Zum Inhalt

Abfall von Sauerstoffsättigung und Blutdruck sowie Anstieg des zentralen Venendrucks im Rahmen eines Mitralklappenclippings bei einer 81-Jährigen

Erschienen in:
download
DOWNLOAD
print
DRUCKEN
insite
SUCHEN

Zusammenfassung

Hintergrund

Atriumseptumdefekte (ASD) im Rahmen eines endovaskulären Mitralklappenclippings sind potenziell hämodynamisch relevante Komplikationen. Ein sofortiger Verschluss mittels Okkluder kann eine sichere und effektive Therapie darstellen.

Fallzusammenfassung

Eine 81-jährige Patientin mit schwerer Dyspnoe bei vorbekannter hochgradiger Mitralklappeninsuffizienz wurde zum elektiven Mitralklappenclipping vorgestellt. Die Clipimplantation verlief komplikationslos. Nach Entfernung der transseptalen Schleuse kam es zu einem plötzlichen Abfall der Sauerstoffsättigung und des Blutdrucks sowie zu einem sofortigen Anstieg des zentralen Venendrucks. Es zeigte sich ein iatrogener Links-rechts-Shunt auf Vorhofebene mit relevantem Shuntvolumen. Daraufhin erfolgte der sofortige Verschluss mittels Vorhofseptumokkluder, was zu einer unmittelbaren Besserung der Kreislaufparameter und der Sauerstoffsättigung führte.

Schlussfolgerung

Ein Anstieg des zentralen Venendrucks, ein Blutdruckabfall oder Sättigungsabfall nach Rückzug der transseptalen steuerbaren Schleuse im Rahmen des Mitralklappenclippings sollte bezüglich eines möglichen ASD abgeklärt werden.

Redaktion

H. Haller, Hannover (Schriftleitung)
B. Salzberger, Regensburg
C.C. Sieber, Nürnberg

DICOM-Material online

Den Fall finden Sie als DICOM-Studie mit weiteren relevanten Bildinformationen auf Springermedizin.de unter folgendem Link: https://www.springermedizin.de/link/20082512.
QR-Code scannen & Beitrag online lesen

Anamnese

Eine 81 Jahre alte Patientin stellte sich in unserer Abteilung zum elektiven Mitralklappenclipping bei hochgradiger Mitralklappeninsuffizienz aufgrund eines partiellen Sehnenfadenabrisses vor. Die Patientin war bereits zuvor bei hochgradiger Aortenklappenstenose mit einer transarteriellen Aortenklappenprothese versorgt worden. Postprozedural blieb jedoch eine Belastungsdyspnoe bei leichter Belastung bestehen. Des Weiteren lagen eine bekannte koronare 3‑Gefäß-Erkrankung, paroxysmales Vorhofflimmern, eine noch nicht weiter abgeklärte Struma multinodosa, eine Gichtarthropathie sowie ein kompletter Linksschenkelblock bei Aufnahme vor. Aufgrund von persistierender Belastungsdyspnoe, peripheren Ödemen sowie deutlich erhöhtem Operationsrisiko hinsichtlich eines herzchirurgischen Eingriffs wurde beschlossen, eine endovaskuläre Mitralklappenrekonstruktion mittels Clip durchzuführen.

