analogs available to treat psoriasis. SKINmed 10(6):356–360PubMed
11.
Zurück zum Zitat Relvas M, Torres T (2017) Pediatric psoriasis. Am J Clin Dermatol 18(6):797–811CrossRef
12.
Zurück zum Zitat Tollefson MM (2014) Diagnosis and management of psoriasis in children. Pediatr Clin North Am 61(2):261–277CrossRef

Die CME App von Springer Medizin

CME-Punkte sammeln leicht gemacht – Fortbildung, wann und wo Sie wollen

Die CME-App bietet einen schnellen Zugang zu über 500 zertifizierten medizinischen Fortbildungen aus Springer-Publikationen und deckt über 35 Fachbereiche ab. Sie gibt einen perfekten Überblick über das Kursangebot, ermöglicht einfaches Vormerken, Teilnehmen und CME-Punkte-Sammeln.
 

Laden im App Store        Laden bei Google Play

Mehr Infos

Passend zum Thema

ANZEIGE

Wenn Kortison Angst macht

Patienten mit Ekzemen gehören zum Alltag in der Hausarztpraxis - doch die Angst vor Kortison verunsichert viele Betroffene. Mit einem klaren Behandlungsplan und verständlicher Aufklärung lassen sich Unsicherheiten vermeiden und Patienten mit atopischer Dermatitis sicher, nachhaltig und leitliniengerecht begleiten.

ANZEIGE

Ein Meilenstein für mehr Sicherheit bei beruflich bedingtem Hautkrebs (BK 5103)

Lichtschutz ist zentral für die Prävention arbeitsbedingter Dermatosen. Mit der BG-Zertifizierung ist Anthelios UVMune 400 Invisible Fluid von La Roche-Posay nun das erste und einzige erstattungsfähige Präparat für diese Indikation – bei nachgewiesenem Schutz auf höchstem Niveau.


ANZEIGE

La Roche-Posay erweitert Effaclar-Linie: Neues Pflegeprodukt für erwachsene Akne-Patienten

Spätakne ist in der dermatologischen Praxis eine häufige, aber oft unterschätzte Indikation. Sie unterscheidet sich in Lokalisation, Pathophysiologie und Hautbeschaffenheit von Akne im Jugendalter. Ein neuer Drei-Säuren-Komplex adressiert diese speziellen Anforderungen erwachsener Haut.

ANZEIGE

Neueste Erkenntnisse zum Hautmikrobiom: vier Experten im Gespräch

  • Content Hub

Die Experten Prof. Luger (Münster), Prof. Zuberbier (Berlin), Prof. Thaçi (Lübeck) und PD Dr. Jansen (Essen) erörtern im von La Roche-Posay unterstützen Expertenworkshop die Bedeutung des Mikrobioms für verschiedene Hautkrankheiten wie atopische Dermatitis, Akne oder Rosazea.

La Roche-Posay
Bildnachweise
Lokalbefund an der Gesäßfalte mit konfluierenden Plaques/© V. Gruber et al. / all rights reserved Springer Medizin Verlag GmbH, CME App, Patientin im Gespräch mit Ärztin/© bnenin | AdobeStock (Symbolbild mit Fotomodellen), La Roche-Posay Anthelios UVMune 400/© La Roche-Posay, Hand im Handschuh greift Effaclar Dose/© La Roche-Posay , Bild für CH/© L'Oréal Deutschland GmbH