Zum Inhalt

Sehnenschmerz durch Ciprofloxacin: Nach sieben Jahren endlich geheilt

Nach zwei antibiotischen Behandlungen mit einem Fluorchinolon litt ein 69-Jähriger sieben Jahre lang unter extremen Schmerzen in beiden Achillessehnen. Nichts half, bis ein Klinikteam auf die Idee kam, es mit einer speziellen Kombinationsbehandlung zu versuchen. 

weiterlesen

Weiterführende Themen

CME: Schwindel im Alter

Schwindel im Alter hat oft vielfältige Ursachen, die sich von denen jüngerer Betroffener unterscheiden. Entsprechend gründlich müssen Anamnese und Diagnostik sein. Wie Sie dem Schwindel auf den Grund kommen und ihn therapieren, lesen Sie im folgenden CME-Artikel.

weiterlesen

Sehnenschmerz durch Ciprofloxacin: Nach sieben Jahren endlich geheilt

Nach zwei antibiotischen Behandlungen mit einem Fluorchinolon litt ein 69-Jähriger sieben Jahre lang unter extremen Schmerzen in beiden Achillessehnen. Nichts half, bis ein Klinikteam auf die Idee kam, es mit einer speziellen Kombinationsbehandlung zu versuchen. 

weiterlesen

Kasuistiken

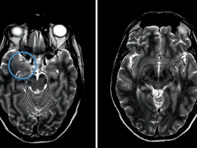
Onkologischer Patient mit Verwirrtheit, Amnesie, Ataxie - Ihre Diagnose?

Jede neuropsychiatrische Symptomatik bei Personen unter Immuncheckpointinhibition verlangt eine umgehende Abklärung. So auch bei diesem 67-jährigen Patienten mit malignem Melanom. Klinisch-neurologisch zeigte er Orientierungslosigkeit, Kurzzeitgedächtnisstörungen, kognitive Verlangsamung, leichte Stand- und Gangataxie sowie einen Tremor.

Ayurvedischer Leberschaden

Bei einem hausärztlichen Check-up fiel bei einer 56-jährigen Patientin eine deutliche Transaminasenerhöhung auf. Beschwerden habe sie keine. Sie erzählte allerdings von einem absolvierten Ayurvedaseminar vor sechs Monaten. Seitdem nehme sie täglich einen Löffel Guduchi (Tinospora cordifolia) ein – mit Folgen für die Leber.

Nekrosen am Bauch nach Herzklappenoperation

Eine nach langem Klinikaufenthalt abgemagerte Patientin plagten starke Bauchschmerzen. Die übriggebliebene Fettschürze war verhärtet, extrem druckempfindlich und zeigte eine livide, unregelmässige Gefäßzeichnung. Ein Verdacht stand schnell im Raum, doch die Diagnostik verlief schleppend.

Weitere Artikel aus unseren Fachzeitschriften

Übergewicht unter Psychopharmakotherapie? Das können Sie tun

Vor allem Therapien mit Antipsychotika, Antidepressiva und Stimmungsstabilisatoren gehen häufig mit der Nebenwirkung „Übergewicht“ einher. Einige Patientinnen und Patienten nehmen innerhalb von wenigen Monaten über 20 kg zu. Wird das Thema rechtzeitig und aktiv angegangen, lässt sich präventiv einiges erreichen.

Update onkologische Sport- und Bewegungstherapie

Inzwischen ist der Nutzen von körperlicher Aktivität und Bewegungstherapie bei Krebskranken durch Studien gut belegt. Aber es gibt in Deutschland durchaus noch Hürden für die Versorgung in der Breite. Welche Effekte hat Bewegung auf Nebenwirkungen und Prognose? Wie lauten aktuelle Empfehlungen? Und wie kann der Zugang zu evidenzbasierten Angeboten erleichtert werden?

Frailty und Pharmakotherapie: Tipps zum Medikationsmanagement

Ältere Patienten mit Frailty zeigen eine gesteigerte Vulnerabilität für negative Gesundheitsereignisse, die unter anderem als Folge von unerwünschten Arzneimittelwirkungen eintreten. Angesichts der komplexen klinischen Bedarfe älterer Patienten mit Frailty sollte in dieser Population ein fokussiertes Medikationsmanagement erfolgen.

Single Pill – was ist gesichert und wie sieht die Wirklichkeit aus?

Der Einsatz von Single Pills, also Kombinationstherapien mit einer einzigen Tablette, wird unterstützt durch Untersuchungen zur Therapieadhärenz und mittlerweile auch durch Studien zu kardiovaskulären Endpunkten. In der vorliegenden Übersicht sollen diese Entwicklungen kritisch diskutiert werden.