Diagnostik

In der transösophagealen Echokardiographie zeigte sich eine deutlich exzentrische, hochgradige Mitralklappeninsuffizienz aufgrund eines partiellen Sehnenfadenabrisses im Segment P2 mit einem nach posterior gerichteten Jet (Abb. 1 und 2). Des Weiteren zeigten sich eine gute systolische linksventrikuläre Funktion und kein Hinweis auf einen Shunt auf Vorhofebene. Eine echokardiographische Abklärung des rechten Ventrikels ergab eine visuell leicht reduzierte Funktion bei einer reduzierten Anulusgeschwindigkeit von 7 cm/s, jedoch noch erhaltener longitudinaler rechtsventrikulärer Funktion („tricuspid annular plane systolic excursion“ 2 cm). Des Weiteren wurde eine mittelgradige Trikuspidalklappeninsuffizienz bei Anulusdilatation festgestellt.
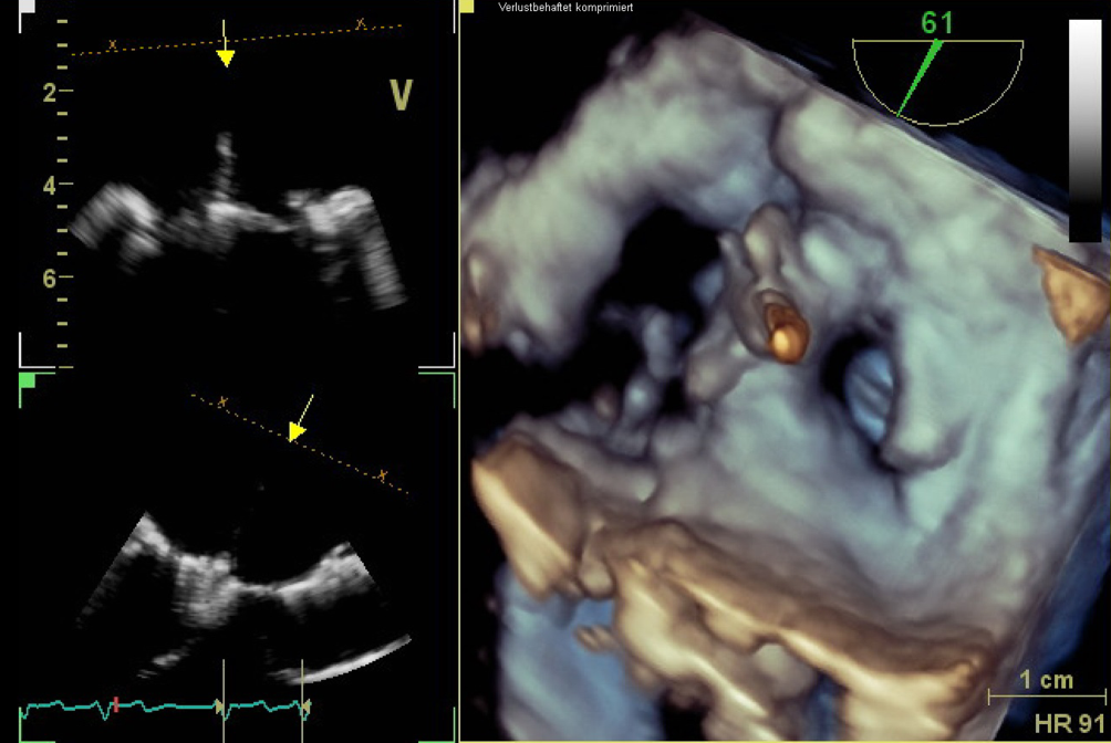
Abb. 1
Transösophageale Echokardiographie. 3‑D-Ansicht mit Aufsicht auf die Mitralklappe. Zu sehen ist der Sehnenfadenabriss im Segment P2
Bild vergrößern
Abb. 2
Transösophageale Echokardiographie. 2‑D-Ansicht im 3‑Kammer-Blick auf die Mitralklappeninsuffizienz mit nach posterior gerichtetem Jet
Bild vergrößern

Diagnose I

  • Hochgradige Mitralklappeninsuffizienz aufgrund eines partiellen Sehnenfadenabrisses im Segment P2 mit einem nach posterior gerichteten Jet

