Zum Inhalt

Neuroonkologie Interdisziplinäre Behandlungsstrategien bei Hirnmetastasierung

  • 21.02.2024
  • Metastasen
  • Zertifizierte Fortbildung Neurologie
Erschienen in:

Auszug

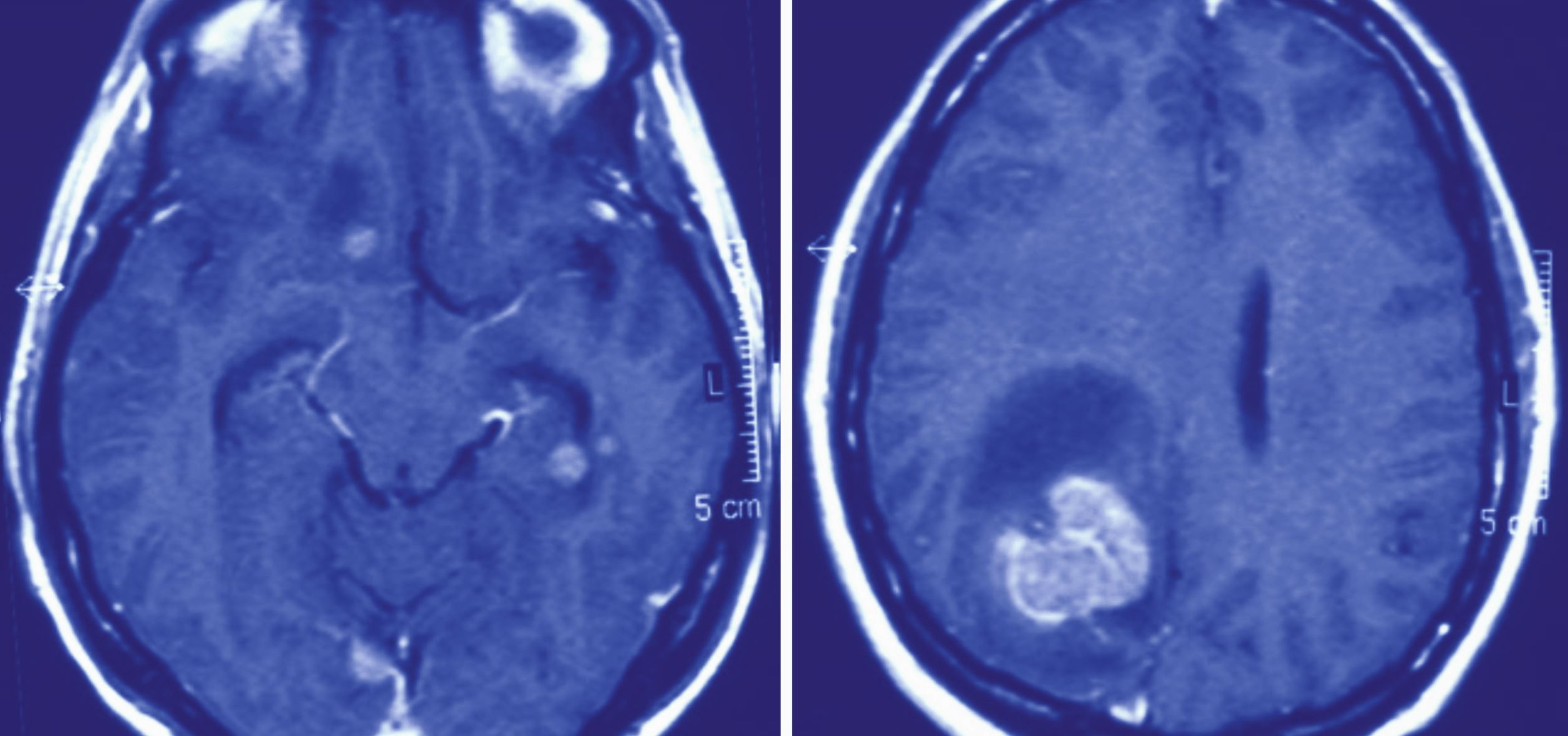
Hirnmetastasen sind die häufigsten Hirntumoren im Erwachsenenalter. Die Standardtherapie umfasst neurochirurgische und strahlentherapeutische Ansätze sowie medikamentöse Therapien in Abstimmung auf den Primarius. Dabei gewinnen biologische und pharmakologische Aspekte, die spezifisch für das ZNS sind, zunehmend an Bedeutung. Dieser Artikel gibt einen Überblick über den aktuellen Therapiestandard.
© Zeiner P. et al.
Bild vergrößern
Titel
Neuroonkologie
Interdisziplinäre Behandlungsstrategien bei Hirnmetastasierung
Verfasst von
PD Dr. med. Pia Zeiner
Prof. Dr. med. Claus Rödel
Prof. Dr. med. Marcus Czabanka
Prof. Dr. med. Joachim Steinbach
Publikationsdatum
21.02.2024
Dieser Inhalt ist nur sichtbar, wenn du eingeloggt bist und die entsprechende Berechtigung hast.

Passend zum Thema

Kongressdossier zum Deutschen Krebskongress 2026

18. - 21. Februar 2026 | Berlin
Auf dieser Seite werden wir Sie mit tagesaktuellen Berichten vom Deutschen Krebskongress auf dem Laufenden halten. Vor dem Start des Kongresses finden Sie hier zudem Ausblicke auf spannende Themen, die vor Ort diskutiert werden. Expertinnen und Experten erzählen, auf welche DKK-Sessions sie sich besonders freuen.

Bildnachweise
Hirnmetastase eines nichtkleinzelligen Lungenkarzinoms frontal rechts/© Diehl, C., Combs, S.E. / all rights reserved Springer Medizin Verlag GmbH, Berlin/© amyrxa / stock.adobe.com