Alte und neue PPAR-Agonisten: Welche können Sie bei PBC einsetzen?

Agonisten der Peroxisom-Proliferator-aktivierten Rezeptoren (PPAR), insbesondere Bezafibrat, werden in der klinischen Praxis bereits erfolgreich zur Zweitlinienbehandlung der primär biliären Cholangitis (PBC) eingesetzt, sind für diese Indikation jedoch nicht zugelassen. In Deutschland bedingt zugelassen sind die neuen, gezielt entwickelten PPAR-Agonisten Elafibranor und Seladelpar. Ein Überblick.

Antibiotika bei Krebs: Darauf sollten Sie achten

Studien zeigen, dass Antimicrobial-Stewardship(AMS)-Programme auch in der Onkologie die Versorgungsqualität verbessern können, ohne die Patientensicherheit zu gefährden. Ein rationaler Einsatz von Antibiotika kann zudem die Wirksamkeit von Krebstherapien positiv beeinflussen. Hier eine aktuelle Übersicht zu empfohlenen AMS-Maßnahmen bei immunsupprimierten Krebskranken – mit konkreten Beispielen.

Management der pulmonalarteriellen Hypertonie

Dieser Beitrag gibt einen Überblick über den aktuellen Therapiealgorithmus bei pulmonalarterieller Hypertonie (PAH) – inklusive der Bedeutung einer strukturierten Risikostratifikation, frühzeitigen Reevaluierung und Therapieeskalation. Darüber hinaus werden besondere Situationen wie Schwangerschaft, perioperative Betreuung und Komorbiditäten adressiert.

Wenn Heilung Zeit braucht – postakute Syndrome in der Pädiatrie

Wenn ein Kind nach einer Krankheit oder Impfung nicht mehr so belastbar ist oder unter postexertioneller Malaise leidet, sollten Sie an das postakute Infektions- und Vakzinierungssyndrom (PAIVS) denken. Hier erhalten Sie eine Übersicht zu Diagnose und Versorgung von PAIVS, untermauert von Leitlinien, der Long-COVID-Richtlinie und Konsensuspapieren.

Gewichtsreduktion mit Inkretinmimetika – Chancen und Risiken

Adipositas betrifft in Deutschland aktuell – ohne geschlechtsspezifische Unterschiede – ein Viertel der Bevölkerung. Mit den Glucagon-like-peptide-1(GLP-1)-Rezeptor-Agonisten steht seit einiger Zeit eine Wirkstoffklasse zur effektiven Gewichtreduktion zur Verfügung. Welche Chancen und Risiken bieten diese Substanzen?

Kalkulierte Antibiotikatherapie bei Sepsis & Co. – so gehen Sie vor

Wie wählen Sie bei kritisch Kranken mit schwerer Infektion die jeweils passende Substanz – in der richtigen Dosierung, Applikationsform und Therapiedauer? Ein klinisches Fallbeispiel zeigt, worauf es ankommt: aktuelle Konzepte und Kontroversen sowie die wichtigsten Informationen zur Antibiotikatherapie, zusammengefasst im Kitteltaschenformat.

Buchkapitel zum Thema

Opioide

In diesem Kapitel werden die anästhesierelevanten Opioide, deren Einteilung, pharmakologische Kenndaten, (unerwünschte) Wirkungen und Dosierungen sowie die Grundlagen der Opioidrezeptoren vorgestellt.

Muskelrelaxanzien

Dieses Kapitel gibt einen allgemeinen Überblick über die Muskelrelaxanzien, wobei sowohl die gängigen depolarisierenden als auch die nichtdepolarisierenden Muskelrelaxanzien vorgestellt werden. Zudem werden die Wechselwirkungen von …

Osteoporose und Calcium- und Phosphatregulation

CalciumsalzeCalciumsalze werden bei nutritiven oder malabsorptionsbedingten Calcium- und Vitamin-D-Mangelzuständen sowie substitutiv-adjuvant zur Unterstützung einer spezifischen Therapie der Osteoporose eingesetzt. Daneben werden Calciumsalze in …

Nicht gefunden, wonach Sie suchten?

Probieren Sie es mit der Suchfunktion:

Passend zum Thema

ANZEIGE

ENDO 2025: Starker Fokus auf Hypoparathyreoidismus

Auf dem ENDO 2025 und dem Hypoparathyroidism 2025 Summit wurden unter anderem die kardiovaskulären und nephrologischen Langzeitfolgen und Risiken bei HypoPT sowie dessen Auswirkungen auf die Lebensqualität thematisiert. Neue 3-Jahres-Daten einer PTH-Ersatztherapie zeigen eindrucksvoll, wie all diese Aspekte adressiert werden können.