Therapie

Die endovaskuläre Mitralklappenrekonstruktion wurde unter Vollnarkose begonnen. Der zentrale Venendruck zu Beginn des Eingriffs betrug 12 mm Hg bei einer Sauerstoffsättigung von 100 % und einem Blutdruck von 140/80 mm Hg. Es erfolgten die Punktion der rechten V. femoralis und Einlage einer 7 F-Schleuse mit anschließender transseptaler Punktion und Einlage einer PASCAL Guide Sheath (Edwards Lifesciences, Irvine, CA, USA). Es folgte die erfolgreiche Implantation eines PASCAL-Clips (Edwards Lifesciences) zwischen den Segmenten A2 und P2 (Abb. 3). Es zeigte sich eine adäquate Reduktion der Mitralklappeninsuffizienz nach Clipimplantation mit einer verbleibenden leicht- bis mittelgradigen Insuffizienz (Abb. 4). Die Untersuchung mit dem Continuous-wave-Doppler ergab keinen Hinweis auf eine relevante Stenosewirkung bei einem mittleren Druckgradienten von 4,36 mm Hg.
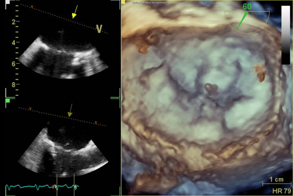
Abb. 3
Transösophageale Echokardiographie. 3‑D-Ansicht mit Aufsicht auf die Mitralklappe. Zu sehen ist das PASCAL-Device (Edwards Lifesciences) zwischen den Segmenten A2 und P2
Bild vergrößern
Abb. 4
Transösophageale Echokardiographie. 2‑D-Ansicht im 4‑Kammer-Blick mit Farbdopplerdarstellung der Mitralklappeninsuffizienz nach PASCAL-Implantation (Edwards Lifesciences)
Bild vergrößern
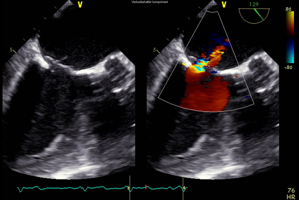
Nach Rückzug der transseptalen Schleuse kam es zu einem Anstieg des zentralen Venendrucks auf 20 mm Hg, einem Abfall des systolischen Blutdrucks auf 90 mm Hg sowie einem Abfall der Sauerstoffsättigung auf 80 %. In der transösophagealen Echokardiographie zeigte sich ein Atriumseptumdefekt mit einem relevanten Links-rechts-Shunt (Abb. 5). Es erfolgte der sofortige Verschluss mittels Vorhofseptumokkluder (GORE Septal Occluder 30 mm, Gore, Flagstaff, AZ, USA; Abb. 6). Hiernach zeigte sich kein Hinweis auf einen Restshunt auf Vorhofebene. Der zentrale Venendruck fiel auf 11 mm Hg, Blutdruck und Sauerstoffsättigung normalisierten sich.
Abb. 5
Transösophageale Echokardiographie. 2‑D-Ansicht in der kurzen Achse. Zu sehen ist der iatrogene Links-rechts-Shunt auf Vorhofebene
Bild vergrößern
Abb. 6
Transösophageale Echokardiographie. 2‑D-Ansicht in der kurzen Achse mit biplaner Darstellung. Zu sehen ist das implantierte GORE-Septal-Device (Gore) auf Vorhofebene
Bild vergrößern

Diagnose II

  • Iatrogener Atriumseptumdefekt mit relevantem Links-rechts-Shunt nach endovaskulärer Mitralklappenrekonstruktion

Verlauf

Die Patientin wurde für 24 h auf unserer kardiologischen Intensivstation überwacht und konnte anschließend auf unsere Normalstation verlegt werden. Weitere echokardiographische Kontrollen ergaben eine bleibende Reduktion der Mitralklappeninsuffizienz sowie keinen erneuten Hinweis auf einen Atriumseptumdefekt. Die Patientin stellte sich zur Verlaufskontrolle 4 Wochen nach Intervention in unserer Ambulanz vor. Es zeigte sich eine deutliche Besserung der Belastungsdyspnoe.

Diskussion

Iatrogene Atriumseptumdefekte als Folge der transseptalen Punktion im Rahmen einer endovaskulären Mitralklappenrekonstruktion treten häufig auf, allerdings meist ohne weitere Folgen für den Patienten. In seltenen Fällen können jedoch auch relevante klinische Langzeitschäden durch eine dauerhafte Rechtsherzbelastung oder aber akute Komplikationen auftreten [1]. Solche akuten Komplikationen können bedingt durch die Entfernung der transseptalen Schleuse auftreten und ein akutes Rechtsherzversagen auslösen, erkennbar an einer rechtsventrikulären Dilatation, einer Abnahme der longitudinalen rechtsventrikulären Funktion oder auch einem Abfall der Sauerstoffsättigung [25]. Bisherige Fallberichte konnten bereits den Nutzen eines endovaskulären Verschlusses iatrogener Atriumseptumdefekte nach Mitralklappenclipping zeigen [2, 3, 5].
Während einer Mitralklappenrekonstruktion ist ein ständiges hämodynamisches Monitoring wichtig
Unser Fallbeispiel zeigt die Wichtigkeit des ständigen hämodynamischen Monitorings während einer Mitralklappenrekonstruktion. Ein plötzlicher Anstieg des zentralen Venendrucks bzw. ein Abfall der rechtsventrikulären Funktion, der Sauerstoffsättigung oder des Blutdrucks sollte immer zur Abklärung eines möglichen Shunts auf Vorhofebene führen. Der sofortige Verschluss eines hämodynamisch relevanten Shunts mittels Okkluder-Device stellt eine sichere und schnelle Therapie dieser Komplikation dar.

Fazit für die Praxis

  • Ständiges hämodynamisches Monitoring während einer Mitralklappenrekonstruktion ist eine wichtige Überwachungsmaßnahme.
  • Ein plötzlicher Anstieg des zentralen Venendrucks bzw. eine Abnahme der rechtsventrikulären Funktion oder der Sauerstoffsättigung sollte an einen Shunt auf Vorhofebene denken lassen.
  • Der sofortige Verschluss mittels Okkluder-Device ist eine sichere und schnelle Therapieoption.

Einhaltung ethischer Richtlinien

Interessenkonflikt

M.J. Volz, M. Aurich, M. Konstandin, H.A. Katus, N. Frey, M.M. Kreusser und P.W. Raake geben an, dass kein Interessenkonflikt besteht.
Für diesen Beitrag wurden von den Autoren keine Studien an Menschen oder Tieren durchgeführt. Für die aufgeführten Studien gelten die jeweils dort angegebenen ethischen Richtlinien. Für Bildmaterial oder anderweitige Angaben innerhalb des Manuskripts, über die Patienten zu identifizieren sind, liegt von ihnen und/oder ihren gesetzlichen Vertretern eine schriftliche Einwilligung vor.
Open Access Dieser Artikel wird unter der Creative Commons Namensnennung 4.0 International Lizenz veröffentlicht, welche die Nutzung, Vervielfältigung, Bearbeitung, Verbreitung und Wiedergabe in jeglichem Medium und Format erlaubt, sofern Sie den/die ursprünglichen Autor(en) und die Quelle ordnungsgemäß nennen, einen Link zur Creative Commons Lizenz beifügen und angeben, ob Änderungen vorgenommen wurden.
Die in diesem Artikel enthaltenen Bilder und sonstiges Drittmaterial unterliegen ebenfalls der genannten Creative Commons Lizenz, sofern sich aus der Abbildungslegende nichts anderes ergibt. Sofern das betreffende Material nicht unter der genannten Creative Commons Lizenz steht und die betreffende Handlung nicht nach gesetzlichen Vorschriften erlaubt ist, ist für die oben aufgeführten Weiterverwendungen des Materials die Einwilligung des jeweiligen Rechteinhabers einzuholen.
Weitere Details zur Lizenz entnehmen Sie bitte der Lizenzinformation auf http://creativecommons.org/licenses/by/4.0/deed.de.
download
DOWNLOAD
print
DRUCKEN
Titel
Abfall von Sauerstoffsättigung und Blutdruck sowie Anstieg des zentralen Venendrucks im Rahmen eines Mitralklappenclippings bei einer 81-Jährigen
Verfasst von
Dr. med. Martin J. Volz
Matthias Aurich
Mathias Konstandin
Hugo A. Katus
Norbert Frey
Michael M. Kreusser
Philip W. Raake
Publikationsdatum
07.02.2022
Verlag
Springer Medizin
Erschienen in
Die Innere Medizin / Ausgabe 4/2022
Print ISSN: 2731-7080
Elektronische ISSN: 2731-7099
DOI
https://doi.org/10.1007/s00108-021-01241-4
1.
Zurück zum Zitat Schueler R, Öztürk C, Wedekind JA, Werner N, Stöckigt F, Mellert F, Nickenig G, Hammerstingl C (2015) Persistence of iatrogenic atrial septal defect after interventional mitral valve repair with the MitraClip system: a note of caution. JACC Cardiovasc Interv 8(3):450–459. https://doi.org/10.1016/j.jcin.2014.10.024CrossRefPubMed
2.
Zurück zum Zitat Yeh L, Mashari A, Montealegre-Gallegos M, Mujica F, Jeganathan J, Mahmood F (2017) Immediate closure of iatrogenic ASD after Mitraclip procedure prompted by acute right ventricular dysfunction. J Cardiothorac Vasc Anesth 31(4):1304–1307. https://doi.org/10.1053/j.jvca.2017.02.034CrossRefPubMed
3.
Zurück zum Zitat Al’Aref SJ, Bergman G, Wong SC (2016) Atrial septal defect closure for right-to-left shunting following a Mitraclip repair. J Invasive Cardiol 28(9):E80–E81PubMed
4.
Zurück zum Zitat Losi MA, Strisciuglio T, Stabile E, Castellano G, de Amicis V, Saccenti A, Maresca G, Santoro C, Izzo R, Barbato E, Esposito G, Trimarco B, Rapacciuolo A (2015) Iatrogenic atrial septal defect (iASD) after MitraClip system delivery: The key role of PaO2/FiO2 ratio in guiding post-procedural iASD closure. Int J Cardiol 197:85–86. https://doi.org/10.1016/j.ijcard.2015.06.026CrossRefPubMed
5.
Zurück zum Zitat Huntgeburth M, Müller-Ehmsen J, Baldus S, Rudolph V (2013) Postinterventional iatrogenic atrial septal defect with hemodynamically relevant left-to-right and right-to-left shunt as a complication of successful percutaneous mitral valve repair with the MitraClip. Int J Cardiol 168(1):e3–e5. https://doi.org/10.1016/j.ijcard.2013.05.018CrossRefPubMed