ANZEIGE

PTH und seine Relevanz für die Niere

Beim DGE 2025 erläuterte PD Dr. Schanz, wie chronischer HypoPT die Organe und die Nieren im Besonderen belasten kann. Während die konventionelle Therapie mit hoher Calcium-Zufuhr das Risiko für nephrologische Folgen steigert, hat die PTH-Ersatztherapie das Potenzial, Nierenerkrankungen vorzubeugen.

ANZEIGE

Mehr als Laborwerte – wie PTH bei HypoPT den Unterschied macht

Hypoparathyreoidismus wird häufig unterschätzt, obwohl Symptome wie Muskelkrämpfe, Müdigkeit und kognitive Beeinträchtigungen den Alltag erheblich einschränken können. Konventionelle Therapie bietet oft nur begrenzte Linderung und birgt zusätzliche Risiken. Eine PTH-Ersatztherapie kann dies ändern.

ANZEIGE

Hypoparathyreoidismus verstehen

Hypoparathyreoidismus (HypoPT) ist eine seltene endokrine Erkrankung, die durch reduziertes oder fehlendes Parathormon (PTH), einem Hormon aus den Nebenschilddrüsen, gekennzeichnet. Ein zu niedriger PTH-Spiegel kann negative Auswirkungen auf die Organe haben und zahlreiche Symptome hervorrufen

Ascendis Pharma
Bildnachweise
Untersuchung des Beins eines Patienten/© Visionär / Fotolia, Tinospora cordifolia/© SUBASCHANDRA / Stock.adobe.com, Akute Appendizitis/© Springer Medizin, Älterer Mann im Krankenhausbett hinter Infusionsständer/© Ugurhan Betin / Getty Images / iStock (Symbolbild mit Fotomodell), Ärztin misst Frau den Blutdruck/© New Africa / stock.adobe.com (Symbolbild mit Fotomodellen), Mann appliziert Salbe auf sein Knie/© Ake Ngiamsanguan / Getty Images / iStock (Symbolbild mit Fotomodell), Junger Mann bekommt einen Zugang gelegt/© Tyler Olson / Stock.adobe.com (Symbolbild mit Fotomodell), Colitis ulcerosa/© Springer Medizin Verlag GmbH, Frau hält Tabletten in der Hand/© Liderina / Getty Images / iStock (Symbolbild mit Fotomodell), Älterer Mann schaut kritisch auf Tabletten/© Mediteraneo / stock.adobe.com (Symbolbild mit Fotomodell), EKG-Kontrolle in einer Praxis/© Inside Creative House / Getty Images / iStock (Symbolbild mit Fotomodell), Frau mit schmerzverzerrtem Gesicht in Wohnzimmer/© fizkes / stock.adobe.com (Symbolbild mit Fotomodell), Titel/© CandyRetriever / Stock.adobe.com (Symbolbild mit Fotomodell), Senior liegt im Krankenhaus/© Mat Hayward / Fotolia (Symbolbild mit Fotomodell), Ein alter Mann schaut aus dem Fenster/© Willowpix / Getty Images / istock (Symbolbild mit Fotomodell), Infusion/© pix4U / Stock.adobe.com (Symbolbild mit Fotomodell), Pillenbox mit Tabletten für jeden Wochentag/© von Lieres / Fotolia, Ältere Frau mit Beipackzettel und Pillen/© Ridofranz / Getty Images / iStock (Symbolbild mit Fotomodell), Tabletten zur Krebstherapie/© RFBSIP / stock.adobe.com (Symbolbild mit Fotomodell), Mann wird im Krankenwagen notfallmäßig versorgt/© Kzenon / Stock.adobe.com (Symbolbild mit Fotomodell), Arzt misst Blutzucker per Glucometer/© geargodz / Stock.adobe.com (Symbolbild mit Fotomodell), cMRT-T2w-Sequenzen: hippocampale Ödeme/© Schütz. F. / all rights reserved Springer Medizin Verlag GmbH, Schmerzende livide Areale am Bauch/© A. Frahnert, Messen des Bauchumfangs/© Halfpoint / stock.adobe.com (Symbolbild mit Fotomodell), Infusionen/© sudok1 / stock.adobe.com, Search Icon, Ärztin mit Nierenhologramm/© Ascendis Pharma, Zwei Sonnenschirme vor blauem Hintergrund/© MicroStockHub | iStock, Paar spaziert am Strand/© kate_sept2004 | iStock (Symbolbild mit Fotomodellen), Schematische Darstellung der Schilddrüse/© Dr_Microbe | iStock