Kompaktes Leitlinien-Wissen Innere Medizin (Link öffnet in neuem Fenster)

Mit medbee Pocketcards schnell und sicher entscheiden.
Leitlinien-Wissen kostenlos und immer griffbereit auf ihrem Desktop, Handy oder Tablet.

Neu im Fachgebiet Innere Medizin

Demografische Variablen mit dem Rezidivrisiko bei Darmpolypen assoziiert

Bei der Festlegung der Intervalle für Kontrollkoloskopien nach einer Polypektomie sollten nicht ausschließlich polypenbezogene Merkmale berücksichtigt werden. Wie eine internationale Studie zeigt, beeinflussen auch individuelle demografische Faktoren, wie Geschlecht, Body-Mass-Index und Ethnie, das Rezidivrisiko.

Ist die Mundmikrobiota mit Pankreaskrebs assoziiert?

In einer Kohortenstudie wurde ein Zusammenhang zwischen oralen Bakterien und Pilzen und dem Auftreten von Pankreaskarzinomen gesehen. Diese Assoziation könnte helfen, Patientinnen und Patienten für gezielte Vorsorgeuntersuchungen ausfindig zu machen.

Herzstillstand beim Marathon: Die letzten Meter sind die gefährlichsten!

Ein Team aus Frankreich hat Fälle von plötzlichem Herzstillstand während des Paris-Marathons ausgewertet. In fast 90% waren Männer betroffen, und zwar überwiegend auf dem letzten Kilometer vor dem Ziel.

BMI-angepasste NT-proBNP-Schwelle bringt keinen Nutzen

Patienten mit Adipositas weisen erniedrigte Spiegel des N-terminalen pro-B-Typ-natriuretischen Peptids (NT-ProBNP) auf. Ob sich das auf die NT-proBNP-gestützte Diagnostik von Herzinsuffizienz auswirkt, haben britische Mediziner untersucht.

Update Innere Medizin

Bestellen Sie unseren Fach-Newsletter und bleiben Sie gut informiert.

Bildnachweise
3-D-Ansicht mit Aufsicht auf die Mitralklappe. Zu sehen ist der Sehnenfadenabriss im Segment P2/© Martin J. Volz et al. / all rights reserved Springer Medizin Verlag GmbH, Die Leitlinien für Ärztinnen und Ärzte, Vorbereitung für Koloskopie/© Eugene Nekrasov / Getty Images / iStock (Symbolbild mit Fotomodellen), Eine Speichelprobe wird entnommen/© Animaflora PicsStock / stock.adobe.com (Symbolbild mit Fotomodell), Menschen bei einer Laufveranstaltung/© TeamDaf / stock.adobe.com (Symbolbild mit Fotomodellen)